Сложности дифференциальной диагностики диабетической нейроостеоартропатии с гнойным артритом у пациентов с малым стажем сахарного диабета 1 типа
https://doi.org/10.14341/serg12838
Аннотация
В настоящей работе рассмотрен клинический случай дифференциальной диагностики диабетической нейроостеоартропатии (ДНОАП) и гнойного артрита (ГА) у молодой пациентки с неудовлетворительным контролем сахарного диабета 1 типа (СД1) и небольшой (8 лет) длительностью основного заболевания. Ошибки в диагностике поражения стопы и голеностопного сустава, допущенные на первом этапе оказания помощи, создали клиническую ситуацию, сопряженную с крайне высоким риском потери конечности. На втором этапе, при госпитализации в профильное учреждение, был выполнен необходимый спектр диагностических и лечебных мероприятий, позволивший провести адекватную диагностику и дифференциальную диагностику поражения, а также его комплексное лечение, что дало возможность сохранить стопу и голеностопный сустав. Представленный клинический случай демонстрирует необходимость комплексного мультидисциплинарного подхода в выборе направлений диагностического поиска и последующего лечения пациентов с малым стажем плохо контролируемого сахарного диабета 1 типа.
Ключевые слова
Об авторах
Д. Ю. СавицкаяРоссия
Савицкая Дарья Юрьевна
117036, Москва, ул. Дм. Ульянова, д. 11
Author ID: 1219161
Конфликт интересов:
Авторы декларируют отсутствие явных и потенциальных конфликтов интересов, связанных с содержанием настоящей статьи.
А. Ю. Токмакова
Россия
Токмакова Алла Юрьевна, д.м.н.
Москва
Author ID РИНЦ: 549991
Конфликт интересов:
Авторы декларируют отсутствие явных и потенциальных конфликтов интересов, связанных с содержанием настоящей статьи.
Л. П. Доронина
Россия
Доронина Людмила Петровна, к.м.н.
Москва
Конфликт интересов:
Авторы декларируют отсутствие явных и потенциальных конфликтов интересов, связанных с содержанием настоящей статьи.
В. А. Митиш
Россия
Митиш Валерий Афанасьевич, к.м.н.
Москва
Конфликт интересов:
Авторы декларируют отсутствие явных и потенциальных конфликтов интересов, связанных с содержанием настоящей статьи.
П. С. Бардюгов
Россия
Бардюгов Петр Сергеевич, к.м.н.
Москва
Конфликт интересов:
Авторы декларируют отсутствие явных и потенциальных конфликтов интересов, связанных с содержанием настоящей статьи.
Г. Р. Галстян
Россия
Галстян Гагик Радикович, д.м.н., профессор
Москва
Конфликт интересов:
Авторы декларируют отсутствие явных и потенциальных конфликтов интересов, связанных с содержанием настоящей статьи.
Список литературы
1. «Алгоритмы специализированной медицинской помощи больным сахарным диабетом». Под редакцией И.И. Дедова, М.В. Шестаковой, А.Ю. Майорова. 10-й выпуск | Дедов | Сахарный диабет [Electronic resource]. URL: https://www.dia-endojournals.ru/jour/article/view/12802 (accessed: 15.10.2023).
2. Dodd A., Daniels T.R. Charcot Neuroarthropathy of the Foot and Ankle // J. Bone Jt. Surg. 2018. Vol. 100, № 8. P. 696–711.
3. Malik R.A. Diabetic neuropathy: A focus on small fibres // Diabetes Metab. Res. Rev. 2020. Vol. 36, № S1. P. e3255.
4. Mathews C.J. et al. Bacterial septic arthritis in adults // The Lancet. 2010. Vol. 375, № 9717. P. 846–855.
5. Galstyan G.R., Kaminarskaya Y.A. The pathogenesis of Charcot osteoarthropathy: the role of the peripheral nervous system // Endocr. Surg. 2015. Vol. 7, № 4. P. 5.
6. Vileikyte L., Pouwer F., Gonzalez J.S. Psychosocial research in the diabetic foot: Are we making progress? // Diabetes Metab. Res. Rev. 2020. Vol. 36, № S1. P. e3257.
7. Sinacore D.R., Smith E.K., Bohnert L.K. et al. Accelerated Cortical Osteolysis of Metatarsals in Charcot Neuroarthropathy: A Cross‐Sectional Observational Study // JBMR Plus. 2019. Vol. 3, № 12. P. e10243.
