Перейти к:
Дифференциальная диагностика образования надпочечника: описание редкого клинического случая
https://doi.org/10.14341/serg10033
Аннотация
С появлением методов исследований с высокой разрешающей способностью (КТ, МРТ) случайно обнаруживаемые образования в надпочечниках стали клинической проблемой. Данные о распространенности инциденталом надпочечников (ИН) варьируются между исследованиями. Согласно последним данным, ИН выявляются примерно у 4–5% пациентов, подвергшихся радиологической визуализации. Представлено клиническое наблюдение пациента 39 лет с жалобами на стойкое повышение артериального давления. В ходе планового выполнения ультразвукового исследования почек было выявлено образование левого надпочечника. По данным последующего дообследования (СКТ надпочечников с контрастированием, определение гормонального профиля) был диагностирован адренокортикальный рак, глюкокортикоид-продуцирующий. Пациенту проведено оперативное лечение в объеме лапароскопической адреналэктомии слева. Однако по результатам послеоперационного гистологического и иммуногистохимического исследования диагностирована феохромоцитома. Пациент выписан в удовлетворительном состоянии под наблюдение эндокринолога и хирурга. Данное клиническое наблюдение демонстрирует, что “идеальные” диагностические подходы дифференциальной диагностики ИН еще не разработаны. Поэтому продолжение исследований, направленных на усовершенствование диагностического алгоритма, позволяющего на дооперационном этапе более точно определить морфологическую природу образования и его гормональную активность, актуально как в научном, так и в практическом плане.
Ключевые слова
Для цитирования:
Волкова Н.И., Ганенко Л.А., Мажухин В.Ю., Шевченко А.Н. Дифференциальная диагностика образования надпочечника: описание редкого клинического случая. Эндокринная хирургия. 2018;12(3):150-156. https://doi.org/10.14341/serg10033
For citation:
Volkova N.I., Ganenko L.A., Mazhuhin V.Y., Shevchenko A.N. Differential diagnosis of adrenal gland tumor: rare case report. Endocrine Surgery. 2018;12(3):150-156. (In Russ.) https://doi.org/10.14341/serg10033
Актуальность
Образования надпочечников еще недавно считались редкой патологией. Однако по мере совершенствования и увеличения доступности инструментальных методов диагностики наше представление о распространенности таких образований существенно изменилось, более того, появился новый термин – инциденталома надпочечников (ИН). Впервые термин “инциденталома надпочечника” был применен G.W. Geelhoed в 1982 г. [1]. Инциденталома надпочечника – случайно выявленное при радиологическом исследовании объемное образование надпочечника размером более 1 см в диаметре, требующее нозологической конкретизации [2]. Данные о распространенности ИН варьируются между исследованиями. Так, согласно последним данным, ИН выявляются примерно у 4–5% пациентов, подвергшихся радиологической визуализации, и их распространенность увеличивается с возрастом, достигая 10% у пожилых пациентов, а по данным аутопсии частота ИН составляет 6% [3, 4]. Термин “инциденталома” является собирательным, поскольку включает разнообразные по морфологии и гормональной активности образования [2]. Чтобы в дальнейшем поставить клинический диагноз, необходимо задействовать ряд диагностических манипуляций, начиная с точной и правильной радиологической оценки и до выявления гормональной активности надпочечников. Очевидно, что обнаруженное образование может оказаться как гормонально неактивным, так и производящим различные гормоны; исходить из различных зон коры надпочечника, мозгового вещества или иметь неспецифичную органную принадлежность; быть злокачественным или доброкачественным.
Дифференциальная диагностика таких образований крайне важна, поскольку не только определяет дальнейшую терапевтическую стратегию, но и обеспечивает безопасное ведение пациента до, во время и после оперативного лечения, тем самым позволяет предотвратить развитие тяжелых осложнений в интра- и послеоперационном периодах. На сегодняшний день уже разработаны алгоритмы дифференциальной диагностики образований надпочечников [2, 5, 6]. Вместе с тем даже соблюдение строго регламентированных протоколов диагностики не всегда позволяет поставить точный диагноз. В подтверждение вышесказанного считаем целесообразным поделиться собственным клиническим опытом.
