Нозологическая верификация инциденталомы надпочечника. дифференциальная диагностика между ганглионевромой и адренокортикальным раком: клинический случай
https://doi.org/10.14341/serg12995
Аннотация
Ганглионевромы (ГН) представляют собой редкие доброкачественные новообразования, происходящие из ткани нервного гребня. Как правило, эти опухоли протекают бессимптомно и выявляются случайно при проведении диагностических исследований. Несмотря на то, что радиологические характеристики ГН надпочечников достаточно хорошо изучены, постановка точного диагноза остается сложной задачей. В настоящее время окончательная постановка диагноза происходит на основании результатов морфологического исследования послеоперационного материала.
В данной публикации представлен редкий клинический случай ГН надпочечника, выявленной у мужчины 35 лет. В ходе обследования при мультиспиральной компьютерной томографии (МСКТ) брюшной полости выявлено объемное образование правого надпочечника 8,4х5,8х5,8 см злокачественного КТ-фенотипа с косвенными признаками возможной инвазии. По результатам гормонального обследования, данных за избыточную гормональную секрецию не получено. Учитывая совокупность характеристик опухоли, указывающих на высокий риск ее злокачественности, пациенту проведено хирургическое лечение в объеме торакофренолапаротомии, правосторонней адреналэктомии. По данным морфологического исследования, образование представлено разнонаправленными пучками зрелых Шванновских клеток с включениями ганглиозных клеток. Установлен диагноз: «ГН». Послеоперационный период протекал без осложнений.
Данный клинический случай демонстрирует трудность предоперационного установления диагноза «ГН», а также необходимость проведения всестороннего и тщательного обследования и использования всех доступных методов диагностики.
Об авторах
М. М. ГаджимурадоваРоссия
Гаджимурадова Мансурат Мурадовна
ул. Дмитрия Ульянова, д. 11, 117292 Москва
Конфликт интересов:
Авторы декларируют отсутствие явных и потенциальных конфликтов интересов, связанных с содержанием
настоящей статьи.
А. Шевэ
Россия
Шевэ Анастасия, к.м.н.
Москва
Конфликт интересов:
Авторы декларируют отсутствие явных и потенциальных конфликтов интересов, связанных с содержанием
настоящей статьи.
Н. В. Тарбаева
Россия
Тарбаева Наталья Викторовна, к.м.н.
Москва
Конфликт интересов:
Авторы декларируют отсутствие явных и потенциальных конфликтов интересов, связанных с содержанием
настоящей статьи.
Д. Г. Бельцевич
Россия
Бельцевич Дмитрий Германович, д.м.н., проф.
Москва
Конфликт интересов:
Авторы декларируют отсутствие явных и потенциальных конфликтов интересов, связанных с содержанием
настоящей статьи.
А. В. Варламов
Россия
Варламов Андрей Владимирович, врач-патологоанатом
Москва
Конфликт интересов:
Авторы декларируют отсутствие явных и потенциальных конфликтов интересов, связанных с содержанием
настоящей статьи.
Е. С. Сенюшкина
Россия
Сенюшкина Евгения Семеновна
Москва
Конфликт интересов:
Авторы декларируют отсутствие явных и потенциальных конфликтов интересов, связанных с содержанием
настоящей статьи.
А. А. Рослякова
Россия
Рослякова Анна Александровна
Москва
Конфликт интересов:
Авторы декларируют отсутствие явных и потенциальных конфликтов интересов, связанных с содержанием
настоящей статьи.
А. К. Эбзеева
Россия
Эбзеева Аминат Канаматовна, врач-эндокринолог
Москва
Конфликт интересов:
Авторы декларируют отсутствие явных и потенциальных конфликтов интересов, связанных с содержанием
настоящей статьи.
И. В. Ким
Россия
Ким Илья Викторович, к.м.н.
Москва
Конфликт интересов:
Авторы декларируют отсутствие явных и потенциальных конфликтов интересов, связанных с содержанием
настоящей статьи.
Г. А. Мельниченко
Россия
Мельниченко Галина Афанасьевна, д.м.н., профессор, академик РАН
Москва
Конфликт интересов:
Авторы декларируют отсутствие явных и потенциальных конфликтов интересов, связанных с содержанием
настоящей статьи.
Н. Г. Мокрышева
Россия
Мокрышева Наталья Георгиевна, д.м.н, профессор, академик РАН
Москва
Конфликт интересов:
Авторы декларируют отсутствие явных и потенциальных конфликтов интересов, связанных с содержанием
настоящей статьи.
