Imaging methods of the parathyroid glands in primary hyperparathyroidism. Literature review
https://doi.org/10.14341/serg12241
Abstract
Primary hyperparathyroidism (PHPT) is a common endocrine disease that occurs with multiple profiles in which no classical manifestation. Diagnosis revolves around routine measurement of serum calcium and parathyroid hormone more than in half cases. The understanding of clinical presentation, epidemiology and management tactics of patients with hyperparathyroidism has significantly changed by virtue of the use of biochemical calcium screening.
The successful diagnosis and treatment are possible with the cooperation of a multidisciplinary team of endocrinologist, endocrine surgeon, radiologist, nuclear medicine physician and pathomorphologist.
The only radical method of treatment is the surgical removal of abnormal parathyroid glands. In this regard, there is necessary to improve the parathyroid glands imaging algorithms.
Early treatment of hyperparathyroidism allows to avoid severe damage to the bones, kidneys, heart, other organs, improving the quality of life and reducing the incidence of disability.
For a systematic literature review, more than 100 articles published from 2000 to the present time were used, on following resources: PubMed, Embase, SciSearch, Scopus, Cochrane Databases, Research Gate, Google Scholar. Including recommendations from the American Association of Endocrinologists and Endocrine Surgeons (AACE/AAES), European Society of Nuclear Medicine (EANM), European Society of Endocrinologists (ESE), Russian Association of Endocrinologists (RAE) and several other organizations.
The main goal of this review is to summarize and present relevant information and a new look on preoperative imaging techniques, methods of intraoperative navigation, surgery, control quality of treatment in patients with primary hyperparathyroidism.
Keywords
About the Authors
Konstantin Y. SlashchukRussian Federation
MD
Michail V. Degtyarev
Russian Federation
MD
Pavel O. Rumyantsev
Russian Federation
MD, PhD
Ekaterina A. Troshina
Russian Federation
MD, PhD, professor, corresponding member of the RAS
Galina A. Melnichenko
Russian Federation
MD, PhD, Professor
References
1. Fraser WD. Hyperparathyroidism. Lancet. 2009;374(9684): 145-158. doi: https://doi.org/10.1016/S0140-6736(09)60507-9.
2. Bilezikian JP, Cusano NE, Khan AA, et al. Primary hyperparathyroidism. Nat Rev Dis Primers. 2016;2:16033. doi: https://doi.org/10.1038/nrdp.2016.33.
3. Stack BC Jr, Bodenner D, editors. Medical and surgical treatment of parathyroid diseases. An evidence-based approach. Switzerland: Springer International Publishing; 2017. 617 p. doi: https://doi.org/10.1007/978-3-319-26794-4.
4. Bilezikian JP, Bandeira L, Khan A, Cusano NE. Hyperparathyroidism. Lancet. 2018;391(10116):168-178. doi: https://doi.org/10.1016/s0140-6736(17)31430-7.
5. Costa-Guda J, Arnold A. Hyperparathyroidism. In: Thakker RV, Whyte MP, Eisman JA, Igarashi T, editors. Genetics of bone biology and skeletal disease. London, UK, San Diego, CA: Academic Press, Elsevier; 2013. p. 599-615. doi: https://doi.org/10.1016/B978-0-12-804182-6.00033-2.
6. Newey PJ, Nesbit MA, Rimmer AJ, et al. Whole-exome sequencing studies of nonhereditary (sporadic) parathyroid adenomas. J Clin Endocrinol Metab. 2012;97(10):E1995-2005. doi: https://doi.org/10.1210/jc.2012-2303.
7. Duan K, Gomez Hernandez K, Mete O. Clinicopathological correlates of hyperparathyroidism. J Clin Pathol. 2015;68(10): 771-787. doi: https://doi.org/10.1136/jclinpath-2015-203186.
8. Simonds WF. Genetics of hyperparathyroidism, including parathyroid cancer. Endocrinol Metab Clin North Am. 2017;46(2):405-418. doi: https://doi.org/10.1016/j.beem.2018.09.011.
9. Arnold A, Agarwal SK, Thakker RV, et al. Familial states of primary hyperparathyroidism. In: Bilezikian JP, Bouillon R, Clemens T, et al, editors. Primer on the metabolic bone diseases and disorders of mineral metabolism. 9th ed. Wiley; 2018. p. 629-638. doi: https://doi.org/10.1002/9781119266594.ch83.
10. Alberto F. Genetics of parathyroids disorders: overview. Best Pract Res Clin Endocrinol Metab. 2018;32(6):781-790. doi: https://doi.org/10.1016/j.ecl.2017.01.006.
11. Wermers RA, Clarke BL. Epidemiology of primary hyperparathyroidism. In: Bilezikian JP. The parathyroids. Basic and clinical concepts. 3rd ed. Academic Press; 2015. p. 297-308. doi: https://doi.org/10.1016/B978-0-12-397166-1.00019-9.
12. Griebeler ML, Kearns AE, Ryu E, et al. Secular trends in the incidence of primary hyperparathyroidism over five decades (1965–2010). Bone. 2015;73:1-7. doi: https://doi.org/10.1016/j.bone.2014.12.003.
