Первичная лейомиосаркома надпочечника: клинический случай и обзор литературы
https://doi.org/10.14341/serg12711
Аннотация
Лейомиосаркома надпочечника – это редкая мезенхимиальная опухоль надпочечников, диагностика которой происходит чаще всего после того, как она достигает больших размеров. Первичная лейомиосаркома надпочечников встречается крайне редко: в англоязычной литературе ранее сообщалось только о 45 клинических наблюдениях. Мы представляем клинический случай 46-летнего мужчины с образованием правого надпочечника размерами 12х8х7,5 см. Пациенту было проведено оперативное вмешательство в объеме правосторонняя адреналэктомия, нефрэктомия, пластика нижней полой вены. Фенотип подтвержден световой микроскопией и иммуногистохимией. Микроскопическое исследование опухоли представлено из веретеновидных и полиморфных клеток, формирующих разнонаправленные пучковые структуры, имеющие высокую скорость митоза. Иммуногистохимически опухолевые клетки оказались положительны на актин гладких мышц, СD - 34, CD – 117.
Об авторах
С. В. ЛукьяновРоссия
Лукьянов Станислав Викторович, к.м.н., доцент, elibrary SPIN: 4181-8431
К. М. Бликян
Россия
Бликян Карина Михайловна, к.м.н., Россия, 344022, Ростов-на-Дону, пер. Нахичеванский, д. 29, elibrary SPIN: 9918-5979
С. С. Тодоров
Россия
Тодоров Сергей Сергеевич, д.м.н., доцент, Scopus author ID: 7005217473, elibrary SPIN: 4404-3176
В. Ю. Дерибас
Россия
Дерибас Виктория Юрьевна, ассистент, Scopus author ID: 57217475386, elibrary SPIN: 8700-5205
Н. С. Лукьянов
Россия
Лукьянов Никита Станиславович, старший лаборант
Список литературы
1. Choi Sh, Liu K. Adrenal leiomyosarcoma and its angiographic features: a clinical case. J Surg Oncol. 1981;16(2):145-148. doi: https://doi.org/10.1002/jso.2930160205
2. Fletcher CDM. WHO classification of soft tissue and bone tumors. Lyon: IARC Press; 2013.
3. Etten B, van Ijken MG, Mooi WJ, et al. Primary adrenal leiomyosarcoma. Sarcoma. 2001;5(2):95-99. doi: https://doi.org/10.1155/S1357714X01000184
4. Sakellariu M, Dellaportas D, Grapsa E., et al. Primary adrenal leiomyosarcoma: a case report. Mol Wedge Oncol. 2020;12(4):317-320. doi: https://doi.org/10.3892/mco.2020.1987
5. Fassnacht M, Libé R, Kroiss M, et al. Adrenocortical carcinoma: a clinician’s update. Nat Rev Endocrinol. 2011;7(6):323-335. doi: https://doi.org/10.1038/nrendo.2010.235
6. Matsui Y, Fujikawa K, Oka H, et al. Adrenal leiomyosarcoma spreading into the right atrium. Int J Urol. 2002;9(1):54-56. doi: https://doi.org/10.1046/j.1442-2042.2002.00413.x
7. Nerli RB, Ghagane S, Dixit NS, et al. Adrenal leiomyosarcoma in a young adult male. Int Cancer Conf J. 2020;9(1):14-17. doi: https://doi.org/10.1007/s13691-019-00387-1
8. Li J, Liang P, Zhang D, et al. Primary carcinosarcoma of the liver: imaging features and clinical findings in six cases and a review of the literature. Cancer Imaging. 2018;18(1):7. doi: https://doi.org/10.1186/s40644-018-0141-0
9. Lack EE, Graham KV, Azumi N., et al. Primary adrenal leiomyosarcoma. Case report with immunohistochemical and ultrastructural study. Am J Surg Pathol. 1991;15(9):899-905. doi: https://doi.org/10.1097/00000478-199109000-00011
10. Gong X, Yu Y, Zhan W. Ultrasonographic data of 1385 adrenal masses: a retrospective study of 1319 benign and 66 malignant masses. J Ultrasound Med. 2019;38(9):2249-2257. doi: https://doi.org/10.1002/jum.14471
11. Wong S, Von Oppell WO, Scott-Coombs D. Cold feet from adrenal leiomyosarcoma. JR Soc Med. 2005;98(9):418-420. doi: https://doi.org/10.1258/jrsm.98.9.418
12. Ozturk H. The defeat of the vena cava leiomyosarcoma of the adrenal glands. Rare tumors. 2014;6(2):5275. doi: https://doi.org/10.4081/rt.2014.5275
13. Zetler PJ, Filipenko YD, Bilby JH, Schmidt N. Primary adrenal leiomyosarcoma in a man with acquired immunodeficiency syndrome (AIDS). Further evidence of an increase in the number of smooth muscle tumors associated with Epstein-Barr infection in AIDS. Arch Pathol Lab Med. 1995;119(12):1164-1167.
