Перейти к:
Хирургическое лечение пациентки с нейроэндокринной опухолью легкого, ассоциированной с АКТГ-эктопическим синдромом: клинический случай
https://doi.org/10.14341/serg9766
Аннотация
Среди первичных новообразований легких доля нейроэндокринных опухолей составляет до 20–25%. Согласно базе данных Surveillance Epidemiology and End Results (SEER), с 1970 г. отмечен значительный рост диагностики первичных карциноидных опухолей разныхорганов с максимальным приростом заболеваемости в группе бронхолегочной локализации. Карциноидные опухоли легкого составляют приблизительно 2% от всех первичных опухолей легких, но только 5% этих образований связаны с продукцией АКТГ.
Несмотря на выраженность клинических проявлений и быстрое прогрессирование симптомов гиперкортицизма, топическая диагностика АКТГ-эктопического синдрома зачастую вызывает определенные затруднения. Сложность диагностики эктопированных опухолейсвязана с тем, что большая часть этих образований имеет столь малые размеры, что они могут быть пропущены при стандартных методиках исследования (рентгенография, УЗИ, МСКТ или МРТ). После постановки диагноза АКТГ-эктопического синдрома единственнымоптимальным методом патогенетической терапии является радикальное удаление опухоли, которое приводит к нормализации функции коры надпочечников и ликвидации гиперкортицизма. Однако достижение этой цели во многих случаях затруднено из-за позднейтопической диагностики, распространенности опухолевого процесса и обширного метастазирования.
В работе представлено клиническое наблюдение пациентки с диагнозом “нейроэндокринная опухоль легкого с АКТГ-эктопическим синдромом”. Описаны значимость мультидисциплинарного подхода, сложности дифференциальной диагностики, особенностипериоперационного периода и отдаленные результаты лечения.
Ключевые слова
Для цитирования:
Пикунов М.Ю., Печетов А.А., Есаков Ю.С., Леднев А.Н. Хирургическое лечение пациентки с нейроэндокринной опухолью легкого, ассоциированной с АКТГ-эктопическим синдромом: клинический случай. Эндокринная хирургия. 2018;12(2):96-101. https://doi.org/10.14341/serg9766
For citation:
Pikunov M.Y., Pechetov A.A., Esakov Yu.S., Lednev A.N. Surgical treatment for the patient with the neuroendocrine lung tumor associated with ectopic ACTH-secretion syndrome: case report. Endocrine Surgery. 2018;12(2):96-101. (In Russ.) https://doi.org/10.14341/serg9766
Актуальность
Нейроэндокринные опухоли (НЭО) – группа гетерогенных новообразований, происходящих из клеток диффузной эндокринной системы (нейроэндокринных клеток Кульчицкого) и обладающих рядом общих биологических свойств [1]. Наиболее часто нейроэндокринные опухоли локализованы в органах желудочно-кишечного тракта (прямая кишка, тонкий кишечник, поджелудочная железа и др.). Согласно базе данных “Скрининг, эпидемиология и заключительные результаты” (SEER) Национального онкологического института, в течение 15 лет произошло значительное увеличение заболеваемости нейроэндокринными опухолями различных органов, причем наибольший рост отмечен для новообразований бронхолегочной локализации, доля которых составляет до 30% [2]. Группа нейроэндокринных опухолей бронхолегочной локализации разнообразна по потенциалу злокачественности и прогнозу. Согласно классификации ВОЗ от 2015 г., выделяют четыре гистологических варианта НЭО легких: типичный карциноид, атипичный карциноид, крупноклеточная нейроэндокринная опухоль и мелкоклеточный рак легких [3, 4].
Гормонально активные новообразования, ассоциированные с различными паранеопластическими синдромами (Кушинга, карциноидным, акромегалией, миастеническим, Ламберта–Итона и др.), диагностируют не более чем в 5% среди всех НЭО [5]. Лидирующее место среди НЭО-активных новообразований бронхолегочной локализации занимает АКТГ-эктопический синдром (2%), для которого характерно развитие эндогенного гиперкортицизма с клинической картиной синдрома Иценко–Кушинга [6].
В настоящей работе представлено клиническое наблюдение пациентки с НЭО бронхолегочной локализации, ассоциированной с АКТГ-эктопическим синдромом.
Описание случая
Пациентка Н. 31 года обратилась к терапевту с жалобами на мышечную слабость, эпизоды повышения артериального давления до 200/100 мм рт.ст., учащенное сердцебиение, нарушение менструального цикла, прибавку в весе в течение последних двух лет. При обследовании в эндокринологическом отделении у пациентки выявлен эндогенный гиперкортицизм (таблица).
