Перейти к:
Персонализированная диагностика хромаффинных опухолей (феохромоцитома, параганглиома) в онкоэндокринологии
https://doi.org/10.14341/serg9731
Аннотация
Феохромоцитомы и параганглиомы (ФХ/ПГ) – редкие катехоламин-секретирующие нейроэндокринные опухоли, почти в 40% случаев имеющие наследственную природу. Заболеваемость колеблется от 2 до 8 случаев на 1 млн человек в год, с пиком заболеваемости в 30–50 лет. Согласно последней классификации, хромаффинные опухоли отнесены к злокачественным новообразованиям. Частота метастазирования ФХ – 10%, ПГ – 25%. Клинические проявления ФХ и ПГ обусловлены избытком катехоламинов. Известно более 20 наследуемых генов, мутации в которых провоцируют развитие ФХ/ПГ. С точки зрения молекулярной клеточной патофизиологии известный на сегодня пул мутаций можно разделить на два кластера: первый (SDHх, SDHAF2 – фактор сборки SDH, FH, MDH2) нарушает функционирование цикла Кребса и энергетической транспортной цепи митохондрий, второй (RET, NF1, TMEM127, MAX) – мутации генов рецепторов трансмембранных белков-протеинкиназ (тирозинкиназ), активирующие внутриклеточные сигнальные пути (PI3K-AKT-mTOR и MYC), ответственные за клеточный рост, регуляцию роста и дифференцировку клеток. В итоге происходят стабилизация HIF-транскрипционных факторов (оксидативный стресс), изменение метилирования ДНК, приводящие в итоге к глубоким нарушениям экспрессии генов и опухолевой трансформации клетки. Выделяют три основных секреторно-биохимических фенотипа ФХ/ПГ: норадренергический, адренергический и допаминергический. В зависимости от типа секреции опухоли, возраста пациента и семейного анамнеза назначаются комплементарные генетические исследования и методы молекулярной визуализации. В клинической практике биохимический фенотип опухоли, стадия, семейный анамнез и особенно генетический “паспорт” опухоли позволяют подобрать оптимальный алгоритм молекулярной визуализации (ОФЭКТ/ПЭТ) в целях персонализации тактики лечения и клинического прогноза.
Ключевые слова
Для цитирования:
Румянцев П.О., Языкова Д.Р., Слащук К.Ю., Дегтярев М.В., Ясюченя В.С., Серженко С.С., Шеремета М.С., Дедов И.И. Персонализированная диагностика хромаффинных опухолей (феохромоцитома, параганглиома) в онкоэндокринологии. Эндокринная хирургия. 2018;12(1):19-39. https://doi.org/10.14341/serg9731
For citation:
Rumyantsev P.O., Yazykova D.R., Slashchuk K.Y., Degtyarev M.V., Yasyuchenya V.S., Serzhenko S.S., Sheremeta M.S., Dedov I.I. Personalized diagnostics of chromaffin tumors (pheochromocytoma, paraganglioma) in oncoendocrinology. Endocrine Surgery. 2018;12(1):19-39. (In Russ.) https://doi.org/10.14341/serg9731
Список сокращений
КТ – компьютерная томография
МЙБГ – метайодбензилгуанин
МРТ – магнитно-резонансная томография
ОФЭКТ – однофотонная эмиссионная компьютерная томография
ПЭТ – позитронно-эмиссионная томография
РФП – радиофармпрепарат
18F-ФДГ – 18F-фтордезоксиглюкоза
VHL – болезнь фон Хиппеля–Линдау
Ki-67 – индекс митотической пролиферации
Введение
Феохромоцитомы (ФХ) и параганглиомы (ПГ) – редкие катехоламин-секретирующие нейроэндокринные опухоли, которые остаются нераспознанными более чем в 50% случаев [1]. Заболеваемость ФХ, по различным данным, составляет от 2 до 8 случаев на 1 млнчеловек в год [2]. ФХ выявляется у 5% пациентов с инциденталомами надпочечников, у 1% пациентов с артериальной гипертензией [3]. Пик заболеваемости приходится на 30–50 лет, средний возраст выявления опухоли для подтвержденных наследуемых синдромов – 24,9 года и для спорадических случаев – 43,9 года [4]. С помощью генетических исследований выяснено, что ФХ/ПГ в 35% случаев имеют наследственную природу. Известно более 20 спорадических или наследуемых мутаций генов, играющих триггерную роль в этиопатогенезеФХ/ПГ.
Согласно классификации эндокринных опухолей ВОЗ 2017 г. (4-й пересмотр), к ФХ относится опухоль, возникающая из хромаффинных клеток мозгового слоя надпочечников, к ПГ – вненадпочечниковая опухоль из параганглиев [5]. На долю ФХ приходится примерно 80–85% всех катехоламин-секретирующих нейроэндокринных опухолей, оставшиеся 10–15% – симпатические ПГ, реже – с локализацией в области головы и шеи. В зависимости от вида параганглия вегетативной нервной системы ПГ делят на симпатические и парасимпатические. К симпатическим параганглиям относится: крупный параганглий (орган Цукеркандля) вблизи бифуркации аорты (самый большой хромаффинный параганглий в периоде эмбриогенеза, в норме подвергающийся регрессу после рождения), пре- и паравертебральные параганглии средостения, забрюшинного пространства и малого таза. В этой связи симпатические ПГ могут иметь разную топографию – от грудной полости до полости малого таза; достаточно часто – в проксимальной части нижней брыжеечной артерии, развиваясь из клеток Цукеркандля [6–8]. Молекулярно-генетические исследования с использованием флюоресцентных меток доказали, что хромаффинные клетки надпочечников и симпатические нейроны в эмбриогенезе происходят из общей симпатоадреналовой зародышевой клетки нервного гребня [9], что позволяет рассматривать мозговой слой надпочечников также в качестве симпатического параганглия. Хромаффинными опухолями, секретирующими катехоламины и потому потенциально опасными, чаще всего являются именно ФХ и симпатические ПГ (каротидные хемодектомы). Парасимпатические ПГ (вагальные хемодектомы) в области головы и шеи возникают из парасимпатических ганглиев: яремного, каротидного гломуса, ганглиев вдоль шейных и грудных волокон блуждающего и языкоглоточного нервов, часто биохимически неактивны и лишь в 4% случаев вырабатывают катехоламины [10–12].
С онкологической точки зрения выделяют относительно доброкачественную (неметастатическую) и злокачественную (метастатическую) ФХ/ПГ. В 10% случаев первым проявлением заболевания являются регионарные и/или отдаленные метастазы. В 30–50% случаев злокачественность остается нераспознанной, приводя к серьезным осложнениям и смерти пациентов.
Злокачественная феохромоцитома/параганглиома
По современным данным, примерно 10% ФХ и 25% ПГ имеют метастатическую диссеминацию. Наиболее часто опухоли метастазируют в регионарные лимфатические узлы (70–100%), кости (50%), печень (50%), легкие (30%) [13]. К сожалению, пока отсутствует какой-либо биомаркер, позволяющий достоверно дифференцировать доброкачественные и злокачественные ФХ/ПГ [14]. Гистологический и иммуногистохимический методы позволяют дать оценку злокачественному потенциалу опухоли на основании шкалы PASS и индекса митотической пролиферации Ki-67. Значения PASS >6 и Ki-67 >3% подтверждают высокий злокачественный потенциал опухоли [15]. Симпатический гистогенез ПГ, размер опухоли более 5 см, особенно при ее локализации в поддиафрагмальной, парааортальной области и средостении, значительно повышают вероятность ее злокачественности [16]. Также для злокачественных ФХ/ПГ характерно превалирование синтеза допамина из DOPА и его метаболита 3-метокситирамина, что, вероятно, связано с более низкой дифференцировкой клеток и дефицитом ферментов для синтеза других катехоламинов. 3-метокситирамин может выступать не только в роли маркера допамин-секретирующей опухоли, но и в качестве косвенного маркера злокачественности и вненадпочечниковой локализации опухоли, его необходимо оценивать при динамическом наблюдении за новообразованием (особенно в случае мутаций SDHB) [17]. В отсутствие метастазов невозможно судить о потенциале злокачественности ФХ, причем гиперваскуляризация или подозрение на инвазию капсулы опухоли по данным КТ/МРТ не являются патогномоничными признаками злокачественности, хотя они менее характерны для доброкачественной феохромоцитомы [18, 19]. В диагностике метастазов печени и лимфатических узлов МРТ показывает неплохие результаты в сравнении со сцинтиграфией с метайодбензилгуанином (МЙБГ-сцинтиграфией) и позитронно-эмиссионной томографией с 18F-фтордезоксиглюкозой (ПЭТ с 18F-ФДГ) [20].
