Перейти к:
Развитие назальной ликвореи у молодой женщины с гигантской пролактиномой через 6,5 лет терапии каберголином
https://doi.org/10.14341/serg9485
Аннотация
Назальная ликворея – редко встречающееся осложнение при лечении пролактином агонистами дофамина. В большинстве случаев ликворея развивается в течение первых трех месяцев от начала лечения. В статье представлено редкое наблюдение – позднее развитие назальной ликвореи при медикаментозном лечении гигантской пролактиномы. Женщина 29 лет с эндо-супра-инфра-латероселлярной аденомой гипофиза гигантских размеров (8,7 см в диаметре), зрительными нарушениями, кахексией, вторичной аменореей и уровнем пролактина более 2 млн 200 тыс мЕд/л получала терапию каберголином. На этом фоне отмечено восстановление зрительных функций, массы тела, полный регресс опухоли и нормализация уровня пролактина. Тем не менее через 6,5 лет после начала терапии каберголином выявлена назальная ликворея, что потребовало проведения эндоскопической эндоназальной операции с пластикой ликворной фистулы.
Все пациенты с пролактиномами больших и гигантских размеров с инвазией в структуры основания черепа, получающие каберголин даже в течение длительного времени, должны быть предупреждены о возможности такого осложнения, как ликворея, и при необходимости срочного обращения к отоларингологу и нейрохирургу. Тактикой лечения при развитии подобного осложнения в большинстве случаев является пластика дефекта основания черепа.
Ключевые слова
Для цитирования:
Астафьева Л.И., Кадашев Б.А., Калинин П.Л., Кутин М.А., Сиднева Ю.Г., Исмаилов Д.Б., Чернов И.В., Яценко Д.А., Дзеранова Л.К. Развитие назальной ликвореи у молодой женщины с гигантской пролактиномой через 6,5 лет терапии каберголином. Эндокринная хирургия. 2017;11(4):201-208. https://doi.org/10.14341/serg9485
For citation:
Astafyeva L.I., Kadashev B.A., Kalinin P.L., Kutin M.A., Sidneva Yu.G., Ismailov D.B., Chernov I.V., Yatsenko D.A., Dzeranova L.K. Cerebrospinal fluid rhinorrhoea in young women after 6.5 years of therapy giant prolactinoma with Cabergolin. Endocrine Surgery. 2017;11(4):201-208. (In Russ.) https://doi.org/10.14341/serg9485
Актуальность
Гигантские пролактиномы – редко встречающиеся опухоли, описаны в основном у мужчин, обладают агрессивным характером роста, разрушают структуры основания черепа, распространяясь в кавернозный синус, основную пазуху, носоглотку [1, 2].
В настоящее время основным методом лечения пролактином, в том числе гигантских размеров, является медикаментозная терапия каберголином [3]. Редким осложнением может быть назальная ликворея, которая в большинстве случаев развивается в течение первых 3 меслечения в результате уменьшения инфильтративно-растущих опухолей гипофиза, разрушающих структуры основания черепа. Мы впервые наблюдали отсроченное развитие назальной ликвореи через 6,5 лет от начала лечения каберголином у молодой женщины с гигантской пролактиномой.
Описание случая
Пациентка Е., 29 лет, обратилась в ФГАУ НМИЦН в апреле 2009 г. с жалобами на снижение зрения правого глаза, выпячивание правого глазного яблока, головные боли, отсутствие менструаций.
Из анамнеза: пациентка замужем, имеет высшее образование, работает юристом. Беременностей не было. С 21 года аменорея, к врачам по этому поводу не обращалась. В течение последних 6 мес появление зрительных нарушений, снижение веса с 59 кг на 15 кг на фоне нормального питания.
