Клинические случаи диагностики и лечения опухолей надпочечников, осложненных разрывом и формированием забрюшинной гематомы
https://doi.org/10.14341/serg12823
Аннотация
В настоящей работе представлены различные варианты клинического течения осложнений опухолей надпочечников с разрывом и формированием забрюшинных гематом, в зависимости от морфологических характеристик новообразований. В первом клиническом случае описана пациентка 38 лет с адренокортикальной карциномой левого надпочечника размером до 8 см, осложнившейся разрывом с формированием забрюшинной гематомы объемом 2800 см3 , имитирующей гигантскую внеорганную забрюшинную опухоль с анемией и кахексией. После хирургического лечения и стабилизации состояния пациентка направлена на химиотерапию с положительным исходом. Второй случай — о пациентке 21 года с недиагностированной феохромоцитомой, у которой на фоне старта гипотензивной терапии произошел разрыв опухоли с кровоизлиянием, развитием острой симптоматики. После проведенной ретроперитонеоскопической адреналэктомии состояние стабилизировалось. Третий случай — об опыте наблюдения за пациентом 45 лет с миелолипомой до 6,4 см, осложненной ранее перенесенной забрюшинной гематомой, у которого оперативное лечение не проводилось в связи с наличием терминальной стадии хронической болезни почек и стабильным состоянием опухоли.
Ключевые слова
Об авторах
С. Л. НепомнящаяРоссия
Непомнящая Светлана Леонидовна, кандидат мед.наук. доцент, начальник научно-образовательного отдела, врач-хирург
Санкт-Петербург
Researcher ID: Е-5875-2017
Конфликт интересов:
Авторы декларируют отсутствие явных и потенциальных конфликтов интересов, связанных с содержанием настоящей статьи.
Е. А. Федоров
Россия
Федоров Елисей Александрович, к.м.н.
Санкт-Петербург
SCOPUS ID: 57190018578
Конфликт интересов:
Авторы декларируют отсутствие явных и потенциальных конфликтов интересов, связанных с содержанием настоящей статьи.
Л. М. Краснов
Россия
Краснов Леонид Михайлович, д.м.н., заместитель начальника отдела
Санкт-Петербург
SCOPUS ID: 7003572477
Конфликт интересов:
Авторы декларируют отсутствие явных и потенциальных конфликтов интересов, связанных с содержанием настоящей статьи.
Д. В. Реброва
Россия
Реброва Дина Владимировна, к.м.н.
Researcher ID: AHD-5099-2022; SCOPUS ID: 57195152806
Санкт-Петербург
Ю. В. Семилетова
Россия
Семилетова Юлия Вадимовна, к.м.н., доцент
Санкт-Петербург
Конфликт интересов:
Авторы декларируют отсутствие явных и потенциальных конфликтов интересов, связанных с содержанием настоящей статьи.
И. А. Павликова
Россия
Павликова Ирина Андреевна, врач-ординатор
Санкт-Петербург
Конфликт интересов:
Авторы декларируют отсутствие явных и потенциальных конфликтов интересов, связанных с содержанием настоящей статьи.
А. Р. Бахтиярова
Россия
Бахтиярова Алюза Рамильевна
Санкт-Петербург
Конфликт интересов:
Авторы декларируют отсутствие явных и потенциальных конфликтов интересов, связанных с содержанием настоящей статьи.
В. Н. Данилин
Россия
Данилин Валерий Николаевич, к.м.н. врач-хирург онкологического отделения
Санкт-Петербург
Конфликт интересов:
Авторы декларируют отсутствие явных и потенциальных конфликтов интересов, связанных с содержанием настоящей статьи.
В. В. Дмитриченко
Россия
Дмитриченко Вячеслав Владимирович, к.м.н., заслуженный врач РФ
Санкт-Петербург
Конфликт интересов:
Авторы декларируют отсутствие явных и потенциальных конфликтов интересов, связанных с содержанием настоящей статьи.
О. В. Кулешов
Россия
Кулешов Олег Владимирович, к.м.н., заведующий отделением анестезиологии и реанимации
Санкт-Петербург
Конфликт интересов:
Авторы декларируют отсутствие явных и потенциальных конфликтов интересов, связанных с содержанием настоящей статьи.
М. А. Алексеев
Россия
Алексеев Михаил Александрович, врач-анестезиолог-реаниматолог отделения анестезиологии и реанимации
Санкт-Петербург
Конфликт интересов:
Авторы декларируют отсутствие явных и потенциальных конфликтов интересов, связанных с содержанием настоящей статьи.
