Недиагностированная фолликулярная карцинома щитовидной железы у пациента с первично-множественным метахронным раком с отсроченным метастазом в левый надпочечник и бессимптомным нормокальциемическим гиперпаратиреозом. Ошибки и трудности диагностики и непосредственные результаты лечения
https://doi.org/10.14341/serg12787
Аннотация
Представлено клиническое наблюдение этапного лечения пациента с первично-множественным метахронным раком левой почки (2004 г.) с метастазом в левый надпочечник (2021 г.), метастазом фолликулярного рака щитовидной железы в лимфатический узел боковой клетчатки шеи справа (2019 г.) (первичная опухоль в щитовидной железе не диагностирована), центральным раком правого легкого (2020 г.), первичным бессимптомным гиперпаратиреозом с наличием последовательно диагностированных аденом околощитовидных желез (одна из которых имела интратиреоидное расположение, вторая — типичное).
На данный момент диагноз пациента можно сформулировать так: первично-множественный метахронный рак: 1) рак левой почки, TxNxM1, IV стадия. После хирургического лечения — нефрэктомия слева в 2004 г. Прогрессирование 2021 г. Метастаз в левый надпочечник. После двусторонней адреналэктомии в 2021 г. стабилизация; 2) фолликулярный рак щитовидной железы, TxN1M0, II стадия; после хирургического лечения в 2013 г. гемитиреоидэктомия справа, в 2016 г. гемитиреоидэктомия слева. Прогрессирование в 2019 г. Метастаз в лимфатический узел боковой клетчатки шеи справа. После комбинированного лечения: 2019 г. — удаление метастаза боковой клетчатки шеи справа, 1 сеанса радиойодаблации; 3) центральный рак правого легкого, T2bN0Mx, IIA стадия. После комбинированного лечения: пульмонэктомия справа в 2020 г., 4 цикла полихимиотерапии (пеметрексед + карбоплатин); 4) первичный бессимптомный гиперпаратиреоз, аденомы околощитовидной железы; 5) послеоперационный гипотиреоз, медикаментозная компенсация; первичная надпочечниковая недостаточность, медикаментозная компенсация.
Данное клиническое наблюдение является примером сочетания ненаследственных эндокринных неоплазий с опухолями других локализаций, демонстрирует ошибки и трудности дифференциальной морфологической и лучевой диагностики как первичных эндокринных опухолей, так и метастатического поражения надпочечников в контексте выбора оптимальной лечебной тактики.
Об авторах
С. В. СергийкоРоссия
Сергийко Сергей Владимирович, д.м.н., доцент
Д. В. Коротовский
Россия
Коротовский Денис Владимирович
454092, г. Челябинск, ул. Воровского, д. 16, корпус 3
С. А. Лукьянов
Россия
Лукьянов Сергей Анатольевич, к.м.н., доцент
О. Г. Батурин
Батурин Олег Григорьевич
А. С. Буторин
Буторин Александр Сергеевич, к.м.н.
Т. Е. Ильина
Ильина Татьяна Евгеньевна
Список литературы
1. Полоз Т.Л., Шевченко С.П. Проблемы цитологической диагностики фолликулярных опухолей щитовидной железы // Сибирский онкологический журнал. — 2011. — №6. — С. 62-65.
2. Кондратьева, Т.Т. Тонкоигольная аспирационная биопсия в диагностике рака щитовидной железы // Российский онкологический журнал. — 2019. — Т. 24. — №1-2. — С. 56-57. doi: https://doi.org/10.17816/onco42980
3. Гаврилюк Д.В., Зуков Р.А. Сложности диагностики аденомы околощитовидной железы на фоне комбинированного лечения запущенного рака щитовидной железы // Российский онкологический журнал. — 2021. — Т. 26. — №6. — С. 199-206. doi: https://doi.org/10.17816/onco111587
4. Генераленко А.Я., Волынкина А.П., Купцова Г.Н. Клинический случай: «Сочетание рака щитовидной железы и аденомы паращитовидной железы». Мультидисциплинарный альянс для успешного решения современных проблем терапии: Сборник научно-практической конференции по результатам научно-исследовательской работы, выполненной в рамках НМОК «Восточно-Европейский». — Воронеж: ФГБОУ ВО ВГМУ им. Н.Н. Бурденко; 2022. — С. 24-27.
5. Киселева Т.А., Валеева Ф.В., Девицкая Е.В., Абакумова А.А. Особенности диагностики первичного гиперпаратиреоза // Практическая медицина. — 2018. — Т. 16. — №7-2. — С. 136-138. doi: https://doi.org/10.32000/2072-1757-2018-16-8-136-138
6. Бельцевич Д.Г., Воскобойников В.В., Клычева Г.М., и др. Роль прицельной тонкоигольной аспирационной биопсии со смывом на паратгормон в топической диагностике интратиреоидных парааденом при первичном гиперпаратиреозе // Остеопороз и остеопатии. — 2017. — Т. 20. — №3. — С. 108-113. doi: https://doi.org/10.14341/osteo20173108-113
7. Маньковский В.А. Клиническое наблюдение аденомы эктопированной паращитовидной железы. В кн.: под ред. В.А. Маньковского, В.А. Белобородова, Н.Н. Новых. Актуальные вопросы современной хирургии: сборник научно-практических работ, посвященный 70-летию заведующего кафедрой общей хирургии им. проф. М.И. Гульмана КрасГМУ им. проф. В.Ф. ВойноЯсенецкого, заслуженного деятеля науки РФ, заслуженного врача России, академика РАЕН, профессора, доктора медицинских наук Юрия Семеновича Винника, Красноярск, 14–15 марта 2018 года. — Красноярск: Версо; 2018. С. 318-323.
