Preview

Эндокринная хирургия

Расширенный поиск

Развитие эндокринной хирургии детского возраста

https://doi.org/10.14341/serg20173109-123

Содержание

Перейти к:

Аннотация

Отделение детской хирургии на базе ФГБУ “Эндокринологический научный центр” функционирует около двух лет. За время работы хирургическое лечение получили более 500 пациентов с различной эндокринной патологией. В статье обсуждаются современные диагностические подходы и выбор хирургической тактики при заболеваниях, входящих в круг интересов нового направления детской хирургии – эндокринной хирургии детского возраста. В рамках дискуссии обсуждаются варианты радикального лечения болезни Грейвса у детей, рассматриваются положительные и отрицательные стороны хирургического лечения и радиойодтерапии. Приводится собственная статистика послеоперационного гипопаратиреоза. Предлагается оптимизация алгоритма действий при выявлении узлового зоба у детей. При первичном гиперпаратиреозе делается акцент на сложностях послеоперационного ведения пациентов, связанных с особенностями детского возраста, определяющими остроту реакции на водно-электролитные нарушения. Отдельно рассмотрены данные литературы по заболеваниям надпочечников у детей, демонстрируются собственные клинические случаи, потребовавшие хирургического вмешательства. Освещаются возможности современной нейрохирургической техники, применяемой в Эндокринологическом научном центре при операциях на гипофизе у детей. Пациентам различных возрастных групп проводится трансназальное транссфеноидальное удаление опухолей хиазмально-селлярной области с применением эндоскопической ассистенции. В статье также приведены данные исследований в области изучения болезней поджелудочной железы и их хирургического лечения. Большое внимание уделяется гендерному разделу эндокринной хирургии детского возраста. Обсуждается тактика при нарушениях формирования пола, опухолях половых желез у детей, заболеваниях молочных желез. В заключение обрисовываются перспективы развития эндокринной хирургии детского возраста.

Для цитирования:


Дедов И.И., Петеркова В.А., Кузнецов Н.С., Бровин Д.Н., Даниленко О.С., Аникиев А.В. Развитие эндокринной хирургии детского возраста. Эндокринная хирургия. 2017;11(3):109-123. https://doi.org/10.14341/serg20173109-123

For citation:


Dedov I.I., Peterkova V.A., Kuznetsov N.S., Brovin D.N., Danilenko O.S., Anikiev A.V. Pediatric endocrine surgery development. Endocrine Surgery. 2017;11(3):109-123. (In Russ.) https://doi.org/10.14341/serg20173109-123

Актуальность

Прогресс медицинской науки за последние десятилетия, внедрение в практику новых высокоинформативных методов обследования и скрининговых программ, улучшение качества диагностики привели к значительному увеличению количества пациентов с заболеваниями эндокринных желез. Вследствие этого в России появилось большое число специалистов и неформальных сообществ, основные усилия которых концентрируются в области эндокринной хирургии. Закономерно, что в связи с этим выделились отделения и целые лечебные учреждения, которые приобрели статус специализированных. Большое количество научных и практических школ, отсутствие единого взгляда на проблему способствовали формированию различных и порой диаметрально противоположных подходов в диагностике и лечении одних и тех же эндокринных заболеваний. К сожалению, в России пока только устанавливается практика создания постоянно обновляемых практических рекомендаций по проблемам эндокринной хирургии. Зачастую диагностическая и лечебная тактика основывается на индивидуальном опыте (справедливости ради нужно отметить, что иногда достаточно большом) без серьезной доказательной базы [1].

Все сказанное выше относится к состоянию специализированной медицинской помощи взрослому населению, в детской практике ситуация на сегодняшний момент еще более сложная. Занимаются в нашей стране данным, как показывает практика, остро востребованным направлением редкие и разрозненные врачебные и научные коллективы. Нет консолидации специалистов, единого мнения, общепринятой тактики ведения и лечения, в том числе оперативного, детей с хирургическими заболеваниями эндокринной системы, которые к тому же часто носят орфанный характер. На практике диагностика и медикаментозная терапия у детей с хирургической патологией органов эндокринной системы проводятся в одних стационарах, хирургическая коррекция – в других, а, как мы видим на примере рака щитовидной железы, необходимая радиойодтерапия – в третьем лечебном учреждении. При этом теряется не только преемственность, но и ответственность за окончательный результат.

Все сказанное диктует необходимость индивидуального подхода и концентрации больных в специализированных оснащенных центрах. Новый этап развития медицины в нашей стране позволил создать на базе ФГБУ “Эндокринологический научный центр” отделение детской хирургии. Отделение функционирует около двух лет и доказало свою востребованность в специализированной помощи как со стороны этой необычной категории больных, так и со стороны специалистов – детских эндокринологов, долгое время испытывающих сложности при устройстве своих подопечных. За это время хирургическое лечение получили уже более 500 пациентов из разных регионов страны (рис. 1). Спектр патологии высокоспецифичен и определяет задачи и приоритетные направления развития эндокринной хирургии детского возраста (рис. 2).

Рис. 1. Распределение детей, получивших хирургическую помощь, по регионам.

Рис. 2. Спектр оперативных вмешательств в отделении детской хирургии ЭНЦ.

В свою очередь интенсивное развитие медицины и высокотехнологичных методов хирургических воздействий на патологические процессы, связанные с гормональными дисфункциями, открывает новые возможности детской эндокринной хирургии. Современные способы расшифровки молекулярно-генетических механизмов заболеваний расширили возможности диагностики и выбора тактики лечения, в том числе и хирургического. Новейшие инструментальные методы визуализации вывели предоперационный этап обследования на качественно новый уровень. Развитие современных хирургических технологий, таких как эндоскопические, малоинвазивные, микрохирургические методики, позволяет снижать возрастной ценз для детей и увеличивать объем одноэтапных операций с достижением максимального эффекта.

Создание отделения детской хирургии в Эндокринологическом научном центре (ЭНЦ) позволяет устранить существующие ныне недостатки в организации лечения детей в неспециализированных учреждениях, существенно повысить его качество и безопасность, а также минимизировать риски осложнений.

Среди нозологических форм, попадающих в круг интересов эндокринной хирургии детского возраста, главным образом встречаются следующие.

