Опыт хирургического лечения папиллярного рака щитовидной железы с распространением в трахею («окончатая» и циркулярная резекция)
https://doi.org/10.14341/serg12940
Аннотация
По сравнению с большинством злокачественных опухолей папиллярный рак щитовидной железы (ПРЩЖ) ассоциируется с благоприятной выживаемостью и низкой частотой рецидивов. Прогностические факторы ПРЩЖ включают возраст, пол, размер опухоли, наличие метастазов в лимфатических узлах шеи и распространение опухоли за пределы капсулы щитовидной железы. Экстратиреоидная инвазия рака в трахею является маркером более агрессивного поведения опухоли, определяющим субпопуляцию пациентов с большим риском рецидива и смерти. В работе приведены 2 случая хирургического лечения распространенного папиллярного рака щитовидной железы с врастанием в трахею. Выполнение того или иного вида операции зависит от локализации и протяженности опухолевой инвазии этого органа. В первом случае выполнена так называемая «окончатая» резекция трахеи, во втором — циркулярная с наложением межтрахеального анастомоза. Данное клиническое наблюдение свидетельствует о возможностях применения современных хирургических методик при местно-распространенных злокачественных опухолях щитовидной железы, которые позволяют добиться длительной ремиссии заболевания.
Об авторах
В. Ж. БржезовскийРоссия
Бржезовский Виталий Жаннович, д.м.н., старший научный сотрудник отделения опухолей головы и шеи
115522, Москва, Каширское шоссе, д. 24
Scopus Author ID: 36612800900
Конфликт интересов:
Авторы декларируют отсутствие явных и потенциальных конфликтов интересов, связанных с содержанием настоящей статьи.
Т. А. Акетова
Россия
Акетова Толкын Аязбаевна, к.м.н., научный сотрудник отделения опухолей головы и шеи
Москва
Конфликт интересов:
Авторы декларируют отсутствие явных и потенциальных конфликтов интересов, связанных с содержанием настоящей статьи.
М. В. Ломая
Россия
Ломая Марина Валерьяновна, начальник методического образовательного отдела, врач-онколог
Москва
Scopus Author ID: 57080078600
eLibrary SPIN: 8213-1313
Конфликт интересов:
Авторы декларируют отсутствие явных и потенциальных конфликтов интересов, связанных с содержанием настоящей статьи.
Список литературы
1. Brzhezovsky V, Lyubayev V, Subramanian S. Prognostic factors and surgical treatment in differentiated thyroid cancer. Bulletin of the Blokhin Russian Scientific Center of the Russian Academy of Sciences. 2009;20(2):S1(76),рр.8а-9
2. Romanchishen AF, Demidchik JuN, Komissarenko IV, et al. Surgery of thyroid and parathyroid glands. IPK «Vesti». St. Petersburg, 2009;647:pp.75–76
