Перейти к:
Частный случай поздней диагностики первичного гиперпаратиреоза
https://doi.org/10.14341/serg10265
Аннотация
Первичный гиперпаратиреоз – социально значимая проблема в связи с тем, что анализ крови на кальций в России не является рутинным исследованием и диагностика проводится на стадии необратимых осложнений. Так, в нашу клинику обратился пациент, у которого в динамике развилась клиническая картина осложнений гиперпаратиреоза. В стационаре были проведены диагностические исследования, включающие в первую очередь определение концентрации кальция крови с последующим более полным обследованием, по результатам которого подтвержден гиперпаратиреоз. Методами топической диагностики (ультразвуковое исследование околощитовидных желез и сцинтиграфия с Тс-99m-технетрилом) выявлена аденома левой нижней околощитовидной железы. После проведенного хирургического лечения концентрация кальция и уровень ПТГ значительно снизились. По поводу выраженного послеоперационного гипопаратиреоза были назначены высокие дозы препаратов кальция и витамина D. Учитывая наличие тяжелых костно-висцеральных осложнений гиперпаратиреоза, в настоящий момент пациент нуждается в длительном курсе реабилитации. Описанный нами случай показывает, что во избежание последствий поздней диагностики видится необходимость определять концентрацию кальция на рутинном уровне. Таким образом, можно предупредить развитие осложнений заболевания и инвалидизацию пациентов.
Ключевые слова
Для цитирования:
Трошина В.В., Латкина Н.В., Мамедова Е.О., Белая Ж.Е., Кузнецов Н.С. Частный случай поздней диагностики первичного гиперпаратиреоза. Эндокринная хирургия. 2019;13(2):95-100. https://doi.org/10.14341/serg10265
For citation:
Troshina V.V., Latkina N.V., Mamedova E.O., Belaya Zh.E., Kuznetzov N.S. Special case of primary hyperparathyroidism late diagnosis. Endocrine Surgery. 2019;13(2):95-100. (In Russ.) https://doi.org/10.14341/serg10265
Актуальность
Первичный гиперпаратиреоз (ПГПТ) – эндокринное заболевание, в основе патогенеза которого лежит избыточная секреция паратиреоидного гормона (ПТГ) при сохранении верхне-нормального уровня или повышении концентрации кальция в крови вследствие первичной патологии околощитовидных желез (ОЩЖ) [1–5].
Физиологически предусмотрена секреция ПТГ в ответ на снижение концентрации кальция ионизированного в межклеточной жидкости. Действие ПТГ основано на трех механизмах: повышение абсорбции кальция из пищи в желудочно-кишечном тракте (за счет активации витамина D и стимуляции им кальций-связывающей молекулы), повышение реабсорбции кальция в почечных канальцах параллельно с уменьшением реабсорбции фосфатов (и, как следствие, повышением его экскреции с мочой и снижением концентрации во внеклеточном пространстве), повышение активности остеокластов с увеличением резорбции костной ткани [2].
Распространенность ПГПТ – 1–2% в популяции [4, 5]. Наиболее частой причиной заболевания является солитарная аденома ОЩЖ (паратирома) – 80–85% случаев ПГПТ. Выделяют манифестную и мягкую формы ПГПТ. Манифестная форма проявляется яркой клинической картиной поражений костей (остеопороз, патологические переломы, остеодистрофия) и/или внутренних органов: почек, желудочно-кишечного тракта, сердечно-сосудистой системы (гипертрофия левого желудочка) [5, 10]. Соответственно выделяют костную, висцеральную и смешанную формы внутри манифестной. Мягкая форма – малосимптомная либо асимптомная [5].
Заболеваемость ПГПТ выше среди женщин (87%), но без учета менопаузы значимой разницы в частоте заболеваемости среди мужчин и женщин не отмечено. Медиана возраста – 59 лет [6, 7, 9].