Заболевания щитовидной железы

Относительно всей патологии щитовидной железы у детей можно сказать, что на сегодняшний момент имеет место рост заболеваемости. Это обусловлено как объективными причинами – дефицитом йода, экологическими факторами, техногенными катастрофами, так и причинами, связанными с улучшением качества диагностики. Все мы видим результаты диспансеризации школьников, которая была проведена за последние годы. Нельзя отрицать ее положительные моменты. Сколько было выявлено серьезной патологии на доклиническом этапе! Однако при этом нельзя не увидеть и обратную сторону медали, а именно участившуюся гипердиагностику заболеваний, что может быть связано с неточностью интерпретации данных ультразвукового метода в детской практике, когда даже отношение к размеру щитовидной железы неоднозначно среди специалистов. Отсутствие национальных регистров не позволяет на сегодняшний день полностью объективно оценить заболеваемость и потребность в хирургической помощи.

Диффузный токсический зоб (болезнь Грейвса–Базедова)

Диффузный токсический зоб (ДТЗ) – наиболее частая причина гипертиреоза у детей, может развиться в детские годы в любой момент, но с возрастом частота увеличивается, достигая пика у подростков. Среди всех заболеваний щитовидной железы у детей около 15% составляет болезнь Грейвса–Базедова. Считается, что заболеваемость растет. Ее распространенность у детей до 15 лет составляет от 1 случая на 10 тыс. детей в США до 1 случая на 100 тыс. в Англии [2].

После проведения курса консервативного лечения ремиссия достигается только у 30%, а при длительном лечении – лишь у половины больных [3]. Таким образом, потребность в хирургическом вмешательстве или радиойодтерапии гораздо выше, чем у взрослых пациентов.

Дискуссии о приоритетном направлении в радикальном лечении на сегодняшний день очень актуальны и важны. Главный вопрос выбора – радиойод или хирургия? С одной стороны, лечение радиойодом привлекает своей относительной безопасностью. Данных о репродуктивной дисфункции или более высокой частоте аномалий у детей пациентов, получавших такое лечение, нет [4].

Несомненно, хирургия – это всегда большой риск. Осложнения бывают у всех. Трепетное отношение хирургов к тиреоидэктомии у пациентов с ДТЗ иногда граничит с суеверием. Когда-то, до времен Кохера, эти операции были вообще запрещены в Европе. Но мы живем в другое время, и, конечно, риски существенно снизились, что связано с внедрением современных технологий подготовки пациентов, совершенствованием хирургической техники, созданием школы хирургии щитовидной железы. Ультразвуковой скальпель и нейромонитор во многом оберегают хирурга и пациента, но опасности подстерегают на каждом этапе оперативного вмешательства. Наша статистика за полтора года показывает следующий факт: после проведения тиреоидэктомии из 21 пациента с ДТЗ у 8 детей наблюдалась послеоперационная гипокальциемия (38%). Стойкий или транзиторный ее характер во всех случаях предстоит еще уточнить. По предварительным данным, основываясь в большей степени на показателях паратгормона в послеоперационном периоде, а не на длительности наблюдения за этими больными, стойкий гипопаратиреоз можно ожидать не менее чем у 20% пациентов.

Против лечения радиоактивным йодом выступают возможность развития злокачественных образований щитовидной железы, высокий риск неоплазий у детей младшей возрастной группы, риски нарушения репродуктивного здоровья, а также социальная ограниченность пациентов в течение какого-то промежутка времени. Все это диктует необходимость дальнейшего изучения проблемы и проведения обширного рандомизированного контролируемого исследования с последующим долгосрочным наблюдением за пациентами для окончательного выяснения всех вопросов [5].

По всей видимости, выбор метода радикального лечения, хирургического или консервативного, должен быть дифференцирован. И здесь, как всегда, истина где-то посередине. Кому-то показан радиойод, кто-то нуждается в оперативном лечении. И каждый больной, каждый конкретный случай требует тщательного обсуждения специалистами радиологами, эндокринологами и хирургами. Тактика на данный момент должна быть выбрана сугубо индивидуально.

Узловой зоб и рак щитовидной железы

Заболеваемость детей узловым зобом и раком щитовидной железы в последние десятилетия возросла [6]. Существует утверждение: большинство узлов щитовидной железы у детей, как и у взрослых пациентов, являются доброкачественными. Однако узлы, выявляемые у пациентов до 18 лет, в 3, а по некоторым данным и в 5 раз чаще оказываются злокачественными. То есть у детей 20–30% узлов являются злокачественными по сравнению с 5–10% у взрослых [7].

У большинства пациентов-детей на момент обнаружения узлового зоба симптомы отсутствуют, и обнаруживается он либо во время медицинского осмотра, либо во время не связанного с обследованием щитовидной железы лучевого исследования головы и шейного отдела. Имеющиеся данные о распространенности заболевания не являются абсолютно надежными, но можно сказать, что в ходе медосмотров узлы щитовидной железы выявляются примерно у 1,5% детей, тогда как в ходе рентгеновских исследований головы и шейного отдела, не связанных с щитовидной железой, выясняется, что 18% детей имеют новообразования. Вот лишь некоторые факторы, связанные с повышенным риском развития узлов: женский пол, подростковый возраст, аутоиммунные заболевания щитовидной железы в анамнезе, воздействие радиации. Риск узлового зоба и/или карциномы щитовидной железы также повышается в связи с несколькими синдромами (МЭН2, Маккьюна–Олбрайта, Карни, DICER1). Молекулярно-генетическое подтверждение этих синдромов проводится в ЭНЦ. Заболеваемость растет, но до сих пор нет однозначного мнения о том, насколько часто следует обследовать население на наличие большинства этих синдромов. Необходимо найти баланс между пользой раннего выявления и риском лишних процедур, а также неоправданным стрессом и беспокойством, которое они доставляют пациенту и членам его семьи [3].

Но, самое главное, на сегодняшний день отсутствуют четкие показания к хирургическому лечению узлового зоба у детей. Существующая схема диагностической оценки и тактики при выявлении узлов щитовидной железы у детей, к сожалению, как показывает практика, не всегда работает во благо [3].

