Preview

Эндокринная хирургия

Расширенный поиск

Клинико-генетическая гетерогенность двусторонней микронодулярной гиперплазии надпочечников

https://doi.org/10.14341/serg12709

Аннотация

Микронодулярная гиперплазия надпочечников (МикГН) является редкой причиной АКТГ-независимого гиперкортицизма, которая может быть разделена по крайней мере на две отдельные группы патологий: первичная пигментированная МикГН и непигментированная МикГН, среди которых выделяют семейные и спорадические формы. Наиболее часто встречающейся является генетически детерминированная семейная форма первично - пигментированной МикГН, как одна из составляющих комплекса Карни, обусловленная герминальной мутацией в гене PRKAR1A. При изолированных формах, помимо мутации в гене PRKAR1A, описаны инактивирующие мутации в генах кодирующих фосфодиэстеразы (PDE11A4 и PDE8B), а также амплификация гена PRKACA.

Несмотря на относительную давность описания микронодулярной гиперплазии и одноименного комплекса Эйданом Карни в 1985 г., детальное изучение патофизиологических механизмов, генетических и клинических аспектов данной патологии, на сегодняшний день клиницисты продолжают сталкиваться с «нетипичными» случаями заболевания. Таким образом, природа данного заболевания недостаточно изучена и требует дальнейшего исследования. В данной обзорной статье, представлены накопленные данные о МикГН с акцентом на генетические аспекты, а также описаны 2 уникальных клинических случая изолированной МикГН с результатами односторонней адреналэктомии.

Об авторах

А. Шевэ
Национальный медицинский исследовательский центр эндокринологии
Россия

Шевэ Анастасия, аспирант, 117036, Москва, ул. Дмитрия Ульянова, д. 11, eLibrary SPIN: 2459-0540


Конфликт интересов:

Авторы декларируют отсутствие явных и потенциальных конфликтов интересов, связанных с публикацией настоящей статьи.



Д. Г. Бельцевич
Национальный медицинский исследовательский центр эндокринологии
Россия

Бельцевич Дмитрий Германович, д.м.н., проф., eLibrary SPIN: 4475-6327


Конфликт интересов:

Авторы декларируют отсутствие явных и потенциальных конфликтов интересов, связанных с публикацией настоящей статьи.



А. Ю. Абросимов
Национальный медицинский исследовательский центр эндокринологии
Россия

Абросимов Александр Юрьевич, д.м.н., профессор, eLibrary SPIN: 4089-9502


Конфликт интересов:

Авторы декларируют отсутствие явных и потенциальных конфликтов интересов, связанных с публикацией настоящей статьи.



Д. А. Деркач
Национальный медицинский исследовательский центр эндокринологии
Россия

Деркач Дмитрий Анатольевич, eLibrary SPIN: 9549-1557


Конфликт интересов:

Авторы декларируют отсутствие явных и потенциальных конфликтов интересов, связанных с публикацией настоящей статьи.



А. А. Лазарева
Национальный медицинский исследовательский центр эндокринологии
Россия

Лазарева Анна Александровна, клинический ординатор,  eLibrary SPIN: 3940-5767


Конфликт интересов:

Авторы декларируют отсутствие явных и потенциальных конфликтов интересов, связанных с публикацией настоящей статьи.



Список литературы

1. Орлова Е.М., Карева М.А. Карни-комплекс — синдром множественных эндокринных неоплазий // Проблемы эндокринологии. — 2012. — Т. 58. — №3. — С. 22-30. doi: https://doi.org/10.14341/probl201258322-30

2. Chen S, Li R, Lu L, et al. Efficacy of dexamethasone suppression test during the diagnosis of primary pigmented nodular adrenocortical disease in Chinese adrenocorticotropic hormoneindependent Cushing syndrome. Endocrine. 2018;59(1):183-190. doi: https://doi.org/10.1007/s12020-017-1436-9

