Postoperative diagnostics case of the patient with kidney canсer metastasis in the thyroid gland in combination with left internal jugular vein thrombosis
https://doi.org/10.14341/serg2017145-50
Abstract
We present a clinical case of the 68-years-old woman with complaints of enlarged neck, more pronounced at the left side and sore throat. In the course of ultrasound examination, conglomerate mass in left of thyroid gland was revealed. More than that, in the lumen of the internal jugular vein the formation of an average echogenicity was found. Following fine-needle aspiration biopsy revealed signs of colloid struma (Bethesda II). The patient underwent left-sided hemithyroidectomy. Atrevision while the operation the left thyroid gland is enlarged in the size due to the nodal formation spreading to the left angle of the lower jaw and locating retrosternal and behind trachea. Postoperative histological examination revealed metastasis of kindey cancer in the left thyroid gland with the signs of invasive growth to surrounding vessels and muscles.
About the Authors
Taras S. PanevinEndocrinology Research Centre
Russian Federation
MD
Liliya S. Selivanova
Endocrinology Research Centre
Russian Federation
MD, PhD
Nonna V. Latkina
Endocrinology Research Centre
Russian Federation
MD, PhD
Nikolay S. Panevin
Endocrinology Research Centre
Russian Federation
MD, PhD, Professor
References
1. Карпищенко С., Рябова М., Долгов О., и др. Метастаз светлоклеточного рака почки в щитовидную железу и гортань // Врач. – 2014. – №11. – С. 31–33. [Karpishchenko S, Ryabova M, Dolgov O, et al. Clear cell renal carcinoma metastasizing to the thyroid and larynx. Vrach. 2014;(11):31-33. (in Russ.)]
2. Яковлева Л.П., Романов И.С., Туркин И.Н., и др. Метастаз рака почки в щитовидную железу: особенности диагностики и лечения // Онкоурология. – 2010. – №4. – С. 87–91. [Yakovleva LP, Romanov IS, Turkin IN, et al. Metastasis of renal carcinoma to the thyroid, specific features of diagnosis and treatment (description of a case). Onkourologiya. 2010;(4):87-91. (in Russ.)]
3. Матвеев В.Б. Энциклопедия клинической онкологии. – М., 2004. – С. 490–500. [Matveev VB. Entsiklopediya klinicheskoy onkologii. Moscow; 2004. (in Russ.)]
4. Nakhjavani MK, Gharib H, Goellner JR, van Heerden JA. Metastasis to the thyroid gland. A report of 43 cases. Cancer. 1997;79(3):574-578. doi: 10.1002/(SICI)1097-0142(19970201)79:3<574::AID-CNCR21>3.0.CO;2-#
5. Heffess CS, Wenig BM, Thompson LD. Metastatic renal cell carcinoma to the thyroid gland: a clinicopathologic study of 36 cases. Cancer. 2002;95(9):1869-1878. doi: 10.1002/cncr.10901.
6. Thompson SW, Hunt RD. Selected histochemical and histopathological methods. 1966. IL: Springfield; 1966.
Supplementary files
|
|
1. Рис. 1. Ультразвуковое исследование органов шеи пациентки: а – в левой доле щитовидной железы определяется объемное конгломератное образование; б – в просвете прилежащей внутренней яремной вены образование неоднородной структуры. | |
| Subject | ||
| Type | Исследовательские инструменты | |
View
(337KB)
|
Indexing metadata ▾ | |
|
|
2. Рис. 2. Микроскопическое исследование удаленной щитовидной железы, в которой обнаружена опухоль из клеток с круглыми и овальными ядрами и светлой цитоплазмой, окруженная тканью щитовидной железы (окраска гематоксилином и эозином): а – увеличение ×30; б – увеличение ×100; в – увеличение ×200; г – к опухоли прилежит ткань околощитовидной железы (стрелки), увеличение ×100. | |
| Subject | ||
| Type | Исследовательские инструменты | |
View
(1MB)
|
Indexing metadata ▾ | |
|
|
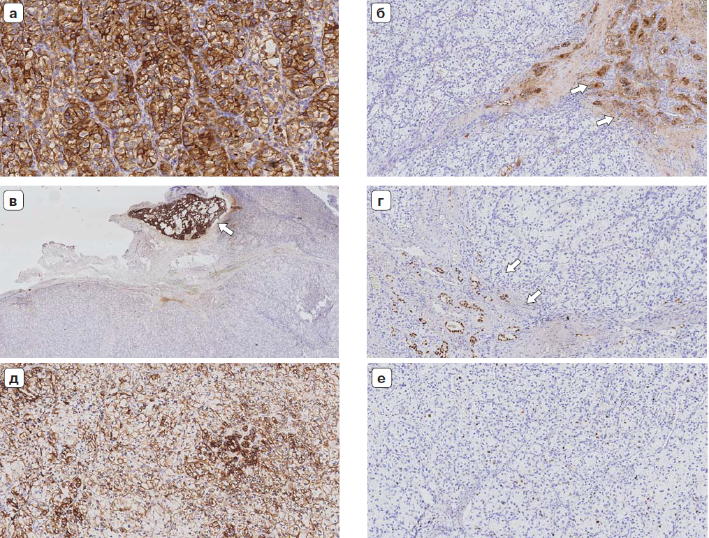
3. Рис.3. Результаты гистологического исследования удаленной опухоли: а – клетки опухоли экспрессируют СD10 (×200); б – экспрессия тиреоглобулина клетками предсуществующей щитовидной железы (х100); в – экспрессия паратгормона клетками прилежащей околощитовидной железы, отсутствие экспрессии опухолевыми клетками (×100); г – экспрессия TTF1 клетками предсуществующей щитовидной железы, отсутствие экспрессии опухолевыми клетками (×100); д – клетки опухоли экспрессируют панцитокератин (×200); е – индекс пролиферативной активности в опухолевых клетках. | |
| Subject | ||
| Type | Исследовательские инструменты | |
View
(1MB)
|
Indexing metadata ▾ | |
|
|
4. Антитела, использованные при иммуногистохимическом исследовании | |
| Subject | ||
| Type | Исследовательские инструменты | |
View
(77KB)
|
Indexing metadata ▾ | |
Review
For citations:
Panevin T.S., Selivanova L.S., Latkina N.V., Panevin N.S. Postoperative diagnostics case of the patient with kidney canсer metastasis in the thyroid gland in combination with left internal jugular vein thrombosis. Endocrine Surgery. 2017;11(1):45-50. (In Russ.) https://doi.org/10.14341/serg2017145-50
This work is licensed under a Creative Commons Attribution-NonCommercial-NoDerivatives 4.0 International License (CC BY-NC-ND 4.0).




































