CLINICAL CASES OF THE EFFICACY OF THERAPY MULTIKINASE INHIBITORS OF METASTATIC RADIOID-REFRACTORY DIFFERENTIATED THYROID CANCER
https://doi.org/10.14341/serg9614
Abstract
Well differentiated thyroid cancer (WDTC) is referred to non-aggressive tumors with a relatively favorable course. However, in 10% of cases, distant metastases are recorded in this pathology, of them 5–15% of cases develop refractoriness to I131 therapy. Resistance to radioactive iodine therapy in patients with WDTC significantly worsens the overall and disease-free survival. In 2014, the targeted drug Sorafenib was registered in our country, as the first drug of choice for the treatment of patients with metastatic radio-refractory WDTC. The article presents his own experience in the therapy of radiorefractory thyroid cancer with a multikinase inhibitor – Sorafenib. This drug is effective for the treatment of this cohort of patients and also helps to maintain a satisfactory quality of life. Therapy with a multikinase inhibitor statistically significantly increases the time to progression and the median time without progression. In this way, patients have been monitored for a process that would not have been possible to achieve without the use of a targeted drug with multikinase inhibition.
About the Authors
Andrey P. PolyakovP. Hertsen Moscow Oncology Research Institute is a branch of the National Medical Research Center for Radiology
Russian Federation
MD, PhD
Competing Interests:
конфликт интересов не заявляется
Alexander V. Mordovskiy
P. Hertsen Moscow Oncology Research Institute is a branch of the National Medical Research Center for Radiology
Russian Federation
MD
Competing Interests:
конфликт интересов не заявляется
Petr A. Nikiforovich
P. Hertsen Moscow Oncology Research Institute is a branch of the National Medical Research Center for Radiology
Russian Federation
MD
Competing Interests:
конфликт интересов не заявляется
Mikhail V. Ratushnyy
P. Hertsen Moscow Oncology Research Institute is a branch of the National Medical Research Center for Radiology
Russian Federation
MD, PhD
Competing Interests:
конфликт интересов не заявляется
Irina V. Rebrikova
P. Hertsen Moscow Oncology Research Institute is a branch of the National Medical Research Center for Radiology
Russian Federation
MD, PhD
Competing Interests:
конфликт интересов не заявляется
Anna V. Boyko
P. Hertsen Moscow Oncology Research Institute is a branch of the National Medical Research Center for Radiology
Russian Federation
MD, PhD, Professor
Competing Interests:
конфликт интересов не заявляется
Larisa V. Bolotina
P. Hertsen Moscow Oncology Research Institute is a branch of the National Medical Research Center for Radiology
Russian Federation
MD, PhD
Competing Interests:
конфликт интересов не заявляется
Artem R. Gevorcov
P. Hertsen Moscow Oncology Research Institute is a branch of the National Medical Research Center for Radiology
Russian Federation
MD, PhD
Competing Interests:
конфликт интересов не заявляется
References
1. Злокачественные новообразования в России в 2017 году (заболеваемость и смертность). / Под ред. Каприна А.Д., Старинского В.В., Петровой Г.В. – М.: МНИОИ им. П.А. Герцена – филиал ФГБУ “НМИРЦ” Минздрава России; 2016. [Kaprin AD, Starinskiy VV, PetrovaGV, editors. Zlokachestvennye novoobrazovaniya v Rossii v 2017 godu (zabolevaemost' i smertnost'). Moscow: MNIOI im. P.A. Gertsena – filial FGBU “NMIRTs” Minzdrava Rossii; 2016. (In Russ.)]
2. DeGroot LJ, Kaplan EL, McCormick M, Straus FH. Natural history, treatment, and course of papillary thyroid carcinoma. J Clin Endocrinol Metab. 1990;71(2):414-424. doi: 10.1210/jcem-71-2-414.
3. Mazzaferri EL, Jhiang SM. Long-term impact of initial surgical and medical therapy on papillary and follicular thyroid cancer. Am J Med. 1994;97(5):418-428. doi: 10.1016/0002-9343(94)90321-2.
4. Schlumberger MJ. Papillary and follicular thyroid carcinoma. N Engl J Med. 1998;338(5):297-306. doi: 10.1056/nejm199801293380506.
