Preview

Эндокринная хирургия

Расширенный поиск

Лечение узлового зоба с компрессией органов шеи поэтапным способом: склеротерапия, радиочастотная абляция

https://doi.org/10.14341/serg12843

Аннотация

Как правило, пациенты с многоузловым зобом не наблюдаются регулярно у врачей, причиной обращения за медицинской помощью становится наличие растущего образования на шее или развитие компрессионного синдрома. Чаще таких пациентов направляют на хирургическое лечение, а именно на геми- или тотальную тиреоидэктомию. В данном исследовании представлен клинический случай лечения безоперационным способом, поэтапно, с помощью этаноловой склерозирующей терапии и радиочастотной абляции (РЧА), что позволило сохранить орган; при этом достигнут необходимый косметический эффект, отсутствует повреждение окружающих тканей и органов. Проведенное комбинированное лечение диффузно-узлового зоба позволило уменьшить размеры новообразования в 21 раз от исходного за период лечения с 2019 по 2021 гг., устранило косметический дефект и синдром компрессии. Склеротерапия и РЧА могут выступать как альтернатива хирургическим методам, но без рубцовых изменений шеи. Интервенционные методы являются эффективными в лечении узловых образований щитовидной железы, в том числе больших размеров.

Об авторах

Г. Т. Гумерова
ФГБОУ ВО «Башкирский государственный медицинский университет» Минздрава России
Россия

Гумерова Гульнара Тагировна, к.м.н, доцент

ResearcherID: JJD-7247-2023;

Scopus Author ID: 588708

Уфа


Конфликт интересов:

Авторы декларируют отсутствие явных и потенциальных конфликтов интересов, связанных с публикацией настоящей статьи.



А. Ф. Фазлыева
ФГБОУ ВО «Башкирский государственный медицинский университет» Минздрава России
Россия

Фазлыева Алия Фанисовна

Уфа


Конфликт интересов:

Авторы декларируют отсутствие явных и потенциальных конфликтов интересов, связанных с публикацией настоящей статьи.



С. П. Климец
ФГБОУ ВО «Башкирский государственный медицинский университет» Минздрава России
Россия

Климец Софья Павловна

Уфа


Конфликт интересов:

Авторы декларируют отсутствие явных и потенциальных конфликтов интересов, связанных с публикацией настоящей статьи.



Н. С. Сулейманова
ФГБОУ ВО «Башкирский государственный медицинский университет» Минздрава России
Россия

Сулейманова Назиля Сагитовна

Уфа


Конфликт интересов:

Авторы декларируют отсутствие явных и потенциальных конфликтов интересов, связанных с публикацией настоящей статьи.



А. И. Ишбулатова
ФГБОУ ВО «Башкирский государственный медицинский университет» Минздрава России
Россия

Ишбулатова Алия Исинтимировна

Уфа


Конфликт интересов:

Авторы декларируют отсутствие явных и потенциальных конфликтов интересов, связанных с публикацией настоящей статьи.



И. В. Асфандиярова
ФГБОУ ВО «Башкирский государственный медицинский университет» Минздрава России
Россия

Асфандиярова Ирина Вячеславовна

Scopus Author ID: 1200158

Уфа


Конфликт интересов:

Авторы декларируют отсутствие явных и потенциальных конфликтов интересов, связанных с публикацией настоящей статьи.



А. Д. Неряхин
ФГБОУ ВО «Башкирский государственный медицинский университет» Минздрава России
Россия

Неряхин Александр Дмитриевич

Scopus Author ID: 1219670

450076, Уфа, улица Аксакова, д. 58


Конфликт интересов:

Авторы декларируют отсутствие явных и потенциальных конфликтов интересов, связанных с публикацией настоящей статьи.



В. А. Макарьин
Клиника высоких медицинских технологий им. Н.И. Пирогова, ФГБОУ ВО «Санкт-Петербургский государственный университет»
Россия

Макарьин Виктор Алексеевич

Scopus Author ID: 761447

Санкт-Петербург


Конфликт интересов:

Авторы декларируют отсутствие явных и потенциальных конфликтов интересов, связанных с публикацией настоящей статьи.



