Parathyroid glands: the normal development, anatomy and histological structure
https://doi.org/10.14341/serg10039
Abstract
Parathyroid glands (PG) are endocrine glands, which are the most important humoral regulators of calcium and phosphorus metabolism in the body. They were first described by an Englishman Richard Owen in 1849. Most of patients have four PG – upper and lower. In 13% of cases there are more than four PG. The glands arise as diverticula from the endoderm of the third and fourth branchial pouches between the fifth and twelfth week of gestation. The IV branchial pouch forms the upper gland, and III pouch forms the inferior gland.
The parathyroid hormone production has been demonstrated as early as 83/7 weeks gestational age. The formation, migration, differentiation and functioning of the PGs are determined by a number of genes and changes in them could lead to disfunction in these processes. The ectopic of PG is possible when migration violation (up to 22% of cases). The most common location of the ectopic PG is parenchyma of the thymus and thyroid gland. Each PG is richly vascularized and it is surrounded by a thin connective tissue. In adults, there are two types of parenchymal cells: the chief cells (active and inactive forms) and the oxyphil cells. During the life, the ratio of types of parenchymal cells and their activity have been changing, as well as the characteristics of the stroma.
About the Authors
Natalia G. MokryshevaEndocrinology Research Centre
Russian Federation
MD, PhD, Professor
Julia A. Krupinova
Endocrinology Research Centre
Russian Federation
MD
Iya A. Voronkova
Endocrinology Research Centre; M.F. Vladimirskiy Moscow Regional Research Clinical Institute
Russian Federation
MD, PhD
References
1. Hoorn EJ, Zietse R. Disorders of calcium and magnesium balance: a physiology-based approach. Pediatr Nephrol. 2013;28(8):1195-1206. doi: https://doi.org/10.1007/s00467-012-2350-2.
2. Komoroski M, Azad N, Camacho P. Disorders of bone and bone mineral metabolism. Handb Clin Neurol. 2014; 120:865-887. doi: https://doi.org/10.1016/B978-0-7020-4087-0.00058-9.
3. Owen R. On the anatomy of the Indian rhinoceros. Trans Zool Soc Lond. 1852;(4):31-58. doi: https://doi.org/10.1111/j.1469-7998.1862.tb08046.x.
4. Eknoyan G. A history of the parathyroid glands. Am J Kidney Dis. 1995;26(5):801-807. doi: https://doi.org/10.1016/0272-6386(95)90447-6.
5. Recklinghausen FV. Die fibröse oder deformierende Ostitis, die Osteomalazie und die osteoplastische Karzinose in ihren gegenseitigen Beziehungen. In: Festschrift fur Rudolf Virchow. Berlin; 1891. p. 1-89.
6. Erdheim J. Über die Dentinverkalkung im Nagezahn bei der Epithelkörperchentransplantation. Frankfurt Z Pathol. 1911; 7:295-347.
7. Черенько С.М. Первичный гиперпаратиреоз: основы патогенеза, диагностики и хирургического лечения. Монография. – Киев; 2011. – С. 7-13. [Cheren'ko SM. Pervichnyy giperparatireoz: osnovy patogeneza, diagnostiki i khirurgicheskogo lecheniya. Monograph. Kiev; 2011. p. 7-13. (In Russ.)]
8. Mandl F. Therapeutischer Versuch bei Ostitis fibrosa generalisata mittels Extirpation eines Epithelkörperchentumors. Wien Klin Wschr.1925;50:1343-1344.
9. Cope O. The study of hyperparathyroidism at the Massachusetts General Hospital. N Engl J Med. 1966;274(21):1174-1182. doi: https://doi.org/10.1056/NEJM196605262742105.
10. Макаров И.В. Гиперпаратиреоз: Учебно-методическое пособие для интернов, клинических ординаторов, врачей общей практики, эндокринологов и хирургов. – Самара: Офорт; 2014. – C. 4-7. [Makarov IV. Giperparatireoz: Uchebno-metodicheskoe posobie dlya internov, klinicheskikh ordinatorov, vrachey obshchey praktiki, endokrinologov i khirurgov. Samara: Ofort; 2014. p. 4-7. (In Russ.)]