5. Mazzaferri EL. Current approaches to primary therapy for papillary and follicular thyroid cancer. J. Clin. Endocrinol. Metab. 2001;86(4):1447-1463. doi: 10.1210/jcem.86.4.7407.
6. Durante C, Haddy N, Baudin E, et al. Long-term outcome of 444 patients with distant metastases from papillary and follicular thyroid carcinoma: benefits and limits of radioiodine therapy. J Clin Endocrinol Metab. 2006;91(8):2892-2899. doi: 10.1210/jc.2005-2838.
7. Xing M, Haugen BR, Schlumberger M. Progress in molecular-based management of differentiated thyroid cancer. Lancet. 2013;381(9871):1058-1069. doi: 10.1016/s0140-6736(13)60109-9.
8. Pacini F, Ito Y, Luster M, et al. Radioactive iodine-refractory differentiated thyroid cancer: unmet needs and future directions. Expert Rev Endocrinol Metab. 2014;7(5):541-554. doi: 10.1586/eem.12.36.
9. Экспертный совет. Резолюция экспертного совета по вопросам таргетной терапии дифференцированного рака щитовидной железы, резистентного к терапии радиоактивным йодом. // Опухоли головы и шеи. – 2014. – №3. – С. 10-11. [Expert council. The resolution of the expert council for targeted therapy of radioiodine refractory differentiated thyroid cancer. Head and neck tumors. 2014;(3):10-11. (In Russ.)] doi: 10.17650/2222-1468-2014-0-3-10-11.
10. Brose MS, Nutting CM, Jarzab B, et al. Sorafenib in radioactive iodine-refractory, locally advanced or metastatic differentiated thyroid cancer: a randomised, double-blind, phase 3 trial. Lancet. 2014;384(9940):319-328. doi: 10.1016/s0140-6736(14)60421-9.
11. Kim M, Kim TH, Shin DY, et al. Tertiary care experience of sorafenib in the treatment of progressive radioiodine-refractory differentiated thyroid carcinoma: a Korean multicenter study. Thyroid. 2018;28(3):340-348. doi: 10.1089/thy.2017.0356.
12. Worden F, Fassnacht M, Shi Y, et al. Safety and tolerability of sorafenib in patients with radioiodine-refractory thyroid cancer. Endocr Relat Cancer. 2015;22(6):877-887. doi: 10.1530/ERC-15-0252.
13. Krajewska J, Handkiewicz-Junak D, Jarzab B. Sorafenib for the treatment of thyroid cancer: an updated review. Expert Opin Pharmacother. 2015;16(4):573-583. doi: 10.1517/14656566.2015.1005601.
14. Болотина Л.В., Бяхов М.Ю., Владимирова Л.Ю., и др. Практические рекомендации по лекарственному лечению опухолей головы и шеи. // Злокачественные опухоли. – 2015. – №4, спецвыпуск. – С. 47-54. [Bolotina LV, Byakhov MY, Vladimirova LY, et al. Prakticheskierekomendatsii po lekarstvennomu lecheniyu opukholey golovy i shei. Zlokachestvennye opukholi. 2015;(4S):47-54. (In Russ.)] doi: 10.18027/2224-5057-2015-4s-47-54.
15. National Comprehensive Cancer Network. NCCN Clinical Practice Guidelines in Oncology. Thyroid Carcinoma. Version 2. 2015.