В результате этого подхода большое число пациентов либо направляется на удаление остатков щитовидной железы при обнаружении карциномы в гистологическом исследовании, либо подвергается напрасному риску при хирургическом вмешательстве, если результаты плановой гистологии показывают, что узел доброкачественный. И эта проблема обусловлена, к сожалению, несовершенством диагностики, основанной главным образом на аппарат- и человек-зависимом ультразвуковом методе и также зависимом от человеческого фактора методе тонкоигольной биопсии. На чашах весов при этом с одной стороны риск пропустить рак щитовидной железы у ребенка, а с другой – проведение необоснованного и опасного хирургического вмешательства. По литературным данным, послеоперационные осложнения в виде гипопаратиреоза и паралича голосовых связок встречаются в 15% случаев при выполнении операций даже в специализированном детском медицинском центре. Возникает вопрос: каков риск осложнений в клинике, где эти операции выполняются эпизодически? Данное обстоятельство подтверждает необходимость централизации этой категории больных и выбора лечебной тактики сугубо индивидуально на основании высокоспецифичных и высокопрофессионально проведенных методов обследования. Иными словами, решение должно быть принято при четком взаимодействии специалистов, обладающих большим опытом в области клиники, ультразвуковой диагностики и патоморфологии узловых заболеваний щитовидной железы у детей.

За 2016 г. мы прооперировали 46 детей по поводу узловых образований щитовидной железы, из них 14 больных раком (в 12 случаях – различные варианты папиллярной карциномы, один случай фолликулярной карциномы и один – медуллярного рака в составе синдрома множественной эндокринной неоплазии (МЭН) 2В). У 4 пациентов был коллоидный зоб, у 28 – фолликулярные аденомы. Детям с папиллярными вариантами рака щитовидной железы в подавляющем большинстве случаев на базе ЭНЦ была проведена радиойодтерапия. Таким образом, больным с этой патологией на базе единого центра была оказана многокомпонентная помощь в полном объеме.

Патология околощитовидных желез

Опухоли околощитовидных желез в детском возрасте крайне редкое заболевание. Нами оперировано двое пациентов: девочка с паратиромой (выполнено удаление опухоли) и мальчик с паратиромой в составе синдрома МЭН 1 (выполнено удаление аденомы и околощитовидных желез, а также аутотрансплантация одной околощитовидной железы в плечелучевую мышцу). Опыт показал, что сложность этой категории пациентов заключается не только в хирургическом исполнении, но и ведении послеоперационного периода: коррекции выраженных, быстро возникающих и прогрессирующих водно-электролитных нарушений при низком пороге чувствительности у детей, связанном с возрастными особенностями нервной системы и, в частности, с большой скоростью проведения нервного импульса.

Заболевания надпочечников

Следующая группа больных, на которую хотелось бы обратить внимание, – это дети с врожденными и приобретенными заболеваниями надпочечников. Гормонально активные опухоли, узелковая гиперплазия надпочечников, синдром Иценко–Кушинга встречаются в детской практике крайне редко. Требования современной медицины обусловливают необходимость выполнения высокотехнологичных, в том числе эндоскопических, хирургических вмешательств на надпочечнике у детей с указанными заболеваниями. К сожалению, у детских хирургов широкой практики отсутствует достаточный опыт в отношении лечения этой категории пациентов. Иначе говоря, специалистов, способных выполнить необходимые операции, единицы. Кроме этого, необходимо современное дорогостоящее оборудование. Это диктует целесообразность концентрации больных в едином центре как для улучшения качества их лечения и реабилитации, так и с экономической точки зрения.

Феохромоцитомы относят к редким опухолям. По данным литературы, феохромоцитомы обнаруживаются примерно у двух больных на миллион населения, по данным национального шведского регистра рака. Однако результаты аутопсий, проводимых в клинике Мейо(США), свидетельствуют о большей частоте этих опухолей: примерно 1000 случаев на миллион вскрытий. Таким образом, подавляющее большинство феохромоцитом при жизни не диагностируется.

Феохромоцитомы, как правило, локализуются в надпочечниках. Надпочечниковые феохромоцитомы в 90% случаев односторонние. Двусторонние надпочечниковые феохромоцитомы обнаруживаются у 35% детей. Они особенно часто встречаются среди больных с семейными синдромами, обусловленными целым рядом мутаций.

Опухоли надпочечников могут прорастать в соседние органы, а также в надпочечниковую и нижнюю полую вены, что приводит к попаданию раковых клеток в кровоток и метастазированию опухоли. Размеры феохромоцитом колеблются от микроскопических до огромных (более 3000 гр.).

Хромаффинные феохромоцитомы – это вненадпочечниковые параганглиомы, развивающиеся из симпатических ганглиев. На их долю приходится около трети всех феохромоцитом у детей. Примерно 70% таких опухолей локализуется в брюшной полости – вблизи почек или аорты. Забрюшинные параганглиомы примерно в половине случаев являются злокачественными. В 30% случаев параганглиомы локализуются в грудной полости. Примерно в 50% случаев параганглиомы секретируют норадреналин и норметанефрин.

Нехромаффинные парасимпатические параганглиомы, как правило, локализуются в области головы и шеи. В отличие от хромаффинных параганглиом они секретируют катехоламины не больше чем в 5% случаев.

Большинство феохромоцитом – спорадические, хотя в значительном числе этих опухолей обнаруживаются соматические мутации. С внедрением методов генетического анализа выяснилось, что 20–30% больных с феохромоцитомами и параганглиомами являются носителями мутаций. Так, у каждого десятого больного с односторонней феохромоцитомой обнаруживаются мутации гена VHL (ген болезни Гиппеля–Линдау).

Примерно у 10% больных с феохромоцитомами к моменту установления диагноза уже имеются метастазы. Еще у 5% больных метастазы появляются в течение последующих 5–20 лет. Параганглиомы бывают злокачественными чаще (в 30–50% случаев). Раннее выявление опухоли, вероятно, снижает риск метастазирования. Метастазы следует отличать от доброкачественных параганглиом, мультицентрических параганглиом, второй феохромоцитомы и опухолей, развившихся из клеток, попавших в брюшную полость во время операции.

При метастазах феохромоцитом и параганглиом проводят химиотерапию. Одна из предложенных схем химиотерапии включает введение циклофосфамида, винкристина и дакарбазина [8, 9].