По данным литературы, из 20 случаев ПГПТ приблизительно 1 является наследственным и возникает как изолированная форма либо в сочетании с иными клиническими проявлениями [3, 8]. При этом речь идет о таких синдромах, как МЭН-1, МЭН-2А, МЭН-4, HPT-JT, семейной гипокальциурической гиперкальциемии и семейном изолированном гиперпаратиреозе. К развитию наследственных синдромов, ассоциированных с ПГПТ и перечисленных выше, соответственно приводят мутации в генах MEN1, RET, CDKN1B, CDC73, CASR; при семейном изолированном гиперпаратиреозе в некоторых случаях обнаруживаются мутации в генах MEN1, CASR или CDC73 [3, 11]. До 20–23% случаев наследственной патологии представлены герминативной мутацией MEN1, 14–18% – CASR, мутации CDC73 встречаются реже, CDKN1A – крайне редко [1]. С учетом более распространенного спорадического характера ПГПТ в молодом возрасте с преобладанием солитарных аденом ОЩЖ и ремиссией заболевания после хирургического лечения, необходимость в молекулярно-генетическом скрининге на дооперационном этапе у всех молодых пациентов с ПГПТ в настоящее время сомнительна [3].
Методом выбора для лечения ПГПТ, за исключением мягкой, малосимптомной формы, с эффективностью 92% является хирургическое вмешательство [4]. Рецидив заболевания с необходимостью повторного оперативного лечения возникает менее чем в 8% случаев [10]. Консервативная терапия гиперпаратиреоза включает в себя использование амино-бифосфонатов и кальциймиметиков (цинакальцет) и оправдана в тех случаях, когда невозможно либо отсрочено проведение оперативного лечения [5, 10].
Описание случая
В хирургическое отделение НМИЦ эндокринологии 11.12.2018 в тяжелом состоянии был госпитализирован пациент 30 лет с основным диагнозом: “Первичный гиперпаратиреоз тяжелого течения, смешанная форма. Аденома левой околощитовидной железы”. Из осложнений основного заболевания диагностированы: “Гиперпаратиреоидная остеодистрофия. Доброкачественная гигантоклеточная опухоль носоглотки с распространением на придаточные пазухи носа слева. Закрытые патологические переломы обеих плечевых костей в верхней трети со смещением, перелом правой бедренной кости от 07.11.2018. Множественные образования костей (бурые опухоли). Мочекаменная болезнь, камни обеих почек. Инфекция мочевыводящих путей, обострение. Язва луковицы двенадцатиперстной кишки, вне обострения”. Сопутствующая патология включает: “Пролежень пяточной области слева. Железодефицитная анемия средней степени тяжести. Недостаточность кардии. Дуоденогастральный рефлюкс. Состояние после БИОС правой бедренной кости гамма-стержнем (19.11.2018) по поводу перелома верхней трети правой бедренной кости со смещением (07.11.2018). Состояние после эндоскопической уретеролитоэкстракции слева, стентирования левого мочеточника от 28.11.2018”. На момент поступления кальций общий 2,68 ммоль/л, кальций ионизированный 1,4 ммоль/л, ПТГ 4335 пг/мл.
Из анамнеза известно, что первое обращение к врачу, от которого можно начать отслеживать динамику заболевания, произошло в 2013 г. по поводу мочекаменной болезни. Сам пациент считает себя больным с 2016 г., когда слева в периорбитальной области появилось плотное опухолевидное образование небольшого размера. По данным биопсии образования – доброкачественная гигантоклеточная опухоль. Проведена КТ органов грудной клетки без контрастирования: в области верхнего средостения слева на уровне СVII–ThXII выявлено гиподенсное объемное образование с четкими ровными контурами, несколько смещающее трахею вправо, интимно прилежащее к пищеводу и распространяющееся до нижнего края левой доли щитовидной железы, без признаков инвазии, размерами 4,4 × 2,4 × 4,0 см (а также вторичные изменения VIII ребра справа, VI ребра слева, в заднем отрезке IX ребра, ThXII, головке плечевой кости). По данным КТ черепа в полости носа больше слева определено образование с гипоинтенсивным сигналом 39 × 30 × 41 мм. При лабораторном обследовании 16.10.2018 концентрация ПТГ составила 1269 пг/мл. Кальций не исследовался. М-градиент, белок Бенс-Джонса – не выявлены.