13. Golden SH, Robinson KA, Saldanha I, et al. Clinical review: prevalence and incidence of endocrine and metabolic disorders in the United States: a comprehensive review. J Clin Endocr Metabol. 2009;94(6):1853-1878. doi: https://doi.org/10.1210/jc.2008-2291.
14. Yeh MW, Ituarte PH, Zhou HC, et al. Incidence and prevalence of primary hyperparathyroidism in a racially mixed population. J Clin Endocrin Metab. 2013;98(3):1122-1129. doi: https://doi.org/10.1210/jc.2012-4022.
15. Press DM, Siperstein AE, Berber E, et al. The prevalence of undiagnosed and unrecognized primary hyperparathyroidism: a population-based analysis from the electronic medical record. Surgery. 2013;154(6):1232-1237. doi: https://doi.org/10.1016/j.surg.2013.06.051.
16. Percivale A, Gnerre P, Damonte G, et al. Primary hyperparathyroidism: epidemiology, clinical features, diagnostic tools and current management. Italian journal of medicine. 2015; 9(4):330-345. doi: https://doi.org/10.4081/itjm.2015.547.
17. Rao SD. Epidemiology of parathyroid disorders. Best Pract Res Clin Endocrinol Metab. 2018;32(6):773-780. doi: https://doi.org/10.1016/j.beem.2018.12.003.
18. Clarke BL. Asymptomatic primary hyperparathyroidism. In: Brandi ML, editor. Parathyroid disorders. Basel: Karger Publishers; 2019. p. 13-22. doi: https://doi.org/10.1159/000491035.
19. Policeni BA, Smoker WR, Reede DL. Anatomy and embryology of the thyroid and parathyroid glands. Semin Ultrasound CT MR. 2012;33(2):104-114. doi: https://doi.org/10.1053/j.sult.2011.12.005.
20. Hojaij F, Vanderlei F, Plopper C, et al. Parathyroid gland anatomical distribution and relation to anthropometric and demographic parameters: a cadaveric study. Anat Sci Int. 2011; 86(4):204-212. doi: https://doi.org/10.1007/s12565-011-0111-0.
21. Roy M, Mazeh H, Chen H, Sippel RS. Incidence and localization of ectopic parathyroid adenomas in previously unexplored patients. World J Surg. 2013;37(1):102-106. doi: https://doi.org/10.1007/s00268-012-1773-z.
22. Palestini N. Surgical anatomy of the parathyroid glands. In: Gasparri G, Palestini N, Camandona M, editors. Primary, secondary and tertiary hyperparathyroidism. Updates in surgery. Milan: Springer, Milano; 2016. doi: https://doi.org/10.1007/978-88-470-5758-6_2.
23. Baloch ZW, LiVolsi VA. Pathology of the parathyroid glands in hyperparathyroidism. Semin Diagn Pathol. 2013;30(3): 165-177. doi: https://doi.org/10.1053/j.semdp.2013.06.003.
24. LiVolsi V, Montone K, Baloch Z. Parathyroid: the pathology of hyperparathyroidism. Surg Pathol Clin. 2014;7(4):515-531. doi: https://doi.org/10.1016/j.path.2014.08.004.
25. Ghervan C. Thyroid and parathyroid ultrasound. Med Ultrason. 2011;13(1):80-84.
26. Lee L, Steward DL. Techniques for parathyroid localization with ultrasound. Otolaryngol Clin North Am. 2010;43(6): 1229-1239. doi: https://doi.org/10.1016/j.otc.2010.08.002.
27. Ruda JM, Hollenbeak CS, Stack BC Jr. A systematic review of the diagnosis and treatment of primary hyperparathyroidism from 1995 to 2003. Otolaryngol Head Neck Surg. 2005;132(3):359-372. doi: https://doi.org/10.1016/j.otohns.2004.10.005.
28. Soon PS, Delbridge LW, Sywak MS, et al. Surgeon performed ultrasound facilitates minimally invasive parathyroidectomy by the focused lateral mini-incision approach. World J Surg. 2008;32(5):766-771. doi: https://doi.org/10.1007/s00268-007-9436-1.
29. Lumachi F, Zucchetta P, Marzola MC, et al. Advantages of combined technetium-99m-sestamibi scintigraphy and high-resolution ultrasonography in parathyroid localization: comparative study in 91 patients with primary hyperparathyroidism. Eur J Endocrinol. 2000;143(6):755-760. doi: https://doi.org/ 10.1530/eje.0.1430755.
30. Agcaoglu O, Aliyev S, Heiden K, et al. A new classification of positive sestamibi and ultrasound scans in parathyroid localization. World J Surg. 2012;36(10):2516-2521. doi: https://doi.org/10.1007/s00268-012-1666-1.
31. Mohammadi A, Moloudi F, Ghasemi-Rad M. Preoperative localization of parathyroid lesion: diagnostic usefulness of color doppler ultrasonography. Int J Clin Exp Med. 2012; 5(1):80-86.
32. Agha A, Hornung M, Schlitt HJ, et al. The role of contrast-enhancend ultrasonography (CEUS) in comparison with 99mTechnetium-sestamibi scintigraphy for localization diagnostic of primary hyperparathyroidism. Clin Hemorheol Microcirc. 2014;58(4):515-520. doi: https://doi.org/10.3233/CH-131800.
