Крибриформно-морулярный рак щитовидной железы
https://doi.org/10.14341/serg12450
Аннотация
Наряду с классическим папиллярным раком щитовидной железы существуют его редкие гистологические варианты с характерными клиническими особенностями, о которых практикующие врачи информированы недостаточно. Представляем наблюдение 25-летней пациентки, которой на основании ультразвукового исследования и тонкоигольной аспирационной биопсии был поставлен клинический диагноз: папиллярный рак щитовидной железы. Проведена тиреоидэктомия. При гистологическом и иммуногистохимическом (экспрессия цитокератина-19, CD56, тиреоглобулина, β-катенина) исследовании была верифицирована крибриформно-морулярная карцинома. Этот вариант папиллярного рака в подавляющем числе случаев ассоциирован с фамильным аденоматозным полипозом толстой кишки — заболеванием, обусловленным мутацией гена-супрессора АРС, которое характеризуется наличием множественных аденоматозных полипов в толстой кишке со 100% риском малигнизации и развития рака толстой кишки. Пациентке была выполнена колоноскопия и обнаружены полипы размером от 1 мм до 3,5 см во всех отделах толстой кишки и в прямой кишке. Молекулярно-генетический анализ крови показал наличие мутации в гене АРС p.S1104X. Проведена профилактическая колопроктэктомия. При гистологическом исследовании верифицированы тубулярные и тубулярно-ворсинчатые аденомы с умеренной дисплазией эпителия. В течение 6 лет наблюдения за пациенткой отмечается структурная и биохимическая ремиссия рака щитовидной железы.
Ключевые слова
Об авторах
Тимур Альбертович БритвинРоссия
д.м.н.
Ольга Анатольевна Нечаева
к.м.н.
Михаил Евгеньевич Белошицкий
д.м.н.
Татьяна Сергеевна Тамазян
Екатерина Владимировна Бондаренко
Лариса Евсеевна Гуревич
Россия
д.б.н., профессор
Дмитрий Юрьевич Семенов
д.м.н., профессор
Список литературы
1. Fujimoto T, Hirokawa M, Ota H, et al. Characteristic sonographic features of cribriform papillary thyroid carcinoma for differentiation from other thyroid nodules. J Med Ultrason. 2015;42(1):83-87. doi: https://doi.org/10.1007/s10396-014-0555-7
2. Lam AK, Saremi N. Cribriform-morular variant of papillary thyroid carcinoma: a distinctive type of thyroid cancer. Endocr Relat Cancer. 2017;24(4):R109-R121. doi: https://doi.org/10.1530/ERC-17-0014
3. Levy RA, Hui VW, Sood R, et al. Cribriform-morular variant of papillary thyroid carcinoma: an indication to screen for occult FAP. Fam Cancer. 2014;13(4):547-551. doi: https://doi.org/10.1007/s10689-014-9732-5
4. Akaishi J, Kondo T, Sugino K, et al. Cribriform-Morular Variant of Papillary Thyroid Carcinoma: Clinical and Pathological Features of 30 Cases. World J Surg. 2018;42(11):3616-3623. doi: https://doi.org/10.1007/s00268-018-4644-4
5. Novelli M. The pathology of hereditary polyposis syndromes. Histopathology. 2015;66(1):78-87. doi: https://doi.org/10.1111/his.12590
6. Syngal S, Brand RE, Church JM, et al. ACG Clinical Guideline: Genetic Testing and Management of Hereditary Gastrointestinal Cancer Syndromes. Am J Gastroenterol. 2015;110(2):223-262. doi: https://doi.org/10.1038/ajg.2014.435
7. Dinarvand P, Davaro EP, Doan JV, et al. Familial Adenomatous Polyposis Syndrome: An Update and Review of Extraintestinal Manifestations. Arch Pathol Lab Med. 2019;143(11):1382-1398. doi: https://doi.org/10.5858/arpa.2018-0570-RA
8. Herraiz M, Barbesino G, Faquin W, et al. Prevalence of Thyroid Cancer in Familial Adenomatous Polyposis Syndrome and the Role of Screening Ultrasound Examinations. Clin Gastroenterol Hepatol. 2007;5(3):367-373. doi: https://doi.org/10.1016/j.cgh.2006.10.019
9. Sada H, Hinoi T, Ueno H, et al. Prevalence of and risk factors for thyroid carcinoma in patients with familial adenomatous polyposis: results of a multicenter study in Japan and a systematic review. Surg Today. 2019;49(1):72-81. doi: https://doi.org/10.1007/s00595-018-1710-3
