Preview

Endocrine Surgery

Advanced search

Medullary thyroid cancer. Returning to the need to determine the preoperative basal calcitonin level in patients with thyroid nodular pathology

https://doi.org/10.14341/serg10044

Abstract

There are International and Russian guidelines for the diagnosis and treatment of medullary thyroid carcinoma. There is a recommendation to determine the basal level of calcitonin for all patients with nodular thyroid disease at the all of these documents. However, this test is not performed for this category of patients routinely even in large clinics for a number of reasons, the main one, which seems to be an economic issue. Six months ago a patient addressed to our clinic who underwent surgical treatment for a papillary carcinoma (follicular variant) of the thyroid gland in the volume of thyroidectomy with pre-tracheal lymphodissection and subsequent course of radioiodine therapy at the place of residence. A relapse of the disease was suspected on the control examination at the place of residence and the patient was sent for consultation to the polyclinic of the N.N. Blokhin National Medical Research Center of Oncology. In our clinic, diagnostic studies were carried out, including a revision of the finished cytological and histological preparations and a conclusion was obtained – medullary carcinoma of the thyroid. Determination of basal level of calcitonin in serum showed a value of 1292 pg/ml. The level of basal calcitonin significantly decreased after repeated surgical treatment. This case shows that in order to avoid such mistake, which is described in our clinical case, it seems necessary to follow the national recommendations, international standards to determine the level of basal calcitonin for all patients with thyroid nodal pathology who consulted and treated in medical institutions.

About the Authors

Elena E. Stanyakina

N.N. Blokhin Medical Research Center of Oncology


Russian Federation

PhD Biol., Senior Researcher



Ilia S. Romanov

N.N. Blokhin Medical Research Center of Oncology


Russian Federation

Dr. Sc. Med, Senior Researcher



Tatiana T. Kondratieva

N.N. Blokhin Medical Research Center of Oncology


Russian Federation

Dr. Sc. Med, Leading Researcher



Alexander S. Krylov

N.N. Blokhin Medical Research Center of Oncology


Russian Federation

PhD Med, radiologist



Alexey D. Ryzhkov

N.N. Blokhin Medical Research Center of Oncology


Russian Federation

Dr. Sc. Med, Leading Researcher



Sergey V. Shiryaev

N.N. Blokhin Medical Research Center of Oncology


Russian Federation

Dr. Sc. Med, Prof.



References

1. Kloos RT, Eng C, Evans DB, et al. Medullary thyroid cancer: management guidelines of the American Thyroid Association. Thyroid. 2009;19(6):565-612. doi: https://doi.org/10.1089/thy.2008.0403.

2. Schlumberger M, Carlomagno F, Baudin E, et al. New therapeutic approaches to treat medullary thyroid carcinoma. Nat Clin Pract Endocrinol Metab. 2008;4(1):22-32. doi: https://doi.org/10.1038/ncpendmet0717.

3. Газизова Д.О., Бельцевич Д.Г., Тюльпаков А.Н., и др. Прогностические критерии клинического течения и диагностика медуллярного рака щитовидной железы. // Эндокринная хирургия. – 2013. – Т. 7. – №4. – С. 4-13. [Gazizova DO, Beltsevich DG, Tiulpakov AN, et al. Diagnosis of medullary thyroid cancer and prognostic factors of disease aggressiveness. Endocrine surgery. 2013;7(4):4-13. (In Russ.)] doi: https://doi.org/10.14341/serg201344-13.

4. Papaparaskeva K, Nagel H, Droese M. Cytologic diagnosis of medullary carcinoma of the thyroid gland. Diagn Cytopathol. 2000;22(6):351-358. doi: https://doi.org/10.1002/(sici)1097-0339(200006)22:6<351::aid-dc5>3.0.co;2-t.

5. Bugalho MJ, Santos JR, Sobrinho L. Preoperative diagnosis of medullary thyroid carcinoma: fine needle aspiration cytology as compared with serum calcitonin measurement. J Surg Oncol. 2005;91(1):56-60. doi: https://doi.org/10.1002/jso.20269.

