Клинический случай агрессивного клинического течения метастатической параганглиомы забрюшинного пространства
https://doi.org/10.14341/serg12997
Аннотация
Феохромоцитома (ФХЦ) и параганглиома (ПГ) являются злокачественными нейроэндокринными опухолями (НЭО) параганглионарного происхождения, продуцирующими биологически активные вещества и характеризующимися вариабельным клиническим течением. В настоящее время основным методом лечения НЭО является радикальное хирургическое лечение, тем не менее, сохраняется пожизненный риск рецидива опухоли или манифестации ее отдаленных метастазов. В статье представлен клинический случай рецидивирующей ПГ забрюшинного пространства, случайно выявленной во время госпитализации в эндокринологическом отделении по поводу декомпенсации сахарного диабета (СД). В представленном клиническом случае ПГ послужила причиной развития острого нарушения мозгового кровообращения, артериальной гипертензии, СД, нарушений ритма сердца, потенциально предотвратимых при своевременной диагностике заболевания. Особенностью выявленной ПГ явилось ее рецидивирующее течение, несмотря на неоднократные оперативные вмешательства.
Об авторах
Т. Н. МарковаРоссия
Маркова Татьяна Николаевна - д.м.н., профессор.
Москва
Конфликт интересов:
Нет
Д. Г. Бельцевич
Россия
Бельцевич Дмитрий Германович - д.м.н., профессор.
Москва
Конфликт интересов:
Нет
Е. А. Каплун
Россия
Каплун Елена Анатольевна.
Москва
Конфликт интересов:
Нет
А. A. Коломейцева
Россия
Коломейцева Алина Андреевна - к.м.н.
Москва
Конфликт интересов:
Нет
М. А. Батов
Россия
Батов Максим Александрович.
Москва
Конфликт интересов:
Нет
С. А. Бурякина
Россия
Бурякина Светлана Алексеевна - к.м.н.
Москва
Конфликт интересов:
Нет
Е. В. Бондаренко
Россия
Бондаренко Екатерина Владимировна - к.м.н.
Москва
Конфликт интересов:
Нет
С. В. Попов
Россия
Попов Сергей Владимирович - к.б.н.
Москва
Конфликт интересов:
Нет
В. В. Захарова
Россия
Захарова Виктория Витальевна - к.м.н.
Москва
Конфликт интересов:
Нет
В. А. Иоутси
Россия
Иоутси Виталий Алексеевич - к.х.н.
Москва
Конфликт интересов:
Нет
Д. В. Быченков
Россия
Быченков Денис Владимирович - к.х.н.
Москва
Конфликт интересов:
Нет
И. В. Кирилина
Россия
Кирилина Ирина Валерьевна.
Москва
Конфликт интересов:
Нет
Г. А. Мельниченко
Россия
Мельниченко Галина Афанасьевна - д.м.н., профессор, академик РАН.
Москва
Конфликт интересов:
Нет
A. А. Рослякова
Россия
Рослякова Анна Александровна - автор национальных клинических рекомендаций по АКР и феохромоцитоме.