33. Nam M, Jeong HS, Shin JH. Differentiation of parathyroid carcinoma and adenoma by preoperative ultrasonography. Acta Radiol. 2017;58(6):670-675. doi: https://doi.org/10.1177/0284185116666418.
34. Greenspan BS, Dillehay G, Intenzo C, et al. SNM practice guideline for parathyroid scintigraphy 4.0. J Nucl Med Technol. 2012;40(2):111-118. doi: https://doi.org/10.2967/jnmt.112.105122.
35. Mehta NY, Ruda JM, Kapadia S, et al. Relationship of technetium Tc 99m sestamibi scans to histopathological features of hyperfunctioning parathyroid tissue. Arch Otolaryngol Head Neck Surg. 2005;131(6):493-498. doi: https://doi.org/10.1001/archotol.131.6.493.
36. Erbil Y, Kapran Y, Işsever H, et al. The positive effect of adenoma weight and oxyphil cell content on preoperative localization with 99mTc-sestamibi scanning for primary hyperparathyroidism. Am J Surg. 2008;195(1):34-39. doi: https://doi.org/10.1016/j.amjsurg.2007.01.040.
37. Pons F, Torregrosa JV, Fuster D. Biological factors influencing parathyroid localization. Nucl Med Commun. 2003;24(2):121-124. doi: https://doi.org/10.1016/j.amjsurg.2007.01.040.
38. European Association of Nuclear Medicine. Parathyroid scintigraphy: a technologist’s guide [Internet]. EANM; 2005 [cited 2019 Nov 9]. Available from: https://www.eanm.org/content-eanm/uploads/2016/11/tech_guide_pt_scint.pdf.
39. Hindié E, Ugur Ö, Fuster D, et al. EANM parathyroid guidelines. Eur J Nucl Med Mol Imaging. 2009;36(7):1201-1216. doi: https://doi.org/10.1007/s00259-009-1131-z.
40. Neumann DR, Obuchowski NA, Difilippo FP. Preoperative 123I/99mTc-Sestamibi subtraction SPECT and SPECT/CT in primary hyperparathyroidism. J Nucl Med. 2008;49(12): 2012-2017. doi: https://doi.org/10.2967/jnumed.108.054858.
41. Taieb D, Hindie E, Grassetto G, et al. Parathyroid scintigraphy: when, how, and why? A concise systematic review. Clin Nucl Med. 2012;37(6):568-574. doi: https://doi.org/10.1097/RLU.0b013e318251e408.
42. Singer MC, Pucar D, Mathew M, Terris DJ. Improved localization of sestamibi imaging at high volume centers. Laryngoscope. 2013;123(1):298-301. doi: https://doi.org/10.1002/lary.23675.
43. Ciappuccini R, Morera J, Pascal P, et al. Dual-phase 99mTc-sestamibi scintigraphy with neck and thorax SPECT/CT in primary hyperparathyroidism: a single institution experience. Clin Nucl Med. 2012;37(3):223-228. doi: https://doi.org/10.1097/RLU.0b013e31823362e5.
44. Wong KK, Fig LM, Gross MD, Dwamena BA. Parathyroid adenoma localization with 99mTc-sestamibi SPECT/CT: a meta-analysis. Nucl Med Commun. 2015;36(4):363-375. doi: https://doi.org/10.1097/MNM.0000000000000262.
45. Kluijfhout WP, Pasternak JD, Drake FT, et al. Use of PET tracers for parathyroid localization: a systematic review and meta-analysis. Langenbecks Arch Surg. 2016;401(7): 925-935. doi: https://doi.org/10.1007/s00423-016-1425-0.
46. Imperiale A, Taïeb D, Hindié E, et al. 18F-Fluorocholine PET/CT as a second line nuclear imaging technique before surgery for primary hyperparathyroidism. Eur J Nucl Med Mol Imaging. 2018;45(4):654-657. doi: https://doi.org/10.1007/s00259-017-3920-0.
47. Quak E, Blanchard D, Houdu B, et al. F18-choline PET/CT guided surgery in primary hyperparathyroidism when ultrasound and MIBI SPECT/CT are negative or inconclusive: the APACH1 study. Eur J Nucl Med Mol Imaging. 2018;45(4): 658-666. doi: https://doi.org/10.1007/s00259-017-3911-1.
48. Lezaic L, Rep S, Sever MJ, et al. 18F-Fluorocholine PET/TC for localization of hyperfunctioning parathyroid in primary hyperprathyroidims: a pilot study. Eur J Nucl Med Mol Imaging. 2014;41(11):2083-2089. doi: https://doi.org/10.1007/s00259-014-2837-0.
49. Yuan L, Liu J, Kan Y, et al. The diagnostic value of 11C-methionine PET in hyperparathyroidism with negative 99mTc-MIBI SPECT: a meta-analysis. Acta Radiol. 2017;58(5): 558-564. doi: https://doi.org/10.1177/0284185116661878.
50. Chun IK, Cheon GJ, Paeng JC, et al. Detection and characterization of parathyroid adenoma/hyperplasia for preoperative localization: comparison between 11C-Methionine PET/CT and 99mTc-sestamibi scintigraphy. Nucl Med Mol Imaging. 2013;47(3):166-172. doi: https://doi.org/10.1007/s13139-013-0212-x.
