Перейти к:
Выбор тактики феминизирующей пластики у девочек с врожденной дисфункцией коры надпочечников
https://doi.org/10.14341/serg12707
Аннотация
Выбор тактики феминизирующей пластики (одно- или двухэтапная) остается актуальным вопросом. Оперировать рано, в первые месяцы жизни ребенка, при достижении эндокринологической стабилизации, или отложить вмешательство до пубертата? Несмотря на большое количество подходов к хирургическому лечению, до сих пор не все результаты можно признать положительными. Есть осложнения, влияющие на качество жизни пациентов, не только хирургического, но и психологического характера. Преимущества того или иного подхода в настоящее время невозможно доказать, так как это потребует проведения проспективного мультицентрового мультидисциплинарного исследования отдаленных результатов при каждом из подходов. Поэтому детские хирурги еще длительное время в выборе тактики будут основываться на накопленном опыте и логических рассуждениях. Учитывая большой опыт междисциплинарной реабилитации, положительные отдаленные результаты, двухэтапная феминизация остается предпочтительной тактикой хирургического лечения девочек с врожденной дисфункцией коры надпочечников (ВДКН). Повышенный риск присоединения осложнений со стороны мочеполовой системы в виде инфекции мочеполовых путей, гематокольпоса и гематометры у девочек с узким общим мочеполовым каналом, который присущ вирилизации 3, 4 и 5-й степени по Прадеру, может быть рассмотрен как повод для проведения ранней одноэтапной феминизирующей пластики.
Ключевые слова
Для цитирования:
Аникиев А.В. Выбор тактики феминизирующей пластики у девочек с врожденной дисфункцией коры надпочечников. Эндокринная хирургия. 2020;14(4):30-35. https://doi.org/10.14341/serg12707
For citation:
Anikiev A.V. The choice of feminizing genitoplasty tactic in girls with congenital adrenal hyperplasya. Endocrine Surgery. 2020;14(4):30-35. (In Russ.) https://doi.org/10.14341/serg12707
Выбор тактики феминизирующей пластики (одно- или двухэтапная) остается актуальным вопросом. Оперировать рано, в первые месяцы жизни ребенка, при достижении эндокринологической стабилизации, или отложить вмешательство до пубертата? Несмотря на большое количество подходов к хирургическому лечению, до сих пор не все результаты можно признать положительными. Есть осложнения, влияющие на качество жизни пациентов, не только хирургического, но и психологического характера. Преимущества того или иного подхода в настоящее время невозможно доказать, так как это потребует проведения проспективного мультицентрового мультидисциплинарного исследования отдаленных результатов при каждом из подходов [1][2]. А если учесть, что отдаленные результаты, в особенности раннего одноэтапного лечения, должны оцениваться не менее чем через 10–15 лет, очень сложно соблюсти не только соответствие вмешательств между клиниками, но и преемственность подходов между поколениями хирургов. Поэтому аргументы выбора тактики феминизации ограничены накопленным опытом и логикой, в которые и хотелось посвятить читателей.
Длительный период времени, в течение десятилетий, и в этом надо отдать должное нашим наставникам, в России успешно применяется двухэтапная феминизация. Результаты хирургического лечения в целом хорошие. Достигаются цели феминизации — это придание наружным половым органам (НПО) внешнего вида, соответствующего женскому полу в объеме клиторопластики в периоде раннего возраста, как первый этап и формирование входа во влагалище в объеме интроитопластики в периоде пубертата как второй этап. По результатам исследования, опубликованного в 2019 г., хорошие результаты двухэтапного хирургического лечения девочек с врожденной дисфункцией коры надпочечников (ВДКН) в НМИЦ эндокринологии получены у 89% [3]. Раз двухэтапная методика зарекомендовала себя, зачем что-то менять?