За последние годы установлено, что до 35% случаев развития ФХ/ПГ обусловлено наследуемыми мутациями (для детской популяции этот показатель достигает 70%), а не ограничивается 10%, как считали ранее [4, 21, 22]. Приблизительно 40% всех наследуемых ФХ/ПГ развиваются при трех семейных (наследственных) синдромах:
- множественной эндокринной неоплазии 2 типа (МЭН-2);
- болезни фон Хиппеля–Линдау (VHL);
- наследственных параганглионарных синдромах (SDHD, SDHAF2 (SDH5), SDHC, SDHB, SDHA).
При множественной эндокринной неоплазии 1 типа (МЭН-1) и нейрофиброматозе 1 типа (NF1) ФХ/ПГ встречаются значительно реже (менее 1%). Исследуются новые мутации генов, приводящие к развитию ФХ/ПГ. На сегодняшний день доказана этиологическая роль мутаций в следующих генах: VHL, RET, NF1, SDHA, SDHB, SDHC, SDHD, SDHAF2, MEN1, KIF1Bβ, EGLN1, EGLN2, TMEM127, MAX, EPAS1 (HIF2A), FH и MDH2.
Раннее выявление наследуемого синдрома с помощью генетического тестирования позволяет провести прицельную диагностику других эндокринных опухолей, оценить их злокачественный потенциал и вероятность метастазирования у пробанда, провести семейный генетический скрининг среди кровных родственников и определить индивидуальные риски для носителей онкогенной мутации, осуществлять профилактику, раннее выявление и своевременное лечение эндокринных неоплазий.
В клинической практике генетическое исследование рекомендовано пациентам в следующих случаях:
- положительный семейный анамнез;
- клинические проявления, позволяющие заподозрить наследственный синдром;
- двусторонние и/или мультифокальные опухоли;
- симпатические или метастатические экстраадреналовые ПГ;
- выявление ФХ/ПГ в возрасте до 40 лет.
Для пациентов с односторонней ФХ без семейного анамнеза хромаффинной опухоли генетический тест рекомендован, если возраст пациента менее 50 лет.
Клинические проявления
Основные клинические проявления ФХ и симпатической ПГ обусловлены избытком продукции катехоламинов: артериальная гипертензия, головная боль, потливость, учащенное сердцебиение, тремор, бледность кожи и др. (табл. 1). Эти симптомы часто возникают пароксизмально, при этом гипертензия в межприступном периоде сохраняется у 50–60% пациентов с ФХ. Эпизоды повышения артериального давления (АД) могут быть различны по интенсивности, частоте, продолжительности и очень часто с большим трудом или вовсе не купируются стандартной гипотензивной терапией. Гипертонические кризы могут приводить к аритмии, инфаркту миокарда и смерти. Симптомы, обусловленные избытком катехоламинов, могут возникать спонтанно или при каких-либо провоцирующих воздействиях: активная физическая нагрузка, травма, анестезия, хирургическая операция или иные инвазивные процедуры, потребление продуктов с высоким содержанием тирамина (красное вино, шоколад, сыр), изменение положения тела, мочеиспускание.
Таблица 1. Клинические симптомы ФХ и ПГ
При ФХ/ПГ может встречаться гипотензия из-за избыточной стимуляции β-адренорецепторов эпинефрином, постуральная гипотензия или эпизоды повышенного и низкого АД.
Основные генетические заболевания и синдромы, ассоциированные с феохромоцитомой/параганглиомой
Выявление генетической мутации, лежащей в основе ФХ/ПГ, играет ключевую роль в оптимизации плана диагностики, лечения и динамического наблюдения пациента, что в совокупности улучшает прогноз пациента.
Известно более 20 наследуемых генов, мутации которых вызывают ФХ/ПГ. Основываясь на патологических путях, данные мутации можно разделить на два основных кластера: первый (SDHх, SDHAF2 – фактор сборки SDH, FH, MDH2) нарушает функционирование цикла Кребса и электронной транспортной цепи митохондрий, второй (RET, NF1, TMEM127, MAX) – мутации генов рецепторов трансмембранных белков протеинкиназ (тирозинкиназ), активирующие внутриклеточные сигнальные пути (PI3K-AKT-mTOR и MYC), ответственные за клеточный рост, регуляцию роста и дифференцировки клеток. В итоге происходят стабилизация HIF-транскрипционных факторов (оксидативный стресс), изменение метилирования ДНК, приводящие к глубоким изменениям экспрессии генов и опухолевой трансформации клеток.
1. Болезнь фон Хиппеля–Линдау (von Hippel–Lindau, VHL)
VHL – ген-онкосупрессор, кодирующий белки, участвующие в протеолитической деградации факторов, индуцируемых гипоксией [23]. Заболеваемость VHL составляет 1 на 36000 новорожденных, болезнь имеет преимущественно аутосомно-доминантный тип наследования вследствие герминальной миссенс-мутации VHL-гена [24, 25]. Примерно у 20% больных развивается ФХ или ПГ, опухоли преимущественно норэпинефрин-секретирующие, в 45% случаев мультифокальные или билатеральные, метастатические ФХ/ПГ у пациентов с VHL-синдромом редки (<5%) [26, 27]. Средний возраст клинической манифестации ФХ – 30 лет [28], при этом у 30–50% пациентов ФХ – первое фенотипическое (клиническое) проявление синдрома [27]. При указанной мутации активируются механизмы ангиогенеза, активации эритропоэза и опухолеобразования, что объясняет высокую васкуляризацию данных опухолей [29]. В опухолевых клетках высока частота соматических мутаций гена VHL [30].
По риску развития ФХ болезнь VHL классифицируетcя на 4 основных клинико-фенотипических подтипа в зависимости от типа мутации (табл. 2).
Таблица 2. Риск возникновения ФХ при различных вариантах мутации гена VHL
Генетический скрининг на наличие мутации в гене VHL необходим пациентам с впервые выявленной ФХ в возрасте до 18 лет. Носителям VHL-мутации обследование на наличие ФХ рекомендовано с 5 лет. Другие проявления заболевания перечислены в табл. 3.
Таблица 3. Клинико-биохимический фенотип болезни VHL
2. МЭН-2 (10q11.2-хромосома)
Для МЭН-2 характерен аутосомно-доминантный тип наследования. Ежегодная заболеваемость – 5 случаев на 10 млн, риск передачи мутации по наследству – 50% [31]. В основе всех случаев МЭН лежит герминальная миссенс-мутация RET-протоонкогена, который локализуется в области перицентромерного участка хромосомы 10q11.2 и кодирует трансмембранный рецептор фермента тирозинкиназы, посредством которого осуществляется регуляция роста и дифференцировки клеток, берущих начало из нервного гребня. Выделяют следующие синдромы.
- Синдром МЭН-2А (Сиппла). Медуллярный рак щитовидной железы (МРЩЖ), ФХ (в 40–50% случаев) и редко ПГ, амилоидоз кожи (амилоидный лихен), иногда – болезнь Гиршпрунга.
- Синдром МЭН-2В (Горлина). МРЩЖ, ФХ (в 50% случаев), гиперпаратиреоз не характерен, множественные слизисто-кожные нейромы губ, языка, век, миелинизация роговичного нерва, ганглионейромы ЖКТ (мегаколон) или марфаноподобная внешность, скелетная деформация и гиперподвижность суставов.
- Семейная форма МРЩЖ. В щитовидной железе развивается медуллярный рак либо С-клеточная гиперплазия (предрак). Многие авторы считают, что это вариант синдрома МЭН-2 без прижизненной манифестации других эндокринных неоплазий синдрома МЭН-2. Подозрения в семейной форме МРЩЖ – наличие по крайней мере одного кровного родственника с МРЩЖ и отсутствие других проявлений синдрома МЭН-2 [32] (табл. 4).
Таблица 4. Классификация синдромов МЭН-2 по проявлению феохромоцитомы
RET-мутация выявляется у 98% пациентов с МЭН-2А, 95% – с МЭН-2В, 88% – с семейным МРЩЖ [33]. Синдром MЭН-2A – наиболее частый синдром (55% всех синдромов МЭН-2), как правило, встречается комбинация МРЩЖ и ФХ и/или опухоли паращитовидных желез у одного пациента либо у нескольких членов семьи. МРЩЖ – обычно первое проявление синдрома в возрасте от 5 до 30 лет [32]. Частота МРЩЖ среди МЭН-2А – более 95%, ФХ – 40–50%, множественных опухолей паращитовидных желез – 10–20% [34].
Синдром MЭН-2B – редкий и самый агрессивный синдром, составляет 5–10% среди пациентов с МЭН-2, более чем в 50% случаев обусловлен герминативной RET-мутацией, возникшей de novo по отцовской линии. ФХ встречается в 50% случаев. Клиническая манифестация заболевания – как правило, первые годы жизни, более агрессивное течение МРЩЖ, характерна более высокая смертность по сравнению с МЭН-2А [35].
