Перейти к:
Значение селективного забора крови из нижних каменистых синусов для дифференциальной диагностики АКТГ-зависимого гиперкортицизма
https://doi.org/10.14341/serg9752
Аннотация
Выживаемость, обратимость осложнений и эффективность лечения эндогенного гиперкортицизма (ЭГ) напрямую зависят от своевременности и правильности диагностики. При наличии яркой клинической картины с подтверждением результатов всех диагностическихтестов, наиболее сложной в клинической практике является дифференциальная диагностика АКТГ-зависимого ЭГ, так как ни один лабораторный тест не дает возможности утверждать о том или ином генезе гиперпродукции АКТГ. При отсутствии визуализации аденомыгипофиза установить правильный диагноз возможно только с помощью процедуры одномоментного селективного забора крови из нижних каменистых синусов. Однако до 16% пациентов являются носителями гормонально неактивной инциденталомы гипофиза, котораяможет сочетаться с карциноидной опухолью другой локализации. Эпидемиологические исследования показали, что размер инциденталом, как правило, не превышает 6 мм. Согласно последним клиническим рекомендациям, именно при этом размере новообразования такжерекомендуется проведение одномоментного селективного забора из нижних каменистых синусов. Данный клинический случай является редким исключением из правила: наличие у пациента инциденталомы гипофиза размером более 6 мм, мягкое течение гиперкортицизмабез первичного выявленного эктопического очага АКТГ-секреции, которым в нашем случае, возможно, является карциноидная опухоль легкого.
Ключевые слова
Для цитирования:
Ситкин И.И., Малыгина А.А., Белая Ж.Е., Рожинская Л.Я., Бурякина С.А. Значение селективного забора крови из нижних каменистых синусов для дифференциальной диагностики АКТГ-зависимого гиперкортицизма. Эндокринная хирургия. 2018;12(2):89-95. https://doi.org/10.14341/serg9752
For citation:
Sitkin I.I., Malygina A.A., Belaya Zh.E., Rozhinskaya L.Y., Buryakina S.A. Inferior petrosal sinus sampling in differential diagnosis of ACTH-dependent hypercortisolism. Endocrine Surgery. 2018;12(2):89-95. (In Russ.) https://doi.org/10.14341/serg9752
Актуальность
Эндогенный гиперкортицизм (ЭГ) – одна из самых тяжелых патологий в структуре эндокринных заболеваний. Заболеваемость ЭГ составляет 0,2–5,0 человек в год, распространенность – 39–79 на миллион человек в разных популяциях [1]; при исследовании когорт пациентов с плохо контролируемым сахарным диабетом 2 типа, ранним остеопорозом, гипертонической болезнью встречаемость значительно выше. Тяжесть течения заболевания обусловлена системным действием гиперкортицизма и развитием таких осложнений, как сахарный диабет, гипертоническая болезнь, стероидная кардиопатия, вторичный гипогонадизм, тяжелый остеопороз с компрессионными переломами тел позвонков, что в конечном итоге приводит к инвалидизации пациента и значительно повышает смертность. Пятилетняя выживаемость при нелеченом ЭГ составляет 50% [2]. При этом, учитывая многочисленные неспецифические проявления заболевания, пациент длительное время остается без правильного диагноза и наблюдается у разных специалистов по поводу сахарного диабета, остеопороза или гипертонии. После установления диагноза ЭГ наибольшие затруднения вызывает дифференциальная диагностика АКТГ-зависимого эндогенного гиперкортицизма [3]. У 80–90% пациентов с АКТГ-зависимым гиперкортицизмом причиной ЭГ является аденома гипофиза (болезнь Иценко–Кушинга), у 10–20% – опухоль иной локализации [4]. Однако окончательно установить генез АКТГ-зависимого гиперкортицизма может только процедура селективного забора крови из нижних каменистых синусов (НКС) с использованием стимуляционного агента (в отечественной практике в этих целях применяется десмопрессин 8 мкг) [5]. Показания для проведения селективного забора крови из НКС [4]: 1) отсутствие визуализации аденомы по данным МРТ с контрастным усилением; 2) размер аденомы гипофиза менее 6 мм в сочетании с отрицательной большой дексаметазоновой пробой и/или уровнем АКТГ в вечернее время более 110 пг/мл; 3) в случае неэффективности первой операции на гипофизе, при сомнительном диагнозе и недоступности гистологического материала для иммуногистохимического исследования.
Манипуляция проводится следующим образом: первоначально осуществляется пункция бедренной вены, через которую под рентгенологическим контролем после установки интродьюсеров 4F и 5F проводятся многоцелевые катетеры 4F, которые устанавливаются в правом и левом нижних каменистых или кавернозных синусах (рис. 1).
Рис. 1. Флебограмма нижних каменистых синусов головного мозга.
