Особенности подготовки и хирургических аспектов лечения пациентов с АКТГ-продуцирующими нейроэндокринными опухолями легких
https://doi.org/10.14341/serg12721
Аннотация
ОБОСНОВАНИЕ. В отделении торакальной хирургии ФГБУ «НМИЦ хирургии им. А.В. Вишневского» более 20 лет занимаются проблемой хирургического лечения пациентов с гормонально-активными нейроэндокринными опухолями (НЭО) легкого. В данной статье представлен опыт лечения пациентов с АКТГ-эктопированным синдромом за последние 15 лет.
ЦЕЛЬ. Изучить особенности подготовки, хирургических аспектов лечения и отсроченных результатов у пациентов с АКТГ-продуцирующими опухолями бронхолегочной локализации.
МАТЕРИАЛЫ И МЕТОДЫ. В исследование включены 55 пациентов, проходивших обследование и перенесших в период с 2005 по 2020 гг. хирургическое лечение АКТГ-продуцирующей НЭО бронхолегочной локализации. С целью систематизации подхода к хирургическому лечению и выбору вида операции разработан балльный анализ состояния тяжести пациента. Проанализированы демографические сведения о пациентах, данные анамнеза, результаты гормональных и инструментальных исследований на до- и послеоперационных этапах и отдаленные результаты лечения. Контрольный период наблюдения пациентов после хирургического вмешательства составил от 6 мес до 5 лет.
РЕЗУЛЬТАТЫ. Возраст больных варьировал от 18 до 72 лет (36±15). По данным мультиспиральной компьютерной томографии органов грудной клетки были выявлены образования в легких размерами от 5 до 25 мм. Пациентам, набравшим от 18 до 23 баллов, из-за тяжести состояния проводили резекцию легкого. При сумме баллов от 14 до 18 выполняли сегментэктомию с лимфодиссекцией. При сумме баллов меньше 14 проводили лобэктомию с лимфодиссекцией. При плановом гистологическом исследовании у всех больных подтверждена НЭО легкого различной степени дифференцировки. Результаты лечения пациентов прослежены в период от 6 до 60 мес, с медианой 19 мес [10; 24]. Регресс клинических проявлений гиперкортицизма через 1 год динамического наблюдения выявлен у 83% больных. Спустя 60 мес наблюдения 10 пациентов (71,4%) имели стойкий клинический эффект после проведенного хирургического лечения с полным регрессом симптомов гиперкортицизма.
ЗАКЛЮЧЕНИЕ. Анализ результатов оперативного лечения, согласно предложенным методологическим аспектам, с динамическим контролем через 6, 12 и 36 мес показал эффективность подобного хирургического вмешательства с результатами, сравнимыми с мировыми показателями ведущих клиник.
Об авторах
М. Ю. ПикуновРоссия
Пикунов Михаил Юрьевич, к.м.н., еLibrary SPIN: 2337-5066
115093, Москва, ул. Большая Серпуховская, д. 27
А. А. Печетов
Россия
Печетов Алексей Александрович, к.м.н., eLibrary SPIN: 8705-6005
О. О. Голоунина
Россия
Голоунина Ольга Олеговна, студентка 5-го курса, eLibrary SPIN: 7793-2123
С. А. Бурякина
Россия
Бурякина Светлана Алексеевна, к.м.н. , eLibrary SPIN: 5675-0651
Л. Я. Рожинская
Россия
Рожинская Людмила Яковлевна, д.м.н., профессор, eLibrary SPIN: 5691-7775
Ж. Е. Белая
Россия
Белая Жанна Евгеньевна, д.м.н., профессор, eLibrary SPIN: 4746-7173
Список литературы
1. Colao A., de Nigris F., Modica R., Napoli C. Clinical Epigenetics of Neuroendocrine Tumors: The Road Ahead. Front Endocrinol 2020; 11: 604341. doi: 10.3389/fendo.2020.604341.
2. Cieszyński Ł., Berendt-Obołończyk M., Szulc M., Sworczak K. Cushing’s syndrome due to ectopic ACTH secretion. Endokrynol Pol 2016; 67(4): 458–471. doi: 10.5603/EP.a2016.0055.
3. Lacroix A., Feelders RA., Stratakis CA., Nieman LK. Cushing’s syndrome. Lancet 2015; 386(9996): 913–927. doi: 10.1016/S0140-6736(14)61375-1.
4. Ilias I., Torpy DJ., Pacak K., Mullen N., Wesley RA., Nieman LK. Cushing’s syndrome due to ectopic corticotropin secretion: twenty years’ experience at the National Institutes of Health. J Clin Endocrinol Metab 2005; 90(8): 4955–4962. doi: 10.1210/jc.2004-2527.
5. Travis WD., Brambilla E., Nicholson AG., Yatabe Y., Austin JHM., Beasley MB., Chirieac LR., Dacic S., Duhig E., Flieder DB., et al. The 2015 World Health Organization Classification of Lung Tumors: Impact of Genetic, Clinical and Radiologic Advances Since the 2004 Classification. J Thorac Oncol 2015; 10(9): 1243–1260. doi: 10.1097/JTO.0000000000000630.