Результаты физикального, лабораторного и инструментального исследования
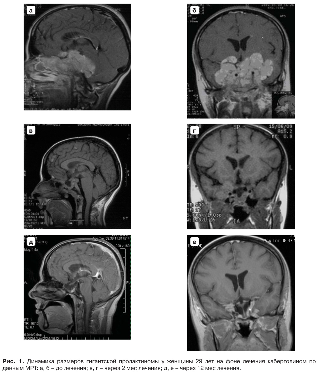
При обследовании: рост – 170 см, вес – 44 кг, индекс массы тела – 15 кг/м2 (норма 18–25). Артериальное давление – 105/70 мм рт. ст., частота сердечных сокращений – 63 в минуту. При проведении МРТ головного мозга обнаружена гигантская многоузловая опухоль гипофиза эндо-супра-инфра-ретро-анте-латероселлярной локализации, заполняющая клиновидную пазуху, распространяющаяся в оба кавернозных синуса, в правые отделы решетчатой кости, в парастволовые цистерны с компрессией ствола мозга; максимальный диаметр аденомы составил 8,7 см (рис. 1 а, б). При нейроофтальмологическом осмотре диагностированы зрительные нарушения в виде битемпоральной гемианопсии и снижения остроты зрения (VIS OD = 0,6), правостороннего экзофтальма (3 мм). В гормональном анализе крови уровень пролактина (ПРЛ) – 2218283 (40–530) мЕд/л, макропролактин – 34%, ТТГ – 1,29 (0,4–4) мЕд/л, св.Т4 – 13,0 (10–22) нмоль/л, кортизол – 701 (138–690) нмоль/л, ЛГ – 0,993 (1,9–12,5) мЕд/л, ФСГ – 7,18 (2,5–10,2) мЕд/л, эстрадиол – 76 (72–529) пмоль/л, тестостерон – 0,894 (0,5–2,6) нмоль/л. Выявлено значимое повышение уровня ПРЛ, данных за гипотиреоз и гипокортицизм не получено. В психоневрологическом статусе нарушений не выявлено.
На основании клинических симптомов и результатов обследования диагностирована гигантская ПРЛ-секретирующая аденома гипофиза, хиазмальный синдром, аменорея 2, выраженный дефицит массы тела.
Учитывая гормональную активность опухоли, пациентке была рекомендована терапия каберголином в начальной дозе 0,25 мг дважды в неделю. На этом фоне уже через 7 дней отмечена положительная динамика в виде нормализации остроты зрения, регресса экзофтальма, снижения уровня ПРЛ до 271 890 мЕд/л. Продолжена терапия каберголином в прежней дозе.
При контрольном МРТ-исследовании, выполненном через 2 мес от начала лечения, отмечено существенное уменьшение размеров опухоли (рис. 1 в, г). Динамика уровня ПРЛ представлена на рис. 2. Нормализация ПРЛ отмечена через 6 мес лечения, однако у пациентки сохранялась аменорея. По данным УЗИ органов малого таза толщина эндометрия не превышала 2 мм, в связи с чем с ноября 2010 г. назначена заместительная гормональная терапия (ЗГТ) (фемостон 1/10), на этом фоне отмечались регулярные менструальные выделения. На фоне пробной отмены препарата фемостон на 2 мес через 6 и 18 мес от начала его приема менструальный цикл не восстанавливался, и терапия была продолжена в постоянном режиме.
Рис. 1. Динамика размеров гигантской пролактиномы у женщины 29 лет на фоне лечения каберголином по данным МРТ: а, б – до лечения; в, г – через 2 мес лечения; д, е – через 12 мес лечения.
При МРТ через 12 мес отмечен полный регресс опухоли, формирование “пустого” турецкого седла. При последующих МРТ-исследованиях, проводимых ежегодно в интервале с 2009 по 2017 г., признаков продолженного роста опухоли не выявлено.
В течение первых двух лет лечения наблюдалось постепенное увеличение веса с 44 до 74 кг с последующей его стабилизацией.
Весной 2011 г. пациентка периодически отмечала появление прозрачных выделений из носа, которые самостоятельно регрессировали. При осмотре отоларинголога данных за ликворею выявлено не было.
В октябре 2013 г. у больной возникли кратковременные приступы с частотой 1–2 раза в месяц с “застыванием”, отсутствием контакта. В ноябре 2013 г. отмечен приступ с последующим падением, судорогами в ногах. При ЭЭГ от ноября 2013 г. выявлено раздражение срединных структур, акцент эпилептических знаков слева в височно-теменной области коры. Диагностирована симптоматическая эпилепсия, назначена терапия противосудорожными препаратами (препараты вальпроевой кислоты и ламотриджин).
