Артериальное кровоснабжение внутренних органов шеи: анатомия, топография, клиническое значение в эндокринной хирургии
https://doi.org/10.14341/serg12720
Аннотация
ОБОСНОВАНИЕ. Современные тенденции «fast track surgery» стимулируют создание новых безопасных подходов к технике операции на щитовидной и околощитовидных железах, направленных на минимизацию уровня послеоперационных осложнений, таких как парез гортани, гипопаратиреоз, кровотечение. В этой связи принципиально важным для хирурга-эндокринолога является обеспечение «сухого операционного поля», что способствует четкой визуализации таких «тонких» структур, как возвратный гортанный нерв, наружная ветвь верхнего гортанного нерва и околощитовидные железы. Поэтому ключевым моментом операций является понимание топографо-анатомических особенностей кровоснабжения внутренних органов шеи (комплекс органов шеи, состоящий из щитовидной и околощитовидных желез, гортани, трахеи, пищевода). ЦЕЛЬ. Определить основные источники артериального кровоснабжения внутренних органов шеи и их топографоанатомические особенности.
МАТЕРИАЛЫ И МЕТОДЫ. В работе проанализированы протоколы компьютерных томографий ветвей брахиоцефальных артерий. Толщина реконструированных срезов в аксиальной, фронтальной и сагиттальной плоскостях составляла 0,35±0,05 мм. Факт кровоснабжения органа подтверждался анатомической близостью с ним артериальной структуры и наличием интрамуральных ветвлений.
РЕЗУЛЬТАТЫ. У 42 пациентов прослежен ход всех шейных ветвей подключичной и общей сонной артерии. Отмечено, что только нижняя, верхняя и непарная щитовидные артерии кровоснабжают внутренние органы шеи. При этом верхняя щитовидная артерия визуализирована на всех ангиограммах. Нижняя щитовидная артерия отсутствовала в 2,4% случаев. Непарная щитовидная артерия определялась редко (у 4,8% пациентов). В 73,2% случаев нижняя щитовидная артерия начиналась высоко, на уровне верхней трети доли щитовидной железы, и имела нисходящий ход. В 23,2% наблюдений артерия формировалась на уровне средней трети доли щитовидной железы и направлялась горизонтально. Только в 3,6% случаев у сосуда определялся восходящий ход. Нижняя щитовидная артерия располагалась по задней поверхности доли щитовидной железы, где и образовывала свои железистые ветви. Напротив, ветви верхней щитовидной артерии находились преимущественно по переднебоковой поверхности щитовидной железы. Средний диаметр просвета нижней щитовидной артерии составлял 2,1±0,5 мм, а верхней щитовидной артерии — 1,6±0,7 мм.
ЗАКЛЮЧЕНИЕ. Согласно проведенному исследованию, артериальное кровоснабжение внутренних органов шеи обеспечивают преимущественно нижняя и верхняя щитовидные артерии. При этом основной ствол нижней щитовидной артерии крупнее верхней щитовидной артерии (p=0,032). Нижняя щитовидная артерия формирует ветви по задней поверхности доли щитовидной железы и с топографической точки зрения является основным источником кровоснабжения околощитовидных желез. В большинстве случаев нижняя щитовидная артерия имеет нисходящий ход, направляется по задней поверхности щитовидной железы и формирует с возвратным гортанным нервом Х-образный перекрест.
Об авторах
А. А. КупринРоссия
Куприн Александр Александрович, кандидат медицинских наук
129110, Москва, ул. Щепкина, д. 61/2
eLibrary SPIN: 7950- 8820
В. Ю. Малюга
Малюга Виктор Юрьевич, доктор медицинских наук
Москва
eLibrary SPIN: 1303-6923
Е. А. Степанова
Степанова Елена Александровна, кандидат медицинских наук
Москва
eLibrary SPIN: 5965-8784
Список литературы
1. Эндокринная хирургия: руководство для врачей / Под ред. Харнаса С.С. — М.: ГЭОТАР-Медиа; 2010.
2. Thyroid-info.ru. [Интернет]. История изучения щитовидной железы. Доступно по: https://thyroid-info.ru/about/istoriya-izucheniya-shchitovidnoy-zhelezy. Ссылка активна на 17.08.22.
3. Ross DS, Burch HB, Cooper DS, et al. American Thyroid Association guidelines for diagnosis and management of hyperthyroidism and other causes of thyrotoxicosis. Thyroid. 2016;26(10):1343-1421. doi: https://doi.org/10.1089/thy.2016.0229
4. Бондаренко В.О. Возвратный гортанный нерв в хирургии щитовидной и паращитовидной желез. — М.: Атлас; 2006.