10. Aydemirli MD, van der Tuin K, Hes FJ, et al. A unique case of two somatic APC mutations in an early onset cribriformmorular variant of papillary thyroid carcinoma and overview of the literature. Fam Cancer. 2020;19(1):15-21. doi: https://doi.org/10.1007/s10689-019-00146-4
11. Hirokawa M, Maekawa M, Kuma S, Miyauchi A. Cribriformmorular variant of papillary thyroid carcinoma-Cytological and immunocytochemical findings of 18 cases. Diagn Cytopathol. 2010;38(12):890-896. doi: https://doi.org/10.1002/dc.21309
12. Cameselle-Teijeiro JM, Peteiro-González D, Caneiro-Gómez J, et al. Cribriform-morular variant of thyroid carcinoma: a neoplasm with distinctive phenotype associated with the activation of the WNT/β-catenin pathway. Mod Pathol. 2018;31(8):1168-1179. doi: https://doi.org/10.1038/s41379-018-0070-2
13. D’Elia G, Caliendo G, Casamassimi A, et al. APC and MUTYH Analysis in FAP Patients: A Novel Mutation in APC Gene and Genotype-Phenotype Correlation. Genes (Basel). 2018;9(7):322. doi: https://doi.org/10.3390/genes9070322
14. Park J, Kim J-W, Park H, et al. Multifocality in a Patient with Cribriform–Morular Variant of Papillary Thyroid Carcinoma Is an Important Clue for the Diagnosis of Familial Adenomatous Polyposis. Thyroid. 2019;29(11):1606-1614. doi: https://doi.org/10.1089/thy.2019.0261
Дополнительные файлы
|
|
1. Рисунок 1. Ультразвуковое изображение правой доли щитовидной железы в В-режиме с использованием цветного допплеровского картирования: А — продольное сканирование; Б — поперечное сканирование. | |
| Тема | ||
| Тип | Исследовательские инструменты | |
Посмотреть
(260KB)
|
Метаданные ▾ | |
|
|
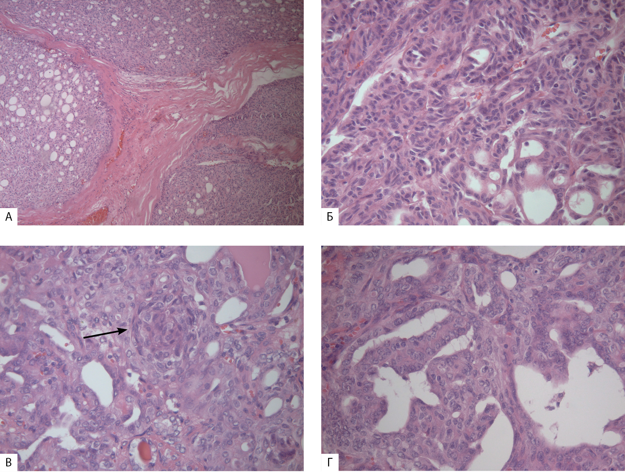
2. Рисунок 2. Крибриформно-морулярный вариант папиллярного рака щитовидной железы, окраска гематоксилином и эозином: А — множественные узлы (ув. х40); Б — криброзные (дырчатые), трабекулярные, солидные, микрофолликулярные структуры опухоли (ув. х125); В — морула (указана стрелкой), окруженная криброзными и солидными структурами опухоли (ув. х250); Г — участки папиллярного строения в опухолевом узле (ув. х250). Микрофото из личного архива Казанцевой И.А. и Бондаренко Е.В. | |
| Тема | ||
| Тип | Исследовательские инструменты | |
Посмотреть
(874KB)
|
Метаданные ▾ | |
|
|
3. Рисунок 3. Иммунофенотип крибриформно-морулярного варианта папиллярного рака щитовидной железы: А — отсутствие экспрессии тиреоглобулина в клетках опухоли и наличие экспрессии в ткани неизмененной щитовидной железы, окружающей опухолевые структуры (ув. x125); Б — интенсивная цитоплазматическая экспрессия цитокератина-19 (ув. x250); В — ядерно-цитоплазматическая экспрессия β-катенина в клетках опухоли (ув. x250); Г — неравномерная, очаговая мембранно-цитоплазматическая экспрессия CD56 в папиллярных структурах опухоли (ув. х250). Микрофото из личного архива Казанцевой И.А. и Бондаренко Е.В. | |
| Тема | ||
| Тип | Исследовательские инструменты | |
Посмотреть
(974KB)
|
Метаданные ▾ | |
Рецензия
Для цитирования:
Бритвин Т.А., Нечаева О.А., Белошицкий М.Е., Тамазян Т.С., Бондаренко Е.В., Гуревич Л.Е., Семенов Д.Ю. Крибриформно-морулярный рак щитовидной железы. Эндокринная хирургия. 2020;14(2):4-9. https://doi.org/10.14341/serg12450
For citation:
Britvin T.A., Nechaeva O.A., Beloshitsky M.E., Tamazyan T.S., Bondarenko E.V., Gurevch L.E., Semenov D.Yu. Cribriform-morular thyroid carcinoma. Endocrine Surgery. 2020;14(2):4-9. (In Russ.) https://doi.org/10.14341/serg12450
Контент доступен под лицензией Creative Commons Attribution-NonCommercial-NoDerivatives 4.0 International License (CC BY-NC-ND 4.0).




