Supplementary files
|
1. Фото к статье | |
| Subject | ||
| Type | Исследовательские инструменты | |
Download
(1MB)
|
Indexing metadata ▾ | |
|
|
2. Fig. 1. Patient E. Magnetic resonance tomo- graphic representation: in the lower third of the neck on the left with spreading to the left supraclavicular region a massive tumor formation is detected dimensions of 40 × 31 × 41 mm, surrounding the total carotid artery. | |
| Subject | ||
| Type | Исследовательские инструменты | |
View
(204KB)
|
Indexing metadata ▾ | |
|
|
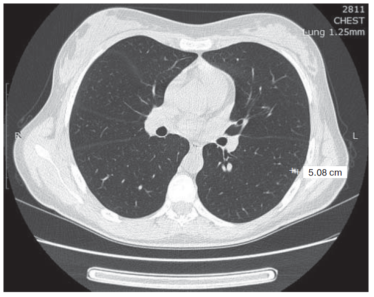
3. Fig. 2. Computer tomography of thoracic organs cavities: tumor formation in S6 of the left lung 5 × 4 mm in size. | |
| Subject | ||
| Type | Исследовательские инструменты | |
View
(451KB)
|
Indexing metadata ▾ | |
|
|
4. Fig. 3. Magnetic resonance tomogram of soft Neck tissue and computer tomogram of organs thoracic cavity. | |
| Subject | ||
| Type | Исследовательские инструменты | |
View
(728KB)
|
Indexing metadata ▾ | |
|
|
5. Fig. 4. Macro preparation of the laryngeal tumor involved in the operation during surgery, involving the wall larynx on the posterolateral surface without invasion of the mucosa. | |
| Subject | ||
| Type | Исследовательские инструменты | |
View
(1MB)
|
Indexing metadata ▾ | |
|
|
6. Fig. 5. Magnetic resonance tomogram of soft tissues of the neck: in the upper mediastinum on the left two nodal formations, merging with each other, in size 25 × 15 mm and 25 × 19 mm, involving the pre-invertebrate cellulose. On the right in the lower third of the neck is a conglomerate altered lymph nodes measuring 42 × × 28 × 34 mm, growing to adventitious carotid Artery and to the anterior wall of the jugular vein. | |
| Subject | ||
| Type | Исследовательские инструменты | |
View
(551KB)
|
Indexing metadata ▾ | |
|
|
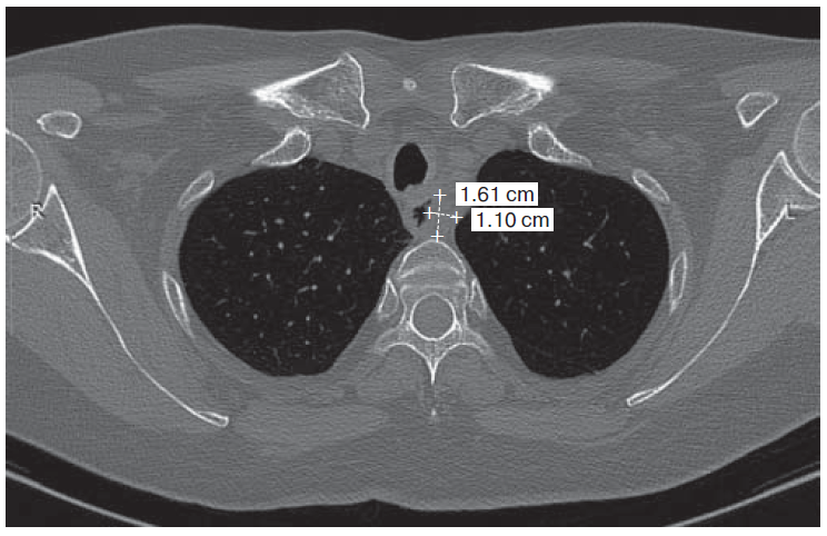
7. Fig. 6. Computer tomogram of thoracic organs cavity: soft tissue formation in the left tracheo- esophageal groove at Th1-Th2 level 16 × 13 mm. | |
| Subject | ||
| Type | Исследовательские инструменты | |
View
(362KB)
|
Indexing metadata ▾ | |
Review
For citations:
Polyakov A.P., Mordovskiy A.V., Nikiforovich P.A., Ratushnyy M.V., Rebrikova I.V., Boyko A.V., Bolotina L.V., Gevorcov A.R. CLINICAL CASES OF THE EFFICACY OF THERAPY MULTIKINASE INHIBITORS OF METASTATIC RADIOID-REFRACTORY DIFFERENTIATED THYROID CANCER. Endocrine Surgery. 2018;12(2):81-88. (In Russ.) https://doi.org/10.14341/serg9614
This work is licensed under a Creative Commons Attribution-NonCommercial-NoDerivatives 4.0 International License (CC BY-NC-ND 4.0).




