Результаты эндокринологических лабораторных испытаний
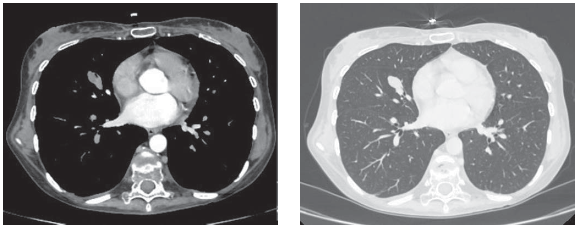
По данным МРТ головного мозга данных о наличии аденомы гипофиза не получено. В ходе дальнейшего диагностического поиска по результатам большой дексаметазоновой пробы установлен эктопический характер продукции АКТГ. При заборе крови из нижних каменистых синусов была подтверждена эктопическая продукция АКТГ. По данным МСКТ органов грудной клетки и брюшной полости с контрастированием выявлено новообразование в средней доле (S5) правого легкого неправильной округлой формы с нечеткими контурами, расположенное по ходу субсегментарного бронха, размерами 21,8 × 13 × 13 мм, неравномерно накапливающее контрастное вещество до 48 ед.Н. Медиастинальной лимфоаденопатии нет (рис. 1). При ФГДС и колоноскопии опухолевых новообразований не выявлено.
Рис. 1. МСКТ органов грудной клетки пациентки Н. с контрастным усилением.
Пациентка госпитализирована в отделение торакальной хирургии с диагнозом: нейроэндокринная опухоль средней доли правого легкого c T1bN0M0. АКТГ-эктопический синдром.
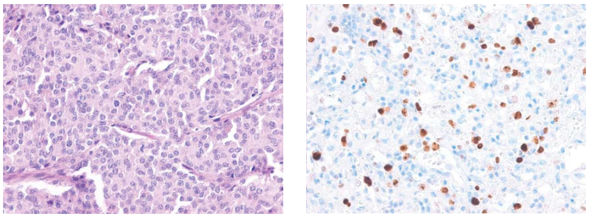
Выполнена видеоассистированная краевая резекция средней доли правого легкого. При срочном морфологическом исследовании картина нейроэндокринной опухоли солидно-альвеолярного строения. Определяется два митоза в одном поле зрения. Окончательный объем операции – видеоассистированная средняя лобэктомия справа, медиастинальная лимфаденэктомия. По данным планового морфологического и иммуногистохимического исследования – морфологическая картина атипичного карциноида легкого размерами 2,2 × 1,2 × 1 см. Количество митозов – 1 в 10 полях зрения при увеличении 400 (2 мм кВ). ИП Ki67 – 20%; pT1pN0(0/23)cM0;R0;L0,V0 (рис. 2).
Рис. 2. Слева: микропрепарат удаленной нейроэндокринной опухоли солидно-трабекулярного строения, два митоза в одном поле зрения (окраска гематоксилином и эозином, ×400). Справа: иммуногистохимическое исследование удаленной нейроэндокринной опухоли, реакция с антителом к Ki-67 (клон SP6, Cell Marque), индекс Ki67 около 15% (ДАБ, гематоксилин, ×400).
Кортизол периферической крови достиг уровня референсных значений в течение первого часа после операции. Динамика уровня кортизола в периоперационном периоде представлена на диаграмме (рис. 3).
Рис. 3. Периоперационная динамика уровня кортизола периферической крови.
Пациентка активизирована на вторые сутки после операции. С целью предупреждения развития острой надпочечниковой недостаточности в послеоперационном периоде проводилась заместительная гормональная терапия (гидрокортизон).
При контрольном обследовании через 6 мес пациентка отмечает значимое субъективное улучшение общего самочувствия – отсутствие подъемов артериального давления, снижение веса и нормализацию менструального цикла. Уровень утреннего кортизола через 6 мес после операции – 250 нмоль/л. Внешний вид пациентки до и после хирургического лечения представлен на рис. 4.
Рис. 4. Внешний вид пациентки до операции и спустя 6 мес.
Обсуждение
Связь между мелкоклеточным раком легкого и синдромом Кушинга впервые была обнаружена в 1928 г. Определение этой болезни как синдрома описано в работе C.K. Meador и соавт., которые в 1962 г. продемонстрировали биологическую активность АКТГ при карциноидных опухолях легких [7]. Данные новообразования характеризуются отсутствием взаимосвязи с курением в отличие от рака легкого [8, 9].