14. Linos D, Kiriakopoulos AC, Tsakayannis DE, Theodoridou M, Chrousos G. Laparoscopic excision of bilateral primary adrenal leiomyosarcoma in a 14-year-old girl with acquired immunodeficiency syndrome (AIDS). Surgery. 2004;136(5):1098-1100. doi: https://doi.org/10.1016/j.surg.2003.07.007
15. Candanedo-Gonzalez FA, Vela Chavez T, Serbulo-Vasquez A. Pleomorphic adrenal leiomyosarcoma with giant osteoclast-like cells. Endocr Pathol. 2005;16(1):75-81. doi: https://doi.org/10.1385/ep:16:1:075
16. Quildrian S, Califano I, Carrizo F, et al. Primary adrenal leiomyosarcoma treated with laparoscopic adrenalectomy. Endocrinol Nutr. 2015;62(9):472-473. doi: https://doi.org/10.1016/j.endonu.2015.05.008
17. Tomasich FD, Luz Mde A, Kato M, et al. [Primary adrenal leiomyosarcoma]. Arq Bras Endocrinol Metabol. 2008;52(9):1510-1514. doi: https://doi.org/10.1590/s0004-27302008000900017
18. Karaosmanoglu AD, Gee MS. Sonographic data of adrenal leiomyosarcoma. J Ultrasound Med. 2010;29(9):1369-1373. doi: https://doi.org/10.7863/jum.2010.29.9.1369
19. Kanthan R, Senger JL, Kanthan S. Three unusual adrenal incidentalomas: a 13-year review of surgical pathology. World of J Surg Oncol. 2012;10:64. doi: https://doi.org/10.1186/1477-7819-10-64
20. Shao IH, Li VK, Chen TD, Chan YJ. Leiomyosarcoma of the adrenal vein. Chang Gung Med J. 2012;35(5):428-431. doi: https://doi.org/10.4103/2319-4170.105475
21. Chen F, Lee V. Retroperitoneal leiomyosarcoma. In: Luo CH, editor. Retroperitoneal tumors: clinical management. Dordrecht: Springer Netherlands; 2018. P. 163-167. doi: https://doi.org/10.1016/j.dld.2017.10.002