Описание случая
В клинику ФГБОУ ВО РостГМУ обратился пациент Б. 39 лет по поводу образования левого надпочечника. Из анамнеза известно: с 35 лет страдает артериальной гипертензией, регулярно принимает гипотензивные препараты (валсартан 160 мг, конкор 5 мг, амлодипин 5 мг), однако на фоне лечения возникают гипертонические кризы до 200/100 мм рт.ст. с частотой до 3–4 раз в месяц. Ежегодно проходил обследование по поводу артериальной гипертензии. В 36 лет при плановой госпитализации была выявлена гипергликемия натощак – 6,5 ммоль/л, в связи с чем выполнен оральный глюкозотолерантный тест: глюкоза крови натощак – 6,7 ммоль/л, через 2 ч после приема раствора глюкозы – 5,0 ммоль/л (норма до 7,8 ммоль/л), было диагностировано нарушение гликемии натощак, назначен метформин в дозе 1000 мг/сут. В 37 лет при очередном обследовании по поводу артериальной гипертензии в общем анализе мочи (ОАМ) впервые были выявлены изменения в виде протеинурии и гематурии, для уточнения диагноза выполнена нефробиопсия: “Светооптическое описание – клубочки неравномерно увеличены в размерах, гиперклеточные за счет умеренной пролиферации клеток мезангия; базальные мембраны капиллярных петель утолщены, местами с признаками раздвоения по типу “трамвайных рельсов”, капсула единичных клубочков очаговосклерозирована, встречается гиалиноз отдельных клубочков; при окраске серебром PAS отмечает утолщение, удвоение базальных мембран капиллярных петель клубочков по типу “трамвайных рельсов”. В межуточном веществе перигломерулярно, между канальцевымиструктурами встречаются мелкие скопления лимфоцитов, гистиоцитов с участками фиброза стромы. Белковая дистрофия эпителия извитых канальцев, отек стенок артерий мелкого калибра, артериол. Иммуногистохимическое описание нефробиоптата: крупногранулярныедепозиты IgM в клетках мезангия, по ходу базальных мембран клубочков, мелко-крупногранулярные депозиты IgM в клетках эпителия извитых канальцев, небольшое количество белка IgA в мезангиуме, по ходу капиллярных петель клубочков, умеренное количество крупногранулярных депозитов белка IgG в мезангиуме, по ходу петель капилляров клубочков. Заключение: морфогистохимическая, иммуногистохимическая картина соответствует мембранопролиферативному/ мезангиокапиллярному гломерулонефриту, тип I”.
Нефрологом к гипотензивной терапии (валсартан 160 мг, конкор 5 мг, амлодипин 5 мг) была добавлена но-шпа 40 мг 3 раза в день. В дальнейшем при выполнении ОАМ в динамике патологические изменения отсутствовали. В декабре 2017 г. нефрологом диагноз был пересмотрен в пользу вторичной нефропатии гипертонического генеза. В январе 2018 г. выполнено плановое ультразвуковое исследование почек: “Правая почка – размеры 126 × 56 мм, контуры четкие, волнистые, паренхима 22 мм, умеренно неоднородная, на границе средней и нижней трети лоцируется эхо(-) образование округлой формы, аваскулярное при ЦДК, размерами 35 × 30 × 21 мм, в средней трети лоцируется образование аналогичной структуры, размерами около 12 мм в диаметре, кортико-медуллярная дифференциация прослеживается, чашечно-лоханочная система (ЧЛС) не расширена с паренхиматозной перемычкой, неполное удвоение ЧЛС. Левая почка: размеры 112 × 52 мм, форма обычная, контуры четкие волнистые, паренхима 20 × 21 мм, умеренно неоднородная, кортико-медуллярнаядифференциация прослеживается, ЧЛС не расширена, слева под капсулой лоцируется гипоэхогенное образование, однородное, аваскулярное при ЦДК, овальной формы, размерами 40 × 14 мм, между верхним полюсом левой почки и аортой лоцируется образование с четкими контурами, пониженной эхогенности, однородное, аваскулярное при ЦДК, размерами 44 × 40 × 39 мм. Заключение: ультразвуковые признаки умеренных диффузных изменений паренхимы почек, кист правой почки, субкапсулярной гематомы левой почки, образование в проекции верхнего полюса левой почки необходимо дифференцировать между надпочечником и добавочной долькой селезенки”. Стоит отметить, что по данным предыдущего УЗИ почек, выполненного шестью месяцами ранее в том же лечебном учреждении, образование не визуализировалось. Была выполнена СКТ надпочечников с контрастированием: “Визуализировано образование левого надпочечника размером 41 × 42 × 56 мм, с неоднородной структурой, по периферии – единичные включения кальция, плотность образования при нативномисследовании – 33 HU, плотность на 60-й секунде – 80 HU, плотность на 10-й минуте – 56 HU, плотность в артериальную фазу – 89 HU”. Нефрологом был направлен на консультацию к эндокринологу РостГМУ.