5. Chandrasekhar SS, Randolph GW, Seidman MD, et al. Clinical practice guideline: improving voice outcomes after thyroid surgery. Otolaryngol Head Neck Surg. 2013;148(6):S1-S37. doi: https://doi.org/10.1177/0194599813487301
6. Noussios G, Chatzis I, Konstantinidis S, et al. The Anatomical Relationship of Inferior Thyroid Artery and Recurrent Laryngeal Nerve: A Review of the Literature and Its Clinical Importance. J Clin Med Res. 2020;12(10):640-646. doi: https://doi.org/10.14740/jocmr4296
7. Куприн А.А., Малюга В.Ю., Бритвин Т.А., Абуладзе И.О. Экстраларингеальные варианты возвратного гортанного нерва. Серия наблюдений на аутопсийном материале // Эндокринная хирургия. — 2020. — Т. 14. — №4. — С. 4-18. doi: https://doi.org/10.14341/serg12706
8. Мокрышева Н.Г., Крупинова Ю.А., Воронкова И.А. Околощитовидные железы: нормальное развитие, анатомическое и гистологическое строение // Эндокринная хирургия. — 2018. — Т. 12. — №4. — С. 178-187. doi: https://doi.org/10.14341/serg10039
9. Zhu J, Tian W, Xu Z, et al. Expert consensus statement on parathyroid protection in thyroidectomy. Ann Transl Med. 2015;3(16):230. doi: https://doi.org/10.3978/j.issn.2305-5839.2015.08.20
10. Островерхов Г.Е, Бомаш Ю.М., Лубоцкий Д.Н. Оперативная хирургия и топографическая анатомия. Учебник для студентов медицинских вузов. 5-е издание. — М.: МИА; 2013.
11. Привес М.Г., Лысенков Н.К., Бушкович В.И. Анатомия человека. Учебник для студентов медицинских вузов. 12-е издание. — СПб: СПбМАПО; 2006.
12. Романчишен А.Ф., Гостимский А.В., Карпатский И.В. Хирургическая анатомия капсулы и фасциального влагалища щитовидной железы // Медицина: теория и практика. — 2017. — Т.2. — №4. — С. 10-18.
13. Magklara E-P, Pantelia E-T, Solia E, et al. Vertebral artery variations revised: origin, course, branches and embryonic development. Folia Morphologica. 2021;80(1):1-12. doi: https://doi.org/10.5603/fm.a2020.0022
14. Shahoud JS, Kerndt CC, Burns B. Anatomy, Thorax, Internal Mammary (Internal Thoracic) Arteries. StatPearls [Internet]. Treasure Island (FL): StatPearls Publishing. 2021 Jul 26.
15. Paliouras D, Rallis T, Gogakos AS, et al. Surgical anatomy of the internal thoracic arteries and their branching pattern: a cadaveric study. Ann Transl Med. 2015;3(15):212. doi: https://doi.org/10.3978/j.issn.2305-5839.2015.09.03
16. Terminologia Anatomica [Internet]. Available at: https://ifaa.unifr.ch/ Accessed 17.08.22.
17. Bergman RA, Afifi AK, Miyauchi R. Illustrated Encyclopedia of Human Anatomic Variation. Anatomy Atlases: Opus II: Cardiovascular System: Arteries: Head, Neck, and Thorax. Thyroidea Ima (of Neubauer) Artery [Internet]. Available at: https://anatomyatlases.org. Accessed 17.08.22.
18. Esen K, Ozgur A, Balci Y, et al. Variations in the origins of the thyroid arteries on CT angiography. Jpn J Radiol. 2018;36(2):96-102. doi: https://doi.org/10.1007/s11604-017-0710-3
19. Singh R. Variations in the origin and course of the suprascapular artery: case report and literature review. J Vasc Bras. 2018;17(1):61-65. doi: https://doi.org/10.1590/1677-5449.008117
20. Ogawa R, Murakami M, Vinh VQ, Hyakusoku H. Clinical and Anatomical Study of Superficial Cervical Artery Flaps: Retrospective Study of Reconstructions with 41 Flaps and the Feasibility of Harvesting Them as Perforator Flaps. Plast Reconstr Surg. 2006;118(1):95-101. doi: https://doi.org/10.1097/01.prs.0000220880.28359.86
21. Arslan M, Acar HI, Comert A, Tubbs RS. The cervical arteries: an anatomical study with application to avoiding nerve root and spinal cord blood supply. Turk Neurosurg. 2017;118(1):95-101. doi: https://doi.org/10.5137/1019-5149.JTN.19469-16.1
22. Alabduladhem TO, Lasrado S. Anatomy, Head and Neck, Costocervical Trunk Arteries. In: StatPearls [Internet]. Treasure Island (FL): StatPearls Publishing. 2021 Jan.
23. Rogers L. The Thyroid arteries considered in relation to their Surgical importance. J Anat. 1929;64(1):50-61.
24. Roshan S, Pandey N, Bhivate V, et al. Morphometric study of inferior thyroid artery in cadavers. Int J Anat Res. 2015;3(4):1726-1731. doi: https://doi.org/10.16965/ijar.2015.328
25. Johnsen SL, Kiserud T. Morphometric study of inferior thyroid artery in cadavers. Nor Epidemiol. 2009;19(1):1726-1731. doi: https://doi.org/10.5324/nje.v19i1.10
26. Жернакова Ю.В., Кавешников В.С., Серебрякова В.Н., и др. Распространенность каротидного атеросклероза в неорганизованной популяции Томска // Системные гипертензии. — 2014. — Т. 11. — №4. — С. 37-42.
