Preview

Эндокринная хирургия

Расширенный поиск

Клиническое наблюдение токсического многоузлового зоба со сдавлением органов шеи

https://doi.org/10.14341/probl12270

Аннотация

Представлено клиническое наблюдение хирургического лечения пациента с многоузловым шейно-загрудинным зобом 2 степени по ВОЗ, осложненным сдавлением трахеи (до 5 мм). Впервые диагноз многоузлового зоба был выставлен эндокринологом по месту жительства 3 года назад. В течение двух лет пациента беспокоили жалобы на затрудненное дыхание и одышку при физической нагрузке. Неоднократно в течение последнего года обращался к специалистам терапевтического профиля (терапевту, пульмонологу, кардиологу), однако ни один из них не смог объяснить причину затрудненного дыхания. После обследования у эндокринного хирурга было выявлено осложненное течение много- узлового зоба с развитием компрессионного синдрома шеи с сужением трахеи. По данным ультразвукового исследования, щитовидная железа диффузно увеличена в размерах, преимущественно за счет левой доли с общим объемом 132,5 см3; по данным компьютерной томографии — трахея смещена вправо за счет компрессии левой долей, просвет сужен до 5 мм. Выставлены показания к оперативному вмешательству по жизненным показаниям. Пациенту выполнена тиреоидэктомия. В послеоперационном периоде жалоб на затрудненное дыхание пациент не предъявлял и отмечал улучшение физической активности. Данное наблюдение показывает, что при ведении пациентов с многоузловым зобом врачу любой специальности необходимо помнить о проявлениях компрессионного синдрома шеи. Следует направлять таких больных как можно раньше на консультацию эндокринного хирурга, чтобы не упустить оптимальные сроки планового оперативного вмешательства.

Об авторах

Евгений Георгиевич Григорьев
Иркутский научный центр хирургии и травматологии; Иркутский государственный медицинский университет
Россия

член-корреспондент РАН, д.м.н., профессор

Научный руководитель

Заведующий кафедрой госпитальной хирургии



Елена Алексеевна Ильичева
Иркутский научный центр хирургии и травматологии; Иркутская ордена «Знак почета» областная клиническая больница
Россия

д.м.н., профессор



Глеб Александрович Берсенев
Иркутский научный центр хирургии и травматологии
Россия

аспирант, врач-хирург



Валерий Николаевич Махутов
Иркутская ордена «Знак почета» областная клиническая больница
Россия

к.м.н., заведующий торакальным хирургическим отделением



Татьяна Юрьевна Серебренникова
Иркутская ордена «Знак почета» областная клиническая больница
Россия

врач анестезиолог-реаниматолог отделения анестезиологии и реанимации № 1



Список литературы

1. Zimmermann MB. Iodine Deficiency. Endocr Rev. 2009;30(4):376-408. doi: https://doi.org/10.1210/er.2009-0011

2. Vanderpump MPJ. The epidemiology of thyroid disease. Br Med Bull. 2011;99(1):39-51. doi: https://doi.org/10.1093/bmb/ldr030

3. Vander JB, Gaston EA, Dawber TR. The significance of nontoxic thyroid nodules. Final report of a 15-year study of the incidence of thyroid malignancy. Ann Intern Med. 1968;69(3):537–540. doi: https://doi.org/10.7326/0003-4819-69-3-537

4. Reiners C, Wegscheider K, Schicha H, et al. Prevalence of Thyroid Disorders in the Working Population of Germany: Ultrasonography Screening in 96,278 Unselected Employees. Thyroid. 2004;14(11):926-932. doi: https://doi.org/10.1089/thy.2004.14.926

5. Трошина Е.А., Платонова Н.М., Абдулхабирова Ф.М., Герасимов Г.А. Йододефицитные заболевания в Российской Федерации: время принятия решений / Под ред. И.И. Дедова, Г.А. Мельниченко. — М.: Конти-Принт; 2012. — 32 с.

6. Jennings A. Evaluation of substernal goiters using computed tomography and mr imaging. Endocrinol Metab Clin North Am. 2001;30(2):401-414. doi: https://doi.org/10.1016/S0889-8529(05)70192-4

7. Березкина И.С., Саприна Т.В., Зима А.П., и др. Клинические особенности и результаты лабораторно-инструментального обследования пациентов с узловыми образованиями щитовидной железы // Клиническая медицина. — 2017. — Т. 95. — № 4. — С. 355–361.

