Preview

Эндокринная хирургия

Расширенный поиск

Образования яичников из остаточной надпочечниковой ткани у женщины с сольтеряющей формой врожденной дисфункции коры надпочечников

Содержание

Перейти к:

Аннотация

В статье представлено описание клинического случая диагностики и выбора тактики лечения образований яичников из остаточной надпочечниковой ткани (OART) у пациентки с сольтеряющей формой врожденной дисфункции коры надпочечников (ВДКН). В мировой литературе есть единичные описания подобных клинических случаев. В настоящее время не выработана единая тактика наблюдения и лечения при диагностике образований в яичниках из остаточной надпочечниковой ткани. В каждом конкретном случае выбирается индивидуальная тактика. Основным предрасполагающим фактором к образованию OART считается длительная декомпенсация ВДКН, на фоне которой адренокортикотропный гормон (АКТГ) стимулирует возникновение гиперплазии и гипертрофии остаточной ткани надпочечников в яичниках и развиваются вторичные опухоли. К инструментальным методам, позволяющим диагностировать образования, относят УЗИ, МРТ органов малого таза, а также позитронно-эмиссионную томографию с 18F-фтордезоксиглюкозой (ПЭТ с 18F-ФДГ). Тактика лечения OART, в отличие от образований яичек из остаточной надпочечниковой ткани у мужчин (TART), в имеющихся в мировой литературе наблюдениях в основном хирургическая. Выполнялись как органосохраняющие операции, так и удаление образований вместе с яичником. Описаны случаи сочетания аденокарциномы и ВДКН. Каждый новый случай диагностики OART уникален, и с накоплением мирового опыта будет со временем выработан консенсус по ведению данных образований яичников.

Для цитирования:


Молашенко Н.В., Бабаева Д.М., Деркач Д.А., Владимирова В.П., Солдатова Т.В., Воронцов А.В., Селиванова Л.С., Трошина Е.А., Андреева Е.Н., Пономарева Т.А. Образования яичников из остаточной надпочечниковой ткани у женщины с сольтеряющей формой врожденной дисфункции коры надпочечников. Эндокринная хирургия. 2020;14(1):30-37.

For citation:


Molashenko N.V., Babaeva D.M., Derkatch D.A., Vladimirova V.P., Soldatova T.V., Vorontsov A.V., Selivanova L.S., Troshina E.A., Andreeva E.N., Ponomareva T.A. Ovarian adrenal rest tumor in a patient with salt-wasting form of congenital adrenal hyperplasia. Endocrine Surgery. 2020;14(1):30-37. (In Russ.)

АКТУАЛЬНОСТЬ

Врожденная дисфункция коры надпочечников (ВДКН) — группа наследственных аутосомно-рецессивных заболеваний, вызванных дефектами одного из ферментов стероидогенеза или транспортных белков в надпочечниках. Наиболее частой формой ВДКН является дефицит 21-гидроксилазы, распространенность которого составляет 1 на 10 000–16 000 живых новорожденных [1]. По данным неонатального скрининга в РФ, распространенность заболевания в отдельных регионах составляет от 1:5000 до 1:12 000, в целом по стране — 1:9638 живых новорожденных.

Нарушение синтеза кортизола вследствие недостаточности фермента 21-гидроксилазы ведет к тому, что по механизму отрицательной обратной связи избыток АКТГ стимулирует корковый слой надпочечников, что вызывает его гиперплазию. При этом из-за существующего ферментативного блока на пути стероидогенеза накапливаются предшественники кортизола и андрогенов, синтез которых не заблокирован.

У пациентов с ВДКН, особенно при длительной декомпенсации, возможно развитие образований из остаточной ткани надпочечников: яичек (ТАRТ, testicular adrenal rest tumors) и яичников (OART, ovarian adrenal rest tumors). Частота ТАRТ у пациентов с ВДКН зависит от когорты обследованных пациентов, метода выявления опухоли и варьирует от 0 до 94%, в среднем составляя 20–60%. Гораздо реже встречаются образования из остаточной надпочечниковой ткани в яичниках у женщин. Их частота менее 0,1% среди всех образований яичников [1–4]. Данные аутопсий показывают, что остаточная надпочечниковая ткань более часто встречается в чревном сплетении, яичках, широкой связке матки, нежели в яичниках, что может обусловливать редкость развития OART. Кроме того, TART чаще диагностируются у мужчин, так как могут обнаружиться пальпаторно или вызывать болевой синдром [5–8].

Предполагается, что клетки ткани надпочечников в процессе эмбриогенеза (учитывая близкое расположение зачаточных структур друг к другу) попадают в семенные канальцы и яичники. Существует гипотеза, что под воздействием АКТГ при длительной декомпенсации заболевания происходят гиперплазия и гипертрофия остаточной ткани надпочечников в яичках и яичниках, и развиваются вторичные опухоли. Другой теорией возникновения TART является образование клеток эктопической ткани из мультипотентных клеток в строме яичка [4, 9]. Исследование свойств клеток ТАRТ показало их способность экспрессировать рецепторы к АКТГ и ангиотензину-2 и вырабатывать надпочечниковые стероиды [10, 11]. Можно предположить, что и клетки OART способны вырабатывать стероиды, что является причиной неконтролируемой гиперандрогении у пациенток с ВДКН.