11. Welsh DA. Concerning the parathyroid glands: a critical, anatomical, and experimental study. J Anat Physiol. 1898; 32(Pt 2):292-307.
12. Gilmour JR. The embryology of the parathyroid glands, the thymus and certain associated rudiments. J Pathol Bacteriol. 1937;45(3):507-522. doi: https://doi.org/10.1002/path.1700450304.
13. Weller GL Jr. Development of the thyroid, parathyroid and thymus glands in man. Contrib Embryol Carnegie Inst Wash. 1933;24:93-140.
14. Norris EH. The parathyroid glands and the lateral thyroid in man: their orphogenesis, istogenesis, topographic anatomy and prenatal growth. Contrib Endocrinol Carnegie Intst Wash. 1937;26:247-307.
15. Xu PX, Zheng W, Laclef C, et al. Eya1 is required for the morphogenesis of mammalian thymus, parathyroid and thyroid. Development. 2002;129(13):3033-3044.
16. Graham A. Development of the pharyngeal arches. Am J Med Genet A. 2003;119A(3):251-256. doi: https://doi.org/10.1002/ajmg.a.10980.
17. Grevellec A, Tucker AS. The pharyngeal pouches and clefts: Development, evolution, structure and derivatives. Semin Cell Dev Biol. 2010;21(3):325-332. doi: https://doi.org/10.1016/j.semcdb.2010.01.022.
18. Le Lievre CS, Le Douarin NM. Mesenchymal derivatives of the neural crest: analysis of chimaeric quail and chick embryos. J Embryol Exp Morphol. 1975;34(1):125-154.
19. Roth SI, Sadow PM, Johnson NB, Abu-Jawdeh GM. Parathyroid. In: Mills SE. Histology for Pathologists. 4th ed. Philadelphia: Lippincott Williams & Wilkins; 2012. p. 1209-1211.
20. Norris EH. Anatomical evidence of prenatal function of the human parathyroid glands. Anat Rec. 1946;96(2):129-141. doi: https://doi.org/10.1002/ar.1090960205.
21. Nakagami K, Yamazaki Y, Tsunoda Y. An electron microscopic study of the human fetal parathyroid gland. Z Zellforch Microsk Anat. 1967;85(1):89-95. doi: https://doi.org/10.1007/bf00330589.
22. Ishizak N, Shoumura S, Emura S, et al. Ultrastructure of the parathyroid gland of the mouse fetus after calcium chloride or ethylenediaminetetraacetic acid administration. Cells Tissues Organs. 1989;135(2):164-170. doi: https://doi.org/10.1159/000146747.
23. Leroyer-Alizon E, David L, Anast CS, Dubois PM. Immunocytological evidence for parathyroid hormone in human fetal parathyroid glands. J Clin Endocrinol Metab. 1981;52(3): 513-516. doi: https://doi.org/10.1210/jcem-52-3-513.
24. Scothorne RJ. Functional capacity of fetal parathyroid glands with reference to their clinical use as homografts. Ann N Y Acad Sci. 2006;120(2):669-676. doi: https://doi.org/10.1111/j.1749-6632.1965.tb30693.x.
25. MacIsaac RJ, Heath JA, Rodda CP, et al. Role of the fetal parathyroid glands and parathyroid hormone-related protein in the regulation of placental transport of calcium, magnesium and inorganic phosphate. Reprod Fertil Dev. 1991; 3(4):447. doi: https://doi.org/10.1071/rd9910447.
26. Genetic Control of Parathyroid Gland Development. In: Naveh-Many T. Molecular Biology of the Parathyroid. Boston: Springer; 2005. p. 3-6. doi: https://doi.org/10.1007/0-387-27530-4.
27. Takihara Y, Tomotsune D, Shirai M, et al. Targeted disruption of the mouse homologue of the Drosophila polyhomeotic gene leads to altered anteroposterior patterning and neural crest defects. Development. 1997;124(19):3673-3682.