При объективном осмотре: общее состояние удовлетворительное, индекс массы тела – 29 кг/м2, окружность талии – 89 см, артериальное давление – 160/90 мм рт.ст., ЧСС – 80 в минуту, в правой подмышечной области визуализировалась единичная багровая стрия шириной более 1 см (рис. 1).
Рис. 1. Пациент Б., багровая стрия аксиллярной области.
После первичного осмотра пациента был выставлен предварительный диагноз: инциденталома левого надпочечника. Нам предстояло ответить на два вопроса: определить злокачественный потенциал образования и его гормональную активность.
На основании высокоплотного КТ-значения в нативную фазу (33 HU), задержки контраста в отсроченную фазу (“wash-out” – абсолютный процент вымывания 30%), а также большого размера образования (41 × 42 × 56 мм) и высокой скорости роста (6 мес назад образование отсутствовало) злокачественный потенциал опухоли был оценен как высокий. Метастатическое поражение надпочечника было исключено в связи с отсутствием онкологического анамнеза у пациента.
С целью определения гормональной активности образования был выполнен супрессивный тест с 1 мг дексаметазона: кортизол плазмы на следующее утро в 08:00 – 4,03 мкг/дл (норма <1,8 мкг/дл), АКТГ – 0,55 пмоль/л (1,6–13,9 пмоль/л), метанефрин в суточной моче – 373 мкг/сут (норма <320 мкг/сут), норметанефрин в суточной моче – 464 мкг/сут (норма <390 мкг/сут). Биохимические показатели: глюкоза крови натощак – 6,8 ммоль/л, общий холестерин – 4,9 ммоль/л. С учетом незначительного повышения в суточной моче уровня метанефрина и норметанефрина на фоне большого размера образования (41 × 42 × 56 мм) феохромоцитома была исключена. Пациент был направлен в ФГБУ РНИОИ с диагнозом “адренокортикальный рак, глюкокортикоид-продуцирующий”. Была выполнена лапароскопическая адреналэктомия слева. Заключение гистологического исследования удаленного образования: “Морфологическая картина более всего соответствует феохромоцитоме, дискомплексированный вариант, с очагами некроза, кровоизлияний, инвазия стенки сосудов (рис. 2, 3). Результат иммуногистохимического исследования: S-100 – отрицательная реакция, Сhromogranin A – умеренно выраженная цитоплазматическая реакция в клетках опухоли, Synaptophysin – слабо выраженная цитоплазматическая реакция в клетках опухоли, Ki-67 – позитивная ядерная реакция в единичных клетках опухоли. Заключение: морфологическая картина и иммунофенотип более всего соответствуют феохромоцитоме”.
Рис. 2. Гистологическая картина удаленного образца надпочечника (окраска гематоксилином и эозином, ×120). Дискомплексированный вариант феохромоцитомы. Особо следует обратить внимание на неравномерную секреторную активность клеток коры надпочечника (клубочковая зона), активные светлые зоны с выраженным полнокровием.
Рис. 3. Гистологическая картина удаленного образца надпочечника (окраска гематоксилином и эозином, ×120). Феохромоцитома злокачественная с умеренным инвазивным ростом в кору надпочечника (слева направо), сосуды, некрозы и перивазарная воспалительная инфильтрация.
После получения результата иммуногистохимического исследования было принято решение о получении “второго мнения”, для этого был проведен пересмотр материала в условиях НМИЦ эндокринологии: “В доставленном материале определяются фрагменты опухоли, представленной диффузными полями и трабекулярно-альвеолярными структурами. Опухолевые клетки среднего и крупного размера с обильной эозинофильной цитоплазмой и крупными полиморфными ядрами. Строма представлена тонкими и местами гиалинизированнымифиброваскулярными септами. Отмечается сосудистая инвазия и инвазия капсулы. Митотическая активность – 1 фигура митоза в 10 полях зрения при увеличении микроскопа ×400. Выполнено иммуногистохимическое исследование с антителами к MelanA, a-Inhibin, Chromogranin A, Ki-67; с Chromogranin A реакция выраженная диффузная, с остальными антителами негативная. Уровень пролиферативной активности по экспрессии Ki-67 менее 1%. Заключение: реакция и гистологические изменения соответствуют феохромоцитоме/параганглиоме с высоким риском метастазирования (7 баллов по шкале PASS, 3 балла по шкале GAPP). ICD-O code 8700/3”.