ОПИСАНИЕ СЛУЧАЯ

Пациентка N, 32 лет, периодически направлялась на стационарное лечение в ФГБУ «НМИЦ эндокринологии» Минздрава России с 2009 г. Диагноз «врожденная дисфункция коры надпочечников, сольтеряющая форма» установлен в возрасте 1 месяца. С момента установления диагноза находится на заместительной терапии: 1987–1992 гг. — преднизолон, флудрокортизон; 1992–2001 гг. — гидрокортизон, флудрокортизон; с 2005 г. — гидрокортизон, флудрокортизон, преднизолон; с 2007 г. — гидрокортизон, флудрокортизон, дексаметазон. В детском возрасте перенесла многочисленные эпизоды острой надпочечниковой недостаточности.

В 1992 г. в возрасте 5 лет произведен первый этап феминизирующей пластики наружных половых органов в ЦКБ МПС №3. В 2002 г. по месту жительства — второй этап — формирование входа во влагалище. Наблюдалась у специалистов по месту жительства. Из анамнеза известно, что по данным мультиспиральной компьютерной томографии (МСКТ) забрюшинного пространства от октября 2007 г. выявлено объемное образование левого надпочечника размерами 36×41 мм, нативной плотностью до 44 ед. Н. При динамическом наблюдении отмечался рост образования до 51 мм за 1 год. Учитывая наличие образования в надпочечнике диаметром более 4 см, выраженное повышение уровня тестостерона в крови на фоне проводимой терапии глюко- и минералокортикоидами, вирильный синдром, было рекомендовано оперативное лечение.

В ноябре 2009 г. в Эндокринологическом научном центре проведена операция — эндоскопическая адреналэктомия слева. Гистологическое заключение: адренокортикальная аденома.

В последующем наблюдалась только по месту жительства. С 2016 г. при контрольной МСКТ выявлены образования правого надпочечника. В 2018 г. повторно направлена на обследование в ФГБУ «НМИЦ эндокринологии» Минздрава России для определения дальнейшей тактики ведения.

Результаты физикального, лабораторного и инструментального исследований

При плановом поступлении в отделение в 2018 г. пациентка предъявляла жалобы на отсутствие менструаций, периодические тянущие боли внизу живота, избыточное оволосение.

По данным проведенного обследования в июне 2018 г. в гормональных анализах (таблица) определялись целевые уровни тестостерона, 17-ОН-прогестерона при сниженных значениях лютеинизирующего гормона (ЛГ), фолликулостимулирующего гормона (ФСГ), ренин значимо превышал допустимый целевой уровень. Необходимо отметить, что при поступлении в отдел терапевтической эндокринологии пациентка принимала супрафизиологические дозы минерало- и глюкокортикоидов: флудрокортизон 0,1 мг — 1,5 таблетки утром, 1,5 в обед, 1,5 на ночь, гидрокортизон — 20 мг утром после завтрака, 5 мг после обеда, дексаметазон — 0,5 мг 1 таблетка на ночь. Объективно признаков передозировки глюкокортикостероидами у пациентки не было: вес 66 кг, рост 158 см, индекс массы тела 26,4 кг/м2, выраженный гирсутизм (гирсутное число более 12), использует методы эпиляции для удаления волосяного покрова на лице и теле, АД 120/80 мм рт. ст., повышения АД не отмечает, отечного синдрома нет. Учитывая полученные лабораторные данные: суточная доза гидрокортизона снижена до 20 мг в 2 приема, доза дексаметазона не изменялась, доза флудрокортизона была оставлена прежней.

По результатам МСКТ с контрастным усилением (июнь 2018 г.) выявлено: левый надпочечник не визуализируется (удален), в ложе определяются послеоперационные скрепки, а также линейной формы мягкотканный компонент толщиной до 6 мм с четкими ровными контурами, слабо накапливающий контрастный препарат (фиброзная ткань); правый надпочечник неоднородной структуры за счет наличия многочисленных образований жировой плотности (от -101 до -82 ед. Н) с наличием тонких мягкотканных тяжей в структуре. Наиболее крупное расположено в медиальной ножке размерами 19×33×26 мм; в латеральной ножке небольшие образования размерами 4,7 и 4,8 мм, в теле — размерами (сверху вниз): 6,3 мм, 6,9 мм и 6,7 мм. Также была обнаружена лимфаденопатия: в забрюшинной области над верхним полюсом правой почки до 9 мм, плотностью до 21 ед. Н, паракавальные лимфатические узлы до 6–7 мм, парааортальные — до 6 мм. Помимо этого, впервые выявлены образования обоих яичников, слева — до 4 см с наличием фолликулярных кист, справа — до 4,4 см многоузловой структуры.