После правильной установки катетеров начинается процедура одномоментного забора крови из синусов и нижней полой вены (периферия), через 5 мин внутривенно вводится стимуляционный агент (десмопрессин 8 мкг), при этом вновь проводится одномоментный забор крови, далее забор крови повторяется через 3, 5 и 10 мин. Для дополнительного подтверждения правильной установки катетеров до введения десмопрессина также проводится анализ крови на пролактин с дальнейшим подсчетом его градиента [6]. После заключительного забора крови удаляются катетеры, осуществляется перевязка места пункции. Принципиально важно, чтоб пациент в течение как минимум 9 ч не сгибал конечность, через которую осуществлялся доступ, для профилактики кровотечения и тромбоэмболических осложнений и не вставал [7]. При получении результатов производится подсчет градиентов АКТГ между центром и периферией до и после введения стимуляционного агента. Значения градиентов более 2 до стимуляции и более 3 – после свидетельствуют о центральном генезе АКТГ-зависимого гиперкортицизма [8]. Дополнительно оценить результаты селективного забора можно, рассчитав АКТГ-пролактин-нормализованное соотношение (отношение максимального градиента АКТГ к ипсилательномуградиенту пролактина). Градиент более 1,18 свидетельствует в пользу болезни Иценко–Кушинга [9]. Манипуляция селективного забора крови дорогостоящая и инвазивная, требует оснащенной рентгеноперационной, квалифицированного эндоваскулярного хирурга и госпитализации пациента. Тем не менее результаты селективного забора крови могут помочь быстро и правильно установить диагноз и предотвратить ненужные пациенту оперативные вмешательства.
Приведенный ниже клинический случай является показательным примером важности селективного забора крови из НКС в дифференциальной диагностике АКТГ-зависимого гиперкортицизма и иллюстрирует показание к проведению селективного забора после проведенного хирургического вмешательства без достигнутого клинического эффекта при несоответствующем или неинформативном результате гистологического исследования.
Описание случая
Пациент Б. 39 лет поступил в стационар с характерной клинической картиной: диспластическое ожирение с преимущественным отложением подкожно-жировой клетчатки в области живота, лунообразное лицо, широкие багровые стрии на передней поверхности живота, покраснение щек (матронизм). Из анамнеза известно, что впервые признаки болезни возникли в 34 года, когда на фоне полного здоровья развился гипертонический криз с повышением артериального давления до 180/100 мм рт.ст. Пациенту была назначена антигипертензивная терапия: валсартан в дозе 80 мг с дальнейшим увеличением дозы до 160 мг. С 35 лет начал отмечать появление отеков на нижних конечностях, которые уменьшались на фоне терапии диуретиками. В это же время эндокринологом по месту жительства заподозрен ЭГ, обнаружено повышение кортизола суточной мочи до 615 мкг/сут (50–190 мкг/сут), проведена малая проба с дексаметазоном, в ходе которой отсутствовало подавление кортизола ниже 50 нмоль/л. Со слов пациента, было выявлено повышение АКТГ (данные не предоставлены), проведена большая дексаметазоновая проба, в ходе которой подавление кортизола составило 80%, что могло свидетельствовать в пользу центрального генеза АКТГ-зависимого гиперкортицизма. При проведении МРТ гипофиза с контрастным усилением выявлена эндоселлярная аденома гипофиза размерами 4 × 8 мм. Учитывая размеры аденомы (более 6 мм), подавление кортизола в ходе большой пробы с дексаметазоном в анамнезе, установлен диагноз болезни Иценко–Кушинга и пациенту проведено нейрохирургическое лечение – транссфеноидальная аденомэктомия. На вторые сутки после операции клинически заподозрена надпочечниковая недостаточность и однократно был введен гидрокортизон. Однако при лабораторном исследовании кортизол крови утром в динамике 403 нмоль/л (161–551 нмоль/л), АКТГ крови утром соответственно 34 нг/мл (19–60 нг/мл), при этом свободный кортизол суточной мочи 1316 нмоль/сут, что свидетельствовало об отсутствии ремиссии после оперативного вмешательства. Тем не менее, учитывая возможность отсроченного эффекта нейрохирургического вмешательства, пациент был выписан, даны рекомендации по динамическому контролю кортизола крови и суточной мочи. Через месяц после выписки у пациента развилось носовое профузное кровотечение, которое длительно (3 дня) полностью не купировалось, в связи с чем был использован пневмотампон в течение 3 дней. Кровотечение было ликвидировано, тем не менее через 10 дней после тампонирования развилась инфекция верхних дыхательных путей, по данным КТ пазух носа подтверждены гаймороэтмоидит и ринит. По данным посева из носовой полости выявлены золотистый стафилококк и синегнойная палочка, в течение 2 нед пациент получал комбинированную антибиотикотерапию. Через 1 мес был проведен повторный курс антибиотикотерапии в связи с сохраняющимся выделением тех же возбудителей при посеве.