3. Zhou J, Zhang M, Bai X, et al. Demographic Characteristics, Etiology, and Comorbidities of Patients with Cushing’s Syndrome: A 10-Year Retrospective Study at a Large General Hospital in China. Int J Endocrinol. 2019:1-10. doi: https://doi.org/10.1155/2019/7159696

4. Tirosh A, Valdés N, Stratakis CA. Genetics of micronodular adrenal hyperplasia and Carney complex. Presse Med. 2018;47(7-8):127-137. doi: https://doi.org/10.1016/j.lpm.2018.07.005

5. Horvath A, Stratakis CA. Unraveling the molecular basis of micronodular adrenal hyperplasia. Curr Opin Endocrinol Diabetes Obes. 2008;15(3):227-233. doi: https://doi.org/10.1097/MED.0b013e3282fe7416

6. Carney JA, Gordon H, Carpenter PC, et al. The complex of myxomas, spotty pigmentation, and endocrine overactivity. Medicine (Baltimore). 1985;64(4):270-283. doi: https://doi.org/10.1097/00005792-198507000-00007

7. Duan K, Hernandez KG, Mete O. Clinicopathological correlates of adrenal Cushing’s syndrome. Postgrad Med J. 2015;91(1076):331-342. doi: https://doi.org/10.1136/postgradmedj-2014-202612rep

8. Ефимов А.А., Маслякова Г.Н. О роли липофусцина в инволютивных и патологических процессах. Саратовский научно-медицинский журнал. — 2009. — Т. 5. — №1. — C. 111-115.

9. Патологическая анатомия. Частная анатомия / Под ред. Паукова В.С. — М.: ГЭОТАР-Медиа; 2015.

10. Mete O, Duan K. The Many Faces of Primary Aldosteronism and Cushing Syndrome: A Reflection of Adrenocortical Tumor Heterogeneity. Front Med (Lausanne). 2018;5:54. doi: https://doi.org/10.3389/fmed.2018.00054

11. Трошина Е.А., Бельцевич Д.Г., Молашенко Н.В., Газизова Д.О. Диагностика, дифференциальная диагностика и лечение эндогенного гипер кортицизма // Проблемы Эндокринологии. — 2010. — Т. 56. — №2. — C. 53-63. doi: https://doi.org/10.14341/probl201056253-63

12. Bertherat J, Horvath A, Groussin L, et al. Mutations in regulatory subunit type 1A of cyclic adenosine 5’-monophosphate-dependent protein kinase (PRKAR1A): phenotype analysis in 353 patients and 80 different genotypes. J Clin Endocrinol Metab. 2009;94(6):2085-2091. doi: https://doi.org/10.1210/jc.2008-2333

13. Nieman LK, Biller BM, Findling JW, et al. Treatment of Cushing’s Syndrome: An Endocrine Society Clinical Practice Guideline. J Clin Endocrinol Metab. 2015;100(8):2807-2831. doi: https://doi.org/10.1210/jc.2015-1818

14. Xu Y, Rui W, Qi Y, et al. The role of unilateral adrenalectomy in corticotropin-independent bilateral adrenocortical hyperplasias. World J Surg. 2013;37(7):1626-1632. doi: https://doi.org/10.1007/s00268-013-2059-9

15. Memon SS, Thakkar K, Patil V, et al. Primary pigmented nodular adrenocortical disease (PPNAD): single centre experience. J Pediatr Endocrinol Metab. 2019;32(4):391-397. doi: https://doi.org/10.1515/jpem-2018-0413

16. Espiard S, Bertherat J. PPNAD, Carney complex and other micronodular adrenal hyperplasia. In: Huhtanieniemi I, Martini, editors. Reference Module in Biomedical Sciences. 2018. p. 271-282.