27. Бокерия Л.А., Покровский А.В., Сокуренко Г.Ю., и др. Национальные рекомендации по ведению пациентов с заболеваниями брахиоцефальных артерий [Электронный ресурс]. — М.: Российское обществово ангиологов и сосудистых хирургов; 2013. — 72 с. Доступно по: http://www.angiolsurgery.org/recommendations/2013recommendations_brachiocephalic.pdf. Cсылка активна на 03.04.2015.
28. Ozgur Z, Govsa F, Celik S, et al. Clinically relevant variations of the superior thyroid artery: an anatomic guide for surgical neck dissection. Surg Radiol Anat. 2009;31(3):151-159. doi: https://doi.org/10.1007/s00276-008-0405-7
29. Левашев Ю.Н., Яблонский П.К., Пищик В.Г. Аллотрансплантация трахеи в клинике и эксперименте // Вестник хирургии имени И.И. Грекова. — 2009. — Т. 168. — №1. — С. 108-111.
30. Паршин В.Д., Люндуп А.В., Тарабрин Е.А., Паршин В.В. Отдаленный результат трансплантации трахеи: успех и нерешенные проблемы // Хирургия. Журнал им. Н.И. Пирогова. — 2018. — Т. 19. — №11. — С. 11-19. doi: https://doi.org/10.17116/hirurgia201811111
31. Gupta P, Bhalla AS, Thulkar S, et al. Variations in superior thyroid artery: A selective angiographic study. Indian J Radiol Imaging. 2014;24(01):66-71. doi: https://doi.org/10.4103/0971-3026.130701
32. Малюга В.Ю., Куприн А.А. Клинико-анатомические особенности кровоснабжения околощитовидных желез: серия наблюдений на аутопсийном материале // Эндокринная хирургия. — 2018. — Т. 12. — №1. — С. 40-54. doi: https://doi.org/10.14341/serg9637
33. Thomusch O, Machens A, Sekulla C, et al. The impact of surgical technique on postoperative hypoparathyroidism in bilateral thyroid surgery: a multivariate analysis of 5846 consecutive patients. Surgery. 2003;133(2):180-185. doi: https://doi.org/10.1067/msy.2003.61
34. Waseem T, Ahmed SZ, Baig H, et al. Truncal vs Branch Ligation of Inferior Thyroid Arteries in Total Thyroidectomy: Does It Affect Postoperative Hypoparathyroidism? Otolaryngol Head Neck Surg. 2021;164(4):759-766. doi: https://doi.org/10.1177/0194599820957283
35. Henry BM, Vikse J, Graves MJ, et al. Extralaryngeal branching of the recurrent laryngeal nerve: a meta-analysis of 28,387 nerves. Langenbecks Arch Surg. 2016;401(7):913-923. doi: https://doi.org/10.1007/s00423-016-1455-7.
36. Alt B, Elsalini OA, Schrumpf P, et at. Arteries define the position of the thyroid gland during its developmental relocalisation. Development. 2006;133(19):3797-3804. doi: https://doi.org/10.1242/dev.02550
37. Kameda Y. Cellular and molecular events on the development of mammalian thyroid C cells. Dev Dyn. 2016;245(3):323-341. doi: https://doi.org/10.1002/dvdy.24377
38. Nilsson M, Fagman H. Mechanisms of Thyroid Development and Dysgenesis. In: Indian Journal of Radiology and Imaging. 2013;24:123-170. doi: https://doi.org/10.1016/B978-0-12-416021-7.00004-3
39. Surya E, Anitha V. Anomalous origin of left vertebral artery arising from the arch of aorta and its embryological basis. Int J Anat Res. 2014;2(3):537-540.
