Неклассическая манифестация синдрома множественных эндокринных неоплазий 1 типа
https://doi.org/10.14341/serg12815
Аннотация
Синдром множественных эндокринных неоплазий 1 типа (МЭН-1) — орфанное заболевание, обусловленное метахронным развитием образований эндокринных и неэндокринных органов. Первым наиболее частым проявлением заболевания является первичный гиперпаратиреоз, однако также возможна манифестация с других компонентов. Ввиду широкой вариабельности клинического течения настороженность в отношении данной патологии должна проявляться врачами разных специальностей.
На примере представленного клинического случая неклассической манифестации синдрома МЭН-1 освещаются трудности установления диагноза, тактика комплексного обследования и лечения основных компонентов синдрома. Своевременное проведение лабораторно-инструментальной и генетической диагностики играет важную роль в профилактике осложнений заболевания, повышении качества жизни и улучшении прогноза пациентов.
Ключевые слова
Об авторах
Е. Е. БибикРоссия
Бибик Екатерина Евгеньевна, научный сотрудник, к.м.н. 117036, Москва, ул. Дм. Ульянова, д. 11
Е. А. Абойшева
Россия
Абойшева Елизавета Андреевна, врач-эндокринолог
Москва
А. С. Матюшкина
Россия
Матюшкина Анна Сергеевна, врач-эндокринолог
Москва
А. К. Еремкина
Еремкина Анна Константиновна, к.м.н.
Москва
М. В. Дегтярев
Россия
Дегтярев Михаил Владимирович, заведующий отделением радионуклидной диагностики
Москва
Н. М. Платонова
Россия
Платонова Надежда Михайловна, д.м.н
Москва
Е. А. Трошина
Россия
Трошина Екатерина Анатольевна, д.м.н
Москва
Н. Г. Мокрышева
Россия
Мокрышева Наталья Георгиевна, д.м.н., профессор
Москва
Список литературы
1. Thakker RV. Multiple endocrine neoplasia type 1. In: Principles of Molecular Medicine. Totowa, NJ: Humana Press; 1967. Vol 290. P. 386-392. doi: https://doi.org/10.1007/978-1-59259-963-9_39
2. Kamilaris CDC, Stratakis CA. Multiple Endocrine Neoplasia Type 1 (MEN1): An update and the significance of early genetic and clinical diagnosis. Front Endocrinol (Lausanne). 2019;(10). doi: https://doi.org/10.3389/fendo.2019.00339
3. Wasserman JD, Tomlinson GE, Druker H, et al. Multiple endocrine neoplasia and hyperparathyroid-jaw tumor syndromes: Clinical features, genetics, and surveillance recommendations in childhood. Clin cancer Res an Off J Am Assoc Cancer Res. 2017;23(13):e123-e132. doi: https://doi.org/10.1158/1078-0432.CCR-17-0548
4. Matkar S, Thiel A, Hua X. Menin: a scaffold protein that controls gene expression and cell signaling. Trends Biochem Sci. 2013;38(8):394-402. doi: https://doi.org/10.1016/j.tibs.2013.05.005
5. Pannett AA, Thakker RV. Multiple endocrine neoplasia type 1. Endocr Relat Cancer. 1999;6(4):449-473. doi: https://doi.org/10.1677/erc.0.0060449
6. Trump D, Farren B, Wooding C, et al. Clinical studies of multiple endocrine neoplasia type 1 (MEN1). QJM. 1996;89(9):653-669. doi: https://doi.org/10.1093/qjmed/89.9.653
7. Adami S, Marcocci C, Gatti D. Epidemiology of primary hyperparathyroidism in Europe. J bone Miner Res Off J Am Soc Bone Miner Res. 2002;17(S2):N18-23.
8. Ito T, Igarashi H, Uehara H, et al. Causes of death and prognostic factors in multiple endocrine neoplasia type 1: a prospective study: comparison of 106 MEN1/Zollinger-Ellison syndrome patients with 1613 literature MEN1 patients with or without pancreatic endocrine tumors. Medicine (Baltimore). 2013;92(3):135-181. doi: https://doi.org/10.1097/MD.0b013e3182954af1
9. Brandi ML, Agarwal SK, Perrier ND, et al. Multiple endocrine neoplasia type 1: Latest insights. Endocr Rev. 2021;42(2):133-170. doi: https://doi.org/10.1210/endrev/bnaa031
10. Lloyd R, Osamura R, Klöppel G, Rosai J. WHO Classification of Tumours of Endocrine Organs. 4th ed. International Agency for Research on Cancer; 2017.