17. Vélayoudom-Céphise FL, Haissaguerre M, Tabarin A. Etiopathogeny of Primary Adrenal Hypercortisolism. Front Horm Res. 2016;46:39-53. doi: https://doi.org/10.1159/000443863

18. Stratakis CA, Carney JA, Lin JP, et al. Carney complex, a familial multiple neoplasia and lentiginosis syndrome: Analysis of 11 kindreds and linkage to the short arm of chromosome 2. J Clin Invest. 1996;97:699-705. doi: https://doi.org/10.1172/JCI118467

19. Nadella KS, Kirschner LS. Disruption of protein kinase a regulation causes immortalization and dysregulation of D-type cyclins. Cancer Res. 2005;65(22):10307-10315. doi: https://doi.org/10.1158/0008-5472.CAN-05-3183

20. Kirschner LS, Carney JA, Pack SD, et al. Mutations of the gene encoding the protein kinase A type I-α regulatory subunit in patients with the Carney complex. Nat Genet. 2000;26(1):89-92. doi: https://doi.org/10.1038/79238

21. Espiard S, Ragazzon B, Bertherat J. Protein Kinase A Alterations in Adrenocortical Tumors. Horm Metab Res. 2014;46(12):869-875. doi: https://doi.org/10.1055/s-0034-1385908

22. Horvath A, Bossis I, Giatzakis C, et al. Large Deletions of the PRKAR1A Gene in Carney Complex. Clin Cancer Res. 2008;14(2):388-395. doi: https://doi.org/10.1158/1078-0432.CCR-07-1155

23. Salpea P, Horvath A, London E, et al. Deletions of the PRKAR1A Locus at 17q24.2-q24.3 in Carney Complex: Genotype- Phenotype Correlations and Implications for Genetic Testing. J Clin Endocrinol Metab. 2014;99(1):E183-E188. doi: https://doi.org/10.1210/jc.2013-3159

24. He F, Jacobson A. Nonsense-mediated mrna decay: degradation of defective transcripts is only part of the story. Annu Rev Genet. 2015;49(1):339-366. doi: https://doi.org/10.1146/annurev-genet-112414-054639.

25. Greene EL, Horvath AD, Nesterova M, et al. In vitro functional studies of naturally occurring pathogenic PRKAR1A mutations that are not subject to nonsense mRNA decay. Hum Mutat. 2008;29(5):633-639. doi: https://doi.org/10.1002/humu.20688

26. Meoli E, Bossis I, Cazabat L, et al. Protein kinase A effects of an expressed PRKAR1A mutation associated with aggressive tumors. Cancer Res. 2008;68(9):3133-3141. doi: https://doi.org/10.1158/0008-5472.CAN-08-0064

27. Libé R, Horvath A, Vezzosi D, et al. Frequent Phosphodiesterase 11A Gene ( PDE11A ) Defects in Patients with Carney Complex (CNC) Caused by PRKAR1A Mutations: PDE11A May Contribute to Adrenal and Testicular Tumors in CNC as a Modifier of the Phenotype. J Clin Endocrinol Metab. 2011;96(1):E208-E214. doi: https://doi.org/10.1210/jc.2010-1704

28. Matyakhina L, Pack S, Kirschner LS, et al. Chromosome 2 (2p16) abnormalities in Carney complex tumours. J Med Genet. 2003;40(4):268-277. doi: https://doi.org/10.1136/jmg.40.4.268.

29. Groussin L, Horvath A, Jullian E, et al. A PRKAR1A Mutation Associated with Primary Pigmented Nodular Adrenocortical Disease in 12 Kindreds. J Clin Endocrinol Metab. 2006:91(5):1943-1949. doi: https://doi.org/10.1210/jc.2005-2708

30. Pereira AM, Hes FJ, Horvath A, et al. Association of the M1VPRKAR1A Mutation with Primary Pigmented Nodular Adrenocortical Disease in Two Large Families. J Clin Endocrinol Metab. 2010:95(1):338-342. doi: https://doi.org/10.1210/jc.2009-0993

31. Lodish MB, Yuan B, Levy I, et al. Germline PRKACA amplification causes variable phenotypes that may depend on the extent of the genomic defect: molecular mechanisms and clinical presentations. Eur J Endocrinol. 2015:172(6):803-811. doi: https://doi.org/10.1530/eje-14-1154

