Перейти к:
Возможности предоперационного ультразвукового исследования сосудов шеи в диагностике невозвратного гортанного нерва
https://doi.org/10.14341/serg10354
Аннотация
Обоснование. Согласно анатомическим данным, невозвратный гортанный нерв является достаточно распространенной аномалией в популяции и может встречаться у 4,78% людей. В то же время невозвратный гортанный нерв является сложной для визуализации структурой, что увеличивает риск его повреждения во время операции.
Цель: определить эффективность ультразвукового исследования сосудов шеи в предоперационной диагностике аберрантной правой подключичной артерии (arteria lusoria, “загадочная артерия”) и сопутствующей ей аномалии ветвей блуждающего нерва.
Методы. В обсервационное одноцентровое одномоментное выборочное неконтролируемое исследование были включены пациенты, оперированные по поводу патологии щитовидной и околощитовидных желез. В предоперационном периоде всем больным выполнялось ультразвуковое сканирование сосудов правой половины шеи и средостения с визуализацией брахиоцефального ствола и его ветвей. При выявлении у пациента данных артериальных структур мобилизация щитовидной железы начиналась с лигирования сосудов верхнего полюса, а поиск возвратного гортанного нерва осуществлялся вторым этапом. При отсутствии брахиоцефального ствола правая общая сонная артерия прослеживалась максимально низко до дуги аорты с оценкой ее синтопии с правой подключичной артерией. В таких случаях мобилизация щитовидной железы начиналась с боковой поверхности доли с обязательной визуализацией всех структур этой зоны и первичным поиском нижнего гортанного нерва. В послеоперационном периоде при выявлении невозвратного гортанного нерва выполнялась компьютерная томография брахиоцефальных артерий.
Результаты. В исследование включено 212 пациентов. Из них у 202 (95,28%) больных по данным предоперационного ультразвукового исследования выявлен брахиоцефальный ствол и возвратный гортанный нерв располагался в типичном для себя месте. В 4 (1,89%) случаях при сканировании сосудов шеи выявлена arteria lusoria. Во время операции у данного контингента пациентов визуализирован невозвратный гортанный нерв, а по данным ангиографии подтверждено наличие аберрантной правой подключичной артерии. В 6 (2,83%) случаях в связи с конституционными особенностями пациентов при ультразвуковом исследовании брахиоцефальный ствол и arteria lusoria выявить не удалось. Однако во всех этих случаях во время операции визуализирован типичный возвратный гортанный нерв.
Заключение. Ультразвуковое исследование сосудов шеи является эффективным способом выявления arteria lusoria, которая является предиктором наличия невозвратного гортанного нерва у пациентов.
Ключевые слова
Для цитирования:
Куприн А.А., Малюга В.Ю. Возможности предоперационного ультразвукового исследования сосудов шеи в диагностике невозвратного гортанного нерва. Эндокринная хирургия. 2019;13(3):118-132. https://doi.org/10.14341/serg10354
For citation:
Kuprin A.A., Malyuga V.Y. Possibilities of preoperative ultrasound of neck vessels in the diagnosis of non-recurrent laryngeal nerve. Endocrine Surgery. 2019;13(3):118-132. (In Russ.) https://doi.org/10.14341/serg10354
Обоснование
“Односторонний паралич абдуктора является несчастьем, двусторонний паралич абдуктора – трагедией” (Crile G.W., 1929) [1]. В настоящее время интраоперационная визуализация возвратного гортанного нерва (ВГН) является, пожалуй, аксиомой для всех хирургов-эндокринологов. Однако так было не всегда. В начале ХХ века считалось, что если операцию на щитовидной железе (ЩЖ) проводит хирург, знающий анатомию ВГН, то процент повреждений нерва выше, нежели у хирурга, незнакомого с анатомией ВГН. Первая основополагающая работа о необходимости тщательной визуализации и выделения ВГН в ходе операций на ЩЖ принадлежит F.H. Lahey (1938). Автор заявил, что “аккуратное препарирование и демонстрация ВГН при каждой тиреоидэктомии не только не увеличило, но даже уменьшило число случаев повреждения ВГН” [1].
Несмотря на обязательное выявление ВГН и применение новых технологий во время операций, парезы гортани до сих пор не являются казуистикой. По сообщению S.S. Chandrasekhar и соавт., основанному на анализе лечения 27 000 пациентов, парез мышц гортани после операций на ЩЖ в среднем развивался у 9,8% больных. Кроме того, можно отметить, что данные авторов значительно разнятся и одностороннее нарушение подвижности голосового аппарата регистрируется от 2,3 до 26% случаев. Вариабельность значений обусловлена следующими основными причинами: применение различных методов оценки подвижности голосовых связок, отсутствие отдельного учета транзиторных и постоянных форм пареза гортани. Так, количество диагностированных нарушений подвижности голосовых связок увеличивается как минимум вдвое, если проводить прямую фиброларингоскопию всем пациентам после тиреоидэктомии [2].
По мнению многих исследователей, немалую роль в сохраняющемся уровне послеоперационных парезов играют аномалии и различные варианты расположения гортанных нервов. Примером сложной для визуализации структуры при операциях на ЩЖ и околощитовидных железах (ОЩЖ) может служить невозвратный гортанный нерв (НВГН). Все авторы, изучающие данную проблему, единогласны в том, что НВГН повреждается в разы чаще, нежели ВГН. В исследовании, включавшем 6000 пациентов, парезы гортани при НВГН отмечались в 13–14% случаев, тогда как при обычном расположении нерва – у 1,8% больных [3–7].
К сожалению, в связи с малой изученностью данной аномалии отсутствует и общепринятое анатомическое название, а в классических атласах анатомии подобная структура не упомянута вовсе. В научных публикациях встречаются такие термины, как “невозвращающийся возвратный гортанный нерв” [8], “невозвратный нижний гортанный нерв”, “невозвратный гортанный нерв” [6], а в англоязычной интерпретации – “non-recurrent laryngeal nerve”.
Одним из заблуждений, связанных с НВГН, является мнение о крайней редкости подобной аномалии. Так, по данным одних авторов, распространенность НВГН в популяции составляет 0,5–0,7% [4]. Интраоперационное выявление нерва отмечено в 0,4–1,94% случаев [9]. Однако согласно исследованиям, проведенным на трупах, эти цифры занижены как минимум в два раза и могут достигать 4,78% [10]. Такие высокие показатели объясняются сложностью визуализации нерва во время операции, а также разными вариантами расположения НВГН, которые можно принять за типичный ВГН [11].