А. А. Успенская
Клиника высоких медицинских технологий им. Н.И. Пирогова, ФГБОУ ВО «Санкт-Петербургский государственный университет»
Россия

Успенская Анна Алексеевна

Санкт-Петербург


Конфликт интересов:

Авторы декларируют отсутствие явных и потенциальных конфликтов интересов, связанных с публикацией настоящей статьи.



Список литературы

1. WHO. Diagnosis and monitoring of diseases of the thyroid. Available from: https://iris.who.int/bitstream/handle/10665/91976/WHO_DIL_00.4_rus.pdf?sequence=1&isAllowed=y Accessed: 13.10.2023

2. Р.А. Черников, С.Л. Воробьев, И.В. Слепцов И.В., и др. Узловой зоб (эпидемиология, методы выявления, диагностическая тактика) // Клиническая и экспериментальная тиреоидология. — 2013. — Т.9. — № 2. — С. 29-35.

3. Sung JY, Baek JH, Kim KS, Lee D, Yoo H, Kim JK, Park SH. Single-session treatment of benign cystic thyroid nodules with ethanol versus radiofrequency ablation: a prospective randomized study Radiology. 2013; 269(1):293-300 doi: https://doi.org/10.1148/radiol.13122134

4. Kamran SC, Marqusee E, Kim MI, et al. Thyroid nodule size and prediction of cancer. J Clin Endocrinol Metab. 2013;98(2):564-570. doi: https://doi.org/10.1210/jc.2012-2968

5. Ушаков А.В. Клиническая ультразвуковая диагностика доброкачествен ной патологии щитовидной железы. Справочное руководство. — М.: Клиника доктора А.В. Ушакова, 2018. — 216 с. — 84 С.

6. Hegedüs L, Frasoldati A, Negro R, Papini E. European Thyroid Association Survey on Use of Minimally Invasive Techniques for Thyroid Nodules. Eur Thyroid J. 2020 Jul;9(4):194-204

7. Клинические рекомендации. Заболевания и состояния, связанные с дефицитом йода — 2020. Минздрав РФ. 2021.

8. Yang CC, Hsu Y, Liou JY. Efficacy of Ethanol Ablation for Benign Thyroid Cysts and Predominantly Cystic Nodules: A Systematic Review and Meta-Analysis. Endocrinol Metab (Seoul). 2021;36(1):81-95

9. Jasim S, Patel KN, Randolph G, Adams S, Cesareo R, et al. American Association of Clinical Endocrinology Disease State Clinical Review: The Clinical Utility of Minimally Invasive Interventional Procedures in the Management of Benign and Malignant Thyroid Lesions. Endocr Pract. 2022;28(4):433-448

10. Bernet VJ, Chindris AM. Update on the Evaluation of Thyroid Nodules. J Nucl Med. 2021 Jul;62(Suppl 2):13S-19S

11. Solymosi, T. Jóindulatú pajzsmirigygöbök perkután alkoholinjekciós kezelésének hosszú távú eredményessége. 254 beteg 10 éves követésével szerzett tapasztalatok. Orvosi Hetilap OH, 2020.161(6), 224-231

12. Kuo JH, Sinclair CF, Lang B., Spiezia S., Yu M., Ha E.J., Na D.G., Offi C., Patel K.N., Baek J.H. A comprehensive review of interventional ablation techniques for the management of thyroid nodules and metast=. 2022;171(4):920-931

13. Issa PP, Cironi K, Rezvani L, Kandil E. Radiofrequency ablation of thyroid nodules: a clinical review of treatment complications. Gland Surg. 2024;13(1):77-86

14. Буйваленко У.В., Шеремета М.С., Ким И.В., Трухин А.А., Корчагина М.О., Свириденко Н.Ю. Клинический случай комбинированного лечения функциональной автономии щитовидной железы // Эндокринная хирургия. — 2023. — Т.17. — №2. — С. 23-28.