28. Chisaka O, Capecchi MR. Regionally restricted developmental defects resulting from targeted disruption of the mouse homeobox gene hox-1.5. Nature. 1991;350(6318):473-479. doi: https://doi.org/10.1038/350473a0.
29. Manley NR, Capecchi MR. Hox group 3 paralogs regulate the development and migration of the thymus, thyroid, and parathyroid glands. Dev Biol. 1998;195(1):1-15. doi: https://doi.org/10.1006/dbio.1997.8827.
30. Peters H, Neubuser A, Kratochwil K, Balling R. Pax9-deficient mice lack pharyngeal pouch derivatives and teeth and exhibit craniofacial and limb abnormalities. Genes Dev. 1998;12(17): 2735-2747. doi: https://doi.org/10.1101/gad.12.17.2735.
31. Kim J, Jones BW, Zock C, et al. Isolation and characterization of mammalian homologs of the Drosophila gene glial cells missing. Proc Natl Acad Sci USA. 1998;95(21):12364-12369. doi: https://doi.org/10.1073/pnas.95.21.12364.
32. Gunther T, Chen ZF, Kim J, et al. Genetic ablation of parathyroid glands reveals another source of parathyroid hormone. Nature. 2000;406(6792):199-203. doi: https://doi.org/10.1038/35018111.
33. Ding C, Buckingham B, Levine MA. Familial isolated hypoparathyroidism caused by a mutation in the gene for the transcription factor GCMB. J Clin Invest. 2001;108(8): 1215-1220. doi: https://doi.org/10.1172/JCI13180.
34. Su D, Ellis S, Napier A, et al. Hoxa3 and pax1 regulate epithelial cell death and proliferation during thymus and parathyroid organogenesis. Dev Biol. 2001;236(2):316-329.
35. doi: https://doi.org/10.1006/dbio.2001.0342.
36. Merscher S, Funke B, Epstein JA, et al. TBX1 is responsible for cardiovascular defects in velo-cardio-facial/DiGeorge syndrome. Cell. 2001;104(4):619-629. doi: https://doi.org/10.1016/s0092-8674(01)00247-1.
37. Lindsay EA, Vitelli F, Su H, et al. Tbx1 haploinsufficieny in the DiGeorge syndrome region causes aortic arch defects in mice. Nature. 2001;410(6824):97-101. doi: https://doi.org/10.1038/35065105.
38. Garg V, Yamagishi C, Hu T, et al. Tbx1, a DiGeorge syndrome candidate gene, is regulated by sonic hedgehog during pharyngeal arch development. Dev Biol. 2001;235(1):62-73. doi: https://doi.org/10.1006/dbio.2001.0283.
39. Jerome LA, Papaioannou VE. DiGeorge syndrome phenotype in mice mutant for the T-box gene, Tbx1. Nat Genet. 2001;27(3):286-291. doi: https://doi.org/10.1038/85845.
40. Guris DL, Fantes J, Tara D, et al. Mice lacking the homologue of the human 22q11.2 gene CRKL phenocopy neurocristopathies of DiGeorge syndrome. Nat Genet. 2001;27(3): 293-298. doi: https://doi.org/10.1038/85855.
41. Wang C-A. The anatomic basis of parathyroid surgery. Ann Surg. 1976;183(3):271-275. doi: https://doi.org/10.1097/00000658-197603000-00010.
42. Thompson MW, Gauger PG. Ectopic locations of parathyroid glands. In: Bilezikian JP, Marcus R, Levine MA, editors. The Parathyroids: Basic and Clinical Concepts. 2nd ed. San Diego: Academic Press; 2001. p. 499-514.
43. Adami S, Marcocci C, Gatti D. Epidemiology of primary hyperparathyroidism in Europe. J Bone Miner Res. 2002; 17 Suppl 2:N18-23.
44. Gomes EMS, Nunes RC, Lacativa PGS, et al. Ectopic and extranumerary parathyroid glands location in patients with hyperparathyroidism secondary to end stage renal disease. Acta Cir Bras. 2007;22(2):105-109. doi: https://doi.org/10.1590/s0102-86502007000200005.