8. Abbod H., Al-Otaibi L., Alshamiri K. Septic arthritis // Int. J. Pediatr. Adolesc. Med. 2018. Vol. 5, № 4. P. 152–154.
9. Beaman F.D., Herrmann P.F., Ward R.J. et al. ACR Appropriateness Criteria Suspected Osteomyelitis, Septic Arthritis, or Soft Tissue Infection (Excluding Spine and Diabetic Foot) // J. Am. Coll. Radiol. 2017. Vol. 14, № 5. P. S326–S337.
10. Hadduck T.A., Holsbeeck M.T., Girish G. et al. Value of Ultrasound Before Joint Aspiration // Am. J. Roentgenol. 2013. Vol. 201, № 3. P. W453–W459.
Дополнительные файлы
|
|
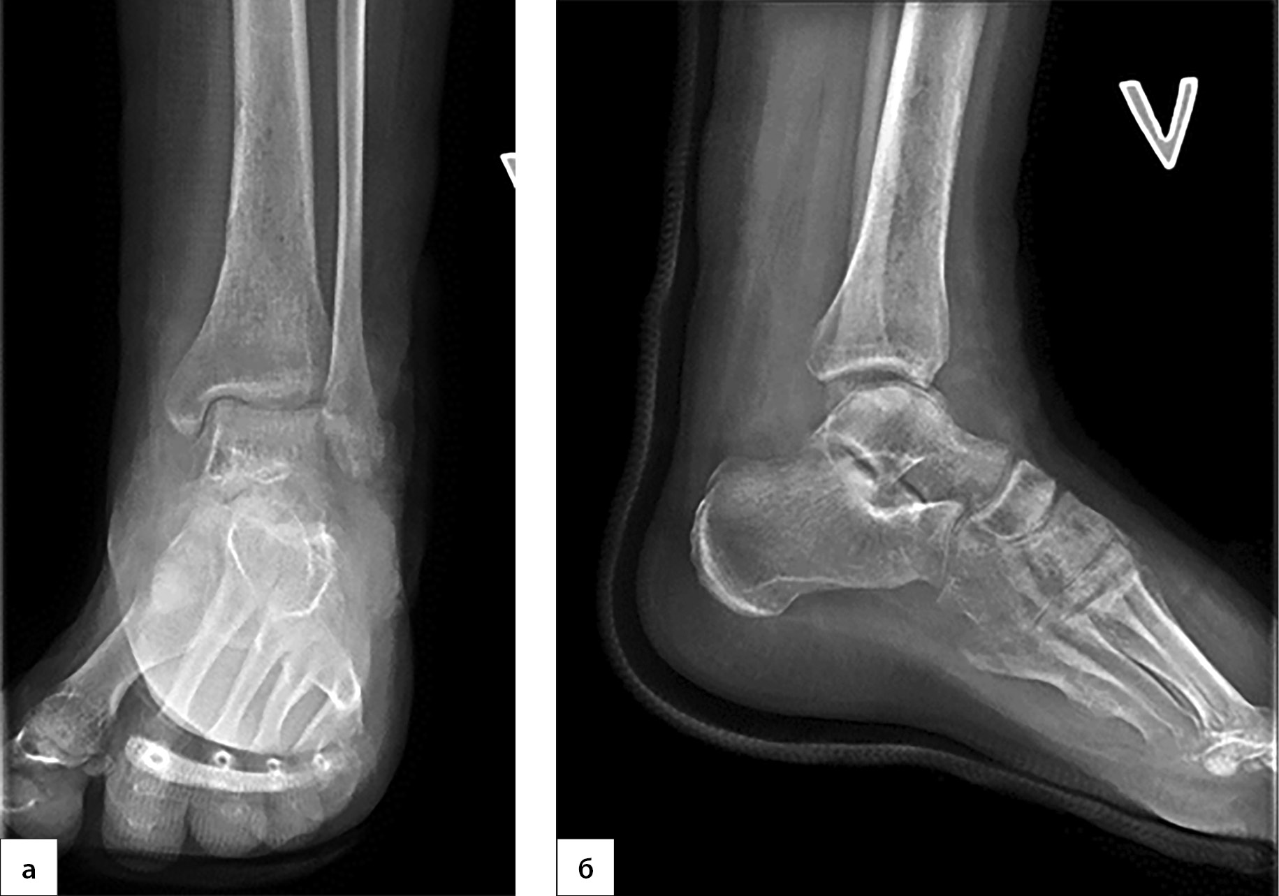
1. Рисунок 1. Рентгенография левого голеностопного сустава и стопы на догоспитальном этапе. (а) — прямая проекция; (б) — боковая проекция) | |
| Тема | ||
| Тип | Исследовательские инструменты | |
Посмотреть
(255KB)
|
Метаданные ▾ | |
|
|
2. Рисунок 2. Вид левой нижней конечности пациентки при поступлении. (а) — вид справа; (б) — вид сверху; (в) — вид слева | |
| Тема | ||
| Тип | Исследовательские инструменты | |
Посмотреть
(473KB)
|
Метаданные ▾ | |
|
|
3. Рисунок 3. Вид левой нижней конечности пациентки после хирургической обработки раневых дефектов. (а) — вид слева; (б) — вид сверху | |
| Тема | ||
| Тип | Исследовательские инструменты | |
