The use of preoperative embolization as a method of preventing intraoperative hemodynamic disorders in a patient with pheochromocytoma
https://doi.org/10.14341/serg12284
Abstract
A clinical case of treating a patient with large pheochromocytoma complicated by acute cerebrovascular accident is presented. Its peculiarity is the implementation of preoperative embolization of the adrenal vessels in order to prevent intraoperative bleeding and intraoperative hemodynamic instability — independent risk factors for perioperative complications and mortality. Such an approach allowed us to successfully perform laparoscopic adrenalectomy with minimal blood loss in conditions of stable hemodynamics.
The treatment of patients with pheochromocytoma was discussed, special attention was paid to the category of patients with large tumors. The technical features of adrenalectomy in this group of patients, modern ideas about the safety of laparoscopic interventions are highlighted. The topics of the effectiveness of preoperative drug prevention of blood pressure fluctuations, as well as the use of endovascular methods in the treatment of patients with catecholamine-producing tumors are discussed.
About the Authors
Aleksey I. KhripunRussian Federation
MD, PhD, Professor
Gulmira B. Makhuova
Russian Federation
PhD, Docent, chief of surgical department
Tatyana F. Avdeeva
Russian Federation
PhD, surgeon
Magomed P. Yusufov
Russian Federation
PhD student, surgeon
References
1. Conzo G, Musella M, Corcione F, et al. Laparoscopic treatment of pheochromocytomas smaller or larger than 6 cm. A clinical retrospective study on 44 patients. Laparoscopic adrenalectomy for pheochromocytoma. Ann Ital Chir. 2013;84(4):417–422.
2. Kwon SY, Lee KS, Lee JN, et al. Risk factors for hypertensive attack during pheochromocytoma resection. Investig Clin Urol. 2016;57(3):184–190. doi: 10.4111/icu.2016.57.3.184.
3. Wang W, Li P, Wang Y, et al. Effectiveness and safety of laparoscopic adrenalectomy of large pheochromocytoma: a prospective, nonrandomized, controlled study. Am J Surg. 2015;210(2):230–235. doi: 10.1016/j.amjsurg.2014.11.012.
4. Ippolito G, Palazzo F, Sebag F, et al. Safety of laparoscopic adrenalectomy in patients with large pheochromocytomas: a single institution review. World J Surg. 2007;32(5):840–844. doi: 10.1007/s00268-007-9327-5.
5. Gagner M, Breton G, Pharand D, Pomp A. Is laparoscopic adrenalectomy indicated for pheochromocytomas? Surgery. 1996;120(6):1076–1080. doi: 10.1016/s0039-6060(96)80058-4.
6. Kercher KW, Park A, Matthews BD, et al. Laparoscopic adrenalectomy for pheochromocytoma. Surg Endosc. 2002;16(1):100–102. doi: 10.1007/s00464-001-8171-1.
7. Scholten A, Vriens M, Cromheecke G, et al. Hemodynamic instability during resection of pheochromocytoma in MEN versus non-MEN patients. Eur J Endocrinol. 2011;165(1):91–96. doi: 10.1530/eje-11-0148.
8. Bruynzeel H, Feelders R, Groenland T, et al. Risk factors for hemodynamic instability during surgery for pheochromocytoma. J Clin Endocrinol Metab. 2010;95(2):678–685. doi: 10.1210/jc.2009-1051.
9. Kinney M, Warner M, vanHeerden J, et al. Perianesthetic risks and outcomes of pheochromocytoma and paraganglioma resection. Anesth Analg. 2000;91(5):1118–1123. doi: 10.1097/00000539-200011000-00013.
10. Kiernan C, Du L, Chen X, et al. Predictors of hemodynamic instability during surgery for pheochromocytoma. Ann Surg Oncol. 2014;21(12):3865–3871. doi: 10.1245/s10434-014-3847-7.
11. Guerrero M, Schreinemakers J, Vriens M, et al. Clinical spectrum of pheochromocytoma. J Am Coll Surg. 2009;209(6):727–732. doi: 10.1016/j.jamcollsurg.2009.09.022.
12. Бондаренко В.О., Луцевич О.Э. Топографическая диагностика и хирургические вмешательства при гигантских феохромоцитомах надпочечника // Хирургия. Журнал им. Н.И. Пирогова. — 2011. — №3. — С. 13–18. [Bondarenko VO, Lutsevich OÉ. Topical diagnostics and surgical treatment of giant pheochromocytoma. Khirurgiia (Mosk). 2011;(3):13–18. (In Russ.)]
13. Conzo G, Musella M, Corcione F, et al. Laparoscopic adrenalectomy, a safe procedure for pheochromocytoma. A retrospective review of clinical series. Int J Surg. 2013;11(2):152–156. doi: 10.1016/j.ijsu.2012.12.007.