Генетическое тестирование на RET-мутацию рекомендовано при клинических проявлениях, характерных для синдрома МЭН-2. Примерно у 50% пациентов с МЭН-2 развивается феохромоцитома, средний возраст диагностики – 35 лет [34]. В 12–15% случаев ФХ – единственное проявление синдрома МЭН-2, в 50–80% развиваются двусторонние ФХ, преимущественно эпинефрин-секретирующие, менее чем в 5% – злокачественные. Скрининг на ФХ рекомендован в возрасте от 5 до 16 лет для носителей мутаций [36] (табл. 5).
Таблица 5. Клинико-генетическая характеристика синдрома МЭН-2
3. Нейрофиброматоз 1 типа
Нейрофиброматоз 1 типа (болезнь Реклингхаузена) – наследственное заболевание, встречающееся у 1 на 2500–3000 тыс. новорожденных, с аутосомно-доминантным типом наследования, преимущественно поражающее кожу и нервную систему. Диагноз в 95% случаев устанавливается до 11 лет на основании клинических проявлений заболевания: множественные нейрофибромы, пигментные пятна на коже цвета кофе с молоком, гамартомы радужной оболочки глаза – узелки Лиша, сколиоз, когнитивные нарушения, опухоли зрительных нервов и ЦНС (глиомы), лейкемия [36, 37]. Ген NF1 с локализацией 17q11.2 кодирует белок нейрофибрин, экспрессируемый преимущественно в нервной системе и являющийся супрессором клеточной пролиферации посредством инактивации RAS-белков. Мутация NF1приводит к активации PI3K/AKT/mTOR сигнального каскадного пути. Спонтанные мутации гена NF1 встречаются с очень высокой частотой.
ФХ при нейрофиброматозе развиваются редко, лишь в 0,1–5,7% случаев, средний возраст пациентов – 40 лет, самый ранний возраст клинической манифестации – 7 лет. ФХ могут быть как одно-, так и двусторонними, вероятность злокачественной феохромоцитомывыше, чем для болезни VHL и синдрома МЭН-2, и составляет более 12% [38].
4. Мутации SDHх – семейные параганглиомы
Семейные ПГ вызваны мутациями в генах, кодирующих сукцинатдегидрогеназный комплекс, известный также как комплекс II, принимающий участие в цикле Кребса и в энергетической транспортной цепи митоходрий. Основная функция энергетической транспортной цепи – продукция АТФ. Сукцинатдегидрогеназный комплекс – тетрамерный белок, состоящий из двух каталитических SDHA- и SDHB-белков, являющихся ядром комплекса, и двух структурных SDHC- и SDHD-анкерных белков, фиксирующих весь комплекс к внутренней мембране митохондрии. Мутации в SDHA, SDHB, SDHC и SDHD дестабилизируют комплекс II, вызывая псевдогипоксию вследствие накопления сукцината в митохондриях и его экспорта в клеточную цитоплазму, в результате чего активируются факторы, традиционно индуцируемые гипоксией. В конечном итоге это приводит к усилению ангиогенеза и анаэробного метаболизма, повышению количества метилированной ДНК в результате значимого снижения экспрессии генов, отвечающих за дифференцировку клеток нейроэндокринных опухолей. На сегодняшний день доказана роль мутаций SDHB и SDHD в развитии почечно-клеточного рака и рака щитовидной железы, а также аденом гипофиза [39].
Клиническая (фенотипическая) реализация семейных синдромов зависит от варианта мутации в гене SDH, кодирующем сукцинатдегидрогеназу. Первой в 2001 г. была кортирована мутация SDHD [40], позднее – мутации SDHC, SDHB и SDHA. Неблагоприятным прогнозом и высоким риском метастазирования отличается мутация SDHB. При всех SDHx-мутациях могут встречаться феохромоцитома, параганглиома, в том числе головы и шеи, а также другие опухоли (табл. 6) [41–43].
Таблица 6. Клинико-генетическая характеристика наследственных синдромов с развитием параганглиом
5. FH-мутации (1q43)
Открыты в 2013 г. при обследовании 600 пациентов с ФХ/ПГ, имеющих отрицательные генетические тесты на ранее известные мутации [44]. Выяснилось, что инактивация фумаразы, отвечающей за гидратацию/дегидратацию фумарата до малата в цикле трикарбоновых кислот, является предиктором образования не только ФХ, но и лейомиомы, папиллярного рака почек. Для FH-мутации клинически характерны метастазы и множественные опухоли. Данные мутации включены в список генетических тестов у пациентов с ФХ и ПГ.
Внесиндромные мутации генов, ассоциированные с феохромоцитомой/параганглиомой
6. TMEM127 (2q11)
Ген кодирует трансмембранный белок, принимающий участие во внутриклеточном mTOR-сигнальном пути, ответственном за апоптоз, пролиферацию клеток. Мутации преимущественно выявляются у пациентов с ФХ, хотя некоторые исследования показали, что при ПГ, в частности головы и шеи, встречается носительство мутации TMEM127.
Мутации описаны при обследовании 990 пациентов с ФХ и ПГ, имеющих отрицательные генетические тесты на RET-, VHL- и SDHB/C/D-мутации [45]. Средний возраст манифестации заболевания – 43 года, характерна неполная пенетрантность, менее чем у 20% носителей прослеживается семейный анамнез, герминальная мутация TMEM127 обнаружена в единичных случаях светлоклеточной карциномы без ФХ/ПГ. Не рекомендовано для скрининга у детей [46].
7. MAX (14q23.3)
Ген кодирует транскрипционный фактор, играющий важную роль в регуляции клеточной пролиферации, дифференцировке и апоптозе как часть MYC/MAX/MXD1 сигнального каскадного пути. Белки MYC/MAX/MXD1 формируют димеры, присоединяемые к специфическим последовательностям ДНК, регулирующие транскрипцию. Доказана роль белка МАХ в качестве опухолевого супрессора.
Впервые герминальную мутацию гена МАХ определили у трех больных с наследственной ФХ в 2010 г. [47]. В последующем несколько исследований, в одном из которых принимали участие 1694 пациента, подтвердили связь мутации MAX с развитием ФХ у 1,3% пациентов, у 21% из них встречались грудные и брюшные параганглиомы в сочетании с ФХ, не выявлено ни одного пациента с ПГ без ФХ. У 37% прослеживался семейный анамнез, и только 10% имели метастазы. Средний возраст манифестации заболевания – 32 года, но в 21% случаев – до 18 лет, что обязало включить мутации МАХ наряду с VHL и SDHB в панели генетического тестирования в педиатрической практике [48]. Для опухолей характерны преобладание секреции норметанефрина и нормальный (или незначительно повышенный) уровень метанефрина. Вероятность этой мутации увеличивается до 66% в случае двусторонней или мультифокальной ФХ и/или наличия семейного анамнеза по данной опухоли.
Спорадические феохромоцитомы/параганглиомы
За последние годы обнаружено, что соматические мутации могут затрагивать гены, мутации которых традиционно относят к наследуемым. Так, соматические мутации для ФХ/ПГ в 14% случаев встречаются для генов RET и VHL [30], в 21–24% случаев – для гена нейрофиброматоза NF1 [49, 50].
Биохимическая диагностика
Выполняется с целью выяснения биохимического фенотипа ФХ/ПГ. Среди хромаффинных опухолей в зависимости от преобладающего типа секреции выделяют три основных биохимических фенотипа: норадренергический, адренергический и допаминергический, встречается также смешанный тип секреции.
К опухолям с норадренергическим фенотипом, как правило, относятся экстраадреналовые параганглиомы, как спорадические, так и наследуемые (мутации в генах SDHx, VHL, FH, HIF2A инициируют гипоксия-индуцируемый фактор альфа). Данные опухоли преимущественно секретируют норметанефрин, концентрация метанефрина обычно менее 5% от суммы норметанефрина и метанефрина (тканевая концентрация) [51]. Клинически пациентов чаще беспокоит пароксизмальная или постоянная артериальная гипертензия, редко сопровождаемая тахиаритмиями вследствие длительной вазоконстрикции, опосредованной стимуляцией бета1-адреноцерепторов норадреналином, может наблюдаться гипертоническая энцефалопатия, инфаркт миокарда, ишемия кишечника вплоть до некрозов с последующим сепсисом, почечной недостаточностью, некроз мышц и миоглобулинурия.
Для адренергического фенотипа характерно повышение метанефрина более чем на 10% от суммы метанефрина и норметанефрина (тканевая концентрация) [51]. Продукция адреналина обусловлена ферментом фенилэтаноламин-N-метилтрансферазой, обнаруживаемой только в мозговом веществе надпочечников, поэтому практически все такие опухоли локализованы именно в надпочечниках. Могут быть как спорадическими, так и наследственными (мутации в генах RET, NF1, TMEM127). В клинической картине преобладает пароксизмальная или постоянная тахиаритмия, умеренная гипертония. Вследствие значительного влияния эпинефрина на бета2-адренорецепторы сосудов развивается вазодилатация, которая может приводить к артериальной гипотензии, компенсаторной тахикардии и даже кардиогенному шоку [52, 53].