6. Mashaal H., Sexton R., Anjum F. Bronchial Carcinoid Tumors. StatPearls. Treasure Island (FL): StatPearls Publishing; 2020.
7. Пикунов М.Ю., Добрева Е.А., Кузнецов Н.С., Латкина Н.В. Нейроэндокринные АКТГ-продуцирующие опухоли легких. Онкология. Журнал им. П.А. Герцена. 2014;3(2):54-58.
8. Paleń-Tytko JE., Przybylik-Mazurek EM., Rzepka EJ., Pach DM., Sowa-Staszczak AS., Gilis-Januszewska A., Hubalewska-Dydejczyk AB. Ectopic ACTH syndrome of different origin-Diagnostic approach and clinical outcome. Experience of one Clinical Centre. PLoS One 2020; 15(11): e0242679. doi: 10.1371/journal.pone.0242679.
9. Голоунина О.О., Белая Ж.Е., Рожинская Л.Я., Марова Е.И., Пикунов М.Ю., Хандаева П.М., Арапова С.Д., Дзеранова Л.К., Кузнецов Н.С., Фадеев В.В., Мельниченко Г.А., Дедов И.И. Клинико-лабораторная характеристика и результаты лечения пациентов с АКТГ-продуцирующими нейроэндокринными опухолями различной локализации. Терапевтический архив. 2021; 93 (10): 1171–1178.
10. Слащук К.Ю., Румянцев П.О., Дегтярев М.В., Серженко С.С., Баранова О.Д., Трухин А.А., Сирота Я.И. Молекулярная визуализация нейроэндокринных опухолей при соматостатин-рецепторной сцинтиграфии (ОФЭКТ/КТ) c 99mTc‑тектротидом. Медицинская радиология и радиационная безопасность. 2020;65(2):44-9.
11. Zhou X., Hang J., Che J., Chen Z., Qiu W., Ren J., Yang X., Xiang J., Li H. Surgical treatment of ectopic adrenocorticotropic hormone syndrome with intra-thoracic tumor. J Thorac Dis 2016; 8(5): 888–93. Doi: 10.21037/jtd.2016.03.54.
12. Белая Ж.Е., Рожинская Л.Я., Мельниченко Г.А., Дедов И.И. Современный взгляд на скрининг и диагностику эндогенного гиперкортицизма. Проблемы эндокринологии. 2012; 58(4): 35–41.
13. Дедов И.И., Белая Ж.Е., Ситкин И.И., и др. Значение метода селективного забора крови из нижних каменистых синусов в дифференциальной диагностике АКТГ-зависимого эндогенного гиперкортицизма. Проблемы эндокринологии. 2009; 55(6): 35–40.
14. Meador CK., Liddle GW., Island DP., Nicholson WE., Lucas CP., Nuckton JG., Luetscher JA. Cause of Cushing’s syndrome in patients with tumors arising from “nonendocrine” tissue. J Clin Endocrinol Metab 1962; 22: 693–703. doi: 10.1210/jcem-22-7-693.
15. Белая Ж.Е., Рожинская Л.Я., Драгунова Н.В., Дзеранова Л.К., Марова Е.И., Арапова С.Д., Молитвословова Н.Н., Зенкова Т.С., Мельниченко Г.А., Дедов И.И. Метаболические осложнения эндогенного гиперкортицизма. Выбор пациентов для скрининга. Ожирение и Метаболизм. – 2013(1). – 29-34.
16. Пикунов М.Ю., Печетов А.А., Есаков Ю.С., Леднев А.Н. Хирургическое лечение пациентки с нейроэндокринной опухолью легкого, ассоциированной с АКТГ-эктопическим синдромом: клинический случай. Эндокринная хирургия. 2018;12(2):96-101. doi: 10.14341/serg9766.
17. Liu M., Hamele-Bena D., Ausiello J., Page-Wilson G. Ectopic ACTH Syndrome Emerging 5 Years after the Diagnosis of Neuroendocrine Tumor. Case Reports in Endocrinology 2019; 2019: 1–5. doi: 10.1155/2019/6583467.
18. Zainal A., Akinsola O., Rajamani K. Cushing Syndrome Secondary to Primary Neuroendocrine Lung Carcinoma. Case Rep Endocrinol 2019; 2019: 1989260. doi: 10.1155/2019/1989260.
19. Hayes AR., Grossman AB. The Ectopic Adrenocorticotropic Hormone Syndrome. Endocrinology and Metabolism Clinics of North America 2018; 47(2): 409–425. doi: 10.1016/j.ecl.2018.01.005.
