Персистенция вторичного гиперпаратиреоза после ранее проведенной паратиреоидэктомии у пациентки с хронической болезнью почек: клинический случай
https://doi.org/10.14341/serg12693
Аннотация
Представлено клиническое наблюдение хирургического лечения персистенции вторичного гиперпаратиреоза (ВГПТ) у пациентки с хронической болезнью почек после ранее проведенной паратиреоидэктомии (ПТЭ). Программный гемодиализ начат в 2014 г., а в 2016 г. диагностирован ВГПТ. В ноябре 2018 г. в одной из клиник были выставлены показания к оперативному лечению. По данным сцинтиграфии наблюдалось повышение функциональной активности всех четырех околощитовидных желез (ОЩЖ), по данным УЗИ установлена локализация правой нижней, левой верхней и нижней ОЩЖ. Было проведено удаление 3 ОЩЖ без ревизии рогов тимуса (11.2018), при этом в послеоперационном периоде адекватного снижения паратгормона не наблюдалось. После дообследования по данным ультразвукового исследования, сцинтиграфии и мультиспиральной компьютерной томографии шеи с внутривенным усилением было установлено, что обе нижние ОЩЖ располагаются в верхних рогах тимуса. В июле 2020 г. выполнено повторное оперативное вмешательство в объеме правой нижней и левой нижней ПТЭ с положительной интраоперационной пробой. Ремиссия ВГПТ была достигнута. В настоящее время консенсуса в отношении объема оперативного вмешательства при ВГПТ не достигнуто, поскольку не обнаружено статистически значимых различий в частоте персистенции/рецидива ВГПТ. Необходима полная оценка результатов предоперационных методов визуализации при планировании оперативного вмешательства. Интраоперационный мониторинг ПТГ является эффективной методикой для оценки радикальности оперативного лечения.
Ключевые слова
Об авторах
Елена Алексеевна ИльичеваРоссия
Доктор медицинских наук, профессор; SPIN:3624-4643
Конфликт интересов:
отсутствие явных и потенциальных конфликтов интересов
Глеб Александрович Берсенев
Россия
Аспирант; SPIN:1467-8503
Конфликт интересов:
отсутствие явных и потенциальных конфликтов интересов
Дмитрий Александрович Булгатов
Россия
Младший научный сотрудник, SPIN:1498-3741
Конфликт интересов:
отсутствие явных и потенциальных конфликтов интересов
Валерий Николаевич Махутов
Россия
Кандидат медицинских наук, заведующий торакальным хирургическим отделением ГБУЗ ИОКБ; SPIN:7627-5484
Конфликт интересов:
отсутствие явных и потенциальных конфликтов интересов
Список литературы
1. Дедов И.И., Мельниченко Г.А. Эндокринология. Клинические рекомендации. М.: ГЭОТАР-Медиа; 2017.
2. Бикбов Б.Т., Томилина Н.А. Заместительная терапия больных с хронической почечной недостаточностью методами перитонеального диализа и трансплантации почки в Российской Федерации в 1998–2011 гг. // Нефрология и диализ. — 2014. — Т. 16. — №2. — С. 192-227.
3. Ассоциация нефрологов, Научное общество нефрологов России, Ермоленко В.М., Ветчинникова О.Н., Волгина Г.В., Гуревич К.Я., Томилина Н.А., Федосеев А.Н., Шутов Е.В., Андрусев А.М., Земченков А.Ю., Котенко О.Н., Михайлова Н.А., Ряснянский В.Ю., Шило В.Ю., Герасимчук Р.П. Минеральные и костные нарушения при хронической болезни почек. Национальные рекомендации [Электронный ресурс]. 2015. Доступно по: http://www.nephro.ru/content/files/recomendations/ckdmbdNationalGuidelines.pdf
4. Bikbov B, Bieber B, Andrusev A, et al. Hemodialysis practice patterns in the Russia Dialysis Outcomes and Practice Patterns Study (DOPPS), with international comparisons. HemodialysisInt. 2017;21(3):393-408. doi: https://doi.org/10.1111/hdi.12503
5. Герасимчук Р.П., Земченков А.Ю., Новокшонов К.Ю., и др. Влияние паратиреоидэктомии на динамику лабораторных показателей МКН ХБП и выживаемость пациентов, получающих заместительную почечную терапию диализом в Санкт-Петербурге // Нефрология и диализ. — 2016. — Т. 18. — №1. — C. 40-49.