6. Кондратьева Т.Т. Возможности цитологического метода в диагностике нетипичных вариантов рака щитовидной железы. Рак щитовидной железы. – М.: Eso Red Square Seminar; 2004. [Kondrat’eva TT. Vozmozhnosti tsitologicheskogo metoda v diagnostike netipichnykh variantov raka shchitovidnoy zhelezy. Rak shchitovidnoy zhelezy. Moscow: Eso Red Square Seminar; 2004. (In Russ.)]

7. Rieu M, Lame M-C, Richard A, et al. Prevalence of sporadic medullary thyroid carcinoma: the importance of routine measurement of serum calcitonin in the diagnostic evaluation of thyroid nodules. Clin Endocrinol (Oxf). 1995;42(5):453-460. doi: https://doi.org/10.1111/j.1365-2265.1995.tb02662.x.

8. Papadakis G, Keramidas I, Triantafillou E, et al. Association of calcium-stimulated calcitonin values with pathological findings following total thyroidectomy. Endocrine Abstracts. 2015;35(7):4251-4258. doi: https://doi.org/10.1530/endoabs.37.EP846.

9. Dunn JT. When is a thyroid nodule a sporadic medullary carcinoma? J Clin Endocrinol Metab. 1994;78(4):824-825. doi: https://doi.org/10.1210/jcem.78.4.8157705.

10. Boi F, Maurelli I, Pinna G, et al. Calcitonin measurement in wash-out fluid from fine needle aspiration of neck masses in patients with primary and metastatic medullary thyroid carcinoma. J Clin Endocrinol Metab. 2007;92(6):2115-2118. doi: https://doi.org/10.1210/jc.2007-0326.

11. De Bustros AC, Baylin SB. Medullary carcinoma of the thyroid. In: Ingbar SH, De Bustros AC, Braverman LE, editors. Werner&apos;s The thyroid: A Fundamental and Clinical Text. 6th ed. Philadelphia: JB Lippincott & Company; 1991. p. 1166-1183.

12. Milhaud G, Tubiana M, Parmentier C, et al. Epithélioma de la thyroïde sécrétant de la thyrocalcitonine. C R Acad. Sci. (Paris).1968;266:608-610.

13. Chambon G, Alovisetti C, Idoux-Louche C, et al. The use of preoperative routine measurement of basal serum thyrocalcitonin in candidates for thyroidectomy due to nodular thyroid disorders: results from 2733 consecutive patients. J Clin Endocrinol Metab. 2011;96(1):75-81. doi: https://doi.org/10.1210/jc.2010-0162.

14. Pacini F, Fontanelli M, Fugazzola L, et al. Routine measurement of serum calcitonin in nodular thyroid diseases allows the preoperative diagnosis of unsuspected sporadic medullary thyroid carcinoma. J Clin Endocrinol Metab. 1994;78(4): 826-829. doi: https://doi.org/10.1210/jcem.78.4.8157706.

15. Barbot N, Calmettes C, Schuffenecker I, et al. Pentagastrin stimulation test and early diagnosis of medullary thyroid carcinoma using an immunoradiometric assay of calcitonin: comparison with genetic screening in hereditary medullary thyroid carcinoma. J Clin Endocrinol Metab. 1994;78(1): 114-120. doi: https://doi.org/10.1210/jcem.78.1.7904611.

16. Niccoli P, Wion-Barbot N, Caron P, et al. Interest of routine measurement of serum calcitonin: study in a large series of thyroidectomized patients. The French Medullary Study Group. J Clin Endocrinol Metab. 1997;82(2):338-341. doi: https://doi.org/10.1210/jcem.82.2.3737.

17. Elisei R, Romei C. Calcitonin estimation in patients with nodular goiter and its significance for early detection of MTC: european comments to the guidelines of the American Thyroid Association. Thyroid Res. 2013;6 Suppl 1:S2. doi: https://doi.org/10.1186/1756-6614-6-S1-S2.