32. Boikos SA, Horvath A, Heyerdahl S, et al. Phosphodiesterase 11A expression in the adrenal cortex, primary pigmented nodular adrenocortical disease, and other corticotropinindependent lesions. Horm Metab Res. 2008;40(5):347-353. doi: https://doi.org/10.1055/s-2008-1076694

33. Vezzosi D, Bertherat J. Phosphodiesterases in endocrine physiology and disease. Eur J Endocrinol. 2011;165(2):177-188. doi: https://doi.org/10.1530/eje-10-1123

34. Horvath A, Giatzakis C, Robinson-White A, et al. Adrenal Hyperplasia and Adenomas Are Associated with Inhibition of Phosphodiesterase 11A in Carriers of PDE11A Sequence Variants That Are Frequent in the Population. Cancer Res. 2006;66(24):11571-11575. doi: https://doi.org/10.1158/0008-5472.can-06-2914

35. Horvath A, Mericq V, Stratakis CA. Mutation inP DE8B,a Cyclic AMP–Specific Phosphodiesterase in Adrenal Hyperplasia. New England Journal of Medicine. 2008;358(7):750-752. doi: https://doi.org/10.1056/nejmc0706182


Дополнительные файлы

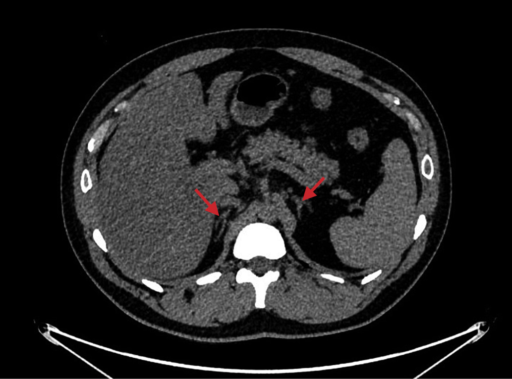
1. Рисунок 1. Мультиспиральная компьютерная томография надпочечников без контрастирования пациента №1.
Тема
Тип Исследовательские инструменты
