Карцинома щитовидной железы на фоне диффузного токсического зоба у детей
https://doi.org/10.14341/serg12978
Аннотация
ОБОСНОВАНИЕ. Сочетание дифференцированной карциномы щитовидной железы (ДКЩЖ) и диффузного токсического зоба (ДТЗ) в детском возрасте встречается крайне редко. По данным литературы, распространенность ДКЩЖ при ДТЗ у взрослых составляет около 20%, у детей имеются единичные описания.
ЦЕЛЬ. Определить распространенность и описать клинико-морфологические особенности карциномы щитовидной железы у детей с ДТЗ.
МАТЕРИАЛЫ И МЕТОДЫ. Ретроспективное наблюдательное исследование 77 пациентов в возрасте от 10 до 17 лет, перенесших тиреоидэктомию по поводу ДТЗ. Всем детям проведено клинико-инструментальное, цитологическое и патоморфологическое исследования в ГНЦ РФ ФГБУ «НМИЦ эндокринологии» Минздрава России в период с января 2022-го по сентябрь 2024 гг.
РЕЗУЛЬТАТЫ. Частота встречаемости ДКЩЖ у детей с ДТЗ составила 10,4% (у 8 из 77 пациентов), при этом у пациентов с узлами на фоне ДТЗ – 21,7%. Примечательно, что даже при отсутствии данных за наличие узлового образования ЩЖ частота ДКЩЖ составила 5,5% и была выявлена только по данным гистологического исследования послеоперационного материала. По результатам патоморфологических заключений, классический подтип папиллярной карциномы щитовидной железы (ПКЩЖ) определен у 4 пациентов, папиллярная микрокарцинома – у 2, фолликулярный вариант ПКЩЖ – у 1, сочетание фолликулярной карциномы и классического подтипа папиллярной карциномы – у 1 ребенка.
ЗАКЛЮЧЕНИЕ. Высокая частота встречаемости ДКЩЖ на фоне ДТЗ у детей обусловливает необходимость повышенной онконастороженности при их ведении. При этом проведение тонкоигольной аспирационной биопсии (ТАБ) узлов, относящихся к 3–5 категории EU-TIRADS, является обязательным этапом обследования. При наличии узловых образований оперативный метод радикального лечения ДТЗ в детском возрасте является предпочтительным в связи с высоким риском их злокачественности.
Об авторах
Э. Б. БричеваРоссия
Бричева Элла Байзетовна, аспирант, врач-детский эндокринолог
117036, Москва, ул. Дмитрия Ульянова, д. 11
Конфликт интересов:
Авторы декларируют отсутствие явных и потенциальных конфликтов интересов, связанных с содержанием
настоящей статьи.
Е. В. Нагаева
Россия
Нагаева Елена Витальевна, д.м.н.
Москва
Конфликт интересов:
Авторы декларируют отсутствие явных и потенциальных конфликтов интересов, связанных с содержанием
настоящей статьи.
Д. А. Пастухова
Россия
Пастухова Дария Алексеевна
ResearcherID: HCH-6755-2022;
Scopus Author ID: 58736417100
Москва
Конфликт интересов:
Авторы декларируют отсутствие явных и потенциальных конфликтов интересов, связанных с содержанием
настоящей статьи.
А. В. Бабушкин
Россия
Бабушкин Александр Владимирович
Москва
Конфликт интересов:
Авторы декларируют отсутствие явных и потенциальных конфликтов интересов, связанных с содержанием
настоящей статьи.
А. М. Артемова
Россия
Артемова Алла Михайловна
Москва
Конфликт интересов:
Авторы декларируют отсутствие явных и потенциальных конфликтов интересов, связанных с содержанием
настоящей статьи.
Д. Н. Бровин
Россия
Бровин Дмитрий Николаевич, к.м.н
Москва
Конфликт интересов:
Авторы декларируют отсутствие явных и потенциальных конфликтов интересов, связанных с содержанием
настоящей статьи.
О. Б. Безлепкина
Россия
Безлепкина Ольга Борисовна, профессор, д.м.н.
Москва
Конфликт интересов:
Авторы декларируют отсутствие явных и потенциальных конфликтов интересов, связанных с содержанием
настоящей статьи.
Н. Ю. Калинченко
Россия
Калинченко Наталья Юрьевна, к.м.н.
