Атипичное и типичное течение нейрофиброматоза 1 типа в сочетании с феохромоцитомой
https://doi.org/10.14341/serg12730
Аннотация
Нейрофиброматоз 1-го типа — наследственное заболевание, имеющее мультисистемный характер поражения организма, широкую вариабельность клинических проявлений, вплоть до практически полного отсутствия типичных симптомов. Фенотипические проявления, их выраженность и тяжесть могут быть разнообразны даже среди членов одной семьи, имеющих идентичные мутации. Одним из возможных клинических проявлений данной патологии является феохромоцитома, развитие которой ассоциировано с высоким риском развития жизнеугрожающих состояний. Своевременная диагностика заболевания, выбор тактики лечения пациента, генетическое обследование кровных родственников позволяют в значительной степени улучшить выживаемость и прогноз болезни. В данной статье на представленных клинических примерах пациентов с типичным и атипичным течением нейрофиброматоза 1-го типа в сочетании с феохромоцитомой изложены вопросы ведения пациентов с данной патологией.
Об авторах
М. Ю. ЮкинаРоссия
Юкина Марина Юрьевна, кандидат медицинских наук
117036, Москва, ул. Дм. Ульянова, д. 11
eLibrary SPIN: 4963-8340
Е. С. Авсиевич
Россия
Авсиевич Екатерина Сергеевна, ординатор
Москва
А. С. Пушкарева
Россия
Пушкарева Анастасия Станиславовна, ординатор
Москва
eLibrary SPIN 1996-5308
Н. Ф. Нуралиева
Россия
Нуралиева Нурана Фейзуллаевна
Москва
eLibrary SPIN-код: 7373-2602
Е. В. Бондаренко
Россия
Бондаренко Екатерина Владимировна, кандидат медицинских наук
Москва
eLibrary SPIN: 3564-7654
Н. М. Платонова
Россия
Платонова Надежда Михайловна, доктор медицинских наук
Москва
eLibrary SPIN: 4053-3033
Д. Г. Бельцевич
Россия
Бельцевич Дмитрий Германович, доктор медицинских наук, профессор
Москва
eLibrary SPIN: 4475-6327
Е. А. Трошина
Трошина Екатерина Анатольевна, доктор медицинских наук, профессор, член-корреспондент РАН
Москва
eLibrary SPIN: 8821-8990
Список литературы
1. Seo Y, Jeong Y, Kim DY, et al. A novel neurofibromatosis type 1 (NF1) mutation in a patient with NF1 and pheochromocytoma. Korean J Intern Med. 2018;33(1):214-217. doi: https://doi.org/10.3904/kjim.2015.256
2. Пахомова Д.К., Дундукова Р.С., Кужина Д.Т., и др. Распространенность нейрофиброматоза 1 типа и значение мероприятий для его раннего выявления // International Scientific And Practical Conference World Science. — 2017. — Т. 5. — №21. — С. 22-24.
3. Мустафин Р.Н., Бермишева М.А., Валиев Р.Р. и др. Нейрофиброматоз 1 типа: результаты собственного исследования (Республика Башкортостан) // Успехи молекулярной онкологии. — 2021. — Т. 8. — №1. — С. 17-25. doi: https://doi.org/10.17650/2313-805X-2021-8-1-17-25
4. Максимова Ю.В., Дульцева Д.М., Гарный В.Е., и др. Нейрофиброматоз 1-го типа в Западной Сибири, распространенность, особенности клинических проявлений // Фарматека. — 2021. — Т. 28. — №8. — С. 94-98. doi: https://doi.org/10.18565/pharmateca.2021.8.94-98
5. Скварская Е.А. Нейрофиброматоз: этиология, патогенез, лечение // Международный журнал педиатрии, акушерства и гинекологии. — 2014. — Т. 5. — №2. — С.56-63.