Карциноидные опухоли легких возникают из нейроэндокринных клеток Кульчицкого, локализованных в слизистой оболочке бронхиального дерева, и составляют от 2 до 5% всех первичных злокачественных заболеваний легких, эктопическая гиперсекреция АКТГ происходит только у 0,5–2% этих новообразований [10, 11]. Эктопический источник АКТГ расположен в легком более чем в 45% опухолей различной локализации [12, 13]. Тимус (11%) и поджелудочная железа (8%) являются следующими наиболее распространенными органами, где могут возникать нейроэндокринные опухоли с АКТГ-эктопическим синдромом. У пациентов с АКТГ-эктопическим синдромом концентрация кортизола и скорости его секреции могут достигать свыше 2000 нмоль/л. В представленном клиническом наблюдении диагноз был установлен спустя 2 года после манифестации синдрома Иценко–Кушинга.
Диагностика АКТГ-эктопического синдрома часто представляет определенные трудности в проведении дифференциального диагноза у клиницистов. Селективный забор крови из нижних каменистых синусов считается методом выбора при проведении дифференциальной диагностики. Раннее обнаружение и удаление гормонопродуцирующей опухоли позволяет избежать вынужденной двусторонней адреналэктомии и снижает риск прогрессирования заболевания. При подтверждении АКТГ-эктопического синдрома в стандарты топической диагностики входит выполнение МРТ головного мозга, МСКТ брюшной полости и грудной клетки с контрастным усилением, ФГДС, колоноскопии. Основным методом лечения локализованных форм карциноидных опухолей бронхолегочной локализации является хирургический [14]. Характер и объем операции несколько отличаются от таковых при раке легкого, предпочтение отдается выполнению органосохраняющих операций типа сегментэктомии, бисегментэктомии, лобэктомии, резекции легких с бронхопластическими этапами. Метастазирование в лимфатические узлы группы N1 при типичных карциноидах встречается примерно в 4–5% случаев, поражение N2 описано в единичных наблюдениях, однако нет сомнений относительно необходимости выполнения медиастинальной лимфаденэктомии[15, 16].
В последнее время дискутабельным остается вопрос целесообразности выполнения сублобарных анатомических резекций при опухоли диаметром менее 2 см. Ввиду относительной редкости карциноидов легких отсутствуют крупные многоцентровые исследования, однозначно подтверждающие или опровергающие такой подход. В данной ситуации нам представляется возможным экстраполировать результаты аналогичных исследований при неметастатическом раке легкого (НМРЛ) [17, 18], свидетельствующие о возможности выполнения сублобарных резекций без ущерба онкологическому радикализму при образованиях менее 2 см в диаметре, а также имеющие функциональные преимущества в раннем и отдаленном послеоперационном периоде по данным ряда исследований [18, 19].
В послеоперационном периоде у пациентов с АКТГ-эктопическим синдромом необходим динамический контроль уровня кортизола крови для раннего выявления и коррекции симптомов надпочечниковой недостаточности вследствие компенсаторной атрофии и неполноценной работы надпочечников.
Заключение
Карциноидные опухоли бронхолегочной локализации – медленнорастущие новообразования, характеризующиеся относительно благоприятным прогнозом, при условии своевременного радикального хирургического лечения. Нейроэндокринные опухоли легких – наиболее распространенная причина АКТГ-эктопического синдрома. Топический поиск очага при установленном АКТГ-эктопическом синдроме до настоящего времени остается сложной задачей, лежащей в области интересов врачей разных специальностей.
Основным методом лечения карциноидных опухолей легких является хирургический. Анатомическая резекция легкого (лобэктомия, сегментэктомия, бисегментэктомия) с медиастинальной лимфодиссекцией – операция выбора при карциноидных опухолях легкого вне зависимости от степени дифференцировки. Последнее время в различных исследованиях часто обсуждается возможность выполнения сублобарных резекций при ранних формах НМРЛ (размере первичного очага менее 2 см и отсутствии медиастинальной лимфаденопатии). Проведение подобных исследований в отношении новообразований с меньшим потенциалом злокачественности, таких как НЭО, остается перспективным направлением в развитии торакальной хирургии.
Дополнительная информация
Источник финансирования. Подготовка и публикация статьи осуществлены на личные средства авторского коллектива.
Согласие пациента. Пациентка добровольно подписала информированное согласие на публикацию своих медицинских данных в журнале “Эндокринная хирургия”.
Конфликт интересов. Авторы декларируют отсутствие конфликта интересов, связанных с публикацией настоящей статьи, о которых следовало бы сообщить.
