Оценка злокачественного потенциала образований щитовидной железы с помощью компьютерной томографии
https://doi.org/10.14341/serg12935
Аннотация
ОБОСНОВАНИЕ. Узловые образования щитовидной железы (ЩЖ) выявляются у 20–68% пациентов. При этом в литературе отсутствуют данные по критериям злокачественности при КТ-исследованиях. Внедрение в широкую практику КТ привело к росту выявлений образований в том числе ЩЖ, требующих дополнительного обследования. Использование дополнительных методов визуализации позволит улучшить выявляемость злокачественных образований ЩЖ.
ЦЕЛЬ. Целью данного исследования была попытка устранить пробел в области КТ-исследований ЩЖ и оценить, подходит ли многофазная многодетекторная КТ с контрастным усилением для оценки злокачественного потенциала объемных образований.
МАТЕРИАЛЫ И МЕТОДЫ. Исследование проводилось на базе отделения общей онкологии №71 в ГКБ им. С.П. Боткина с 2022 по 2023 гг. Ретроспективному анализу КТ-снимков были подвернуты данные 146 электронных медицинских карт пациентов с дифференцированной карциномой и фолликулярной аденомой ЩЖ. Проведена сравнительная оценка с помощью результатов КТ (160 срезов; модель Toshiba Aquilion Prime) с контрастным усилением (омнипак 350 мг йода/мл: 100 мл) с оценкой в нативную, артериальную и венозную фазы.
РЕЗУЛЬТАТЫ. В исследование были включены 64 пациента с диагнозом «Фолликулярная аденома щитовидной железы» и 82 пациента с дифференцированным раком ЩЖ. При оценке взаимосвязи между карциномой ЩЖ и плотности образования в единицах Хаунсфилдах выявлена положительная корреляция (корреляция по Спирмену в нативную фазу r=0,48; артериальную фазу r=0,69; венозную фазу r=0,64; p<0,001). Проведен анализ чувствительности и специфичности оценки плотности узловых образований ЩЖ по данным КТ. Наиболее показательные результаты продемонстрированы при анализе КТ в артериальную фазу. При точке отсечения в артериальную фазу 121 единицы Хаунсфилда чувствительность составляла 75,6%, а специфичность — 91,7%. При использовании точки отсечения 113 единиц Хаунсфилда в венозную фазу чувствительность составляла 62,2% и специфичность — 95,8%. В нативную фазу точка отсечения 49 единиц Хаунсфилда продемонстрировала чувствительность 68,9% и специфичность — 75%.
ЗАКЛЮЧЕНИЕ. КТ-исследование ЩЖ с контрастным усилением может предоставить дополнительную информацию для дифференциальной диагностики карцином и образований с неясным злокачественным потенциалом.
Об авторах
Д. Д. ДолидзеРоссия
Долидзе Давид Джонович - д.м.н., профессор.
Москва
Конфликт интересов:
Нет
С. Д. Кованцев
Россия
Кованцев Сергей Дмитриевич.
125284, Москва, 2-й Боткинский проезд, 5
Конфликт интересов:
Нет
З. А. Багателия
Россия
Багателия Зураб Антонович - д.м.н., профессор.
Москва
Конфликт интересов:
Нет
И. Н. Лебединский
Россия
Лебединский Иван Николаевич - к.м.н.
Москва
Конфликт интересов:
Нет
Е. Г. Кириленко
Россия
Кириленко Елена Георгиевна.
Москва
Конфликт интересов:
Нет
А. В. Бумбу
Россия
Бумбу Анна Васильевна.
