Торакоскопическая паратиреоидэктомия ретростернальной аденомы паращитовидной железы
https://doi.org/10.14341/serg12814
Аннотация
Первичный гиперпаратиреоз — распространенная эндокринная патология, самая частая причина которой — аденома околощитовидной железы. У ряда пациентов аденомы анатомически имеют глубокое, медиастинальное расположение, что вызывает особенные трудности в диагностике и накладываeт серьезные ограничения к выполнению вмешательства традиционным трансцервикальным доступом. Тем не менее совокупность современных инструментов топической диагностики и малоинвазивных хирургических методов позволяет снизить травматичность оперативного вмешательства и выполнить радикальное хирургическое лечение у пациентов этой группы. Представляем клинический случай хирургического лечения пациентки 65 лет с первичным гиперпаратиреозом, обусловленным ретростернальной аденомой паращитовидной железы, расположенной в «аортопульмональном окне». Предоперационный диагноз подтвержден данными компьютерной томографии грудной клетки и сцинтиграфии с технецием-99mTc. С учетом нетипичного топографо-анатомического расположения опухоли принято решение о выполнении паратиреоидэктомии торакоскопическим способом. Послеоперационный период протекал гладко, уровень паратгормона после оперативного вмешательства находился в пределах референсных значений. Пациентка выписана из стационара на третьи сутки после операции. При дальнейшем наблюдении рецидива заболевания не отмечено.
Ключевые слова
Об авторах
А. И. ХрипунРоссия
Хрипун Алексей Иванович, д.м.н., профессор
г. Москва
Конфликт интересов:
Авторы декларируют отсутствие явных и потенциальных конфликтов интересов, связанных с содержанием настоящей статьи.
Г. Б. Махуова
Россия
Махуова Гульмира Балтабековна, к.м.н.
г. Москва
Конфликт интересов:
Авторы декларируют отсутствие явных и потенциальных конфликтов интересов, связанных с содержанием настоящей статьи.
Т. Ф. Авдеева
Россия
Авдеева Татьяна Федоровна, к.м.н.
г. Москва
Конфликт интересов:
Авторы декларируют отсутствие явных и потенциальных конфликтов интересов, связанных с содержанием настоящей статьи.
М. П. Юсуфов
Россия
Юсуфов Магомед Пайзулаевич
г. Москва
Конфликт интересов:
Авторы декларируют отсутствие явных и потенциальных конфликтов интересов, связанных с содержанием настоящей статьи.
М. Ю. Орлов
Россия
Орлов Максим Юрьевич
115516, Москва, ул. Бакинская, д. 26
Конфликт интересов:
Авторы декларируют отсутствие явных и потенциальных конфликтов интересов, связанных с содержанием настоящей статьи.
Е. С. Брагина
Россия
Брагина Екатерина Сергеевна
г. Москва
Конфликт интересов:
Авторы декларируют отсутствие явных и потенциальных конфликтов интересов, связанных с содержанием настоящей статьи.
Список литературы
1. Мокрышева Н.Г., Рожинская Л.Я., Перетокина Е.В., Ростомян Л.Г., Мирная С.С., Пронин В.С., Маркина Н.В., Шебешева Е.Н., Анциферов М.Б., Дедов И.И. Анализ основных эпидемиологических характеристик первичного гиперпаратиреоза в России (по данным регистра). Проблемы эндокринологии. 2012;58(5):1620.
2. Scott BB, Maxfield MW, Hamaguchi R, Wilson JL, Kent MS, Gangadharan SP. Robot-Assisted Thoracoscopic Mediastinal Parathyroidectomy: A Single Surgeon Case Series. J Laparoendosc Adv Surg Tech A. 2019 Dec;29(12):1561-1564. doi: 10.1089/lap.2019.0266. Epub 2019 Jun 12. PMID: 31188050.
3. Medbery RL, Winters A, Chen AY, Rogers TE, Force SD. VATS Resection of Large Ectopic Posterior Mediastinal Cystic Parathyroid Adenoma. Ann Thorac Surg. 2019 Nov;108(5):e301-e302. doi: 10.1016/j.athoracsur.2019.03.029. Epub 2019 Apr 9. PMID: 30978315.