Установлено, что наличие НВГН сопряжено с аномалией развития сосудистого русла дуги аорты. С появлением компьютерной томографии (КТ) и рутинным ее использованием специалистами различного профиля стало понятно, что подобный вариант развития сосудов в популяции встречается чаще, нежели предполагалось ранее. По некоторым данным, аберрантная правая подключичная артерия (“загадочная артерия”, arteria lusoria – AL) выявляется у 6% населения, что опять же коррелирует с данными по распространенности НВГН, полученными в исследованиях на трупах [9, 12, 13].
Использование на дооперационном этапе эффективного метода диагностики аномалии сосудистого русла может уменьшить время поиска НВГН, предотвратить его повреждения, а следовательно, и число парезов гортани. Предоперационная идентификация НВГН включает в себя рентгенографию органов грудной клетки, пищевода, ультразвуковое исследование (УЗИ) сосудов шеи, КТ, магнитно-резонансную томографию, эзофагогастроскопию. Однако рутинное использование этих методов на практике ограничено рядом факторов: малая точность, инвазивность, небезопасность, финансовые затраты. Золотым стандартом диагностики “загадочной артерии” является КТ-ангиография ветвей дуги аорты, которая выполняется у данной категории пациентов крайне редко [6, 14]. Только в 6–24% случаев наличие НВГН устанавливается на дооперационном этапе, используя различные методы исследований. По этой причине до сих пор во многих клиниках интраоперационная прецизионная диссекция тканей остается основным способом диагностики аномалии нерва [6]. Однако, как отмечают другие авторы, поиск НВГН во время операции сложен и является стрессовым этапом операции для хирурга. Так, если лигирование сосудов верхнего полюса доли ЩЖ выполняется до выделения нерва, то повреждение I типа НВГН практически неизбежно [15].
Цель
Целью данной работы является определить эффективность УЗИ сосудов шеи в предоперационной диагностике AL и сопутствующей ей аномалии ветвей блуждающего нерва.
Методы
Дизайн исследования
Проведено обсервационное одноцентровое одномоментное выборочное неконтролируемое исследование эффективности предоперационного УЗИ сосудов шеи в выявлении AL и НВГН.
Критерии соответствия
Для участия в исследовании пациентов отбирали по критериям включения:
- пациенты, направленные на плановое оперативное вмешательство с патологией ЩЖ и ОЩЖ;
- пациенты, которым выполнялись вмешательства на правой половине шеи с выделением правого нижнего гортанного нерва.
Продолжительность исследования
Общая продолжительность исследования составила 22 мес (с 28.08.2017 по 24.06.2019). Период стационарного лечения длился 3 койко-дня (97,6% пациентов). В день госпитализации выполнялось УЗИ ЩЖ, ОЩЖ, клетчаточных пространств шеи, гортани с оценкой подвижности голосовых связок и сосудистых структур правой половины шеи. Оперативное вмешательство проводилось на второй день госпитализации. В послеоперационном периоде выполнялось повторное УЗИ гортани, а при необходимости – консультация отоларинголога. При выявлении НВГН топография сосудистых структур уточнялась на основании мультиспиральной КТ шеи и верхнего средостения с внутривенным контрастированием.
Описание медицинского вмешательства
Дооперационный период
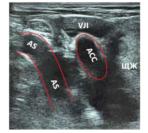
УЗИ выполнялось пациентам в положении лежа на спине с валиком под лопатками и ротацией головы влево. УЗИ проводилось в В-режиме и режиме цветного допплеровского картирования. Методика заключалась в прослеживании хода правой общей сонной артерии до брахиоцефального ствола (БЦС) и выявлении Y-признака (область бифуркации БЦС на правую подключичную и общую сонную артерии при УЗИ выявлялась в виде Y-образной структуры) (рис. 1). При отсутствии подобной структуры правая общая сонная артерия прослеживалась максимально низко по возможности до дуги аорты. Далее визуализировалась правая подключичная артерия и оценивались ее ход и синтопия с правой общей сонной артерией, трахеей.
Рис. 1. УЗИ сосудов шеи (цветное дуплексное сканирование). Выявление Y-признака. ACC – arteria carotis communis dexter, AS – arteria subclavia dexter, TBC – truncus brachiocephalicus.
Ход оперативного вмешательства
Доступ к ЩЖ и ОЩЖ осуществлялся традиционным разрезом Кохера. При выявлении Y-признака мобилизация доли ЩЖ начиналась с лигирования сосудов верхнего полюса и выделения пространства, в котором располагается наружная ветвь верхнего гортанного нерва. Поиск ВГН был вторым этапом. При отсутствии Y-признака мобилизация ЩЖ начиналась с боковой поверхности доли, визуализации всех структур этой зоны с перевязкой срединных вен и первичным поиском нижнего гортанного нерва. При этом диссекция тканей в случае с ВГН осуществлялась до правой подключичной артерии, а при НВГН – до блуждающего нерва.
Послеоперационный период
На вторые сутки после операции проводилось полипозиционное УЗИ голосового аппарата линейным датчиком в В-режиме с оценкой подвижности, смыкания истинных голосовых связок и ложных голосовых складок. При наличии сонографических признаков пареза гортани или множества артефактов, не позволяющих адекватно оценить ультразвуковую картину, пациент направлялся на консультацию к отоларингологу. При выявлении НВГН выполнялась мультиспиральная КТ сосудов шеи.
Основной исход исследования
На основании проведенного исследования определена чувствительность и специфичность дооперационного УЗИ сосудов шеи в диагностике НВГН.
Дополнительные исходы исследования
Определена частота односторонних парезов гортани в раннем послеоперационном периоде при выявлении НВГН и ВГН.
Методы регистрации исходов
УЗИ проводилось на сканерах Esaote MyLab 70 и Samsung Medison SonoAce X8-RUS с использованием линейных LA523 (4–13 МГц), LN5–12 (5–12 MГц) и конвексных датчиков CA631 (1–8 МГц), C2–8 (2–8 МГц).
Мультиспиральная КТ сосудов шеи и верхнего средостения выполнялась с внутривенным контрастированием на аппарате Toshiba Aquilion PRIME TSX-302A с последующим созданием трехмерных моделей сосудистого русла.
Эффективность УЗИ оценивалась на основании выявления ВГН или НВГН во время операции (интраоперационный этап) и по характерной КТ-картине сосудистой аномалии (послеоперационный период).
Этическая экспертиза
Данная работа является обсервационным исследованием и не требует проведения этической экспертизы (локальный этический комитет ГБУЗ ГКБ им. А.К. Ерамишанцева ДЗМ, выписка из протокола №09(1)-2019 от 10.09.2019).
Статистический анализ
Статистический анализ выполнен с использованием пакета прикладных программ SPSS Statistics 23.0. В работе использованы методы описательной статистики. Количественные переменные представлены в виде М ± SD, где М – среднее значение, SD – стандартное отклонение. Для оценки диагностической значимости УЗИ сосудов шеи в верификации НВГН рассчитывались чувствительность, специфичность, прогностическая ценность положительного и отрицательного результата, диагностическая точность метода.