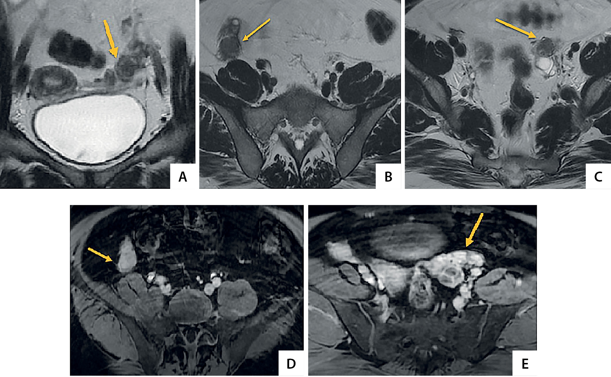
Для уточнения структурных изменений яичников проведена МРТ органов малого таза: яичники размерами: справа 47×37×22 мм, с наличием в структуре мелких фолликулярных кист до 7 мм; слева 32×37×19 мм, с наличием в структуре фолликулярных кист до 18 мм. В обоих яичниках визуализируются солидные образования неправильной формы, с четкими контурами (справа ровными, слева неровными), размерами справа 44×21×17 мм, слева максимальной протяженностью 40×31×14 мм (состоит из трех узлов до 15 мм, до 10 мм и до 8 мм соответственно), при контрастном усилении активно, несколько неоднородно накапливающие контрастный препарат. Наружные подвздошные, паховые лимфатические узлы множественные, не увеличены (до 8 мм). Заключение: МР-картина гиперваскулярных солидных образований в обоих яичниках — с учетом данных анамнеза, можно предположить эктопированную надпочечниковую ткань (OART); количественная лимфаденопатия (рис. 1).

Рисунок 1. Магнитно-резонансные томограммы малого таза пациентки N. В обоих яичниках определяются солидные образования с четкими, неровными контурами, при контрастном усилении образования активно накапливают контрастное вещество (стрелки): А — Т2-взвешенное изображение (ВИ), корональная плоскость (левый яичник); В — Т2-ВИ, аксиальная плоскость (правый яичник); С — Т2-ВИ, аксиальная плоскость (левый яичник); D — Т1-ВИ с подавлением сигнала от жировой ткани с контрастным усилением, аксиальная плоскость (правый яичник); E — Т1-ВИ с подавлением сигнала от жировой ткани с контрастным усилением, аксиальная плоскость (левый яичник).

По результатам обследования и обсуждения с сотрудниками Института репродуктивной медицины ФГБУ «НМИЦ эндокринологии» Минздрава России была рекомендована повторная госпитализация пациентки через 6 месяцев для оценки динамики размеров образований яичников и выработки тактики лечения. В плане образований надпочечников показаний к оперативному лечению не было выявлено, рекомендовано динамическое наблюдение с контролем МСКТ через год.

Клинический диагноз

Основное заболевание. Код по МКБ-10 Е25.0.

Врожденная дисфункция коры надпочечников, дефицит 21-гидроксилазы, сольтеряющая форма. Множественные миелолипомы правого надпочечника. Аменорея II. Двусторонние образования яичников (OART?).

В апреле 2019 г. пациентка вновь госпитализирована в ФГБУ «НМИЦ эндокринологии» Минздрава России. Данные гормонального и дополнительного лабораторного обследования представлены в таблице. Учитывая терапию супрафизиологическими дозами минералокортикоидов и тенденцию к снижению ренина, в отделении снижена суточная доза флудрокортизона до 0,35 мг в сутки. Рекомендован контроль активности ренина плазмы и электролитов по месту жительства через 2–3 месяца с последующей консультацией эндокринолога для титрации дозы минералокортикоидов, показатели тестостерона, 17-ОН-прогестерона имели целевые значения, в связи с чем коррекции глюкокортикоидной терапии не проводилось (гидрокортизон 20 мг, дексаметазон 0,5 мг в сутки).

При повторной МРТ органов малого таза подтверждено наличие объемных образований яичников, где не было выявлено отрицательной динамики и признаков уменьшения размеров образований: яичники размерами: справа 47×37×22 мм, с наличием в структуре мелких фолликулярных кист до 7 мм; слева 32×37×19 мм, с наличием в структуре фолликулярных кист до 18 мм. В обоих яичниках визуализируются солидные образования неправильной формы, с четкими неровными контурами, размерами справа 44×21×18 мм, слева максимальной протяженностью 40×31×14 мм (состоит из трех узлов до 15 мм, до 10 мм и до 8 мм соответственно), с признаками ограничения диффузии на DWI.

При проведении УЗИ органов малого таза правый яичник: контуры ровные, четкие, типично расположен; длина 2,2 см, ширина 1,6 см, переднезадний размер 1,4 см, объем 2,6 см3, определяются фолликулы диаметром до 0,6 см; к яичнику прилежит образование овальной формы размерами 4,7×2,5×2,2 см с четкими волнистыми контурами, гиперэхогенное по периферии и гипоэхогенное в центральной части (эхо-признаки, характерные для ткани надпочечников). Левый яичник: контуры ровные четкие, типично расположен, длина 3,1 см, ширина 2,4 см, переднезадний размер 1,9 см, объем 7,4 см3, определяются фолликулы диаметром до 0,6 см; к яичнику прилежит образование овальной формы размерами 3,8×2,5×2,3 см с четкими волнистыми контурами, гиперэхогенное по периферии и гипоэхогенное в центральной части (эхо-признаки, характерные для ткани надпочечников). Заключение: двусторонние образования в малом тазу (образования из яичников?); учитывая у пациентки ВДКН, необходимо исключить эктопированную надпочечниковую ткань (OART) (рис. 2–3).