Нами оперированы 8 детей с патологией надпочечников: трое больных с синдромом Гиппеля–Линдау; один ребенок по поводу инциденталомы (по итогам морфологии оказавшейся нейрофибромой); один ребенок по поводу эндотелиальной кисты, один – по поводу первичного гиперальдесторонизма, один – по поводу узелковой гиперплазии коры надпочечников, и одна девочка 16 лет оперирована по поводу адренокортикального рака (рис. 3 а, б). В основном адреналэктомия выполнена лапароскопически, дважды операция выполнена открыто – один больной был с параганглиомой (опухоль располагалась на аорте, что обусловливало крайне высокий риск кровотечения). В случае адренокортикального рака выполнена люмботоракофренулотомия (рис. 4).

Рис. 3. а, б – больная адренокортикальным раком.

Рис. 4. КТ больного с параганглиомой.

Патология гипофиза

Опухоли хиазмально-селлярной области редко встречаются у детей (около 6% по сравнению с взрослыми) и представляют разнородную группу. В большинстве своем это доброкачественные опухоли. Около 80–90% составляют краниофарингиомы, реже встречаются аденомы гипофиза (гормонально активные и неактивные). Все остальные опухоли (герминативно-клеточные, дермоиды, глиомы и т.д.) встречаются значительно реже. Несмотря на то что большинство этих опухолей являются доброкачественными, высоки риски развития различных осложнений, связанных с непосредственным воздействием опухоли на окружающие анатомические структуры (масс-эффект) или гормональными нарушениями в виде гипер- и гипосекреции гипофизарных гормонов.

Учитывая разнородность патологии в этой области, чрезвычайно важна правильная дифференциальная диагностика, которой удается добиться благодаря усовершенствованию нейровизуализационной техники и гормональным исследованиям. В зависимости от результатов диагностики и определяется метод лечения – хирургия, медикаментозная терапия, лучевая терапия, химиотерапия.

За последние десятилетия благодаря усовершенствованию микрохирургической техники и широкому внедрению малоинвазивных методов хирургической техники (использование эндоскопической техники) наблюдается значительный прогресс в улучшении результатов лечения и снижении рисков интра- и послеоперационных осложнений.

В отделении нейрохирургии ЭНЦ (заведующий отделением Григорьев А.Ю., хирурги Азизян В.Н., Иващенко О.В.) пациентам различных возрастных групп проводится трансназальное транссфеноидальное удаление опухолей хиазмально-селлярной области с применением эндоскопической ассистенции. В отделении нейрохирургии на настоящее время было прооперировано 22 пациента в возрасте 9–18 лет. Все удаленные опухоли представляли собой аденомы гипофиза с различной гормональной активностью (АКТГ-продуцирующие, СТГ-продуцирующие, пролактиномы). В 94% случаев получена ремиссия заболевания.

Нарушения формирования пола

Работа в области изучения и лечения, в том числе хирургического, нарушений формирования пола начата в стенах Института эндокринологии и химии гормонов (ныне Эндокринологический научный центр) уже более чем 40 лет назад. Заложение фундамента тесно связано со многими именами, но прежде всего с именем замечательного гинеколога-эндокринолога, старшего научного сотрудника Института эндокринологии и химии гормонов, кандидата медицинских наук Голубевой Ирины Вячеславовны – одного из основоположников создания “науки о поле”. Человек энциклопедических знаний, насыщенный светящейся любовью к людям, пронизанный идеями настоящего гуманизма, Ирина Вячеславовна, озаботясь трудным положением людей, страдающих транссексуализмом, первой в нашей стране в начале семидесятых годов прошлого века выполнила 9 операций по смене пола. Годы работы и трудных дискуссий позволили определить границы и содержание нового направления исследований, охарактеризовав его как “развитие науки о поле”, паритетно изучающего мужскую и женскую половые сферы, подчеркнув при этом мультидисциплинарность направления и трудности подготовки специалистов в этой области, которая фактически носит индивидуальный (“штучный”) характер.

В настоящее время продолжается работа по изучению сложных вопросов формирования органов репродуктивной системы, формирования пола, включая его структурно-динамическую иерархию. Подчеркиваются связи между генетикой, эмбриологией и клинической практикой. Это еще раз подтверждает мысль о том, что без комплексных знаний невозможно правильно истолковывать те или иные состояния, особенно в связи с нарушениями формирования пола. Известно, что ошибочные трактовки и формулировки ведут к выбору неправильных решений и порочным действиям, отрицательные результаты которых могут проявиться спустя много-много лет. Таким примерам из медицинской практики, особенно из социальной нашей жизни, несть числа.

Нельзя пройти мимо суждений, периодически высказываемых в кулуарах, а то и с центральной трибуны европейских форумов специалистами, в частности детскими эндокринологами. Подобные высказывания появились и на отечественных научно-практических конференциях. Во всяком случае, это обсуждалось на симпозиумах “Раритеты генитальной хирургии” и “Хирургия патологии репродуктивной системы” Всероссийских конференций детских хирургов, проводимых в рамках соответственно ХI и ХII Российских конгрессов “Инновационные технологии в педиатрии и детской хирургии” в октябре 2012 г. и октябре 2013 г. в Москве, а также на VI Московской городской научно-практической конференции детских эндокринологов в ноябре 2012 г., на Обществе детских хирургов Москвы 27 ноября 2014 г. Эти новые суждения сводятся к тому, что надо стремиться к раннему установлению варианта нарушения формы полообразования, но при этом не следует форсировать назначение того или другого пола пациенту и всех его иерархических составляющих. Тем более закреплять этот пол в соответствующих юридических документах и проводить какие-либо пластические операции. По мнению сторонников этой позиции, можно считать более целесообразным дожидаться социальной зрелости пациента и предоставить возможность ему самому уже осознанно выбрать форму его дальнейшего “полопроживания”. Предложение заманчивое и вроде бы отвечает современным требованиям “однобокой демократизации все и вся”. Если учесть наши слабые познания гендерных особенностей формирования центральной нервной системы и фактическое отсутствие сведений о генетике полового поведения (даже само понятие “пол” не получило пока общепризнанной формулировки), то в этих суждениях, возможно, и есть какой-то смысл, но неотчетливый, неопределенный, главное – не учитывающий реалии жизни, хотя в каждой стране они (реалии) свои. Кроме того, создаются временные условия для пребывания пациентов в так называемом “третьем поле”. Сразу возникает много вопросов. Первый из них: “А в какой общественный туалет или общественную баню я могу заходить? Я пошел или пошла?” – и т.д. Такому субъекту пребывать, расти и развиваться в социуме очень трудно, если не сказать практически невыносимо. Тем более постулат “вне пола даже на секунду жить невозможно” остается, как представляется, пока незыблемым. Вместе с тем нельзя не вспомнить о том, что в таких странах, как Австралия, Новая Зеландия, Пакистан, а теперь вот и Германия, принцип “дожидаться половой и социальной зрелости пациента и предоставить ему самому затем выбор формы его “полопроживания” возведен в ранг закона. Это сомнительное решение, как минимум спорное, но оно существует. Кроме того, проблем психиатрического и сексологического порядка у подросших пациентов довольно много, хотя хирургическая часть проблемы решена у большинства из них на высоком техническом уровне. Почему у некоторых из них проявляются элементы гомосексуальности; почему у других возникают вопросы сексологического характера? Полагаем, что с уточнением всех параметров формирования пола, особенно в возрастном его аспекте, упомянутые проблемы сойдут на нет. И тогда отпадет за ненадобностью решение соответствующих чиновничьих структур, позволяющее мужчинам, ощущающим себя в противоположном женском поле, при острой необходимости отправления физиологических функций свободно использовать общественные женские туалеты, и наоборот, женщинам, ощущающим себя (именно только ощущающим) в противоположном мужском поле, использовать свободно общественные мужские туалеты, как это сейчас наблюдают в Германии [10].

