Перейти к:
Факторы прогноза результатов удаления кортикотропином при болезни Иценко–Кушинга
https://doi.org/10.14341/serg2016420-30
Аннотация
Обоснование. Болезнь Иценко–Кушинга (БИК) – тяжелое многосимптомное заболевание гипоталамо-гипофизарно-надпочечниковой системы. Причиной заболевания является наличие аденомы гипофиза (кортикотропиномы). Увеличение секреции адренокортикотропного гормона (АКТГ) аденомой гипофиза приводит к повышенной секреции кортизола корой надпочечников и развитию тотального эндогенного гиперкортицизма. Золотым стандартом лечения данного заболевания является хирургическое удаление кортикотропиномы. Однако аденомэктомия не во всех случаях бывает эффективной, и примерно в 20% случаев после проведенного радикального лечения не удается достичь ремиссии заболевания и возникает рецидив.
Цель. Целью нашей работы являлась оценка факторов, оказывающих влияние на результат аденомэктомии у пациентов с болезнью Иценко–Кушинга, и выявление предикторов рецидива.
Методы. В исследование было включено 84 пациента (80 женщин и 4 мужчин) в возрасте от 18 до 58 лет с БИК до и после трансназальной аденомэктомии. Период наблюдения от 3 до 15 лет, начиная с 2001 г. (в среднем 9,0 лет). Была проведена ретроспективная оценка клинических и гормональных факторов (АКТГ и кортизола) до операции и через 1–3 и 8–13 дней после операции.
Результаты. У 54 (64,3%) из 84 пациентов с БИК после проведенной трансназальной аденомэктомии развилась ремиссия заболевания. Оперативное лечение было неэффективно у 30 (35,7%) пациентов, и им была проведена повторная аденомэктомия. По данным МРТ головного мозга, среди пациентов с ремиссией заболевания чаще встречались микроаденомы гипофиза (54%) по сравнению с пациентами, у которых операция оказалась неэффективна, а на МРТ чаще встречались макроаденомы (63%). У всех больных с БИК независимо от исхода нейрохирургической операции наблюдалось достоверное снижение уровня кортизола и АКТГ в раннем послеоперационном периоде.
Заключение. Показателями эффективности аденомэктомии и длительной ремиссии у пациентов с БИК являются уровень утреннего кортизола менее 100 нмоль/л и уровень АКТГ менее 10,0 пг/мл на ранних сроках после операции (1–13-й дни). Наличие надпочечниковой недостаточности после аденомэктомии является предиктором эффективности операции, но не исключает вероятности развития рецидива.
Ключевые слова
Для цитирования:
Марова Е.И., Колесникова Г.С., Арапова С.Д., Григорьев А.Ю., Лапшина А.М., Мельниченко Г.А. Факторы прогноза результатов удаления кортикотропином при болезни Иценко–Кушинга. Эндокринная хирургия. 2016;10(4):20-30. https://doi.org/10.14341/serg2016420-30
For citation:
Marova E.I., Kolesnikova G.S., Arapova S.D., Grigorjev A.U., Lapshina A.M., Melnichenko G.A. Factors predicting the outcomes of removal of corticotropinom in Cushing's disease. Endocrine Surgery. 2016;10(4):20-30. (In Russ.) https://doi.org/10.14341/serg2016420-30
Обоснование
Известно, что болезнь Иценко–Кушинга (БИК) – тяжелое многосимптомное заболевание гипоталамо-гипофизарно-надпочечниковой системы, с тяжелым клиническим течением эндогенного гиперкортицизма. В большинстве случаев (80–85%) причиной развития болезни является кортикотрофная аденома гипофиза, которая располагается внутри турецкого седла (микроаденома), реже встречаются макроаденомы (10–15%), склонные к продолженному росту и рецидивному течению. Может также встречаться гиперплазия кортикотрофов гипофиза с повышенной секрецией адренокортикотропного гормона (АКТГ) [1, 2]. Увеличение секреции АКТГ во всех случаях приводит в свою очередь к хронической повышенной выработке кортизола корой надпочечников и развитию симптомокомплекса эндогенного гиперкортицизма.
Распространенность БИК соответствует 39,1 случая на миллион, заболеваемость – 1,2–2,4 случая на миллион [3].
На сегодняшний день при выборе метода лечения пациентов с БИК первой линией является нейрохирургическое вмешательство (трансназальная транссфеноидальная аденомэктомия гипофиза) [4, 5].