22. Surov A, Kehler J, Vinke A, et al. Muscle metastases: comparison of characteristics of various primary tumors. Cancer imaging. 2014;14:21. doi: https://doi.org/10.1186/1470-7330-14-21
23. Goto J, Otsuka F, Kodera R, et al. A Rare Tumor in the Adrenal Region: Neuron-specific Enolase (NSE)-Producing Leiomyosarcoma in an Elderly Hypertensive Patient. Endocr J. 2008;55(1):175-181. doi: https://doi.org/10.1507/endocrj.K07E-020
24. Hamada S, Ito K, Tobe M., et al. Bilateral adrenal LMS is treated with several topical treatments. Int J Clin Oncol. 2009;14(4):356-360. doi: https://doi.org/10.1007/s10147-008-0844-5
25. Taniguchi A, Ujike T, Fujita K, et al. A case of adrenal leiomyosarcoma. Hinyokika Kiyo. 2017;63(11):465-469. doi: https://doi.org/10.14989/ActaUrolJap_63_11_465
26. Van Laarkhoven HV, Vinken M, Moose R, et al. Diagnostic obstacle for an elderly man with bone pain: how 18F-FDG-PET led to the diagnosis of adrenal leiomyosarcoma. Anticancer Res. 2009;29(2):469-472
27. Lee S, Tanawit GD, Lopez RA, et al. Primary adrenal leiomyosarcoma with tissue eosinophilic infiltration. Korean J Pathol. 2014;48(6):423-425. doi: 10.4132/KoreanJPathol.2014.48.6.423
28. Gulpinar MT, Yildirim A, Gukluer B, et al. Primary adrenal leiomyosarcoma: a clinical case with immunohistochemistry and literature review. Case Rep Urol. 2014;2014:489630. doi: https://doi.org/10.1155/2014/489630
29. Doppalapudi SK, Shah T, Fitzhugh VA, Bargman V. Primary adrenal leiomyosarcoma with dilatation of the inferior vena cava in a 70-year-old man. BMJ Case Rep. 2019;12(3). doi: https://doi.org/10.1136/bcr-2018-227670
30. Alam MM, Nasser MF, Islam MF, Rahman MA. Primary adrenal leiomyosarcoma in an adult woman. Mymensingh Med J. 2014;23(2):380-383.