Допаминергический тип характеризуется повышенным содержанием допамина, или его метаболита 3-метокситирамина, или обоих. Обычно повышение допамина или 3-метокситирамина ассоциировано с увеличением норметанефрина, что может встречаться у пациентов с SDHx-мутациями. При определении изолированного повышения допамина клинические проявления могут отсутствовать, может встречаться гипотония (сосудорасширяющий эффект допамина), тошнота и рвота (стимуляция D2-рецепторов головного мозга), диарея (стимуляция D1-рецепторов ЖКТ). Данный биохимический тип обнаруживается у пациентов с ПГ головы и шеи [54], метастатическими ФХ/ПГ (особенно SDHB- и SDHD-мутации).
Последние сведения о влиянии патогномоничных мутаций на метаболизм и канцерогенез позволяют все наследуемые формы ФХ/ПГ разделить на два “генно-фенотипических” кластера хромаффинных опухолей, что играет важнейшую роль в персональной оптимизации диагностики, лечения и последующего наблюдения.
К кластеру 1 (кластер клеточной псевдогипоксии) относятся следующие мутации генов: SDHх, FH, VHL и HIF2α, приводящие к стабилизации внутриклеточных факторов, индуцируемых гипоксией (англ. hypoxia-inducible factors, HIF) и усилению механизмов ангиогенеза (что объясняет высокую васкуляризацию опухолей данного генетического кластера), активации эритропоэза и опухолевой трансформации. Данный кластер опухолей перекликается с гипотезой О. Варбурга (1920 г.), согласно которой основной причиной возникновения раковых клеток является клеточная гипоксия, приводящая к патологически повышенному уровню поглощения глюкозы и поддержанию производства лактата опухолевой клеткой даже в присутствии кислорода. Таким образом, к кластеру 1 относят опухоли норадренергического фенотипа с преимущественно экстраадреналовой локализацией, однако встречаются изолированные ФХ (VHL-синдром). Опухоли часто мультифокальные, рецидивирующие, метастазирующие.
К кластеру 2 (кластер киназного сигнального пути) относятся мутации генов RET, NF1, TMEM127, MAX, ведущие к активации тирозинкиназных рецепторов, что в свою очередь приводит к избыточному стимулированию внутриклеточных патологических сигнальных путей, таких как PI3K-AKT-mTOR и MYC, и опухолевому росту клетки [55]. Опухоли преимущественно надпочечниковой локализации, хотя встречаются и экстраадреналовые (TMEM127-мутация), часто хорошо дифференцированные и содержат фермент фенилэтанол-N-метилтрансферазу, ответственный за превращение норэпинефрина в эпинефрин.
Спорадические ФХ по метаболическому фенотипу распределяются между этими двумя кластерами.
В качестве первого теста при подозрении на ФХ/ПГ рекомендовано определение свободных метанефринов плазмы или фракционированных метанефринов суточной мочи, 3-метокситирамина плазмы. Биохимический метод обладает самой высокой чувствительностью (97–100%), вторым этапом проводится генетическое тестирование и на основе полученных результатов – индивидуальный подбор визуализирующих методов лучевой диагностики [43, 56].
Недавно проведенные исследования позволили предположить, что 3-метокситирамин может рассматриваться не только как биохимический маркер допамин-продуцирующих опухолей [57], но и как индикатор злокачественности опухоли. У пациентов с биохимически“молчащими” опухолями определение уровня хромогранина А как универсального биомаркера нейроэндокринных опухолей является важным вспомогательным тестом [58].
Лучевая диагностика
Проводится преимущественно в случае лабораторного подтверждения повышенного уровня метанефринов, а также у пациентов:
- с отрицательным или сомнительным тестом на метанефрины в сочетании с семейной предрасположенностью (наследственностью);
- подтвержденной генетической мутацией;
- при подозрении на биохимически “молчащую” опухоль.
Носителям генетических мутаций совместно с биохимическим тестом рекомендована КТ или МРТ всего тела с периодичностью раз в год. Выполнение КТ или МРТ всего тела особенно важно для носителей SDHx-мутаций, так как эти опухоли часто пропускаются при биохимическом тесте [59].
Хотя КТ и МРТ имеют практически одинаковую диагностическую ценность [6, 60, 61], КТ рекомендована в качестве метода первой линии [43]. МРТ предпочтительна для топической диагностики ПГ головы и шеи, метастазов, при аллергии на контрастное вещество и пациентам c абсолютными и относительными противопоказаниями к лучевой нагрузке (детский возраст, беременные, недавняя лучевая терапия) [43, 60].
Компьютерная томография
При КТ ФХ/ПГ в 2/3 случаев представлены солидными образованиями, в 1/3 случаев имеют смешанную структуру, которая может быть подвержена кистозным или некротическим изменениям [62]. Неконтрастная плотность ФХ/ПГ обычно более 10 HU из-за кровоизлияний или кальцификации образования. Присутствие некротических тканей в опухоли, наоборот, понижает рентгеноконтрастную плотность. При КТ с контрастированием в неконтрастную фазу для ФХ/ПГ характерна плотность более 20 HU и через 10 мин после введения контраста уменьшается менее чем на 50% [63].
В целом чувствительность КТ для выявления ФХ варьирует от 76 до 100% [64–66], специфичность метода при дифференциальной диагностике между ФХ, аденомой и миелолипомой надпочечника – ниже 50%. В первичной диагностике ПГ/ФХ, а также при рецидиве и метастатической диссеминации опухоли чувствительность и специфичность КТ невысоки, ниже 60% (57 и 50% соответственно) [60, 67].
Магнитно-резонансная томография
При проведении МРТ на T2-взвешенных изображениях ФХ/ПГ визуализируются в виде образований высокой интенсивности сигнала, в 30% умеренной или низкой плотности. ФХ/ПГ обычно достаточно хорошо накапливают контраст на основе гадолиния [68].
Чувствительность МРТ для выявления ФХ – 91–100%, специфичность варьирует от 50 до 97% [64, 68, 69]. МРТ в сравнении с КТ, согласно некоторым исследованиям, обладает большей чувствительностью в диагностике экстраадреналовых опухолей [66, 70]. Кроме того, если при биохимическом исследовании уровень метанефринов/норметанефринов повышен, а при КТ/МРТ не визуализируется патология надпочечников, то рекомендована МРТ последовательно по этажам: брюшной полости, малого таза, грудной клетки и шеи, костей (поиск метастазов).
Согласно клиническим рекомендациям, оптимальные результаты достигаются путем совмещения двух методов лучевой визуализации: анатомической (КТ, МРТ) и функциональной (ОФЭКТ, ПЭТ) [60, 71].
Радионуклидная диагностика (молекулярная визуализация)
Биохимический фенотип опухоли, ее размер, генетическая мутация при наследственных синдромах, клинические проявления, позволяющие заподозрить генетический синдром, злокачественный потенциал опухоли, выявленной методами КТ и/или МРТ, определяют показания к проведению радионуклидной диагностики. Последняя, как правило, не показана пациентам старше 40 лет без семейного анамнеза, при небольших феохромоцитомах (менее 3 см), преимущественно секретирующих метанефрин, с отрицательными генетическими тестами [14]. Метод особенно рекомендован для исключения метастатического поражения, при больших размерах опухоли (более 6 см), при выявленной генетической мутации (особенно SDHB).
Для визуализации нейроэндокринных опухолей используются радиофармпрепараты (РФП) на основе пептидных аналогов биологических гормонов, взаимодействующие с рецепторами на поверхности опухолевой клетки (агонисты соматостатиновых рецепторов), а также меченные радиоактивным изотопом предшественники аминов, внедряющиеся в клеточный метаболизм. Современные гибридные методы молекулярной визуализации (ОФЭКТ/КТ, ПЭТ/КТ, ПЭТ/МРТ) с использованием различных РФП (визуализация метаболизма катехоламинов, специфических рецепторов клеточной мембраны и транспортеров) позволяют осуществлять функционально-топическую диагностику ФХ/ПГ.
ПЭТ/КТ – основной метод диагностики/наблюдения нейроэндокринных опухолей, в частности наследственных и спорадических ФХ/ПГ. К примеру, ПЭТ/КТ с 18F-фтордезоксиглюкозой (18F-ФДГ) позволяет выявлять очаги с повышенным захватом глюкозы. Соответственно ПГ/ФХ с подтвержденными VHL- и SDHx-мутациями (кластер 1) показывают значительный захват 18F-ФДГ, тогда как с мутациями RET, NF1 (кластер 2) – низкий. Спорадические мутации представляют собой гетерогенную группу, в которой захват 18F-ФДГ зависит от вида мутации и вовлеченности внутриклеточных сигнальных путей.