Рисунок 2. Эхограммы ультразвукового исследования правого яичника и прилегающего к нему образования (OART) пациентки N: А — указаны стрелками правый яичник с фолликулом и образование (OART); В — к правому яичнику прилежит образование овальной формы с волнистыми контурами, неоднородной структуры, гиперэхогенное по периферии, гипоэхогенное в центральной части (OART).

Рисунок 3. Эхограммы ультразвукового исследования левого яичника и прилегающего к нему образования (OART): А — указаны стрелками левый яичник с фолликулом и образование (OART); В — УЗ-картина образования, прилежащего к левому яичнику (гиперэхогенная периферическая часть, гипоэхогенная центральная часть).

Таким образом, в ходе госпитализации в 2019 г. 2 инструментальных метода (МРТ, УЗИ) выявили объемные образования малого таза. При УЗИ образования определялись отдельно от яичников, тесно прилежали к ним, а по МРТ — образования определялись непосредственно в ткани яичников, без четких контуров.

В отделении также проведен анализ на онкомаркеры: СА-125, раково-эмбриональный антиген (РЭА) — показатели в пределах референсного интервала, НЕ4, индекс RОМА — показатели превышали референсный интервал (таблица).

Учитывая отсутствие регресса размеров образований яичников на фоне регулярного приема глюко- и минералокортикоидной терапии, что отражают показатели уровней андрогенов в крови, повышение уровня онкомаркеров (НЕ4, индекс ROMA), проведен повторный консилиум со специалистами Института репродуктивной медицины ФГБУ «НМИЦ эндокринологии» Минздрава России. Принято решение о проведении диагностической лапароскопии, для чего пациентка переведена в отдел хирургии.

По результатам диагностической лапароскопии в области малого таза: визуализировались тело матки в центре малого таза, грушевидной формы, размерами 3,5×2,5×3,0 см, серозный покров не изменен; правый яичник размерами 2,0×2,0×1,5 см, со сглаженной капсулой; правая маточная труба — не изменена, фимбрии свободные; в мезоварии — неправильной продолговатой формы образование плотной консистенции, интимно прилежащее к подвздошной вене, размерами 3,5×2,5 см. Слева визуализировались: левый яичник размерами 2×1,5×1,5 см, со сглаженной капсулой, с просвечивающимися фолликулами; левая маточная труба — не изменена, фимбрии свободные; в мезоварии — неправильной формы образование плотной консистенции, интимно связанное с подвздошной веной и левым мочеточником, размерами 4,5×2,5 см. Передне- и позадиматочные пространства без особенностей.

Учитывая отсутствие возможности окончательно определить границу между яичниками и описанными образованиями с обеих сторон, повышение уровня НЕ-4 и расчетного индекса RОМА (в данном клиническом случае 25,3, при норме до 11,4 для репродуктивного периода), а также отсутствие регресса размеров образования в ходе 6-месячного наблюдения, решено провести двустороннюю аднексэктомию с выявленными образованиями. Оперативное вмешательство было выполнено одномоментно, после окончания диагностической лапароскопии (рис. 4).

Рисунок 4. Фотографии операционного поля и макропрепаратов удаленных образований яичников: А — фотография операционного поля, левый яичник с образованием; В — макропрепарат удаленного левого яичника с образованием (OART), описание макропрепарата: «левые придатки с образованием» — маточная труба длиной 5,0 см, интимно связана с образованием, исходящим из ткани яичника размерами 4,5х2,0х1,5 см, грязно-серого цвета с желтоватыми очажками; С — макропрепарат удаленного правого яичника с образованием (OART), описание макропрепарата: «правые придатки с образованием» — маточная труба длиной 5,0 см, связана с образованием размерами 5,5х3,0х3,0 см, плотной консистенции, грязно-серого цвета с желтоватыми очажками до 0,5 см в центре.