Дополнительные файлы

1. Рисунок 1. Узловое образование щитовидной железы до начала лечения с признаками деформации шеи (передняя и боковая проекции).
Тема
Тип Прочее
Посмотреть (582KB)    
Метаданные ▾
2. Рисунок 2. КТ органов шеи и средостения пациентки до лечения (передняя проекция).
Тема
Тип Прочее
Посмотреть (470KB)    
Метаданные ▾
3. Рисунок 3. КТ органов шеи и средостения пациентки до лечения (передняя проекция).
Тема
Тип Прочее
Посмотреть (403KB)    
Метаданные ▾
4. Рисунок 4. КТ органов шеи и средостения пациентки до лечения (боковая проекция).
Тема
Тип Прочее
Посмотреть (538KB)    
Метаданные ▾
5. Рисунок 5. Узловое образование щитовидной железы после 2 сеансов склеротерапии, признаки деформации шеи сохраняются (боковая проекция).
Тема
Тип Прочее
Посмотреть (334KB)    
Метаданные ▾
6. Рисунок 6. Узловое образование щитовидной железы после 3 сеансов склеротерапии, признаки деформации шеи уменьшились (боковая проекция).
Тема
Тип Прочее
Посмотреть (340KB)    
Метаданные ▾
7. Рисунок 7. Узловое образование щитовидной железы перед 4 сеансом склеротерапии, признаки деформации шеи незначительные (передняя и боковая проекции).
Тема
Тип Прочее
Посмотреть (591KB)    
Метаданные ▾
8. Рисунок 8. Узловое образование щитовидной железы после 4 сеансов склеротерапии, признаки деформации шеи незначительные (передняя и боковая проекции).
Тема
Тип Прочее
Посмотреть (664KB)    
Метаданные ▾
9. Рисунок 9. Узловое образование щитовидной железы после 5 сеансов склеротерапии, незначительные признаки деформации шеи сохраняются (боковая проекция).
Тема
Тип Прочее
Посмотреть (705KB)    
Метаданные ▾
10. Рисунок 10. Динамика изменения объема узлового образования правой доли щитовидной железы в период с апреля 2019-го по декабрь 2021 гг.