117036, Москва, ул. Дм. Ульянова, д. 11
Scopus Author ID 57210394039
Конфликт интересов:
Нет
Список литературы
1. Мельниченко Г.А., Трошина Е.А., Бельцевич Д.Г. и др. Клинические рекомендации по диагностике и лечению феохромоцитомы/параганглиомы. — Эндокринная хирургия. — 2015. — Т. 9. — №3. — С.15-33. doi: https://doi.org/10.14341/serg2015315-33
2. Aygun N. Pheochromocytoma and paraganglioma: from epidemiology to clinical findings. SiSli Etfal Hastan Tip Bul / Med Bull Sisli Hosp. 2020. doi: https://doi.org/10.14744/semb.2020.18794
3. Ayala-Ramirez M, Feng L, Johnson MM, et al. Clinical risk factors for malignancy and overall survival in patients with pheochromocytomas and sympathetic paragangliomas: primary tumor size and primary tumor location as prognostic indicators. J Clin Endocrinol Metab. 2011; 96:717-25. doi: https://doi.org/10.1210/jc.2010-1946
4. Ebbehoj A, Stochholm K, Jacobsen SF, Trolle C, Jepsen P, et al. Incidence and Clinical Presentation of Pheochromocytoma and Sympathetic Paraganglioma: A Population-based Study. J Clin Endocrinol Metab. 2021;106:e2251–e2261. doi: https://doi.org/10.1210/clinem/dgaa965
5. Berends AMA, Buitenwerf E, de Krijger RR, Veeger N, van der Horst-Schrivers ANA, et al. Incidence of pheochromocytoma and sympathetic paraganglioma in the Netherlands: A nationwide study and systematic review. Eur J Intern Med. 2018;51:68–73. doi: https://doi.org/10.1016/j.ejim.2018.01.015
6. Kopetschke R, Slisko M, Kilisli A, et al. Frequent incidental discovery of phaeochromocytoma: data from a German cohort of 201 phaeochromocytoma. Eur J Endocrinol. 2009;161(2):355-361. doi: https://doi.org/10.1530/EJE-09-0384
7. McNeil AR, Blok BH, Koelmeyer TD, Burke MP, Hilton JM. Phaeochromocytomas discovered during coronial autopsies in Sydney, Melbourne and Auckland. Australian and New Zealand journal of medicine. 2000;30:648–652. doi: https://doi.org/10.1111/j.1445-5994.2000.tb04358.x
8. Lo CY, Lam KY, Wat MS, Lam KS. Adrenal pheochromocytoma remains a frequently overlooked diagnosis. American journal of surgery. 2000;179:212–215. doi: https://doi.org/10.1016/S0002-9610(00)00296-8
9. Amar L, Servais A, Gimenez-Roqueplo AP, Zinzindohoue F, Chatellier G, Plouin PF. Year of diagnosis, features at presentation, and risk of recurrence in patients with pheochromocytoma or secreting paraganglioma. The Journal of clinical endocrinology and metabolism. 2005;90:2110–6
10. Young WF. Management approaches to adrenal incidentalomas. A view from Rochester, Minnesota. Endocrinol Metab Clin North Am. 2000;29(1):159-185. doi: https://doi.org/10.1016/S0889-8529(05)70122-5
11. Leung AA, Pasieka JL, Hyrcza MD, Pacaud D, Dong Y, et al. Epidemiology of pheochromocytoma and paraganglioma: Population-based cohort study. Eur. J. Endocrinol. 2021;184:19–28. doi: https://doi.org/10.1530/EJE-20-0628
12. Gimenez-Roqueplo AP, DahiaPL, Robledo M. An update on the genetics of paraganglioma, pheochromocytoma, and associated hereditary syndromes. Horm Metab Res. 2012;44(5):328–33. doi: https://doi.org/10.1055/s-0031–1301302
13. Бельцевич Д.Г., Мельниченко Г.А., Кузнецов Н.С. и др. Клинические рекомендации Российской ассоциации эндокринологов по дифференциальной диагностике инциденталом надпочечников. — Эндокринная хирургия. — 2016. — Т. 10. — №4. — С. 31-42. doi: https://doi.org/10.14341/serg2016431-42
14. Kyriakopoulos G, Mavroeidi V, Chatzellis E, et al. Histopathological, immunohistochemical, genetic and molecular markers of neuroendocrine neoplasms. Ann Transl Med. 2018;6(12):252. doi: https://doi.org/10.21037/atm.2018.06.27
15. Zuber S, Wesley R, Prodanov T, et al. Clinical utility of chromogranin A in SDHx-related paragangliomas. Eur J Clin Invest. 2014;44(4):365-71. doi: https://doi.org/10.1111/eci.12245
16. Kwon SE, Chapman ER. Synaptophysin regulates the kinetics of synaptic vesicle endocytosis in central neurons. Neuron. 2011; 70(5):847–854
17. Феохромоцитома / И.И. Дедов, Д.Г. Бельцевич, Н.С. Кузнецов, Г.А. Мельниченко. — М.: Практическая медицина, 2005.— 216 с.