Категория пациентов с нарушением формирования пола очень неоднородна по этиологии при общности клинических проявлений, что обусловливает на сегодняшний день, к сожалению, большое количество ошибок при выборе пола, выполнении хирургических вмешательств и психосоциальной и сексуальной адаптации пациентов. Нарушение формирования пола может быть связано с генетическими мутациями, обусловливающими дефект синтеза половых гормонов, снижение рецепторной чувствительности к ним, хромосомными аномалиями, приводящими к дисгенезии гонад, и другими факторами, порой настолько редкими, что однозначно их интерпретировать бывает очень сложно. Всех этих пациентов объединяет интерсексуальное строение наружных половых органов. С позиции хирурга при большинстве вариантов возможно проведение как феминизирующей, так и маскулинизирующей пластики. Но при этом выбор пола должен быть обоснован оптимальностью прогноза реабилитации. Для этого необходимо понимание сложности проблемы, мультидисциплинарный подход и наличие современных диагностических, в том числе, что очень важно, генетических, технологий. Выбор лечебной, и главным образом хирургической, тактики зачастую будет сугубо индивидуальным, зависящим от целого ряда обстоятельств: медицинских, социальных и временных. Иначе говоря, для этой категории пациентов медицинская помощь должна быть персонализированной. Что же касается хирургической техники, то опыт показывает, что при прочих равных условиях, а именно знании эмбриологии, патологической анатомии и опыте пластических операций по коррекции пола, у детей порой не только руки хирурга играют важную роль в успехе, но и выбор конкретной операции, основанный на прогнозе заболевания. Так, при нарушениях формирования пола 46 XY с отсутствием андрогенной стимуляции возможно проведение малотравматичных феминизирующих методик, заключающихся в сокрытии кавернозных тел без их резекции. К сожалению, эта методика неприемлема у девочек с врожденной дисфункцией коры надпочечников, которые с позиции детского хирурга в большинстве случаев рассматриваются как больные с нарушением формирования пола. Проблема обусловлена тем, что в будущем у этих больных невозможно гарантировать отсутствие эпизодов, а то и целых периодов гиперандрогении, особенно при слабой комплаентности пациентов. Стимуляция же оставленных кавернозных тел андрогенами обязательно приведет к их росту и значимому ухудшению косметического результата операции, а также функциональным проблемам.

Немаловажным является и оснащение операционной. Использование ультразвукового скальпеля наряду с моно- и биполярной диатермией позволило нам существенно улучшить результаты интроитопластики, на порядок сократив кровопотерю, и, как следствие, оптимизировать существующие методики за счет значимо лучшей визуализации в условиях сухого операционного поля и прецизионного принципа операций.

За год мы провели ряд маскулинизирующих и феминизирующих операций у 92 детей с различными нарушениями формирования пола (из них 45 с врожденной дисфункцией коры надпочечников и 47 с другими вариантами неопределенности пола).

Участие эндокринолога необходимо для более эффективной адаптации в выбранном поле и зачастую позволяет улучшить хирургический результат, а иногда уменьшить количество операций. Для достижения оптимальных результатов необходима преемственность и совместная работа разных специалистов (хирургов, урологов, гинекологов, эндокринологов, психологов, сексопатологов и др.) на протяжении всей жизни пациента. То есть необходимо помнить, что такой больной нуждается в квалифицированной поддержке мультидисциплинарной команды от момента своего появления на свет до глубокой старости. Подобная схема диспансерного наблюдения за пациентами с нарушениями формирования пола показала свою эффективность в ЭНЦ (рис. 5).

Рис. 5. а, б – феминизирующая генитопластика до и после оперативного лечения.

Педиатрическая маммология

Известно, что частота выявления заболеваний молочных желез неуклонно возрастает, возраст пациентов молодеет. Такая тенденция прослеживается в большинстве европейских государств. Многие заболевания молочных желез взрослых корнями уходят в детство. Маммологическая помощь взрослому населению оказывается в большинстве случаев своевременно и адекватно. Однако в данной сфере практически не уделяется должного внимания детям и подросткам, каковыми по имеющимся нормативам считают лиц в возрасте до 18 лет. В реестре медицинских специальностей отсутствует детский маммолог. Среди специалистов нет единого взгляда на диагностику и тактику лечения данной патологии у детей, нет централизации таких больных, не разработаны принципы их диспансеризации, недостаточно изучены особенности морфологии и физиологии молочных желез в детском возрасте, не сформулированы критерии патологического их развития. Это обусловливает актуальность обсуждаемой темы и закладывает фундамент для развития нового направления медицины – педиатрической маммологии [11].

Становление и развитие этого направления также является одним из направлений деятельности детского хирургического отделения ЭНЦ. Нами оперировано 18 детей; из них одна девочка по поводу макромастии, 4 – с фиброаденомами, остальные были мальчики с гинекомастией (рис. 6 а, б).

Рис. 6. а – макромастия у девочки 16 лет; б – опухоль молочной железы (фиброаденома) у девочки 14 лет.