4. Makay Ö, Durmaz SF, Özdemir M, Şimşir I, İçöz G, Akyıldız M. Robot-assisted endoscopic mediastinal parathyroidectomy. Turk J Surg. 2018;34(4):315-318. Published 2018 Jan 3. doi:10.5152/UCD.2017.3437
5. Маньковский, В. А. Клиническое наблюдение аденомы эктопированной паращитовидной железы / В. А. Маньковский, В. А. Белобородов, Н. Н. Новых // Актуальные вопросы современной хирургии: сборник научно-практических работ, посвященный 70-летию заведующего кафедрой общей хирургии КрасГМУ, профессора, доктора медицинских наук Юрия Семеновича Винника, Красноярск, 14–15 марта 2018 года. – Красноярск: Версо, 2018. – С. 318-323. – EDN YUEQEW.
6. Kedarisetty S, Fundakowski C, Ramakrishnan K, Dadparvar S. Clinical Value of Tc99m-MIBI SPECT/CT Versus 4D-CT or US in Management of Patients With Hyperparathyroidism. Ear Nose Throat J. 2019 Mar;98(3):149-157. doi: 10.1177/0145561319828668. Epub 2019 Feb 19. PMID: 30938239.
7. Makey IA, Geldmaker LE, Casler JD, El-Sayed Ahmed MM, Jacob S, Thomas M. Localization and surgical approach to mediastinal parathyroid glands. J Cardiothorac Surg. 2022 Dec 7;17(1):299. doi: 10.1186/s13019-022-02052-w. PMID: 36476282; PMCID: PMC9730602.
8. Erşen E, Kılıç B. Thoracoscopic removal of ectopic mediastinal parathyroid adenoma causing hyperparathyroidism: a rare entity. Wideochir Inne Tech Maloinwazyjne. 2018 Dec;13(4):546-550. doi: 10.5114/wiitm.2018.75896. Epub 2018 May 22. PMID: 30524629; PMCID: PMC6280090.
9. Russell CF, Edis AJ, Scholz DA, et al. Mediastinal parathyroid tumors: experience with 38 tumors requiring mediastinotomy for removal. Ann Surg 1981; 193: 805-9.
10. Conn JM, Goncalves MA, Mansour KA, et al. The mediastinal parathyroid. Am Surg 1991; 37: 62-6.
11. Doherty GM, Doppman JL, Miller DL, Gee MS, Marx SJ, Spiegel AM, Aurbach GD, Pass HI, Brennan MF, Norton JA. Results of a multidisciplinary strategy for management of mediastinal parathyroid adenoma as a cause of persistent primary hyperparathyroidism. Ann Surg. 1992 Feb;215(2):101-6. doi: 10.1097/00000658-199202000-00002. PMID: 1546895; PMCID: PMC1242395.
12. Schlinkert RT, Whitaker MD, Argueta R. Resection of select mediastinal parathyroid adenomas through an anterior mediastinotomy. Mayo Clin Proc. 1991 Nov;66(11):1110-3. doi: 10.1016/s0025-6196(12)65789-9. PMID: 1943241.
13. Prinz RA, Lonchyna V, Carnaille B, Wurtz A, Proye C. Thoracoscopic excision of enlarged mediastinal parathyroid glands. Surgery. 1994 Dec;116(6):999-1004; discussion 1004-5. PMID: 7985108.
14. Isaacs KE, Belete S, Miller BJ, Di Marco AN, Kirby S, Barwick T, Tolley NS, Anderson JR, Palazzo FF. Video-assisted thoracoscopic surgery for ectopic mediastinal parathyroid adenoma. BJS Open. 2019 Aug 19;3(6):743-749. doi: 10.1002/bjs5.50207. PMID: 31832580; PMCID: PMC6887896.