51. Orevi M, Freedman N, Mishani E, et al. Localization of parathyroid adenoma by 11C-choline PET/CT: preliminary results. Clin Nucl Med. 2014;39(12):1033-1038. doi: https://doi.org/10.1097/RLU.0000000000000607.
52. Kluijfhout WP, Pasternak JD, Beninato T, et al. Diagnostic performance of computed tomography for parathyroid adenoma localization; a systematic review and meta-analysis. Eur J Radiol. 2017;88:117-128. doi: https://doi.org/10.1016/j.ejrad.2017.01.004.
53. Cheung K, Wang TS, Farrokhyar F, et al. A meta-analysis of preoperative localization techniques for patients with primary hyperparathyroidism. Ann Surg Oncol. 2012;19(2):577-583. doi: https://doi.org/10.1245/s10434-011-1870-5.
54. Lubitz CC, Hunter GJ, Hamberg LM, et al. Accuracy of 4-dimensional computed tomography in poorly localized patients with primary hyperparathyroidism. Surgery. 2010; 148(6):1129-137. doi: https://doi.org/10.1016/j.surg.2010.09.002.
55. Starker LF, Mahajan A, Björklund P, et al. 4D parathyroid CT as the initial localization study for patients with de novo primary hyperparathyroidism. Ann Surg Oncol. 2011;18(6):1 723-1728. doi: https://doi.org/10.1245/s10434-010-1507-0.
56. Hunter GJ, Schellingerhout D, Vu TH, et al. Accuracy of four-dimensional CT for the localization of abnormal parathyroid glands in patients with primary hyperparathyroidism. Radiology. 2012;264(3):789-795. doi: https://doi.org/10.1148/radiol.12110852.
57. Schwartz IE, Capra GG, Mullin DP et al. Parathyroid computed tomography angiography: early experience with a novel imaging technique in primary hyperparathyroidism. Otolaryngol Head Neck Surg. 2019;161(2):251-256. doi: https://doi.org/10.1177/0194599819842106.
58. Grayev AM, Gentry LR, Hartman MJ, et al. Presurgical localization of parathyroid adenomas with magnetic resonance imaging at 3.0 T: an adjunct method to supplement traditional imaging. Ann Surg Oncol. 2012;19(3):981-989. doi: https://doi.org/10.1245/s10434-011-2046-z.
59. Michlel L, Dupont M, Rosiere A, et al. The rationale to performing MR imaging before surgery for primary hyperparathyroidism. Acta Chir Belg. 2013;113(2):112-122. doi: https://doi.org/10.1080/00015458.2013.11680896.
60. Ким И.В., Кузнецов Н.С., Кузнецов С.Н. Исследование паратгормона из смыва при пункционной биопсии околощитовидных желез как метод топической диагностики при первичном гиперпаратиреозе // Эндокринная хирургия. – 2014. – T. 8. – №2. – C. 14-19. [Kim IV, Kuznetsov NS, Kuznetsov SN. Study of PTH-FNAB of the parathyroid glands as a method of topical diagnosis in primary hyperparathyroidism. Endocrine Surgery. 2014;8(2):14-19. (In Russ.)] doi: https://doi.org/10.14341/serg2014214-19.
61. Giusti M, Dolcino M, Vera L, et al. Institutional experience of PTH evaluation on fine-needle washing after aspiration biopsy to locate hyperfunctioning parathyroid tissue. J Zhejiang Univ Sci B. 2009;10(5):323-330. doi: https://doi.org/10.1631/jzus.B0820372.
62. Fulla Y, Bonnichon P, Tissier F, et al. [Biology of primary hyperparathyroidism: selective venous sampling. (In French).] J Radiol. 2009;90(3 Pt 2):413-421. doi: https://doi.org/10.1016/s0221-0363(09)72531-4.
63. Ibraheem K, Toraih EA, Haddad AB, et al. Selective parathyroid venous sampling in primary hyperparathyroidism: a systematic review and meta-analysis. Laryngoscope. 2018; 128(11):2662-2667. doi: https://doi.org/10.1002/lary.27213.
64. Yamada T, Ikuno M, Shinjo Y, et al. Selective venous sampling for primary hyperparathyroidism: how to perform an examination and interpret the results with reference to thyroid vein anatomy. Jpn J Radiol. 2017;35(8):409-416. doi: https://doi.org/10.1007/s11604-017-0658-3.
65. Vestergaard P, Mosekilde L. Cohort study on effects of parathyroid surgery on multiple outcomes in primary hyperparathyroidism. BMJ. 2003;327(7414):530-534. doi: https://doi.org/10.1136/bmj.327.7414.530.
66. Tassone F, Guarnieri A, Castellano E, et al. Parathyroidectomy halts the deterioration of renal function in primary hyperparathyroidism. J Clin Endocrinol Metab. 2015;100(8): 3069-3073. doi: https://doi.org/10.1210/jc.2015-2132.
67. Ambrogini E, Cetani F, Cianferotti L, et al. Surgery or surveillance for mild asymptomatic primary hyperparathyroidism: a prospective, randomized clinical trial. J Clin Endocrinol Metab. 2007;92(8):3114-3121. doi: https://doi.org/10.1210/jc.2007-0219.