40. Takafuji T, Sato Y. Study on the subclavian artery and its branches in Japanese adults. Okajimas Folia Anat Jpn. 1991;68(2-3):171-185. doi: https://doi.org/10.2535/ofaj1936.68.2-3_171
41. Sherman JH, Colborn GL. Absence of the left inferior thyroid artery: Clinical implications. Clinical Anatomy. 2003;16(6):534-537. doi: https://doi.org/10.1002/ca.10195
42. Ramesh Rao T, Balakrishnan R, Prakashchandra S, Suresh R. Ectopic Thyroid Tissue With a Rare Vascular Variation. Int J Morphol. 2007;25(1). doi: https://doi.org/10.4067/S0717-95022007000100017
Дополнительные файлы
|
|
1. Рисунок 1. Ветви щитошейного ствола. А — КТ-ангиография ветвей правого щитошейного ствола (фронтальный срез); Б — схематический рисунок правого щитошейного ствола. V — a. vertebralis; De — dextra; Si — sinistra. | |
| Тема | ||
| Тип | Исследовательские инструменты | |
Посмотреть
(352KB)
|
Метаданные ▾ | |
|
|
2. Рисунок 2. Топография НЩА. А — схематичный рисунок правого щитошейного ствола; Б — КТ-ангиография (фронтальный срез). Правая НЩА; В — КТ-ангиография (фронтальный срез). Левая НЩА. 1 — восходящая часть НЩА; * — колено НЩА; 2 — нисходящая часть НЩА; S — a. subclavia; C — a. carotis communis; MSA — musculus scalenus anterior; De — dextra; Si — sinistra. | |
| Тема | ||
| Тип | Исследовательские инструменты | |
Посмотреть
(556KB)
|
Метаданные ▾ | |
|
|
3. Рисунок 3. Схематичный рисунок расположения колена НЩА относительно доли ЩЖ. | |
| Тема | ||
| Тип | Исследовательские инструменты | |
Посмотреть
(211KB)
|
Метаданные ▾ | |
|
|
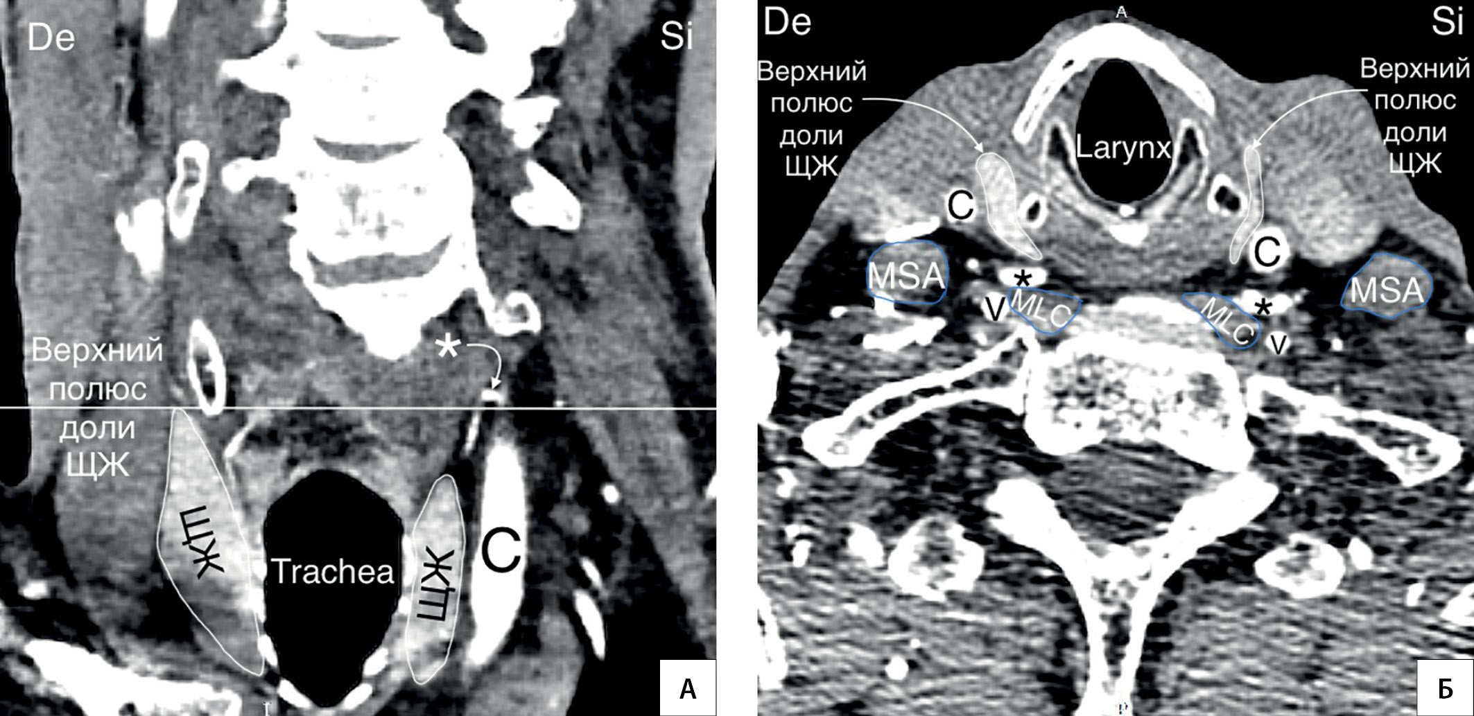
4. Рисунок 4. Колено НЩА располагается на уровне верхнего полюса доли ЩЖ. А — КТ-ангиограмма (фронтальный срез); Б — КТ-ангиограмма (горизонтальная плоскость); * — колено НЩА. C — a. carotis communis; V — a. vertebralis; MSA — musculus scalenus anterior; MLC — musculus longus colli; De — dextra; Si — sinistra. | |