Москва
Конфликт интересов:
Авторы декларируют отсутствие явных и потенциальных конфликтов интересов, связанных с содержанием
настоящей статьи.
Л. С. Урусова
Россия
Урусова Лилия Сергеевна, д.м.н.
Москва
Конфликт интересов:
Авторы декларируют отсутствие явных и потенциальных конфликтов интересов, связанных с содержанием
настоящей статьи.
Список литературы
1. Аутоиммунная патология щитовидной железы и эндокринная офтальмопатия. / Под ред. Дедова И.И., Мельниченко Г.А. — Москва; 2020
2. Simon M, Rigou A, Le Moal J, et al. Epidemiology of Childhood Hyperthyroidism in France: A Nationwide PopulationBased Study. J Clin Endocrinol Metab. 2018;103(8):2980-2987. doi: https://doi.org/10.1210/jc.2018-00273
3. Mooij CF, Cheetham TD, Verburg FA, et al. 2022 European Thyroid Association Guideline for the management of pediatric Graves’ disease. Eur Thyroid J. 2022;11(1):e210073. doi: https://doi.org/10.1530/ETJ-21-0073
4. Иванникова Т.Е., Ширяева Т.Ю., Нагаева Е.В. и др. Радикальное лечение диффузного токсического зоба у детей. // Проблемы эндокринологии. 2022. — Т. 68. — №2. — С. 104-111.
5. Lebbink CA, Links TP, Czarniecka A, et al. 2022 European Thyroid Association Guidelines for the management of pediatric thyroid nodules and differentiated thyroid carcinoma. Eur Thyroid J. 2022;11(6):e220146. doi: https://doi.org/10.1530/ETJ-22-0146
6. Cherella CE, Angell TE, Richman DM, et al. Differences in Thyroid Nodule Cytology and Malignancy Risk Between Children and Adults. Thyroid. 2019;29(8):1097-1104. doi: https://doi.org/10.1089/thy.2018.0728
7. Sandy JL, Titmuss A, Hameed S, et al. Thyroid nodules in children and adolescents: Investigation and management. J Paediatr Child Health. 2022;58(12):2163-2168. doi: https://doi.org/10.1111/jpc.16257
8. Haugen BR, Alexander EK, Bible KC, et al. 2015 American Thyroid Association Management Guidelines for Adult Patients with Thyroid Nodules and Differentiated Thyroid Cancer: The American Thyroid Association Guidelines Task Force on Thyroid Nodules and Differentiated Thyroid Cancer. Thyroid. 2016;26(1):1-133. doi: https://doi.org/10.1089/thy.2015.0020
9. Alexandra AL, Michelle M, et al. High Rates of Underlying Thyroid Cancer in Patients Undergoing Thyroidectomy for Hyperthyroidism. J Surgical Research. 2020;245:523-528. doi: https://doi.org/10.1016/j.jss.2019.07.048
10. Ferrari SM, Fallahi P, Elia G, et al. Thyroid autoimmune disorders and cancer. Semin. Cancer Biol. 2020;64:135–146. doi: https://doi.org/10.1016/j.semcancer.2019.05.019
11. Иванникова Т.Е. Персонализированная диагностика и лечение синдрома тиреотоксикоза у детей: дис. … канд.мед.наук / Т.Е. Иванникова. — Москва, 2024. — 50 с.
