Preview

Эндокринная хирургия

Расширенный поиск

Случай послеоперационной диагностики метастаза рака почки в щитовидную железу в сочетании с тромбозом левой внутренней яремной вены

Содержание

Перейти к:

Аннотация

Представлено клиническое наблюдение пациентки 68 лет с жалобами на увеличение в размерах шеи, преимущественно с левой стороны, ощущение першения в горле. В ходе обследования по данным УЗИ органов шеи выявлено конгломератное образование левой доли щитовидной железы. Кроме того, в просвете в верхней трети внутренней яремной вены выявлено образование средней эхогенности. По данным последующей тонкоигольной биопсии левой доли – признаки коллоидного зоба. Пациентке проведено оперативное лечение в объеме левосторонней гемитиреоидэктомии: при ревизии левая доля значительно увеличена в размерах за счет узлового образования, доходящего до левого угла нижней челюсти, располагающегося частично загрудинно и за трахеей. По данным послеоперационного гистологического исследования выявлен метастаз светлоклеточного рака почки в левую долю щитовидной железы с признаками прорастания в окружающие сосуды и мышцы.

Для цитирования:


Паневин Т.С., Селиванова Л.С., Латкина Н.В., Кузнецов Н.С. Случай послеоперационной диагностики метастаза рака почки в щитовидную железу в сочетании с тромбозом левой внутренней яремной вены. Эндокринная хирургия. 2017;11(1):45-50.

For citation:


Panevin T.S., Selivanova L.S., Latkina N.V., Panevin N.S. Postoperative diagnostics case of the patient with kidney canсer metastasis in the thyroid gland in combination with left internal jugular vein thrombosis. Endocrine Surgery. 2017;11(1):45-50. (In Russ.)

Актуальность

Светлоклеточный рак почки (СРП) развивается из эпителия проксимальных канальцев и составляет 70–80% от всех почечно-клеточных раков. На долю СРП приходится 2–3% всех злокачественных новообразований у взрослого населения. Данное злокачественное новообразование характеризуется обильным развитием кровеносных и лимфатических сосудов, что определяет его известную склонность к метастазированию в нетипичных местах на фоне отсутствия ранних клинических симптомов. Наиболее часто СРП метастазирует в легкие, лимфатические узлы, кости; щитовидная железа (ЩЖ) поражается редко [1, 3].

Метастатическое поражение щитовидной железы встречается так же редко и составляет около 2% всех злокачественных образований данной локализации и 12–34% от всех вторичных опухолей ЩЖ. Средний возраст пациентов с метастазами в ЩЖ составляет 50–60 лет, основными первичными источниками метастазов являются опухоли молочной железы, почки, толстой кишки [2, 4]. Время от нефрэктомии до обнаружения метастатического очага в ЩЖ составляет в среднем около 10 лет [5]. Примерно у 30–50% пациентов в различные сроки после нефрэктомии диагностируются метахронные метастазы.

По данным литературы отмечается, что ЩЖ особенно восприимчива к метастатическому поражению, если в ее тканях имеются метаболические изменения, сопровождающие такие заболевания как узловой зоб или аутоиммунный тиреоидит [5].

Клинический случай

Пациентка Д. 68 лет обратилась в ФГБУ ЭНЦ МЗ РФ в ноябре 2015 г. по поводу наличия левостороннего объемного образования в области шеи. Известно, что пациентку с 2012 г. начали беспокоить першение в горле, ощущение инородного тела в области шеи, тогда же впервые обратилась за помощью к эндокринологу. Проводилось динамическое наблюдение. При выполнении ультразвуковое исследование в сентябре 2016 г. по месту жительства выявлено очаговое образование левой доли ЩЖ в виде конгломерата 71 × 34 мм неоднородной структуры, далеко выходящее за предполагаемые границы доли у верхнего полюса, заходящее за перешеек. В правой доле визуализировалось округлой формы узловое образование диаметром 6 мм без подозрительных признаков, имеется смещение трахеи вправо. Регионарные лимфоузлы – без особенностей. По данным последующей тонкоигольной аспирационной биопсии узлового образования левой доли – коллоидный зоб (II класс по Bethesda Thyroid Classification). Лабораторно и клинически – эутиреоз (ТТГ 2,48 мЕД/л). В анамнезе – правосторонняя нефрэктомия по поводу опухоли почки (документацию не предоставила). Объективно отмечается видимое увеличение щитовидной железы за счет левой доли, при пальпации левая доля плотно-эластической консистенции, подвижная, безболезненная, регионарные лимфоузлы не увеличены. Данные лабораторных исследований (общего анализа крови, мочи, коагулограммы и биохимического анализа крови) без особенностей.