На амбулаторный прием в НМИЦ эндокринологии пациент обратился 06.11.2018. Концентрация кальция общего (по cito) составила 3,63 ммоль/л. Диагностирован первичный гиперпаратиреоз, по жизненным показаниям назначен цинакальцет 30 мг 2 раза в сутки, рекомендована госпитализация в специализированное отделение. Однако 07.11.2018 при падении с высоты собственного роста пациент перенес закрытые патологические переломы обеих плечевых костей в верхней трети со смещением, перелом верхней трети правой бедренной кости со смещением с развитием травматического шока 1-й степени. Был выполнен блокируемый интрамедуллярный остеосинтез (БИОС) правой бедренной кости гамма-стержнем. Остеосинтез обеих плечевых костей запланирован в отсроченном порядке.
Тогда же при гастроскопии выявлена язва луковицы двенадцатиперстной кишки без признаков кровотечения.
22.11.2018 пациент госпитализирован в отделение нейроэндокринологии и остеопатий НМИЦ эндокринологии, подтвержден первичный гиперпаратиреоз тяжелого течения (ПТГ 876,7 пг/мл, кальций общий 3,3 ммоль/л, кальций ионизированный 1,7 ммоль/л). При УЗИ ОЩЖ за нижней третью левой доли щитовидной железы и ниже определяется образование размерами 6 × 3,2 × 2,5 см, с четкими контурами, пониженной эхогенности. По данным сцинтиграфии выявлены признаки образования левой паращитовидной железы с высокой функциональной активностью. В связи с наличием обтурации левого мочеточника конкрементами и обострением инфекции мочевыводящих путей проведение необходимого оперативного лечения было сопряжено с высоким риском развития периоперационных осложнений (абсцесс почки). 27.11.2018 переведен в ГКБ №31, где 28.11.2018 проведена эндоскопическая уретеролитоэкстракция слева, стентирование левого мочеточника.
Повторно госпитализирован в НМИЦ эндокринологии 30.11.2018. Однако в связи с фебрильной лихорадкой и лейкоцитозом с увеличением СОЭ в общеклиническом анализе крови проводилась антибактериальная терапия. Учитывая низкое содержание гемоглобина (79 г/л) на фоне высокой концентрации ферритина (>500 нг/мл***), проводилась инфузия эритроцитарной массы с достижением концентрации гемоглобина 109 г/л.
Таким образом, пациент был подготовлен к операции, и 12.12.2018 выполнено оперативное вмешательство в объеме парааденомэктомии слева. ПТГ непосредственно перед операцией – 744 пг/мл, в послеоперационном периоде от 14.12.2018 – 34,7 пг/мл. В связи с тенденцией к гипокальциемии (кальций общий 1,97 ммоль/л) инициирована терапия препаратами кальция и витамина D. В динамике отмечено нарастание гипокальциемии, несмотря на увеличение доз таблетированного кальция и альфакальцидола под контролем ионизированного кальция крови. К моменту выписки достигнуто равновесное состояние на фоне приема карбоната кальция 8000 мг/сут и альфакальцидола 3 мкг/сут.