В сентябре 2015 г. (через 6,5 лет от начала лечения каберголином) отмечено профузное выделение прозрачной водянистой жидкости из левой половины носа при наклоне головы вниз, ощущение “стекания жидкости” по задней стенке глотки в положении лежа на спине. Жалобы сопровождались повышением температуры тела до 40 °С, головной болью. Пациентка была госпитализирована в ФГАУ НМИЦН. При обследовании выявлена явная назальная ликворея слева, уровень глюкозы в отделяемой жидкости из носа составил 3,5 ммоль/л.
15 сентября 2015 г. проведена эндоскопическая эндоназальная транссфеноидальная пластика ликворной фистулы в области дна турецкого седла ауто- и алломатериалами.
В послеоперационном периоде временно отменялась терапия каберголином с целью профилактики рецидива ликвореи. Через 1,5 мес после операции уровень ПРЛ увеличился до 3350 мЕд/л, и прием каберголина был возобновлен, начиная с 0,25 мг в неделю. В течение последующего периода наблюдения в связи с повышением уровня ПРЛ доза каберголина постепенно увеличена до 3,0 мг (6 таблеток) в неделю (рис. 2).
Рис. 2. Динамика уровня пролактина (ПРЛ) и дозы каберголина (Каб) у женщины 29 лет с гигантской пролактиномой: содержание ПРЛ в крови обозначено сплошной черной линией (мЕд/л), доза каберголина – пунктирной черной линией (мг в неделю), сплошной серой линией – верхняя граница референсных значений концентрации ПРЛ (530 мЕд/л).
Обсуждение
В настоящее время основным методом лечения пролактином, в том числе гигантских размеров, является терапия каберголином [4, 5]. Каберголин снижает/нормализует уровень ПРЛ в крови и уменьшает размеры опухоли, что приводит к регрессу зрительных и неврологических симптомов заболевания [6, 7]. Одним из редких осложнений медикаментозного лечения гигантских пролактином является назальная ликворея [8, 9]. При лечении агонистами дофамина уменьшение опухоли, исполняющей роль своеобразной “пробки”, закрывающей дефект в основании черепа, приводит к появлению ликворной фистулы между хиазмальной цистерной, турецким седлом и основной пазухой (рис. 3) [10]. При отсутствии своевременной диагностики этого состояния у пациента могут развиться жизнеугрожающиеосложнения в виде менингита и пневмоцефалии [11].
Рис. 3. Схематическое изображение развития ликвореи при уменьшении объема опухоли: а – опухоль гипофиза с разрушением костей основания черепа, 1 – опухоль, 2 – пазуха основной кости, 3 – базальные отделы лобных долей, 4 – передняя стенка основной пазухи, 5 – естественное соустье пазухи основной кости, 6 – цереброспинальная жидкость; б – развитие ликвореи вследствие уменьшения объема опухоли гипофиза.
Назальная ликворея манифестирует обычно в течение первых трех месяцев терапии агонистами дофамина, однако осложнение может развиться и позже: самый длинный период между началом лечения агонистами дофамина и появлением ликвореи, по данным литературы, составил 17 мес [9, 12]. Тактикой лечения при развитии подобного осложнения является пластика дефекта основания черепа с одномоментным, по возможности, удалением опухоли [13].
Мы впервые описали столь отсроченное развитие назальной ликвореи через 6,5 лет от начала лечения каберголином. Случай интересен еще и тем, что на фоне достаточно быстрой нормализации уровня ПРЛ и полного регресса опухоли уже через 12 мес лечения ликвореяотмечена на фоне стабильного состояния по данным МР-исследований. Можно предположить, что транзиторная ликворея возникла уже через год от начала лечения и спонтанно регрессировала, однако документального подтверждения ликвореи не было. Нельзя исключить, что у больной с истончением костей основания черепа на фоне возможного транзиторного повышения внутричерепного давления (например, при физической нагрузке) сформировалась ликворная фистула между хиазмальной цистерной, турецким седлом и основной пазухой.
Тем не менее длительная нормализация ПРЛ на фоне приема каберголина в небольших дозах (1,5 мг в неделю) сопровождалась постепенным отсроченным повышением его уровня даже на фоне увеличения дозы препарата до 3 мг в неделю, что, вероятно, свидетельствует об агрессивном характере пролактиномы.