6. Gruber LM, Erickson D, Babovic-Vuksanovic D, et al. Pheochromocytoma and paraganglioma in patients with neurofibromatosis type 1. Clin Endocrinol (Oxf ). 2017;86(1):141-149. doi: https://doi.org/10.1111/cen.13163
7. Карандашева К.О., Пащенко М.С., Демина Н.А., и др. Соматический мозаицизм при нейрофиброматозе первого типа // Медицинская генетика. — 2019. — Т. 18. — №5. — С. 28-36. doi: https://doi.org/10.25557/2073-7998.2019.05.28-36
8. Gutmann DH, Ferner RE, Listernick RH, et al. Neurofibromatosis type 1. Nat Rev Dis Prim. 2017;3(1):17004. doi: https://doi.org/10.1038/nrdp.2017.4
9. Pasmant E, Sabbagh A, Spurlock G, et al. NF1 microdeletions in neurofibromatosis type 1: from genotype to phenotype. Hum Mutat. 2010;31(6):E1506-E1518. doi: https://doi.org/10.1002/humu.21271
10. Upadhyaya M, Huson SM, Davies M, et al. An absence of cutaneous neurofibromas associated with a 3-bp inframe deletion in exon 17 of the NF1 gene (c.2970-2972 delAAT): evidence of a clinically significant NF1 genotype-phenotype correlation. Am J Hum Genet. 2007;80(1):140-151. doi: https://doi.org/10.1086/510781
11. Rojnueangnit K, Xie J, Gomes A, et al. High Incidence of Noonan Syndrome Features Including Short Stature and Pulmonic Stenosis in Patients carrying NF1 Missense Mutations Affecting p.Arg1809: Genotype-Phenotype Correlation. Hum Mutat. 2015;36(11):1052-1063. doi: https://doi.org/10.1002/humu.22832
12. Ruggieri M, Polizzi A, Spalice A, et al. The natural history of spinal neurofibromatosis: a critical review of clinical and genetic features. Clin Genet. 2015;87(5):401-410. doi: https://doi.org/10.1111/cge.12498
13. Ly KI, Blakeley JO. The Diagnosis and Management of Neurofibromatosis Type 1. Med Clin North Am. 2019;103(6):1035-1054. doi: https://doi.org/10.1016/j.mcna.2019.07.004
14. Petr EJ, Else T. Pheochromocytoma and Paraganglioma in Neurofibromatosis type 1: frequent surgeries and cardiovascular crises indicate the need for screening. Clin Diabetes Endocrinol. 2018;4(1):15. doi: https://doi.org/10.1186/s40842-018-0065-4
15. Shinall MC, Solórzano CC. Pheochromocytoma in Neurofibromatosis Type 1: When Should it Be Suspected? Endocr Pract. 2014;20(8):792-796. doi: https://doi.org/10.4158/EP13417.OR
16. Al-Sharefi A, Perros P, James RA. Phaeochromocytoma/ paraganglioma and adverse clinical outcomes in patients with neurofibromatosis-1 Endocr Connect. 2018;7(10):R254-R259. doi: https://doi.org/10.1530/EC-18-0208
17. Мельниченко Г.А., Трошина Е.А., Бельцевич Д.Г., и др. Клинические рекомендации Российской ассоциации эндокринологов по диагностике и лечению феохромоцитомы/параганглиомы // Эндокринная хирургия. — 2015. — Т. 9. — №3. — С.15-33. doi: https://doi.org/10.14341/serg2015315-33
18. Sbardella E, Grossman AB. Pheochromocytoma: An approach to diagnosis. Best Pract Res Clin Endocrinol Metab. 2020;34(2):101346. doi: https://doi.org/10.1016/j.beem.2019.101346
19. Бельцевич Д.Г., Трошина Е.А., Юкина М.Ю. Феохромоцитома // Проблемы эндокринологии. — 2010. — Т. 56. — №1. — С. 63-71. doi: https://doi.org/10.14341/probl201056163-71
20. Реброва Д.В., Ворохобина Н.В., Имянитов Е.Н. Клиническолабораторные особенности наследственных феохромоцитом и параганглиом // Проблемы эндокринологии. — 2022. — Т. 68. — №1. — С. 8-17. doi: https://doi.org/10.14341/probl12834
21. Ollero García-Agulló D, Iriarte Beroiz A, Rojo Alvaro J, et al. Familial pheochromocytoma associated to neurofibromatosis type 1. Endocrinol y Nutr. 2013;60(7):421-422. doi: https://doi.org/10.1016/j.endoen.2012.08.015
22. Képénékian L, Mognetti T, Lifante J-C, et al. Interest of systematic screening of pheochromocytoma in patients with neurofibromatosis type 1. Eur J Endocrinol. 2016;175(4):335-344. doi: https://doi.org/10.1530/EJE-16-0233
23. Stewart DR, Korf BR, Nathanson KL, et al. Care of adults with neurofibromatosis type 1: a clinical practice resource of the American College of Medical Genetics and Genomics (ACMG). Genet Med. 2018;20(7):671-682. doi: https://doi.org/10.1038/gim.2018.28
24. Miller DT, Freedenberg D, Schorry E, et al. Health supervision for children with neurofibromatosis type 1. Pediatrics. 2019;143(5):421-422. doi: https://doi.org/10.1542/peds.2019-0660
25. Senthilkumar VA, Tripathy K. Lisch Nodules. 2022. In: StatPearls. Treasure Island: StatPearls Publishing; 2021. PMID: 32491492.