3. Fujimoto Y, Obara T, Ito Y, et al. Aggressive surgical approach for locally invasive papillary carcinoma of the thyroid in patients over forty-five years of age. Surgery. 1986
4. Brauckhoff M, Dralle H. Extrathyroidal thyroid cancer: results of tracheal shaving and tracheal resection. Chirurg. 2011;82(2):134-40. doi: https://doi.org/10.1007/s00104-010-1975-6
5. Brauckhoff M, Dralle H. Cervicovisceral resection in invasive thyroid tumors. Chirurg. 2009;80(2):88-98. doi: https://doi.org/10.1007/s00104-008-1610-y
6. Xia T, Xu C, Wei D, et al. Surgical treatment of papillary thyroid carcinoma involving larynx and trachea. Chinese J Otorhinolaryngol Head Neck Surg. 2022. doi: https://doi.org/10.3760/cma.j.cn115330-20220408-00177
7. Grillo HC, Suen HC, Mathisen DJ, Wain JC. Resectional management of thyroid carcinoma invading the airway. Ann Thorac Surg. 1992;54(1):3-10. doi: https://doi.org/10.1016/0003-4975(92)91131-R
8. Jimmie Honings, Antonia E Stephen, Henri A Marres, Henning A Gaissert. The management of thyroid carcinoma invading the larynx or trachea. Laryngoscope. 2010;120(4):682-9. doi: https://doi.org/10.1002/lary.20800
9. Weidong Zhang, Lei Dai, Kejie Yu, Yingchun Wang, Qi Le, Xianjiang Wu. Management of papillary thyroid cancer with tracheal invasion and lung cancer: A case report. Oncol Lett. 2023; 25(3):104. doi: https://doi.org/10.3892/ol.2023.13689
10. Bo He, Shixin Zhang, Lin Ren, Yi Zhou, et al. Case report: Thyroid carcinoma invading trachea: Multidisciplinary resection and reconstruction assisted by extracorporeal membrane oxygenation. Front Oncol. 2023;12:12:990600. doi: https://doi.org/10.3389/fonc.2022.990600
11. Hidemitsu Tsutsui, Atsumi Tamura, Junko Ito, et al. Surgery for Thyroid Cancer Invading the Trachea. Indian J Surg. Oncol. 2022;13(1):184-190. doi: https://doi.org/10.1007/s13193-021-01466-7
12. Naoki Otsuki, Naruhiko Morita, Tatsuya Furukawa, et al. Modified spiral tracheoplasty after extensive window resection of trachea for advanced thyroid cancer. Auris Nasus Larynx. 2019; 46(6):946-951. doi: https://doi.org/10.1016/j.anl.2019.02.008
13. Fumihiko Matsumoto, Katsuhisa Ikeda. Surgical Management of Tracheal Invasion by Well-Differentiated Thyroid Cancer. Cancers (Basel). 2021;13(4):797. doi: https://doi.org/10.3390/cancers13040797
14. Bo He 1, Shixin Zhang, Lin Ren, Yi Zhou, et al. Case report: Thyroid carcinoma invading trachea: Multidisciplinary resection and reconstruction assisted by extracorporeal membrane oxygenation. Front Oncol. 2023; 12:12:990600. doi: https://doi.org/10.3389/fonc.2022.990600