68. Zanocco K, Sturgeon C. How should age at diagnosis impact treatment strategy in asymptomatic primary hyperparathyroidism? A cost-effectiveness analysis. Surgery. 2008;144(2): 290-298. doi: https://doi.org/10.1016/j.surg.2008.03.044.
69. Bollerslev J, Jansson S, Mollerup CL, et al. Medical observation, compared with parathyroidectomy, for asymptomatic primary hyperparathyroidism: a prospective, randomized trial. J Clin Endocrinol Metab. 2007;92(5):1687-1692. doi: https://doi.org/10.1210/jc.2006-1836.
70. Bilezikian JP, Brandi ML, Eastell R, et al. Guidelines for the management of asymptomatic primary hyperparathyroidism: summary statement from the Fourth International Workshop. J Clin Endocrinol Metab. 2014;99(10):3561-3569. doi: https://doi.org/10.1210/jc.2014-1413.
71. Wilhelm SM, Wang TS, Ruan DT, et al. The American Association of Endocrine Surgeons Guidelines for definitive management of primary hyperparathyroidism. JAMA Surg. 2016; 151(10):959-968. doi: https://doi.org/10.1001/jamasurg.2016.2310.
72. Udelsman R, Åkerström G, Biagini C, et al. The surgical management of asymptomatic primary hyperparathyroidism: proceedings of the Fourth International Workshop. J Clin Endocrinol Metab. 2014;99(10):3595-3606. doi: https://doi.org/10.1210/jc.2014-2000.
73. Hathaway TD, Jones G, Stechman M, et al. The value of intraoperative PTH measurement in patients with mild hyperparathyroidism. Langenbecks Arch Surg. 2013;398(5):723-727. doi: https://doi.org/10.1007/s00423-013-1080-7.
74. Richards ML, Thompson GB, Farley DR, Grant CS. An optimal algorithm for intraoperative parathyroid hormone monitoring. Arch Surg. 2011;146(3):280-285. doi: https://doi.org/10.1001/archsurg.2011.5.
75. Calò PG, Pisano G, Loi G, et al. Surgery for primary hyperparathyroidism in patients with preoperatively negative sestamibi scan and discordant imaging studies: the usefulness of intraoperative parathyroid hormone monitoring. Clin Med Insights Endocrinol Diabetes. 2013;6:63-67. doi: https://doi.org/10.4137/cmed.s13114.
76. Guerrero MA, Clark OH. A comprehensive review of intraoperative parathyroid hormone monitoring. World J Endocrine Surg. 2010;2(1):21-27. doi: https://doi.org/10.5005/jp-journals-10002-1016.
77. Bergenfelz AO, Jansson SK, Wallin GK, et al. Impact of modern techniques on short-term outcome after surgery for primary hyperparathyroidism: a multicenter study comprising 2708 patients. Langenbecks Arch Surg. 2009;394(5): 851-860. doi: https://doi.org/10.1007/s00423-009-0540-6.
78. Ypsilantis E, Charfare H, Wassif WS. Intraoperative PTH assays during minimally invasive parathyroidectomy may be helpful in the detection of double adenomas and may minimize the risk of recurrent surgery. Int J Endocrinol. 2010; 2010:178671. doi: https://doi.org/10.1155/2010/178671.
79. Stavrakis AI, Ituarte PH, Ko CY, Yeh MW. Surgeon volume as a predictor of outcomes in inpatient and outpatient endocrine surgery. Surgery. 2007;142(6):887-899. doi: https://doi.org/10.1016/j.surg.2007.09.003.
80. Augustine MM, Bravo PE, Zeiger MA. Surgical treatment of primary hyperparathyroidism. Endocr Pract. 2011;17 Suppl 1:75-82. doi: https://doi.org/10.4158/EP10359.RA.
81. Udelsman R, Lin Z, Donovan P. The superiority of minimally invasive parathyroidectomy based on 1650 consecutive patients with primary hyperparathyroidism. Ann Surg.2011; 253(3):585-591. doi: https://doi.org/10.1097/SLA.0b013e318208fed9.
82. Venkat R, Kouniavsky G, Tufano RP, et al. Long-term outcome in patients with primary hyperparathyroidism who underwent minimally invasive parathyroidectomy. World J Surg. 2012;36(1):55-60. doi: https://doi.org/10.1007/s00268-011-1344-8.
83. Suliburk JW, Sywak MS, Sidhu SB, Delbridge LW. 1000 minimally invasive parathyroidectomies without intra-operative parathyroid hormone measurement: lessons learned. ANZ J Surg. 2011;81(5):362-365. doi: https://doi.org/10.1111/j.1445-2197.2010.05488.x.
84. Lombardi CP, Raffaelli M, Traini E, et al. Video-assisted minimally invasive parathyroidectomy: benefits and long-term results. World J Surg. 2009;33(11):2266-2281. doi: https://doi.org/10.1007/s00268-009-9931-7.
85. Arnalsteen L, Quievreux JL, Huglo D, et al. [Reoperation for persistent or recurrent primary hyperparathyroidism. Seventy-seven cases among 1888 operated patients. (In French).] Ann Chir. 2004;129(4):224-231. doi: https://doi.org/10.1016/j.anchir.2004.03.007.