Дополнительные файлы
|
|
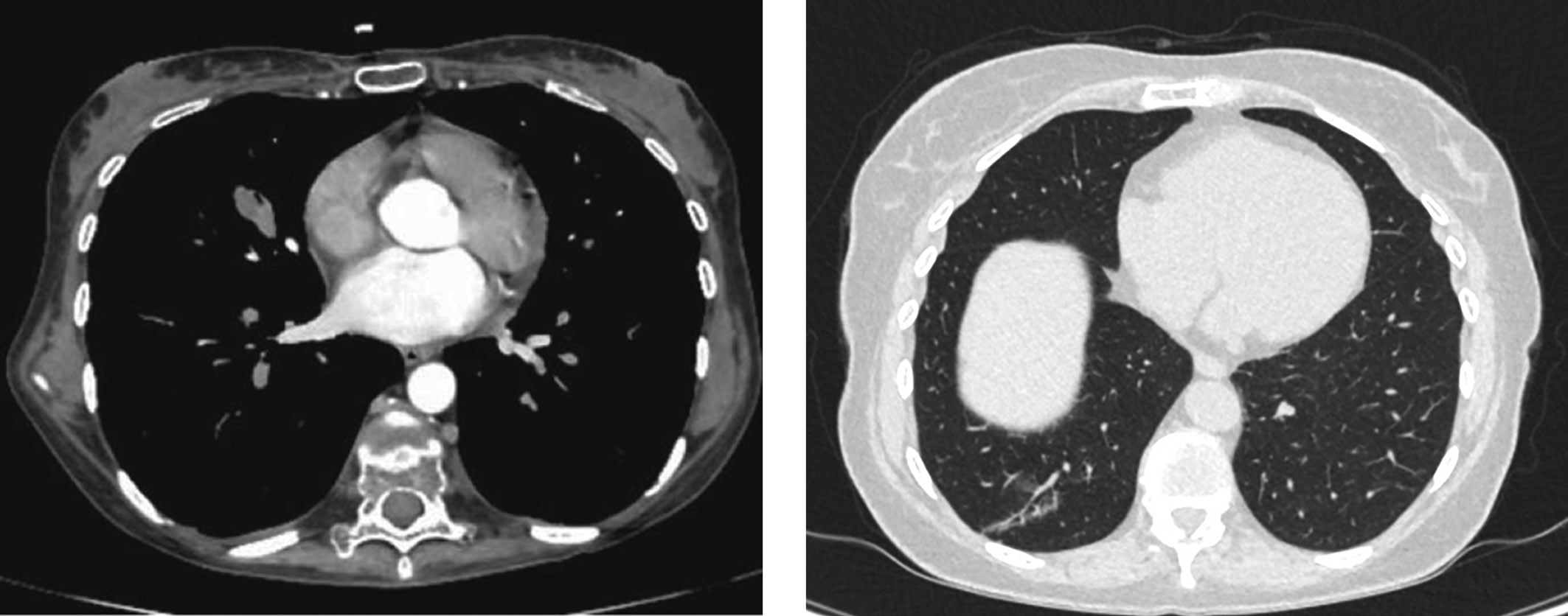
1. Рисунок 1. МСКТ органов грудной клетки пациентки К. с контрастным усилением. | |
| Тема | ||
| Тип | Исследовательские инструменты | |
Посмотреть
(193KB)
|
Метаданные ▾ | |
|
|
2. Рисунок 2. Уровень кортизола крови и АКТГ в динамике. | |
| Тема | ||
| Тип | Исследовательские инструменты | |
Посмотреть
(160KB)
|
Метаданные ▾ | |
|
|
3. Рисунок 3. Внешний вид пациентки до лечения и спустя 6 месяцев после операции. | |
| Тема | ||
| Тип | Исследовательские инструменты | |
Посмотреть
(465KB)
|
Метаданные ▾ | |
|
|
4. Рисунок 4. Внешний вид пациента до лечения и спустя 12 месяцев после операции | |
| Тема | ||
| Тип | Исследовательские инструменты | |
Посмотреть
(407KB)
|
Метаданные ▾ | |
Рецензия
Для цитирования:
Пикунов М.Ю., Печетов А.А., Голоунина О.О., Бурякина С.А., Рожинская Л.Я., Белая Ж.Е. Особенности подготовки и хирургических аспектов лечения пациентов с АКТГ-продуцирующими нейроэндокринными опухолями легких. Эндокринная хирургия. 2021;15(2):4-12. https://doi.org/10.14341/serg12721
For citation:
Pikunov M.Yu., Pechetov A.A., Golounina O.O., Buryakina S.A., Rozhinskaya L.Ya., Belaya Zh.E. Features of preparation and surgical aspects of treatment of patients with ACTH-producing neuroendocrine lung tumors. Endocrine Surgery. 2021;15(2):4-12. (In Russ.) https://doi.org/10.14341/serg12721
Контент доступен под лицензией Creative Commons Attribution-NonCommercial-NoDerivatives 4.0 International License (CC BY-NC-ND 4.0).




