11. van Beek DJ, Nell S, Verkooijen HM, et al. Prognosis after surgery for multiple endocrine neoplasia type 1-related pancreatic neuroendocrine tumors: Functionality matters. Surgery. 2021;169(4):963-973. doi: https://doi.org/10.1016/j.surg.2020.09.037
12. Pieterman CRC, Valk GD. Update on the clinical management of multiple endocrine neoplasia type 1. Clin Endocrinol (Oxf). 2022;97(4):409-423. doi: https://doi.org/10.1111/cen.14727
13. Cohen-Cohen S, Brown DA, Himes BT, et al. Pituitary adenomas in the setting of multiple endocrine neoplasia type 1: a singleinstitution experience. J Neurosurg. 2020;134(3):1132-1138. doi: https://doi.org/10.3171/2020.1.JNS193538
14. Newey PJ, Newell-Price J. MEN1 Surveillance Guidelines: Time to (Re)Think? J Endocr Soc. 2022;6(2):bvac001. doi: https://doi.org/10.1210/jendso/bvac001
15. Giusti F, Cianferotti L, Boaretto F, et al. Multiple endocrine neoplasia syndrome type 1: institution, management, and data analysis of a nationwide multicenter patient database. Endocrine. 2017;58(2):349-359. doi: https://doi.org/10.1007/s12020-017-1234-4
16. Goudet P, Dalac A, Le Bras M, et al. MEN1 disease occurring before 21 years old: A 160-Patient Cohort Study From the Groupe d’étude des Tumeurs Endocrines. J Clin Endocrinol Metab. 2015;100(4):1568-1577. doi: https://doi.org/10.1210/jc.2014-3659
17. Thakker R V, Newey PJ, Walls G V, et al. Clinical practice guidelines for multiple endocrine neoplasia type 1 (MEN1). J Clin Endocrinol Metab. 2012;97(9):2990-3011. doi: https://doi.org/10.1210/jc.2012-1230
18. Falconi M, Eriksson B, Kaltsas G, et al. ENETS consensus guidelines update for the management of patients with functional pancreatic neuroendocrine tumors and non-functional pancreatic neuroendocrine tumors. Neuroendocrinology. 2016;103(2):153-171. doi: https://doi.org/10.1159/000443171
19. Pavel M, Öberg K, Falconi M, et al. Gastroenteropancreatic neuroendocrine neoplasms: ESMO Clinical Practice Guidelines for diagnosis, treatment and follow-up. Ann Oncol. 2020;31(7):844-860. doi: https://doi.org/10.1016/j.annonc.2020.03.304
20. Sada A, Habermann EB, Szabo Yamashita T, et al. Comparison Between Sporadic and Multiple Endocrine Neoplasia Type 1– Associated Insulinoma. J Am Coll Surg. 2022;235(5):756-763. doi: https://doi.org/10.1097/XCS.0000000000000307
21. Niederle B, Selberherr A, Bartsch DK, et al. Multiple endocrine neoplasia type 1 and the pancreas: diagnosis and treatment of functioning and non-functioning pancreatic and duodenal neuroendocrine neoplasia within the MEN1 syndrome – An International Consensus Statement. Neuroendocrinology. 2020;111(7):609-630. doi: https://doi.org/10.1159/000511791
22. Santucci N, Gaujoux S, Binquet C, et al. Pancreatoduodenectomy for neuroendocrine tumors in patients with multiple endocrine neoplasia type 1: An AFCE (Association Francophone de Chirurgie Endocrinienne) and GTE (Groupe d’étude des Tumeurs Endocrines) Study. World J Surg. 2021;45(6):1794-1802. doi: https://doi.org/10.1007/s00268-021-06005-7