После проведенной нейрохирургической операции ремиссии удается достичь в 65–92% случаев. Вероятность развития ремиссии после аденомэктомии может зависеть от тяжести и длительности гиперкортицизма, размеров аденомы гипофиза, ее распространения. Процент послеоперационной ремиссии выше у пациентов с микроаденомой [5, 6]. Ремиссия во многом зависит также от опыта нейрохирурга и количества проведенных им операций в год [7–12]. Следовательно, пациенты с болезнью Иценко–Кушинга должны быть направлены в высокоспециализированные медицинские учреждения, что позволяет повысить радикальность хирургического вмешательства и уменьшить частоту осложнений.
Однако вопрос, касающийся определения прогноза ремиссии заболевания после аденомэктомии и его длительности, все еще остается открытым.
Так, за последние годы были проведены исследования с целью определения маркеров, которые могут быть ассоциированы с развитием ремиссии или рецидива после аденомэктомии у пациентов с БИК. Оценка результатов аденомэктомии и выработка тактики дальнейшего наблюдения за этой категорией пациентов остаются сложным вопросом. По мнению ряда авторов, необходимо оценивать в совокупности как клинические, так и лабораторные и инструментальные результаты исследования [13–15].
Цель
Цель работы состояла в поиске предикторов эффективности аденомэктомии у пациентов с болезнью Иценко–Кушинга.
Методы
Дизайн исследования
Проведено ретроспективное моноцентровое неконтролируемое исследование по данным историй болезни пациентов.
Критерии соответствия
В исследование были отобраны истории болезни пациентов, планово наблюдавшихся в ФГБУ “Эндокринологический научный центр” Минздрава России с верифицированным диагнозом “болезнь Иценко–Кушинга” и перенесших трансназальную аденомэктомию (в отделении нейрохирургии отдела эндокринной хирургии) в 2001 г. и позднее.
При отборе историй болезни не включались в анализ случаи, не содержащие информации о проведенной МРТ.
Продолжительность исследования
Исследование проведено в 2016 г., в анализ включены истории болезни пациентов, наблюдавшихся с 2001 до 2016 г., общая продолжительность наблюдения которых была не меньше 3 лет.
Основной исход исследования
В рамках исследования оценивали связь результатов МРТ-исследования головного мозга до операции, гистологической картины удаленного при аденомэктомии биоматериала, а также гормональных изменений до и после (1–3 и 8–13 дней) проведения операции с отдаленным результатом лечения, а именно с развитием рецидива заболевания.
Анализ в подгруппах
Истории болезни делили на две группы в зависимости от результатов транссфеноидальной аденомэктомии:
- 1-я группа – истории пациентов с ремиссией заболевания в течение не менее чем трех лет с момента операции;
- 2-я группа – с отсутствием ремиссии после проведенной нейрохирургической операции.
В свою очередь истории пациентов с ремиссией были разделены на две подгруппы:
- подгруппу 1а составили больные с длительной ремиссией;
- подгруппу 1б составили истории болезни пациентов с развившимся после операции рецидивом.
Методы регистрации исходов
Из историй болезни была собрана и проанализирована следующая информация:
- заключения по результатам МРТ-исследования головного мозга с контрастированием, а именно характеристики аденомы гипофиза (локализация, размеры);
- описание удаленных опухолей, включавшее результаты гистологического и иммуногистохимического исследований (проведены на базе лаборатории патоморфологии ФГБУ ЭНЦ);
- содержание АКТГ и кортизола в крови до операции утром и вечером (для оценки суточного ритма), содержание свободного кортизола в слюне вечером, суточная экскреция свободного кортизола с мочой, а также изменения концентрации кортизола на фоне малой и большой пробы с дексаметазоном;
- содержание АКТГ и кортизола в крови в ранний послеоперационный период (1–3 и 8–13 дней) после нейрохирургической операции (исследования проведены в клинико-диагностической лаборатории ФГБУ ЭНЦ с помощью автоматизированной системы Cobas601 (Roshe, Франция));
- наличие или отсутствие рецидива заболевания в катамнезе, срок развития рецидива.
- При проведении гормонального исследования использовались следующие референсные интервалы нормы:
- концентрация кортизола в крови – утром 123–626 нмоль/л, вечером 46–270 нмоль/л;
- экскреция свободного кортизола с мочой – 60–413 нмоль/сут;
- содержание свободного кортизола в слюне – вечером 0,5–9,4 нмоль/л;
- концентрация АКТГ в крови – утром 7,0–66,0 пг/мл, вечером 0,5–30,0 пг/мл.
