Клиническое наблюдение редкой нейроэндокринной опухоли поджелудочной железы с проинсулин-секретирующей активностью
https://doi.org/10.14341/serg12342
Аннотация
В данной работе представлен клинический случай с описанием гипогликемических состояний с нетипичной симптоматикой у пациентки молодого возраста в раннем послеродовом периоде. По данным ультразвукового исследования (УЗИ) органов брюшной полости обнаружено крупное образование в области крючка поджелудочной железы, которое в дальнейшем подтверждено по данным эндо-УЗИ, компьютерной и магнитно-резонансной томографии. Учитывая наличие образования поджелудочной железы, документированной триады Уиппла и данные о гиперинсулинизме, на амбулаторном этапе сложилось представление об инсулиноме. Однако при проведении пробы с 72-часовым голоданием не наблюдалось существенного повышения уровня инсулина и С-пептида. После исключения иных причин гипогликемии заподозрено наличие проинсулиномы. Исследование уровня проинсулина выявило его значительное повышение. Выполнена гастропанкреатодуоденальная резекция. Выявлена высокодифференцирован- ная нейроэндокринная опухоль поджелудочной железы с экспрессией CD56, NSE, синаптофизина и хромогранина А, индекс Ki-67 — около 1%. После хирургического лечения гипогликемические состояния не наблюдались.
Об авторах
Анна Ральфовна ВолковаРоссия
д.м.н., профессор
Светлана Владимировна Дора
Россия
к.м.н., доцент
Елена Николаевна Остроухова
Россия
к.м.н., доцент
Анна Владимировна Лискер
Россия
Галина Владимировна Семикова
Россия
Екатерина Юрьевна Демыденко
Россия
клинический ординатор
Список литературы
1. Бельцевич Д.Г. Согласительные рекомендации ENETS (Европейское общество по нейроэндокринным опухолям) по ведению больных с нейроэндокринными опухолями ЖКТ: функционирующие нейроэндокринные опухоли поджелудочной железы // Эндокринная хирургия. — 2012. — Т. 6. — №3. — C. 8–40.
2. Murtha TD, Lupsa BC, Majumdar S, et al. A Systematic Review of Proinsulin-Secreting Pancreatic Neuroendocrine Tumors. J Gastrointest Surg. 2017;21(8):1335-1341. doi: https://doi.org/10.1007/s11605-017-3428-8
3. de Herder WW, Niederle B, Scoazec J-Y, et al. Well-Differentiated Pancreatic Tumor/Carcinoma: Insulinoma. Neuroendocrinology. 2006;84(3):183-188. doi: https://doi.org/10.1159/000098010
4. Piovesan A, Pia A, Visconti G, et al. Proinsulin-secreting neuroendocrine tumor of the pancreas. J Endocrinol Invest. 2003;26(8):758-761. doi: https://doi.org/10.1007/BF03347360
5. Gama R, Marks V, Wrlght J, Teale JD. Octreotide exacerbated fasting hypoglycaemia in a patient with a proinsulinoma; the glucostatic importance of pancreatic glucagon. Clin Endocrinol (Oxf ). 1995;43(1):117-120. doi: https://doi.org/10.1111/j.1365-2265.1995.tb01901.x
6. Cryer PE, Axelrod L, Grossman AB, et al. Evaluation and Management of Adult Hypoglycemic Disorders: An Endocrine Society Clinical Practice Guideline. J Clin Endocrinol Metab. 2009;94(3):709-728. doi: https://doi.org/10.1210/jc.2008-1410
7. Юкина М.Ю., Нуралиева Н.Ф., Трошина Е.А., и др. Гипогликемический синдром (инсулинома): патогенез, этиология, лабораторная диагностика. Обзор литературы (часть 1) // Проблемы эндокринологии. — 2017. — Т. 63. — №4. — С. 245–256.
8. Волкова Н.И., Поркшеян М.И., Канаева С.А., и др. Клинический случай редкой нейроэндокринной опухоли поджелудочной железы — проинсулиномы // Эндокринная хирургия. — 2015. — Т. 9. — №4. — С. 26–31.
Дополнительные файлы
|
|
1. Рисунок 1. Ультразвуковое исследование органов брюшной полости с образованием в поджелудочной железе. | |
| Тема | ||
| Тип | Исследовательские инструменты | |
Посмотреть
(207KB)
|
Метаданные ▾ | |
|
|
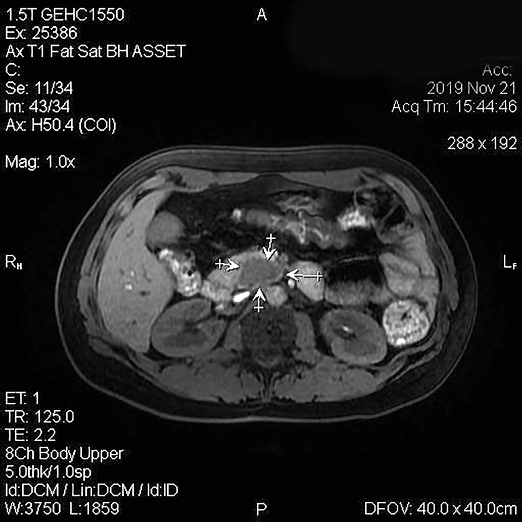
2. Рисунок 2. Магнитно-резонансная томография органов брюшной полости с контрастным усилением. Стрелками показано образование в поджелудочной железе. | |
| Тема | ||
| Тип | Исследовательские инструменты | |
Посмотреть
(171KB)
|
Метаданные ▾ | |
Рецензия
Для цитирования:
Волкова А.Р., Дора С.В., Остроухова Е.Н., Лискер А.В., Семикова Г.В., Демыденко Е.Ю. Клиническое наблюдение редкой нейроэндокринной опухоли поджелудочной железы с проинсулин-секретирующей активностью. Эндокринная хирургия. 2020;14(2):16-20. https://doi.org/10.14341/serg12342
For citation:
Volkova A.R., Dora S.V., Ostrouchova E.N., Lisker A.V., Semikova G.V., Demydenko E.U. A rare pancreatic neuroendocrine tumor with proinsulin-secreting activity. Endocrine Surgery. 2020;14(2):16-20. (In Russ.) https://doi.org/10.14341/serg12342
JATS XML
Контент доступен под лицензией Creative Commons Attribution-NonCommercial-NoDerivatives 4.0 International License (CC BY-NC-ND 4.0).




