| Тема | ||
| Тип | Исследовательские инструменты | |
Посмотреть
(366KB)
|
Метаданные ▾ | |
|
|
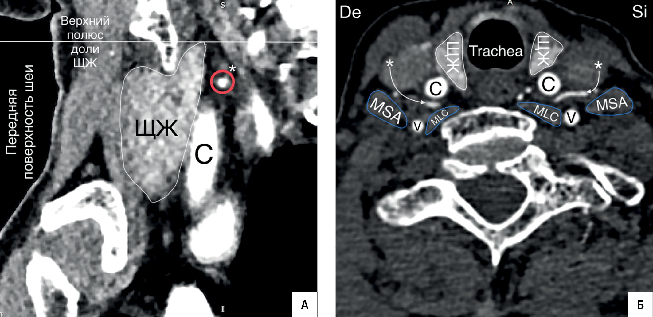
5. Рисунок 5. Колено НЩА располагается на уровне верхней трети доли ЩЖ. А — КТ-ангиограмма (сагиттальный срез); Б — КТ-ангиограмма (горизонтальная плоскость). * — колено НЩА; C — a. carotis communis; V — a. vertebralis; MSA — musculus scalenus anterior; MLC — musculus longus colli; De — dextra; Si — sinistra. | |
| Тема | ||
| Тип | Исследовательские инструменты | |
Посмотреть
(294KB)
|
Метаданные ▾ | |
|
|
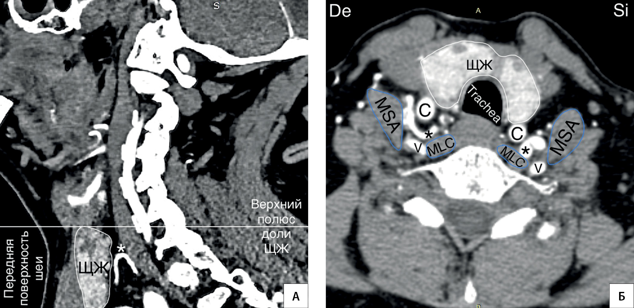
6. Рисунок 6. Колено НЩА располагается на уровне средней трети доли ЩЖ. А — КТ-ангиограмма (сагиттальный срез); Б — КТ-ангиограмма (горизонтальная плоскость); * — колено НЩА; C — a. carotis communis; V — a. vertebralis; MSA — musculus scalenus anterior; MLC — musculus longus colli; De — dextra; Si — sinistra. | |
| Тема | ||
| Тип | Исследовательские инструменты | |
Посмотреть
(325KB)
|
Метаданные ▾ | |
|
|
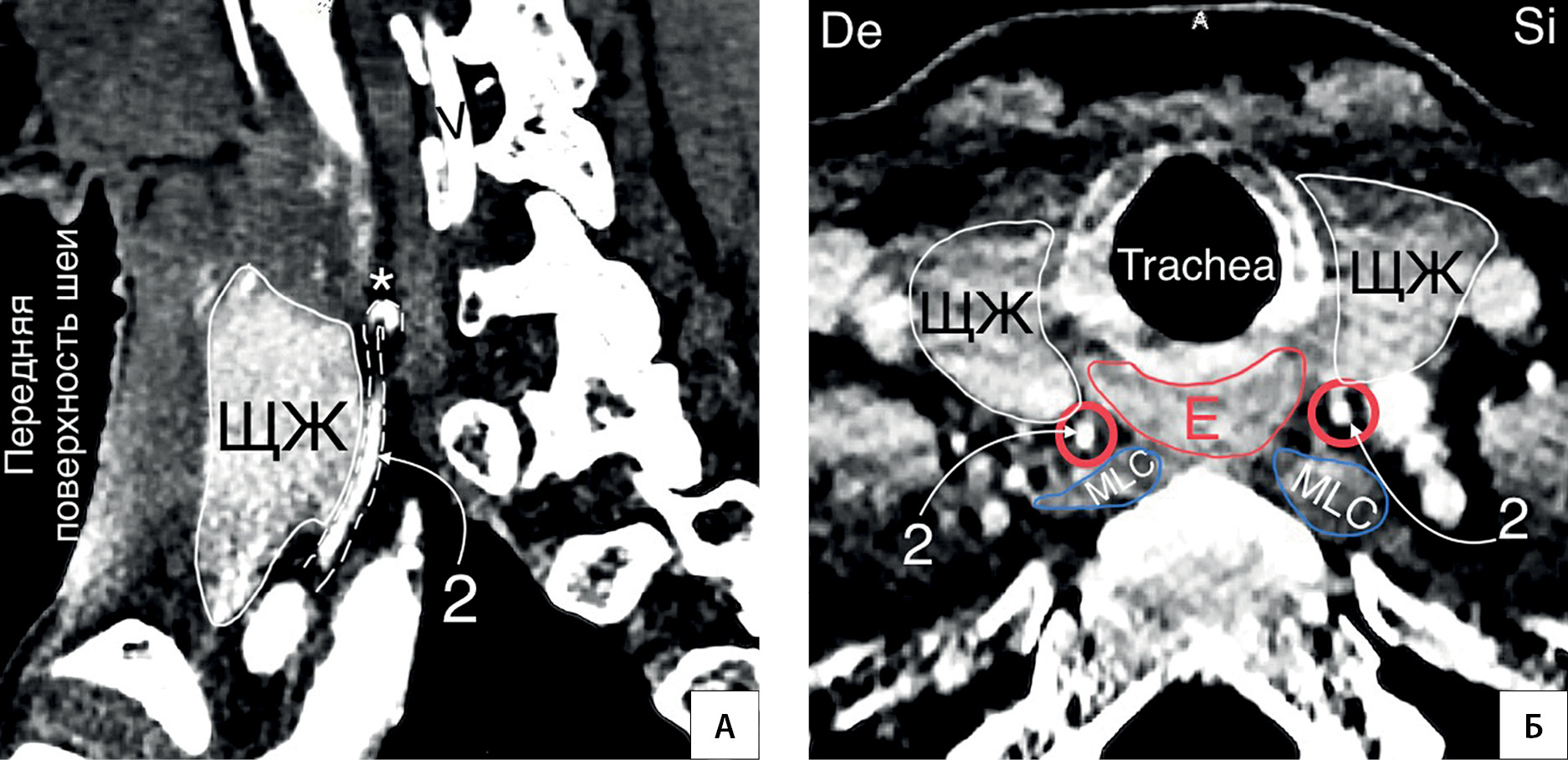
7. Рисунок 7. Нисходящая часть НЩА. А — КТ-ангиография (сагиттальный срез). Нисходящая ветвь НЩА направляется вниз вдоль задней поверхности доли ЩЖ; Б — КТ-ангиография (горизонтальный срез). Нисходящая часть НЩА располагается в пространстве между ЩЖ, пищеводом и длинной мышцей шеи. 2 — нисходящая часть НЩА; * — колено НЩА; MLC — musculus longus colli; E — esophagus; De — dextra; Si — sinistra. | |
| Тема | ||
| Тип | Исследовательские инструменты | |
Посмотреть
(311KB)
|
Метаданные ▾ | |
|
|
8. Рисунок 8. Топография ветвей НЩА. А, Б, В, Г — КТ-ангиография (горизонтальный срез). Ветви НЩА располагаются по задней поверхности ЩЖ. Часть ветвей направляются в промежуток между долей ЩЖ и трахеей. C — a. carotis communis; V — a. vertebralis; S — a. subclavia; E — esophagus; De — dextra; Si — sinistra. | |
| Тема | ||