8. Ромащенко П.Н., Майстренко Н.А., Криволапов Д.С., Вшивцев Д.О. Радионавигационные и фотодинамические методики интраоперационной визуализации околощитовидных желез (обзор литературы) // Вестник хирургии имени И.И. Грекова. — 2020. — Т. 179. — №3. — С. 113-119. doi: https://doi.org/10.24884/0042-4625-2020-179-3-113-119
9. Бурякина С.А., Тарбаева Н.В., Волеводз Н.Н., и др. Инциденталома надпочечника. Часть 2. Современные представления о компьютерно-томографической семиотике инциденталом надпочечника: алгоритм дифференциальной диагностики // Терапевтический архив. — 2021. — Т. 93. — №11. — С. 1381-1388. doi: https://doi.org/10.26442/00403660.2021.11.201169
10. Стяжкина С.Н., Башмаков А.Б., Идиатуллин Р.М., и др. Проблемы дифференциальной диагностики фолликулярной аденомы и фолликулярного рака щитовидной железы (клинический случай) // Современные проблемы науки и образования. — 2018. — №4. — С. 144.
11. Лукьянов С.А., Сергийко С.В., Титов С.Е., Веряскина Ю.А. Перспективы использования молекулярно-генетических панелей в дооперационной дифференциальной диагностике узловых образований щитовидной железы // Новости хирургии. — 2020. — Т. 28. — №3. — С. 284-289. doi: https://doi.org/10.18484/2305-0047.2020.3.284.
12. Латыпов В.Р., Попов О.С., Латыпова В.Н., Грищенко М.Ю. Метастатические опухоли надпочечников. Клинические проявления и результаты хирургического лечения // Онкоурология. — 2018. — Т. 14. — №2. — С. 79-87. doi: https://doi.org/10.17650/1726-9776-2018-14-2-79-87
13. Бурякина С.А., Тарбаева Н.В., Волеводз Н.Н., и др. Инциденталома надпочечника. Часть 1. Компьютерная томография инциденталом надпочечника: возможности и сложности дифференциальной диагностики // Терапевтический архив. — 2020. — Т. 92. — №12. — С. 185-194. doi: https://doi.org/10.26442/00403660.2020.12.200451
14. Мурадян А.Г., Костин А.А., Воробьев Н.В., Толкачев А.О. Метастатические опухоли надпочечника. Эпидемиология, этиология, диагностика // Онкология. Журнал им.П.А.Герцена. — 2020. — Т. 9. — №3. — С. 53-60. doi: https://doi.org/10.17116/onkolog2020903153
15. Бельцевич Д.Г., Мельниченко Г.А., Кузнецов Н.С., и др. Клинические рекомендации Российской ассоциации эндокринологов по дифференциальной диагностике инциденталом надпочечников // Эндокринная хирургия. — 2016. — Т. 10. — №4. — С. 31-42. doi: https://doi.org/10.14341/serg2016431-42
Дополнительные файлы
|
|
1. Рисунок 1. Данные ОФЭКТ околощитовидных желез с технетрилом 99mTc. На снимках виден очаг гиперфиксации РФП в проекции левой доли щитовидной железы в паратиреоидную фазу. | |
| Тема | ОФЭКТ | |
| Тип | Результаты исследования | |
Посмотреть
(233KB)
|
Метаданные ▾ | |
|
|
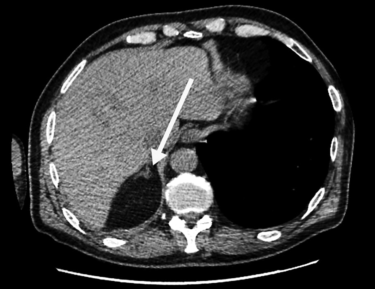
2. Рисунок 2. Контрольная МСКТ органов брюшной полости от 22.07.2022. Состояние после левосторонней адреналэктомии. Визуализируется правый надпочечник с объемным образованием. | |
| Тема | МСКТ | |
| Тип | Результаты исследования | |
Посмотреть
(188KB)
|
Метаданные ▾ | |
Рецензия
Для цитирования:
Сергийко С.В., Коротовский Д.В., Лукьянов С.А., Батурин О.Г., Буторин А.С., Ильина Т.Е. Недиагностированная фолликулярная карцинома щитовидной железы у пациента с первично-множественным метахронным раком с отсроченным метастазом в левый надпочечник и бессимптомным нормокальциемическим гиперпаратиреозом. Ошибки и трудности диагностики и непосредственные результаты лечения. Эндокринная хирургия. 2023;17(2):29-36. https://doi.org/10.14341/serg12787
For citation:
Sergiiko S.V., Korotovskii D.V., Lukyanov S.A., Baturin O.G., Butorin A.S., Ilyina T.E. Difficulties and missteps of diagnosis and surgical treatment of patient with multifocal metachronic carcinoma associated with primary hyperparathyroidism. Endocrine Surgery. 2023;17(2):29-36. (In Russ.) https://doi.org/10.14341/serg12787
Контент доступен под лицензией Creative Commons Attribution-NonCommercial-NoDerivatives 4.0 International License (CC BY-NC-ND 4.0).




