6. Tsai W, Tsai W, Peng Y, et al. Short — and Long-Term Impact of Subtotal Parathyroidectomy on the Achievement of Bone and Mineral Parameters Recommended by Clinical Practice Guidelines in Dialysis Patients: A 12-Year Single-Center Experience. BloodPurif. 2013;36:116-121. doi: https://doi.org/10.1159/000353415
7. Егшатян Л.В., Мокрышева Н.Г., Рожинская Л.Я. Вторичный и третичный гиперпаратиреоз при хронической болезни почек // Остеопороз и остеопатии. — 2017. — Т. 20. — №2. — С. 63-68. doi: https://doi.org/10.14341/osteo2017263-68
8. KDIGO 2017 Clinical Practice Guideline Update for the Diagnosis, Evaluation, Prevention, and Treatment of Chronic Kidney Disease–Mineral and Bone Disorder (CKD-MBD). Kidney Int Suppl. 2017;7(1):1-59. doi: https://doi.org/10.1016/j.kisu.2017.04.001
9. Величко А.В., Ярец Ю.И., Зыблев С.Л., и др. Влияние паратиреоидэктомии на показатели костного метаболизма у пациентов с вторичным гиперпаратиреозом на фоне хронической болезни почек // Новости хирургии. — 2016. — Т. 24. — №1. — C. 32–39. doi: https://doi.org/10.18484/2305-0047.2016.1.32.
10. Rothmund M, Wagner PK, Schark C. Subtotal parathyroidectomy versus total parathyroidectomy and autotransplantation in secondary hyperparathyroidism: A randomized trial. World J Surg. 1991;15(6):745-750. doi: https://doi.org/10.1007/BF01665309
11. Schneider R, Slater EP, Karakas E, et al. Initial parathyroid surgery in 606 patients with renal hyperparathyroidism. World J Surg. 2012;36(2):318-326. doi: https://doi.org/10.1007/s00268-011-1392-0
12. Steffen L, Moffa G, Müller PC, Oertli D. Secondary hyperparathyroidism: recurrence after total parathyroidectomy with autotransplantation. Swiss Med Wkly. 2019;149:w20160. doi: https://doi.org/10.4414/smw.2019.20160
13. Sari R, Yabanoglu H, Hargura AS, et al. Outcomes of Total Parathyroidectomy with Autotransplantation versus Subtotal Parathyroidectomy Techniques for Secondary Hyperparathyroidism in Chronic Renal Failure. J Coll Physicians Surg Pak. 2020;30(1):18-22. doi: https://doi.org/10.29271/jcpsp.2020.01.18
14. Liu ME, Qiu NC, Zha SL, et al. To assess the effects of parathyroidectomy (TPTX versus TPTX+AT) for Secondary Hyperparathyroidism in chronic renal failure: A Systematic Review and Meta-Analysis. Int J Surg. 2017;44:353-362. doi: https://doi.org/10.1016/j.ijsu.2017.06.029.