Дополнительные файлы
|
|
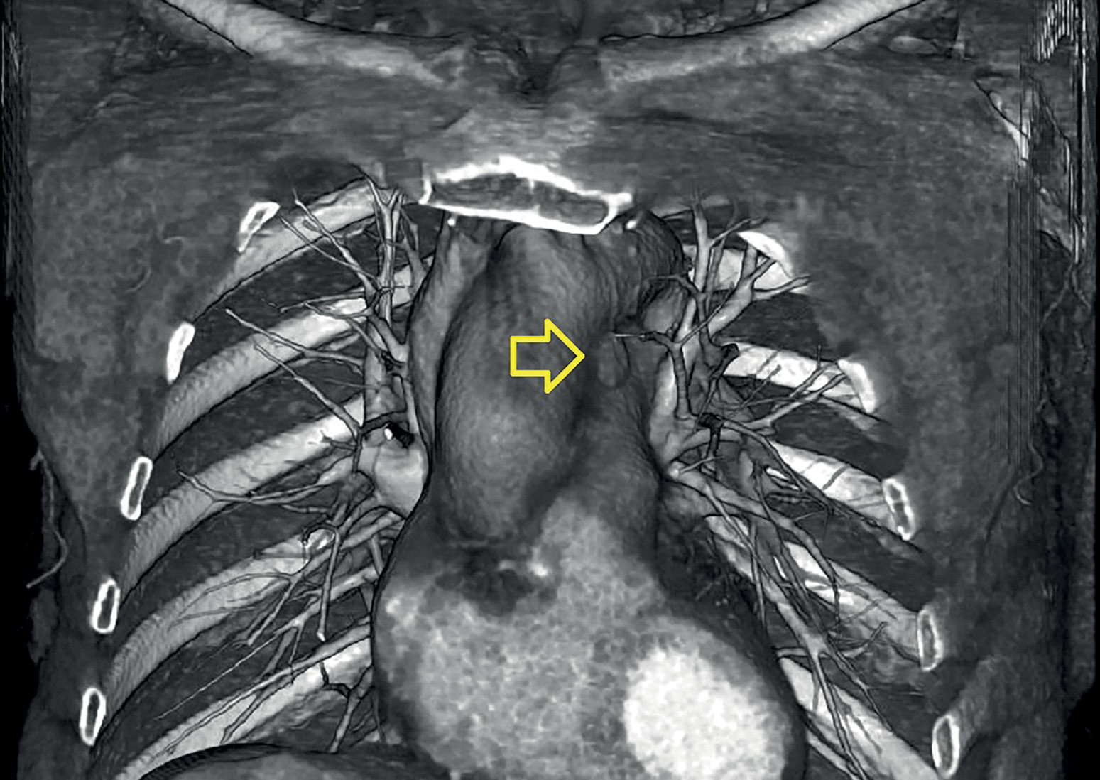
1. Рисунок 1. Аденома околощитовидной железы в аортопульмональном окне (КТ снимок, в режиме 3D модели). | |
| Тема | ||
| Тип | Исследовательские инструменты | |
Посмотреть
(295KB)
|
Метаданные ▾ | |
|
|
2. Рисунок 2. Положение пациента на операционном столе. | |
| Тема | ||
| Тип | Исследовательские инструменты | |
Посмотреть
(168KB)
|
Метаданные ▾ | |
|
|
3. Рисунок 3. Аденома околощитовидной железы в аортопульмональном окне (интраоперационная картина). | |
| Тема | ||
| Тип | Исследовательские инструменты | |
Посмотреть
(387KB)
|
Метаданные ▾ | |
|
|
4. Рисунок 4. Удаленный препарат. | |
| Тема | ||
| Тип | Исследовательские инструменты | |
Посмотреть
(357KB)
|
Метаданные ▾ | |
Рецензия
Для цитирования:
Хрипун А.И., Махуова Г.Б., Авдеева Т.Ф., Юсуфов М.П., Орлов М.Ю., Брагина Е.С. Торакоскопическая паратиреоидэктомия ретростернальной аденомы паращитовидной железы. Эндокринная хирургия. 2024;18(1):19-24. https://doi.org/10.14341/serg12814
For citation:
Khripun A.I., Makhuova G.B., Avdeeva T.F., Yusufov M.P., Orlov M.Yu., Bragina E.S. Thoracoscopic removal of a retrosternal parathyroid adenoma. Endocrine Surgery. 2024;18(1):19-24. (In Russ.) https://doi.org/10.14341/serg12814
Контент доступен под лицензией Creative Commons Attribution-NonCommercial-NoDerivatives 4.0 International License (CC BY-NC-ND 4.0).




