В 2015 г. планировалось проведение оперативного вмешательства по поводу узлового образования левой доли щитовидной железы в связи с наличием косметического дефекта и ультразвуковых признаков смещения трахеи. Однако во время проведения вводной анестезии отмечено повышение артериального давления до 165/85 мм рт. ст., частоты сердечных сокращений до 98 в минуту, сопровождающееся наружным носовым кровотечением, поступлением желудочного содержимого в ротовую полость, в связи с чем была проведена санация ротовой полости и срочная интубация трахеи, произведена санационная бронхоскопия. В данных условиях было принято решение об отмене операции.

Через год было проведено ультразвуковое исследование в динамике в ФГБУ ЭНЦ МЗ РФ, по результатам которого общий объем ЩЖ составил 60,5 мл, объем левой доли – 55 мл, в ней же гипоэхогенное с четкими контурами образование неоднородной структуры, размерами 3,0 × 6,0 × × 7,2 см, сходной топографии с ранее приведенными ультразвуковыми данными. Также в просвете в верхней трети внутренней яремной вены выявлено образование средней эхогенности с четкими контурами размером 2,3 × 1,4 см (рис. 1).

Рис. 1. Ультразвуковое исследование органов шеи пациентки: а – в левой доле щитовидной железы определяется объемное конгломератное образование; б – в просвете прилежащей внутренней яремной вены образование неоднородной структуры.

Пациентка была госпитализирована для проведения оперативного лечения в плановом порядке. Во время оперативного вмешательства при ревизии левая доля значительно увеличена в размерах за счет узлового образования, доходящего до левого угла нижней челюсти, располагающегося частично загрудинно и за трахеей, резко смещающего трахею вправо. С большими техническими трудностями, связанными с размером и расположением доли, под визуальным контролем возвратного гортанного нерва слева и околощитовидных желез произведена экстрафасциальная гемитиреоидэктомия слева. На разрезе: узел размером 6 см в диаметре, неоднородной структуры, аденоматозного вида.

Гистологическое исследование

На гистологическое исследование была прислана левая доля щитовидной железы весом 54,6 г и размерами 8,5 × 6,0 × 3,5 см. На разрезе представлена узлом диаметром 6,0 см серовато-желтого цвета мягко-эластической консистенции. Ткань щитовидной железы фиксировали в 10% нейтральном буферном формалине, затем ткань подвергалась гистологической проводке и заливке образцов в парафин. После нарезки с помощью микротома, рутинной окраски гематоксилином и эозином проводили гистопатологическое исследование в соответствии со стандартными протоколами [6].

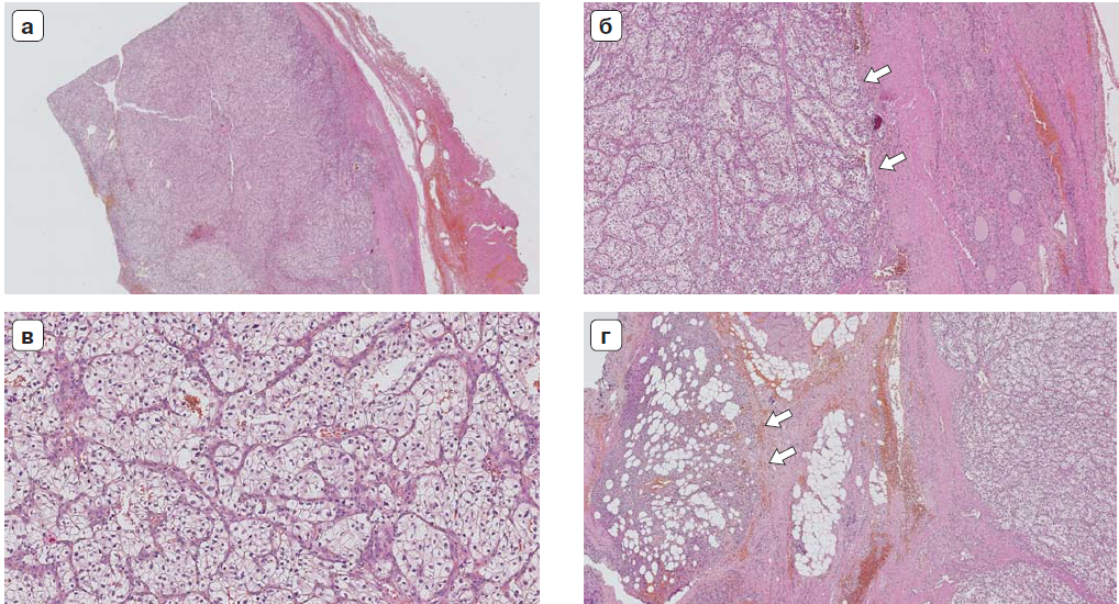
При микроскопическом изучении (рис. 2) в ткани щитовидной железы обнаруживалось разрастание опухоли преимущественно альвеолярного строения из клеток с оптически пустой цитоплазмой и округлых гиперхромных ядер; местами светлые клетки образовывали тубулярные и микрокистозные структуры, отделенные друг от друга различной толщины прослойками рыхлой или волокнистой соединительной ткани, с кровоизлияниями и мелкими полостями с кровью. Опухоль прорастала в прилежащие скелетные мышцы, отмечались признаки сосудистой инвазии.