Опухоли половых желез

Опухоли половых желез являются редкими заболеваниями детского возраста. Возникают, как правило, в период полового созревания. Часто обладают выраженной гормональной активностью, манифестируя признаками преждевременного полового развития и его нарушениями, такими как гинекомастия и др. (рис. 7 а, б, в). Указанные симптомы зачастую первая причина обращения за медицинской помощью. Предикторами их возникновения могут быть генетические поломки, врожденная дисгенезия гонад и даже банальный крипторхизм. Успех лечения этих пациентов полностью зависит от своевременности диагностики, главным образом в указанных группах риска, и в том числе хирургического вмешательства [8].

Рис. 7. Лейдигома: а – ультразвуковая картина; б – внешний вид; в – интраоперационная картина.

Однако мы, к сожалению, столкнулись с целым рядом больных с нарушением формирования пола, у которых гонадэктомия была выполнена неоправданно поздно. Результатом явились обнаруженные при морфологическом исследовании гонадобластомы и дисгерминома у пациенток с кариотипом 46ХY и 45Х0/46ХY. При этом высокие показатели лютеинизирующего и фолликулостимулирующего гормонов у них определялись длительное время, и это, как ни странно, никого не настораживало.

За истекший период мы наблюдали 4 девочек с гонадобластомами, обнаруженными после проведенной лапароскопической гонадэктомии по поводу дисгенезии гонад на фоне кариотипа 46ХY и 46ХY/45ХО (рис. 8).

Рис. 8. Гонадобластома у девочек 46ХY/45Х0.

Патология поджелудочной железы

Из эндокринной патологии поджелудочной железы (ПЖ) у детей врожденный гиперинсулинизм является крайне редкой патологией.

Инсулиномы секретируют эндогенный инсулин автономно и независимо от уровня глюкозы в крови, что приводит к гиперинсулинемии. Клиническая картина характеризуется наличием триады Уиппла, которая включает в себя характерные симптомы гипогликемии, лабораторную гипогликемию и полную нормализацию состояния после внутривенного введения глюкозы. Симптомы гипогликемии могут быть как нейрогликопеническими (слабость, вялость, сонливость, помрачение сознания), так и адренергическими (тремор, повышенный аппетит, агрессия, беспокойство, судороги). Помимо этого, в случае длительного течения заболевания у многих пациентов отмечается прогрессирующий набор избыточной массы тела на фоне гиперфагии. В отличие от взрослых пациентов клинически заподозрить гипогликемию у детей бывает сложно, что обусловлено неспособностью детей детально описать свои жалобы. Критерием постановки диагноза является наличие лабораторно подтвержденного органического гиперинсулинизма (инсулин плазмы в момент гипогликемии >2,0 Ед/л) при выявлении новообразования ПЖ. Дифференциальная диагностика инсулином у детей должна проводиться с ятрогенными гипогликемиями (подколки инсулина, прием сахароснижающих препаратов) и врожденным гиперинсулинизмом. Для последнего характерен ранний возраст манифестации (до 3 лет).

Инсулиномы ассоциированы с синдромом МЭН 1 типа в 5–10% случаев у взрослых и в 30–50% у детей, однако они редко являются его первым проявлением. Синдром МЭН 1 – это наследственное заболевание, вызванное аутосомно-доминантными мутациями в гене-супрессоре опухолевого роста MEN 1. В структуру синдрома МЭН 1 входят опухоли паращитовидных желез (они выявляются в более чем 90% всех случаев), различные гастроэнтеропанкреатические нейроэндокринные опухоли (выявляются у 50–60% больных), опухоли аденогипофиза (50%) и надпочечников (40%). Заболевание встречается с частотой 1:30000 – 1:40000, чаще всего проявляется в возрасте 20–30 лет, а первым его симптомом является гиперпаратиреоз. Инсулиномы, ассоциированные с синдромом МЭН 1, как правило, множественные, мелкие (до 1 см) и доброкачественные, они могут сочетаться с гормонально неактивными опухолями ПЖ. Верификация диагноза МЭН 1 во многом определяет тактику ведения пациента: объем хирургического вмешательства, скрининг на другие составляющие синдрома, а также генетическое консультирование родственников. Учитывая высокий риск наличия синдромального варианта, всем детям с инсулиномами показано молекулярно-генетическое исследование гена MEN 1.

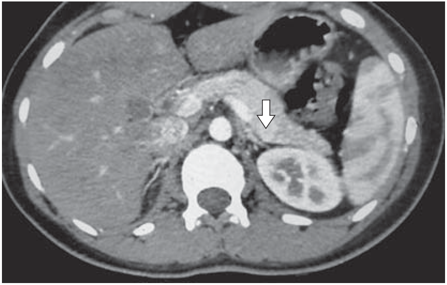
Инсулиномы, как правило, представляют собой солитарные, инкапсулированные опухоли небольшого размера (<2 см) и в 98% случаев локализуются внутри ПЖ. Маленький размер опухолей затрудняет их топическую диагностику (рис. 9).

Рис. 9. Девочка Ш., 16 лет. Инсулинома хвоста ПЖ размерами 12 × 10 мм (стрелка).

В настоящий момент наиболее достоверными методами визуализации инсулином считаются МСКТ, МРТ и эндоскопическое УЗИ. Инсулиномы, как правило, гиперваскулярные образования, поэтому методы лучевой диагностики с использованием контрастного вещества более информативны. Чувствительность трехфазной динамической МСКТ при локализации инсулином составляет от 30 до 85% и сильно зависит от размера опухоли. Чувствительность МРТ выше – достигает 85–95%. Наиболее чувствительным методом в настоящий момент признано эндоскопическое УЗИ (~94%), однако информативность исследования снижается в случае локализации опухоли в хвосте ПЖ, а также при очень маленьких размерах новообразования (<5 мм). В предоперационном периоде определение локализации инсулином может быть достигнуто с 100%-ной чувствительностью комбинацией спиральной компьютерной томографии и внутрипросветной (или эндоскопической) сонографии. МРТ может помочь в диагностике внутрипеченочных метастазов.

Ангиографические исследования, включая Са2+ССА, до недавнего времени активно использовались в топической диагностике инсулином, однако в силу инвазивности этих методов и высокого риска развития осложнений в настоящее время к ним прибегают лишь в исключительных случаях. В последние годы в практику активно внедряются изотопные исследования, из которых в диагностике инсулином информативными считаются сцинтиграфия рецепторов соматостатина, а также ПЭТ с 18F-ДОПА.