Результаты
Объекты (участники) исследования
В исследование включено 212 пациентов с патологиями ЩЖ и ОЩЖ, прооперированных в ГКБ им. А.К. Ерамишанцева. Распределение по полу: 196 женщин и 16 мужчин. Средний возраст пациентов составил 57 ± 13,4 года. Правосторонняя гемитиреоидэктомия выполнена 78 пациентам, тиреоидэктомия – 116, паратиреоидэктомия с выделением правого ВГН – 18.
Основные результаты исследования
Пациенты разделены на три группы на основании результатов, полученных при УЗИ сосудов шеи (табл. 1).
Таблица 1. Распределение пациентов в зависимости от предоперационной сонографической картины
|
Предоперационный этап УЗИ сосудов шеи (количество пациентов) |
Интраоперационный этап Визуализация НВГН (количество пациентов) |
Послеоперационный этап КТ-ангиография (количество пациентов) |
|
|
Выявлен Y-признак |
202 (95,28%) |
0 |
– |
|
Y-признак отсутствовал (выявлена AL) |
4 (1,89%) |
4 (1,89%) |
4 (1,89%) |
|
Y-признак отсутствовал (AL отсутствовала) |
6 (2,83%) |
0 |
– |
|
Всего пациентов |
212 (100%) |
4 (1,89%) |
4 (1,89%) |
По данным предоперационного УЗИ у 202 (95,28%) пациентов определялся БЦС с бифуркацией на правую подключичную и общую сонную артерии в виде Y-образной структуры (рис. 1).
При выявлении Y-признака мобилизация ЩЖ начиналась с перевязки сосудов верхнего полюса. Только после этой манипуляции мы приступали к поиску ВГН, который во всех случаях располагался в типичном для себя месте (в треугольнике Симонса). В послеоперационном периоде КТ-ангиография не выполнялась.
На дооперационном этапе при УЗИ сосудов шеи в 4 (1,89%) случаях была выявлена AL, для которой отмечен ряд характерных сонографических признаков.
- Правая общая сонная артерия является первой ветвью дуги аорты. Двум пациенткам удалось проследить правую общую сонную артерию до дуги аорты. При этом БЦС отсутствовал. Можно также отметить, что обе пациентки были молодого возраста и без ожирения, что, вероятно, позволило проследить ход артерии до ее устья (рис. 2).
- На уровне правого грудино-ключичного сочленения AL и правая общая сонная артерия располагаются отдаленно друг от друга. Данная сонографическая картина выявлена у всех 4 пациенток (рис. 3).
- На уровне правого грудино-ключичного сочленения AL и правая общая сонная артерия располагаются перпендикулярно друг к другу. Данный признак выявлен у всех пациенток (рис. 4).
- Высокое и горизонтальное расположение AL на шее. В трех случаях AL прослежена из-за трахеи до “выхода” на верхнюю конечность. При этом артерия имела практически горизонтальное направление (рис. 5).
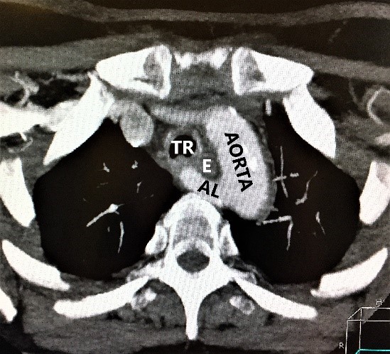
Рис. 2. Пациентка 32 лет, индекс массы тела (ИМТ) – 18,5. а – УЗИ сосудов верхнего средостения конвексным датчиком в В-режиме (цветное дуплексное сканирование менее информативно из-за множества помех от дуги аорты). Правая общая сонная артерия прослежена до дуги аорты (БЦС не выявлен). б – интраоперационная картина. НВГН IIA типа (по Avisse–Toniato) имеет горизонтальный ход. в – аксиальный КТ-скан с ангиографией сосудов дуги аорты. AL располагается позади трахеи и пищевода. г – компьютерная трехмерная реконструкция демонстрирует синтопию AL с общей сонной артерией. AL является последней, четвертой ветвью дуги аорты. ACC – arteria carotis communis dexter, TR – trachea, E – esophagus.
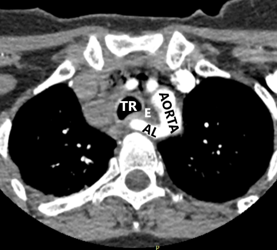
Рис. 3. Пациентка 58 лет, ИМТ – 21,7. а – цветное дуплексное сканирование сосудистого пучка правой половины шеи линейным датчиком на уровне правого грудино-ключичного сочленения. Правая общая сонная артерия прослежена до места “пересечения” с трахеей (БЦС не выявлен). AL располагается на значительном расстоянии от правой общей сонной артерии. б – интраоперационная картина. НВГН I типа (по Avisse–Toniato) имеет нисходящее направление и состоит из двух веток (стрелки). в – аксиальный КТ-скан с ангиографией сосудов дуги аорты. AL располагается позади трахеи и пищевода. г – компьютерная трехмерная реконструкция демонстрирует синтопию AL с общей сонной артерией. AL является последней, четвертой ветвью дуги аорты. ACC – arteria carotis communis dexter, TR – trachea, E – esophagus. VJI – vena jugularis interna dexter, NV – nervus vagus dexter.
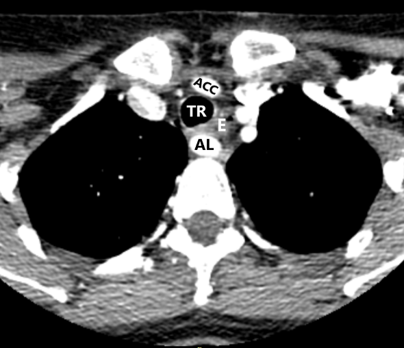
Рис. 4. Пациентка 68 лет, ИМТ – 31,6. а – УЗИ сосудистого пучка правой половины шеи линейным датчиком в В-режиме. б – цветное дуплексное сканирование сосудистого пучка правой половины шеи линейным датчиком. AL расположена параллельно плоскости сканирования. Правая общая сонная артерия и трахея находятся перпендикулярно относительно датчика. в – интраоперационная картина. Мобилизована правая доля ЩЖ, отведена медиально. НВГН состоит из двух веток (стрелки). г – интраоперационная картина. Выполнена тиреоидэктомия. НВГН IIA типа (по Avisse–Toniato) имеет горизонтальный ход. д – аксиальный КТ-скан с ангиографией сосудов дуги аорты. AL располагается позади трахеи и пищевода. е – компьютерная трехмерная реконструкция демонстрирует синтопию AL с общей сонной артерией. AL является последней, четвертой ветвью дуги аорты. ACC – arteria carotis communis dexter, TR – trachea, E – esophagus.