Рис. 2. Микроскопическое исследование удаленной щитовидной железы, в которой обнаружена опухоль из клеток с круглыми и овальными ядрами и светлой цитоплазмой, окруженная тканью щитовидной железы (окраска гематоксилином и эозином): а – увеличение ×30; б – увеличение ×100; в – увеличение ×200; г – к опухоли прилежит ткань околощитовидной железы (стрелки), увеличение ×100.

Иммуногистохимическое исследование

Иммуногистохимическое исследование проводилось на срезах с репрезентативного парафинового блока толщиной 3 мкм, расположенных на стеклах с полилизиновым слоем (Leica, Германия). Исследование проводили на полностью автоматизированномиммуногистостейнере Leica Bondmax (Германия) (рис. 3), позволяющем депарафинизировать срезы, проводить инкубацию с антителами при постоянной заданной температуре, проводить энзиматическую демаскировку антигенов, высокотемпературную демаскировку антигенов в буферах pH 6,0 и 8,8, подкрашивать препараты гематоксилином. Исследование проводилось по стандартным протоколам, рекомендованным фирмой-производителем, с антителами, представленными в таблице.

Рис.3. Результаты гистологического исследования удаленной опухоли: а – клетки опухоли экспрессируют СD10 (×200); б – экспрессия тиреоглобулина клетками предсуществующей щитовидной железы (х100); в – экспрессия паратгормона клетками прилежащей околощитовидной железы, отсутствие экспрессии опухолевыми клетками (×100); г – экспрессия TTF1 клетками предсуществующей щитовидной железы, отсутствие экспрессии опухолевыми клетками (×100); д – клетки опухоли экспрессируют панцитокератин (×200); е – индекс пролиферативной активности в опухолевых клетках.

Антитела, использованные при иммуногистохимическом исследовании

При иммуногистохимическом исследовании было выявлено, что клетки опухоли не экспрессируют тиреоидный транскрипторный фактор-1, тиреоглобулин при положительном позитивном контроле в предсуществующей ткани щитовидной железы, не экспрессируютпаратгормон при положительном позитивном контроле в прилежащей околощитовидной железе. При этом выявлена позитивная реакция опухолевых клеток с панцитокератином, CD10, RCC.

Обсуждение

Данный клинический случай демонстрирует трудность ранней диагностики метастазирования злокачественных новообразований, схожесть клинической картины с многоузловым эутиреоидным зобом, а также неинформативность инвазивного метода диагностики. Низкая частота метастазирования злокачественных новообразований в щитовидную железу не должна снижать настороженность при наличии соответствующих анамнестических данных.

Заключение

Таким образом, несмотря на наличие статистических данных о том, что СРП чрезвычайно редко метастазирует в щитовидную железу, при установлении диагноза светлоклеточного рака почки следует рассмотреть вопрос о проведении обязательного визуализационногоскрининга щитовидной железы с целью выявления отдаленных метастазов.

Дополнительная информация

Согласие пациента. Пациент добровольно подписал информированное согласие на публикацию медицинской информации в обезличенной форме в журнале “Эндокринная хирургия”.

Конфликт интересов. Авторы декларируют отсутствие явных и потенциальных конфликтов интересов, связанных с публикацией настоящей статьи.

Список литературы

1. Карпищенко С., Рябова М., Долгов О., и др. Метастаз светлоклеточного рака почки в щитовидную железу и гортань // Врач. – 2014. – №11. – С. 31–33. [Karpishchenko S, Ryabova M, Dolgov O, et al. Clear cell renal carcinoma metastasizing to the thyroid and larynx. Vrach. 2014;(11):31-33. (in Russ.)]