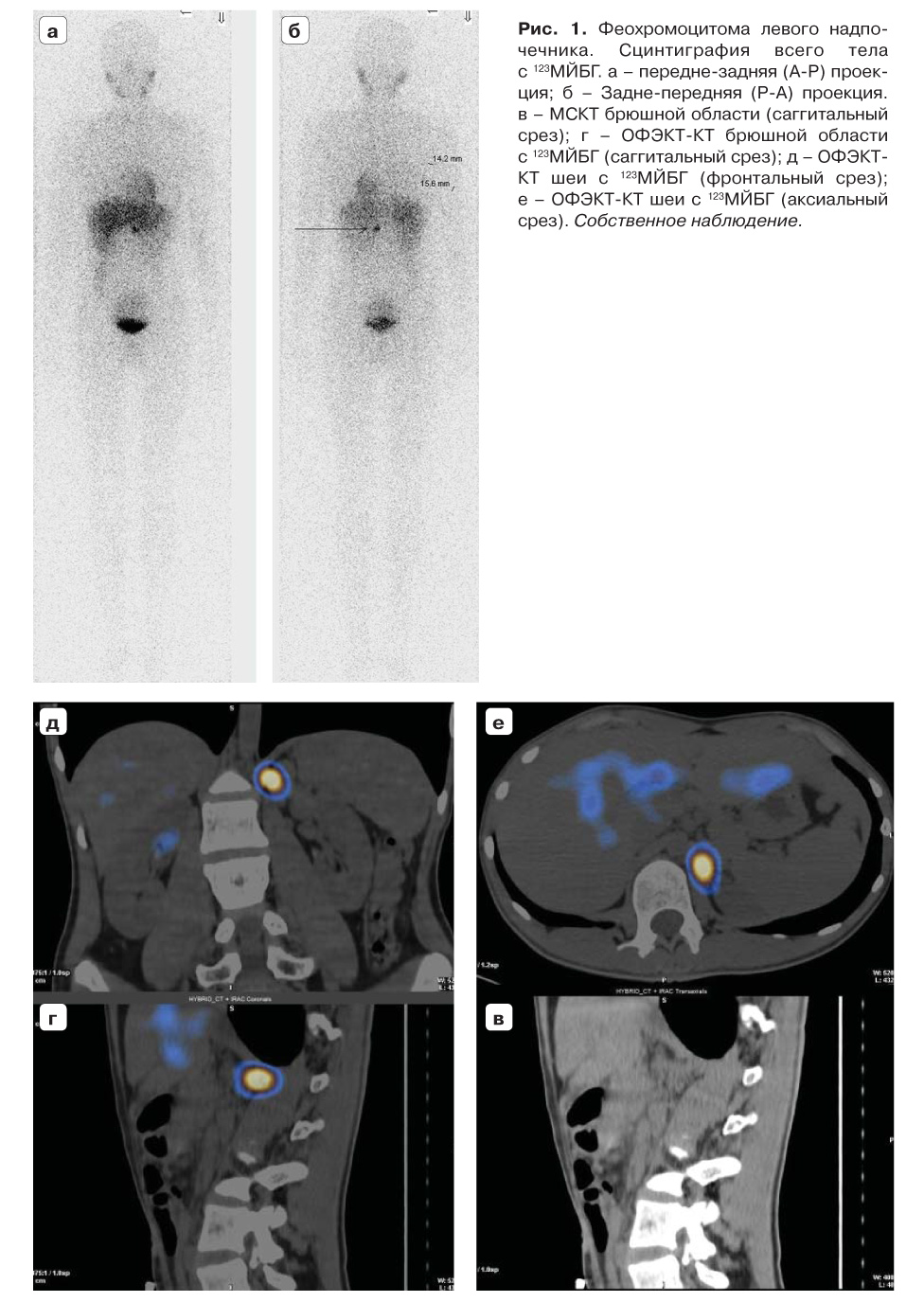
Для топической молекулярной визуализации параганглиом и феохромоцитом используется ОФЭКТ/КТ с 123I-МЙБГ. На рис. 1 демонстрируется собственный клинический случай феохромоцитомы левого надпочечника. На рис. 2 и 3 представленные собственные клинические случаи с локализацией опухоли на шее и в мочевом пузыре (встречается редко), соответственно.
Рис. 1. Феохромоцитома левого надпо- чечника. Сцинтиграфия всего тела с 123МЙБГ. а – передне-задняя (A-P) проек- ция; б – Задне-передняя (P-A) проекция. в – МСКТ брюшной области (саггитальный срез); г – ОФЭКТ-КТ брюшной области с 123МЙБГ (саггитальный срез); д – ОФЭКТ- КТ шеи с 123МЙБГ (фронтальный срез); е – ОФЭКТ-КТ шеи с 123МЙБГ (аксиальный срез). Собственное наблюдение.
Рис. 2. Параганглиома области верхнего симпатического ганглия шеи слева с метастазами. а – МСКТ шеи (сагги- тальный срез); б – ОФЭКТ-КТ шеи с 123МЙБГ (аксиальный срез); в – ОФЭКТ-КТ шеи с 123МЙБГ (фронтальный срез); г – ОФЭКТ-КТ шеи с 123МЙБГ (саггитальный срез). Собственное наблюдение.
Рис. 3. Параганглиома с локализацией в мочевом пузыре. а – МСКТ; б – сцинтиграфия всего тела с 123МЙБГ; в – ОФЭКТ-КТ с 123МЙБГ. Собственное наблюдение.
Высока чувствительность в диагностике ФХ метода ОФЭКТ/КТ с 123I-МЙБГ, однако для экстраадреналовых ПГ он обладает низкой чувствительностью (56–75%), равно как и в выявлении метастазов, особенно при SDHx-положительных опухолях. Кроме того, некоторые лекарственные препараты: опиоиды, трициклические антидепрессанты, антигипертензивные препараты (например, лабеталол) – могут влиять на захват МЙБГ, приводя к ложноотрицательным результатам. Данный метод полезен для отбора пациентов на радионуклидную терапию с 131I-МЙБГ (Azedra).
В настоящее время 18F-ФДГ рекомендована Американским обществом эндокринологов при подозрении на метастатическую ФХ/ПГ в связи с повышенным метаболизмом глюкозы злокачественной клеткой (эффект Варбурга). Есть исследования, показывающие, что 18F-ФДГ может пропускать метастазы, особенно в сравнении с агонистами соматостатиновых рецепторов (68Ga-DOTA-SSAs).
18F-флюородеоксифенилаланин (18F-Л-ДОФА, англ. 18F-L-DOPA) – аминокислотный аналог, захватываемый транспортером аминокислот L LAT-1 и -2, чувствительность диагностики зависит от вида генетического синдрома и биохимического типа феохромоцитомы(симпатический или парасимпатический). 18F-Л-ДОФА обладает повышенной чувствительностью для пациентов с параганглиомами головы и шеи, спорадическими ФХ и симпатическими ПГ, метастатическими ФХ/ПГ вне наследуемых синдромов, SDHD-мутациями, но может пропускать другие SDHx-мутации.
Биомаркеры из группы агонистов соматостатиновых рецепторов продемонстрировали перспективные результаты: в проспективном исследовании 22 пациентов точность 68Ga-DOTA-TATE в выявлении метастазов ФХ/ПГ достигает 97,6%, тогда как информативность ПЭТ/КТ (МРТ) с 18F-ФДГ, 18F-Л-ДОФА, 18F-ДА (фтордопамин, англ. 18F-DA) – 49,2, 74,8, 77,7, 81,6% соответственно (p < 0,01).
Соотношение между генотипом и молекулярной визуализацией с помощью ОФЭКТ и ПЭТ
На сегодняшний день известно, что ФХ/ПГ, относимые к кластеру 1 (псевдогипоксия), чувствительны к радиофармпрепаратам 18F-ФДГ, 18F-Л-ДОФА и 68Ga-DOTA-SSAs. Обычно SDHx-положительные опухоли проявляют повышенный захват глюкозы (эффект Варбурга), в связи с чем ПЭТ/КТ с 18F-ФДГ выглядит оптимальным методом диагностики [49].
ПЭТ/КТ с 18F-Л-ДОФА достигает 100%-й чувствительности в случае спорадических ФХ, для симпатических ПГ специфичность составляет 95%. В небольшом количестве исследований сравнивались ПЭТ/КТ с 18F-Л-ДОФА и 68Ga-DOTA-SSAs, в результате 68Ga-DOTA-SSAs обладал лучшей диагностической точностью для ПГ головы и шеи, в том числе у пациентов с SDHx-мутацией, в свою очередь 18F-Л-ДОФА – для спорадических ФХ (табл. 7, 8).