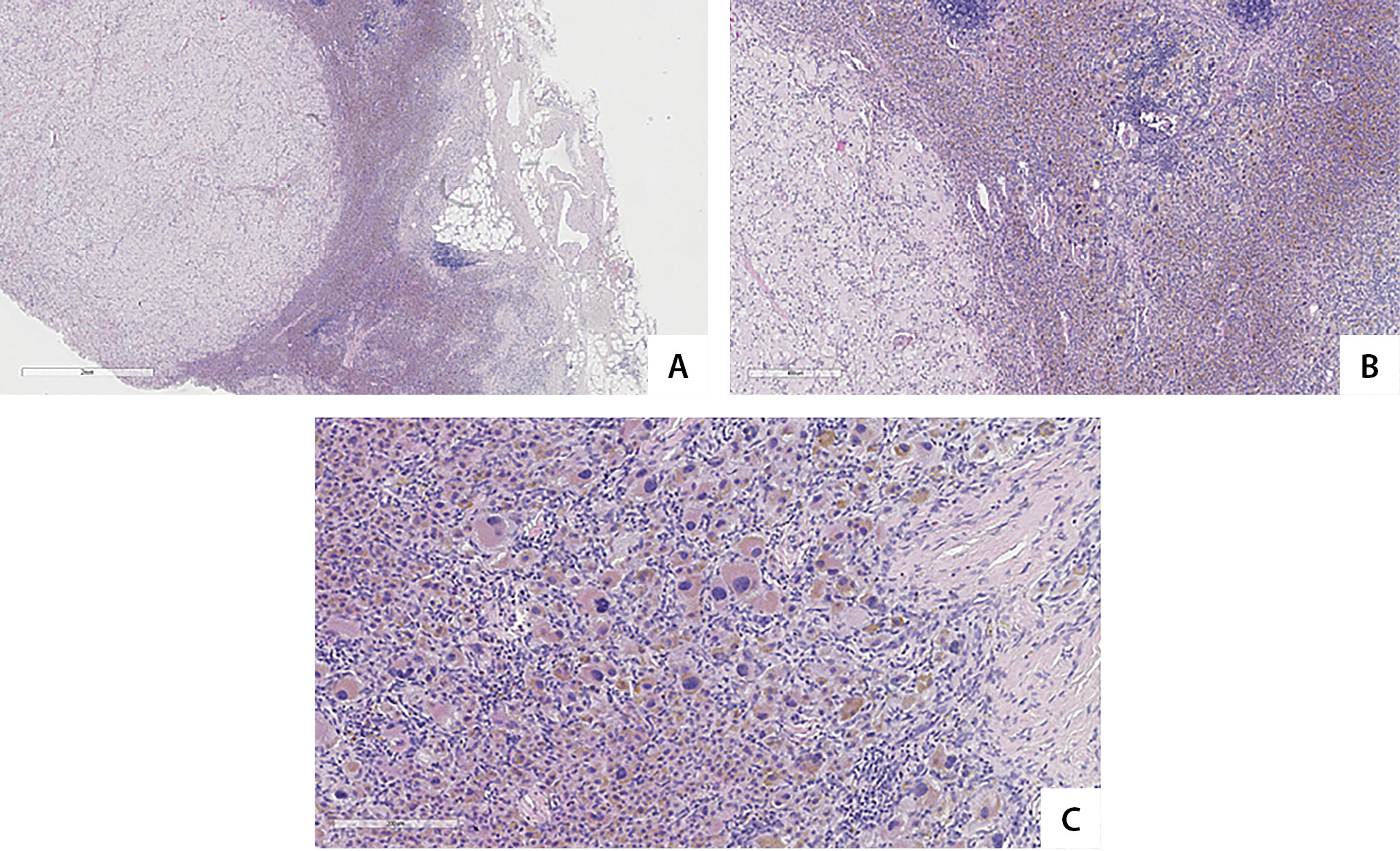
По данным проведенного морфологического исследования послеоперационного материала яичников с удаленными опухолями: микроскопическое описание — с обеих сторон обнаружена аналогичная картина — к маточной трубе с расстройством кровообращения прилежит ткань яичника с наличием в строме узелков, напоминающих ткань надпочечника (часть участков из светлых, богатых липидами клеток, часть из эозинофильных клеток с наличием коричневого пигмента в цитоплазме). Заключение: описанные изменения могут наблюдаться при OART (рис. 5).

Рисунок 5. Микроскопическая картина удаленных новообразований пациентки N: А — в ткани яичника среди фиброзной ткани обнаруживается эктопированная ткань надпочечника. Окраска гематоксилином и эозином. Увеличение х 50; В — участки из светлых, богатых липидами клеток и из эозинофильных клеток с наличием коричневого пигмента в цитоплазме. Окраска гематоксилином и эозином. Увеличение х50; С — очаги из эозинофильных клеток с наличием коричневого пигмента в цитоплазме. Окраска гематоксилином и эозином. Увеличение х200.

Послеоперационный период

Послеоперационный период протекал без осложнений. Учитывая доброкачественный характер удаленных новообразований по гистологическому заключению, пациентке, помимо приема глюко- и минералокортикоидов, рекомендована заместительная гормональная терапия комбинированными эстроген-гестагенными препаратами: эстрадиол 2 мг и дидрогестерон 10 мг в непрерывном режиме.

ОБСУЖДЕНИЕ

OART — редкое осложнение ВДКН, формирующееся у девушек и женщин в репродуктивном возрасте. Основным методом ранней диагностики ОART является УЗИ органов малого таза, которое рекомендуется проводить не реже 1 раза в год всем пациенткам с классическими формами ВДКН. Однако в связи с редкостью данной патологии результаты этого исследования могут быть правильно интерпретированы только в специализированных учреждениях, имеющих опыт ведения больных с ВДКН. Ультразвуковая картина образований малого таза пациентки N имела характерное для надпочечников двуслойное строение, что послужило основанием для предположения наличия эктопированной надпочечниковой ткани рядом с яичниками.

МРТ малого таза является золотым стандартом для уточнения размеров и локализации объемных образований яичников, результаты МРТ дают объективные (сверяемые, не субъективные) критерии для оценки динамики структуры и размеров опухолей, в связи с чем МРТ малого таза необходимо включать в алгоритм обследования больных с ВДКН при подозрении/наличии объемных образований яичников [3, 12].