Рис. 5. Пациентка 62 лет, ИМТ – 51,4. а – УЗИ сосудистого пучка правой половины шеи конвексным датчиком. AL “выходит” из-за трахеи и расположена практически горизонтально, высоко на границе шеи и верхнего средостения. б – интраоперационная картина. НВГН IIA типа (по Avisse–Toniato) имеет горизонтальный ход. в – аксиальный КТ-скан с ангиографией сосудов дуги аорты. AL располагается позади трахеи и пищевода. г – компьютерная трехмерная реконструкция (вид сзади). AL является последней, четвертой ветвью дуги аорты. ACC – arteria carotis communis (А – dexter, D – sinister), TR – trachea, E – esophagus. VJI – vena jugularis interna dexter, AS – arteria subclavia sinister.
Этапы операции менялись при выявлении характерных сонографических черт для AL. Опасаясь повреждения НВГН, мобилизация ЩЖ начиналась с боковой поверхности доли с прецизионным выделением всех структур, особенно зоны верхнего полюса. В трех случаях НВГН имел горизонтальный ход (НВГН IIA типа по Avisse–Toniato), а в одном – нисходящее направление (НВГН I типа по Avisse–Toniato). Также нами отмечено изменение топографии структур правого сосудисто-нервного пучка шеи. Во всех случаях блуждающий нерв располагался кзади и медиальнее правой общей сонной артерии в непосредственной близости к хирургическим манипуляциям и легко идентифицировался при незначительной тракции правой общей сонной артерии (рис. 3).
Всем 4 пациентам с выявленными AL и НВГН в послеоперационном периоде выполнена мультиспиральная КТ-ангиография. AL во всех случаях располагалась за пищеводом. При ретроспективном опросе только у 2 больных отмечены периодические неприятные ощущения при проглатывании твердой пищи, которые им не приносили неудобства и оставались долгое время незамеченными. До операции всем пациентам проведена эзофагогастродуоденоскопия – стриктур, патологических образований пищевода не отмечено.
В 6 (2,83%) случаях при УЗИ сосудов правой половины шеи Y-признак выявить не удалось, а характерная для AL сонографическая картина также отсутствовала (рис. 6). Однако можно отметить, что у пациентов при сканировании зоны на уровне грудино-ключичного сочленения правая подключичная и общая сонная артерии находились близко и параллельно друг другу. Отсутствие Y-признака было принято во внимание, а операция также начиналась с мобилизации доли ЩЖ по боковой поверхности и первичной визуализации нерва. У всех 6 пациентов выявлен типичный ВГН, ход которого был прослежен до правой подключичной артерии по возможности с пальпацией БЦС. В последующем КТ-ангиография этим больным не проводилась.
Рис. 6. УЗИ сосудистого пучка правой половины шеи линейным датчиком на уровне грудино-ключичного сочленения. Отсутствие Y-признака. Правая общая сонная и правая подключичная артерии располагаются близко и практически параллельно друг другу. БЦС располагается низко в средостении и визуализации не доступен. ЩЖ – узел правой доли ЩЖ с частичным загрудинным расположением. ACC – arteria carotis communis dexter, VJI – vena jugularis interna dexter, AS – arteria subclavia dexter.
В нашем исследовании тиреоидэктомия выполнена 116 (54,72%) пациентам. При этом аномалии левого ВГН не отмечено.
Чувствительность, специфичность, прогностическая ценность положительного и отрицательного результата, диагностическая точность метода рассчитывались по следующим формулам:
- чувствительность = ИП/(ИП + ЛО);
- специфичность = ИО/(ЛП + ИО);
- ПЦПР = ИП/(ИП + ЛП);
- ПЦОР = ИО/(ЛО + ИО);
- диагностическая точность = (ИП + ИО)/(ИП + ЛП + ЛО + ИО),
где ИП – истинный положительный результат (выявлен Y-признак, AL отсутствовала), ИО – истинный отрицательный результат (Y-признак отсутствовал, AL выявлена), ЛО – ложный отрицательный результат (Y-признак отсутствовал, AL отсутствовала), ЛП – ложный положительный результат (выявлены Y-признак и AL), ПЦПР – прогностическая ценность положительного результата, ПЦОР – прогностическая ценность отрицательного результата.
Таким образом, чувствительность метода составила 97,1%, специфичность – 100%, ПЦПР – 100%, ПЦОР – 40%, диагностическая точность – 97,2%.
Дополнительные результаты исследования
В ходе операций у 212 пациентов визуализировано 328 (100%) нижних гортанных нервов. Односторонний парез гортани в раннем послеоперационном периоде отмечен в 7 (2,13%) случаях. Пареза мышц гортани у пациентов с НВГН не выявлено.
Обсуждение
Резюме основного результата исследования
- По данным работы распространенность аномалии правой подключичной артерии и правого нижнего гортанного нерва составила 1,89%.
- УЗИ сосудов шеи можно отнести к скрининговому методу выявления аномалии правой подключичной артерии и правого нижнего гортанного нерва.
Обсуждение основного результата исследования
В 1789 г. D. Bayford впервые описал синдром “dysphagia lusoria” (от латинского “lusus nature” – игры, загадки природы) и объяснил его анатомическую природу наличием аберрантной правой подключичной артерии. Аномалия заключается в том, что подключичная артерия начинается не из БЦС, а берет свое начало непосредственно от дуги аорты как ее последняя, четвертая ветвь. Только в 1823 г. G. Stedman выделил на трупах НВГН, которому сопутствовала аномалия правой подключичной артерии. Еще позже в 1936 г. A. Arkin назвал эту артерию “arteria lusoria” (“загадочная артерия”) в соответствии с названием сопровождающей ее дисфагии [6, 9, 12, 15].
В подавляющем большинстве публикаций описано сочетание сосудистой аномалии и НВГН. По мнению ряда авторов, случаи идентификации НВГН и отсутствие AL обусловлены ошибочным принятием за НВГН таких анастомозов, как Galen’s anastomosis и sympathetic-inferior laryngeal nerve anastomotic branch. При этом истинный ВГН во время оперативного вмешательства оставался незамеченным, что могло привести к повреждению последнего. Такие структуры названы термином “ложный НВГН” (false non-recurrent laryngeal nerve) [7, 9, 15]. В сомнительных ситуациях незаменимым подспорьем можно считать УЗИ сосудов шеи, выполненное перед операцией. Так, в нашей работе у 95,28% пациентов на дооперационном этапе был выявлен БЦС (Y-признак), что позволило полностью исключить НВГН и не допустить ошибки при выявлении подобных структур.