8. Lin Y-S, Wu H-Y, Lee C-W, et al. Surgical management of substernal goitres at a tertiary referral centre: A retrospective cohort study of 2,104 patients. Int J Surg. 2016;27(4):46-52. doi: https://doi.org/10.1016/j.ijsu.2016.01.032

9. Шулутко А.М., Семиков В.И., Грязнов С.Е., и др. Трудности экстренного хирургического лечения больных зобом с острой дыхательной недостаточностью в результате компрессионного синдрома (клинические наблюдения) // Московский хирургический журнал. — 2015. — №3. — С. 5–11.

10. Madjar S, Weissberg D. Retrosternal Goiter. Chest. 1995;108(1):78-82. doi: https://doi.org/10.1378/chest.108.1.78

11. Пиксин И.Н., Вилков А.В., Давыдкин В.И., и др. Особенности лечебно-диагностической тактики при компрессионном синдроме у больных с доброкачественными заболеваниями щитовидной железы // Таврический медико-биологический вестник. — 2017. — Т. 20. — № 3–2. — С. 221-226.

12. Chen AY, Bernet VJ, Carty SE, et al. American Thyroid Association Statement on Optimal Surgical Management of Goiter. Thyroid. 2014;24(2):181-189. doi: https://doi.org/10.1089/thy.2013.0291

13. Щеголев А.А., Ларин А.А., Хитрова Е.Н., и др. Неотложная резекция щитовидной железы у 80-летней пациентки с загрудинным зобом и компрессионным синдромом // Клиническая геронтология. — 2010. — Т. 16. — № 7-8. —С. 64-65.

14. Неговский А.А., Шпажникова Т.И., Знаменский А.А., и др. Анестезиологическое обеспечение операций на щитовидной железе // Общая реаниматология. — 2008. — Т. 4. — № 6. — С. 65.

15. Sadrizadeh A, Ghafarian S, Haghi SZ, Salehi M. Evaluations of factors predicting the need for an extra-cervical approach for intra-thoracic goiter. Iran J Otorhinolaryngol. 2015;27(83):435-441. doi: https://doi.org/10.22038/ijorl.2015.5401

16. Nistor C, Ciuche A, Motaş C, et al. Cervico-mediastinal thyroid masses — our experience. Chirurgia (Bucur). 2014;109(1):34-43.

17. Giulea C. Pemberton’s Sign and Intense Facial Edema in Superior Vena Cava Syndrome due to Retrosternal Goiter. Acta Endocrinol. 2016;12(2):227-229. doi: https://doi.org/10.4183/aeb.2016.227

18. Бельцевич Д.Г., Ванушко В.Э., Мельниченко Г.А., и др. Клинические рекомендации Российской ассоциации эндокринологов по диагностике и лечению (много) узлового зоба у взрослых // Эндокринная хирургия. — 2016. — Т.10. — №1. — С. 5–12.

19. Ross DS, Burch HB, Cooper DS, et al. 2016 American Thyroid Association Guidelines for Diagnosis and Management of Hyperthyroidism and Other Causes of Thyrotoxicosis. Thyroid. 2016;26(10):1343-1421. doi: https://doi.org/10.1089/thy.2016.0229

20. Аметов А.С., Кондратьева Л.В., Бугова Л.А. Болезнь Грейвса и функциональная автономия щитовидной железы в регионе с легким йодным дефицитом // Клиническая и экспериментальная тиреоидология. — 2011. — Т. 7. — № 4. — С. 51-55.