Использование позитронно-эмиссионной томографии с 18F-фтордезоксиглюкозой (ПЭТ с 18F-ФДГ), при которой выявляется накопление вещества в области OART, доказывает «надпочечниковое» происхождение образований яичников.

Предполагается, что ОART чаще возникает у пациенток с декомпенсированной ВДКН [13]. Глюко- и минералокортикоидная недостаточность, а также гиперандрогения могут являться предрасполагающими, но не единственными факторами развития этого заболевания. В мировой литературе описаны единичные случаи сочетания OART и ВДКН, ранняя их диагностика у части пациенток позволяет проводить органосохраняющие операции, что, безусловно, важно для их качества жизни и сохранения менструальной и детородной функции [14]. Однако в других клинических описаниях необходимый объем оперативного пособия включал удаление новообразования с яичником. В мировой литературе есть описание случая обнаружения пограничной муцинозной цистаденомы и аденокарциномы яичника при ВДКН [15, 16].

Объемные образования яичников представляют достаточно серьезную проблему в гинекологии. Так, из 10% женщин, оперируемых по поводу образований яичников, у 20% обнаруживаются злокачественные образования, и, к сожалению, у 30% из них разные формы рака на III и IV стадиях распространения. Данная тенденция сохраняется в связи со сложностью дифференциальной диагностики доброкачественных (чаще функциональных) и злокачественных новообразований яичников, протекающих в подавляющем большинстве случаев без проявления каких-либо клинических симптомов. Существующие клинические и лабораторные методы не обладают высокой специфичностью и чувствительностью. Переход от первой к третьей стадии онкологического процесса крайне скоротечен и не прогнозируем. В этой связи онкологическая настороженность должна сопутствовать в каждом случае обнаружения образований яичников, особенно в условиях выявленного повышения уровня онкомаркеров.

Отсутствие в литературе большого числа описанных случаев лечения OART и тем более динамического наблюдения за данной группой больных вызывает много дискуссионных вопросов в выборе тактики ведения. В описываемом клиническом наблюдении аргументами против динамического наблюдения за образованиями и органосохраняющей операции у пациентки были: повышение расчетного индекса ROMA, отсутствие регресса образований за 6 месяцев наблюдения и макроскопической четкой границы между здоровой яичниковой тканью и образованиями, что не позволяло провести резекцию органа с сохранением кровообращения яичника и достаточного фолликулярного резерва.

ЗАКЛЮЧЕНИЕ

Безусловно, при небольших размерах OART, которые являются морфологически доброкачественными образованиями, с четкими границами, отсутствии признаков малигнизации по результатам лабораторного определения онкомаркеров, диагностической лапароскопии с биопсией, возможно проведение органосохраняющей операции (резекции яичника в пределах здоровых тканей).

Пациентки с ВДКН должны наблюдаться в профильных медицинских учреждениях, опыт которых в данной сфере максимален. При малейшем подозрении на наличие объемных образований яичников прежде всего должны быть исключены онкологические аспекты, а в алгоритм обследования необходимо, помимо УЗИ, включать МРТ органов малого таза и диагностическую лапароскопию.

ДОПОЛНИТЕЛЬНАЯ ИНФОРМАЦИЯ

Источник финансирования. Публикация настоящей работы поддержана Грантом РНФ № 17-75-30035.

Согласие пациента. Пациент добровольно подписал информированное согласие на публикацию персональной медицинской информации.

Конфликт интересов. Авторы декларируют отсутствие явных и потенциальных конфликтов интересов, связанных с публикацией настоящего клинического случая, о которых необходимо сообщить.

Список литературы

1. Мельниченко Г.А., Трошина Е.А., Молашенко Н.В., и др. Клинические рекомендации Российской ассоциации эндокринологов по диагностике и лечебно-профилактическим мероприятиям при врожденной дисфункции коры надпочечников у пациентов во взрослом возрасте // Consilium Medicum. — 2016. — T.18. — №4. — С. 8–19. [Melnichenko GA, Troshina EA, Molashenko NV, et al. Russian Association of Endocrinologists clinical practice guidelines for diagnosis, treatment and preventive measures in congenital adrenal hyperplasia due to 21-hydroxylase deficiency patients in adulthood. Consilium Medicum. 2016;18(4):8–19. (In Russ).]

2. Карева М.А., Чугунов И.С. Федеральные клинические рекомендации – протоколы по ведению пациентов с врожденной дисфункцией коры надпочечников в детском возрасте // Проблемы эндокринологии. — 2014. — Т.60. — №2. — С. 42–50. [Kareva MA, Chugunov IS. Federal clinical practice guidelines on the management of the patients presenting with congenital adrenal hyperplasia. Problems of Endocrinology. 2014;60(2):42–50. (In Russ).] doi: 10.14341/probl201460242-50.

3. Speiser PW, Arlt W, Auchus RJ, et al. Congenital adrenal hyperplasia due to steroid 21-hydroxylase deficiency: an Endocrine Society clinical practice guideline. J Clin Endocrinol Metab. 2018;103(11):4043–4088. doi: 10.1210/jc.2018-01865. Erratum in: J Clin Endocrinol Metab. 2019;104(1):39–40.