В работе, опубликованной в 2019 г., нами исследована частота осложнений со стороны мочевых и половых путей у девочек с нарушением формирования пола, в том числе ВДКН, оперированных двухэтапным способом. Она составила 70% [4]. Анализируя полученные осложнения, мы пришли к следующим умозаключениям. Хроническая рецидивирующая инфекция мочевых путей является прямым следствием нарушенной уродинамики, которая проявляется патологическим забросом мочи во влагалище при мочеиспускании (рис. 1). В младенческом и раннем возрасте такая ситуация встречается нечасто. У большинства девочек в этом возрасте уродинамика не нарушена. Хоть влагалище и есть, но вход в него не пропускает мочу вследствие своего рода антирефлюксного механизма. Но при достижении пубертата и росте влагалища, а соответственно, входа во влагалище рефлюкс мочи в него при мочеиспускании становится очевидным. Кроме того, среди сопутствующих заболеваний, которые могут вызывать инфекцию мочевых путей, как мы, так и наши зарубежные коллеги регистрируем различные заболевания верхних мочевых путей. Пузырно-мочеточниковый рефлюкс (ПМР), гидронефроз, удвоение почек встречаются у пятой части больных [5]. Осложнения патологического строения НПО со стороны половых путей в виде гематокольпоса (Г/К) и гематометры (Г/М) встречаются в возрасте пубертата, но реже. Причиной этого служит узкий вход во влагалище либо узкий общий мочеполовой канал.

Рисунок 1. Микционная цистоуретрограмма у девочки раннего возраста с сольтеряющей формой врожденной дисфункции коры надпочечников. Определяются уретро-вагинальный рефлюкс (при мочеиспускании влагалище (ВЛ) заполняется контрастным веществом) и длинный, извитой, сформированный по мужскому типу общий мочеполовой канал (ОМК). МП — мочевой пузырь.
Главным фактором нарушения уродинамики, следствием которого является инфекция мочевых путей (ИМП), а также причиной нарушения пассажа менструальных выделений является узкий общий мочеполовой канал (ОМК). Даже если имеется антирефлюксный механизм, предотвращающий заброс мочи во влагалище в момент мочеиспускания, увеличение входа во влагалище с возрастом на фоне сохраняющегося узкого ОМК в более старшем возрасте создает предпосылки для развития уретро-вагинального рефлюкса (УВР) и ИМП. Вот почему детские хирурги, в случае если есть узкий ОМК, на первом этапе феминизации наряду с пластикой гипертрофированного клитора выполняют синусотомию. На первый взгляд, это логичный шаг, позволяющий устранить узкий ОМК, риски развития и персистенции УВР. Как это ни странно, но даже у таких пациенток после синусотомии мы регистрируем хроническую ИМП. Из 20 пубертатных пациенток, наблюдаемых нами, с зарегистрированной ИМП 12 симультанно с клиторопластикой или отдельным этапом была выполнена синусотомия, у 7 оставался длинным ОМК. Что же происходит? При синусотомии в ряде случаев, когда уретро-вагинальный свищ (УВС) располагается низко, то есть под уровнем тазовой диафрагмы, рассечение синуса до входа во влагалище позволяет разобщить мочевые половые пути и предотвратить ИМП вследствие УВР и ПМР. В том случае, когда УВС располагается в среднем и высоком положении по отношению к тазовой диафрагме, ОМК невозможно рассечь до влагалища, не прибегнув к интроитопластике, поэтому канал рассекается частично. То есть часть узкого канала сохраняется после его рассечения. В ряде случаев, когда ОМК построен так, что имеет расширение просвета в области УВС, непосредственно после операции нарушение уродинамики устраняется. Но что происходит потом? Вследствие конституционального снижения секреции эстрогена в раннем периоде [6], которая может усугубляться гиперандрогенией, вызванной спровоцированной интеркуррентными состояниями декомпенсацией, происходит уменьшение эстрогенизации половых путей, и ширина ОМК, оставшегося после синусотомии, снова уменьшается, создавая нарушение уродинамики и предпосылку для ИМП, Г/К и Г/М (рис. 2). Таким образом, при среднем и высоком УВС с узким ОМК, который встречается у пациенток с 3, 4 и 5-й степенью вирилизация по Прадеру, имеется высокий риск развития ИМП, Г/К и Г/М. Полноценной профилактикой, а также оптимальным хирургическим лечением этих состояний можно считать только разобщающую интроитопластику. Синусотомия может предотвратить осложнения со стороны мочеполовых путей (МПП) при низкой форме УВС.