Манифестация заболевания в описанном нами клиническом случае совпала с резким снижением массы тела, что могло быть обусловлено развитием диэнцефальной кахексии вследствие вовлечения гипоталамуса в патологический процесс супраселлярно растущей опухолью. Напротив, в большинстве случаев манифестация гиперпролактинемии сопровождается повышением массы тела [14, 15]. Убедительных клинико-лабораторных данных за наличие гипокортицизма в описанном нами случае выявлено не было. На фоне лечения каберголином и регресса опухоли отмечено восстановление массы тела, что, вероятно, связано с ликвидацией компрессии гипоталамуса.
У пациентки сохранялась аменорея на фоне нормализации уровня ПРЛ, вероятно в результате атрофии гонадотропин-секретирующих клеток вследствие длительной компрессии гипофиза опухолью, что потребовало назначения ЗГТ совместно с каберголином. В нашем наблюдении пациентка не была заинтересована в беременности, однако решение этого вопроса у желающих забеременеть женщин с макропролактиномами крупных размеров и развитием вторичного гипопитуитаризма, в том числе гипогонадизма, является крайне сложным даже с использованием вспомогательных репродуктивных технологий и может сопровождаться ростом опухоли.
Возникновение эпилептических приступов описано в литературе при макропролактиномах гигантских размеров с эндо- и латероселлярным ростом опухоли за счет вовлечения в патологический процесс медиобазальных отделов височных и лобных отделов головного мозга. Эпилептический синдром чаще всего выявляется при манифестации заболевания [16]. Симптоматическая эпилепсия в виде сложных парциальных и вторично-генерализованных приступов в данном наблюдении проявилась на фоне регресса опухоли, что является необычным. Появление эпилептических приступов при снижении объема опухоли до полного ее регресса требует дальнейшего изучения.
Постоянное динамическое наблюдение больных с гигантскими пролактиномами необходимо даже на фоне нормализации уровня ПРЛ и регресса опухоли и должно проводиться различными специалистами, имеющими опыт лечения аденом гипофиза (нейроэндокринологи, нейрохирурги, нейрорентгенологи, офтальмологи, психиатры, отоларингологи, гинекологи и др.). Несмотря на характер течения заболевания и развитие осложнений, пациентке было подобрано адекватное лечение, что позволило значимо улучшить ее качество жизни. В течение всего 9-летнего периода наблюдения и лечения (за исключением времени госпитализации для проведения пластики ликворной фистулы) пациентка вела нормальный образ жизни, работала по специальности, много путешествовала.
Заключение
Каждый больной с крупной пролактиномой, получающий каберголин даже в течение длительного времени, должен быть предупрежден о возможности такого осложнения, как ликворея, и при необходимости срочного обращения к отоларингологу и нейрохирургу.
Дополнительная информация
Согласие пациента. Медицинские данные истории болезни публикуются с письменного добровольного согласия пациента.
Источник финансирования. Статья подготовлена и публикуется при поддержке ФГАУ НМИЦН им. акад. Н.Н. Бурденко МЗ РФ.
Конфликт интересов. Авторы декларируют отсутствие явных и потенциальных конфликтов интересов, связанных с публикацией настоящей статьи.
Список литературы
1. Corsello SM, Ubertini G, Altomare M, et al. Giant prolactinomas in men: efficacy of cabergoline treatment. Clin Endocrinol (Oxf). 2003;58(5):662-670. doi: 10.1046/j.1365-2265.2003.01770.x.
2. Shrivastava RK, Arginteanu MS, King WA, Post KD. Giant prolactinomas: clinical management and long-term follow up. J Neurosurg. 2002;97(2):299-306. doi: 10.3171/jns.2002.97.2.0299.
3. Астафьева Л.И., Кадашев Б.А., Калинин П.Л., и др. Клиническая картина, диагностика и результаты первичной медикаментозной терапии больших и гигантских пролактинсекретирующих аденом гипофиза. // Вопросы нейрохирургии им. Н.Н. Бурденко. – 2008. – №4. – С. 36–39. [Astaf'eva LI, Kadashev BA, Kalinin PL, et al. Clinical presentation, diagnostics and results of primary conservative treatment of large and giant prolactin-secreting pituitary adenomas. Zh Vopr Neirokhir Im N N Burdenko. 2008;(4):36-39. (In Russ.)]
4. Maiter D, Delgrange E. Therapy of endocrine disease: the challenges in managing giant prolactinomas. Eur J Endocrinol. 2014;170(6):R213-227. doi: 10.1530/EJE-14-0013.