Статистический анализ
Статистическая обработка результатов проводилась с помощью компьютерной программы Statistica 7. Различия между группами по оцениваемым показателям считались достоверными при p < 0,05. Данные представлены в виде медианы (Mediana) и интерквартильного размаха [25%;75%].
Результаты
Участники исследования
В исследование вошли истории болезни 84 пациентов (80 женщин и 4 мужчин) в возрасте от 18 до 58 лет (медиана 39,5 лет) с длительностью заболевания (с момента появления его первых признаков до постановки диагноза) от 1 года до 13 лет. Следует отметить, что до проведения трансназальной аденомэктомии двое пациентов подверглись односторонней адреналэктомии без эффекта.
- В 1-ю группу вошли истории болезни 54 пациентов (64,3%) с ремиссией заболевания.
- Подгруппу 1а составили истории 35 человек, ремиссия у них продолжалась в среднем 6,0 лет.
- Подгруппу 1б составили истории 19 человек с ремиссией и последующим рецидивом, который был диагностирован в различные сроки после аденомэктомии (в среднем через 2,0 года).
- 2-ю группу составили истории 30 больных (35,7%) с отсутствием эффекта от нейрохирургической операции.
Основные симптомы заболевания (диспластичное ожирение, стрии, отеки, артериальная гипертензия, миопатия, половые нарушения) и жалобы, связанные с гиперкортизолемией, появлялись по мере прогрессирования гиперкортицизма и были обнаружены у всех пациентов на момент обследования в ФГБУ ЭНЦ. Чаще всего больные предъявляли жалобы на изменение внешности (84,0%), повышение артериального давления (73,3%), нарушение менструального цикла у женщин до 50 лет (65,1%), боли в спине, связанные с остеопорозом и переломами (39,2%).
Основные результаты исследования
В результате проведенной МРТ головного мозга было обнаружено, что до аденомэктомии у 57,1% пациентов была диагностирована микроаденома гипофиза, у 42,9% – макроаденома.
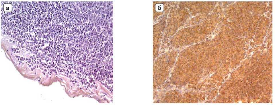
У всех пациентов в образцах операционного материала были обнаружены фрагменты аденомы гипофиза, в клеточный состав которых входили преимущественно базофильные клетки. При иммуногистохимическом исследовании наблюдалась положительная экспрессия АКТГ в клетках опухолей (рис. 1а, 1б) [17].
Рис. 1. Экспрессия АКТГ в клетках кортикотропиномы. а – фрагмент базофильно-клеточной кортикотропиномы. Окраска гематоксилином и эозином, Ч20; б – непрямая иммунопероксидазная реакция с антителами к АКТГ в клетках кортикотропиномы. Ч20.
По возрасту, полу и длительности гиперкортицизма пациенты 1-й и 2-й групп не отличались между собой. Мы провели сравнительный анализ гормональных показателей у больных обеих групп до операции (табл. 1) и после операции (табл. 2).
Таблица 1. Содержание гормонов в биологических жидкостях до операции
Таблица 2. Содержание гормонов в биологических жидкостях через 1–3 и 8–13 дней после операции
Как видно из табл. 1, не было достоверных различий между группами в гормональных показателях до операции, а также в результатах малой (МПД) и большой проб с дексаметазоном (БПД) до операции.
При этом надо отметить, что по данным МРТ головного мозга среди пациентов с ремиссией заболевания (1-я группа) чаще встречались микроаденомы гипофиза (54%) по сравнению с пациентами (2-я группа), у которых операция оказалась неэффективна, у них чаще встречались макроаденомы (63%) (рис. 2).
Рис. 2. Распределение больных БИК в зависимости от размера аденомы гипофиза.
Было обнаружено, что среднесуточный уровень АКТГ коррелировал с объемом опухоли: чем больше была опухоль, тем выше и уровень АКТГ (коэффициент корреляции 0,6750). Соответственно среднесуточный уровень АКТГ при микроаденоме (медиана 0,110 мл, от 0,026 до 0,209 мл) был равен 69,7 (52,2–86,9) пг/мл, а при макроаденоме (медиана 0,659 мл, от 0,361 до 1,482 мл) достигал 89,9 (56,3–259,0) пг/мл. Достоверность различий р = 0,000.
В табл. 2, 3 и на рис. 3 представлены ранние послеоперационные гормональные данные пациентов 1-й и 2-й групп.
Рис. 3. Концентрация кортизола и АКТГ до и после операции у пациентов с ремиссией заболевания (1-я группа) и без ремиссии (2-я группа).