18. Хирургическая эндокринология: руководство / Под ред. А.П. Калинина, Н.А. Майстренко, П.С. Ветшева. — СПб.: Питер, 2004. — 900 с.
19. Local-Regional Recur-rence of Pheochromocytoma/Paraganglioma: Characteristics, Risk Factors and Outcomes. Front Endocrinol (Lausanne). 2021;12:762548. doi: https://doi.org/10.3389/fendo.2021.762548
20. Johnston PC, Mullan KR, Atkinson AB, Eatock FC, Wallace H, Gray M, et al. Recurrence of Phaeochromocytoma and Abdominal Paraganglioma After Initial Surgical Intervention. Ulster Med J. 2015;84(2):102–6
21. Slycke SV, Caiazzo R, Pigny P, Cardot-Bauters C, Arnalsteen L, D’Herbomez M, et al. Local-Regional Recurrence of Sporadic or Syndromic Abdominal Extra-Adrenal Paraganglioma: Incidence, Characteristics, and Outcome. Surgery. 2009;146(6):986–92. doi: https://doi.org/10.1016/j.surg.2009.10.055
22. Shen WT, Grogan R, Vriens M, Clark OH, Duh Q. One Hundred Two Patients With Pheochromocytoma Treated at a Single Institution Since the Introduction of Laparoscopic Adrenalectomy. Arch Surg (Chicago 1960). 2010;145(9):893. doi: https://doi.org/10.1001/archsurg.2010.159
23. Amar L, Fassnacht M, Gimenez-Roqueplo A, Januszewicz A, Prejbisz A, Timmers H, et al. Long-Term Postoperative Follow-Up in Patients With Apparently Benign Pheochromocytoma and Paraganglioma. Horm Metab Res 2012;44(5):385. doi: https://doi.org/10.1055/s-0031-1301339
24. Amar L, Lussy-Lepoutre S, Landers YM, Jadi-Prat J, Plowin P, Steichen O. Treatment of endocrine diseases: relapse or new tumors after complete resection of pheochromocytomas and paragangliomas: a systematic review and meta-analysis. Eur J Endocrinol. 2016;175(4):R135–45. doi: https://doi.org/10.1530/EJE-16-0189
25. Holscher I, Van Den Berg TJ, Dreijerink KMA, Engelsman AF, Nieveen Van Dijkum EJM. Recurrence Rate of Sporadic Pheochromocytomas after Curative Adrenalectomy: A Systematic Review and Meta-analysis. J Clin Endocrinol Metab. 2021. doi: https://doi.org/10.1210/clinem/dgaa794
26. Plouin PF, Fitzgerald P, Rich T, Ayala-Ramirez M, Perrier ND, Baudin E, et al. Metastatic pheochromocytoma and paraganglioma: focus on therapeutics. Horm Metab Res. 2012;44(5):390–399. doi: https://doi.org/10.1055/s-0031–1299707
27. Jiang LL, Wu HH, Bu N, et al. Analysis of clinical features of 42 cases of paraganglioma. Chinese Medical Journal. 2018;(4):280-3
28. Stenman A, Zedenius J, Juhlin CC. Retrospective application of the pathologic tumor-node-metastasis classification system for pheochromocytoma and abdominal paraganglioma in a well characterized cohort with long-term follow-up. Surgery. 2019.