Москва
Конфликт интересов:
Нет
Список литературы
1. Kitahara CM, Schneider AB. Epidemiology of Thyroid Cancer. Cancer Epidemiol Biomarkers Prev. 2022;31(7):1284-1297. doi: https://doi.org/10.1158/1055-9965.EPI-21-1440
2. Pizzato M, Li M, Vignat J, Laversanne M, Singh D, La Vecchia C, et al. The epidemiological landscape of thyroid cancer worldwide: GLOBOCAN estimates for incidence and mortality rates in 2020. The Lancet Diabetes & Endocrinology. 2022;10(4):264-72. doi: https://doi.org/10.1016/S2213-8587(22)00035-3
3. Olson E, Wintheiser G, Wolfe KM, Droessler J, Silberstein PT. Epidemiology of Thyroid Cancer: A Review of the National Cancer Database, 2000-2013. Cureus. 2019;11(2):e4127. doi: https://doi.org/10.7759/cureus.4127
4. Долидзе Д.Д., Багателия З.А., Лукин А.Ю., Кованцев С.Д., Шевякова Т.В., и др. Возможности ультразвукового исследования в диагностике фолликулярных образований щитовидной железы. // Опухоли головы и шеи. — 2023. — Т.13. — №1. — С. 81-90. doi: https://doi.org/10.17650/2222-1468-2023-13-1-81-90
5. Fisher SB, Perrier ND. The incidental thyroid nodule. CA Cancer J Clin. 2018;68(2):97-105. doi: https://doi.org/10.3322/caac.21447
6. Wilhelm S. Evaluation of Thyroid Incidentaloma. Surg Clin North Am. 2014. doi: https://doi.org/10.1016/j.suc.2014.02.004
7. Orija IB, Piñeyro M, Biscotti C, Reddy SS, Hamrahian AH. Value of repeating a nondiagnostic thyroid fine-needle aspiration biopsy. Endocrine practice: official journal of the American College of Endocrinology and the American Association of Clinical Endocrinologists. 2007;13(7):735-42. doi: https://doi.org/10.4158/EP.13.7.735
8. Alexander EK, Heering JP, Benson CB, Frates MC, Doubilet PM, Cibas ES, et al. Assessment of nondiagnostic ultrasound-guided fine needle aspirations of thyroid nodules. The Journal of clinical endocrinology and metabolism. 2002;87(11):4924-7. doi: https://doi.org/10.1210/jc.2002-020865
9. Theoharis CG, Schofield KM, Hammers L, Udelsman R, Chhieng DC. The Bethesda thyroid fine-needle aspiration classification system: year 1 at an academic institution. Thyroid: official journal of the American Thyroid Association. 2009;19(11):1215-23. doi: https://doi.org/10.1089/thy.2009.0155
10. Dolidze DD, Shabunin AV, Mumladze RB, Vardanyan AV, Covantsev SD, Shulutko AM, et al. A Narrative Review of Preventive Central Lymph Node Dissection in Patients With Papillary Thyroid Cancer - A Necessity or an Excess. Frontiers in oncology. 2022;12:906695. doi: https://doi.org/10.3389/fonc.2022.906695
11. Debnam JM, Guha-Thakurta N, Sun J, Wei W, Zafereo ME, Cabanillas ME, et al. Distinguishing Recurrent Thyroid Cancer from Residual Nonmalignant Thyroid Tissue Using Multiphasic Multidetector CT. AJNR American journal of neuroradiology. 2020;41(5):844-51. doi: https://doi.org/10.3174/ajnr.A6519
12. Han YM, Kim YC, Park EK, Choe JG. Diagnostic value of CT density in patients with diffusely increased FDG uptake in the thyroid gland on PET/CT images. AJR American journal of roentgenology. 2010;195(1):223-8. doi: https://doi.org/10.2214/AJR.09.3319
13. Качко В.А., Семкина Г.В., Платонова Н.М., Ванушко В.Э., Абросимов А.Ю. Диагностика новообразований щитовидной железы. // Эндокринная хирургия. — 2018. — Т.12. — №3. — С.109-127. doi: https://doi.org/10.14341/serg9977
14. Тарбаева Н.В., Бурякина С.А., Волеводз Н.Н., Ковалевич Л.Д., Корнелюк А.Ю., Мокрышева Н.Г. / Под ред. И.И. Дедова. Мультиспиральная компьютерная томография в эндокринологии. — М.: Издательский дом Видар-М, 2020. — 176 с.