23. Conemans EB, Nell S, Pieterman CRC, et al. Prognostic factors for survival of MEN1 patients with duodenopancreatic tumors metastatic to the liver: Results from the Dmsg. Endocr Pract. 2017;23(6):641-648. doi: https://doi.org/10.4158/EP161639.OR
24. Öberg K, Hellman P, Kwekkeboom D, Jelic S. Neuroendocrine bronchial and thymic tumours: ESMO Clinical Practice Guidelines for diagnosis, treatment and follow-up. Ann Oncol. 2010;21(6):v220-v222. doi: https://doi.org/10.1093/annonc/mdq191
25. Filosso PL, Ruffini E, Solidoro P, et al. Neuroendocrine tumors of the thymus. J Thorac Dis. 2017;9(S15):S1484-S1490. doi: https://doi.org/10.21037/jtd.2017.10.83
26. Tang Y, Chen X, Lu X, et al. Case report: Primary hepatic neuroendocrine tumor: two cases report with literature review. Front Oncol. 2023;13(6):v220-v222. doi: https://doi.org/10.3389/fonc.2023.1225583
27. Marini F, Giusti F, Cioppi F, et al. Bone and mineral metabolism phenotypes in MEN1-related and sporadic primary hyperparathyroidism, before and after parathyroidectomy. Cells. 2021;10(8):1895. doi: https://doi.org/10.3390/cells10081895
Дополнительные файлы
|
1. Рисунок 1. Клиническое течение заболеваний пациентки до госпитализации в НМИЦ эндокринологии. | |
Тема | ||
Тип | Исследовательские инструменты | |
Посмотреть
(225KB)
|
Метаданные ▾ |
|
2. Рисунок 2. Сцинтиграфия околощитовидных желез с ОФЭКТ-КТ. | |
Тема | ||
Тип | Исследовательские инструменты | |
Посмотреть
(306KB)
|
Метаданные ▾ |
|
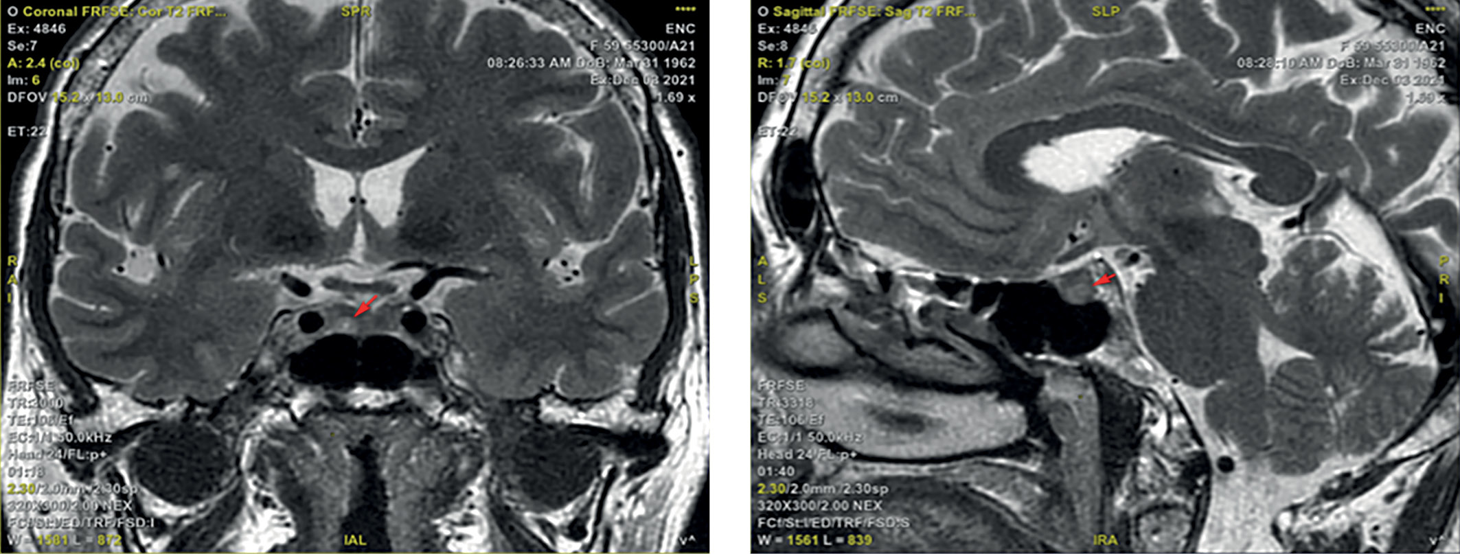
3. Рисунок 3. МРТ головного мозга во фронтальной и сагиттальной проекциях. Красными метками отмечено образование гипофиза. | |
Тема | ||
Тип | Исследовательские инструменты | |
Посмотреть
(299KB)
|
Метаданные ▾ |
|
4. Рисунок 4. МСКТ органов брюшной полости. Красными стрелками отмечены образования ПЖ. Желтым контуром отмечено образование правого надпочечника. | |
Тема | ||
Тип | Исследовательские инструменты | |
Посмотреть
(706KB)
|
Метаданные ▾ |
|
5. Рисунок 5. Сцинтиграфия с Тс99m–Тектротидом с ОФЭКТ/КТ. Красными метками отмечен очаг в SIV печени с гиперэкспрессией соматостатиновых рецепторов. | |
Тема | ||
Тип | Исследовательские инструменты | |
Посмотреть
(409KB)
|
Метаданные ▾ |
Рецензия
Для цитирования:
Бибик Е.Е., Абойшева Е.А., Матюшкина А.С., Еремкина А.К., Дегтярев М.В., Платонова Н.М., Трошина Е.А., Мокрышева Н.Г. Неклассическая манифестация синдрома множественных эндокринных неоплазий 1 типа. Эндокринная хирургия. 2023;17(3):61-70. https://doi.org/10.14341/serg12815
For citation:
Bibik E.E., Aboishava L.A., Matyushkina A.S., Eremkina A.K., Degtyarev M.V., Platonova N.M., Troshina E.A., Mokrysheva N.G. Non-classical manifestation of multiple endocrine neoplasia type 1. Endocrine Surgery. 2023;17(3):61-70. (In Russ.) https://doi.org/10.14341/serg12815

Контент доступен под лицензией Creative Commons Attribution-NonCommercial-NoDerivatives 4.0 International License (CC BY-NC-ND 4.0).