В норме правая подключичная артерия у эмбриона человека развивается из правой IV жаберной артериальной дуги (сегмент С), участка правой дорзальной аорты (сегмент В) и правой VII межсегментарной артерии (рис. 7, а). В свою очередь сосудистые аномалии обусловлены облитерацией одних структур и сохранением других. Одной из таких аномалий является АL, которая образуется вследствие атрезии правой IV жаберной артериальной дуги (сегмент С) и участка правой дорзальной аорты (сегмент В) с сохранением сегмента А правой дорзальной аорты и VII правой межсегментарной артерии (рис. 7, б) [16–18]. Логичным объяснением возникновения НВГН на фоне AL является теория эволюциониста R.C. Dawkins, основанная на изучении филогенеза животных. По его мнению, сердце, “спускающееся” во время онтогенеза у зародыша человека книзу (в связи с ростом шеи), “уносит” за собой нижний гортанный нерв. При атрезии же правой IV жаберной артериальной дуги и появлением “окна” нижний гортанный нерв сохраняет свое истинное расположение и “не натягивается” книзу правой подключичной артерией [6, 14].
Рис. 7. Варианты эмбрионального развития сосудистого русла человека. а – нормальное развитие БЦС и правой подключичной артерии. б – аномалия развития правой подключичной артерии и формирование AL.
В литературе описаны три анатомо-топографических варианта аберрантной правой подключичной артерии. В 80% случаев AL располагается позади пищевода. Более редкими локализациями артерии считаются в промежутке между трахеей и пищеводом (15%), впереди трахеи (5%). В большинстве случаев аномалия бессимптомна и только у 5–10% людей может проявляться дисфагией (“загадочная дисфагия”) [6, 12–14]. В наших наблюдениях все выявленные AL (4 случая) располагались позади пищевода. При этом только 2 пациентки отмечали периодические неприятные ощущения при проглатывании твердой пищи, которые не приносили им неудобства и оставались до настоящего времени незамеченными.
Наиболее известна классификация анатомических вариантов расположения НВГН, предложенная C. Avisse (1998) [19] и A. Toniato (2004) [11]. Авторы выделили три типа нерва в зависимости от их направления и синтопии с нижней щитовидной артерией: I, IIA, IIB. Согласно данным одних авторов, самым распространенным является IIВ тип [6, 12, 14, 20]. По данным других исследователей, I тип более распространен (58,3%) и чаще повреждается именно этот вариант нерва [4, 15]. Однако третьи утверждают, что превалирует IIА тип (64–82%) [3]. Эта неоднозначность обусловлена малым количеством данных и невозможностью порой интраоперационно отличить ВГН от НВГН IIВ типа. Нами выявлен IIA тип у 3 пациентов и только в одном случае был обнаружен I вариант нерва.
Первая работа, посвященная возможностям использования УЗИ сосудов шеи с целью выявления сосудистой аномалии и НВГН, опубликована A. Devèze и соавт. (2003 г.). В послеоперационном периоде исследователи выполнили ультразвуковое сканирование сосудистого пучка шеи всем пациентам с НВГН. С помощью датчика с частотой волны 3,5–7,5 MHz был прослежен ход правой общей сонной артерии до дуги аорты. Отмечено, что процедура занимала в среднем 5 мин (3–10 мин), а чувствительность метода достигала 100%. Авторы заключили, что УЗИ является простым и надежным способом прогнозирования аномалии на дооперационном этапе [21].
По мнению других авторов, применение УЗИ сосудов шеи, средостения трудоемко и зависит от уровня подготовки специалиста. Основным способом диагностики НВГН остается интраоперационная визуализация, что в каждом случае требует идентификации всех структур зоны медиальнее общей сонной артерии (transversus path) [6].
Однако несколько последующих работ убедительно доказывают обратное (табл. 2). Так, подобно нам F. Yetisir, S.M. Huang выявили во всех случаях аномалию правой подключичной артерии на дооперационном этапе [15, 20]. Кроме того, авторами отмечено, что рутинное использование УЗИ сосудов в практике хирургов увеличило выявляемость НВГН до 2% [5, 9, 15]. Чувствительность и специфичность метода составили 97–100 и 41–100% соответственно.
Таблица 2. Использование предоперационного УЗИ с целью выявления сосудистой аномалии и НВГН (обзор литературы)
|
Авторы, год |
Страна |
Общее количество пациентов в исследовании |
Количество пациентов, которым выполнено УЗИ перед операцией |
Чувствительность метода (%) |
Специфичность метода (%) |
Количество НВГН, выявленных во время операции (%) |
|
Huang S.-M., 2010 [22] |
Китай |
2330 |
2330 |
100 |
100 |
13 (0,56%) |
|
Yetisir F., 2012 [15] |
Турция |
309 |
309 |
100 |
100 |
6 (1,94%) |
|
Satoh S., 2013 [23] |
Япония |
1561 |
140 |
100 |
83,5 |
11 (0,71%) |
|
Iacobone M., 2015 [5, 9, 24] |
Италия |
1477 |
878 |
100 |
41,1 |
21 (1,42%) |
|
Куприн А.А., 2019 |
Россия |
212 |
212 |
97,1 |
100 |
4 (1,89%) |
|
Всего |
5889 |
3869 |
100 |
41,1–100 |
55 (0,93%) |
По утверждению ряда авторов, парез гортани отмечается в 3 раза чаще у пациентов, которым перед операцией не выполнялось УЗИ сосудов шеи и отсутствовала настороженность в отношении НВГН [5, 15]. Так, согласно исследованию М. Iacobone и соавт., в группе, в которой проведено УЗИ сосудов шеи, визуализировано 17 (1,9%) НВГН. Парезов голосового аппарата в послеоперационном периоде среди этих пациентов не было. В контрольной же группе, где идентифицировано всего лишь 4 (0,6%) НВГН, односторонний парез гортани возник у 3 пациентов [5]. В нашей работе пареза мышц гортани у пациентов с НВГН также не отмечено.
Ограничения исследования
Ограничение применения УЗИ и снижение специфичности метода, по мнению авторов, связаны с ожирением пациента и загрудинным расположением зоба [9, 25, 26]. Нами у 6 (2,83%) пациентов при УЗИ не удалось визуализировать БЦС по следующим причинам:
- узкая верхняя апертура грудной клетки и невозможность визуализации структур верхнего средостения;
- низкое расположение БЦС;
- гигантский загрудинный зоб со смещением БЦС и его ветвей;
- ожирение;
- аномалия расположения БЦС (слева от трахеи);
- извитость артерий.
Однако сонографические признаки, характерные для AL, у всех этих пациентов отсутствовали.
Заключение
УЗИ сосудов шеи является эффективным способом (чувствительность – 97,1%, специфичность – 100%, ПЦПР – 100%, ПЦОР – 40%, диагностическая точность – 97,2%) выявления аберрантной правой подключичной артерии на дооперационном этапе, которая является предиктором наличия НВГН. С помощью УЗИ нам удалось повысить выявляемость НВГН до 1,89%.