26. Boley S, Sloan JL, Pemov A, Stewart DR. A quantitative assessment of the burden and distribution of Lisch nodules in adults with neurofibromatosis type 1. Invest Ophthalmol Vis Sci. 2009;50(11):5035-5043. doi: https://doi.org/10.1167/iovs.09-3650
27. Lohkamp L-N, Parkin P, Puran A, et al. Optic pathway glioma in children with neurofibromatosis type 1: a multidisciplinary entity, posing dilemmas in diagnosis and management multidisciplinary management of optic pathway glioma in children with neurofibromatosis type 1. Front Surg. 2022;9(5):421-422. doi: https://doi.org/10.3389/fsurg.2022.886697
28. de Blank PMK, Fisher MJ, Liu GT, et al. Optic Pathway Gliomas in Neurofibromatosis Type 1: An Update: Surveillance, Treatment Indications, and Biomarkers of Vision. J Neuro-Ophthalmology. 2017;37(1):S23-S32. doi: https://doi.org/10.1097/WNO.0000000000000550
29. Cai Y, Fan Z, Liu Q, et al. Two novel mutations of the NF1 gene in Chinese Han families with type 1 neurofibromatosis. J Dermatol Sci. 2005;39(2):125-127. doi: https://doi.org/10.1016/j.jdermsci.2005.05.003
30. Cimino PJ, Gutmann DH. Neurofibromatosis type 1. Handb Clin Neurol. 2018;148:799-811. doi: https://doi.org/10.1016/B978-0-444-64076-5.00051-X
Дополнительные файлы
|
|
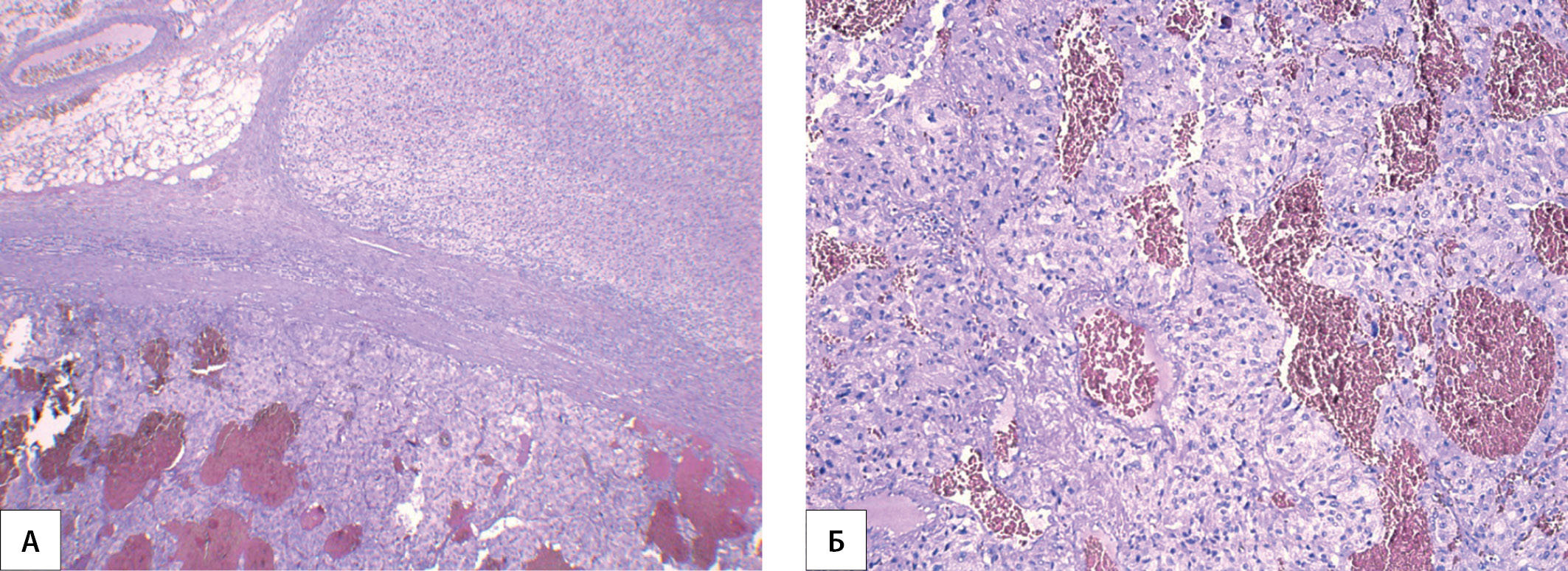
1. Рисунок 1. Гистологическое исследование операционного материала правого надпочечника (гематоксилин-эозин) пациента К. (А) — опухоль правого надпочечника, за пределами которой определяется ткань надпочечника с сохранной слоистой структурой (х40). (Б) — опухоль альвеолярного строения из хромаффинных клеток с кровоизлияниями различной давности (х200). | |
| Тема | ||
| Тип | Исследовательские инструменты | |
Посмотреть
(679KB)
|
Метаданные ▾ | |
|
|
2. Рисунок 2. Мутация NF1: NM_000267: c.107C>G:p.T36 пациента К. | |
| Тема | ||
| Тип | Исследовательские инструменты | |
Посмотреть
(341KB)
|
Метаданные ▾ | |
|
|
3. Рисунок 3. Множественные нейрофибромы области груди у пациентки С. | |
| Тема | ||
| Тип | Материалы исследования | |
Посмотреть
(156KB)
|