Посмотреть (125KB)    
Метаданные ▾
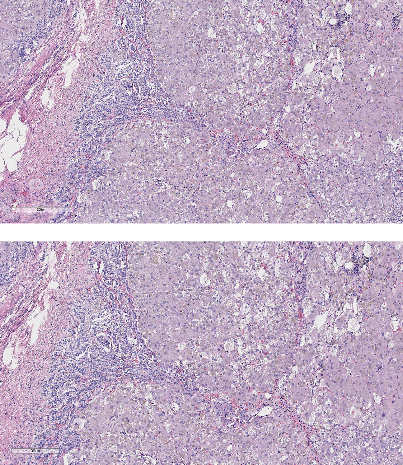
2. Рисунок 2. Гистологическая картина послеоперационного материала надпочечника пациента №1.
Тема
Тип Исследовательские инструменты
Метаданные ▾
3. Рисунок 3. Мультиспиральная компьютерная томография надпочечников без контрастирования пациентки №2.
Тема
Тип Исследовательские инструменты
Посмотреть (202KB)    
Метаданные ▾
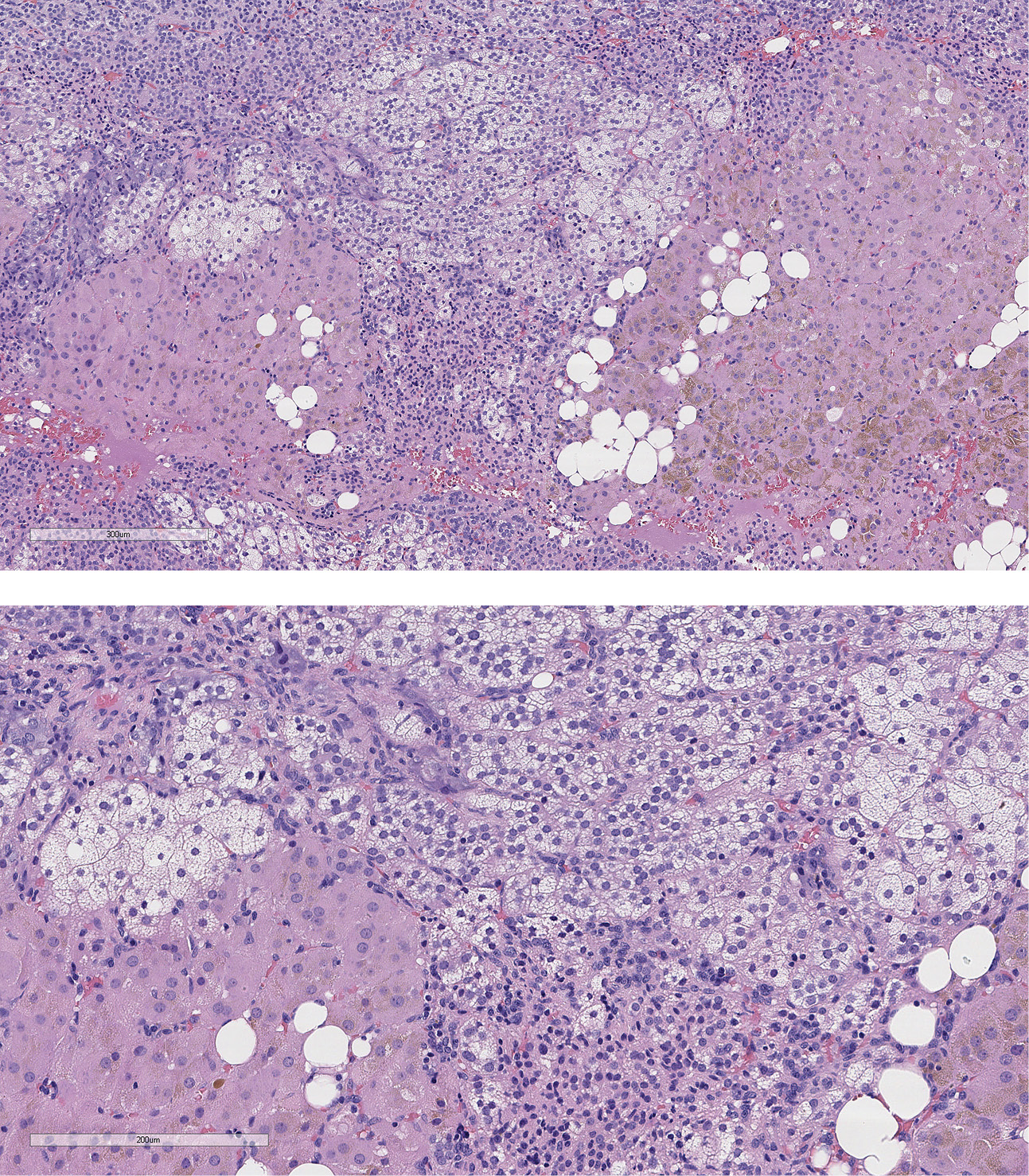
4. Рисунок 4. Гистологическая картина послеоперационного материала надпочечника пациентки №2.
Тема
Тип Исследовательские инструменты
Метаданные ▾

Рецензия

Для цитирования:


Шевэ А., Бельцевич Д.Г., Абросимов А.Ю., Деркач Д.А., Лазарева А.А. Клинико-генетическая гетерогенность двусторонней микронодулярной гиперплазии надпочечников. Эндокринная хирургия. 2021;15(1):27-35. https://doi.org/10.14341/serg12709

For citation:


Chevais A., Beltsevich D.G., Abrosimov A.Yu., Derkatch D.A., Lazareva A.A. Clinical and genetic heterogeneity of micronodular adrenal hyperplasia. Endocrine Surgery. 2021;15(1):27-35. (In Russ.) https://doi.org/10.14341/serg12709

Просмотров: 2759

JATS XML

ISSN 2306-3513 (Print)
ISSN 2310-3965 (Online)