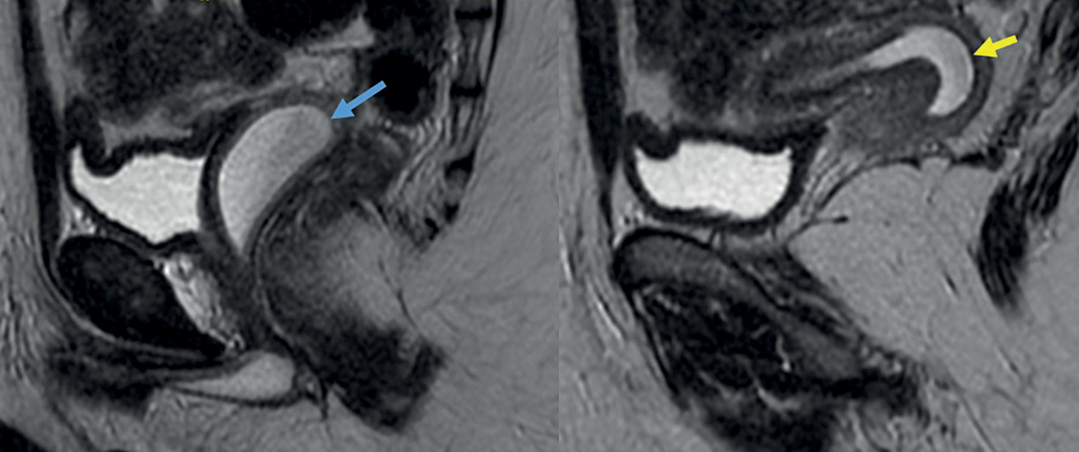
Рисунок 2. Серия МРТ-срезов малого таза у девочки 12 лет с сольтеряющей формой врожденной дисфункции коры надпочечников.
Диагноз поставлен при рождении на основании высокого уровня 17-гидроксипрогестерона, женского кариотипа и вирилизации наружных половых органов 5-й степени. В раннем возрасте выполнены пластика гипертрофированного клитора и синусотомия. В возрасте 12 лет в связи с макрогематурией выявлены признаки гематокольпоса (синяя стрелка) и гематометры (желтая стрелка), подтвержденные МРТ-исследованием. Благодаря оперативным действиям эндокринологов по месту жительства и родителей девочку оперативно госпитализировали и прооперировали в институте эндокринологии. В связи с высокой формой уретро-вагинального свища и недостаточной эстрогенизацией и поэтому высоким риском осложнений решено отказаться от разобщающей интроитопластики в пользу проведения синусовагинотомии. Клинический пример демонстрирует неэффективность синусотомии, выполненной в допубертатном периоде, — несмотря на рассечение общего мочеполового канала, было получено осложнение со стороны половых путей в виде гематокольпоса и гематометры, причиной которого был узкий вход во влагалище.
Очевидно, что такое нарушение уродинамики, как дисфункциональное мочеиспускание (ДМ), которое встречается у части пациенток с ВДКН, также является одной из причин ИМП [7]. Недержание мочи, слишком частое или слишком редкое мочеиспускание, вялая струя мочи, императивные позывы — жалобы, характерные для данной патологии, в грудном и раннем возрасте встречаются редко, или родители не обращают на них внимания, поэтому ДМ не диагностируется своевременно. Сочетание ДМ с патологическим строением НПО значительно усиливает риск развития ИМП. Поэтому только тщательный, активный сбор анамнеза, связанного с нарушением мочеиспускания у пациентов грудного и раннего возраста, позволяет выявить ДМ.