31. Van TS, Okal IT, Salem RR, et al. Leiomyosarcoma of the adrenal vein: a new approach to surgical resection. World of J Surg Oncol. 2007;5:109 doi: https://doi.org/10.1186/1477-7819-5-109
32. Deshmuk SD, Babanagare SV, Anand M, et al. Primary adrenal leiomyosarcoma: a clinical case with immunohistochemical study and literature review. J Cancer Res Ther. 2013;9(1):114-116. doi: https://doi.org/10.4103/0973-1482.110394
33. Wei J, Song A, Tao J, et al. Primary adrenal leiomyosarcoma: case description and literature review. Int J Surg Pathol. 2014;22(8):722-726. doi: https://doi.org/10.1177/1066896914526777
34. Onishi T, Yanagihara Y, Kikugawa T. et al. Primary adrenal leiomyosarcoma with lymph node metastases: a case report. World of J Surg Oncol. 2016;14(1):176. doi: https://doi.org/10.1186/s12957-016-0936-z
35. Li ChV, Tsang YuM, Liu KL. Primary adrenal leiomyosarcoma. Abdominal imaging. 2006;31(1):123-124. doi: https://doi.org/10.1007/s00261-005-0343-3
36. Mohanty SK, Balani JP, Parwani AV. Pleomorphic adrenal leiomyosarcoma: case and literature review. Urology. 2007;70(3):591. e5-7 doi: https://doi.org/10.1016/j.urology.2007.07.029
37. Mencoboni M, Bergallo M, Truini M, Varaldo M. Primary adrenal leiomyosarcoma: case and literature review. Clin Med Oncol. 2008;2:353-356. doi: https://doi.org/10.4137/cmo.s627
38. Bhalla A, Sandhu F, Sieber S. Primary adrenal leiomyosarcoma: case report and literature review. Conn Med. 2014;78(7):403-407
39. Mulani SR, Stoner P, Schlachterman A, et al. First Reported Case of Endoscopic Ultrasound-Guided Core Biopsy Yielding Diagnosis of Primary Adrenal Leiomyosarcoma. Case Rep Gastrointest Med. 2018;2018:1-3. doi: https://doi.org/10.1155/2018/8196051