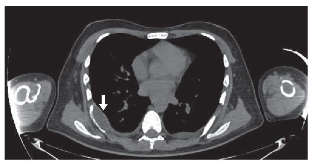
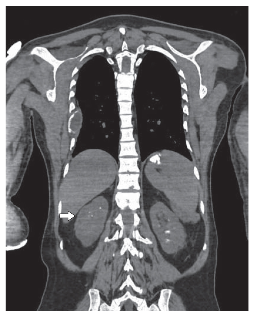
На третьи-четвертые сутки с момента операции отмечено появление субфебрильной лихорадки к вечеру с подъемом на пятые сутки до фебрильной. В общем анализе крови – увеличение СОЭ до 31 мм/ч без признаков лейкоцитоза. В общем анализе мочи – лейкоцитурия до 29 в п/зрения. Проведена МСКТ органов грудной полости, органов брюшной полости и забрюшинного пространства с выявлением КТ-картины псевдомембранозного (?) колита, мезентериальной количественной лимфаденопатии, гиповентиляции в нижних долях легких и незначительного количества жидкости в плевральных полостях. Визуализированы повторно множественные конкременты в чашечках почек (рис. 1) и конкремент в мочевом пузыре, множественные образования костей (бурые опухоли, рис. 2), с наличием патологических переломов левой и правой плечевых костей (рис. 3). Отмечены послеоперационные изменения – неоднородность мягких тканей шеи с наличием включений газа и жидкости слева. Проводилась антибактериальная и дезинтоксикационная терапия. В остальном – послеоперационный период без осложнений.
Рис. 1. Конкременты в почках.
Рис. 2. Бурые опухоли.
Рис. 3. Левая и правая плечевые кости.
Пациент выписан с улучшением на 12-е сутки после операции.
При морфологическом исследовании послеоперационного материала – гистологическая картина аденомы околощитовидной железы из главных и “водянистых” клеток, фолликулярного строения, с очагами кистозно расширенных фолликулярных структур, свежих и старых кровоизлияний, фиброза.
Через 3 мес после операции в связи с достижением насыщения кальцием (общий кальций 2,43 ммоль/л) уменьшена доза карбоната кальция до 1500 мг в сутки, доза альфакальцидола – до 2 мкг/сут.
Через 4 мес после операции в стационаре было проведено лабораторно-инструментальное обследование для оценки отстроченной послеоперационной динамики: ПТГ 69,97 пг/мл, ионизированный кальций 1,1 ммоль/л, общий кальций 2,4 ммоль/л, щелочная фосфатаза 177 Ед/л, остеокальцин 84,67 нг/мл, С-концевой телопептид коллагена 1 типа 1,45 нг/мл. Впервые выполнена денситометрия (выполнение ее ранее было затруднено в связи с гипсовыми повязками): выраженный остеопороз в области лучевой кости Total по Z-score -5,4, в проксимальных отделах бедренной кости Total по Z-score -2,2, снижения в LI–IV не выявлено. В плане дальнейшего лечения – постепенное уменьшение дозы альфакальцидола. По данным рентгенографии плечевых костей выявлено формирование ложного сустава справа, угловая деформация слева.
Обсуждение
Описанный клинический случай является примером развития ПГПТ в молодом возрасте, вследствие чего было рекомендовано исключить наследственный характер заболевания. Нет известных данных о заболеваниях-спутниках ПГПТ в рамках наследственных синдромов, не получено сведений о ПГПТ у родственников. Проведен молекулярно-генетический анализ (панель custom Ampliseq_PA_HPT) – патологических изменений не выявлено. Таким образом, данный случай заболевания, по всей видимости, является спорадическим.
Представляет особый интерес этапность проявления симптомов заболевания. Как известно, впервые пациент обратился к врачу по поводу мочекаменной болезни, что уже может являться показателем длительно существующей недиагностированной гиперкальциемии. Развитие в периорбитальной области доброкачественной гигантоклеточной опухоли (редкая локализация), как и бурых опухолей костей в последующем, следует рассматривать как вторичные изменения костной ткани при гиперпаратиреозе.
В последующем пациент перенес закрытые малотравматичные переломы, диагностирована язвенная болезнь, что послужило поводом для принятия решения о необходимости оперативного лечения.