Если говорить о психологических нарушениях, то девочки с негативной реакцией на вмешательство или уже взрослые пациентки с нарушением сексуальной функции встречаются в нашей практике. Отечественных исследований на эту тему мы не нашли в литературе. По мнению наших зарубежных коллег, пациентки с ВДКН, по сравнению со здоровыми, как правило, имеют тенденцию к более позднему половому дебюту и более частым затруднениям с половым актом. Lesma А. и соавт. сообщили о меньшем количестве сексуальных партнеров, но об аналогичном количестве стабильных отношений по сравнению с женщинами контрольной группы. Сексуальные проблемы и их частота в соответствии с индексом женской сексуальной функции были сопоставимы у сексуально активных пациентов группы исследования и контрольной группы (18% и 23%) [8]. Взрослые пациентки с ВДКН реже проявляли сексуальную активность с партнером [9–11], и более низкая частота оргазмов была более распространенной (43% против 23%) [8]. Сексуальная функция и избегание половых контактов не различались между группами пациентов с ВДКН, которым была проведена феминизирующая пластика (ФП) и которые не были оперированы [12]. Самостоятельная оценка пациентов была хуже, чем у контрольной группы, в отношении внешнего вида, удовлетворенности своим телом и НПО, физического и психического удовлетворения сексом и частоты полового акта, но не в отношении сексуального интереса [13]. Несмотря на благоприятную оценку внешнего вида их половых органов хирургом, сохраненную чувствительность клитора и способность к оргазму, по оценкам большинства пациентов, которые пробовали любую форму сексуальной активности, неуверенность в отношении функции влагалища и внешнего вида гениталий была обычным явлением и ассоциировалась с сексуальными проблемами [14]. Представляется вероятным, что плохие результаты хирургического лечения и тревожные воспоминания могут быть причиной низкой психологической и психосексуальной оценки у пациенток с ВДКН [11]. Несмотря на обширные психологические исследования, опубликованные зарубежными коллегами, они не могут пролить свет на выбор тактики феминизации, так как одно- и двухэтапные подходы ни в одном исследовании не сравнивались.
Что же такое одноэтапная ФП в раннем возрасте? Она предполагает совмещение двух задач в одном хирургическом вмешательстве, то есть пластики клитора и входа во влагалище. Обратите внимание, что под выполнение этих двух задач подпадают пациентки только с тяжелой вирилизацией, то есть 3, 4 и 5-й степени. Одноэтапное лечение при вирилизации 1-й и 2-й степени фактически преследует только устранение гипертрофии клитора. Международные рекомендации по ведению ВДКН от 2018 г. предлагают проводить одноэтапную ФП в возрасте до 1 года. Главным аргументом ранней ФП является профилактика осложнений, связанных с патологическим строением МПП, — ИМП, Г/К и Г/М, о которых мы уже писали. А также устранение возможного психологического дискомфорта и связанных с ним нарушений сексуальной функции и качества жизни во взрослом возрасте [8]. Как мы уже поняли, это заключение неточное в отношении сравнения двух тактик. Но тем не менее наши французские и американские коллеги провели психологические исследования родителей пациентов с ВДКН. Путем тщательной подготовки тестов, опросов, интервью, а в последующем — анализа полученных данных было продемонстрировано, что родители предпочитают заблаговременное решение вопроса об адекватности анатомии гениталий назначенному полу — то есть в раннем возрасте [15][16].
Преимущества ранней ФП — это большие, чем в пубертате, пластические возможности наружных гениталий и простота ухода за грудным ребенком. Основным недостатком проведения вмешательства в таком раннем возрасте является высокий риск стеноза искусственного входа во влагалище (ИВВ) в отдаленном периоде. ИВВ на момент операции имеет возрастной размер, но наличие послеоперационного рубца способствует замедлению или остановке его роста в диаметре. Поэтому в ряде случаев в периоде пубертата необходимо проведение повторного вмешательства. То есть термин «одноэтапная феминизация» не отрицает проведения второго этапа операции в пубертатном возрасте. Хоть небольшое, но вмешательство все-таки необходимо в ряде случаев. Одноэтапная феминизация при 1-й и 2-й степени вирилизации также не означает, что не понадобится повторная операция — так как возможен стеноз входа во влагалище по типу бутылочного горлышка, врожденный или вследствие длительной декомпенсации и снижения чувствительности к эстрогенам. Какие условия необходимо соблюсти для успешной одноэтапной ФП? Самое главное требование — длительная компенсация надпочечниковой недостаточности. Если ее удается достигнуть в возрасте с 3 до 12 мес, то следующее условие — это хорошая эстрогенизация НПО, которая в данном возрасте может быть следствием периода минипубертата. В противном случае требуется проведение подготовки НПО с помощью аппликаций эстрогена. Следующим условием, наряду с предыдущими, является готовность родителей достаточно жестко выполнять требования хирурга в послеоперационном периоде. Ребенок не должен садиться и вставать. В грудном возрасте нетрудно выполнить эту задачу с помощью пеленания. И тем не менее мы встречались с мамами, которым и это требование не удавалось выполнить. Поэтому у двух девочек мы получили расхождение краев послеоперационной раны. И несмотря на то что послеоперационная рана на промежности заживала вторичным натяжением в течение длительного времени, в итоге в этих двух случаях результат был хорошим. Родители также должны быть готовы к бужированию влагалища, которое проводится в целях профилактики стеноза, и к нескольким визитам с малышом в клинику до и после операции.