Таблица 7. Принципы выбора РФП и метода молекулярной визуализации хромаффинных опухолей
Таблица 8. Рекомендованный выбор радиофармпрепарата для визуализации ФХ/ПГ в зависимости от выявленной генетической мутации и биохимического фенотипа опухоли (EANM guidelines 2012) [72]
Заключение
Исследование генетических причин развития наследственных синдромов с ФХ/ПГ открыло новые возможности раннего выявления, персонализированной диагностики и лечения данной категории пациентов. Генетический “паспорт” хромаффинной опухоли позволяет подобрать индивидуально наиболее информативный алгоритм комплексной диагностики. В клинической практике биохимический фенотип опухоли, стадия, семейный анамнез и результаты рутинной лучевой диагностики (УЗИ, КТ, МРТ) позволяют подобрать оптимальное исследование для молекулярной визуализации (ОФЭКТ/ПЭТ). Выявление триггерной генетической мутации, лежащей в основе этиологии ФХ/ПГ, играет ключевую роль в оптимизации плана диагностики, лечения и динамического наблюдения пациента, что в совокупности улучшает прогноз для каждого пациента индивидуально.
Дополнительная информация
Конфликт интересов. Авторы декларируют отсутствие явных и потенциальных конфликтов интересов, связанных с публикацией настоящей статьи.
Источники финансирования. Поисково-аналитическая работа проведена при поддержке ФГБУ “НМИЦ эндокринологии” Минздрава России, а также в интересах Общества ядерной медицины и Ассоциации эндокринных хирургов.
Список литературы
1. McNeil AR, Blok BH, Koelmeyer TD, et al. Phaeochromocytomas discovered during coronial autopsies in Sydney, Melbourne and Auckland. Aust N Z J Med. 2000;30(6):648-652. doi: 10.1111/j.1445-5994.2000.tb04358.x.
2. Kopetschke R, Slisko M, Kilisli A, et al. Frequent incidental discovery of phaeochromocytoma: data from a German cohort of 201 phaeochromocytoma. Eur J Endocrinol. 2009;161(2):355-361. doi: 10.1530/EJE-09-0384.
3. Young WF, Jr. Management approaches to adrenal incidentalomas. A view from Rochester, Minnesota. Endocrinol Metab Clin North Am. 2000;29(1):159-185, x. doi: 10.1016/S0889-8529(05)70122-5.
4. Neumann HP, Bausch B, McWhinney SR, et al. Germ-line mutations in nonsyndromic pheochromocytoma. N Engl J Med. 2002;346(19):1459-1466. doi: 10.1056/NEJMoa020152.
5. Lam AK. Update on Adrenal Tumours in 2017 World Health Organization (WHO) of Endocrine Tumours. Endocr Pathol. 2017;28(3):213-227. doi: 10.1007/s12022-017-9484-5.
6. Lenders JW, Eisenhofer G, Mannelli M, Pacak K. Phaeochromocytoma. Lancet. 2005;366(9486):665-675. doi: 10.1016/S0140-6736(05)67139-5.
7. Pacak K, Linehan WM, Eisenhofer G, et al. Recent advances in genetics, diagnosis, localization, and treatment of pheochromocytoma. Ann Intern Med. 2001;134(4):315-329. doi: 10.7326/0003-4819-134-4-200102200-00016.
8. Whalen RK, Althausen AF, Daniels GH. Extra-adrenal pheochromocytoma. J Urol. 1992;147(1):1-10. doi: 10.1016/S0022-5347(17)37119-7.
9. Unsicker K, Huber K, Schober A, Kalcheim C. Resolved and open issues in chromaffin cell development. Mech Dev. 2013;130(6-8):324-329. doi: 10.1016/j.mod.2012.11.004.
10. Eisenhofer G, Lenders JW, Pacak K. Biochemical diagnosis of pheochromocytoma. Front Horm Res. 2004;31:76-106. doi: 10.1159/000074659.
11. Taieb D, Kaliski A, Boedeker CC, et al. Current approaches and recent developments in the management of head and neck paragangliomas. Endocr Rev. 2014;35(5):795-819. doi: 10.1210/er.2014-1026.
12. Erickson D, Kudva YC, Ebersold MJ, et al. Benign paragangliomas: clinical presentation and treatment outcomes in 236 patients. J Clin Endocrinol Metab. 2001;86(11):5210-5216. doi: 10.1210/jcem.86.11.8034.
13. Bravo EL, Tagle R. Pheochromocytoma: state-of-the-art and future prospects. Endocr Rev. 2003;24(4):539-553. doi: 10.1210/er.2002-0013.
14. Martucci VL, Pacak K. Pheochromocytoma and paraganglioma: diagnosis, genetics, management, and treatment. Curr Probl Cancer. 2014;38(1):7-41. doi: 10.1016/j.currproblcancer.2014.01.001.
15. Strong VE, Kennedy T, Al-Ahmadie H, et al. Prognostic indicators of malignancy in adrenal pheochromocytomas: clinical, histopathologic, and cell cycle/apoptosis gene expression analysis. Surgery. 2008;143(6):759-768. doi: 10.1016/j.surg.2008.02.007.
16. Ayala-Ramirez M, Feng L, Johnson MM, et al. Clinical risk factors for malignancy and overall survival in patients with pheochromocytomas and sympathetic paragangliomas: primary tumor size and primary tumor location as prognostic indicators. J Clin Endocrinol Metab.2011;96(3):717-725. doi: 10.1210/jc.2010-1946.
17. Eisenhofer G, Lenders JW, Siegert G, et al. Plasma methoxytyramine: a novel biomarker of metastatic pheochromocytoma and paraganglioma in relation to established risk factors of tumour size, location and SDHB mutation status. Eur J Cancer. 2012;48(11):1739-1749. doi: 10.1016/j.ejca.2011.07.016.
18. Leung K, Stamm M, Raja A, Low G. Pheochromocytoma: the range of appearances on ultrasound, CT, MRI, and functional imaging. AJR Am J Roentgenol. 2013;200(2):370-378. doi: 10.2214/AJR.12.9126.
19. Thompson LD. Pheochromocytoma of the Adrenal gland Scaled Score (PASS) to separate benign from malignant neoplasms: a clinicopathologic and immunophenotypic study of 100 cases. Am J Surg Pathol. 2002;26(5):551-566.
20. Takano A, Oriuchi N, Tsushima Y, et al. Detection of metastatic lesions from malignant pheochromocytoma and paraganglioma with diffusion-weighted magnetic resonance imaging: comparison with 18F-FDG positron emission tomography and 123I-MIBG scintigraphy. Ann Nucl Med.2008;22(5):395-401. doi: 10.1007/s12149-008-0128-1.
21. Dahia PL. Pheochromocytoma and paraganglioma pathogenesis: learning from genetic heterogeneity. Nat Rev Cancer. 2014;14(2):108-119. doi: 10.1038/nrc3648.
22. Cascon A, Inglada-Perez L, Comino-Mendez I, et al. Genetics of pheochromocytoma and paraganglioma in Spanish pediatric patients. Endocr Relat Cancer. 2013;20(3):L1-6. doi: 10.1530/ERC-12-0339.
23. Kaelin WG, Jr. The von Hippel-Lindau tumour suppressor protein: O2 sensing and cancer. Nat Rev Cancer. 2008; 8(11):865-873. doi: 10.1038/nrc2502.
24. Latif F, Tory K, Gnarra J, et al. Identification of the von Hippel-Lindau disease tumor suppressor gene. Science. 1993;260(5112):1317-1320. doi: 10.1126/science.8493574.
25. Gnarra JR, Tory K, Weng Y, et al. Mutations of the VHL tumour suppressor gene in renal carcinoma. Nat Genet. 1994;7(1):85-90. doi: 10.1038/ng0594-85.
26. Eisenhofer G, Huynh TT, Pacak K, et al. Distinct gene expression profiles in norepinephrine- and epinephrine-producing hereditary and sporadic pheochromocytomas: activation of hypoxia-driven angiogenic pathways in von Hippel-Lindau syndrome. Endocr Relat Cancer.2004;11(4):897-911. doi: 10.1677/erc.1.00838.
27. Gimm O, Koch CA, Januszewicz A, et al. The genetic basis of pheochromocytoma. Front Horm Res. 2004;31:45-60. doi: 10.1159/000074657.
28. Aufforth RD, Ramakant P, Sadowski SM, et al. Pheochromocytoma screening initiation and frequency in von Hippel-Lindau syndrome. J Clin Endocrinol Metab. 2015;100(12):4498-4504. doi: 10.1210/jc.2015-3045.
29. Lonser RR, Glenn GM, Walther M, et al. von Hippel-Lindau disease. Lancet. 2003;361(9374):2059-2067. doi: 10.1016/S0140-6736(03)13643-4.