Дополнительная информация
Источник финансирования. Исследование и подготовка публикации осуществлены на личные средства авторского коллектива.
Конфликт интересов. Авторы декларируют отсутствие явных и потенциальных конфликтов интересов, связанных с публикацией настоящей статьи.
Участие авторов. Все авторы внесли существенный вклад в проведение исследования и публикацию статьи, прочли и одобрили финальную версию до публикации.
Список литературы
1. Бондаренко В.О. Лекция №15. Визуализация и выделение возвратного гортанного нерва при хирургическом лечении узловых образований щитовидной железы. В кн.: Избранные лекции по эндокринологии / Под ред. А.С. Аметова. – М.: Медицинское информационное агентство; 2009. – C. 385-403. [Bondarenko VO. Lektsiya №15. Vizualizatsiya i vydelenie vozvratnogo gortannogo nerva pri khirurgicheskom lechenii uzlovykh obrazovaniy shchitovidnoy zhelezy. In: Ametov AS, editor. Izbrannye lektsii po endokrinologii. Moscow: Meditsinskoe informatsionnoe agentstvo; 2009. p. 385-403. (In Russ.)]
2. Chandrasekhar SS, Randolph GW, Seidman MD, et al. Clinical practice guideline: improving voice outcomes after thyroid surgery. Otolaryngol Head Neck Surg. 2013;148(6 Suppl): S1-37. doi: https://doi.org/10.1177/0194599813487301.
3. Gundara JS, Lee JC, Ip JC, Glover AR. The clinical importance of the non-recurrent inferior laryngeal nerve. OA Anatomy. 2013;1(2):14. doi: https://doi.org/10.13172/2052-7829-1-2-576.
4. Henry BM, Sanna S, Graves MJ, et al. The non-recurrent laryngeal nerve: a meta-analysis and clinical considerations. PeerJ. 2017;5:e3012. doi: https://doi.org/10.7717/peerj.3012.
5. Iacobone M, Citton M, Pagura G, et al. Increased and safer detection of nonrecurrent inferior laryngeal nerve after preoperative ultrasonography. Laryngoscope. 2015;125(7):1743-1747. doi: https://doi.org/10.1002/lary.25093.
6. Галушко Д.А., Асмарян А.Г., Пасько М.А. Клиническая анатомия и особенности невозвратного гортанного нерва в хирургии щитовидной железы. Клинический случай // Клиническая и экспериментальная тиреоидология. – 2016. – Т.12. – №3. – С. 31-36. [Galushko DA, Asmaryan HG, Pasko MA. Clinical anatomy and features non-recurrent inferior laryngeal nerve in thyroid surgery. Case report. Clinical and experimental thyroidology. 2016;12(3):31-36. (In Russ.)] doi: https://doi.org/10.14341/ket2016331-36.
7. Малюга В.Ю., Куприн А.А. Экстраларингеальные варианты расположения возвратного гортанного нерва. Клиническое наблюдение в хирургии щитовидной железы // Эндокринная хирургия. – 2017. – Т.11. – №3. – С. 146-156. [Malyuga VY, Kuprin AA. Extralaryngeal variants of the location of the recurrent laryngeal nerve. Clinical observation in thyroid surgery. Endocrine Surgery. 2017;11(3):146-156. (In Russ.)] doi: https://doi.org/10.14341/serg20173146-156.
8. Бондаренко В.О. Возвратный гортанный нерв в хирургии щитовидной и паращитовидной желез. Атлас. – М.; 2006. [Bondarenko VO. Vozvratnyy gortannyy nerv v khirurgii shchitovidnoy i parashchitovidnoy zhelez. Atlas. Moscow; 2006. (In Russ.)]
9. Citton M, Viel G, Iacobone M. Neck ultrasonography for detection of non-recurrent laryngeal nerve. Gland Surg. 2016;5(6):583-590. doi: https://doi.org/10.21037/gs.2016.11.07.
10. Monfared A, Gorti G, Kim D. Microsurgical anatomy of the laryngeal nerves as related to thyroid surgery. Laryngoscope. 2002;112(2):386-392. doi: https://doi.org/10.1097/00005537-200202000-00033.
11. Toniato A, Mazzarotto R, Piotto A, et al. Identification of the nonrecurrent laryngeal nerve during thyroid surgery: 20-year experience. World J Surg. 2004;28(7):659-661. doi: https://doi.org/10.1007/s00268-004-7197-7.
12. Maruthupandian D, Karunakaran K, Arul V. Right non recurrent laryngeal nerve associated with anomalous origin of right subclavian artery and a bicarotid trunk. Bangladesh Journal of Medical Science. 2016;15(3):485-487. doi: https://doi.org/10.3329/bjms.v15i3.22989.
13. Low T-H, Clifford A. Non-recurrent laryngeal nerve and aberrant vasculature. International Journal of Case Reports in Medicine. 2013;2013:224147. doi: https://doi.org/10.5171/2013.224147.
14. Ongaro D, Elia S, Cazzaniga R, Taglietti R. Right non-recurrent inferior laryngeal nerve discovered during carotid endarterectomy: a case report and literature review. Int J Cardiovasc Thorac Surg. 2016;2(4):29-33. doi: https://doi.org/10.11648/j.ijcts.20160204.14.
15. Yetisir F, Salman AE, Ciftci B, et al. Efficacy of ultrasonography in identification of non-recurrent laryngeal nerve. Int J Surg. 2012;10(9):506-509. doi: https://doi.org/10.1016/j.ijsu.2012.07.006.
16. Polguj M, Chrzanowski Ł, Kasprzak JD, et al. The aberrant right subclavian artery (arteria lusoria): the morphological and clinical aspects of one of the most important variations – a systematic study of 141 reports. Scientific World Journal. 2014;2014:292734. doi: https://doi.org/10.1155/2014/292734.
17. Shreesha M, Siew YH, Daubeney PE. Vascular rings, pulmonary slings, and other vascular abnormalities. In: Gatzoulis MA, Webb GD, Daubeney PE, editors. Diagnosis and management of adult congenital heart disease. 2nd ed. Philadelphia: Elsevier/Saunders; 2011. p. 277-285. doi: https://doi.org/10.1016/B978-0-7020-3426-8.00038-1.
18. Carles D, Pelluard F, André G, et al. [Aberrant right subclavian artery (arteria lusoria) and the risk for trisomy 21. Retrospective study of 11,479 fetopathological examinations. (In French).] J Gynecol Obstet Biol Reprod (Paris). 2014;43(9):698-703. doi: https://doi.org/10.1016/j.jgyn.2013.10.001.