86. Karakas E, Müller HH, Schlosshauer T, et al. Reoperation for primary hyperparathyroidism: improvement of outcome over two decades. Langenbecks Arch Surg. 2013;398(1):99-106. doi: https://doi.org/10.1007/s00423-012-1004-y.
87. Wachtel H, Bartlett EK, Kelz RR, et al. Primary hyperparathyroidism with negative imaging: a significant clinical problem. Ann Surg. 2014;260(3):474-480. doi: https://doi.org/10.1097/SLA.0000000000000875.
88. Norman J, Lopez J, Politz D. Abandoning unilateral parathyroidectomy: why we reversed our position after 15,000 parathyroid operations. J Am Coll Surg. 2012;214(3):260-269. doi: https://doi.org/10.1016/j.jamcollsurg.2011.12.007.
89. Singh Ospina NM, Rodriguez-Gutierrez R, Maraka S, et al. Outcomes of parathyroidectomy in patients with primary hyperparathyroidism: a systematic review and meta-analysis. World J Surg. 2016;40(10):2359-2377. doi: https://doi.org/10.1007/s00268-016-3514-1.
90. Cohen MS, Dilley WG, Wells SA, et al. Long-term functionality of cryopreserved parathyroid autografts: 13-year prospective analysis. Surgery. 2005;138(6):1033-1040. doi: https://doi.org/10.1016/j.surg.2005.09.029.
91. Kitaoka M. Ultrasonographic diagnosis of parathyroid glands and percutaneous ethanol injection therapy. Nephrol Dial Transplant. 2003;18 Suppl 3:27-30. doi: https://doi.org/10.1093/ndt/gfg1007.
92. Zhuo L, Peng LL, Zhang YM, et al. US-guided microwave ablation of hyperplastic parathyroid glands: safety and efficacy in patients with end-stage renal disease – a pilot study. Radiology. 2017;282(2):576-584. doi: https://doi.org/10.1148/radiol.2016151875.
93. Zhuo L, Zhang L, Peng LL, et al. Microwave ablation of hyperplastic parathyroid glands is a treatment option for end-stage renal disease patients ineligible for surgical resection. Int J Hyperthermia. 2019;36(1):29-35. doi: https://doi.org/10.1080/02656736.2018.1528392.
94. Korkusuz H, Wolf T, Grünwald F. Feasibility of bipolar radiofrequency ablation in patients with parathyroid adenoma: a first evaluation. Int J Hyperthermia. 2018;34(5):639-643. doi: https://doi.org/10.1080/02656736.2018.1453552.
95. Liu C, Wu B, Huang P, et al. US-guided percutaneous microwave ablation for primary hyperparathyroidism with parathyroid nodules: feasibility and safety study. J Vasc Interv Radiol. 2016;27(6):867-875. doi: https://doi.org/10.1016/j.jvir.2016.02.013.
96. Cao XL, Cheng ZG, Yu XL, et al. Ultrasound-guided percutaneous microwave ablation of parathyroid adenoma. J Vasc Interv Radiol. 2016;27(12):1929-1931. doi: https://doi.org/10.1016/j.jvir.2016.08.021.
97. Cassinello N, Ortega J, Lledo S. Intraoperative realtime (99m)TC sestamibi scintigraphy with miniature gamma camera allows minimally invasive parathyroidectomy without ioPTH determination in primary hyperparathyroidism. Langenbecks Arch Surg. 2009;394(5):869-874.
98. doi: https://doi.org/10.1007/s00423-009-0523-7.
99. Caudle AS, Brier SE, Calvo BF, et al. Experienced radio-guided surgery teams can successfully perform minimally invasive radio-guided parathyroidectomy without intraoperative parathyroid hormone assays. Am Surg. 2006;72(9):785-789.
100. Goldstein RE, Billheimer D, Martin WH, Richards K. Sestamibi scanning and minimally invasive radioguided parathyroidectomy without intraoperative parathyroid hormone measurement. Ann Surg. 2003;237(5):722-730. doi: https://doi.org/10.1097/01.SLA.0000064362.58751.59.
101. Mariani G, Gulec SA, Rubello D, et al. Preoperative localization and radioguided parathyroid surgery. J Nucl Med. 2003;44(9):1443-1458.
102. Judson BL, Shaha AR. Nuclear imaging and minimally invasive surgery in the management of hyperparathyroidism. J Nucl Med. 2008;49(11):1813-1818. doi: https://doi.org/10.2967/jnumed.107.050237.
103. Thomas G, McWade MA, Nguyen J, et al. Innovative surgical guidance for label-free real-time parathyroid identification. Surgery. 2019;165(1):114-123. doi: https://doi.org/10.1016/j.surg.2018.04.079.
104. Rubello D, Mariani G, Pelizzo MR; Italian Study Group of Radioguided Surgery and ImmunoScintigraphy. Minimally invasive radio-guided parathyroidectomy on a group of 452 primary hyperparathyroid patients: refinement of preoperative imaging and intraoperative procedure. Nuklearmedizin. 2007;46(3):85-92. doi: https://doi.org/10.1160/nukmed-0036.