Представленные в доступной литературе отдаленные результаты ранних одномоментных ФП обычно имеют низкое качество в связи с малой выборкой — от 9 до 33 больных и ретроспективным форматом исследования. Сравнительные когорты зачастую включают различные хирургические методы, от некоторых из которых уже отказались в современной генитальной хирургии [17]. Большинство авторов сообщают о высоком уровне хороших результатов — от 79 до 95% в отдаленном периоде в среднем от 19 мес до 21 года [18–23]. Barbara Dobrowolska-Glazar в 2020 г. представила исследование 9 пациенток с ВДКН со средним периодом наблюдения 11 лет [24]. При этом состояние здоровья и половая функция пациентов не отличались от контрольной группы. Некоторые авторы демонстрируют противоположное мнение. Так, группа ученых из Лондона во главе с S.M. Creighton в серии работ начиная с 2001 г. сообщили о высоком уровне (98%) осложненных результатов ранних одноэтапных ФП в подростковом периоде у 44 пациенток с ВДКН [9][12][25]. М.А. Фомина и соавт. в 2010 г. заключили, что одноэтапная пластика, выполненная девочкам с высокими (внутри- и надсфинктерными) формами «урогенитального синуса» в раннем детском возрасте, практически во всех наблюдениях приводит к осложнениям (облитерация влагалища, рубцовый стеноз влагалища, рецидив УГС), требующим повторной хирургической коррекции [26].
Если говорить о нашем опыте ранней одноэтапной ФП, то, кроме перечисленных двух ранних осложнений, еще у трех девочек из 15 мы выявили осложнения. УГС выявлен через 8 мес после операции у одной девочки. Основной сброс мочи во время мочеиспускания происходил через свищ. По данным эхографии остаточной мочи не было. ИМП не рецидивировала. Учитывая отсутствие грубого нарушения уродинамики нижних мочевых путей и высокий риск повторного вмешательства, принято решение о дальнейшем наблюдении девочки. У двух девочек был рецидив УГС также без нарушения мочеиспускания.
ЗАКЛЮЧЕНИЕ
В заключение хотелось бы повторить, что в ближайшее время невозможно будет выяснить преимущества какой-либо одной тактики. Поэтому детские хирурги еще длительное время в выборе тактики будут основываться на накопленном опыте и логических рассуждениях. Учитывая большой опыт междисциплинарной реабилитации, положительные отдаленные результаты, двухэтапная феминизация остается предпочтительной тактикой хирургического лечения девочек с ВДКН. Повышенный риск присоединения осложнений со стороны мочеполовой системы в виде ИМП, Г/К, Г/М у девочек с узким ОМК, который присущ вирилизации 3, 4 и 5-й степени по Прадеру, может быть рассмотрен как повод для проведения ранней одноэтапной ФП.
Список литературы
1. DiSandro M, Merke D, Rink R. Review of Current Surgical Techniques and Medical Management Considerations in the Treatment of Pediatric Patients with Disorders of Sex Development. Horm Metab Res. 2015;47(05):321-328. doi: https://doi.org/10.1055/s-0035-1547292
2. Creighton S, Chernausek SD, Romao R, Ransley P, Salle JP. Timing and nature of reconstructive surgery for disorders of sex development – Introduction. J Pediatr Urol. 2012;8(6):602-610. doi: https://doi.org/10.1016/j.jpurol.2012.10.001
3. Аникиев А.В., Володько Е.А., Бровин Д.Н., и др. Дифференцированный подход к лечению гипоспадии у девочек // Вопросы гинекологии, акушерства и перинатологии. — 2019. — Т. 18. — №4. — С. 5-11.