У пациентов 1-й группы с ремиссией заболевания в ранние сроки после операции отмечено достоверное снижение утреннего содержания кортизола и АКТГ. При этом процент снижения уровня кортизола и АКТГ после операции (табл. 3) составил в среднем 80–95%. Средний утренний уровень кортизола колебался от 68,5 до 91,5 нмоль/л, что было ниже референсных значений (123–626 нмоль/л). Уровень АКТГ утром был равен 7,7–8,3 пг/мл (референсный интервал 7,0–66,0 пг/мл). Также было отмечено значительное снижение (до минимальных показателей) экскреции кортизола (референсный интервал 60–413 нмоль/сут).
Таблица 3. Процент снижения концентраций кортизола и АКТГ в ранние сроки после операции
Однако в группе пациентов без ремиссии гормональные показатели оставались высокими, хотя и снижались после операции (табл. 2): уровень АКТГ колебался от 285 до 930 нмоль/л, содержание АКТГ – от 20,5 до 82,4 пг/мл, а процент снижения АКТГ и кортизола после операции колебался в широких пределах (табл. 3). У таких больных ремиссия не наступала. В последующем им была проведена повторная нейрохирургическая операция.
Таким образом, на основании определения уровня кортизола и АКТГ в крови больных утром в ранний послеоперационный период (1–13-й дни) можно оценить эффективность аденомэктомии. У всех больных, независимо от результатов аденомэктомии, в этот период наблюдалось достоверное снижение гормональных параметров (рис. 2) по сравнению с таковыми до операции. Однако послеоперационные уровни кортизола и АКТГ достоверно отличаются между группами пациентов: у пациентов с ремиссией заболевания они приближаются к нижней границе нормы, тогда как в группе без ремиссии они снижаются не настолько значительно.
После удаления кортикотропиномы возникает вопрос о предикторах ремиссии и долгосрочном прогнозе заболевания. В связи с этим мы ретроспективно провели анализ послеоперационных (на 1–3-й и 8–13-й дни) уровней кортизола и АКТГ у 54 прооперированных пациентов 1-й группы, у которых развилась ремиссия различной продолжительности (в среднем 3,0 ± 2,4 года, от 2 до 6 лет), а затем у части больных возник рецидив.
В зависимости от этого пациенты с ремиссией были разделены нами на две подгруппы: подгруппу 1а составили больные с длительной ремиссией (35 человек), продолжающейся в среднем 6,0 лет, а в подгруппу 1б вошло 19 человек с ремиссией и последующим рецидивом, который был диагностирован в различные сроки после аденомэктомии (в среднем через 2,0 года).
Рис. 4. Содержание кортизола и АКТГ у больных подгрупп 1а и 1б в ранние сроки после операции.
Таблица 4. Содержание гормонов в биологических жидкостях через 1–3 и 8–13 дней после операции
В табл. 4 и на рис. 4 представлены ранние послеоперационные уровни кортизола и АКТГ утром на 1–3-й и 8–13-й дни после аденомэктомии у пациентов 1а и 1б подгрупп. Выявлена очевидная разница между гормональными показателями в ранние сроки после операции между пациентами 1а и 1б подгрупп. У больных с длительной ремиссией уровни кортизола и АКТГ оставались достоверно ниже, чем у больных, у которых в дальнейшем развился рецидив. Соответственно в 1а подгруппе концентрация кортизола у большинства больных не превышала 100 нмоль/л и концентрация АКТГ была ниже 10,0 пг/мл, тогда как в подгруппе 1б у значительного числа больных содержание кортизола превышало 200 нмоль/л, а содержание АКТГ было выше 20,0 пг/мл. Более заметна эта разница при сравнении степени снижения АКТГ после операции: в подгруппе 1а процент снижения в среднем был около 90%, а в подгруппе 1б – лишь около 70%. Кроме того, у больных с ремиссией и последующим рецидивом (подгруппа 1б) гормональные показатели незначительно, но повышались по мере увеличения срока после операции, что в дальнейшем и приводило к рецидиву заболевания.
Таким образом, нами была выявлена статистически значимая связь между содержанием кортизола и АКТГ в крови и длительностью ремиссии.
У большинства пациентов обеих групп ремиссия сопровождалась надпочечниковой недостаточностью (НН), однако процент больных с НН был выше при длительной ремиссии (98%), чем у пациентов 1б подгруппы (79%). НН сохранялась более длительно (более 3 лет) у пациентов 1а подгруппы, тогда как ее длительность у пациентов 1б подгруппы составляла 10,7 мес. Не было отмечено четкой взаимосвязи между размером аденомы, определенной по МРТ, до операции и длительностью ремиссии. Так, в группе с длительной ремиссией микроаденомы встречались в 77% случаев, а в группе с рецидивом – у 68% пациентов (рис. 5).