В послеоперационном периоде на фоне выраженной положительной динамики и насыщающей терапии карбонатом кальция в связи с активным поглощением кальция костной тканью диагностировалась временная гипокальциемия – синдром “голодных костей”, доза карбоната кальция в сутки составила 8 г, доза альфакальцидола – 3 мг. В динамике по мере насыщения костной ткани кальцием потребовалось уменьшение дозы карбоната кальция и альфакальцидола с удовлетворительным клиническим эффектом.
В настоящий момент пациенту необходима консультация травматолога и курс реабилитации.
Заключение
ПГПТ достаточно редко диагностируется, в том числе в молодом возрасте, что может быть связано с низкой частотой выявления заболевания во всех возрастных группах. Однако диагностика на стадии развития поражений органов-мишеней приводит к последующей инвалидизации и снижению качества жизни, в связи с чем необходимо повышать осведомленность врачей разных специализаций о ПГПТ и внедрять определение концентрации кальция в сыворотке крови в рутинную практику.
Дополнительная информация
Согласие пациента. Медицинские данные опубликованы с письменного согласия пациента.
Конфликт интересов. Авторы декларируют отсутствие явных и потенциальных конфликтов интересов, связанных с публикацией настоящей статьи.
Участие авторов: все авторы принимали непосредственное участие в лечении пациента, внесли существенный вклад в подготовку статьи, прочли и одобрили финальную версию до публикации.
Список литературы
1. Дедов И.И., Мельниченко Г.А., Мокрышева Н.Г., и др. Первичный гиперпаратиреоз: клиника, диагностика, дифференциальная диагностика, методы лечения. Клинические рекомендации. // Проблемы эндокринологии. – 2016. – T. 62. – №6. – С. 40-77. [Dedov II, Melnichenko GA, Mokrysheva NG, et al. Primary hyperparathyroidism: the clinical picture, diagnostics, differential diagnostics, and methods of treatment. Problems of Endocrinology. 2016;62(6):40-77. (In Russ.)] doi: https://doi.org/10.14341/probl201662640-77.
2. Кеттайл В.М., Арки Р.А. Патофизиология эндокринной системы. / Под общ. ред. Наточина Ю.В.; пер. с англ. под ред. Смирнова Н.А. – М.: БИНОМ; 2010. – С. 145-155. [Kettyle WM, Arky RA. Endocrine pathophysiology. Ed by Natochin Yu.V.; translation from English ed by Smirnov N.A. Moscow: Binom; 2010. p. 145-155. (In Russ.)]
3. Мамедова Е.О., Мокрышева Н.Г., Рожинская Л.Я. Особенности первичного гиперпаратиреоза у пациентов молодого возраста. // Проблемы эндокринологии. – 2018. – T. 64. – №3. – С. 163-169. [Mamedova EO, Mokrysheva NG, Rozhinskaya LYa. Characteristics of primary hyperparathyroidism in young patients. Problems of Endocrinology. 2018;64(3):163-169. (In Russ.)] doi: https://doi.org/10.14341/probl9399.
4. Мокрышева Н.Г. Первичный гиперпаратиреоз (эпидемиология, клиника, современные принципы диагностики и лечения): Автореферат дисс. … докт. мед. наук. – М.; 2011. – 47 c. [Mokrysheva NG. Pervichnyi giperparatireoz (epidemiologiya, klinika, sovremennye printsipy diagnostiki i lecheniya) [dissertation abstract]. Moscow; 2011. 47 p. (In Russ.)] Доступно по: http://medical-diss.com/medicina/pervichnyy-giperparatireoz. Ссылка активна на 12.08.2019.