Метаданные ▾ | |
|
|
4. Рисунок 4. Нейрофибромы и пятна цвета «кофе с молоком» на спине у пациентки С. | |
| Тема | ||
| Тип | Материалы исследования | |
Посмотреть
(206KB)
|
Метаданные ▾ | |
|
|
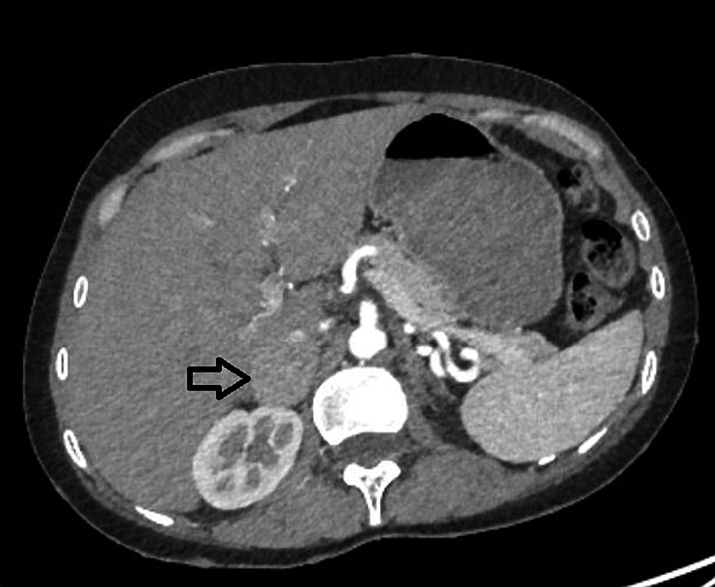
5. Рисунок 5. Мультиспиральная компьютерная томография забрюшинного пространства пациентки С. | |
| Тема | ||
| Тип | Исследовательские инструменты | |
Посмотреть
(129KB)
|
Метаданные ▾ | |
|
|
6. Рисунок 6. Макроскопическое исследование ткани правого надпочечника пациентки С.: А — надпочечник с наличием объемного образования; Б — вид на разрезе опухоли красно-коричневого цвета, по периферии которой определяется надпочечник с сохранной слоистой структурой. | |
| Тема | ||
| Тип | Исследовательские инструменты | |
Посмотреть
(228KB)
|
Метаданные ▾ | |
|
|
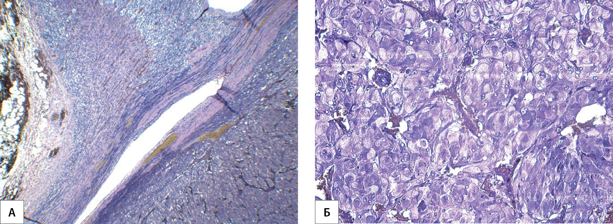
7. Рисунок 7. Гистологическое исследование операционного материала правого надпочечника (гематоксилин-эозин) пациентки С. А — опухоль правого надпочечника, за пределами которой определяется ткань надпочечника с сохранной слоистой структурой (х40); Б — опухоль альвеолярного строения из хромаффинных клеток с кровоизлияниями (х100). | |
| Тема | ||
| Тип | Исследовательские инструменты | |
Посмотреть
(652KB)
|
Метаданные ▾ | |
Рецензия
Для цитирования:
Юкина М.Ю., Авсиевич Е.С., Пушкарева А.С., Нуралиева Н.Ф., Бондаренко Е.В., Платонова Н.М., Бельцевич Д.Г., Трошина Е.А. Атипичное и типичное течение нейрофиброматоза 1 типа в сочетании с феохромоцитомой. Эндокринная хирургия. 2021;15(3):30-40. https://doi.org/10.14341/serg12730
For citation:
Yukina M.Yu., Avsievich E.S., Pushkareva A.S., Nuralieva N.F., Bondarenko E.V., Platonova N.M., Beltsevich D.G., Troshina E.A. Atypical and typical course of neurofibromatosis type 1 in combination with pheochromocytoma. Endocrine Surgery. 2021;15(3):30-40. (In Russ.) https://doi.org/10.14341/serg12730
Контент доступен под лицензией Creative Commons Attribution-NonCommercial-NoDerivatives 4.0 International License (CC BY-NC-ND 4.0).




