Рис. 5. Распределение пациентов 1-й группы в зависимости от последующего рецидива и объема аденомы гипофиза.
Следовательно, наличие и длительность НН определяют ремиссию заболевания после аденомэктомии у пациентов с БИК, но ее наличие не исключает возникновения в последующем рецидива заболевания.
Обсуждение
Резюме основного результата исследования
Полученные нами данные показали, что концентрация кортизола и АКТГ в раннем послеоперационном периоде у пациентов с БИК может служить прогнозом в отношении развития рецидива после проведения операции.
Обсуждение основного результата исследования
В нашей работе было показано, что у 54 (64,3%) из 84 пациентов с БИК после проведенной трансназальной аденомэктомии развилась ремиссия заболевания различной длительности. Оперативное лечение было неэффективно у 30 (35,7%) пациентов, и им была проведена повторная аденомэктомия. При этом надо отметить, что по данным МРТ головного мозга среди пациентов с ремиссией заболевания (группа 1) чаще встречались микроаденомыгипофиза (54%) по сравнению с пациентами (группа 2), у которых операция оказалась неэффективна, а на МРТ чаще встречались макроаденомы (63%).
Нами была также проанализирована длительность ремиссии БИК у пациентов 1-й группы. Как было отмечено выше, длительная ремиссия (в среднем более 6 лет) была отмечена у 35 (65%) пациентов, а у 19 (35%) пациентов в различные сроки был диагностирован рецидив (в среднем через 2,0 года). Была прослежена взаимосвязь между размером аденомы по МРТ и эффективностью операции. Так, в группе с длительной ремиссией (подгруппа 1а) микроаденомы встречались в 77% случаев, а в группе с рецидивом (подгруппа 1б) – лишь у 68% пациентов.
В настоящее время за рубежом ведутся работы по определению предикторов ранней и длительной ремиссии у пациентов с БИК после аденомэктомии. Важность решения данного вопроса заключается в том, чтобы оценить эффективность операции и определить прогноз наступления рецидива заболевания.
В работе N.E. Simmons и соавт. [18] был исследован уровень кортизола у 27 пациентов с БИК каждые 6 ч в течение 3 дней после операции. Авторы показали, что при уровне кортизола менее 276 нмоль/л в послеоперационном периоде у 21 пациента наблюдалась ремиссия в течение 2,0–2,5 лет, а уровень кортизола менее 205 нмоль/л на 10–12-й день после операции может определять более длительную ремиссию. F. Esposito и соавт. [19] проводили определение уровня кортизола у 40 пациентов с БИК через 24 и 48 ч после операции, по их данным, концентрация кортизола менее 138 нмоль/л в эти сроки являлась предиктором стабильной ремиссии в течение 2–2,7 лет.
Представляют также интерес результаты, полученные F. Costanero и соавт. [20], которые продемонстрировали значимость определения кортизола у 108 пациентов с БИК в раннем послеоперационном периоде (48 ч и 10–12 дней) в качестве раннего и длительного предиктора ремиссии БИК. Проведенный анализ позволил авторам сделать вывод, что минимальный уровень кортизола в крови (менее 135–189 нмоль/л) в течение 10–12 дней после операции является предиктором длительной ремиссии. По мнению авторов, уровень кортизола 270–284,3 нмоль/л и более на 10–12-й день после операции определяет неудачу оперативного лечения.
В доступной литературе по определению предикторов ремиссии БИК после аденомэктомии мы не нашли работ по использованию определения уровня АКТГ в качестве предиктора ремиссии.
По нашим данным, предиктором длительной ремиссии может служить не только концентрация кортизола в крови утром, но и уровень АКТГ. Исходя из результатов проведенного исследования, можно предполагать, что содержание кортизола <100,0 нмоль/л и АКТГ <10,0 пг/мл в ранние сроки после аденомэктомии (от 1 до 13 дней) являются основными факторами, определяющими длительную ремиссию заболевания (чувствительность 93,4% и специфичность 97,3%). В то же время содержание кортизола в крови в раннем послеоперационном периоде >300 нмоль/л, а АКТГ >35 пг/мл может свидетельствовать о неудаче оперативного лечения.