Т. С. Придвижкина
Россия
Придвижкина Татьяна Сергеевна, к.м.н.
Санкт-Петербург
Конфликт интересов:
Авторы декларируют отсутствие явных и потенциальных конфликтов интересов, связанных с содержанием настоящей статьи.
О. И. Логинова
Россия
Логинова Ольга Ивановна, врач-рентгенолог отделения лучевой диагностики
Санкт-Петербург
Конфликт интересов:
Авторы декларируют отсутствие явных и потенциальных конфликтов интересов, связанных с содержанием настоящей статьи.
Список литературы
1. Бельцевич Д.Г., Мельниченко Г.А., Кузнецов Н.С. и соавт. Клинические рекомендации Российской ассоциации эндокринологов по дифференциальной диагностике инциденталом надпочечников // Эндокринная хирургия. – 2016. – Т.10. – №4. – С. 31-42.
2. Hammond N.A., Lostumbo A., Adam S.Z., Remer E.M., Nikoladis P., Yaghmal V., Berggruen S.M., Miller F.H. Imaging adrenal and renal hemorrage. Abdom Imaging. 2015; 40 (7): 2747-2760.
3. Gomez Hernandez M.T., Franch-Arcas G., Gonzales Sanchez C., Sanchez-Jimenez R., Cerro-Martinez M. Retroperitoneal haemorrhage after traumatic rupture of a phaeochromocytoma. Cir Esp. 2013; 91(3):197-199.
4. Katabathina V.S., Katre R., Prasad S.R., Surabhi V.R., Shanbhoque A.K., Sunnapwar A. Wunderlich syndrome: cross-sectional imaging review. J.Comput Assist Tomogr. 2011; 35 (4): 425-433.
5. Пиголкин Ю.И., Должанский О.В., Пальцева Е.М. и др. Судебно-медицинская оценка травматических и спонтанных разрывов органов при поражении опухолью // Судебно-медицинская экспертиза. – 2017. – №2. – С. 49-56. Doi: 10.17116/sudmed201760249-56
6. Белобородов В.А. «Двухфазный» разрыв опухоли надпочечника // Сибирский онкологический журнал. – 2005. – Т5, №5. – С. 79-81. ISSN: 1815-7572
7. Lee K.A., Jin H.Y. Non-surgically treated case of nonfunctioning ruptured adrenal adenoma in a patient on hemodialysis. Endocrine. 2019; 65(1):213–216. Doi: 10.1007/s12020-019-01948-3
8. Реброва Д.В., Ворохобина Н.В., Имянитов Е.Н. и др. Клиническо-лабораторные особенности наследственных феохромоцитом и параганглиом // Проблемы эндокринологии. – 2022. – Том 68. – №1. – С. 8-17. Doi: 10.14341/probl12834.
9. Kumar А., Pappachan J.M., Fernandez C.J. Catecholamine-induced cardiomyopathy: an endocrinologist’s perspective. Rev Cardiovasc Med. 2021; 22(4):1215-1228. Doi: 10.31083/j.rcm2204130.
10. Pai H. V. Rupture of pheochromocytoma caused by phenoxybenzamine – A case report. Urol Case Rep. 2018; 20:70–71. Doi: 10.1016/j.eucr.2018.07.005
11. Rzepka Е., Kokoszka J., Grochowska A. et al. Adrenal bleeding due to pheochromocytoma – A call for algorithm. Front Endocrinol (Lausanne). 2022; 13:908967. Doi: 10.3389/fendo.2022.908967.
12. Ichikawa Т., Oyabu С., Minamida М., Ichijo Y. et al. Changes in the Size of a Ruptured Pheochromocytoma after Transcatheter Arterial Embolization. Case Rep Med. 2021; 4:5568978. Doi: 10.1155/2021/5568978.
13. Yoshida M., Takahashi H., Yamaki Y., Chiba F., Mori K. Successful transcatheter arterial embolization for ruptured adrenocortical tumor in a pediatric patient. Radiol Case Rep. 2021; 16(4): 979–982. Doi: 10.1016/j.radcr.2021.02.008
14. Qin H., Yang S., Cai S., Ren Q., Han W., Yang W., Cheng H., Ma X., Wang H. Clinical characteristics and risk factors of 47 cases with ruptured neuroblastoma in children. Qin et al. BMC Cancer. 2020; 20:243 https://doi.org/10.1186/s12885-020-06720-9
15. Mahmodlou R., Valizadeh N. Spontaneous Rupture and Hemorrhage of Adrenal Pseudocyst Presenting With Acute Abdomen and Shock. Iran J Med Sci. 2011; 36(4): 311–314.