| Тип | Исследовательские инструменты | |
Посмотреть
(608KB)
|
Метаданные ▾ | |
|
|
9. Рисунок 9. НЩА образует две ветви. А — КТ-ангиография (сагиттальный срез). Обе ветви направляются книзу (стрелки); Б — КТ-ангиография (сагиттальный срез). Восходящая и нисходящая ветви НЩА (стрелки); В — схематичный рисунок (вид спереди). Варианты расположения ветвей НЩА. | |
| Тема | ||
| Тип | Исследовательские инструменты | |
Посмотреть
(542KB)
|
Метаданные ▾ | |
|
|
10. Рисунок 10. Источник ВЩА. А — КТ-ангиография (сагиттальный срез). Источником ВЩА является бифуркация общей сонной артерии; Б — КТ-ангиография (горизонтальный срез). ВЩА берет начало от наружной сонной артерии. C — a. carotis communis; Ce — a. carotis externa; Ci — a. carotis interna. | |
| Тема | ||
| Тип | Исследовательские инструменты | |
Посмотреть
(313KB)
|
Метаданные ▾ | |
|
|
11. Рисунок 11. Облитерированная левая ВЩА. КТ-ангиография (фронтальный срез). Отмечается «обрыв» контраста. C — a. Carotis communis; Ci — a. carotis interna; De — dextra; Si — sinistra. | |
| Тема | ||
| Тип | Исследовательские инструменты | |
Посмотреть
(203KB)
|
Метаданные ▾ | |
|
|
12. Рисунок 12. Расположение железистых ветвей ВЩА. А — КТ-ангиография (горизонтальный срез на уровне верхних полюсов ЩЖ); Б — КТ- ангиография (горизонтальный срез несколько ниже рисунка А); В, Г — КТ-ангиография (фронтальный срез на уровне перешейка ЩЖ); Д — схематичный рисунок. Передне-перешеечная железистая ветвь является самой постоянной и крупной железистой ветвью ВЩА. Linea obliqua (TA) — косая линия щитовидного хряща — место крепления прещитовидных мышц; C — a. carotis communis; Ce — a. carotis externa, Ci — a. Carotis interna; V — a. vertebralis; De — dextra, Si — sinistra. | |
| Тема | ||
| Тип | Исследовательские инструменты | |
Посмотреть
(822KB)
|
Метаданные ▾ | |
|
|