Посмотреть
(276KB)
|
Метаданные ▾ | |
|
|
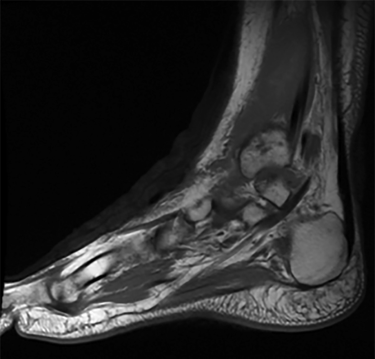
4. Рисунок 4. Магнитно-резонансная томография левого голеностопного сустава в режиме Т1. | |
| Тема | ||
| Тип | Исследовательские инструменты | |
Посмотреть
(132KB)
|
Метаданные ▾ | |
|
|
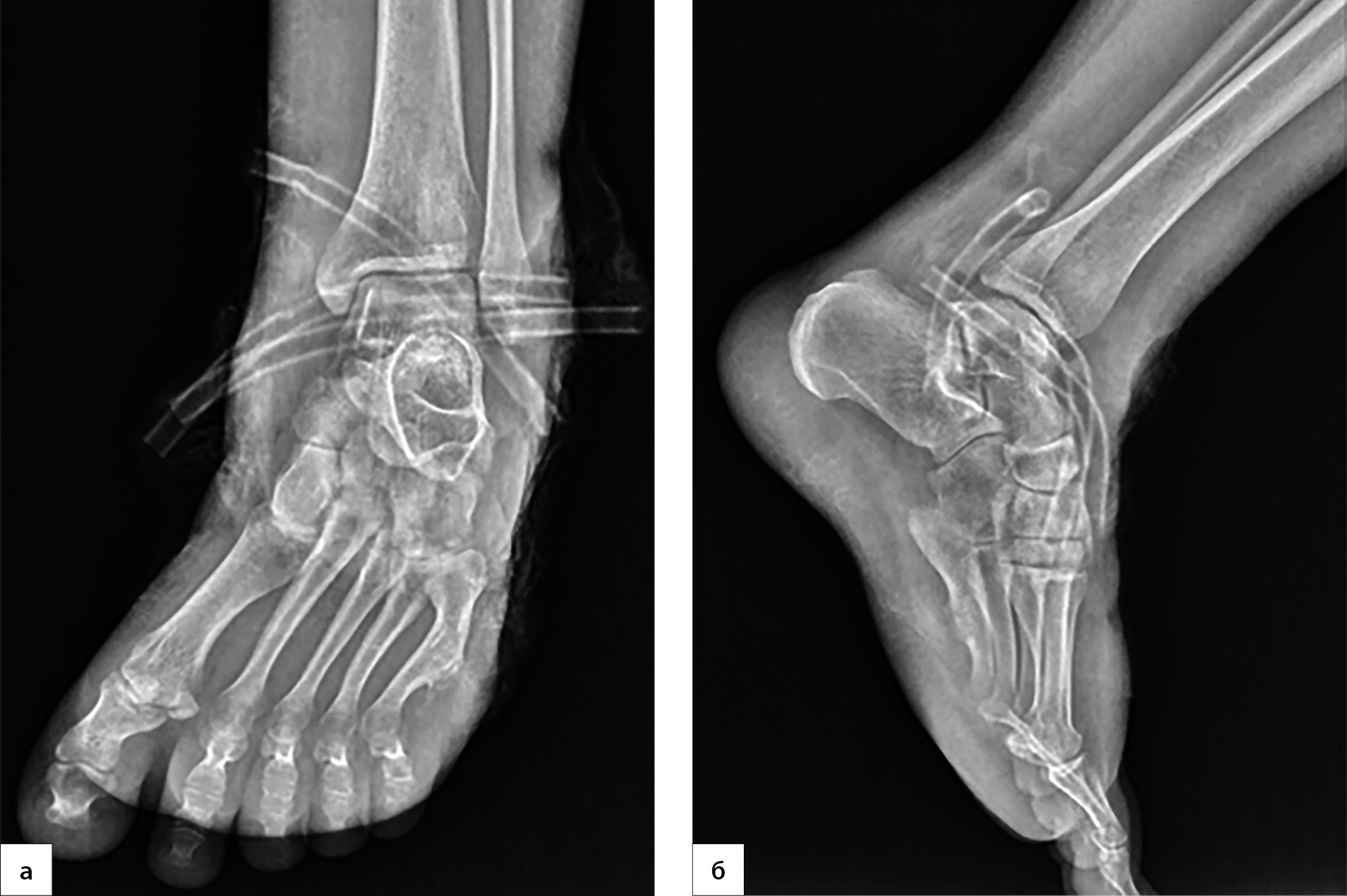
5. Рисунок 5. Рентгенография левого голеностопного сустава и стопы на 20-й день госпитализации. (а) — прямая проекция; (б) — боковая проекция | |
| Тема | ||
| Тип | Исследовательские инструменты | |
Посмотреть
(223KB)
|
Метаданные ▾ | |
|
|
6. Рисунок 6. Вид левой нижней конечности пациентки после хирургической обработки раны нижней трети левой голени с пластическим закрытием дефекта местными тканями. | |
| Тема | ||
| Тип | Исследовательские инструменты | |
Посмотреть
(340KB)
|
Метаданные ▾ | |
|
|
7. Рисунок 7. Вид левой нижней конечности пациентки на этапе эпителизации ран. (а) — вид слева; (б) — вид сверху | |
| Тема | ||
| Тип | Исследовательские инструменты | |
Посмотреть
(394KB)
|
Метаданные ▾ | |
|
|
8. Рисунок 8. Вид левой нижней конечности после наложения иммобилизирующей разгрузочной повязки. | |
| Тема | ||
| Тип | Исследовательские инструменты | |
Посмотреть
(144KB)
|
Метаданные ▾ | |
|
|