4. Аникиев А.В., Володько Е.А., Бровин Д.Н., и др. Осложнения со стороны мочеполовой системы у девочек с нарушением формирования пола и гипоспадией // Эндокринная хирургия. — 2019. — Т. 13. — № 2. — С. 89-94.
5. Nabhan ZM, Eugster EA. Upper-Tract Genitourinary Malformations in Girls With Congenital Adrenal Hyperplasia. Pediatrics. 2007;120(2):e304-e307. doi: https://doi.org/10.1542/peds.2006-2993
6. Гуркин Ю.А. Лечение вульвовагинитов у девочек // Вопросы гинекологии, акушерства и перинатологии. — 2008. — Т. 7. — №2. — С. 92-99.
7. Нефрология детского возраста / Под ред. Таболина В.А., Бельмера С.В., Османова И.М. — М.: ИД МЕДПРАКТИКА-М; 2005. 712 с.
8. Lesma A, Bocciardi A, Corti S, et al. Sexual Function in Adult Life Following Passerini-Glazel Feminizing Genitoplasty in Patients with Congenital Adrenal Hyperplasia. J Urol. 2014;191(1):206-211. doi: https://doi.org/10.1016/j.juro.2013.07.097
9. Creighton SM, Minto CL, Steele SJ. Objective cosmetic and anatomical outcomes at adolescence of feminising surgery for ambiguous genitalia done in childhood. Lancet. 2001;358(9276):124-125. doi: https://doi.org/10.1016/S0140-6736(01)05343-0
10. Tammar-Mattis A. Exceptions to the rule: curing the law’s failure to protect intersex infants. Berk J Gend Law Justice. 2013;21:59-110.
11. Fagerholm R, Santtila P, Miettinen P, et al. Sexual function and attitudes toward surgery after feminizing genitoplasty. J Urol. 2011;185:1900-1904. doi: https://doi.org/10.1016/j.juro.2010.12.099
12. Crouch NS, Liao LM, Woodhouse CRJ, et al. Sexual Function and Genital Sensitivity Following Feminizing Genitoplasty for Congenital Adrenal Hyperplasia. J Urol. 2008;179(2):634-638. doi: https://doi.org/10.1016/j.juro.2007.09.079
13. Stikkelbroeck NMML, Beerendonk CCM, Willemsen WNP, et al. The long term outcome of feminizing genital surgery for congenital adrenal hyperplasia: anatomical, functional and cosmetic outcomes, psychosexual development, and satisfaction in adult female patients. J Pediatr Adolesc Gynecol. 2003;16(5):289-296. doi: https://doi.org/10.1016/S1083-3188(03)00155-4
14. Krege S, Walz KH, Hauffa BP, et al. Long-term follow-up of female patients with congenital adrenal hyperplasia from 21-hydroxylase deficiency, with special emphasis on the results of vaginoplasty. BJU Int. 2000;86(3):253-258. doi: https://doi.org/10.1046/j.1464-410x.2000.00789.x
15. Binet A, Lardy H, Geslin D, et al. Should we question early feminizing genitoplasty for patients with congenital adrenal hyperplasia and XX karyotype? J Pediatr Surg. 2016;51(3):465-468. doi: https://doi.org/10.1016/j.jpedsurg.2015.10.004
16. Szymanski KM, Whittam B, Kaefer M, et al. Parental decisional regret and views about optimal timing of female genital restoration surgery in congenital adrenal hyperplasia. J Pediatr Urol. 2018;14(2):156.e1-156.e7. doi: https://doi.org/10.1016/j.jpurol.2017.11.012
17. Jesus LE. Feminizing genitoplasties: Where are we now? J Pediatr Urol. 2018;14(5):407-415. doi: https://doi.org/10.1016/j.jpurol.2018.03.020
18. Nidal S, Kocherov S, Jaber J, et al. Sexual function and voiding status following one stage feminizing genitoplasty. J Pediatr Urol. 2020;16(1):97.e1-97.e6. doi: https://doi.org/10.1016/j.jpurol.2019.11.017