Основным методом лечения инсулином является хирургический, с успехом применяемый у 77– 100% больных. Медикаментозное лечение в основном применяется для контроля уровня сахара крови в предоперационном периоде, у тех, кому противопоказана операция, или у больных с нерезектабельными метастазами в печень. Диазоксид (50–600 мг/день) является наиболее эффективным препаратом для контроля гипогликемии (50–60% симптомов), и его действие основано на прямой супрессии продукции инсулина бета-клетками ПЖ.

Учитывая тот факт, что 90% инсулином являются доброкачественными солитарными опухолями размерами менее 2 см, энуклеация опухоли, когда это возможно, может считаться оптимальным объемом хирургического вмешательства. По данным литературы, энуклеация инсулиномы бывает возможна в 34–54% случаев. Вместе с тем резекция ПЖ (тотальная или частичная) может быть показана при инвазии в окружающие анатомические структуры и главный проток ПЖ, сомнении в доброкачественном характере поражения, а также при вовлечении в патологический процесс регионарных лимфоузлов. При выполнении дистальной резекции ПЖ следует стремиться сохранять селезенку, особенно у детей, что приводит к уменьшению числа послеоперационных инфекционных осложнений. При локализации опухоли в головке ПЖ у 5,5–16% больных может потребоваться панкреатодуоденальная резекция. Альтернативой этому у детей может быть резекция головки ПЖ с сохранением двенадцатиперстной кишки и наложением дистального панкреатоеюноанастомоза, что было использовано у больных с фокальной формой врожденного гиперинсулинизма.

При хирургическом лечении в большинстве наблюдений используются традиционные открытые лапаротомные вмешательства, преимуществом которых считают возможность провести интраоперационную пальпацию всей ПЖ для выявления опухоли, особенно при множественных локализациях инсулином. В последние годы стали появляться публикации об успешном использовании у взрослых больных с инсулиномами лапароскопического доступа с интраоперационным УЗИ ПЖ. В доступной нам литературе мы нашли только два наблюдения применения лапароскопических технологий у детей с инсулиномами: в одном случае – энуклеации опухоли, в другом – дистальной резекции ПЖ.

Одним из специфических осложнений хирургических вмешательств на ПЖ является возникновение наружного панкреатического свища или перипанкреатических скоплений. Частота развития подобных осложнений достигает 23,7%, при этом значительных различий как между энуклеацией и дистальной резекцией, так и между открытыми и лапароскопическими операциями не отмечено. По большей части панкреатические свищи могут закрываться спонтанно, что и отмечено в представленном нами наблюдении.

Злокачественные формы инсулином встречаются в 10% случаев. Наиболее часто метастазы при этом выявляются в печени, регионарных лимфоузлах, реже – в костях и брюшине. Хирургическое иссечение метастазов может продлевать выживаемость больных со злокачественными инсулиномами.

Пациенты с доброкачественной инсулиномой имеют благоприятный прогноз с успехом хирургического лечения в 77–100% случаев. В противоположность этому у пациентов со злокачественными инсулиномами, несмотря на все современные технологии, средняя выживаемость составляет около 2 лет [8].

Нами оперировано двое детей – обоим выполнена эта операция лапароскопическим доступом. Диагностика фокальных форм на сегодняшний день в России не проводится из-за отсутствия необходимого для позитронно-эмиссионной томографии изотопа 18F-ДОПА. Работа в этой сложной области ведется, и оснащение скорее всего будет.

Заключение

Исходя из изложенного, мы можем определить основные направления эндокринной хирургии детского возраста в обозримом будущем. Несомненно, к ним можно отнести комплексное лечение заболеваний щитовидной железы, включая гормональную терапию, хирургическое лечение, радиойодтерапию с использованием рекомбинантного тирогена (позволяющего избежать фазы гипотиреоза). Также важными задачами являются разработка и совершенствование методик, оптимизация сроков проведения одномоментных коррекций при нарушениях формирования пола, развитие эндохирургии опухолей надпочечников у детей, централизация общехирургической помощи больным с эндокринопатиями и, главным образом, сахарным диабетом, развитие хирургии поджелудочной железы с использованием эндоскопических технологий.

Дополнительная информация

Источник финансирования. Подготовка материала статьи проходила при поддержке ФГБУ “Эндокринологический научный центр” Минздрава России.

Конфликт интересов. Авторы декларируют отсутствие явных и потенциальных конфликтов интересов, связанных с публикацией настоящей статьи.

Список литературы

1. Эндокринная хирургия. / Под редакцией Дедова И.И., Кузнецова Н.С., Мельниченко Г.А. – М.: Литерра; 2014. [Dedov II, Kuznetsov NS, Mel&apos;nichenko GA, editors. Endocrine surgery. Moscow: Literra; 2014. (In Russ.)]

2. Williamson S, Greene SA. Incidence of thyrotoxicosis in childhood: a national population based study in the UK and Ireland. Clin Endocrinol (Oxf). 2010;72(3):358-363.

3. doi: 10.1111/j.1365-2265.2009.03717.x.

4. Детская тиреоидология. / Под редакцией Габора Синнаи; Перевод с англ. под редакцией Петерковой В.А. – М.: ГЭОТАР-Медиа, 2016. [Sinnai G., ed. Pediatric thyroidology. Transl. from English by Peterkova V.A. Moscow: GEOTAR-Media; 2016. (In Russ.)]

5. Read CH, Jr., Tansey MJ, Menda Y. A 36-year retrospective analysis of the efficacy and safety of radioactive iodine in treating young Graves&apos; patients. J Clin Endocrinol Metab. 2004;89(9):4229-4233. doi: 10.1210/jc.2003-031223.

6. Metso S, Jaatinen P, Huhtala H, et al. Increased cardiovascular and cancer mortality after radioiodine treatment for hyperthyroidism. J Clin Endocrinol Metab. 2007;92(6):2190-2196. doi: 10.1210/jc.2006-2321.

7. Raval MV, Bentrem DJ, Stewart AK, et al. Utilization of total thyroidectomy for differentiated thyroid cancer in children. Ann Surg Oncol. 2010;17(10):2545-2553. doi: 10.1245/s10434-010-1083-3.