13. Рисунок 13. Непарная щитовидная артерия (указана стрелкой). А, Б — КТ-ангиография (фронтальный срез). TBC — truncus brachiocephalicus; De — dextra; Si — sinistra. | |
| Тема | ||
| Тип | Исследовательские инструменты | |
Посмотреть
(297KB)
|
Метаданные ▾ | |
|
|
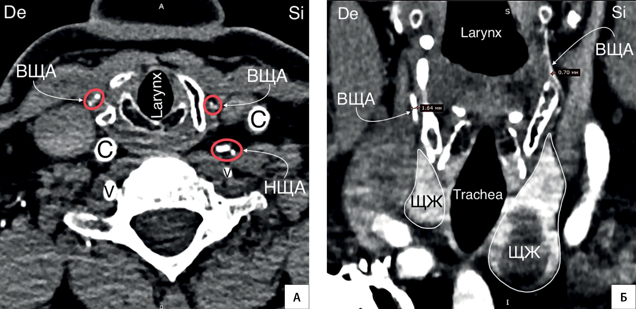
14. Рисунок 14. Агенезия правой НЩА. А — КТ-ангиография (горизонтальный срез). Правая НЩА не контрастируется. Правая ВЩА крупнее левой ВЩА. Б — КТ-ангиография (фронтальный срез). Правая ВЩА (1,6 мм) крупнее левой (0,7 мм). C — a. carotis communis; V — a. vertebralis; De — dextra; Si — sinistra. | |
| Тема | ||
| Тип | Исследовательские инструменты | |
Посмотреть
(310KB)
|
Метаданные ▾ | |
|
|
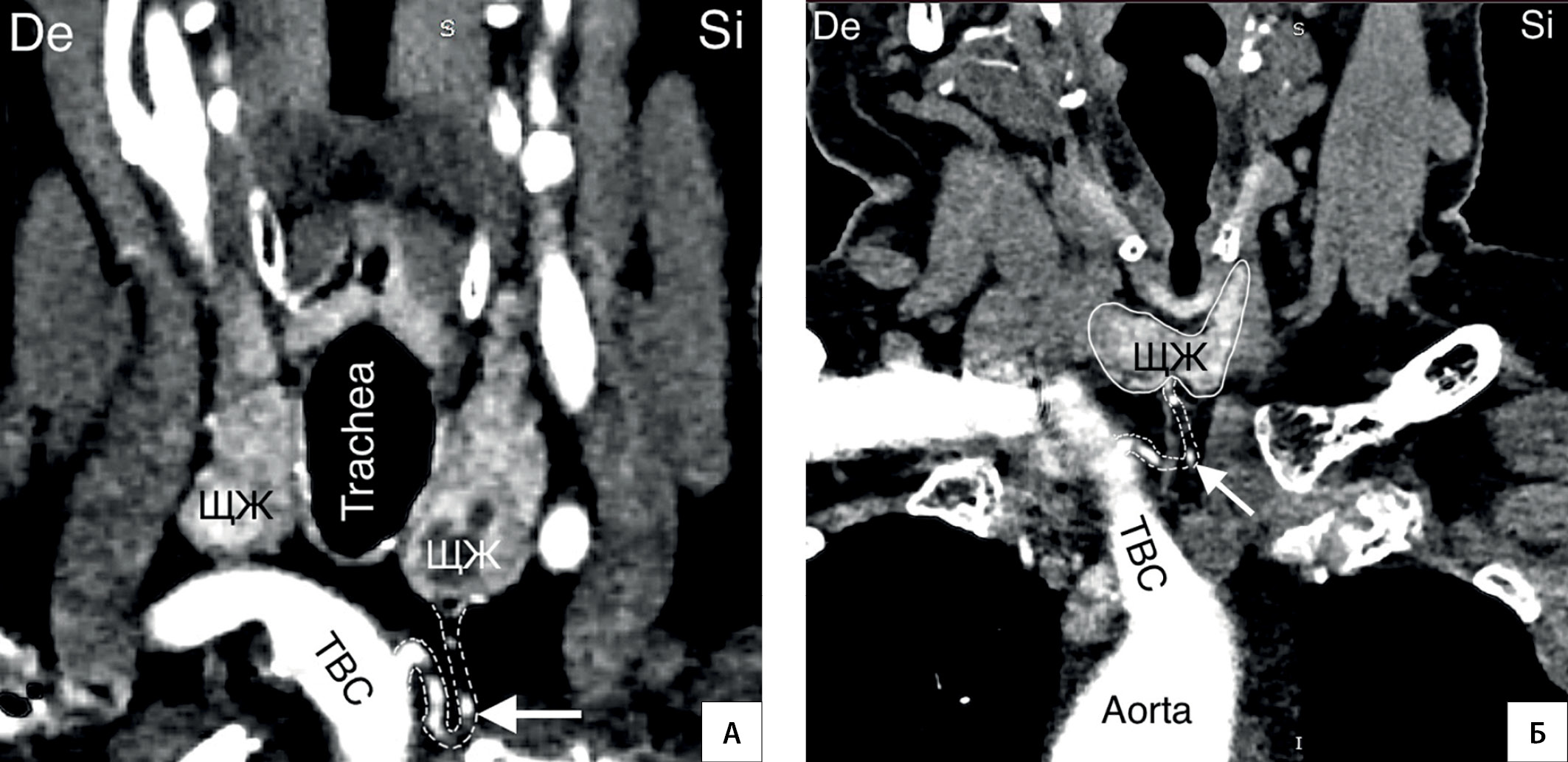
15. Рисунок 15. Нисходящая часть НЩА достигает дуги аорты. КТ-ангиография (фронтальный срез). S — a. subclavia. | |
| Тема | ||
| Тип | Исследовательские инструменты | |
Посмотреть
(197KB)
|
Метаданные ▾ | |
|
|
16. Рисунок 16. Топография ветвей ВЩА и НЩА. А — КТ-ангиография шеи (сагиттальный срез). Б — схематичный рисунок. 1, 2 — ОЩЖ; C — a. carotis communis; V — a. vertebralis; MSA — musculus scalenus anterior; MLC — musculus longus colli. | |
| Тема | ||
| Тип | Исследовательские инструменты | |
Посмотреть
(454KB)
|
Метаданные ▾ | |
|
|
17. Рисунок 17. Х-образный перекрест между НЩА и возвратным гортанным нервом. А — симуляционная модель (доля ЩЖ не мобилизована, вид сбоку). Б, В, Г — интраоперационные находки (доля ЩЖ мобилизована и оттянута кпереди). Здесь и на рис. 18, 19: ВОЩЖ — верхняя ОЩЖ; НОЩЖ — нижняя ОЩЖ. a, b — ветви НЩА; S — superior — верхний полюс ЩЖ; I — inferior — нижний полюс ЩЖ | |
| Тема | ||
| Тип | Исследовательские инструменты | |
Посмотреть
(1MB)
|
Метаданные ▾ | |
|
|
18. Рисунок 18. Крестообразный перекрест между НЩА и возвратным гортанным нервом. А — симуляционная модель (доля ЩЖ не мобилизована, вид сбоку). Б, В — интраоперационные находки (доля ЩЖ мобилизована и оттянута кпереди). | |