18. Tormey WP, Byrne B, Hill AD, et al. Should serum calcitonin be routinely measured in patients presenting with thyroid nodule? Minerva Endocrinol. 2017;42(4):306-310. doi: https://doi.org/10.23736/S0391-1977.17.02566-4.

19. Бельцевич Д.Г., Ванушко В.Э., Румянцев П.О. и др. Российские клинические рекомендации по диагностике и лечению высокодифференцированного рака щитовидной железы у взрослых, 2017 год. // Эндокринная хирургия. – 2017. – Т. 11. – №1. – С. 6-27. [Beltsevich DG, Vanushko VE, Rumyantsev PO, et al. 2017 Russian clinical practice guidelines for differentiated thyroid cancer diagnosis and treatment. Endocrine surgery. 2017;11(1):6-27. (In Russ.)] doi: https://doi.org/10.14341/serg201716-27.

20. Абдулхабирова Ф.М., Бельцевич Д.Г., Ванушко В.Е., и др. Диагностика и лечение медуллярного рака щитовидной железы. // Эндокринная хирургия. – 2012. – Т. 6. – №1. – C. 5-17. [Abdulkhabirova FM, Beltsevich DG, Vanushko VE, et al. Medullary Thyroid Cancer: Management Guidelines. Endocrine surgery. 2012;6(1):5-17. (In Russ.)] doi: https://doi.org/10.14341/2306-3513-2012-1-5-17.


Supplementary files

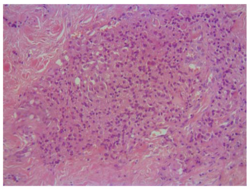
1. Fig. 1. Results of histological examination. Solid alveolar region of the medullary thyroid cancer (× 20).
Subject
Type Исследовательские инструменты
View (143KB)    
Indexing metadata ▾
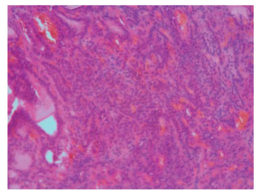
2. Fig. 2. The results of histological examination. Another part of the tumor of the thyroid gland with the presence of pseudopapillary structures (× 20).
Subject
Type Исследовательские инструменты
View (123KB)    
Indexing metadata ▾
3. Fig. 3. Results of cytological examination. A general view of a thyroid tumor with the presence of papillary-type structures, which was a possible cause of an incorrect interpretation of the tumor histogenesis (× 10).
Subject
Type Исследовательские инструменты
View (185KB)    
Indexing metadata ▾
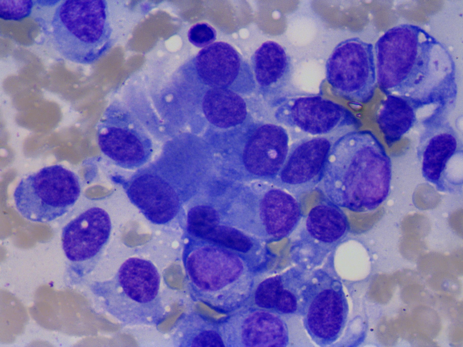
4. Fig. 4. The results of cytological studies (× 100). With a higher magnification of the microscope, cytomorphological signs of neuroendocrine differentiation (the characteristic structure of the chromatin of the nucleus — salt, pepper, and azurophilic granularity of the cytoplasm) are clearly indicated, indicating the presence of medullary cancer.
Subject
Type Исследовательские инструменты
View (291KB)    
Indexing metadata ▾
5. Fig. 5. Results of cytological examination of a thyroid tumor (× 1000).
Subject
Type Исследовательские инструменты
View (237KB)    
Indexing metadata ▾

Review

For citations:


Stanyakina E.E., Romanov I.S., Kondratieva T.T., Krylov A.S., Ryzhkov A.D., Shiryaev S.V. Medullary thyroid cancer. Returning to the need to determine the preoperative basal calcitonin level in patients with thyroid nodular pathology. Endocrine Surgery. 2018;12(4):188-195. (In Russ.) https://doi.org/10.14341/serg10044

Views: 29753


ISSN 2306-3513 (Print)
ISSN 2310-3965 (Online)