40. Tambu TP, Lew LK, Raju GK. Leiomyosarcoma of the adrenal glands: a clinical case and a review of the literature. Pathology. 2003;35(1):47-49
41. Nagaraj V, Mustafa M, Amin E, et al. Primary Adrenal Leiomyosarcoma in an Arab Male: A Rare Case Report with Immunohistochemistry Study. Case Rep Surg. 2015;2015:1-4. doi: https://doi.org/10.1155/2015/702541
42. Kato T, Kato T, Sakamoto S, et al. Primary adrenal leiomyosarcoma with thrombosis of the inferior vena cava . Int J Clin Oncol. 2004;9(3):189-192. doi: https://doi.org/10.1007/s10147-004-0383-7
43. Nanpo I, Kuramoto T, Mori T, et al. Primary adrenal LMS: case report. Nihon Hinyokika Gakkai Zassi. 2009;100(6):640-645. doi: https://doi.org/10.5980/jpnjurol.100.640
44. Hisaoka M, Wei-Qi S, Jiang V, et al. Specific but variable expression of h-caldesmon in leiomyosarcomas: immunohistochemical reevaluation of a new myogenic marker. Appl Immunohistochem Mol Morphol. 2001;9(4):302-308. doi: https://doi.org/10.1097/00129039-200112000-00003
Дополнительные файлы
|
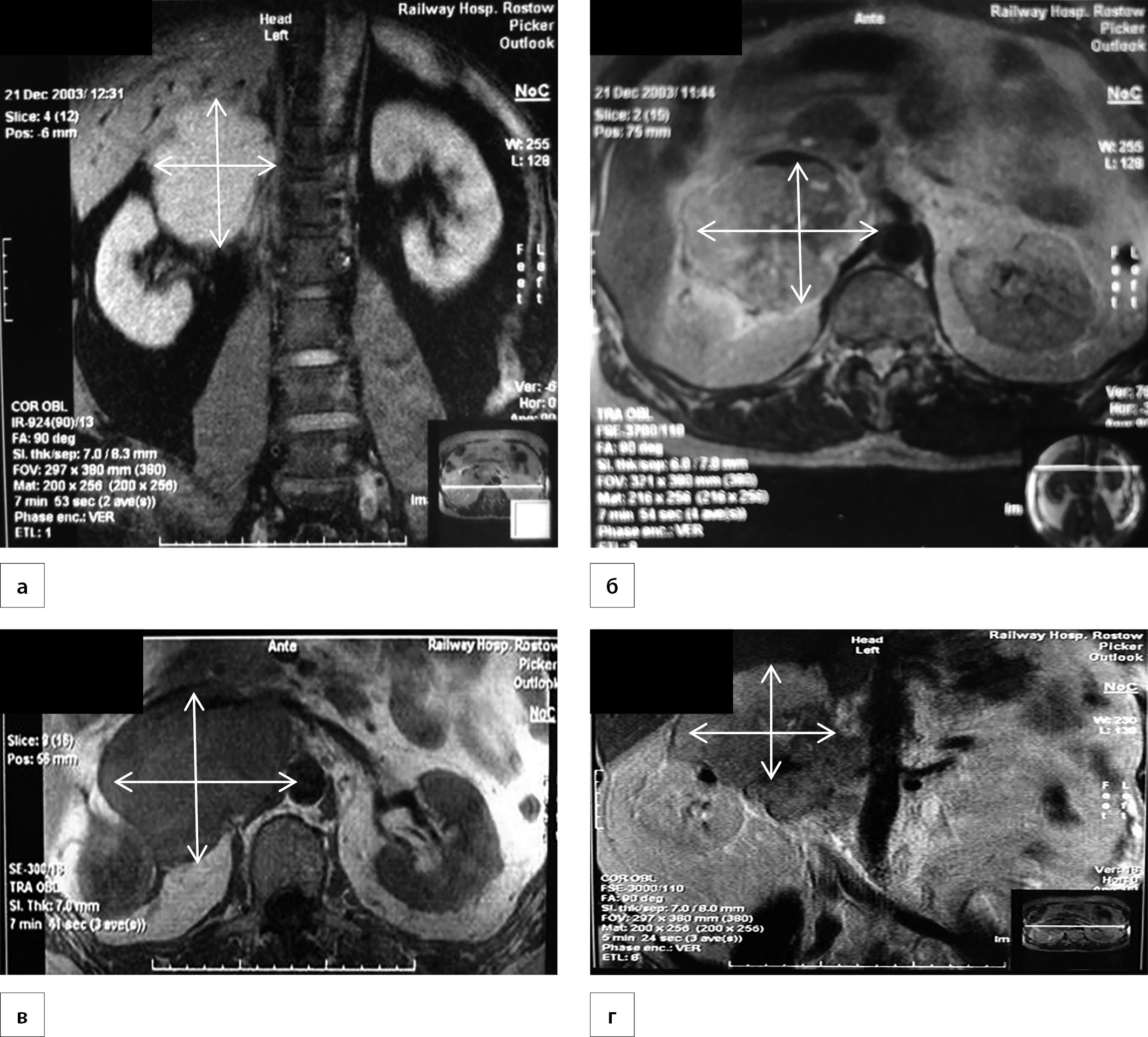
1. Рисунок 1. Магнитно-резонансные изображения лейомиосаркомы правого надпочечника, на снимках изображено четко очерченное неоднородное образование над правой почкой (указано стрелками): Т1-взвешенные изображения в коронарном срезе (а) и сагиттальном срезе (б, в, г). | |
Тема | ||
Тип | Исследовательские инструменты | |
Посмотреть
(518KB)
|
Метаданные ▾ |
|
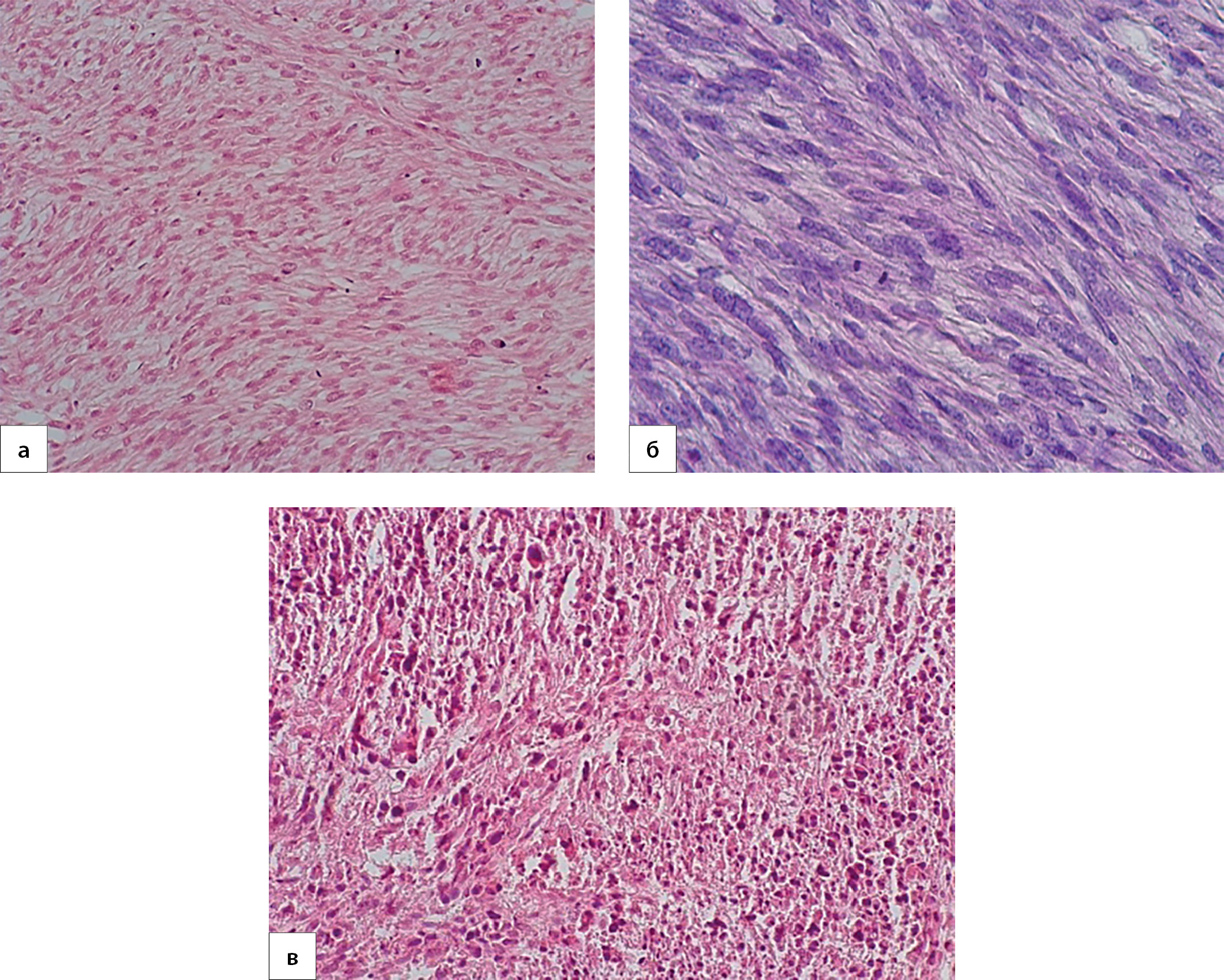
2. Рисунок 2. Лейомиосаркома правого надпочечника: а — веретеновидные клетки с эозинофильной цитоплазмой, формирующие разнонаправленные пучковые структуры (увеличение ×200, окрашивание — гематоксилин-эозин); б — фигуры митозов, в том числе атипичных (увеличение ×400, окрашивание — РАS-реакция); в — очаги некрозов, крупные клетки с уродливыми гиперхромными ядрами (увеличение ×200, окрашивание — гематоксилин-эозин). | |