Наличие надпочечниковой недостаточности после аденомэктомии свидетельствует о радикальности трансназальной аденомэктомии и может служить маркером развития ремиссии в будущем, однако эти пациенты требуют длительного наблюдения, так как кортикотропиномы склонны к рецидивированию.
Ограничения исследования
Наши данные подтверждают результаты исследований других авторов [18–20]. По нашим данным, предиктором длительной ремиссии может служить не только концентрация кортизола в крови утром, но и содержание АКТГ в раннем послеоперационном периоде. Однако во всех случаях необходимо длительное наблюдение за этой группой пациентов.
Заключение
У всех больных с БИК независимо от исхода нейрохирургической операции наблюдалось достоверное снижение концентрации кортизола и АКТГ в раннем послеоперационном периоде. Прослеживается взаимосвязь между размером аденомы гипофиза и содержанием АКТГ в крови. При наличии микроаденомы чаще наблюдается ранняя и длительная послеоперационная ремиссия.
Определение утреннего содержания АКТГ параллельно с концентрацией кортизола может позволить с большей вероятностью оценивать прогноз аденомэктомии у пациентов с БИК. Для подтверждения роли такого сочетанного определения как маркера риска развития рецидива в отдаленном периоде после проведенной операции требуется проведение проспективных контролируемых исследований с участием большего числа пациентов.
Дополнительная информация
Источник финансирования. Исследование проведено при финансовой поддержке ФГБУ “Эндокринологический научный центр” Минздрава России.
Конфликт интересов. Авторы декларируют отсутствие явных и потенциальных конфликтов интересов, связанных с публикацией настоящей статьи.
Благодарности. Выражаем благодарность отделению МРТ во главе с заведующим Воронцовым А.В.
Список литературы
1. Марова Е.И., Арапова С.Д., Жимирикина М.Л., Роживанов Р.В. Клиническая картина болезни Иценко–Кушинга. В кн.: Болезнь Иценко–Кушинга. / Под ред. И.И. Дедова, Г.А. Мельниченко. – М., 2011. – С. 141–174. [Marova EI, Arapova SD, Zhimirikina ML, Rozhivanov RV. The clinical picture of Itsenko–Cushing’s disease. In: Dedov II, Melnichenko GA, editors. The Itsenko-Cushing’s Disease. Moscow; 2011. P. 141–174. (in Russ.)]
2. Nieman LK, Biller BM, Findling JW, et al. The diagnosis of Cushing’s syndrome: an Endocrine Society Clinical Practice Guideline. J Clin Endocrinol Metab. 2008;93(5):1526-1540. doi: 10.1210/jc.2008-0125.
3. Etxabe J, Vazquez JA. Morbidity and mortality in Cushing’s disease: an epidemiological approach. Clin Endocrinol (Oxf). 1994;40(4):479-484. doi: 10.1111/j.1365-2265.1994.tb02486.x.
4. Арапова С.Д., Григорьев А.Ю. Результаты нейрохирургического лечения. В кн.: Болезнь Иценко–Кушинга. / под ред. И.И. Дедова, Г.А. Мельниченко. – М., 2011. – С. 215–235. [Arapova SD, Grigorjev AU. The results of neurosurgical treatment. In: Dedov II, Melnichenko GA, editors. The Itsenko-Cushing’s Disease. Moscow; 2011. P. 215–235. (in Russ.)]
5. Abu Dabrh AM, Singh Ospina NM, Al Nofal A, et al. Predictors of biochemical remission and recurrence after surgical and radiation treatments of Cushing’s disease: a systematic review and meta-analysis. Endocr Pract. 2016;22(4): 466-475. doi: 10.4158/EP15922.RA.
6. Chandler WF, Barkan AL, Hollon T, et al. Outcome of transsphenoidal surgery for Cushing’s disease: a single-center experience over 32 years. Neurosurgery. 2016;78(2):216-223. doi: 10.1227/NEU.0000000000001011.
7. Bertagna X, Guignat L. Approach to the Cushing’s disease patient with persistent/recurrent hypercortisolism after pituitary surgery. J Clin Endocrinol Metab. 2013;98(4): 1307-1318. doi: 10.1210/jc.2012-3200.
8. Белая Ж.Е., Рожинская Л.Я., Драгунова Н.В., и др. Метаболические осложнения эндогенного гиперкортицизма. Выбор пациентов для скрининга // Ожирение и метаболизм. – 2013. – Т. 10. – №1. – C. 26–31. [Belaya ZE, Rozhinskaya LY, Dragunova NV et al. Metabolic complications of endogenous Cushing: patient selection for screening. Obesity and metabolism. 2013;10(1):26-31. (in Russ.)]. doi: 10.14341/2071-8713-5068.