19. Dangle PP, Lee A, Chaudhry R, Schneck FX. Surgical Complications Following Early Genitourinary Reconstructive Surgery for Congenital Adrenal Hyperplasia—Interim Analysis at 6 Years. Urology. 2017;101(1):111-115. doi: https://doi.org/10.1016/j.urology.2016.11.027
20. Stites J, Bernabé KJ, Galan D, et al. Urinary continence outcomes following vaginoplasty in patients with congenital adrenal hyperplasia. J Pediatr Urol. 2017;13(1):38.e1-38.e7. doi: https://doi.org/10.1016/j.jpurol.2016.10.012
21. Houben C, Tsui S, Mou J, et al. Reconstructive surgery for females with congenital adrenal hyperplasia due to 21-hydroxylase deficiency: a review from the Prince of Wales Hospital. Hong Kong Med J. 2014;20:481-485. doi: https://doi.org/10.12809/hkmj144227
22. Elsayed S, Badawy H, Khater D, et al. Congenital adrenal hyperplasia: Does repair after two years of age have a worse outcome? J Pediatr Urol. 2020;16(4):424.e1-424.e6. doi: https://doi.org/10.1016/j.jpurol.2020.06.010
23. Bailez MM, Cuenca ES, Dibenedetto V. Urinary continence following repair of intermediate and high urogenital sinus (UGS) in CAH. Experience with 55 cases. Front Pediatr. 2014;2:67. doi: https://doi.org/10.3389/fped.2014.00067
24. Dobrowolska-Glazar B, Honkisz I, Sulislawski J, Tyrawa K, Wolnicki M, Chrzan R. Sexual function and health status in adult patients with Congenital Adrenal Hyperplasia. J Pediatr Urol. 2020;16(4):464.e1-464.e6. doi: https://doi.org/10.1016/j.jpurol.2020.05.162
25. Crouch NS, Creighton SM. Long-term functional outcomes of female genital reconstruction in childhood. BJU Int. 2007;100(2):403-407. doi: https://doi.org/10.1111/j.1464-410X.2007.06855.x
26. Фомина М.А., Бижанова Д.А., Арзамасцева Л.В., и др. Оценка результатов феминизирующей пластики у девочек-подростков с врожденной дисфункцией коры надпочечников в отдаленном послеоперационном периоде // Детская больница. — 2010. — № 2. — С. 35-39.
Об авторе
Александр Вячеславович АникиевРоссия
К.м.н., врач детский хирург, eLibrary SPIN: 9880-7682, телефон: 8 (916) 510-16-43
Россия, 117036, Москва, ул. Дм. Ульянова, д. 11
Дополнительные файлы
|
|
1. Рисунок 1. Микционная цистоуретрограмма у девочки раннего возраста с сольтеряющей формой врожденной дисфункции коры надпочечников. Определяются уретро-вагинальный рефлюкс (при мочеиспускании влагалище (ВЛ) заполняется контрастным веществом) и длинный, извитой, сформированный по мужскому типу общий мочеполовой канал (ОМК). МП — мочевой пузырь. | |
| Тема | ||
| Тип | Исследовательские инструменты | |
Посмотреть
(137KB)
|
Метаданные ▾ | |
|
|
2. Рисунок 2. Серия МРТ-срезов малого таза у девочки 12 лет с сольтеряющей формой врожденной дисфункции коры надпочечников. | |
| Тема | ||
| Тип | Исследовательские инструменты | |
Посмотреть
(208KB)
|
Метаданные ▾ | |
Рецензия
Для цитирования:
Аникиев А.В. Выбор тактики феминизирующей пластики у девочек с врожденной дисфункцией коры надпочечников. Эндокринная хирургия. 2020;14(4):30-35. https://doi.org/10.14341/serg12707
For citation:
Anikiev A.V. The choice of feminizing genitoplasty tactic in girls with congenital adrenal hyperplasya. Endocrine Surgery. 2020;14(4):30-35. (In Russ.) https://doi.org/10.14341/serg12707
Контент доступен под лицензией Creative Commons Attribution-NonCommercial-NoDerivatives 4.0 International License (CC BY-NC-ND 4.0).




