16. Kim D.S., Lee J.W., Lee S.H. Spontaneous rupture of adrenal myelolipoma as a cause of acute flank pain: A case report. World J Clin Cases. 2021; 9(22): 6552-6556. doi: 10.12998/wjcc.v9.i22.6552
17. Лисицын А.А., Земляной В.П., Великанова Л.И., Шафигуллина З.Р. Гормонально-активный адренокортикальный рак левого надпочечника, осложненный спонтанным разрывом опухоли // Вестник ДГМА. – 2020. – № 2 (35). – С.30-33.
18. Elmoheen А., Elmesery M. Yousry A., Bashir K. Ruptured functioning adrenal tumour, atypical presentation with renal colic and hypertension. BMJ Case Rep. 2020;13:e236050. doi:10.1136/bcr-2020-236050
19. Van Way C.W., Franci R.P., Cleveland H.C., Foster J.F., Scott H.W., Jr. Hemorrhagic necrosis of pheochromocytoma associated with phentolamine administration. Ann Surg. 1976;184:26–30.
20. Weber A.-L., Pfefer T.J., Leitolf H., Ringe B., Wedemeyer H., Bauersachs J., Schäfer A. Cardiogenic shock due to a spontaneously ruptured pheochromocytoma: a rare but life‑threatening event—a case report. Clinical Research in Cardiology. 2022; 111:1401–1403 doi.org/10.1007/s00392-022-02115-x
21. Ioannidis O., Papaemmanouil S., Chatzopoulos S., Paraskevas G., Konstantara A., Kotronis A., Kakoutis E., Makrantonakis A. Giant bilateral symptomatic adrenal myelolipomas associated with congenital adrenal hyperplasia. Pathol Oncol Res. 2011; 17(3):775-8. doi: 10.1007/s12253-010-9330-2.