Тема | ||
Тип | Исследовательские инструменты | |
Посмотреть
(892KB)
|
Метаданные ▾ |
|
3. Неозаглавлен | |
Тема | ||
Тип | Прочее | |
Посмотреть
(1MB)
|
Метаданные ▾ |
|
4. Рисунок 3. Лейомиосаркома правого надпочечника: а — яркая мембранно-цитоплазматическая экспрессия специализированного гладкомышечного актина (увеличение ×200, иммуногистохимия (ИГХ) с антителом к SMA); б — реакция негативная в клетках опухоли (увеличение ×200, ИГХ с антителом к протеину S-100); в — индекс пролиферации 70% (увеличение ×200, Ki-67); г — яркая экспрессия в стенках многочисленных кровеносных сосудов в ткани опухоли, мембранно-цитоплазматическая экспрессия в части опухолевых клеток (увеличение ×200, ИГХ с антителом к CD-34); д — дискретная ядерная экспрессия в клетках опухоли (увеличение ×200, ИГХ с антителом к CD-117). | |
Тема | ||
Тип | Исследовательские инструменты | |
Посмотреть
(1MB)
|
Метаданные ▾ |
Рецензия
Для цитирования:
Лукьянов С.В., Бликян К.М., Тодоров С.С., Дерибас В.Ю., Лукьянов Н.С. Первичная лейомиосаркома надпочечника: клинический случай и обзор литературы. Эндокринная хирургия. 2021;15(1):36-42. https://doi.org/10.14341/serg12711
For citation:
Lukyanov S.V., Blikyan K.M., Todorov S.S., Deribas V.Y., Lukyanov N.S. Primary adrenal leiomyosarcoma: clinical case and literature review. Endocrine Surgery. 2021;15(1):36-42. (In Russ.) https://doi.org/10.14341/serg12711

Контент доступен под лицензией Creative Commons Attribution-NonCommercial-NoDerivatives 4.0 International License (CC BY-NC-ND 4.0).