Дополнительные файлы

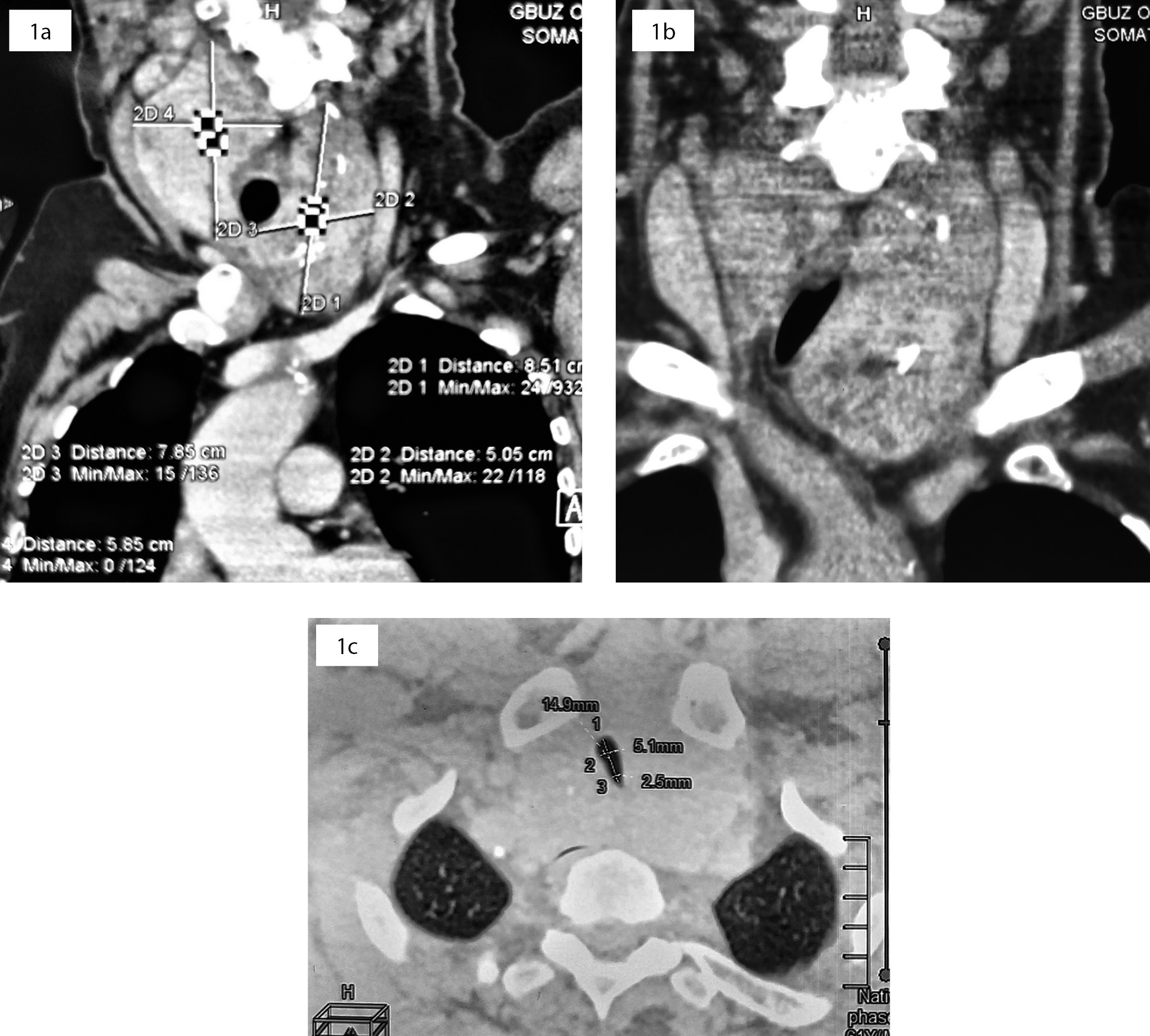
1. Рисунок 1. Компьютерная томография шеи. 1a — сагиттальная проекция; 1b — фронтальная проекция; 1с — аксиальная проекция: диффузное увеличение щитовидной железы за счет обеих долей с распространением загрудинно. Верхние полюса достигают сосцевидных отростков. Сужение просвета трахеи до 5 мм.
Тема
Тип Исследовательские инструменты
Посмотреть (470KB)    
Метаданные ▾
2. Рисунок 2. Макропрепарат щитовидной железы.
Тема
Тип Исследовательские инструменты
Посмотреть (316KB)    
Метаданные ▾

Рецензия

Для цитирования:


Григорьев Е.Г., Ильичева Е.А., Берсенев Г.А., Махутов В.Н., Серебренникова Т.Ю. Клиническое наблюдение токсического многоузлового зоба со сдавлением органов шеи. Эндокринная хирургия. 2020;14(2):10-15. https://doi.org/10.14341/probl12270

For citation:


Grigoryev E.G., Ilyicheva E.A., Bersenev G.A., Makhutov V.N., Serebrennikova T.Yu. Case report of toxic multinodular goiter with neck compression. Endocrine Surgery. 2020;14(2):10-15. (In Russ.) https://doi.org/10.14341/probl12270

Просмотров: 2641


ISSN 2306-3513 (Print)
ISSN 2310-3965 (Online)