15. Durmaz F, Özgökçe M. Effectiveness of Hounsfield Unit Values in the Differentiation of Malign and Benign Thyroid Nodules. Eastern J Med. 2021;26(2):326-33. doi: https://doi.org/10.5505/ejm.2021.36450
16. Fitzgerald RT, Kuruva M, David R, Samant RS, Kumar M, Van Hemert R, et al. Characterization of Thyroid Nodules by 4-Dimensional Computed Tomography: Initial Experience. Journal of computer assisted tomography. 2017;41(2):195-8. doi: https://doi.org/10.1097/RCT.0000000000000495
17. Hunter GJ, Schellingerhout D, Vu TH, Perrier ND, Hamberg LM. Accuracy of four-dimensional CT for the localization of abnormal parathyroid glands in patients with primary hyperparathyroidism. Radiology. 2012;264(3):789-95 doi: https://doi.org/10.1148/radiol.12110852
18. Shin HS, Na DG, Paik W, Yoon SJ, Gwon HY, Noh B-J, et al. Malignancy Risk Stratification of Thyroid Nodules with Macrocalcification and Rim Calcification Based on Ultrasound Patterns. Korean J Radiol. 2021;22(4):663-71. doi: https://doi.org/10.3348/kjr.2020.0381
19. Bilici S et al. Histopathological investigation of intranodular echogenic foci detected by thyroid ultrasonography. Am J Otolaryngol. 2017;38:608-13. doi: https://doi.org/10.1016/j.amjoto.2017.07.002