5. Первичный гиперпаратиреоз: Клиника, диагностика, дифференциальная диагностика, методы лечения. Проект федеральных клинических рекомендаций. / Под ред. Дедова И.И., Мельниченко Г.А. – М.; 2016. – 90 c. [Pervichnyi giperparatireoz: Klinika, diagnostika, differentsial'naya diagnostika, metody lecheniya. Proekt federal'nykh klinicheskikh rekomendatsii. Ed by Dedov I.I., Mel'nichenko G.A. Moscow; 2016. 90 p. (In Russ.)]
6. Сапожникова И.Е. Особенности клинического течения первичного гиперпаратиреоза. // Терапевтический архив. – 2018. – T. 90. – №10. – С. 51-54. [Sapozhnikova IE. Primary hyperparathyroidism clinical features on endocrinology in-patients clinic. Ter Arkh. 2018;90(10):51-54. (In Russ.)] doi: https://doi.org/10.26442/terarkh2018901051-54.
7. Assadipour Y, Zhou H, Kuo E, et al. End-organ effects of primary hyperparathyroidism: a population-based study. Surgery. 2019;165(1):99-104. doi: https://doi.org/10.1016/j.surg.2018.04.088.
8. Giusti F, Cavalli L, Cavalli T, Brandi ML. Hereditary hyperparathyroidism syndromes. J Clin Densitom. 2013;16(1):69-74. doi: https://doi.org/10.1016/j.jocd.2012.11.003.
9. Bilezikian JP, Silva BC, Cusano NE. Primary hyperparathyroidism – hypercalcemic and normocalcemic variants. Curr Opin Endocr Metab Res. 2018;3:42-50. doi: https://doi.org/10.1016/j.coemr.2018.03.003.
10. Khan A, Hanley D, Rizzoli R, et al. Primary hyperparathyroidism: review and recommendations on evaluation, diagnosis, and management. A Canadian and international consensus. Osteoporos Int. 2016;28(1):1-19. doi: https://doi.org/10.1007/s00198-016-3716-2.
11. Langer P, Wild A, Hall A, et al. Prevalence of multiple endocrine neoplasia type 1 in young patients with apparently sporadic primary hyperparathyroidism or pancreaticoduodenal endocrine tumours. Br J Surg. 2003;90(12):1599-1603. doi: https://doi.org/10.1002/bjs.4355.
Об авторах
Виктория Вадимовна ТрошинаРоссия
клинический ординатор
Нонна Вадимовна Латкина
Россия
кандидат медицинских наук
Елизавета Октаевна Мамедова
Россия
кандидат медицинских наук
Жанна Евгеньевна Белая
Россия
доктор медицинских наук, профессор
Николай Сергеевич Кузнецов
Россия
доктор медицинских наук, профессор
Дополнительные файлы
|
1. Рис. 1. Конкременты в почках. | |
Тема | ||
Тип | Прочее | |
Посмотреть
(295KB)
|
Метаданные ▾ |
|
2. Рис. 2. Бурые опухоли. | |
Тема | ||
Тип | Прочее | |
Посмотреть
(157KB)
|
Метаданные ▾ |
|
3. Рис. 3. Левая и правая плечевые кости. | |
Тема | ||
Тип | Прочее | |
Посмотреть
(274KB)
|
Метаданные ▾ |
Рецензия
Для цитирования:
Трошина В.В., Латкина Н.В., Мамедова Е.О., Белая Ж.Е., Кузнецов Н.С. Частный случай поздней диагностики первичного гиперпаратиреоза. Эндокринная хирургия. 2019;13(2):95-100. https://doi.org/10.14341/serg10265
For citation:
Troshina V.V., Latkina N.V., Mamedova E.O., Belaya Zh.E., Kuznetzov N.S. Special case of primary hyperparathyroidism late diagnosis. Endocrine Surgery. 2019;13(2):95-100. (In Russ.) https://doi.org/10.14341/serg10265

Контент доступен под лицензией Creative Commons Attribution-NonCommercial-NoDerivatives 4.0 International License (CC BY-NC-ND 4.0).