29. Cho YY, Kwak MK, Lee SE, Kim JH, Lee SH. Reply to letter to editor regarding: “a clinical prediction model to estimate the metastatic potential of Pheochromocytoma/paraganglioma: ASES score”. Surgery. 2019;165:853–858. doi: https://doi.org/10.1016/j.surg.2018.11.016
30. Cho YY, Kwak MK, Lee SE, Ahn SH, Kim H, Suh S, et al. A clinical prediction model to estimate the metastatic potential of pheochromocytoma/paraganglioma: ASES score. Surgery. 2018;164:511–517. doi: https://doi.org/10.1016/j.surg.2018.05.001
31. Plouin PF, Amar L, Dekkers OM, Fassnacht M, Gimenez-Roqueplo AP, et al. European Society of Endocrinology Clinical Practice Guideline for long-term follow-up of patients operated on for a phaeochromocytoma or a paraganglioma. Eur J Endocrinol. 2016;174(G1-G10) doi: https://doi.org/10.1530/EJE-16-0033
32. Martínez-Morillo E, Valdés Gallego N, Eguia Ángeles E, Fernández Fernández JC, Prieto García B, Álvarez FV. Performance of plasma free metanephrines in diagnosis of pheochromocytomas and paragangliomasin the population of Asturias. Endocrinol Diabetes Nutr. 2019;66(5):312-9. Available from: http://dx.doi.org/10.1016/j.endinu.2018.08.009
33. Samsudin I, Page MM, Hoad K, Chubb P, Gillett M, Glendenning P, et al. Thechallenge of improving the diagnosticyield from metanephrin etesting in suspected phaeochromocytoma and paraganglioma. Ann Clin Biochem. 2018;55(6):679-84. Available from: http://dx.doi.org/10.1177/0004563218774590
34. Konosu-Fukaya S, Omata K, Tezuka Y, Ono Y, Aoyama Y, Satoh F, et al. Catecholamine-synthesizin genzymes in pheochromocytoma and extraadrenal paraganglioma. Endocr Pathol. 2018;29(4):302-9. Available from: http://dx.doi.org/10.1007/s12022-018-9544-5
35. Unger N, Deutschbein T, Walz MK, Mann K, Petersenn S. The value of immunoassays for metanephrines in the biochemical diagnosis of pheochromocytomas. Horm Metab Res. 2009;41(9):676-679
36. van Berkel A, Lenders JW, Timmers HJ. Diagnosis of endocrine disease: Biochemical diagnosis of phaeochromocytoma and paraganglioma. Eur J Endocrinol. 2014;170(3):R109-R119
37. Falhammar H, Kjellman M, Calissendorff J. Treatment and outcomes in pheochromocytomas and paragangliomas: a study of 110 cases from a single center. Endocrine. 2018;62(3):566-575
38. Дедов И.И., Мельниченко Г.А. Эндокринология: нац. рук. М.: ГЭОТАР-Медиа, 2013. 1072 c. [Endokrinologiya: natsional'noe rukovodstvo / pod red. Dedova I.I. Mel'nichenko G.A. M.: GEOTAR-Media. 2013. 1072 s. (in Rus)]
39. Algeciras-Schimnich A, Preissner CM, Young WF, Singh RJ, Grebe SKG. Plasma Chromogranin A or Urine Fractionated Metanephrines Follow-Up Testing Improves the Diagnostic Accuracy of Plasma Fractionated Metanephrines for Pheochromocytoma. J Clin Endocrinol Metab. 2008;93(1):91-95. doi: https://doi.org/10.1210/jc.2007-1354
40. Славнов В.Н., Савицкий С.Ю., Строганова Н.П. Ренинангиотензин-альдостероновая система у пациентов с гипертонической болезнью и эндокринными гипертензиями. — Укр. кардиол. журн. — 2013. — №4.— С.111–116.
41. Дедов И.И., Бельцевич Д.Г., Кузнецов Н.С. и др. Феохромоцитома. М.: Практическая медицина. 2005; 216 с.
42. Mirica RM, Ginghina O, Zugravu G, Iosifescu R, Ionescu M, et al. Retroperitoneal Functioning Paraganglioma--A Rare Case of Secondary Diabetes. Chirurgia (Bucur). 2016;111(2):170-4
43. Isles CG, Johnson JK. Phaeochromocytoma and diabetes mellitus: further evi-dence that alpha 2 receptors inhibit insulin release in man. Clin Endocrinol (Oxf). 1983;18(1):37-41. doi: https://doi.org/10.1111/j.1365-2265.1983.tb03184.x
44. Шустов С.Б. Кардиологические и эндокринные аспекты патогенеза симптоматических артериальных гипертензий: автореф. дис. … д. м.н. СПб., 1993. 42 с.