20. Ye M, Wu S, Zhou Q, Wang F, Chen X, Gong X, et al. Association between macrocalcification and papillary thyroid carcinoma and corresponding valuable diagnostic tool: retrospective study. World Journal of Surgical Oncology. 2023;21(1):149. doi: https://doi.org/10.1186/s12957-023-03016-7
21. Malhi HS, Velez E, Kazmierski B, Gulati M, Deurdulian C, Cen SY, et al. Peripheral Thyroid Nodule Calcifications on Sonography: Evaluation of Malignant Potential. American Journal of Roentgenology. 2019;213(3):672-5. doi: https://doi.org/10.2214/AJR.18.20799
22. Yoon DY, Lee JW, Chang SK, Choi CS, Yun EJ, Seo YL, et al. Peripheral Calcification in Thyroid Nodules. Journal of Ultrasound in Medicine. 2007;26(10):1349-55. doi: https://doi.org/10.7863/jum.2007.26.10.1349
Дополнительные файлы
|
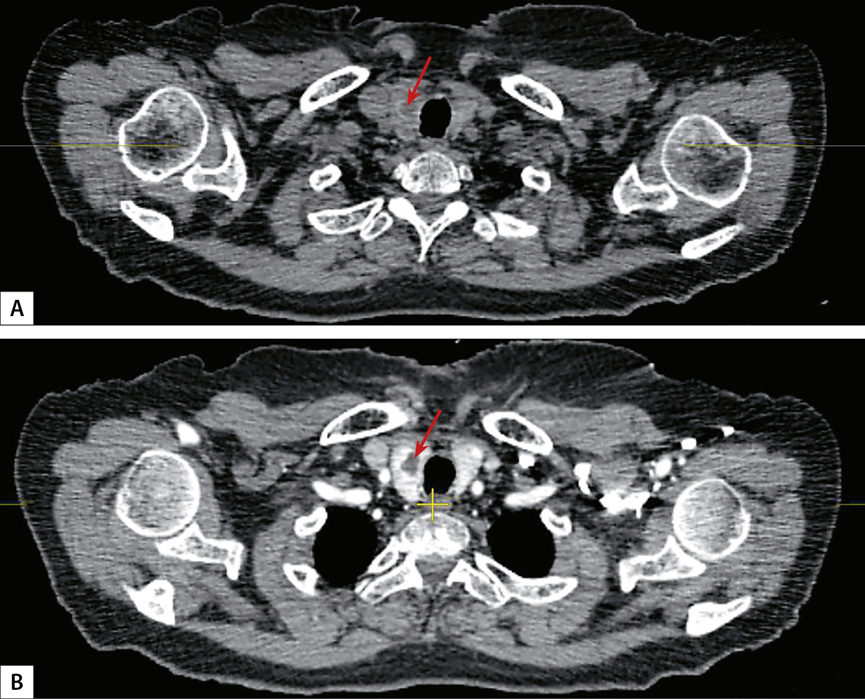
1. Рисунок 1. КТ-картина карциномы щитовидной железы (аксиальный срез, образование указано стрелкой). А — артериальная фаза, В — венозная фаза. | |
Тема | ||
Тип | Прочее | |
Посмотреть
(744KB)
|
Метаданные ▾ |
|
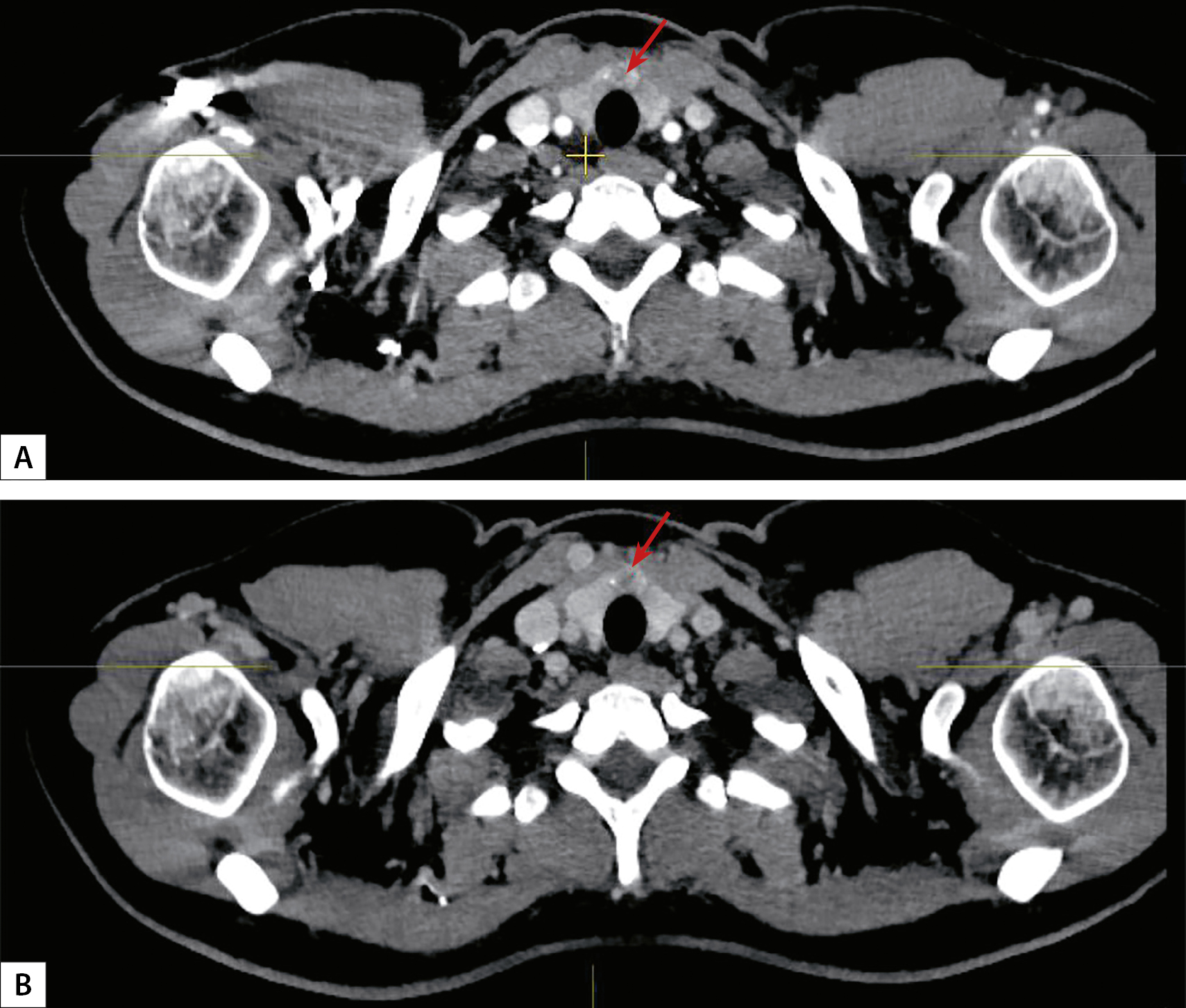
2. Рисунок 2. Фолликулярная аденома щитовидной железы (аксиальный срез, образование указано стрелкой). А — натив, В — артериальная фаза. | |
Тема | ||
Тип | Прочее | |
Посмотреть
(885KB)
|
Метаданные ▾ |
|
3. Рисунок 3. Разница в плотности образования в единицах Хаунсфилда в зависимости от фазы контрастирования. | |
Тема | ||
Тип | Прочее | |