5. Shimon I, Sosa E, Mendoza V, et al. Giant prolactinomas larger than 60 mm in size: a cohort of massive and aggressive prolactin-secreting pituitary adenomas. Pituitary. 2016;19(4):429-436. doi: 10.1007/s11102-016-0723-4.
6. Астафьева Л.И., Кадашев Б.А., Калинин П.Л., и др. Выбор тактики лечения гигантских пролактинсекретирущих аденом гипофиза. // Вопросы нейрохирургии им. Н.Н. Бурденко. – 2009. – №2. – С. 23–28. [Astaf'eva LI, Kadashev BA, Kalinin PL, et al. Selection of management tactics in treatment of giant prolactin-secreting pituitary adenomas. Zh Vopr Neirokhir Im N N Burdenko. 2009;(2):23-28. (In Russ.)]
7. Moraes AB, Silva CM, Vieira Neto L, Gadelha MR. Giant prolactinomas: the therapeutic approach. Clin Endocrinol (Oxf). 2013;79(4):447-456. doi: 10.1111/cen.12242.
8. Suliman SG, Gurlek A, Byrne JV, et al. Nonsurgical cerebrospinal fluid rhinorrhea in invasive macroprolactinoma: incidence, radiological, and clinicopathological features. J Clin Endocrinol Metab. 2007;92(10):3829-3835. doi: 10.1210/jc.2007-0373.
9. Lam G, Mehta V, Zada G. Spontaneous and medically induced cerebrospinal fluid leakage in the setting of pituitary adenomas: review of the literature. Neurosurg Focus. 2012;32(6):E2. doi: 10.3171/2012.4.FOCUS1268.
10. Калинин П.Л., Шкарубо А.Н., Астафьева Л.И., и др. Назальная ликворея при первичном лечении больших и гигантских пролактином агонистами дофамина. // Вопросы нейрохирургии им. Н.Н. Бурденко. – 2017. – Т. 81. – №6. – С. 32–39. [Kalinin PL, Shkarubo AN, Astafieva LI, et al. [Cerebrospinal fluid rhinorrhea in primary treatment of large and giant prolactinomas with dopamine agonists]. Zh Vopr Neirokhir Im N N Burdenko. 2017;81(6):32-39. (In Russ.)] doi: 10.17116/neiro201781632-39.
11. Aslan K, Bekci T, Incesu L, Ozdemir M. Giant invasive basal skull prolactinoma with CSF rhinorrhoea and meningitis. Clin Neurol Neurosurg. 2014;120:145-146. doi: 10.1016/j.clineuro.2014.02.028.
12. Bronstein MD, Musolino NR, Benabou S, Marino R. Cerebrospinal fluid rhinorrhea occurring in long-term bromocriptine treatment for macroprolactinomas. Surg Neurol. 1989;32(5):346-349. doi: 10.1016/0090-3019(89)90137-7.
13. Prague JK, Ward CL, Mustafa OG, et al. Delayed presentation of late-onset cerebrospinal fluid rhinorrhoea following dopamine agonist therapy for giant prolactinoma. Endocrinol Diabetes Metab Case Rep. 2014;2014:140020. doi: 10.1530/EDM-14-0020.
14. Greenman Y, Tordjman K, Stern N. Increased body weight associated with prolactin secreting pituitary adenomas: weight loss with normalization of prolactin levels. Clin Endocrinol (Oxf). 1998;48(5):547-553. doi: 10.1046/j.1365-2265.1998.00403.x.
15. Breyer Freitas B, Rothen RE, Zeni D, et al. Nutritional and metabolic assessment in overweight patients with and without hyperprolactinemia caused by prolactinoma. Nutr Hosp. 2015;32(5):2030-2037. doi: 10.3305/nh.2015.32.5.9673.
16. Deepak D, Daousi C, Javadpour M, MacFarlane IA. Macroprolactinomas and epilepsy. Clin Endocrinol (Oxf). 2007; 66(4):503-507. doi: 10.1111/j.1365-2265.2007.02759.x.