В послеоперационном периоде у пациента развилась гипотония, что было расценено как острая надпочечниковая недостаточность, назначен кортеф в суточной дозе 30 мг. Через 6 дней после операции АКТГ – 1,13 пмоль/л (1,6–13,9 пмоль/л), кортизол плазмы в 08:00 – 649 нмоль/л (171–536 нмоль/л), глюкоза крови натощак – 4,8 ммоль/л. Выставлен заключительный диагноз: феохромоцитома левого надпочечника, глюкокортикоид-секретирующая. После оперативного лечения был постепенно отменен кортеф, стабилизировались гемодинамические показатели и уровень глюкозы крови в пределах целевых значений.
Обсуждение
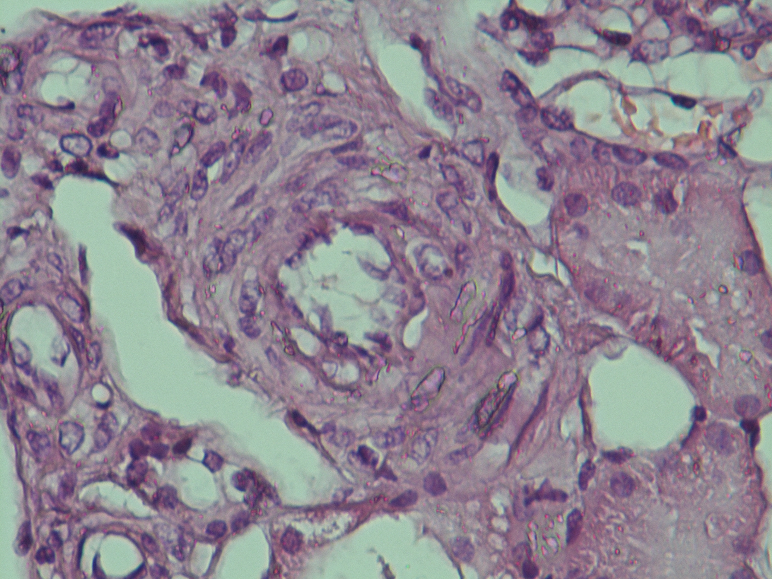
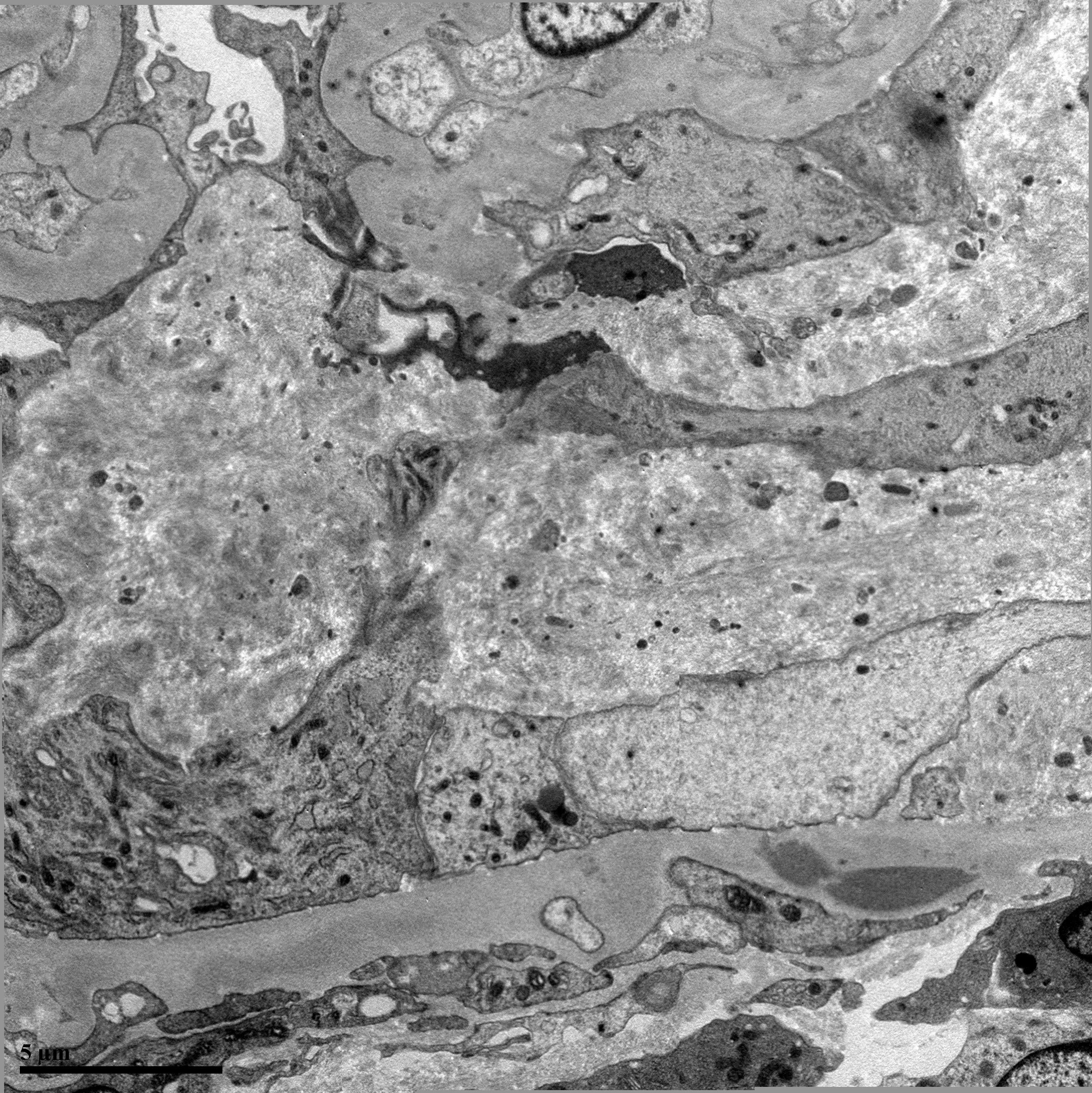
На наш взгляд, данный клинический случай представляет интерес по нескольким причинам. В первую очередь вызывало сомнение наличие у пациента гломерулонефрита, поскольку, несмотря на иммуногистохимическое описание нефробиоптата, имеется несколько противоречивых моментов: во-первых, первоначально диагноз гломерулонефрита был заподозрен на основании лишь однократного изменения в ОАМ, во-вторых, у пациента произошла спонтанная нормализация функции почек при отсутствии какого-либо специфического лечения гломерулонефрита. В связи с наличием вышеописанных противоречий нефробиоптат был пересмотрен морфологом ФГБУ РостГМУ: заключительная гистологическая картина более соответствует фокальному гломерулосклерозу с компенсаторным мембранопролиферативным процессом в клубочках. Признаки умеренно выраженной гипертензивной ангиопатии (рис. 4 а–в). Присутствует один среднего размера лимфогистиоцитарный инфильтрат (признаков системного воспалительного ответа в представленных препаратах нет). По данным электронной микроскопии нефробиоптата – утолщение базальной мембраны клубочков, местами значительное. Обширные поля сглаживания малых отростков подоцитов (рис. 5).
Рис. 4. Морфологическое описание нефробиоптатов: а – неравномерное увеличение клубочков в размере, гиперклеточность за счет умеренной пролиферации клеток мезангия (окраска гематоксилином и эозином, ×240); б – отмечается утолщение стенок артериальных сосудов с дистрофическими изменениями эндотелия как признак гипертонической ангиопатии (окраска гематоксилином и эозином, ×240); в – базальные мембраны капиллярных петель утолщены, капсулы единичных клубочков очагово склерозированы; гиалиноз отдельных клубочков (окраска гематоксилином и эозином, ×240).
Рис. 5. Электронная микроскопия нефробиоптата (окраска – импрегнация серебром, Ч10 000). Утолщение базальной мембраны клубочков, местами значительное. Обширные поля сглаживания малых отростков подоцитов.