9. Рисунок 9. Магнитно-резонансная томография правого голеностопного сустава в режиме PD. | |
| Тема | ||
| Тип | Исследовательские инструменты | |
Посмотреть
(101KB)
|
Метаданные ▾ | |
|
|
10. Рисунок 10. Вид правой нижней конечности после наложения иммобилизирующей разгрузочной повязки. | |
| Тема | ||
| Тип | Исследовательские инструменты | |
Посмотреть
(149KB)
|
Метаданные ▾ | |
Рецензия
Для цитирования:
Савицкая Д.Ю., Токмакова А.Ю., Доронина Л.П., Митиш В.А., Бардюгов П.С., Галстян Г.Р. Сложности дифференциальной диагностики диабетической нейроостеоартропатии с гнойным артритом у пациентов с малым стажем сахарного диабета 1 типа. Эндокринная хирургия. 2024;18(1):40-48. https://doi.org/10.14341/serg12838
For citation:
Savitskaya D.U., Tokmakova A.Yu., Doronina L.P., Mitish V.A., Bardiugov P.S., Galstyan G.R. Difficulties of differential diagnosis of diabetic neurosteoarthropathy with purulent arthritis in patients with a short experience of type 1 diabetes mellitus. Endocrine Surgery. 2024;18(1):40-48. (In Russ.) https://doi.org/10.14341/serg12838
Контент доступен под лицензией Creative Commons Attribution-NonCommercial-NoDerivatives 4.0 International License (CC BY-NC-ND 4.0).




