2. Яковлева Л.П., Романов И.С., Туркин И.Н., и др. Метастаз рака почки в щитовидную железу: особенности диагностики и лечения // Онкоурология. – 2010. – №4. – С. 87–91. [Yakovleva LP, Romanov IS, Turkin IN, et al. Metastasis of renal carcinoma to the thyroid, specific features of diagnosis and treatment (description of a case). Onkourologiya. 2010;(4):87-91. (in Russ.)]

3. Матвеев В.Б. Энциклопедия клинической онкологии. – М., 2004. – С. 490–500. [Matveev VB. Entsiklopediya klinicheskoy onkologii. Moscow; 2004. (in Russ.)]

4. Nakhjavani MK, Gharib H, Goellner JR, van Heerden JA. Metastasis to the thyroid gland. A report of 43 cases. Cancer. 1997;79(3):574-578. doi: 10.1002/(SICI)1097-0142(19970201)79:3<574::AID-CNCR21>3.0.CO;2-#

5. Heffess CS, Wenig BM, Thompson LD. Metastatic renal cell carcinoma to the thyroid gland: a clinicopathologic study of 36 cases. Cancer. 2002;95(9):1869-1878. doi: 10.1002/cncr.10901.

6. Thompson SW, Hunt RD. Selected histochemical and histopathological methods. 1966. IL: Springfield; 1966.


Об авторах

Тарас Сергеевич Паневин

ФГБУ “Эндокринологический научный центр” Минздрава России


Россия


Лилия Сергеевна Селиванова

ФГБУ “Эндокринологический научный центр” Минздрава России


Россия

кандидат медицинских наук



Нонна Вадимовна Латкина

ФГБУ “Эндокринологический научный центр” Минздрава России


Россия

кандидат медицинских наук



Николай Сергеевич Кузнецов

ФГБУ “Эндокринологический научный центр” Минздрава России


Россия

Доктор медицинских наук, профессор, заведующий Отделом хирургии.



Дополнительные файлы

1. Рис. 1. Ультразвуковое исследование органов шеи пациентки: а – в левой доле щитовидной железы определяется объемное конгломератное образование; б – в просвете прилежащей внутренней яремной вены образование неоднородной структуры.
Тема
Тип Исследовательские инструменты
Посмотреть (337KB)    
Метаданные ▾
2. Рис. 2. Микроскопическое исследование удаленной щитовидной железы, в которой обнаружена опухоль из клеток с круглыми и овальными ядрами и светлой цитоплазмой, окруженная тканью щитовидной железы (окраска гематоксилином и эозином): а – увеличение ×30; б – увеличение ×100; в – увеличение ×200; г – к опухоли прилежит ткань околощитовидной железы (стрелки), увеличение ×100.
Тема
Тип Исследовательские инструменты
Метаданные ▾
3. Рис.3. Результаты гистологического исследования удаленной опухоли: а – клетки опухоли экспрессируют СD10 (×200); б – экспрессия тиреоглобулина клетками предсуществующей щитовидной железы (х100); в – экспрессия паратгормона клетками прилежащей околощитовидной железы, отсутствие экспрессии опухолевыми клетками (×100); г – экспрессия TTF1 клетками предсуществующей щитовидной железы, отсутствие экспрессии опухолевыми клетками (×100); д – клетки опухоли экспрессируют панцитокератин (×200); е – индекс пролиферативной активности в опухолевых клетках.
Тема
Тип Исследовательские инструменты
Метаданные ▾
4. Антитела, использованные при иммуногистохимическом исследовании
Тема
Тип Исследовательские инструменты
Посмотреть (77KB)    
Метаданные ▾

Рецензия

Для цитирования:


Паневин Т.С., Селиванова Л.С., Латкина Н.В., Кузнецов Н.С. Случай послеоперационной диагностики метастаза рака почки в щитовидную железу в сочетании с тромбозом левой внутренней яремной вены. Эндокринная хирургия. 2017;11(1):45-50.

For citation:


Panevin T.S., Selivanova L.S., Latkina N.V., Panevin N.S. Postoperative diagnostics case of the patient with kidney canсer metastasis in the thyroid gland in combination with left internal jugular vein thrombosis. Endocrine Surgery. 2017;11(1):45-50. (In Russ.)

Просмотров: 2556


Creative Commons License
Контент доступен под лицензией Creative Commons Attribution 4.0 License.


ISSN 2306-3513 (Print)
ISSN 2310-3965 (Online)