Таким образом, нефрогенный генез синдрома артериальной гипертензии нами был исключен, вероятно, изменения в почках носят вторичный характер (следствие некомпенсированной артериальной гипертензии). На наш взгляд, неверный диагноз “гломерулонефрит” увел диагностический поиск причины артериальной гипертензии в сторону нефрогенного. Помимо этого, полученные данные позволяют думать, что клинические проявления феохромоцитомы в виде артериальной гипертензии дебютировали задолго (за 4 года) до появления изменений в структуре надпочечников. Во-вторых, КТ-характеристика (высокая плотность – 33 HU, гетерогенная, c участками различной плотности, структура), скорость роста (менее 6 мес), размер образования, незначительно повышенные уровни метанефрина и норметанефрина (16–18%) говорили в пользу адренокортикального рака. У пациента также присутствовали клинические и лабораторные признаки гиперкортицизма: багровая стрия шириной более 1 см, изменение углеводного обмена в виде нарушенной гликемии натощак, выявленное в 35 лет (следует отметить, что наследственный анамнез по диабету не отягощен), к тому же отсутствовало снижение кортизола плазмы в ходе проведения супрессивного теста с 1 мг дексаметазона и был подавлен уровень АКТГ. Эти данные позволили поставить диагноз “адренокортикальный рак, глюкокортикоид-продуцирующий”. Однако результат дважды выполненного иммуногистохимического исследования удаленного образца указывал на наличие феохромоцитомы. Таким образом, можно сказать о несоответствии между большим размером образования и его низким уровнем гормональной активности, более того, пациент благополучно перенес оперативное лечение без предварительной подготовки альфа-адреноблокаторами. И в противоположность этому после адреналэктомии развилась надпочечниковая недостаточность.
Заключение
В статье представлено описание клинического случая диагностирования феохромоцитомы, продуцирующей глюкокортикоиды. Окончательный диагноз был поставлен на основании иммуногистохимического исследования, проведенного после операции. На дооперационном этапе результаты лабораторного и инструментального обследования указывали в пользу адренокортикального рака. Это свидетельствует о том, что “идеальные” диагностические подходы дифференциальной диагностики инциденталом еще не разработаны [3]. Поэтому продолжение исследований, направленных на усовершенствование диагностического алгоритма, позволяющего на дооперационном этапе более точно определить морфологическую природу образования и его гормональную активность, актуально как в научном, так и в практическом плане.
Дополнительная информация
Конфликт интересов. Все авторы декларируют отсутствие явных и потенциальных конфликтов интересов, связанных с публикацией настоящей статьи.
Согласие пациента. Медицинские данные опубликованы с письменного согласия пациента.
Список литературы
1. Glazer HS, Weyman PJ, Sagel SS, et al. Nonfunctioning adrenal masses: incidental discovery on computed tomography. AJR Am J Roentgenol. 1982;139(1):81-85. doi: https://doi.org/10.2214/ajr.139.1.81.
2. Бельцевич Д.Г., Мельниченко Г.А., Кузнецов Н.С., и др. Российская ассоциация эндокринологов, руководство по клинической практике надпочечниковой дифференциальной диагностики. // Эндокринная хирургия. – 2016. – Т. 10. – №4. – С. 31-42. [Beltsevich DG, Melnichenko GA, Kuznetsov NS, et al. Russian Association of Endocrinologists clinical practice guideline for adrenal incidentalomas differential diagnosis. Endocrine surgery. 2016;10(4):31-42. (In Russ.)] doi: https://doi.org/10.14341/serg2016431-42.
3. Ierardi AM, Petrillo M, Patella F, et al. Interventional radiology of the adrenal glands: current status. Gland Surg. 2018;7(2):147-165. doi: https://doi.org/10.21037/gs.2018.01.04.
4. Ahn SH, Kim JH, Baek SH, et al. Characteristics of adrenal incidentalomas in a large, prospective computed tomography-based multicenter study: The COAR Study in Korea. Yonsei Med J. 2018;59(4):501-510. doi: https://doi.org/10.3349/ymj.2018.59.4.501.
5. Berruti A, Baudin E, Gelderblom H, et al. Adrenal cancer: ESMO Clinical Practice Guidelines for diagnosis, treatment and follow-up. Ann Oncol. 2012;23 Suppl 7:vii131-138. doi: https://doi.org/10.1093/annonc/mds231.