Дополнительные файлы
|
|
1. Рисунок 1. Макропрепарат удаленной ПГ, декабрь 2019 г. | |
| Тема | ||
| Тип | Исследовательские инструменты | |
Посмотреть
(843KB)
|
Метаданные ▾ | |
|
|
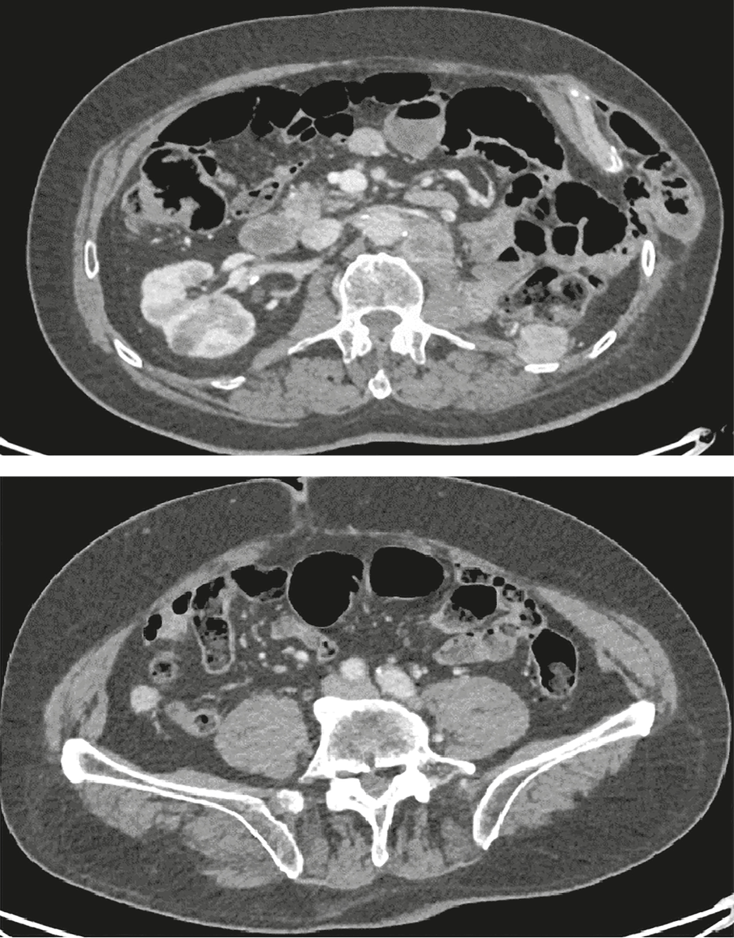
2. Рисунок 2. МСКТ органов брюшной полости пациента, июнь 2022 г. (стрелками обозначено гиперваскулярное объемное образование забрюшинно слева на уровне L1). | |
| Тема | ||
| Тип | Исследовательские инструменты | |
Посмотреть
(1MB)
|
Метаданные ▾ | |
|
|
3. Рисунок 3. Макропрепарат удаленной ПГ, июнь 2022 г. | |
| Тема | ||
| Тип | Исследовательские инструменты | |
Посмотреть
(654KB)
|
Метаданные ▾ | |
|
|
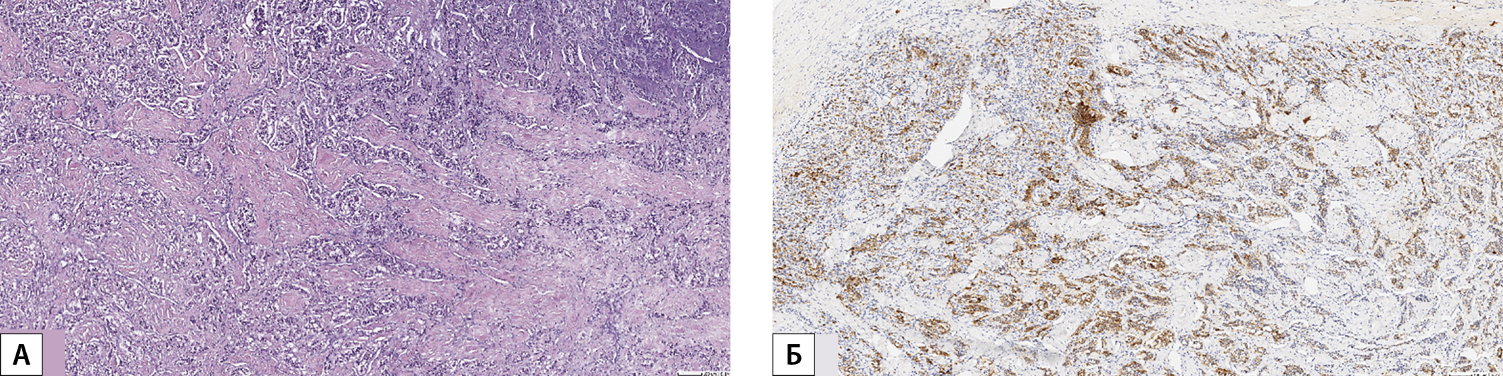
4. Рисунок 4. Морфологическое (рисунок А, клетки с амфифильной цитоплазмой, гиперхромными ядрами, умеренно выраженной клеточной и ядерной атипией) и иммуногистохимическое (рисунок Б, позитивная реакция с хромогранином А) исследования операционного материала. | |
| Тема | ||
| Тип | Исследовательские инструменты | |
Посмотреть
(1MB)
|
Метаданные ▾ | |
|
|
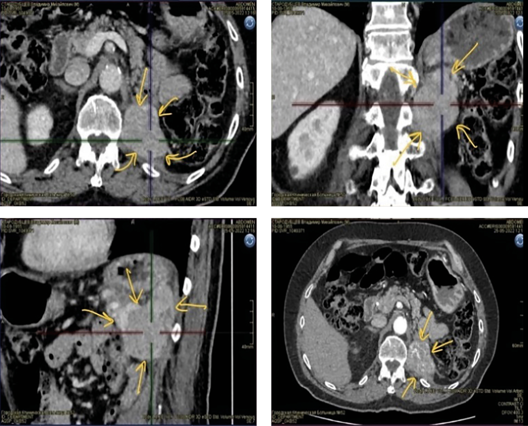