14. Colson P, Ribstein J. [Simplified strategy for anesthesia of pheochromocytoma. (In French).] Ann Fr Anesth Reanim. 1991;10(5):456–462. doi: 10.1016/s0750-7658(05)80849-4.
15. Gill I. The case for laparoscopic adrenalectomy. J Urol. 2001;166(2):429–436. doi: 10.1097/00005392-200108000-00008.
16. Pederson L, Lee J. Pheochromocytoma. Curr Treat Options Oncol. 2003;4(4):329–337. doi: 10.1007/s11864-003-0008-9.
17. Fernández-Cruz L, Taurá P, Sáenz A, et al. Laparoscopic approach to pheochromocytoma: hemodynamic changes and catecholamine secretion. World J Surg. 1996;20(7):762–768. doi: 10.1007/s002689900116.
18. Newell K, Prinz RA, Braithwaite S, et al. Pheochromocytoma crisis. Am J Hypertens. 1988;1(3 Pt 3):189S–191S. doi: 10.1093/ajh/1.3.189s.
19. Groeben H, Nottebaum BJ, Alesina PF, et al. Perioperative α-receptor blockade in phaechromocytoma surgery: an observational case series. Br J Anaesth. 2017;118(2):182–189. doi: 10.1093/bja/aew392.
20. Lentschener C, Gaujoux S, Tesniere A, Dousset B. Point of controversy: perioperative care of patients undergoing pheochromocytoma removal–time for a reappraisal? Eur J Endocrinol. 2011;165(3):365–373. doi: 10.1530/eje-11-0162.
21. Möbius E, Nies C, Rothmund M. Surgical treatment of pheochromocytomas. Surg Endosc. 1999;13(1):35–39. doi: 10.1007/s004649900893.
22. Guazzoni G, Montorsi F, Bocciardi A, et al. Transperitoneal laparoscopic versus open adrenalectomy for benign hyperfunctioning adrenal tumors: a comparative study. J Urol. 1995;153(5):1597–1600. doi: 10.1016/s0022-5347(01)67471-8.
23. Калинин А.П., Майстренко Н.А. Хирургия надпочечников. — М.: Медицина, 2000. — С. 122. [Kalinin AP, Maistrenko NA. Khirurgiya nadpochechnikov. Moscow: Meditsina; 2000. P. 122. (In Russ).]
24. Desmonts J, Marty J. Anaesthetic management of patients with pheochromocytoma. Br J Anaesth. 1984;56(7):781–789. doi: 10.1093/bja/56.7.781.
25. Assalia A, Gagner M. Laparoscopic adrenalectomy. Br J Surg. 2004;91(10):1259–1274. doi: 10.1002/bjs.4738.
26. Gagner M, Pomp A, Heniford B, et al. Laparoscopic adrenalectomy: lessons learned from 100 consecutive procedures. Ann Surg. 1997;226(3):238–247. doi: 10.1097/00000658-199709000-00003.
27. Gumbs A, Gagner M. Laparoscopic adrenalectomy. Best Practice & Research Clinical Endocrinology & Metabolism. 2006;20(3):483-499. doi:10.1016/j.beem.2006.07.010
28. Winfield H, Hamilton B, Bravo E, et al. Laparoscopic adrenalectomy: the preferred choice? A comparison to open adrenalectomy. J Urol. 1998;160(2):325–329. doi: 10.1097/00005392-199808000-00006.
29. Janetschek G, Neumann HP. Laparoscopic surgery for pheochromocytoma. Urol Clin North Am. 2001;28(1):97–105. doi: 10.1016/s0094-0143(01)80011-2.
30. Col V, de Canniere L, Collard E, et al. Laparoscopic adrenalectomy for phaeochromocytoma: endocrinological and surgical aspects of a new therapeutic approach. Clin Endocrinol (Oxf). 1999;50(1):121–125. doi: 10.1046/j.1365-2265.1999.00628.x.
31. Joris J, Hamoir E, Hartstein G, et al. Hemodynamic changes and catecholamine release during laparoscopic adrenalectomy for pheochromocytoma. Anesth Analg. 1999;88(1):16–21. doi: 10.1097/00000539-199901000-00004.
32. Mann C, Millat B, Boccara G, et al. Tolerance of laparoscopy for resection of phaeochromocytoma. Br J Anaesth. 1996;77(6):795–797. doi: 10.1093/bja/77.6.795.
33. Rose CE Jr, Althaus JA, Kaiser DL, et al. Acute hypoxemia and hypercapnia: increase in plasma catecholamines in conscious dogs. Am J Physiol. 1983;245(6):H924–H929. doi: 10.1152/ajpheart.1983.245.6.h924.
34. Wittgen CM, Andrus CH, Fitzgerald SD, et al. Analysis of the hemodynamic and ventilatory effects of laparoscopic cholecystectomy. Arch Surg. 1991;126(8):997–1000. doi: 10.1001/archsurg.1991.01410320083011.