Список литературы
1. Бельцевич Д.Г., Мельниченко Г.А., Кузнецов Н.С. и др. Клинические рекомендации Российской ассоциации эндокринологов по дифференциальной диагностике инциденталом надпочечников. // Эндокринная хирургия. — 2016. — Т. 10. — №4. — С. 31–42.
2. Бельцевич Д.Г., Трошина Е.А., Мельниченко Г.А. и др. Проект клинических рекомендаций «Инциденталома надпочечника» // Эндокринная хирургия. — 2021. — Т. 15. — №1. — С. 4-26.
3. Бурякина С.А., Тарбаева Н.В., Волеводз Н.Н. и др. Инциденталома надпочечника. Часть 1. Компьютерная томография инциденталом надпочечника: возможности и сложности дифференциальной диагностики. // Терапевтический архив. — 2020 — Т. 92. — №12. — С. 185–194.
4. Terzolo M, Stigliano A, Chiodini I, et al. AME position statement on adrenal incidentaloma. European Journal of Endocrinology. 2011;164(6):851-870. doi: https://doi.org/10.1530/EJE-10-1147
5. Sandru F, Dumitrascu MC, Petca A, et al. Adrenal ganglioneuroma: Prognostic factors (Review). Experimental and Therapeutic Medicine. 2021;22(5):1338. doi: https://doi.org/10.3892/etm.2021.10773
6. Shao M, Zhang W, Niu Z, et al. Computed tomography characteristics of adrenal ganglioneuroma: a retrospective analysis of 30 pathologically-confirmed cases. The Journal of international medical research. 2020;48(11):300060520945510. doi: https://doi.org/10.1177/0300060520945510
7. Iacobone M, Torresan F, Citton M, et al. Adrenal ganglioneuroma: The Padua Endocrine Surgery Unit experience. International journal of surgery. 2017;41 Suppl 1:S103-S108. doi: https://doi.org/10.1016/j.ijsu.2017.03.086
8. Fliedner SMJ, Winkelmann PER, Wesley R, et al. Ganglioneuromas across age groups: Systematic review of individual patient data. Clin Endocrinol (Oxf ). 2021;94(1):12-23. doi: https://doi.org/10.1111/cen.14297
9. Zhou Y, Liang Q, Ou WT, et al. Laparoscopic resection of primary adrenal ganglioneuroma: A case report and review of the literature. Oncol Lett. 2015;9(5):2167-2170. doi: https://doi.org/10.3892/ol.2015.3021
10. Lonergan GJ, Schwab CM, Suarez ES, et al. Neuroblastoma, ganglioneuroblastoma, and ganglioneuroma: radiologicpathologic correlation. Radiographics. 2002;22(4):911-934. doi: https://doi.org/10.1148/radiographics.22.4.g02jl15911
11. Li J, Yang CH, et al. Diagnosis and treatment of 29 cases of adrenal ganglioneuroma. Eur Rev Med Pharmacol Sci. 2013;17(8):1110-1113
12. Mylonas KS, Schizas D, et al. Adrenal ganglioneuroma: What you need to know. World J Clin Cases. 2017;5(10):373-377. doi: https://doi.org/10.12998/wjcc.v5.i10.373
13. Lai MC, Wang CC, et al. Huge adrenal ganglioneuroma. Urology. 2011;78(1):58-59. doi: https://doi.org/10.1016/j.urology.2010.05.006
14. Мельниченко Г.А., Стилиди И.С., Алексеев Б.Я. и др. Федеральные клинические рекомендации по диагностике и лечению адренокортикального рака. // Проблемы Эндокринологии. — 2014. — Т. 60. — №2 — С. 51-67.