15. Abruzzo A, Gioviale MC, Damiano G, et al. Reoperation for persistent or recurrent secondary hyperparathyroidism. Acta Biomed. 2017;88(3):325-328. doi: https://doi.org/10.23750/abm.v88i3.4722
16. Konturek A, Barczyński M, Stopa M, Nowak W. Subtotal parathyroidectomy for secondary renal hyperparathyroidism: a 20-year surgical outcome study. Langenbecks Arch Surg. 2016;401(7):965-974. doi: https://doi.org/10.1007/s00423-016-1447-7
17. Sakman G., Parsak C.K., Balal M. Outcomes of Total Parathyroidectomy with Autotransplantationversus Subtotal Parathyroidectomy with Routine Addition of Thymectomy to both Groups: Single Center Experience of Secondary Hyperparathyroidism. Balkan Medical Journal. 2014;31(1):77-82. doi: https://doi.org/10.5152/balkanmedj.2014.9544
18. Uludag M., Yetkin G., Citgez B. The role of cervical thymectomy in surgical treatment of secondary hyperparathyroidism. BratislLekListy. 2011;112(7):385-389
19. Hiramitsu T, Tomosugi T, Okada M, et al. Pre-operative Localisation of the Parathyroid Glands in Secondary Hyperparathyroidism: A Retrospective Cohort Study. Sci Rep. 2019;9(1):14634. doi: https://doi.org/10.1038/s41598-019-51265-y
20. Chen YH, Chen HT, Lee MC, et al. Preoperative F-18 fluorocholine PET/CT for the detection of hyperfunctioning parathyroid glands in patients with secondary or tertiary hyperparathyroidism: comparison with Tc-99m sestamibi scan and neck ultrasound. Ann Nucl Med. 2020;34(8):527-537. doi: https://doi.org/10.1007/s12149-020-01479-2
21. Zhang R, Zhang Z, Huang P, et al. Diagnostic performance of ultrasonography, dual-phase 99mTc-MIBI scintigraphy, early and delayed 99mTc-MIBI SPECT/CT in preoperative parathyroid gland localization in secondary hyperparathyroidism. BMC Med Imaging. 2020;20(1):91. doi: https://doi.org/10.1186/s12880-020-00490-3
22. Jiang SQ, Yang T, Zou Q, et al. The role of 99mTc-MIBI SPECT/CT in patients with secondary hyperparathyroidism: comparison with 99mTc-MIBI planar scintigraphy and ultrasonography. BMC Med Imaging. 2020;20(1):115. doi: https://doi.org/10.1186/s12880-020-00517-9
23. Li X, Li J, Li Y, et al. The role of preoperative ultrasound, contrast-enhanced ultrasound, and 99mTc-MIBI scanning with single-photon emission computed tomography/X-ray computed tomography localization in refractory secondary hyperparathyroidism. Clin Hemorheol Microcirc. 2020;75(1):35-46. doi: https://doi.org/10.3233/CH-190723
24. Chen J, Jia X, Kong X, et al. Total parathyroidectomy with autotransplantation versus subtotal parathyroidectomy for renal hyperparathyroidism: A systematic review and meta-analysis. Nephrology (Carlton). 2017;22(5):388-396. doi: https://doi.org/10.1111/nep.12801
25. Schlosser K, Bartsch DK, Diener MK, et al. Total Parathyroidectomy With Routine Thymectomy and Autotransplantation Versus Total Parathyroidectomy Alone for Secondary Hyperparathyroidism: Results of a Nonconfirmatory Multicenter Prospective Randomized Controlled Pilot Trial. Ann Surg. 2016;264(5):745-753. doi: https://doi.org/10.1097/SLA.0000000000001875
26. Sakman G, Parsak CK, Balal M. Outcomes of Total Parathyroidectomy with Autotransplantationversus Subtotal Parathyroidectomy with Routine Addition of Thymectomy to both Groups: Single Center Experience of Secondary Hyperparathyroidism. Balkan Medical Journal. 2014;31(1):77-82. doi: https://doi.org/10.5152/balkanmedj.2014.9544
27. Weber T, Zeier M, Hinz U. Impact of intraoperative parathyroid hormone levels on surgical results in patients with renal hyperparathyroidism. World Journal of Surgery. 2005;29(9):1176-1179. doi: https://doi.org/10.1007/s00268-005-7805-1
28. Damiano G, Gioviale MC, Maione C. Comparison Between Rapid Intraoperative and Central Laboratory Parathormone Dosage in Kidney Transplant Candidates. Transplantation Proceedings. 2016;48(2):311-314. doi: https://doi.org/10.1016/j.transproceed.2016.02.003
29. Vulpio C, Bossola M, Di Stasio E. Intraoperative parathyroid hormone monitoring through central laboratory is accurate in renal secondary hyperparathyroidism. Clinical Biochemistry. 2016;49(7-8):538-543. doi: https://doi.org/10.1016/j.clinbiochem.2016.01.012
30. Ильичева Е.А., Булгатов Д.А., Жаркая А.В., и др. Опыт хирургического лечения вторичного гиперпаратиреоза с использованием интраоперационного мониторинга паратиреоидного гормона // Таврический медико-биологический вестник. — 2017. — Т. 20. — №3. — С. 46-51.