45. Gunasekaran S, Wallace H, Snowden C, et al. Parathyroid ectopia: development of a surgical algorithm based on operative findings. J Laryngol Otol. 2015;129(11):1115-1120. doi: https://doi.org/10.1017/S0022215115002273.
46. Phitayakorn R, McHenry CR. Incidence and location of ectopic abnormal parathyroid glands. Am J Surg. 2006;191(3): 418-423. doi: https://doi.org/10.1016/j.amjsurg.2005.10.049.
47. Roy M, Mazeh H, Chen H, Sippel RS. Incidence and localization of ectopic parathyroid adenomas in previously unexplored patients. World Journal of Surgery. 2012;37(1): 102-106. doi: https://doi.org/10.1007/s00268-012-1773-z.
48. Liu Z, Farley A, Chen L, et al. Thymus-associated parathyroid hormone has two cellular origins with distinct endocrine and immunological functions. PLoS Genet. 2010;6(12):e1001251. doi: https://doi.org/10.1371/journal.pgen.1001251.
49. Oertli D, Udelsman R, editors. Surgery of the Thyroid and Parathyroid Glands. Berlin Heidelberg: Springer; 2012.
50. Bellantone R, Boscherini M, Lombardi CP, et al. Is the identification of the external branch of the superior laryngeal nerve mandatory in thyroid operation? Results of a prospective randomized study. Surgery. 2001;130(6):1055-1059. doi: https://doi.org/10.1067/msy.2001.118375.
51. Droulias C, Tzinas S, Harlaftis N, et al. The superior laryngeal nerve. Am Surg. 1976;42(9):635-638.
52. Sherman JH, Colborn GL. Absence of the left inferior thyroid artery: clinical implications. Clin Anat. 2003;16(6):534-537. doi: https://doi.org/10.1002/ca.10195.
53. Page C, Foulon P, Strunski V. The inferior laryngeal nerve: surgical and anatomic considerations. Report of 251 thyroidectomies. Surg Radiol Anat. 2003;25(3-4):188-191. doi: https://doi.org/10.1007/s00276-003-0129-7.
54. Sturniolo G, D’Alia C, Tonante A, et al. The recurrent laryngeal nerve related to thyroid surgery. Am J Surg. 1999;177(6): 485-488. doi: https://doi.org/10.1016/s0002-9610(99)00101-4.
55. Казанцева И.А., Калинин А.П., Богатырев О.П. Принципы клинико-морфологического исследования околощитовидных желез при гиперпаратиреозе. Информационное письмо. – М.; 1997. – С. 3-15. [Kazantseva IА, Kalinin АP, Bogatyrev OP. Printsipy kliniko-morfologicheskogo issledovaniya okoloshchitovidnykh zhelez pri giperparatireoze. Information letter. Moscow; 1997. p. 3-15. (In Russ.)]
Supplementary files
|
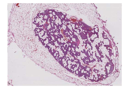
1. Pic 1. The normal structure of OSS of an overweight patient (stained with hematoxylin and eosin, HC 4). | |
Subject | ||
Type | Исследовательские инструменты | |
View
(130KB)
|
Indexing metadata ▾ |
|
2. Fig. 2. Normal structure of OAS (staining with hematoxylin and eosin, H200). OSZHZh enclosed in a thin connective tissue capsule (arrow). The parenchyma of the gland is represented mainly by the main cells [1] in different phases of the secretory cycle, there are clusters of oxyphilic cells [2]. In the stroma, adipocytes [3] and a well-developed vascular network. | |
Subject | ||
Type | Исследовательские инструменты | |
View
(122KB)
|
Indexing metadata ▾ |
Review
For citations:
Mokrysheva N.G., Krupinova J.A., Voronkova I.A. Parathyroid glands: the normal development, anatomy and histological structure. Endocrine Surgery. 2018;12(4):178-187. (In Russ.) https://doi.org/10.14341/serg10039

This work is licensed under a Creative Commons Attribution-NonCommercial-NoDerivatives 4.0 International License (CC BY-NC-ND 4.0).