15. Dong A, Cui Y, Wang Y, et al. (18)F-FDG PET/CT of adrenal lesions. AJR. American journal of roentgenology. 2014;203(2):245-252. doi: https://doi.org/10.2214/AJR.13.11793
Дополнительные файлы
|
|
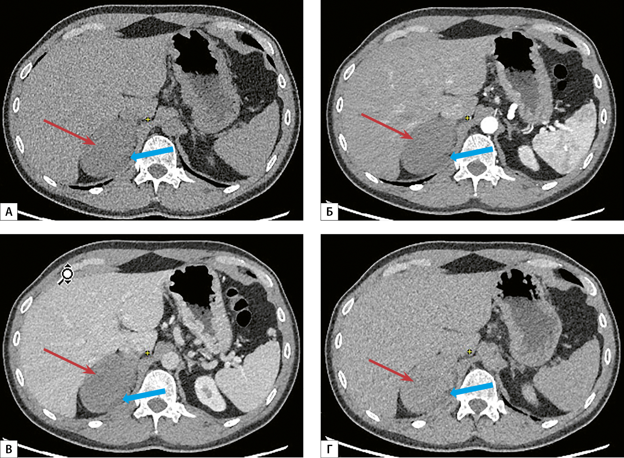
1. Рисунок 1. МСКТ органов брюшной полости с внутривенным болюсным контрастированием: А — нативная фаза, Б — артериальная фаза, В — венозная фаза, Г — отсроченная фаза. Образование правого надпочечника овальной формы с неровными нечеткими контурами (красная стрелка), плотностью по фазам (нативная-артериальная-венозная-отсроченная) 40-45-55-70 ед.Н, по медиальному его контуру определяется вытянутой формы структура, интимно прилежащая к образованию (синяя стрелка). | |
| Тема | ||
| Тип | Исследовательские инструменты | |
Посмотреть
(1MB)
|
Метаданные ▾ | |
|
|
2. Рисунок 2. МРТ надпочечников с внутривенным болюсным контрастированием: А — режим T2-FS, Б — in/out fase, В — DWI/ADC, Г — артериальная фаза, Д — венозная фаза, Е — отсроченная фаза. Образование правого надпочечника (красная стрелка) овальной формы с неровными и четкими контурами, неоднородной структуры, гиперинтенсивного сигнала на DWI, по периферии с участками истинного ограничения диффузии, гиперинтенсивного сигнала на T2-FS, без изменения сигнала на in/out fase, накопление контрастного вещества по периферии образования максимально к отсроченной фазе. По медиальному контуру образования — дополнительная структура вытянутой формы. | |
| Тема | ||
| Тип | Исследовательские инструменты | |
Посмотреть
(1MB)
|
Метаданные ▾ | |
|
|
3. Рисунок 3. Правый надпочечник с опухолью. | |
| Тема | ||
| Тип | Исследовательские инструменты | |
Посмотреть
(652KB)
|
Метаданные ▾ | |
|
|
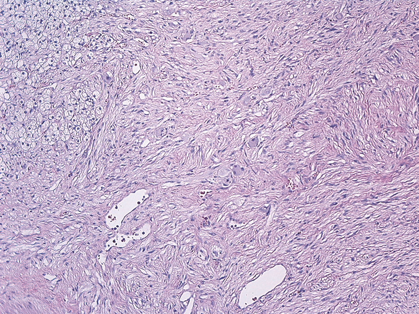
4. Рисунок 4. Опухоль из зрелых Шванновских клеток, формирующих разнонаправленные пучки, среди которых определяются немногочисленные ганглиозные клетки. В левом верхнем углу — участок пучковой зоны коркового слоя надпочечника (х100). | |
| Тема | ||
| Тип | Исследовательские инструменты | |
Посмотреть
(1MB)
|
Метаданные ▾ | |
Рецензия
Для цитирования:
Гаджимурадова М.М., Шевэ А., Тарбаева Н.В., Бельцевич Д.Г., Варламов А.В., Сенюшкина Е.С., Рослякова А.А., Эбзеева А.К., Ким И.В., Мельниченко Г.А., Мокрышева Н.Г. Нозологическая верификация инциденталомы надпочечника. дифференциальная диагностика между ганглионевромой и адренокортикальным раком: клинический случай. Эндокринная хирургия. 2024;18(4):50-57. https://doi.org/10.14341/serg12995
For citation:
Gadzhimuradova M.M., Chevais A., Tarbaeva N.V., Beltsevich D.G., Varlamov A.V., Senyushkina E.S., Roslyakova A.A., Ebzeeva A.K., Kim I.V., Melnichenko G.A., Mokrysheva N.G. Nosological verification of adrenal incidentaloma. differential diagnosis between ganglioneuroma and adrenocortiocal cancer: a clinical case. Endocrine Surgery. 2024;18(4):50-57. (In Russ.) https://doi.org/10.14341/serg12995
Контент доступен под лицензией Creative Commons Attribution-NonCommercial-NoDerivatives 4.0 International License (CC BY-NC-ND 4.0).




