31. Ge Y, Yang G, Wang N, Zha X, et al. Bone metabolism markers and hungry bone syndrome after parathyroidectomy in dialysis patients with secondary hyperparathyroidism. Int Urol Nephrol. 2019;51(8):1443-1449. doi: https://doi.org/10.1007/s11255-019-02217-y
32. Latus J, Roesel M, Fritz P, et al. Incidence of and risk factors for hungry bone syndrome in 84 patients with secondary hyperparathyroidism. Int J Nephrol Renovasc Dis. 2013;6:131-137. doi: https://doi.org/10.2147/IJNRD.S47179
33. Mittendorf EA, Merlino JI, McHenry CR. Post-parathyroidectomy hypocalcemia: incidence, risk factors, and management. Am Surg. 2004;70(2):114-119.
34. Гребенникова Т.А., Белая Ж.Е., Мельниченко Г.А. Гипопаратиреоз: современное представление о заболевании и новые методы лечения // Эндокринная хирургия. — 2017. — Т. 11. — №2. — С. 70-80. doi: https://doi.org/10.14341/serg2017270-80
35. Su A, Gong Y, Wu W, et al. Effect of autotransplantation of a parathyroid gland on hypoparathyroidism after total thyroidectomy. Endocr Connect. 2018;7(2):286-294. doi: https://doi.org/10.1530/EC-17-0313
36. Neagoe RM, Mureșan M, Voidăzan S, et al. Subtotal parathyroidectomy versus total parathyroidectomy with autotransplant in secondary hyperparathyroidism — a single-centre prospective cohort of 43 patients. Endokrynol Pol. 2016;67(2):202-209. doi: https://doi.org/10.5603/EP.a2016.0013
37. Veyrat M, Fessi H, Haymann JP, et al. Conservative three-quarter versus subtotal seven-eighths parathyroidectomy in secondary hyperparathyroidism. Eur Ann Otorhinolaryngol Head Neck Dis. 2019;136(2):63-68. doi: https://doi.org/10.1016/j.anorl.2018.09.003
38. Brandenburg VM, Floege J. Adynamic bone disease-bone and beyond. Clin Kidney J. 2008;1(3):135-147. doi: https://doi.org/10.1093/ndtplus/sfn040
39. Hruska KA, Teitelbaum SL. Renal Osteodystrophy. N Engl J Med. 1995;333(3):166-175. doi: https://doi.org/10.1056/NEJM199507203330307
40. London GM. Arterial Calcifications and Bone Histomorphometry in End-Stage Renal Disease. J Am Soc Nephrol. 2004;15(7):1943-1951. doi: https://doi.org/10.1097/01.ASN.0000129337.50739.48
41. Jia X, Wang R, Zhang C, et al. Long-Term Outcomes of Total Parathyroidectomy With or Without Autoimplantation for Hyperparathyroidism in Chronic Kidney Disease: A Meta-Analysis. Ther Apher Dial. 2015;19(5):477-485. doi: https://doi.org/10.1111/1744-9987.12310