9. Григорьев АЮ. Осложнения в ранние сроки после операции у больных с аденомами гипофиза: Дисс. … канд. мед. наук. – М., 2003. [Grigoriev AU. Oslozhneniia v rannie sroki posle operazii u bolnich s adenomami hupophisa [disertation]. Moscow; 2003. (in Russ.)].
10. Shirvani M, Motiei-Langroudi R, Sadeghian H. Outcome of microscopic transsphenoidal surgery in Cushing disease: a case series of 96 patients. World Neurosurg. 2016;87: 170-175. doi: 10.1016/j.wneu.2015.11.046.
11. Benveniste RJ, King WA, Walsh J, et al. Repeated transsphenoidal surgery to treat recurrent or residual pituitary adenoma. J Neurosurg. 2005;102(6):1004-1012. doi: 10.3171/jns.2005.102.6.1004.
12. Арапова С.Д. Комбинированная терапия. В кн.: Болезнь Иценко–Кушинга. / под ред. И.И. Дедова, Г.А. Мельниченко. – М., 2011. – С. 253–259. [Arapova SD. Combination of therapy. In: Dedov II, Melnichenko GA, editors. The Itsenko-Cushing’s Disease. Moscow; 2011. P. 253–259. (in Russ.)]
13. Carroll TB, Javorsky BR, Findling JW. Postsurgical recurrent Cushing disease: clinical benefit of early intervention in patients with normal urinary free cortisol. Endocr Pract. 2016;22(10):1216-1223. doi: 10.4158/EP161380.OR.
14. Белая Ж.Е., Рожинская Л.Я., Мельниченко Г.А., Дедов И.И. Современный взгляд на скрининг и диагностику эндогенного гиперкортицизма // Проблемы эндокринологии. – 2012. – Т. 58. – №4. – C. 35–41. [Belaia ZE, Rozhinskaia LI, Mel'nichenko GA, Dedov II. Current views of the screening and diagnostics of endogenous hypercorticism. Problems of Endocrinology. 2012;58(4):35-41. (in Russ.)]. doi: 10.14341/probl201258435-41.
15. Мельниченко Г.А., Дедов И.И., Белая Ж.Е., и др. Болезнь Иценко–Кушинга: клиника, диагностика, дифференциальная диагностика, методы лечения // Проблемы эндокринологии. – 2015. – Т. 61. – №2. – C. 55–77. [Melnichenko GA, Dedov II, Belaya ZE, et al. Cushing’s disease: the clinical features, diagnostics, differential diagnostics, and methods of treatment. Problems of Endocrinology. 2015;61(2):55-77. (in Russ.)]. doi: 10.14341/probl201561255-77.
16. Дедов И.И., Белая Ж.Е., Ситкин И.И., и др. Значение метода селективного забора крови из нижних каменистых синусов в дифференциальной диагностике АКТГ-зависимого гиперкортицизма // Проблемы эндокринологии. – 2009. – Т. 55. – №6. – C. 35–40. [Dedov II, Belaya ZE, Sitkin II, et al. Significance of the method of selective blood collection from the inferior petrosal sinuses for differential diagnosis of ACTH-dependent hypercorticism. Problems of Endocrinology. 2009;55(6):35-40. (in Russ.)]. doi: 10.14341/probl200955635-40.
17. Лапшина А.М., Марова Е.И. Оценка биологичеcкого поведения АКТГ-секретирующих опухолей гипофиза при помощи различных методов. // Вопросы нейрохирургии. – 2015. – Т. 79. – №6. – С. 107–113. [Lapshina AM, Marova EI. Evaluation of the biological behavior of ACTH-secreting pituitary tumors using various methods. Zh Vopr Neirokhir Im N N Burdenko. 2015;79(6):107-113. (in Russ.)].
18. Simmons N, Alden T, Thorner M, Laws EJ. Serum cortisol response to transsphenoidal surgery for Cushing disease. J Neurosurg. 2001;95(1):1-8. doi: 10.3171/jns.2001.95.1.0001.
19. Esposito F, Dusick JR, Cohan P, et al. Clinical review: Early morning cortisol levels as a predictor of remission after transsphenoidal surgery for Cushing’s disease. J Clin Endocrinol Metab. 2006;91(1):7-13. doi: 10.1210/jc.2005-1204.