Об авторах
Людмила Игоревна АстафьеваФГАУ «Нaциональный медицинский исследовательский центр нейрохирургии имени академика Н.Н. Бурденко» Минздрава РФ
Россия
доктор медицинских наук, ведущий научный сотрудник, 8-е нейроонкологическое отделение
Конфликт интересов:
конфликт интересов отсутствует
Борис Александрович Кадашев
ФГАУ «Нaциональный медицинский исследовательский центр нейрохирургии имени академика Н.Н. Бурденко» Минздрава РФ
Россия
д.м.н., профессор
Павел Львович Калинин
ФГАУ «Нaциональный медицинский исследовательский центр нейрохирургии имени академика Н.Н. Бурденко» Минздрава РФ
Россия
д.м.н.
Максим Александрович Кутин
ФГАУ «Нaциональный медицинский исследовательский центр нейрохирургии имени академика Н.Н. Бурденко» Минздрава РФ
Россия
к.м.н.
Юлия Геннадьевна Сиднева
ФГАУ «Нaциональный медицинский исследовательский центр нейрохирургии имени академика Н.Н. Бурденко» Минздрава РФ
Россия
к.м.н.
Денилбек Бексултанович Исмаилов
ФГАУ «Нaциональный медицинский исследовательский центр нейрохирургии имени академика Н.Н. Бурденко» Минздрава РФ
Россия
Илья Валерьевич Чернов
ФГАУ «Нaциональный медицинский исследовательский центр нейрохирургии имени академика Н.Н. Бурденко» Минздрава РФ
Россия
Дина Александровна Яценко
ФГБОУ ДПО “Российская медицинская академия непрерывного профессионального образования” Минздрава России
Россия
Лариса Константиновна Дзеранова
ФГБУ “Национальный медицинский исследовательский центр эндокринологии” Минздрава России
Россия
д.м.н.
Дополнительные файлы
|
|
1. Рис. 1. Динамика размеров гигантской пролактиномы у женщины 29 лет на фоне лечения каберголином по данным МРТ: а, б – до лечения; в, г – через 2 мес лечения; д, е – через 12 мес лечения. | |
| Тема | ||
| Тип | Исследовательские инструменты | |
Посмотреть
(281KB)
|
Метаданные ▾ | |
|
|
2. Рис. 2. Динамика уровня пролактина (ПРЛ) и дозы каберголина (Каб) у женщины 29 лет с гигантской пролактиномой: содержание ПРЛ в крови обозначено сплошной черной линией (мЕд/л), доза каберголина – пунктирной черной линией (мг в неделю), сплошной серой линией – верхняя граница референсных значений концентрации ПРЛ (530 мЕд/л). | |
| Тема | ||
| Тип | Исследовательские инструменты | |
Посмотреть
(189KB)
|
Метаданные ▾ | |
|
|
3. Рис. 3. Схематическое изображение развития ликвореи при уменьшении объема опухоли: а – опухоль гипофиза с разрушением костей основания черепа, 1 – опухоль, 2 – пазуха основной кости, 3 – базальные отделы лобных долей, 4 – передняя стенка основной пазухи, 5 – естественное соустье пазухи основной кости, 6 – цереброспинальная жидкость; б – развитие ликвореи вследствие уменьшения объема опухоли гипофиза. | |
| Тема | ||
| Тип | Исследовательские инструменты | |
Посмотреть
(179KB)
|
Метаданные ▾ | |
Рецензия
Для цитирования:
Астафьева Л.И., Кадашев Б.А., Калинин П.Л., Кутин М.А., Сиднева Ю.Г., Исмаилов Д.Б., Чернов И.В., Яценко Д.А., Дзеранова Л.К. Развитие назальной ликвореи у молодой женщины с гигантской пролактиномой через 6,5 лет терапии каберголином. Эндокринная хирургия. 2017;11(4):201-208. https://doi.org/10.14341/serg9485
For citation:
Astafyeva L.I., Kadashev B.A., Kalinin P.L., Kutin M.A., Sidneva Yu.G., Ismailov D.B., Chernov I.V., Yatsenko D.A., Dzeranova L.K. Cerebrospinal fluid rhinorrhoea in young women after 6.5 years of therapy giant prolactinoma with Cabergolin. Endocrine Surgery. 2017;11(4):201-208. (In Russ.) https://doi.org/10.14341/serg9485
Контент доступен под лицензией Creative Commons Attribution-NonCommercial-NoDerivatives 4.0 International License (CC BY-NC-ND 4.0).




