| Тема | ||
| Тип | Исследовательские инструменты | |
Посмотреть
(884KB)
|
Метаданные ▾ | |
|
|
19. Рисунок 19. Нервно-артериальный перекрест при восходящем направлении НЩА. А — симуляционная модель (доля ЩЖ не мобилизована, вид сбоку). Б — интраоперационные находки (доля ЩЖ мобилизована и оттянута кпереди). | |
| Тема | ||
| Тип | Исследовательские инструменты | |
Посмотреть
(372KB)
|
Метаданные ▾ | |
|
|
20. Рисунок 20. Схематичный рисунок эмбриогенеза ЩЖ, ОЩЖ и сосудистых структур человека (правая половина тела). А — зачатки ЩЖ, ОЩЖ, тимуса, сосудистой системы. Б — окончательное положение органов у взрослого человека. ВЩА повторяют движение медиального зачатка ЩЖ (прямая стрелка). НЩА повторяют движение латерального зачатка ЩЖ (дугообразная стрелка). I–VII — глоточные артериальные дуги. Longitudinal communication anastomosis — эмбриональный продольный сосудистый анастомоз шеи, из которого формируется щитошейный ствол и восходящая шейная артерия [39, 40]. Т — тимус; УБТ — ультимобранхиальные тельца; ТВС — truncus brachiocephalicus; C — a. carotis communis. | |
| Тема | ||
| Тип | Исследовательские инструменты | |
Посмотреть
(400KB)
|
Метаданные ▾ | |
Рецензия
Для цитирования:
Куприн А.А., Малюга В.Ю., Степанова Е.А. Артериальное кровоснабжение внутренних органов шеи: анатомия, топография, клиническое значение в эндокринной хирургии. Эндокринная хирургия. 2021;15(3):4-22. https://doi.org/10.14341/serg12720
For citation:
Kuprin A.A., Malyuga V.Y., Stepanova E.A. Arterial blood supply of the internal neck organs: anatomy, topography, clinical significance in endocrine surgery. Endocrine Surgery. 2021;15(3):4-22. (In Russ.) https://doi.org/10.14341/serg12720
Контент доступен под лицензией Creative Commons Attribution-NonCommercial-NoDerivatives 4.0 International License (CC BY-NC-ND 4.0).




