105. Akasu H, Igarashi T, Tanaka K, Shimizu K. Photodynamic identification of human parathyroid glands with 5-aminolevulinic acid. J Nippon Med Sch. 2006;73(5):246-247. doi: https://doi.org/10.1272/jnms.73.246.
106. Prosst RL, Willeke F, Schroeter L, et al. Fluorescence-guided minimally invasive parathyroidectomy: a novel detection technique for parathyroid glands. Surg Endosc. 2006;20(9):1488-1492. doi: https://doi.org/10.1007/s00464-005-0471-4.
107. Rudin AV, McKenzie TJ, Thompson GB, et al. Evaluation of parathyroid glands with indocyanine green fluorescence angiography after thyroidectomy. World J Surg. 2019; 43(6):1538-1543. doi: https://doi.org/10.1007/s00268-019-04909-z.
108. Benmiloud F, Rebaudet S, Varoquaux A, et al. Impact of autofluorescence-based identification of parathyroids during total thyroidectomy on postoperative hypocalcemia: a before and after controlled study. Surgery. 2018;163(1): 23-30. doi: https://doi.org/10.1016/j.surg.2017.06.022.
109. Kose E, Kahramangil B, Aydin H, et al. Heterogeneous and low-intensity parathyroid autofluorescence: patterns suggesting hyperfunction at parathyroid exploration. Surgery. 2019;165(2):431-437. doi: https://doi.org/10.1016/j.surg.2018.08.006.
110. DiMarco A, Chotalia R, Bloxham R, et al. Autofluorescence in parathyroidectomy: signal intensity correlates with serum calcium and parathyroid hormone but routine clinical use is not justified. World J Surg. 2019;43(6):1532-1537. doi: https://doi.org/10.1007/s00268-019-04929-9.
111. McWade MA, Thomas G, Nguyen JQ, et al. Enhancing parathyroid gland visualization using a near infrared fluorescence-based overlay imaging system. J Am Coll Surg. 2019;228(5):730-743. doi: https://doi.org/10.1016/j.jamcollsurg.2019.01.017.
112. Squires MH, Jarvis R, Shirley LA, Phay JE. Intraoperative parathyroid autofluorescence detection in patients with primary hyperparathyroidism. Ann Surg Oncol. 2019;26(4): 1142-1148. doi: https://doi.org/10.1245/s10434-019-07161-w.
Supplementary files
|
1. Схема закладки и пути миграции ОЩЖ | |
| Subject | ||
| Type | Other | |
Download
(214KB)
|
Indexing metadata ▾ | |
|
|
2. Fig. 1. Scheme bookmarks and migration pathway. | |
| Subject | ||
| Type | Other | |
View
(236KB)
|
Indexing metadata ▾ | |
|
|
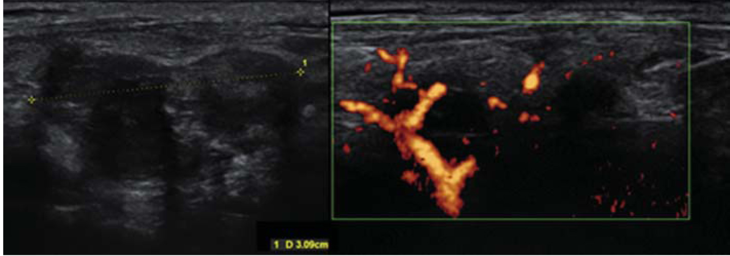
3. Fig. 2. a - ultrasound, with a longitudinally located sensor hypoechoic formation (thin arrow) behind the left lobe of the thyroid gland (thick arrow); b - in the color Doppler mode, hypoechoic formation of the thyroid gland (thin arrow) with typically enhanced vascularization at one of the poles (thick arrow) (images from Diagnostic Imaging: head and neck, 3rd edition, Elsevier 2017). | |
| Subject | ||
| Type | Other | |
View
(316KB)
|
Indexing metadata ▾ | |
|
|
4. Fig. 3. a - the formation of the thyroid gland (arrow); b - with increased blood flow after intravenous administration of ultrasound contrast SonoVue (arrow) (images Soldatova T.V., Research Center for Endocrinology). | |
| Subject | ||
| Type | Other | |
View
(294KB)
|
Indexing metadata ▾ | |
|
|
5. Fig. 4. On the left - the formation of the thyroid gland, suspicious of malignancy (> 3 cm, heterogeneous, irregular in shape with uneven edges); on the right - intensively blood supply during Doppler ultrasound imaging (images of Zakharova S.M., Research Center for Endocrinology). | |
| Subject | ||
| Type | Other | |
View
(190KB)
|
Indexing metadata ▾ | |
|
|
6. Fig. 5. Two-phase scintigraphy. An early and delayed scan with 99mTc-MIBI, the formation of the thyroid gland in the projection of the right lobe of the thyroid gland (arrows) is visualized, preserving the increased capture of the radiopharmaceutical (images of M. Degtyarev, Research Center for Endocrinology). | |