Дополнительные файлы
|
|
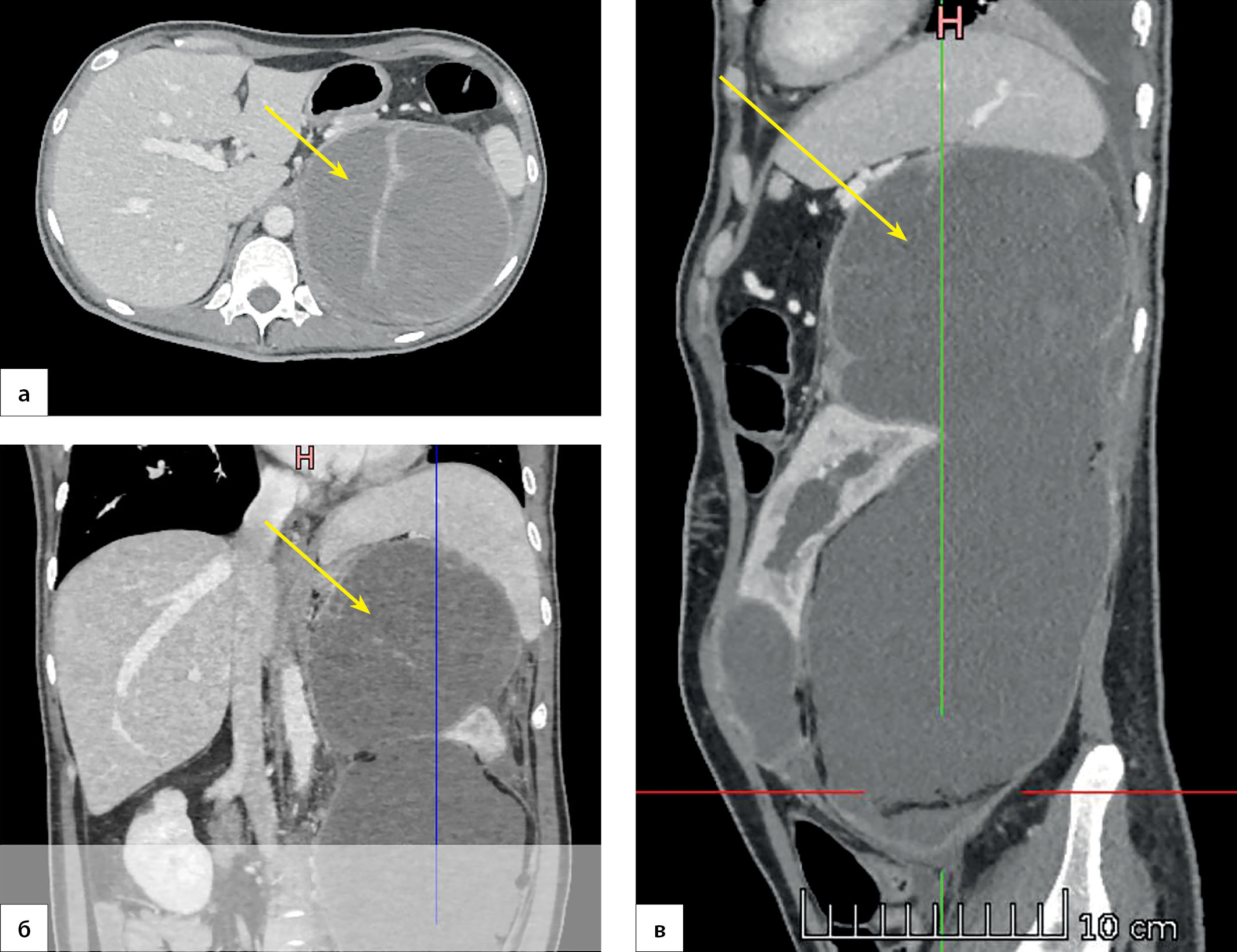
1. Рисунок 1. Пациентка П., 38 лет. МСКТ органов брюшной полости 31.05.2022 г. (венозная фаза), многоузловое образование слева (маркирована стрелкой), смещающее селезенку и сдавливающее левую почку: а) корональная проекция; б) аксиальная проекция; в) сагиттальная проекция. | |
| Тема | ||
| Тип | Исследовательские инструменты | |
Посмотреть
(397KB)
|
Метаданные ▾ | |
|
|
2. Рисунок 2. Пациентка П., 38 лет. Интраоперационная картина: а) опухолевый конгломерат; б) нисходящая ободочная кишка. | |
| Тема | ||
| Тип | Исследовательские инструменты | |
Посмотреть
(359KB)
|
Метаданные ▾ | |
|
|
3. Рисунок 3. Пациентка П., 38 лет. Макропрепарат опухоли надпочечника: а) общий вид; б) на разрезе видны некротические изменения, разрыв капсулы, гематома (маркирована стрелкой). | |
| Тема | ||
| Тип | Исследовательские инструменты | |
Посмотреть
(677KB)
|
Метаданные ▾ | |
|
|
4. Рисунок 4. Пациентка П., 38 лет. Макропрепарат тератомы левого яичника. | |
| Тема | ||
| Тип | Исследовательские инструменты | |
Посмотреть
(185KB)
|
Метаданные ▾ | |
|
|
5. Рисунок 5. Пациентка Р., 21 год. МСКТ органов брюшной полости 18.06.15 г., корональная проекция, определяется жидкостное содержимое по левому флангу брюшной полости (маркирована стрелкой). | |
| Тема | ||
| Тип | Исследовательские инструменты | |