Дополнительные файлы
|
|
1. Неозаглавлен | |
| Тема | ||
| Тип | Прочее | |
Посмотреть
(93KB)
|
Метаданные ▾ | |
|
|
2. Рисунок 1. Сцинтиграфия околощитовидных желез. Стрелками указаны анатомические структуры: 1 — левая верхняя ОЩЖ; 2 — левая нижняя ОЩЖ; 3 — правая нижняя ОЩЖ; 4 — правая верхняя ОЩЖ. | |
| Тема | ||
| Тип | Исследовательские инструменты | |
Посмотреть
(93KB)
|
Метаданные ▾ | |
|
|
3. Рисунок 2. ОФЭКТ околощитовидных желез. Стрелками указаны анатомические структуры: 1 — левая нижняя ОЩЖ; 2 — правая нижняя ОЩЖ. | |
| Тема | ||
| Тип | Исследовательские инструменты | |
Посмотреть
(62KB)
|
Метаданные ▾ | |
|
|
4. Рисунок 3. МСКТ. Мультиспиральная компьютерная томография шеи с ангиографией с внутривенным контрастированием. | |
| Тема | ||
| Тип | Исследовательские инструменты | |
Посмотреть
(263KB)
|
Метаданные ▾ | |
|
|
5. Рисунок 4а. Интраоперационная фотография. | |
| Тема | ||
| Тип | Исследовательские инструменты | |
Посмотреть
(165KB)
|
Метаданные ▾ | |
|
|
6. Рисунок 4б. Макропрепараты. | |
| Тема | ||
| Тип | Исследовательские инструменты | |
Посмотреть
(104KB)
|
Метаданные ▾ | |
|
|
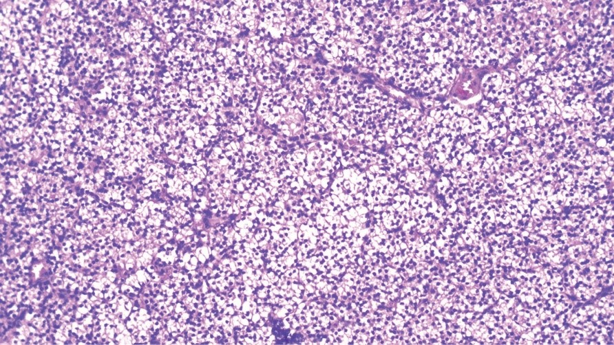
7. Рисунок 5. Микрофотография операционного материала. Окраска гематоксилином-эозином. Увеличение 10×0,25. Ткань нижней правой ОЩЖ. Все пространство препарата представлено картиной диффузной гиперплазии из главных темных клеток, без собственной капсулы и ободка неизмененной ткани. Аналогичной картиной представлен микропрепарат нижней левой ОЩЖ. | |
| Тема | ||
| Тип | Исследовательские инструменты | |
Посмотреть
(240KB)
|
Метаданные ▾ | |
Рецензия
Для цитирования:
Ильичева Е.А., Берсенев Г.А., Булгатов Д.А., Махутов В.Н. Персистенция вторичного гиперпаратиреоза после ранее проведенной паратиреоидэктомии у пациентки с хронической болезнью почек: клинический случай. Эндокринная хирургия. 2020;14(3):19-26. https://doi.org/10.14341/serg12693
For citation:
Ilyicheva E.A., Bersenev G.A., Bulgatov D.A., Makhutov V.N. Persistence of secondary hyperparathyroidism after parathyroidectomy in a patient with chronic kidney disease: a case report. Endocrine Surgery. 2020;14(3):19-26. (In Russ.) https://doi.org/10.14341/serg12693
Контент доступен под лицензией Creative Commons Attribution-NonCommercial-NoDerivatives 4.0 International License (CC BY-NC-ND 4.0).




