Благодарности. Огромная благодарность сотрудникам патологоанатомического отделения Института хирургии им. А.В. Вишневского за сотрудничество и предоставленный материал.
Список литературы
1. Paladugu RR, Benfield JR, Pak HY, et al. Bronchopulmonary Kulchitzky cell carcinomas. A new classification scheme for typical and atypical carcinoids. Cancer. 1985;55(6):1303-1311. doi: 10.1002/1097-0142(19850315)55:6<1303::aid-cncr2820550625>3.0.co;2-a.
2. Travis W, Brambilla E, Burke A, et al. WHO Classification of Tumours of the Lung, Pleura, Thymus and Heart. 4th ed. Lyon: IARC Press; 2015.
3. Travis WD, Brambilla E, Nicholson AG, et al. The 2015 World Health Organization Classification of Lung Tumors: Impact of Genetic, Clinical and Radiologic Advances Since the 2004 Classification. J Thorac Oncol. 2015;10(9):1243-1260. doi: 10.1097/JTO.0000000000000630/
4. Тер-Ованесов М.Д., Полоцкий Б.Е. Карциноидные опухоли торакальной локализации – современное состояние проблемы. // Проблемы туберкулеза и болезней легких. – 2005. – Т. 6. – №4. – С. 220-226. [Ter-Ovanesov M.D., Polotskiy B.E. Kartsinoidnye opukholitorakal'noy lokalizatsii – sovremennoe sostoyanie problemy. Probl Tuberk Bolezn Legk. 2005;6(4):220-226. (In Russ.)]
5. Чекини А.С. Нейроэндокринные опухоли легких (карциноиды) и тимуса: Дис. … канд. мед. наук. – М.; 2012. [Chekini AS. Neyroendokrinnye opukholi legkikh (kartsinoidy) i timusa. Moscow; 2012. (In Russ.)]
6. Meador CK, Liddle GW, Island DP, et al. Cause of Cushing's syndrome in patients with tumors arising from “nonendocrine” tissue. J Clin Endocrinol Metab. 1962;22:693-703. doi: 10.1210/jcem-22-7-693.
7. Fink G, Krelbaum T, Yellin A, et al. Pulmonary carcinoid: presentation, diagnosis, and outcome in 142 cases in Israel and review of 640 cases from the literature. Chest. 2001; 119(6):1647-1651. doi: 10.1378/chest.119.6.1647.
8. Gustafsson BI, Kidd M, Chan A, et al. Bronchopulmonary neuroendocrine tumors. Cancer. 2008;113(1):5-21. doi: 10.1002/cncr.23542.
9. Deb SJ, Nichols FC, Allen MS, et al. Pulmonary carcinoid tumors with Cushing's syndrome: an aggressive variant or not? Ann Thorac Surg. 2005;79(4):1132-1136; discussion 1132-1136. doi: 10.1016/j.athoracsur.2004.07.021.
10. Ilias I, Torpy DJ, Pacak K, et al. Cushing's syndrome due to ectopic corticotropin secretion: twenty years' experience at the National Institutes of Health. J Clin Endocrinol Metab. 2005;90(8):4955-4962. doi: 10.1210/jc.2004-2527.
11. Isidori AM, Kaltsas GA, Pozza C, et al. The ectopic adrenocorticotropin syndrome: clinical features, diagnosis, management, and long-term follow-up. J Clin Endocrinol Metab. 2006;91(2):371-377. doi: 10.1210/jc.2005-1542.
12. Scanagatta P, Montresor E, Pergher S, et al. Cushing's syndrome induced by bronchopulmonary carcinoid tumours: a review of 98 cases and our experience of two cases. Chir Ital. 2004;56(1):63-70.
13. Isidori AM, Lenzi A. Ectopic ACTH syndrome. Arq Bras Endocrinol Metabol. 2007;51(8):1217-1225. doi: 10.1590/s0004-27302007000800007.
14. Cardillo G, Sera F, Di Martino M, et al. Bronchial carcinoid tumors: nodal status and long-term survival after resection. Ann Thorac Surg. 2004;77(5):1781-1785. doi: 10.1016/j.athoracsur.2003.10.089.
15. Oberg K, Hellman P, Ferolla P, et al. Neuroendocrine bronchial and thymic tumors: ESMO Clinical Practice Guidelines for diagnosis, treatment and follow-up. Ann Oncol. 2012; 23 Suppl 7:vii120-123. doi: 10.1093/annonc/mds267.