35. Joris JL, Noirot DP, Legrand MJ, et al. Hemodynamic changes during laparoscopic cholecystectomy. Anesth Analg. 1993;76(5):1067–1071. doi: 10.1213/00000539-199305000-00027.
36. Kazaryan AM, Kuznetsov NS, Shulutko AM, et al. Evaluation of endoscopic and traditional open approaches to pheochromocytoma. Surg Endosc. 2004;18(6):937–941. doi: 10.1007/s00464-003-9199-1.
37. Murphy MM, Witkowski ER, Ng SC, et al. Trends in adrenalectomy: a recent national review. Surg Endosc. 2010;24(10):2518–2526. doi: 10.1007/s00464-010-0996-z.
38. Flávio Rocha M, Faramarzi-Roques R, Tauzin-Fin P, et al. Laparoscopic surgery for pheochromocytoma. Eur Urol. 2004;45(2):226–232. doi: 10.1016/j.eururo.2003.09.016.
39. Di Daniele N, Canale MP, Tesauro M, et al. Preoperative embolization reduces the risk of cathecolamines release at the time of surgical excision of large pelvic extra-adrenal sympathetic paraganglioma. Case Rep Endocrinol. 2012;2012:481328. doi: 10.1155/2012/481328.
40. Sormaz IC, Tunca F, Poyanlı A, Şenyürek YG. Preoperative adrenal artery embolization followed by surgical excision of giant hypervascular adrenal masses: report of three cases. Acta Chir Belg. 2017;118(2):113–119. doi: 10.1080/00015458.2017.1312080.
41. Minato N, Yamaguchi Y, Koga M, et al. [Giant non-functioning adrenocortical carcinoma effectively treated with preoperative transarterial embolization: a case report. (In Japanese).] Hinyokika Kiyo. 2012;58(4):193–196.
42. Hrabovsky E, McLellan D, Horton J, et al. Catheter embolization: preparation of patient with pheochromocytoma. J Pediatr Surg. 1982;17(6):849–850. doi: 10.1016/s0022-3468(82)80455-7.
43. O’Keeffe F, Carrasco C, Charnsangavej C, et al. Arterial embolization of adrenal tumors: results in nine cases. AJR Am J Roentgenol. 1988;151(4):819–822. doi: 10.2214/ajr.151.4.819.
44. Watanabe D, Tanabe A, Naruse M, et al. Transcatheter arterial embolization for the treatment of liver metastases in a patient with malignant pheochromocytoma. Endocr J. 2006;53(1):59–66. doi: 10.1507/endocrj.53.59.
45. Schwartz M, Smith E, Trost D, et al. Renal artery embolization: clinical indications and experience from over 100 cases. BJU Int. 2007;99(4):881–886. doi: 10.1111/j.1464-410x.2006.06653.x.
46. Fowler A, Burda J, Kim S. Adrenal artery embolization: anatomy, indications, and technical considerations. AJR Am J Roentgenol. 2013;201(1):190–201. doi: 10.2214/ajr.12.9507.