30. Burnichon N, Vescovo L, Amar L, et al. Integrative genomic analysis reveals somatic mutations in pheochromocytoma and paraganglioma. Hum Mol Genet. 2011;20(20):3974-3985. doi: 10.1093/hmg/ddr324.
31. Raue F, Frank-Raue K. Update multiple endocrine neoplasia type 2. Fam Cancer. 2010;9(3):449-457. doi: 10.1007/s10689-010-9320-2.
32. Wells SA, Jr., Asa SL, Dralle H, et al. Revised American Thyroid Association guidelines for the management of medullary thyroid carcinoma. Thyroid. 2015;25(6):567-610. doi: 10.1089/thy.2014.0335.
33. Jain S, Encinas M, Johnson EM, Jr., Milbrandt J. Critical and distinct roles for key RET tyrosine docking sites in renal development. Genes Dev. 2006;20(3):321-333. doi: 10.1101/gad.1387206.
34. Milos IN, Frank-Raue K, Wohllk N, et al. Age-related neoplastic risk profiles and penetrance estimations in multiple endocrine neoplasia type 2A caused by germ line RET Cys634Trp (TGC>TGG) mutation. Endocr Relat Cancer. 2008;15(4):1035-1041. doi: 10.1677/ERC-08-0105.
35. Choi SK, Yoon SR, Calabrese P, Arnheim N. Positive selection for new disease mutations in the human germline: evidence from the heritable cancer syndrome multiple endocrine neoplasia type 2B. PLoS Genet. 2012;8(2):e1002420. doi: 10.1371/journal.pgen.1002420.
36. Waguespack SG, Rich T, Grubbs E, et al. A current review of the etiology, diagnosis, and treatment of pediatric pheochromocytoma and paraganglioma. J Clin Endocrinol Metab. 2010;95(5):2023-2037. doi: 10.1210/jc.2009-2830.
37. Boyd KP, Korf BR, Theos A. Neurofibromatosis type 1. J Am Acad Dermatol. 2009;61(1):1-14; quiz 15-16. doi: 10.1016/j.jaad.2008.12.051.
38. Fishbein L, Nathanson KL. Pheochromocytoma and paraganglioma: understanding the complexities of the genetic background. Cancer Genet. 2012;205(1-2):1-11. doi: 10.1016/j.cancergen.2012.01.009.
39. Hoekstra AS, Bayley JP. The role of complex II in disease. Biochim Biophys Acta. 2013;1827(5):543-551. doi: 10.1016/j.bbabio.2012.11.005.
40. Baysal BE, Ferrell RE, Willett-Brozick JE, et al. Mutations in SDHD, a mitochondrial complex II gene, in hereditary paraganglioma. Science. 2000;287(5454):848-851. doi: 10.1126/science.287.5454.848.
41. Neumann HP, Pawlu C, Peczkowska M, et al. Distinct clinical features of paraganglioma syndromes associated with SDHB and SDHD gene mutations. JAMA. 2004;292(8):943-951. doi: 10.1001/jama.292.8.943.
42. Burnichon N, Rohmer V, Amar L, et al. The succinate dehydrogenase genetic testing in a large prospective series of patients with paragangliomas. J Clin Endocrinol Metab. 2009;94(8):2817-2827. doi: 10.1210/jc.2008-2504.
43. Lenders JW, Duh QY, Eisenhofer G, et al. Pheochromocytoma and paraganglioma: an endocrine society clinical practice guideline. J Clin Endocrinol Metab. 2014;99(6):1915-1942. doi: 10.1210/jc.2014-1498.
44. Castro-Vega LJ, Buffet A, De Cubas AA, et al. Germline mutations in FH confer predisposition to malignant pheochromocytomas and paragangliomas. Hum Mol Genet. 2014;23(9): 2440-2446. doi: 10.1093/hmg/ddt639.
45. Yao L, Schiavi F, Cascon A, et al. Spectrum and prevalence of FP/TMEM127 gene mutations in pheochromocytomas and paragangliomas. JAMA. 2010;304(23):2611-2619. doi: 10.1001/jama.2010.1830.
46. Neumann HP, Sullivan M, Winter A, et al. Germline mutations of the TMEM127 gene in patients with paraganglioma of head and neck and extraadrenal abdominal sites. J Clin Endocrinol Metab. 2011;96(8):E1279-1282. doi: 10.1210/jc.2011-0114.
47. Comino-Mendez I, Gracia-Aznarez FJ, Schiavi F, et al. Exome sequencing identifies MAX mutations as a cause of hereditary pheochromocytoma. Nat Genet. 2011;43(7): 663-667. doi: 10.1038/ng.861.
48. Burnichon N, Cascon A, Schiavi F, et al. MAX mutations cause hereditary and sporadic pheochromocytoma and paraganglioma. Clin Cancer Res. 2012;18(10):2828-2837. doi: 10.1158/1078-0432.CCR-12-0160.
49. Burnichon N, Buffet A, Parfait B, et al. Somatic NF1 inactivation is a frequent event in sporadic pheochromocytoma. Hum Mol Genet. 2012;21(26):5397-5405. doi: 10.1093/hmg/dds374.
50. Welander J, Larsson C, Backdahl M, et al. Integrative genomics reveals frequent somatic NF1 mutations in sporadic pheochromocytomas. Hum Mol Genet. 2012;21(26):5406-5416. doi: 10.1093/hmg/dds402.
51. Eisenhofer G, Lenders JW, Goldstein DS, et al. Pheochromocytoma catecholamine phenotypes and prediction of tumor size and location by use of plasma free metanephrines. Clin Chem. 2005;51(4):735-744. doi: 10.1373/clinchem.2004.045484.
52. Kantorovich V, Pacak K. A new concept of unopposed beta-adrenergic overstimulation in a patient with pheochromocytoma. Ann Intern Med. 2005;142(12 Pt 1):1026-1028. doi: 10.7326/0003-4819-142-12_Part_1-200506210-00023.
53. Olson SW, Deal LE, Piesman M. Epinephrine-secreting pheochromocytoma presenting with cardiogenic shock and profound hypocalcemia. Ann Intern Med. 2004;140(10):849-851. doi: 10.7326/0003-4819-140-10-200405180-00033.
54. Van Der Horst-Schrivers AN, Osinga TE, Kema IP, et al. Dopamine excess in patients with head and neck paragangliomas. Anticancer Res. 2010;30(12):5153-5158.
55. Crona J, Taieb D, Pacak K. New perspectives on pheochromocytoma and paraganglioma: toward a molecular classification. Endocr Rev. 2017;38(6):489-515. doi: 10.1210/er.2017-00062.
56. Darr R, Kuhn M, Bode C, et al. Accuracy of recommended sampling and assay methods for the determination of plasma-free and urinary fractionated metanephrines in the diagnosis of pheochromocytoma and paraganglioma: a systematic review. Endocrine. 2017;56(3):495-503. doi: 10.1007/s12020-017-1300-y.
57. Eisenhofer G, Goldstein DS, Sullivan P, et al. Biochemical and clinical manifestations of dopamine-producing paragangliomas: utility of plasma methoxytyramine. J Clin Endocrinol Metab. 2005;90(4):2068-2075. doi: 10.1210/jc.2004-2025.
58. Eisenhofer G, Peitzsch M. Laboratory evaluation of pheochromocytoma and paraganglioma. Clin Chem. 2014;60(12): 1486-1499. doi: 10.1373/clinchem.2014.224832.
59. Jasperson KW, Kohlmann W, Gammon A, et al. Role of rapid sequence whole-body MRI screening in SDH-associated hereditary paraganglioma families. Fam Cancer. 2014;13(2): 257-265. doi: 10.1007/s10689-013-9639-6.
60. Ilias I, Pacak K. Current approaches and recommended algorithm for the diagnostic localization of pheochromocytoma. J Clin Endocrinol Metab. 2004;89(2):479-491. doi: 10.1210/jc.2003-031091.
61. Ilias I, Pacak K. Diagnosis, localization and treatment of pheochromocytoma in MEN 2 syndrome. Endocr Regul. 2009;43(2):89-93. doi: 10.4149/endo_2009_02_89.
62. Park BK, Kim CK, Kwon GY, Kim JH. Re-evaluation of pheochromocytomas on delayed contrast-enhanced CT: washout enhancement and other imaging features. Eur Radiol. 2007;17(11):2804-2809. doi: 10.1007/s00330-007-0695-x.
63. Northcutt BG, Raman SP, Long C, et al. MDCT of adrenal masses: Can dual-phase enhancement patterns be used to differentiate adenoma and pheochromocytoma? AJR Am J Roentgenol. 2013;201(4):834-839. doi: 10.2214/AJR.12.9753.