19. Avisse C, Marcus C, Delattre JF, et al. Right nonrecurrent inferior laryngeal nerve and arteria lusoria: the diagnostic and therapeutic implications of an anatomic anomaly. Review of 17 cases. Surg Radiol Anat. 1998;20(3):227-232. doi: https://doi.org/10.1007/s00276-998-0227-7.
20. Raj S, Padmakar Deo R, Mohiyuddin A, et al. Nonrecurrent laryngeal nerve: an Indian documentation. Int J Head Neck Surg. 2012;3(1):28-29. doi: https://doi.org/10.5005/jp-journals-10001-1087.
21. Devèze A, Sebag F, Hubbard J, et al. Identification of patients with a non-recurrent inferior laryngeal nerve by duplex ultrasound of the brachiocephalic artery. Surg Radiol Anat. 2003;25(3-4):263-269. doi: https://doi.org/10.1007/s00276-003-0135-9.
22. Huang SM, Wu TJ. Neck ultrasound for prediction of right nonrecurrent laryngeal nerve. Head Neck. 2009;32(7):844-849. doi: https://doi.org/10.1002/hed.21263.
23. Satoh S, Tachibana S, Yokoi T, Yamashita H. [Preoperative diagnosis of nonrecurrent inferior laryngeal nerve – usefulness of CT and ultrasonography. (In Japanese).] Nihon Jibiinkoka Gakkai Kaiho. 2013;116(7):793-801. doi: https://doi.org/10.3950/jibiinkoka.116.793.
24. Iacobone M, Viel G, Zanella S, et al. The usefulness of preoperative ultrasonographic identification of nonrecurrent inferior laryngeal nerve in neck surgery. Langenbecks Arch Surg. 2008;393(5):633-638. doi: https://doi.org/10.1007/s00423-008-0372-9.
25. Tartaglia F, Blasi S, Tromba L, et al. Duplex ultrasound and magnetic resonance imaging of the supra-aortic arches in patients with non recurrent inferior laryngeal nerve: a comparative study. G Chir. 2011;32(5):245-250.
26. Wang Z, Zhang H, Zhang P, et al. Preoperative diagnosis and intraoperative protection of nonrecurrent laryngeal nerve: a review of 5 cases. Med Sci Monit. 2014;20:233-237. doi: https://doi.org/10.12659/msm.889942.
Об авторах
Александр Александрович КупринРоссия
к.м.н.
Виктор Юрьевич Малюга
Россия
д.м.н.
Дополнительные файлы
|
|
1. Рис. 1. УЗИ сосудов шеи (цветное дуплексное сканирование). Выявление Y-признака. ACC – arteria carotis communis dexter, AS – arteria subclavia dexter, TBC – truncus brachiocephalicus. | |
| Тема | ||
| Тип | Прочее | |
Посмотреть
(133KB)
|
Метаданные ▾ | |
|
|
2. Рис. 2. Пациентка 32 лет, индекс массы тела (ИМТ) – 18,5. а – УЗИ сосудов верхнего средостения конвексным датчиком в В-режиме (цветное дуплексное сканирование менее информативно из-за множества помех от дуги аорты). Правая общая сонная артерия прослежена до дуги аорты (БЦС не выявлен). б – интраоперационная картина. НВГН IIA типа (по Avisse–Toniato) имеет горизонтальный ход. в – аксиальный КТ-скан с ангиографией сосудов дуги аорты. AL располагается позади трахеи и пищевода. г – компьютерная трехмерная реконструкция демонстрирует синтопию AL с общей сонной артерией. AL является последней, четвертой ветвью дуги аорты. ACC – arteria carotis communis dexter, TR – trachea, E – esophagus. | |
| Тема | ||
| Тип | Прочее | |
Посмотреть
(392KB)
|
Метаданные ▾ | |
|
|
3. Рисунок 2. Пациентка 32 лет, индекс массы тела (ИМТ) – 18.5. Б – Интраоперационная картина. НВГН IIA типа (по Avisse-Toniato) имеет горизонтальный ход | |
| Тема | ||
| Тип | Прочее | |
Посмотреть
(1MB)
|
Метаданные ▾ | |
|
|
4. Рисунок 2. Пациентка 32 лет, индекс массы тела (ИМТ) – 18.5. В – Аксиальный КТ-скан с ангиографией сосудов дуги аорты. AL располагается позади трахеи и пищевода. | |
| Тема | ||
| Тип | Прочее | |
Посмотреть
(246KB)
|
Метаданные ▾ | |
|
|
5. Рисунок 2. Пациентка 32 лет, индекс массы тела (ИМТ) – 18.5. Г – Компьютерная трехмерная реконструкция показывает синтопию AL с общей сонной артерией. AL является последней четвертой ветвью дуги аорты. ACC – arteria carotis communis dexter, TR – trachea, E – esophagus. | |
| Тема | ||
| Тип | Прочее | |
Посмотреть
(785KB)
|
Метаданные ▾ | |
|
|
6. Рис. 3. Пациентка 58 лет, ИМТ – 21,7. а – цветное дуплексное сканирование сосудистого пучка правой половины шеи линейным датчиком на уровне правого грудино-ключичного сочленения. Правая общая сонная артерия прослежена до места “пересечения” с трахеей (БЦС не выявлен). AL располагается на значительном расстоянии от правой общей сонной артерии. б – интраоперационная картина. НВГН I типа (по Avisse–Toniato) имеет нисходящее направление и состоит из двух веток (стрелки). в – аксиальный КТ-скан с ангиографией сосудов дуги аорты. AL располагается позади трахеи и пищевода. г – компьютерная трехмерная реконструкция демонстрирует синтопию AL с общей сонной артерией. AL является последней, четвертой ветвью дуги аорты. ACC – arteria carotis communis dexter, TR – trachea, E – esophagus. VJI – vena jugularis interna dexter, NV – nervus vagus dexter. | |
| Тема | ||
| Тип | Прочее | |
Посмотреть
(418KB)
|
Метаданные ▾ | |
|
|
7. Рисунок 3. Б – Интраоперационная картина. НВГН I типа (по Avisse-Toniato) имеет нисходящее направление и состоит из двух веток (указаны стрелками). | |
| Тема | ||
| Тип | Прочее | |
Посмотреть
(737KB)
|
Метаданные ▾ | |
|
|
8. Рисунок 3. В – Аксиальный КТ-скан с ангиографией сосудов дуги аорты. AL располагается позади трахеи и пищевода. | |
| Тема | ||
| Тип | Прочее | |
Посмотреть
(243KB)
|
Метаданные ▾ | |
|
|
9. Рисунок 3. Г – Компьютерная трехмерная реконструкция показывает синтопию AL с общей сонной артерией. AL является последней четвертой ветвью дуги аорты. ACC – arteria carotis communis dexter, TR – trachea, E – esophagus. VJI – vena jugularis interna dexter, NV – nervus vagus dexter. | |