5. Рисунок 5. МСКТ органов брюшной полости в июле 2024 г: множественные имплантационные МТС ПГ по контуру диафрагмы, поясничных мышц, аорты и задней стенки брюшной полости. | |
| Тема | ||
| Тип | Исследовательские инструменты | |
Посмотреть
(1014KB)
|
Метаданные ▾ | |
Рецензия
Для цитирования:
Маркова Т.Н., Бельцевич Д.Г., Каплун Е.А., Коломейцева А.A., Батов М.А., Бурякина С.А., Бондаренко Е.В., Попов С.В., Захарова В.В., Иоутси В.А., Быченков Д.В., Кирилина И.В., Мельниченко Г.А., Рослякова A.А. Клинический случай агрессивного клинического течения метастатической параганглиомы забрюшинного пространства. Эндокринная хирургия. 2025;19(1):32-42. https://doi.org/10.14341/serg12997
For citation:
Markova T.N., Beltsevich D.G., Kaplun E.A., Kolomeytseva A.A., Batov M.A., Buryakina S.A., Bondarenko E.V., Popov S.V., Zakharova V.V., Ioutsi V.A., Bychenkov D.V., Kirilina I.V., Melnichenko G.A., Roslyakova A.A. A clinical case of metastatic retroperitoneal paraganglioma. Endocrine Surgery. 2025;19(1):32-42. (In Russ.) https://doi.org/10.14341/serg12997
Контент доступен под лицензией Creative Commons Attribution-NonCommercial-NoDerivatives 4.0 International License (CC BY-NC-ND 4.0).




