12. Kovatch KJ, Bauer AJ, Isaacoff EJ, et al. Pediatric thyroid carcinoma in patients with Graves’ disease: the role of ultrasound in selecting patients for definitive therapy. Hormone Research in Paediatrics. 2015(83):408–413. doi: https://doi.org/10.1159/000381185
13. Tuli G, Munarin J, Tessaris D, Quaglino F, de Sanctis L. Papillary thyroid microcarcinoma in a boy with Graves’ disease: a case report and review of the literature. Pediatr Endocrinol Diabetes Metab. 2022;28(1):88-90. doi: https://doi.org/10.5114/pedm.2021.107725
14. Boelaert K, Horacek J, Holder RL, Watkinson JC, Sheppard MC, Franklyn JA. Serum Thyrotropin Concentration as a Novel Predictor of Malignancy in Thyroid Nodules Investigated by Fine-Needle Aspiration. J Clin Endocrinol Metab. 2006;91(11):4295-4301. doi: https://doi.org/10.1210/jc.2006-0527
15. Fiore E, Rago T, Provenzale MA, et al. Lower levels of TSH are associated with a lower risk of papillary thyroid cancer in patients with thyroid nodular disease: thyroid autonomy may play a protective role. Endocr Relat Cancer. 2009;16(4):1251-60. doi: https://doi.org/10.1677/ERC-09-0036
16. Haymart MR, Repplinger DJ, Leverson GE, et al. Higher Serum Thyroid Stimulating Hormone Level in Thyroid Nodule Patients Is Associated with Greater Risks of Differentiated Thyroid Cancer and Advanced Tumor Stage. J Clin Endocrinol Metab. 2008;93(3):809-814. doi: https://doi.org/10.1210/jc.2007-2215
17. Phitayakorn R, McHenry CR. Incidental thyroid carcinoma in patients with Graves’ disease. Am J Surg. 2008;195(3):292-7; discussion 297. doi: https://doi.org/10.1016/j.amjsurg.2007.12.006
18. Koh KB, Chang KW. Carcinoma in multinodular goitre. Br J Surg. 1992;79(3):266-7. doi: https://doi.org/10.1002/bjs.1800790328
19. Keskin C, Sahin M, Hasanov R, et al. Frequency of thyroid nodules and thyroid cancer in thyroidectomized patients with Graves’ disease. Arch Med Sci. 2019;16(2):302-307. doi: https://doi.org/10.5114/aoms.2018.81136
20. Keskin C, Sahin M, Hasanov R, et al. Frequency of thyroid nodules and thyroid cancer in thyroidectomized patients with Graves’ disease. Arch Med Sci. 2019;16(2):302-307. doi: https://doi.org/10.5114/aoms.2018.81136
21. Kwon H, Moon BI. Prognosis of papillary thyroid cancer in patients with Graves’ disease: a propensity score-matched analysis. World J Surg Oncol. 2020;18(1):266. doi: https://doi.org/10.1186/s12957-020-02044-x
22. Jia Q, Li X, Liu Y, et al. Incidental thyroid carcinoma in surgerytreated hyperthyroid patients with Graves’ disease: a systematic review and meta-analysis of cohort studies. Cancer Manag Res. 2018;10:1201-1207. doi: https://doi.org/10.2147/CMAR.S164210
23. Wang R, Disharoon M, Song Z, et al. Incidental but Not Insignificant: Thyroid Cancer in Patients with Graves Disease. J Am Coll Surg. 2024;238(4):751-758. doi: https://doi.org/10.1097/XCS.0000000000000973
24. Pearce EN, Braverman LE. Papillary thyroid microcarcinoma outcomes and implications for treatment. J Clin Endocrinol Metab. 2004;89(8):3710-2. doi: https://doi.org/10.1210/jc.2004-1189
25. Demay RM. The Art & Science of Cytopathology. American Society for Clinical Pathology 2011:937-938
26. Шапиро Н.А., Камнева Т.Н. Цитологическая диагностика заболеваний щитовидной железы. 2003. С. 29-30.
27. Russ G, Bonnema SJ, Erdogan MF, et al. European Thyroid Association Guidelines for Ultrasound Malignancy Risk Stratification of Thyroid Nodules in Adults: The EU-TIRADS. Eur Thyroid J. 2017;6(5):225-237. doi: https://doi.org/10.1159/000478927
28. Ali SZ, Baloch ZW, Cochand-Priollet B, et al. The 2023 Bethesda System for reporting thyroid cytopathology. J Am Soc Cytopathol. 2023;12(5):319-325. doi: https://doi.org/10.1016/j.jasc.2023.05.005.