15. Xin Xia, Yonghua Cai, Xiaoli Zhu, Yingying Zhu, et al. Tracheal window resection and reconstruction via sternocleidomastoid flap for invasive thyroid carcinoma. Interact Cardiovasc Thorac Surg. 2021; 33(6):899-904. doi: https://doi.org/10.1093/icvts/ivab193
16. Jatin P. Shah, Snehal G. Patel, Bhuvanesh Singh. Head and Neck Surgery and Oncology. Elsevier Health Sciences. 2012;838
Дополнительные файлы
|
|
1. Рисунок 1. Пациент С. Рецидив рака щитовидной железы. Врастает в трахею и перстневидный хрящ. | |
| Тема | ||
| Тип | Прочее | |
Посмотреть
(248KB)
|
Метаданные ▾ | |
|
|
2. Рисунок 2. Дефект трахеи и гортани, образовавшийся после удаления рецидива рака щитовидной железы (1). Грудино-подъязычная мышца (2). | |
| Тема | ||
| Тип | Прочее | |
Посмотреть
(694KB)
|
Метаданные ▾ | |
|
|
3. Рисунок 3. Вид трахеи при эндоскопическом исследовании через год после ее резекции. Виден послеоперационный рубец. | |
| Тема | ||
| Тип | Прочее | |
Посмотреть
(152KB)
|
Метаданные ▾ | |
|
|
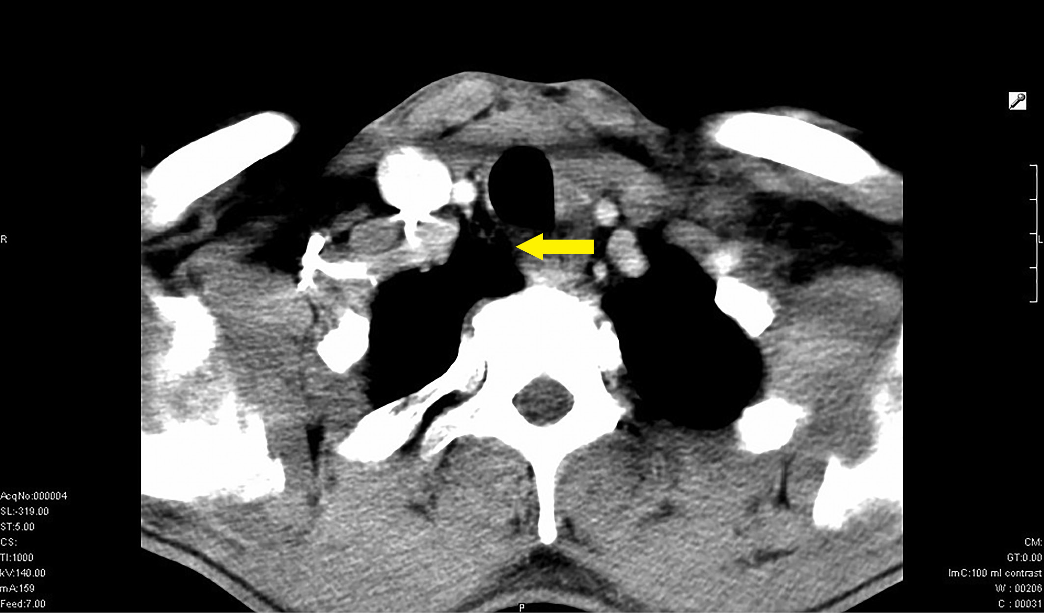
4. Рисунок 4. Больная Ш. Компьютерная томография опухоли щитовидной железы с врастанием в трахею. | |
| Тема | ||
| Тип | Прочее | |
Посмотреть
(301KB)
|
Метаданные ▾ | |
|
|
5. Рисунок 5. Этап резекции трахеи. | |
| Тема | ||
| Тип | Прочее | |
Посмотреть
(741KB)
|
Метаданные ▾ | |
|
|
6. Рисунок 6. Схема выполнения межтрахеального анастомоза. | |
| Тема | ||
| Тип | Прочее | |
Посмотреть
(283KB)
|
Метаданные ▾ | |
|
|
7. Рисунок 7. Этап укрывания межтрахеального анастомоза грудино-подъязычной мышцей. | |
| Тема | ||
| Тип | Прочее | |
Посмотреть
(700KB)
|
Метаданные ▾ | |
|
|
8. Рисунок 8. Вид больной через год после операции. | |
| Тема | ||
| Тип | Прочее | |
Посмотреть
(255KB)
|
Метаданные ▾ | |
|
|
9. Рисунок 9. КТ больной через год после операции. Проходимость трахеи в полном объеме. | |
| Тема | ||
| Тип | Прочее | |
Посмотреть
(327KB)
|
Метаданные ▾ | |
Рецензия
Для цитирования:
Бржезовский В.Ж., Акетова Т.А., Ломая М.В. Опыт хирургического лечения папиллярного рака щитовидной железы с распространением в трахею («окончатая» и циркулярная резекция). Эндокринная хирургия. 2024;18(1):11-18. https://doi.org/10.14341/serg12940
For citation:
Brzezovsky V.Zh., Aketova T.A., Lomaya M.V. Experience in surgical treatment of papillary thyroid cancer with spread to the trachea («window» and circular resection). Endocrine Surgery. 2024;18(1):11-18. (In Russ.) https://doi.org/10.14341/serg12940
Контент доступен под лицензией Creative Commons Attribution-NonCommercial-NoDerivatives 4.0 International License (CC BY-NC-ND 4.0).




