16. Villamizar N, Swanson SJ. Lobectomy vs. segmentectomy for NSCLC (T<2 cm). Ann Cardiothorac Surg. 2014;3(2): 160-166. doi: 10.3978/j.issn.2225-319X.2014.02.11.
17. Okada M, Mimae T, Tsutani Y, et al. Segmentectomy versus lobectomy for clinical stage IA lung adenocarcinoma. Ann Cardiothorac Surg. 2014;3(2):153-159. doi: 10.3978/j.issn.2225-319X.2014.02.10.
18. Okada M, Koike T, Higashiyama M, et al. Radical sublobar resection for small-sized non-small cell lung cancer: a multicenter study. J Thorac Cardiovasc Surg. 2006;132(4): 769-775. doi: 10.1016/j.jtcvs.2006.02.063.
19. Saito H, Nakagawa T, Ito M, et al. Pulmonary function after lobectomy versus segmentectomy in patients with stage I non-small cell lung cancer. World J Surg. 2014;38(8):2025-2031. doi: 10.1007/s00268-014-2521-3.
Об авторах
Михаил Юрьевич ПикуновФГБУ НМИЦ “Институт хирургии им. А.В. Вишневского” Минздрава России
Россия
к.м.н.
Конфликт интересов:
Нет конфликта интеерсов, о котором следует сообщить.
Алексей Александрович Печетов
ФГБУ НМИЦ “Институт хирургии им. А.В. Вишневского” Минздрава России
Россия
к.м.н.
Конфликт интересов:
Нет конфликта интеерсов, о котором следует сообщить.
Юрий Сергеевич Есаков
ФГБУ НМИЦ “Институт хирургии им. А.В. Вишневского” Минздрава России
Россия
к.м.н.
Конфликт интересов:
Нет конфликта интеерсов, о котором следует сообщить.
Алексей Николаевич Леднев
ФГБУ НМИЦ “Институт хирургии им. А.В. Вишневского” Минздрава России
Россия
Конфликт интересов:
Нет конфликта интеерсов, о котором следует сообщить.
Дополнительные файлы
|
|
1. Рис. 1. МСКТ органов грудной клетки пациентки Н. с контрастным усилением. | |
| Тема | ||
| Тип | Исследовательские инструменты | |
Посмотреть
(416KB)
|
Метаданные ▾ | |
|
|
2. Рис. 2. Слева: микропрепарат удаленной нейроэндокринной опухоли солидно-трабекулярного строения, два митоза в одном поле зрения (окраска гематоксилином и эозином, ×400). Справа: иммуногистохимическое исследование удаленной нейроэндокринной опухоли, реакция с антителом к Ki-67 (клон SP6, Cell Marque), индекс Ki67 около 15% (ДАБ, гематоксилин, ×400). | |
| Тема | ||
| Тип | Исследовательские инструменты | |
Посмотреть
(1MB)
|
Метаданные ▾ | |
|
|
3. Рис. 3. Периоперационная динамика уровня кортизола периферической крови. | |
| Тема | ||
| Тип | Исследовательские инструменты | |
Посмотреть
(24KB)
|
Метаданные ▾ | |
|
|
4. Рис. 4. Внешний вид пациентки до операции и спустя 6 мес. | |
| Тема | ||
| Тип | Исследовательские инструменты | |
Посмотреть
(1MB)
|
Метаданные ▾ | |
|
|
5. Результаты эндокринологических лабораторных испытаний | |
| Тема | ||
| Тип | Исследовательские инструменты | |
Посмотреть
(52KB)
|
Метаданные ▾ | |
Рецензия
Для цитирования:
Пикунов М.Ю., Печетов А.А., Есаков Ю.С., Леднев А.Н. Хирургическое лечение пациентки с нейроэндокринной опухолью легкого, ассоциированной с АКТГ-эктопическим синдромом: клинический случай. Эндокринная хирургия. 2018;12(2):96-101. https://doi.org/10.14341/serg9766
For citation:
Pikunov M.Y., Pechetov A.A., Esakov Yu.S., Lednev A.N. Surgical treatment for the patient with the neuroendocrine lung tumor associated with ectopic ACTH-secretion syndrome: case report. Endocrine Surgery. 2018;12(2):96-101. (In Russ.) https://doi.org/10.14341/serg9766
Контент доступен под лицензией Creative Commons Attribution-NonCommercial-NoDerivatives 4.0 International License (CC BY-NC-ND 4.0).




