47. Bunuan H, Alltree M, Merendino K. Gel foam embolization of a functioning pheochromocytoma. Am J Surg. 1978;136(3):395–398. doi: 10.1016/0002-9610(78)90304-5.
Supplementary files
|
|
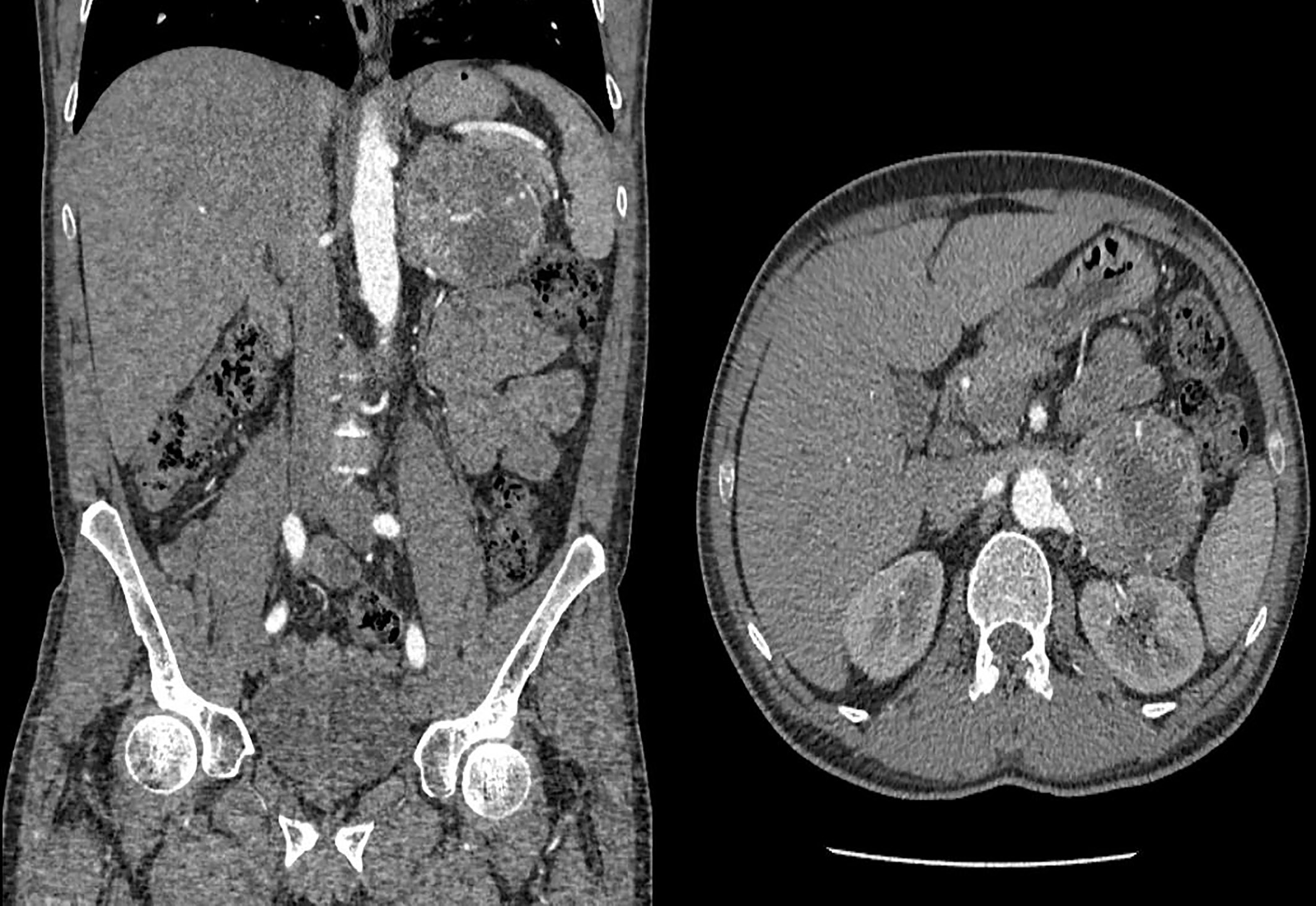
1. Figure 1. Tumor of the left adrenal gland according to multispiral computed tomography of the abdominal organs (coronary and sagittal sections). | |
| Subject | ||
| Type | Other | |
View
(475KB)
|
Indexing metadata ▾ | |
|
|
2. Figure 2. Arterial stage of endovascular intervention: A - selective angiography of the left middle adrenal artery; C - complete reduction of blood flow in the left middle adrenal artery after embolization with polyvinyl alcohol particles. | |
| Subject | ||
| Type | Other | |
View
(249KB)
|
Indexing metadata ▾ | |
|
|
3. Figure 3. Venous phase of X-ray endovascular intervention: A - construction of the left renal vein and the mouth of the left adrenal vein; B - selective angiography of the central vein of the adrenal gland; C - contrasting of the left renal vein and central adrenal vein after implantation of the occluding coil; D - after implantation of the second coil, there is no contrasting of the central vein of the left adrenal gland. | |
| Subject | ||
| Type | Other | |
View
(359KB)
|
Indexing metadata ▾ | |
|
|
4. Figure 4. Intraoperative data: A - tumor of the left adrenal gland; B - significantly dilated central adrenal vein; C - using a stapler with a vascular cassette for crossing the vein; D - transected central vein at the confluence with the left renal vein. | |
| Subject | ||
| Type | Other | |
View
(715KB)
|
Indexing metadata ▾ | |
|
|
5. Figure 5. Intraoperative dynamics of systolic blood pressure and heart rate. | |
| Subject | ||
| Type | Other | |
View
(371KB)
|
Indexing metadata ▾ | |
|
|
6. Figure 6. Dynamics of levels of methylated catecholamine derivatives before and after embolization of adrenal vessels, as well as 3 months after adrenalectomy. | |
| Subject | ||
| Type | Other | |
View
(145KB)
|
Indexing metadata ▾ | |
Review
For citations:
Khripun A.I., Makhuova G.B., Avdeeva T.F., Yusufov M.P. The use of preoperative embolization as a method of preventing intraoperative hemodynamic disorders in a patient with pheochromocytoma. Endocrine Surgery. 2020;14(1):22-29. (In Russ.) https://doi.org/10.14341/serg12284
This work is licensed under a Creative Commons Attribution-NonCommercial-NoDerivatives 4.0 International License (CC BY-NC-ND 4.0).




