4. Чугунов И.С., Солдатова Т.В., Воронцов А.В., и др. Развитие эктопической надпочечниковой ткани в яичках (TART) у детей и подростков с врожденной дисфункцией коры надпочечников // Проблемы эндокринологии. — 2015. — Т.61. — №3. — С. 9–15. [Chugunov IS, Soldatova TV, Vorontsov AV, et al. The development of ectopic testicular adrenal rest tissue (TART) in the children and adolescents presenting with congenital adrenal cortical dysfunction. Problems of Endocrinology. 2015;61(3):9–15. (In Russ).] doi: 10.14341/probl20156139-15.

5. Graham LS. Celiac accessory adrenal glands. Cancer. 1953;6(1):149–152. doi: 10.1002/1097-0142(195301)6:1<149::aid-cncr2820060115>3.0.co;2-8.

6. Dahl EV, Bahn RC. Aberrant adrenal cortical tissue near the testis in human infants. Am J Pathol. 1962;40:587–598.

7. Falls JL. Accessory adrenal cortex in the broad ligament. Incidence and functional significance. Cancer. 1955;8(1):143–150. doi: 10.1002/1097-0142(1955)8:1<143::aid-cncr2820080120>3.0.co;2-p.

8. Symonds DA, Driscoll SG. An adrenal cortical rest within the fetal ovary: report of a case. Am J Clin Pathol. 1973;60(4):562–564. doi: 10.1093/ajcp/60.4.562.

9. Val P, Jeays-Ward K, Swain A. Identification of a novel population of adrenal-like cells in the mammalian testis. Dev Biol. 2006;299(1):250–256. doi: 10.1016/j.ydbio.2006.07.030.

10. Claahsen-van der Grinten HL, Otten BJ, Sweep FC, et al. Testicular tumors in patients with congenital adrenal hyperplasia due to 21-hydroxylase deficiency show functional features of adrenocortical tissue. J Clin Endocrinol Metab. 2007;92(9):3674–3680. doi: 10.1210/jc.2007-0337.

11. Bercovici JP, Fiet J, Gibault L, et al. Testicular adrenal rest tumours in salt wasting congenital adrenal hyperplasia (in vivo and in vitro studies). J Steroid Biochem Mol Biol. 2005;93(1):67–72. doi: 10.1016/j.jsbmb.2004.10.023.

12. Stikkelbroeck NM, Hermus AR, Schouten D, et al. Prevalence of ovarian adrenal rest tumours and polycystic ovaries in females with congenital adrenal hyperplasia: results of ultrasonography and MR imaging. Eur Radiol. 2004;14(10):1802–1806. doi: 10.1007/s00330-004-2329-x.

13. Tiosano D, Vlodavsky E, Filmar S, et al. Ovarian adrenal rest tumor in a congenital adrenal hyperplasia patient with adrenocorticotropin hypersecretion following adrenalectomy. Horm Res Paediatr. 2010;74(3):223–228. doi: 10.1159/000295722.

14. Mellis AM, Palmer BW, Wisniewski AB, Slobodov G. Ovarian adrenal rest tumour in a patient with chronically untreated congenital adrenal hyperplasia (CAH). BJU International Journal [Internet]. 2011 Jul [cited 2020 Feb 12]:[about 1 p.]. doi: 10.1002/bjuiw-2011-041-web. Available from: https://www.bjuinternational.com/case-studies/ovarian-adrenal-rest-tumour-in-a-patient-with-chronically-untreated-congenital-adrenal-hyperplasia-cah/.

15. Pina C, Khattab A, Katzman P, et al. Ovarian carcinoma in a 14-year-old with classical salt-wasting congenital adrenal hyperplasia and bilateral adrenalectomy. J Pediatr Endocrinol Metab. 2015;28(5–6):663–667. doi: 10.1515/jpem-2014-0299.

16. Chew KT, Abu MA, Arifuddin Y, et al. Ectopic adrenal tissue associated with borderline mucinous cystadenoma of ovary: a case report with review of the literature. Horm Mol Biol Clin Investig. 2017;32(3):20170021. doi: 10.1515/hmbci-2017-0021.


Об авторах

Наталья Валерьевна Молашенко
Национальный медицинский исследовательский центр эндокринологии
Россия

к.м.н., ведущий научный сотрудник отдела терапевтической эндокринологии



Диана Мажлумовна Бабаева
Национальный медицинский исследовательский центр эндокринологии
Россия

врач-рентгенолог



Дмитрий Анатольевич Деркач
Национальный медицинский исследовательский центр эндокринологии
Россия

врач акушер-гинеколог



Виктория Павловна Владимирова
Национальный медицинский исследовательский центр эндокринологии
Россия

кандидат медицинских наук, врач-рентгенолог



Татьяна Васильевна Солдатова
Национальный медицинский исследовательский центр эндокринологии
Россия

Заведующая отделением ультразвуковой диагностики


Врач ультразвуковой диагностики


к.м.н., врач высшей квалификационной категории


Александр Валерьевич Воронцов
Национальный медицинский исследовательский центр эндокринологии
Россия

д.м.н., проф.