| Тема | ||
| Тип | Прочее | |
Посмотреть
(735KB)
|
Метаданные ▾ | |
|
|
10. Рис. 4. Пациентка 68 лет, ИМТ – 31,6. а – УЗИ сосудистого пучка правой половины шеи линейным датчиком в В-режиме. б – цветное дуплексное сканирование сосудистого пучка правой половины шеи линейным датчиком. AL расположена параллельно плоскости сканирования. Правая общая сонная артерия и трахея находятся перпендикулярно относительно датчика. в – интраоперационная картина. Мобилизована правая доля ЩЖ, отведена медиально. НВГН состоит из двух веток (стрелки). г – интраоперационная картина. Выполнена тиреоидэктомия. НВГН IIA типа (по Avisse–Toniato) имеет горизонтальный ход. д – аксиальный КТ-скан с ангиографией сосудов дуги аорты. AL располагается позади трахеи и пищевода. е – компьютерная трехмерная реконструкция демонстрирует синтопию AL с общей сонной артерией. AL является последней, четвертой ветвью дуги аорты. ACC – arteria carotis communis dexter, TR – trachea, E – esophagus. | |
| Тема | ||
| Тип | Прочее | |
Посмотреть
(542KB)
|
Метаданные ▾ | |
|
|
11. Рисунок 4. Б – Цветное дуплексное сканирование сосудистого пучка правой половины шеи линейным датчиком. AL расположена паралельно плоскости сканирования. Правая общая сонная артерия и трахея находятся перпендекулярно относительно датчика. | |
| Тема | ||
| Тип | Прочее | |
Посмотреть
(99KB)
|
Метаданные ▾ | |
|
|
12. Рисунок 4. В – Интраоперационная картина. Мобилизована правая доля ЩЖ, отведена медиально. НВГН и состоит из двух веток (указаны стрелками). | |
| Тема | ||
| Тип | Прочее | |
Посмотреть
(750KB)
|
Метаданные ▾ | |
|
|
13. Рисунок 4. Г – Интраоперационная картина. Выполнена тиреоидэктомия. НВГН IIA типа (по Avisse-Toniato) имеет горизонтальный ход. | |
| Тема | ||
| Тип | Прочее | |
Посмотреть
(728KB)
|
Метаданные ▾ | |
|
|
14. Рисунок 4. Д – Аксиальный КТ-скан с ангиографией сосудов дуги аорты. AL располагается позади трахеи и пищевода. | |
| Тема | ||
| Тип | Прочее | |
Посмотреть
(101KB)
|
Метаданные ▾ | |
|
|
15. Рисунок 4. Е – Компьютерная трехмерная реконструкция показывает синтопию AL с общей сонной артерией. AL является последней четвертой ветвью дуги аорты. ACC – arteria carotis communis dexter, TR – trachea, E – esophagus. | |
| Тема | ||
| Тип | Прочее | |
Посмотреть
(717KB)
|
Метаданные ▾ | |
|
|
16. Рис. 5. Пациентка 62 лет, ИМТ – 51,4. а – УЗИ сосудистого пучка правой половины шеи конвексным датчиком. AL “выходит” из-за трахеи и расположена практически горизонтально, высоко на границе шеи и верхнего средостения. б – интраоперационная картина. НВГН IIA типа (по Avisse–Toniato) имеет горизонтальный ход. в – аксиальный КТ-скан с ангиографией сосудов дуги аорты. AL располагается позади трахеи и пищевода. г – компьютерная трехмерная реконструкция (вид сзади). AL является последней, четвертой ветвью дуги аорты. ACC – arteria carotis communis (А – dexter, D – sinister), TR – trachea, E – esophagus. VJI – vena jugularis interna dexter, AS – arteria subclavia sinister. | |
| Тема | ||
| Тип | Прочее | |
Посмотреть
(391KB)
|
Метаданные ▾ | |
|
|
17. Рисунок 5. Б – Интраоперационная картина. НВГН IIA тип (по Avisse-Toniato) имеет горизонтальный ход. | |
| Тема | ||
| Тип | Прочее | |
Посмотреть
(652KB)
|
Метаданные ▾ | |
|
|
18. Рисунок 5. В – Аксиальный КТ-скан с ангиографией сосудов дуги аорты. AL располагается позади трахеи и пищевода. | |
| Тема | ||
| Тип | Прочее | |
Посмотреть
(568KB)
|
Метаданные ▾ | |
|
|
19. Рисунок 5. Г – Компьютерная трехмерная реконструкция (вид сзади). AL является последней четвертой ветвью дуги аорты. ACC – arteria carotis communis (А – dexter, Г – sinister), TR – trachea, E – esophagus. VJI – vena jugularis interna dexter, AS – arteria subclavia sinister. | |
| Тема | ||
| Тип | Прочее | |
Посмотреть
(570KB)
|
Метаданные ▾ | |
|
|
20. Рис. 6. УЗИ сосудистого пучка правой половины шеи линейным датчиком на уровне грудино-ключичного сочленения. Отсутствие Y-признака. Правая общая сонная и правая подключичная артерии располагаются близко и практически параллельно друг другу. БЦС располагается низко в средостении и визуализации не доступен. ЩЖ – узел правой доли ЩЖ с частичным загрудинным расположением. ACC – arteria carotis communis dexter, VJI – vena jugularis interna dexter, AS – arteria subclavia dexter. | |
| Тема | ||
| Тип | Прочее | |
Посмотреть
(129KB)
|
Метаданные ▾ | |
|
|
21. Рис. 7. Варианты эмбрионального развития сосудистого русла человека. а – нормальное развитие БЦС и правой подключичной артерии. б – аномалия развития правой подключичной артерии и формирование AL. | |
| Тема | ||
| Тип | Прочее | |
Посмотреть
(154KB)
|
Метаданные ▾ | |
|
|
22. Рисунок 7. Б – аномалия развития правой подключичной артерией и формирование AL. | |
| Тема | ||
| Тип | Прочее | |
Посмотреть
(130KB)
|
Метаданные ▾ | |
Рецензия
Для цитирования:
Куприн А.А., Малюга В.Ю. Возможности предоперационного ультразвукового исследования сосудов шеи в диагностике невозвратного гортанного нерва. Эндокринная хирургия. 2019;13(3):118-132. https://doi.org/10.14341/serg10354
For citation:
Kuprin A.A., Malyuga V.Y. Possibilities of preoperative ultrasound of neck vessels in the diagnosis of non-recurrent laryngeal nerve. Endocrine Surgery. 2019;13(3):118-132. (In Russ.) https://doi.org/10.14341/serg10354
Контент доступен под лицензией Creative Commons Attribution-NonCommercial-NoDerivatives 4.0 International License (CC BY-NC-ND 4.0).




