| Subject | ||
| Type | Other | |
View
(231KB)
|
Indexing metadata ▾ | |
|
|
7. Fig. 6. Two-isotope scintigraphy. On the left - 99mTc-MIBI, formation with increased accumulation of radiopharmaceuticals is visualized downward from the lower pole of the right lobe of the thyroid gland (circle); on the right - 99mTc-pertechnetate, there is no accumulation of radiopharmaceuticals in this projection (circle) (images of Degtyarev MV, Research Center for Endocrinology). | |
| Subject | ||
| Type | Other | |
View
(217KB)
|
Indexing metadata ▾ | |
|
|
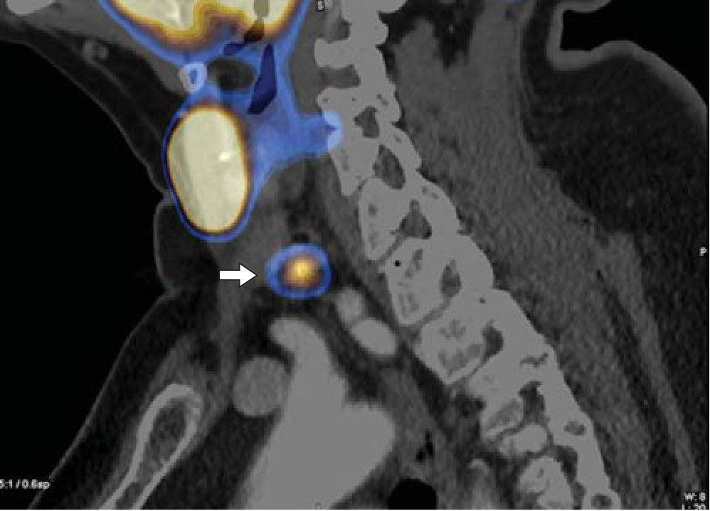
8. Fig. 7. SPECT / CT with 99mTc-MIBI, the formation of the thyroid gland behind and down from the lower pole of the left lobe of the thyroid gland (arrow), accumulating radiopharmaceuticals (images of MV Degtyarev, Research Center for Endocrinology). | |
| Subject | ||
| Type | Other | |
View
(235KB)
|
Indexing metadata ▾ | |
|
|
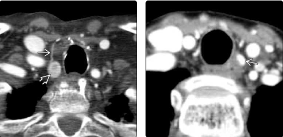
9. Fig. 8. a - CT axial section with contrast, formation (thin arrow) behind the left lobe of the thyroid gland (thick arrow) in the tracheoesophageal sulcus, slightly less contacted in the delayed image; b - sagittal section, heterogeneous oval formation (thin arrows) behind the left lobe of the thyroid gland (thick arrow) (images from Diagnostic Imaging: head and neck, 3rd edition, Elsevier 2017). | |
| Subject | ||
| Type | Other | |
View
(144KB)
|
Indexing metadata ▾ | |
|
|
10. Fig. 9. Axial sections of CT with contrast; a - a typical picture of an artery (thin arrow) that supplies blood to the formation of the thyroid gland (thick arrow); b - the active formation of contrast-active thyroid gland, which, however, was poorly visualized in the delayed (venous) phase, almost corresponded in density to the esophagus (images from Diagnostic Imaging: head and neck, 3rd edition, Elsevier 2017). | |
| Subject | ||
| Type | Other | |
View
(206KB)
|
Indexing metadata ▾ | |
|
|
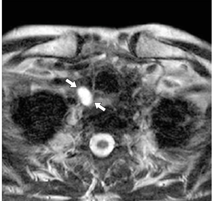
11. Fig. 10. Axial section of MRI in T2WI, an oval formation (arrows) was noted, which has a high signal intensity compared to the thyroid gland or lymph nodes (images from Diagnostic Imaging: head and neck, 3rd edition, Elsevier 2017). | |
| Subject | ||
| Type | Other | |
View
(239KB)
|
Indexing metadata ▾ | |
|
|
12. Fig. 11. Intraoperative images of the thyroid gland (arrows); a, b, c - unvascularized thyroid in the visible, infrared and green spectra; d, f, f — intensively supplied blood to the thyroid gland in the visible, infrared, and green spectra (images from [106]). | |
| Subject | ||
| Type | Other | |
View
(402KB)
|
Indexing metadata ▾ | |
|
|
13. Fig. 12.1. Top: surgical field in camera light; | |
| Subject | ||
| Type | Other | |
View
(218KB)
|
Indexing metadata ▾ | |
|
|
14. Fig. 12.2. Bottom: a - left lobe of the thyroid gland before discharge; b - image in the infrared spectrum of the same fraction of the thyroid gland and the thyroid gland (arrow); c - image of the lobe after isolation of the thyroid gland (arrow) (images from [107]). | |
| Subject | ||
| Type | Other | |
View
(268KB)
|
Indexing metadata ▾ | |
Review
For citations:
Slashchuk K.Y., Degtyarev M.V., Rumyantsev P.O., Troshina E.A., Melnichenko G.A. Imaging methods of the parathyroid glands in primary hyperparathyroidism. Literature review. Endocrine Surgery. 2019;13(4):153-174. (In Russ.) https://doi.org/10.14341/serg12241
This work is licensed under a Creative Commons Attribution-NonCommercial-NoDerivatives 4.0 International License (CC BY-NC-ND 4.0).




