6. Fassnacht M, Arlt W, Bancos I, et al. Management of adrenal incidentalomas: European Society of Endocrinology Clinical Practice Guideline in collaboration with the European Network for the Study of Adrenal Tumors. Eur J Endocrinol. 2016; 175(2):G1-G34. doi: https://doi.org/10.1530/EJE-16-0467.
Об авторах
Наталья Ивановна ВолковаФГБУ Ростовский государственный медицинский университет
Россия
д.м.н., профессор
Лилия Александровна Ганенко
ФГБУ Ростовский государственный медицинский университет
Россия
ассистент
Владимир Юрьевич Мажухин
ФГБУ Ростовский государственный медицинский университет
Россия
начальник отдела фундаментальной и клинической морфологии
Алексей Николаевич Шевченко
ФГБУ Ростовский научно-исследовательский онкологический институт
Россия
д.м.н., профессор
Дополнительные файлы
|
|
1. Рис. 1. Пациент Б., багровая стрия аксиллярной области. | |
| Тема | ||
| Тип | Исследовательские инструменты | |
Посмотреть
(504KB)
|
Метаданные ▾ | |
|
|
2. Рис. 2. Гистологическая картина удаленного образца надпочечника (окраска гематоксилином и эозином, ×120). Дискомплексированный вариант феохромоцитомы. Особо следует обратить внимание на неравномерную секреторную активность клеток коры надпочечника (клубочковая зона), активные светлые зоны с выраженным полнокровием. | |
| Тема | ||
| Тип | Исследовательские инструменты | |
Посмотреть
(551KB)
|
Метаданные ▾ | |
|
|
3. Рис. 3. Гистологическая картина удаленного образца надпочечника (окраска гематоксилином и эозином, ×120). Феохромоцитома злокачественная с умеренным инвазивным ростом в кору надпочечника (слева направо), сосуды, некрозы и перивазарная воспалительная инфильтрация. | |
| Тема | ||
| Тип | Исследовательские инструменты | |
Посмотреть
(2MB)
|
Метаданные ▾ | |
|
|
4. Рис. 4. Морфологическое описание нефробиоптатов: а – неравномерное увеличение клубочков в размере, гиперклеточность за счет умеренной пролиферации клеток мезангия (окраска гематоксилином и эозином, ×240); б – отмечается утолщение стенок артериальных сосудов с дистрофическими изменениями эндотелия как признак гипертонической ангиопатии (окраска гематоксилином и эозином, ×240); в – базальные мембраны капиллярных петель утолщены, капсулы единичных клубочков очагово склерозированы; гиалиноз отдельных клубочков (окраска гематоксилином и эозином, ×240). | |
| Тема | ||
| Тип | Исследовательские инструменты | |
Посмотреть
(1MB)
|
Метаданные ▾ | |
|
|
5. Рисунок 4Б | |
| Тема | ||
| Тип | Research Instrument | |
Посмотреть
(2MB)
|
Метаданные ▾ | |
|
|
6. Рисунок 4В | |
| Тема | ||
| Тип | Research Instrument | |
Посмотреть
(2MB)
|
Метаданные ▾ | |
|
|
7. Рисунок 5 | |
| Тема | ||
| Тип | Research Instrument | |
Посмотреть
(1MB)
|
Метаданные ▾ | |
|
|
8. Рис. 5. Электронная микроскопия нефробиоптата (окраска – импрегнация серебром, Ч10 000). Утолщение базальной мембраны клубочков, местами значительное. Обширные поля сглаживания малых отростков подоцитов. | |
| Тема | ||
| Тип | Исследовательские инструменты | |
Посмотреть
(525KB)
|
Метаданные ▾ | |
Рецензия
Для цитирования:
Волкова Н.И., Ганенко Л.А., Мажухин В.Ю., Шевченко А.Н. Дифференциальная диагностика образования надпочечника: описание редкого клинического случая. Эндокринная хирургия. 2018;12(3):150-156. https://doi.org/10.14341/serg10033
For citation:
Volkova N.I., Ganenko L.A., Mazhuhin V.Y., Shevchenko A.N. Differential diagnosis of adrenal gland tumor: rare case report. Endocrine Surgery. 2018;12(3):150-156. (In Russ.) https://doi.org/10.14341/serg10033
Контент доступен под лицензией Creative Commons Attribution-NonCommercial-NoDerivatives 4.0 International License (CC BY-NC-ND 4.0).




