Дополнительные файлы
|
|
1. Рисунок 1. Схема обследования детей с ДТЗ и полученые результаты. | |
| Тема | ||
| Тип | Исследовательские инструменты | |
Посмотреть
(584KB)
|
Метаданные ▾ | |
|
|
2. Рисунок 2. Макроскопическое строение щитовидной железы при ДТЗ. Ткань щитовидной железы светло-коричневого цвета, диффузно уплотнена (A–D), с формированием единичных узлов (А, В) и кистозных полостей (С). | |
| Тема | ||
| Тип | Исследовательские инструменты | |
Посмотреть
(1MB)
|
Метаданные ▾ | |
|
|
3. Рисунок 3. Эхограммы щитовидной железы: продольный срез (A–C). В верхнем полюсе правой доли — образование размерами 2,7х2,5х1,4 см с нечеткими, неровными контурами пониженной эхогенности, с микрокальцинатами, EU-TIRADS 5 (A). В н/з правой доли определяется образование диаметром 1,3 см с нечеткими контурами, средней эхогенности, с гипоэхогенным ободком (B). В н/з правой доли — очаг диаметром 1,2 см, с неровными контурами, повышенной эхогенности (C). | |
| Тема | ||
| Тип | Исследовательские инструменты | |
Посмотреть
(852KB)
|
Метаданные ▾ | |
|
|