Посмотреть
(208KB)
|
Метаданные ▾ | |
|
|
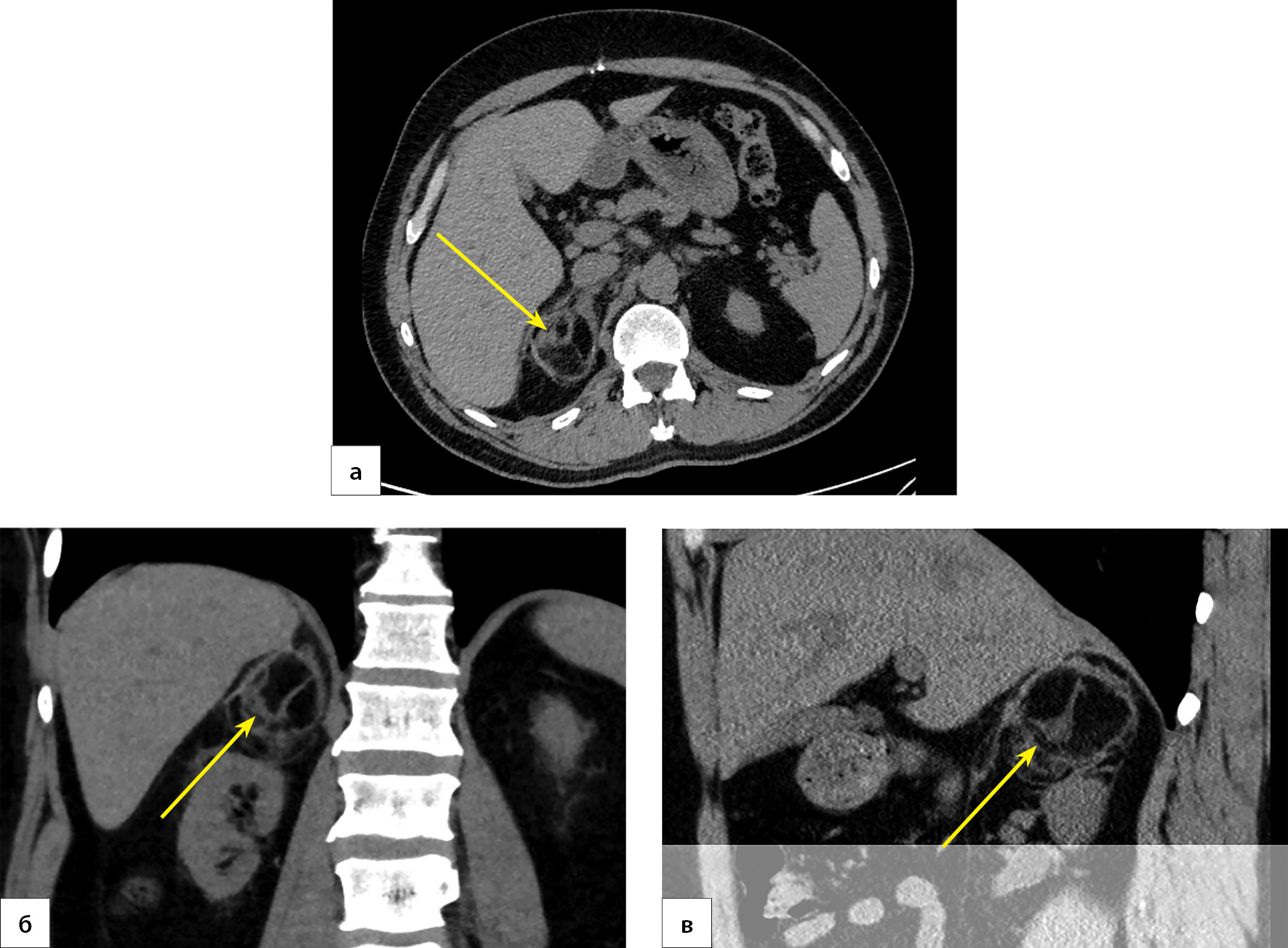
6. Рисунок 6. Пациент П., 45 лет. МСКТ брюшной полости. Организация гематомы (маркирована стрелкой): а) корональная проекция; б) аксиальная проекция; в) сагиттальная проекция. | |
| Тема | ||
| Тип | Исследовательские инструменты | |
Посмотреть
(372KB)
|
Метаданные ▾ | |
Рецензия
Для цитирования:
Непомнящая С.Л., Федоров Е.А., Краснов Л.М., Реброва Д.В., Семилетова Ю.В., Павликова И.А., Бахтиярова А.Р., Данилин В.Н., Дмитриченко В.В., Кулешов О.В., Алексеев М.А., Придвижкина Т.С., Логинова О.И. Клинические случаи диагностики и лечения опухолей надпочечников, осложненных разрывом и формированием забрюшинной гематомы. Эндокринная хирургия. 2024;18(1):29-39. https://doi.org/10.14341/serg12823
For citation:
Nepomnyashchaya S.L., Fedorov E.A., Krasnov L.M., Rebrova D.V., Semiletova Y.V., Pavlikova I.A., Bakhtiyarova A.R., Danilin V.N., Dmitrichenko V.V., Kuleshov O.V., Alekseev M.A., Pridvijkina T.S., Loginova O.I. Case reports of diagnosis and treatment of adrenal tumors complicated by rupture and formation of retroperitoneal hematoma. Endocrine Surgery. 2024;18(1):29-39. (In Russ.) https://doi.org/10.14341/serg12823
Контент доступен под лицензией Creative Commons Attribution-NonCommercial-NoDerivatives 4.0 International License (CC BY-NC-ND 4.0).




