Посмотреть
(421KB)
|
Метаданные ▾ |
|
4. Рисунок 4. ROC-кривая чувствительности и специфичности. | |
Тема | ||
Тип | Прочее | |
Посмотреть
(324KB)
|
Метаданные ▾ |
|
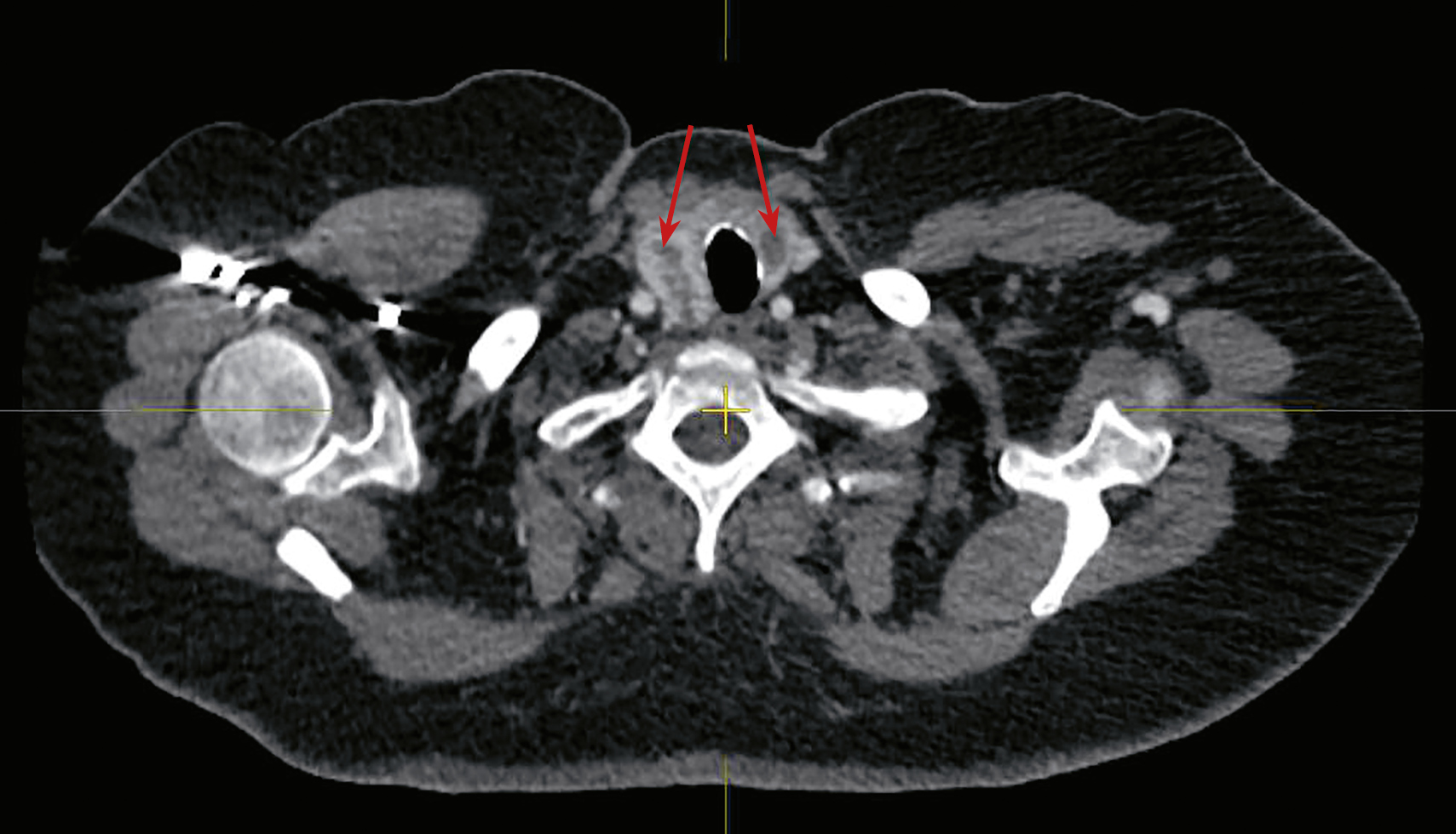
5. Рисунок 5. КТ-картина множественных образований обеих долей щитовидной железы (аксиальный срез, образование указано стрелкой). | |
Тема | ||
Тип | Прочее | |
Посмотреть
(485KB)
|
Метаданные ▾ |
|
6. Рисунок 6. КТ-картина кальцинатов щитовидной железы (кальцинаты указаны стрелкой). А — микрокальцинат, В — макрокальцинат, С — периферическая кальцификация образований. | |
Тема | ||
Тип | Прочее | |
Посмотреть
(1MB)
|
Метаданные ▾ |
Рецензия
Для цитирования:
Долидзе Д.Д., Кованцев С.Д., Багателия З.А., Лебединский И.Н., Кириленко Е.Г., Бумбу А.В. Оценка злокачественного потенциала образований щитовидной железы с помощью компьютерной томографии. Эндокринная хирургия. 2025;19(1):23-31. https://doi.org/10.14341/serg12935
For citation:
Dolidze D.D., Covantsev S.D., Bagatelia Z.A., Lebedinskyi I.N., Kirilenko E.G., Bumbu A.V. Assessment of malignant potential of thyroid mass using computed tomography. Endocrine Surgery. 2025;19(1):23-31. (In Russ.) https://doi.org/10.14341/serg12935

Контент доступен под лицензией Creative Commons Attribution-NonCommercial-NoDerivatives 4.0 International License (CC BY-NC-ND 4.0).