8. Gupta A, Ly S, Castroneves LA, et al. A standardized assessment of thyroid nodules in children confirms higher cancer prevalence than in adults. J Clin Endocrinol Metab. 2013; 98(8):3238-3245. doi: 10.1210/jc.2013-1796.

9. Дэвид Гарднер, Долорес Шобек. Базисная и клиническая эндокринология. Книга 2. / Перевод с англ. – М.: БИНОМ, 2017. [Gardner D, Shobek D. Basic and clinical endocrinology. Book 2. Transl. from English. – Moscow: BINOM; 2017. (In Russ.)]

10. Дедов И.И., Бельцевич Д.Г., Кузнецов Н.С., и др. Феохромоцитома. – М.: Практическая медицина, 2005, с. 149–160. [Dedov II, Beltsevich DG, Kuznetsov NS, et al. Pheochromocytoma. Moscow: Prakticheskaya meditsina; 2005. (In Russ.)]

11. Окулов А.Б., Негмаджанов Б.Б., Ахмина Н.И., Окулов Е.А. Достижения педиатрической андрогинекологии – основа предупреждения репродуктивной и сексуальной недостаточности взрослого человека. Наука о поле. // Вестник урологии. – 2015. – №1. – С. 51–92. [Okulov AB, Negmanjanov BB, Akhmina NI, Okulov EA. Achievements of pediatric andrology/gynecology as the foundation for prevention of reproductive and sexual failure of adult patients. The science about human sex. Vestnik urologii. 2015;(1): 51-92. (In Russ.)]

12. Окулов А.Б., Адамян Л.В., Бровин Д.Н., и др. Молочные железы и их заболевания у детей: Руководство для врачей. – М.: Медицинское информационное агентство; 2010. [Okulov AB, Adamyan LV, Brovin DN, et al. Molochnye zhelezy i ikh zabolevaniya u detey: Rukovodstvo dlya vrachey. Moscow: MIA; 2010. (In Russ.)]


Об авторах

Иван Иванович Дедов

ФГБУ “Эндокринологический научный центр” Минздрава России


Россия

д.м.н., профессор, академик РАН



Валентина Александровна Петеркова

ФГБУ “Эндокринологический научный центр” Минздрава России


Россия

д.м.н., профессор, академик РАН



Николай Сергеевич Кузнецов

ФГБУ “Эндокринологический научный центр” Минздрава России


Россия

д.м.н., профессор, заведующий отделом хирургии



Дмитрий Николаевич Бровин

ФГБУ “Эндокринологический научный центр” Минздрава России


Россия

к.м.н., заведующий отделением детской хирургии



Олег Сергеевич Даниленко

ФГБУ “Эндокринологический научный центр” Минздрава России


Россия

к.м.н., врач детский хирург



Александр Вячеславович Аникиев

ФГБУ “Эндокринологический научный центр” Минздрава России


Россия

к.м.н., врач детский хирург



Дополнительные файлы

1. Неозаглавлен
Тема
Тип Исследовательские инструменты
Метаданные ▾
2. Неозаглавлен
Тема
Тип Прочее
Метаданные ▾
3. Неозаглавлен
Тема
Тип Прочее
Метаданные ▾
4. Неозаглавлен
Тема
Тип Прочее
Метаданные ▾
5. Неозаглавлен
Тема
Тип Прочее
Метаданные ▾
6. Неозаглавлен
Тема
Тип Прочее
Метаданные ▾
7. Неозаглавлен
Тема
Тип Прочее
Метаданные ▾
8. Неозаглавлен
Тема
Тип Прочее
Метаданные ▾
9. Неозаглавлен
Тема
Тип Прочее
Метаданные ▾
10. Неозаглавлен
Тема
Тип Прочее
Метаданные ▾
11. Неозаглавлен
Тема
Тип Прочее
Метаданные ▾
12. Неозаглавлен
Тема
Тип Исследовательские инструменты
Метаданные ▾
13. Рис. 1. Распределение детей, получивших хирургическую помощь, по регионам.
Тема
Тип Исследовательские инструменты
Посмотреть (12KB)    
Метаданные ▾
14. Рис. 2. Спектр оперативных вмешательств в отделении детской хирургии ЭНЦ.
Тема
Тип Исследовательские инструменты
Посмотреть (12KB)    
Метаданные ▾
15. Рис. 3. а, б – больная адренокортикальным раком.
Тема
Тип Исследовательские инструменты
Посмотреть (592KB)    
Метаданные ▾
16. Рис. 4. КТ больного с параганглиомой.
Тема
Тип Исследовательские инструменты
Посмотреть (232KB)    
Метаданные ▾
17. Рис. 5. а, б – феминизирующая генитопластика до и после оперативного лечения.
Тема
Тип Исследовательские инструменты
Посмотреть (558KB)    
Метаданные ▾
18. Рис. 6. а – макромастия у девочки 16 лет; б – опухоль молочной железы (фиброаденома) у девочки 14 лет.
Тема
Тип Исследовательские инструменты
Посмотреть (672KB)    
Метаданные ▾
19. Рис. 7. Лейдигома: а – ультразвуковая картина; б – внешний вид; в – интраоперационная картина.
Тема
Тип Исследовательские инструменты
Посмотреть (619KB)    
Метаданные ▾
20. Рис. 8. Гонадобластома у девочек 46ХY/45Х0.
Тема
Тип Исследовательские инструменты
Посмотреть (204KB)    
Метаданные ▾
21. Рис. 9. Девочка Ш., 16 лет. Инсулинома хвоста ПЖ размерами 12 × 10 мм (стрелка).
Тема
Тип Исследовательские инструменты
Посмотреть (431KB)    
Метаданные ▾

Рецензия

Для цитирования:


Дедов И.И., Петеркова В.А., Кузнецов Н.С., Бровин Д.Н., Даниленко О.С., Аникиев А.В. Развитие эндокринной хирургии детского возраста. Эндокринная хирургия. 2017;11(3):109-123. https://doi.org/10.14341/serg20173109-123

For citation:


Dedov I.I., Peterkova V.A., Kuznetsov N.S., Brovin D.N., Danilenko O.S., Anikiev A.V. Pediatric endocrine surgery development. Endocrine Surgery. 2017;11(3):109-123. (In Russ.) https://doi.org/10.14341/serg20173109-123

Просмотров: 1903


ISSN 2306-3513 (Print)
ISSN 2310-3965 (Online)