Лилия Сергеевна Селиванова
Национальный медицинский исследовательский центр эндокринологии
Россия

кандидат медицинских наук, научный сотрудник отдела фундаментальной патоморфологии



Екатерина Анатольевна Трошина
Национальный медицинский исследовательский центр эндокринологии
Россия

д.м.н., профессор, член-корр. РАН



Елена Николаевна Андреева
Национальный медицинский исследовательский центр эндокринологии
Россия


д.м.н., проф.



Татьяна Алексеевна Пономарева
Национальный медицинский исследовательский центр эндокринологии
Россия

врач акушер-гинеколог



Дополнительные файлы

1. Рисунки к статье
Тема
Тип author.submit.suppFile.figureResearchMaterials
Скачать (8MB)    
Метаданные ▾
2. Рисунок 1. Магнитно-резонансные томограммы малого таза пациентки N. В обоих яичниках определяются солидные образования с четкими, неровными контурами, при контрастном усилении образования активно накапливают контрастное вещество (стрелки): А — Т2-взвешенное изображение (ВИ), корональная плоскость (левый яичник); В — Т2-ВИ, аксиальная плоскость (правый яичник); С — Т2-ВИ, аксиальная плоскость (левый яичник); D — Т1-ВИ с подавлением сигнала от жировой ткани с контрастным усилением, аксиальная плоскость (правый яичник); E — Т1-ВИ с подавлением сигнала от жировой ткани с контрастным усилением, аксиальная плоскость (левый яичник).
Тема
Тип Прочее
Посмотреть (415KB)    
Метаданные ▾
3. Рисунок 2. Эхограммы ультразвукового исследования правого яичника и прилегающего к нему образования (OART) пациентки N: А — указаны стрелками правый яичник с фолликулом и образование (OART); В — к правому яичнику прилежит образование овальной формы с волнистыми контурами, неоднородной структуры, гиперэхогенное по периферии, гипоэхогенное в центральной части (OART).
Тема
Тип Прочее
Посмотреть (223KB)    
Метаданные ▾
4. Рисунок 3. Эхограммы ультразвукового исследования левого яичника и прилегающего к нему образования (OART): А — указаны стрелками левый яичник с фолликулом и образование (OART); В — УЗ-картина образования, прилежащего к левому яичнику (гиперэхогенная периферическая часть, гипоэхогенная центральная часть).
Тема
Тип Прочее
Посмотреть (279KB)    
Метаданные ▾
5. Рисунок 4. Фотографии операционного поля и макропрепаратов удаленных образований яичников: А — фотография операционного поля, левый яичник с образованием; В — макропрепарат удаленного левого яичника с образованием (OART), описание макропрепарата: «левые придатки с образованием» — маточная труба длиной 5,0 см, интимно связана с образованием, исходящим из ткани яичника размерами 4,5х2,0х1,5 см, грязно-серого цвета с желтоватыми очажками; С — макропрепарат удаленного правого яичника с образованием (OART), описание макропрепарата: «правые придатки с образованием» — маточная труба длиной 5,0 см, связана с образованием размерами 5,5х3,0х3,0 см, плотной консистенции, грязно-серого цвета с желтоватыми очажками до 0,5 см в центре.
Тема
Тип Прочее
Посмотреть (351KB)    
Метаданные ▾
6. Рисунок 5. Микроскопическая картина удаленных новообразований пациентки N: А — в ткани яичника среди фиброзной ткани обнаруживается эктопированная ткань надпочечника. Окраска гематоксилином и эозином. Увеличение х 50; В — участки из светлых, богатых липидами клеток и из эозинофильных клеток с наличием коричневого пигмента в цитоплазме. Окраска гематоксилином и эозином. Увеличение х50; С — очаги из эозинофильных клеток с наличием коричневого пигмента в цитоплазме. Окраска гематоксилином и эозином. Увеличение х200.
Тема
Тип Прочее
Посмотреть (783KB)    
Метаданные ▾

Рецензия

Для цитирования:


Молашенко Н.В., Бабаева Д.М., Деркач Д.А., Владимирова В.П., Солдатова Т.В., Воронцов А.В., Селиванова Л.С., Трошина Е.А., Андреева Е.Н., Пономарева Т.А. Образования яичников из остаточной надпочечниковой ткани у женщины с сольтеряющей формой врожденной дисфункции коры надпочечников. Эндокринная хирургия. 2020;14(1):30-37.

For citation:


Molashenko N.V., Babaeva D.M., Derkatch D.A., Vladimirova V.P., Soldatova T.V., Vorontsov A.V., Selivanova L.S., Troshina E.A., Andreeva E.N., Ponomareva T.A. Ovarian adrenal rest tumor in a patient with salt-wasting form of congenital adrenal hyperplasia. Endocrine Surgery. 2020;14(1):30-37. (In Russ.)

Просмотров: 4154


Creative Commons License
Контент доступен под лицензией Creative Commons Attribution 4.0 License.


ISSN 2306-3513 (Print)
ISSN 2310-3965 (Online)