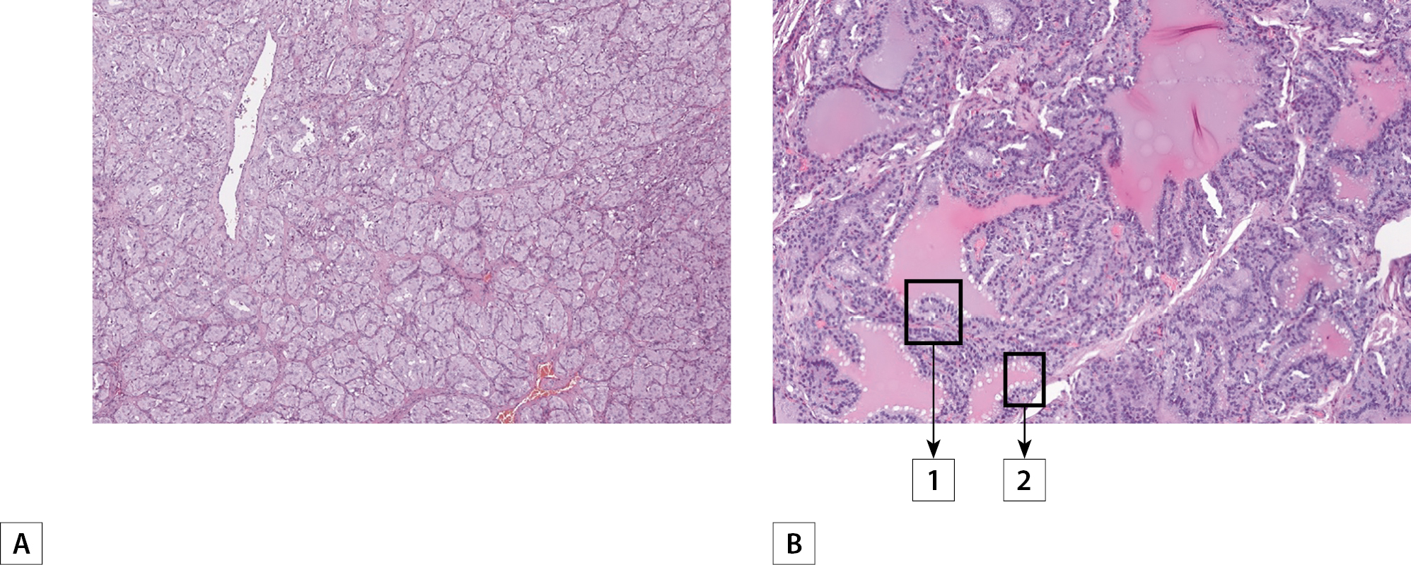
4. Рисунок 4. Гистологическое строение узлов карциномы, выявленных при исследовании ДТЗ. Классический подтип папиллярной карциномы с псаммомными тельцами (А), минимально инвазивная фолликулярная карцинома (В), минимально инвазивный фолликулярный подтип папиллярной карциномы (С), папиллярная микрокарцинома (D). | |
| Тема | ||
| Тип | Исследовательские инструменты | |
Посмотреть
(2MB)
|
Метаданные ▾ | |
|
|
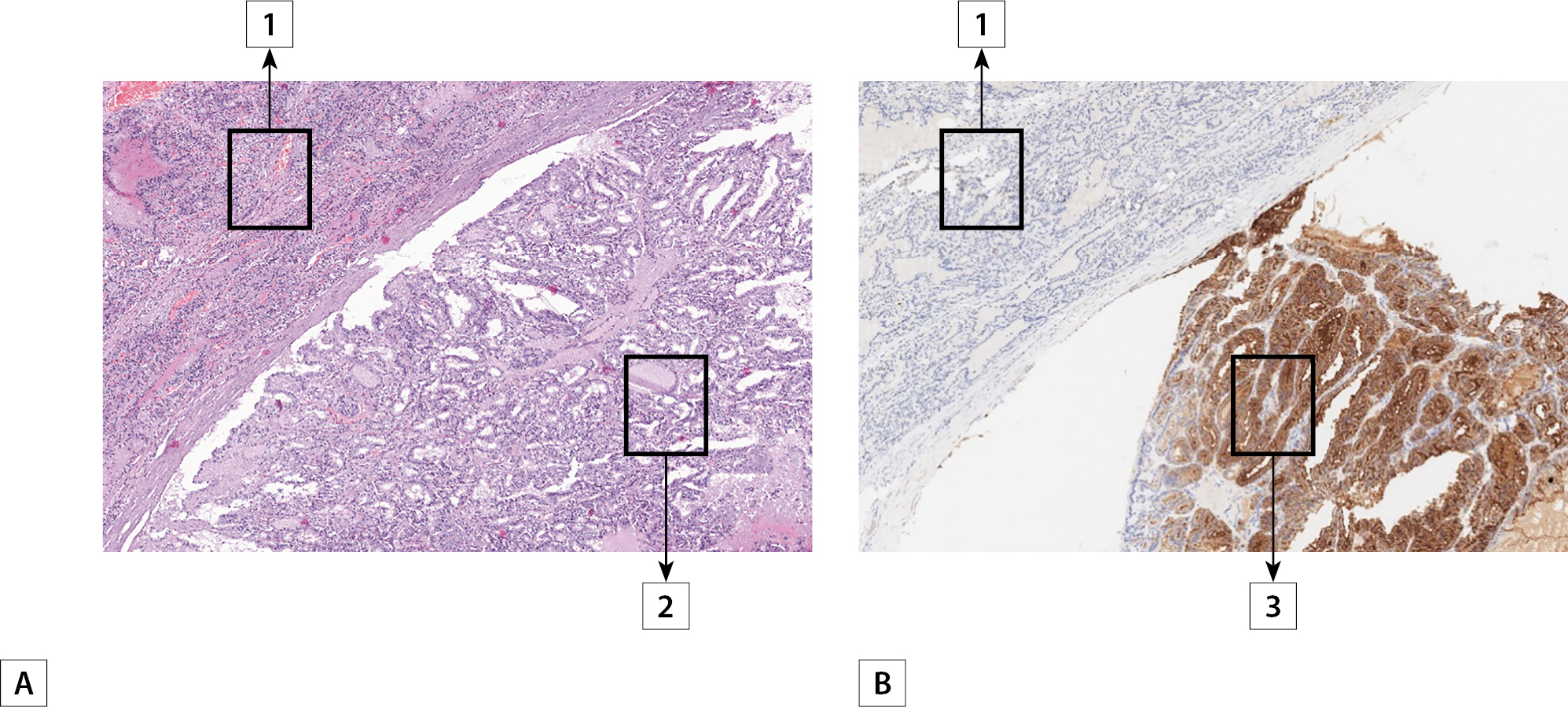
5. Рисунок 5. Иммуногистохимическое исследование опухоли с антителами к НВМЕ-1 выявляет диффузную мембранно-цитоплазматическую экспрессию во всех опухолевых клетках (A) при полном отсутствии в клетках нормального фолликулярного эпителия (B). | |
| Тема | ||
| Тип | Исследовательские инструменты | |
Посмотреть
(1MB)
|
Метаданные ▾ | |
|
|
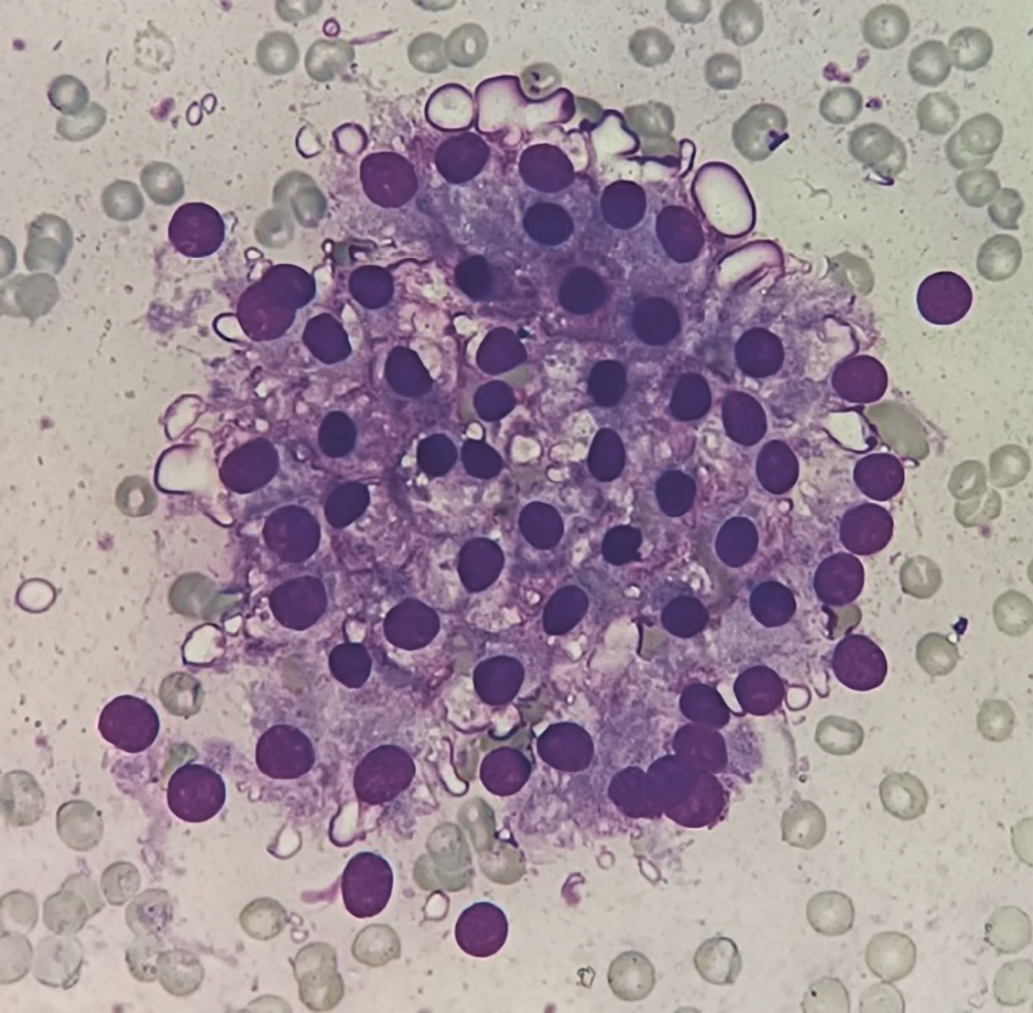
6. Рисунок 6. Фолликулярная структура из тироцитов с вакуолями резорбции. | |
| Тема | ||
| Тип | Исследовательские инструменты | |
Посмотреть
(496KB)
|
Метаданные ▾ | |
|
|