64. Alderazi Y, Yeh MW, Robinson BG, et al. Phaeochromocytoma: current concepts. Med J Aust. 2005;183(4):201-204.
65. Quint LE, Glazer GM, Francis IR, et al. Pheochromocytoma and paraganglioma: comparison of MR imaging with CT and I-131 MIBG scintigraphy. Radiology. 1987;165(1):89-93. doi: 10.1148/radiology.165.1.3628794.
66. Velchik MG, Alavi A, Kressel HY, Engelman K. Localization of pheochromocytoma: MIBG [correction of MIGB], CT, and MRI correlation. J Nucl Med. 1989;30(3):328-336.
67. Sahdev A, Sohaib A, Monson JP, et al. CT and MR imaging of unusual locations of extra-adrenal paragangliomas (pheochromocytomas). Eur Radiol. 2005;15(1):85-92. doi: 10.1007/s00330-004-2412-3.
68. Varghese JC, Hahn PF, Papanicolaou N, et al. MR differentiation of phaeochromocytoma from other adrenal lesions based on qualitative analysis of T2 relaxation times. Clin Radiol. 1997; 52(8):603-606. doi: 10.1016/S0009-9260(97)80252-8.
69. Jalil ND, Pattou FN, Combemale F, et al. Effectiveness and limits of preoperative imaging studies for the localisation of pheochromocytomas and paragangliomas: a review of 282 cases. French Association of Surgery (AFC), and The French Association of Endocrine Surgeons (AFCE). Eur J Surg. 1998;164(1):23-28. doi: 10.1080/110241598750004913.
70. Mayo-Smith WW, Lee MJ, McNicholas MM, et al. Characterization of adrenal masses (< 5 cm) by use of chemical shift MR imaging: observer performance versus quantitative measures. AJR Am J Roentgenol. 1995;165(1):91-95. doi: 10.2214/ajr.165.1.7785642.
71. Pacak K, Eisenhofer G, Ahlman H, et al. Pheochromocytoma: recommendations for clinical practice from the First International Symposium. October 2005. Nat Clin Pract Endocrinol Metab. 2007;3(2):92-102. doi: 10.1038/ncpendmet0396.
72. Taieb D, Timmers H, Hindie E, et al. EANM 2012 guidelines for radionuclide imaging of phaeochromocytoma and paraganglioma. Eur J Nucl Med Mol Imaging. 2012;39:1977-1995. doi: 10.1007/s00259-012-2215-8.
Об авторах
Павел Олегович РумянцевФГБУ “Национальный медицинский исследовательский центр эндокринологии” Минздрава России
Россия
доктор медицинских наук, заместитель директора, зав. отделом радионуклидной диагностики и терапии
Диана Ринатовна Языкова
ФКУ “Центральный военный клинический госпиталь им. П.В. Мандрыка” Министерства обороны Российской Федерации
Россия
зав.кабинетом, врач-эндокринолог
Константин Юрьевич Слащук
ФГБУ “Национальный медицинский исследовательский центр эндокринологии” Минздрава России
Россия
Отдел радионуклидной диагностики и терапии, врач-эндокринолог
Михаил Владимирович Дегтярев
ФГБУ “Национальный медицинский исследовательский центр эндокринологии” Минздрава России
Россия
врач-радиолог, отдел радионуклидной диагностики и терапии
Валентина Сергеевна Ясюченя
ФГБУ “Национальный медицинский исследовательский центр эндокринологии” Минздрава России
Россия
врач-эндокринолог, отдел радионуклидной диагностики и терапии
Сергей Сергеевич Серженко
ФГБУ “Национальный медицинский исследовательский центр эндокринологии” Минздрава России
Россия
врач-рентгенолог, отдел радионуклидной диагностики и терапии
Марина Сергеевна Шеремета
ФГБУ “Национальный медицинский исследовательский центр эндокринологии” Минздрава России
Россия
кандидат медицинских наук, заведующая отделением радионуклидной терапии
Иван Иванович Дедов
ФГБУ “Национальный медицинский исследовательский центр эндокринологии” Минздрава России
Россия
Академик РАН, директор
Дополнительные файлы
|
1. Рисунки к статье | |
| Тема | ||
| Тип | Исследовательские инструменты | |
Скачать
(2MB)
|
Метаданные ▾ | |
|
|
2. Таблица 1. Клинические симптомы ФХ и ПГ | |
| Тема | ||
| Тип | Исследовательские инструменты | |
Посмотреть
(144KB)
|
Метаданные ▾ | |
|
|
3. Таблица 2. Риск возникновения ФХ при различных вариантах мутации гена VHL | |
| Тема | ||
| Тип | Исследовательские инструменты | |
Посмотреть
(70KB)
|
Метаданные ▾ | |
|
|
4. Таблица 3. Клинико-биохимический фенотип болезни VHL | |
| Тема | ||
| Тип | Исследовательские инструменты | |
Посмотреть
(145KB)
|
Метаданные ▾ | |
|
|
5. Таблица 4. Классификация синдромов МЭН-2 по проявлению феохромоцитомы | |
| Тема | ||
| Тип | Исследовательские инструменты | |
Посмотреть
(123KB)
|
Метаданные ▾ | |
|
|
6. Таблица 5. Клинико-генетическая характеристика синдрома МЭН-2 | |
| Тема | ||
| Тип | Исследовательские инструменты | |
Посмотреть
(138KB)
|
Метаданные ▾ | |
|
|
7. Таблица 6. Клинико-генетическая характеристика наследственных синдромов с развитием параганглиом | |
| Тема | ||
| Тип | Исследовательские инструменты | |
Посмотреть
(437KB)
|
Метаданные ▾ | |
|
|
8. Рис. 1. Феохромоцитома левого надпо- чечника. Сцинтиграфия всего тела с 123МЙБГ. а – передне-задняя (A-P) проек- ция; б – Задне-передняя (P-A) проекция. в – МСКТ брюшной области (саггитальный срез); г – ОФЭКТ-КТ брюшной области с 123МЙБГ (саггитальный срез); д – ОФЭКТ- КТ шеи с 123МЙБГ (фронтальный срез); е – ОФЭКТ-КТ шеи с 123МЙБГ (аксиальный срез). Собственное наблюдение. | |
| Тема | ||
| Тип | Исследовательские инструменты | |
Посмотреть
(393KB)
|
Метаданные ▾ | |
|
|
9. Рис. 2. Параганглиома области верхнего симпатического ганглия шеи слева с метастазами. а – МСКТ шеи (сагги- тальный срез); б – ОФЭКТ-КТ шеи с 123МЙБГ (аксиальный срез); в – ОФЭКТ-КТ шеи с 123МЙБГ (фронтальный срез); г – ОФЭКТ-КТ шеи с 123МЙБГ (саггитальный срез). Собственное наблюдение. | |
| Тема | ||
| Тип | Исследовательские инструменты | |
Посмотреть
(230KB)
|
Метаданные ▾ | |
|
|
10. Рис. 3. Параганглиома с локализацией в мочевом пузыре. а – МСКТ; б – сцинтиграфия всего тела с 123МЙБГ; в – ОФЭКТ-КТ с 123МЙБГ. Собственное наблюдение. | |
| Тема | ||
| Тип | Исследовательские инструменты | |
Посмотреть
(216KB)
|
Метаданные ▾ | |
|
|
11. Таблица 7. Принципы выбора РФП и метода молекулярной визуализации хромаффинных опухолей | |
| Тема | ||
| Тип | Исследовательские инструменты | |
Посмотреть
(255KB)
|
Метаданные ▾ | |
|
|
12. Таблица 8. Рекомендованный выбор радиофармпрепарата для визуализации ФХ/ПГ в зависимости от выявленной генетической мутации и биохимического фенотипа опухоли (EANM guidelines 2012) [72] | |
| Тема | ||
| Тип | Исследовательские инструменты | |
Посмотреть
(526KB)
|
Метаданные ▾ | |
Рецензия
Для цитирования:
Румянцев П.О., Языкова Д.Р., Слащук К.Ю., Дегтярев М.В., Ясюченя В.С., Серженко С.С., Шеремета М.С., Дедов И.И. Персонализированная диагностика хромаффинных опухолей (феохромоцитома, параганглиома) в онкоэндокринологии. Эндокринная хирургия. 2018;12(1):19-39. https://doi.org/10.14341/serg9731
For citation:
Rumyantsev P.O., Yazykova D.R., Slashchuk K.Y., Degtyarev M.V., Yasyuchenya V.S., Serzhenko S.S., Sheremeta M.S., Dedov I.I. Personalized diagnostics of chromaffin tumors (pheochromocytoma, paraganglioma) in oncoendocrinology. Endocrine Surgery. 2018;12(1):19-39. (In Russ.) https://doi.org/10.14341/serg9731
Контент доступен под лицензией Creative Commons Attribution-NonCommercial-NoDerivatives 4.0 International License (CC BY-NC-ND 4.0).




