Тема
Тип Прочее
Посмотреть (232KB)    
Метаданные ▾
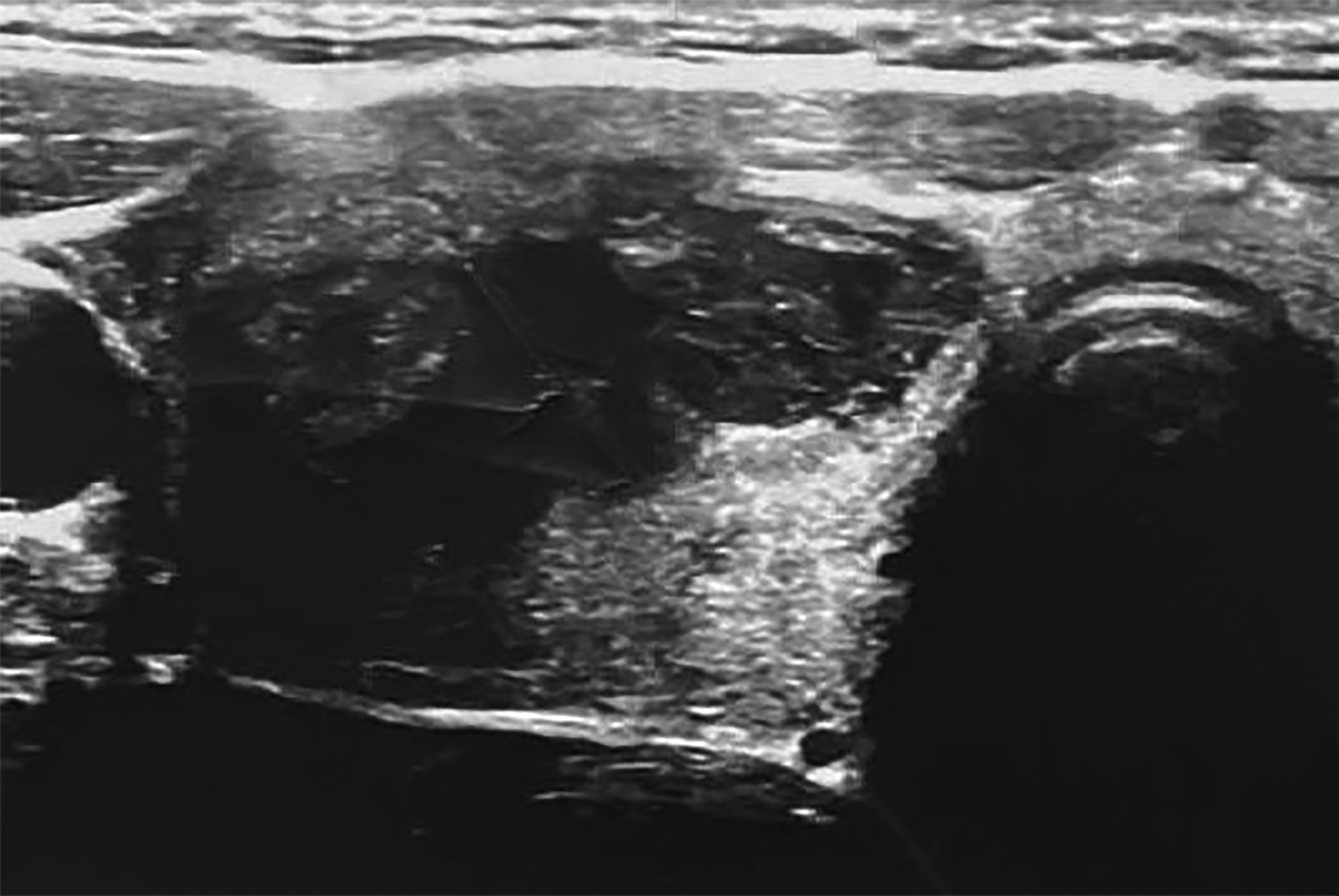
11. Рисунок 11. УЗИ-картина узлового образования правой доли щитовидной железы до начала лечения.
Тема
Тип Прочее
Посмотреть (481KB)    
Метаданные ▾
12. Рисунок 12. УЗИ-картина узлового образования правой доли щитовидной железы после проведения РЧА, спустя 2,5 года.
Тема
Тип Прочее
Посмотреть (369KB)    
Метаданные ▾
13. Рисунок 13. Узловое образование щитовидной железы через месяц после РЧА, незначительные признаки деформации шеи (прямая проекция).
Тема
Тип Прочее
Посмотреть (373KB)    
Метаданные ▾
14. Рисунок 14. Узловое образование щитовидной железы без признаков деформации шеи, динамика через 2 месяца после РЧА.
Тема
Тип Прочее
Посмотреть (299KB)    
Метаданные ▾
15. Рисунок 15. Узловое образование щитовидной железы через 12 месяцев после РЧА, признаков деформации шеи нет (прямая проекция).
Тема
Тип Прочее
Посмотреть (328KB)    
Метаданные ▾

Рецензия

Для цитирования:


Гумерова Г.Т., Фазлыева А.Ф., Климец С.П., Сулейманова Н.С., Ишбулатова А.И., Асфандиярова И.В., Неряхин А.Д., Макарьин В.А., Успенская А.А. Лечение узлового зоба с компрессией органов шеи поэтапным способом: склеротерапия, радиочастотная абляция. Эндокринная хирургия. 2024;18(4):39-49. https://doi.org/10.14341/serg12843

For citation:


Gumerova G.T., Fazlieva A.F., Klimets S.P., Suleymanova N.S., Ishbulatova A.I., Asfandiyarova I.V., Neryakhin A.D., Makariin V.A., Uspenskaya A.A. Treatment of nodular goiter with compression of the neck organs in a step-by-step manner: sclerotherapy, radiofrequency ablation. Endocrine Surgery. 2024;18(4):39-49. (In Russ.) https://doi.org/10.14341/serg12843

Просмотров: 1738


ISSN 2306-3513 (Print)
ISSN 2310-3965 (Online)