7. Рисунок 7. Микроскопическое строение щитовидной железы при ДТЗ. Выраженная гиперплазия фолликулярного эпителия щитовидной железы с отсутствием просвета фолликулов (A), формированием папиллярных структур и вакуолей резорбции коллоида (B). | |
| Тема | ||
| Тип | Исследовательские инструменты | |
Посмотреть
(1007KB)
|
Метаданные ▾ | |
Рецензия
Для цитирования:
Бричева Э.Б., Нагаева Е.В., Пастухова Д.А., Бабушкин А.В., Артемова А.М., Бровин Д.Н., Безлепкина О.Б., Калинченко Н.Ю., Урусова Л.С. Карцинома щитовидной железы на фоне диффузного токсического зоба у детей. Эндокринная хирургия. 2024;18(4):14-24. https://doi.org/10.14341/serg12978
For citation:
Bricheva E.B., Nagaeva E.V., Pastuhova D.A., Babushkin A.V., Artemova A.M., Brovin D.N., Bezlepkina O.B., Kalinchenko N.Y., Urusova L.S. Thyroid carcinoma in children with graves’ disease. Endocrine Surgery. 2024;18(4):14-24. (In Russ.) https://doi.org/10.14341/serg12978
Контент доступен под лицензией Creative Commons Attribution-NonCommercial-NoDerivatives 4.0 International License (CC BY-NC-ND 4.0).




