20. Costenaro F, Rodrigues TC, Rollin GA, et al. Evaluation of Cushing’s disease remission after transsphenoidal surgery based on early serum cortisol dynamics. Clin Endocrinol (Oxf). 2014;80(3):411-418. doi: 10.1111/cen.12300.
Об авторах
Евгения Ивановна МароваФГБУ “Эндокринологический научный центр” Минздрава России
Россия
д.м.н., профессор
Галина Сергеевна Колесникова
ФГБУ “Эндокринологический научный центр” Минздрава России
Россия
д.б.н.
Светлана Дмитриевна Арапова
ФГБУ “Эндокринологический научный центр” Минздрава России
Россия
к.м.н.
Андрей Юрьевич Григорьев
ФГБУ “Эндокринологический научный центр” Минздрава России
Россия
д.м.н.
Анастасия Михайловна Лапшина
ФГБУ “Эндокринологический научный центр” Минздрава России
Россия
к.м.н.
Галина Афанасьевна Мельниченко
ФГБУ “Эндокринологический научный центр” Минздрава России
Россия
д.м.н., профессор, академик
Дополнительные файлы
|
|
1. Рис. 1. Экспрессия АКТГ в клетках кортикотропиномы. а – фрагмент базофильно-клеточной кортикотропиномы. Окраска гематоксилином и эозином, Ч20; б – непрямая иммунопероксидазная реакция с антителами к АКТГ в клетках кортикотропиномы. Ч20. | |
| Тема | ||
| Тип | Исследовательские инструменты | |
Посмотреть
(727KB)
|
Метаданные ▾ | |
|
|
2. Таблица 1. Содержание гормонов в биологических жидкостях до операции | |
| Тема | ||
| Тип | Исследовательские инструменты | |
Посмотреть
(92KB)
|
Метаданные ▾ | |
|
|
3. Таблица 2. Содержание гормонов в биологических жидкостях через 1–3 и 8–13 дней после операции | |
| Тема | ||
| Тип | Исследовательские инструменты | |
Посмотреть
(59KB)
|
Метаданные ▾ | |
|
|
4. Рис. 2. Распределение больных БИК в зависимости от размера аденомы гипофиза. | |
| Тема | ||
| Тип | Исследовательские инструменты | |
Посмотреть
(20KB)
|
Метаданные ▾ | |
|
|
5. Рис. 3. Концентрация кортизола и АКТГ до и после операции у пациентов с ремиссией заболевания (1-я группа) и без ремиссии (2-я группа). | |
| Тема | ||
| Тип | Исследовательские инструменты | |
Посмотреть
(10KB)
|
Метаданные ▾ | |
|
|
6. Таблица 3. Процент снижения концентраций кортизола и АКТГ в ранние сроки после операции | |
| Тема | ||
| Тип | Исследовательские инструменты | |
Посмотреть
(35KB)
|
Метаданные ▾ | |
|
|
7. Рис. 4. Содержание кортизола и АКТГ у больных подгрупп 1а и 1б в ранние сроки после операции. | |
| Тема | ||
| Тип | Исследовательские инструменты | |
Посмотреть
(12KB)
|
Метаданные ▾ | |
|
|
8. Таблица 4. Содержание гормонов в биологических жидкостях через 1–3 и 8–13 дней после операции | |
| Тема | ||
| Тип | Исследовательские инструменты | |
Посмотреть
(81KB)
|
Метаданные ▾ | |
|
|
9. Рис. 5. Распределение пациентов 1-й группы в зависимости от последующего рецидива и объема аденомы гипофиза. | |
| Тема | ||
| Тип | Исследовательские инструменты | |
Посмотреть
(20KB)
|
Метаданные ▾ | |
Рецензия
Для цитирования:
Марова Е.И., Колесникова Г.С., Арапова С.Д., Григорьев А.Ю., Лапшина А.М., Мельниченко Г.А. Факторы прогноза результатов удаления кортикотропином при болезни Иценко–Кушинга. Эндокринная хирургия. 2016;10(4):20-30. https://doi.org/10.14341/serg2016420-30
For citation:
Marova E.I., Kolesnikova G.S., Arapova S.D., Grigorjev A.U., Lapshina A.M., Melnichenko G.A. Factors predicting the outcomes of removal of corticotropinom in Cushing's disease. Endocrine Surgery. 2016;10(4):20-30. (In Russ.) https://doi.org/10.14341/serg2016420-30
Контент доступен под лицензией Creative Commons Attribution-NonCommercial-NoDerivatives 4.0 International License (CC BY-NC-ND 4.0).




