Через 6 мес после транссфеноидальной аденомэктомии пациент повторно поступил в клинику для динамического обследования, в ходе которого подтверждена сохраняющаяся активность гиперкортицизма как по клиническим признакам (сохранение диспластического ожирения, матронизма, стрий, мышечной слабости), так и по данным гормональных исследований (табл. 1). По данным контрольной МРТ определялись признаки сохраняющейся аденоматозной ткани. Тем не менее, учитывая сохраняющийся инфекционный процесс верхних дыхательных путей, проведение повторного нейрохирургического вмешательства не представлялось возможным. Поставлен вопрос о проведении радиохирургического лечения. Пациенту была проведена консультация радиолога, запланировано лечение на 07.12.2017. В период ожидания радиохирургии пациент, за неимением возможности получать мультилигандный аналог соматостатина пасиреотид, с августа 2017 г. находился на терапии октреотидом пролонгированного действия в дозе 20 мг 1 раз в 28 дней внутримышечно. На фоне терапии, со слов пациента, наблюдалось снижение уровня АКТГ и кортизола, улучшение общего самочувствия. Из осложнений гиперкортицизма сохранялась артериальная гипертензия, признаков нарушения углеводного обмена выявлено не было.
Таблица 1. Динамика показателей гормональных анализов пациента Б.
Примечание. МПД — малая проба с дексаметазоном
При госпитализации в ФГБУ “НМИЦ эндокринологии” в ноябре 2017 г. на фоне лечения октреотидом пролонгированного действия 20 мг 1 раз в 28 дней сохранялась картина АКТГ-зависимого гиперкортицизма, по данным проведенного обследования кортизол вечером 299,9 нмоль/л, кортизол слюны, собранной в 23:00, 1,71 нмоль/л, АКТГ крови вечером 22,33 пг/мл (0–30), кортизол суточной мочи 747 нмоль/сут, что также подтверждало сохранение умеренной активности гиперкортицизма на фоне лечения аналогами соматостатина длительного действия. В течение госпитализации впервые было выявлено нарушение углеводного обмена: глюкоза крови утром 9,32 ммоль/л, гликированный гемоглобин 8%. Инициирована сахароснижающая терапия метформином в дозе 1000 мг 2 раза в сутки, вилдаглиптином в дозе 50 мг утром. По данным контрольной МРТ гипофиза признаков остаточной опухолевой ткани не выявлено, в заключении: “Послеоперационные изменения селлярной области, структуры аденогипофиза”. Также было проведено иммуногистохимическое исследование послеоперационного материала на рецепторы к АКТГ и КРГ, обнаружена очаговая иммуноэкспрессия АКТГ в цитоплазме клеток аденогипофиза (но не опухоли – 30–40% клеток), иммуноэкспрессия КРГ не определяется. Учитывая полученные данные, центральный генез АКТГ-зависимого гиперкортицизма был поставлен под сомнение, в связи с чем было рекомендовано проведение селективного забора крови из НКС после отмены октреотида в течение 4 нед.
При госпитализации после отмены октреотида пролонгированного действия по данным контрольных анализов выявлено усугубление гиперкортицизма: кортизол слюны вечером 9,79 нмоль/л, кортизол суточной мочи 946,8 нмоль/сут. Также выявлен гипогонадотропный гипогонадизм: лютеинизирующий гормон 1,63 Ед/л, тестостерон 4,55 нмоль/л.
В феврале 2018 г. выполнен селективный забор крови из НКС, показатели АКТГ и пролактина представлены в табл. 2. По данным селективного забора крови выявлено отсутствие градиента АКТГ между синусами и нижней полой веной: максимальный градиент до стимуляции – 1,05 (менее 2), после стимуляции – 1,4 (менее 3) при наличии градиента пролактина (исключено неверное положение катетера). АКТГ/пролактин-нормализованное соотношение справа – 0,91, слева – 1,15 (менее 1,18). Полученные данные однозначно свидетельствуют в пользу эктопической секреции АКТГ.
Таблица 2. Результаты селективного забора крови из нижних каменистых синусов пациента Б.
Обсуждение
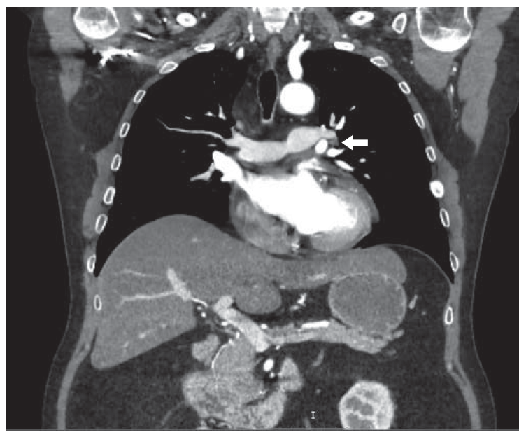
Таким образом, тактика ведения пациента Б. по результатам селективного забора крови из НКС радикально изменилась: рекомендованное ранее радиохирургическое лечение отменено, инициирован поиск нейроэндокринной опухоли. По данным проведенной МСКТ органов грудной клетки, брюшной полости и забрюшинного пространства с контрастным усилением, в прикорневой зоне левого легкого, по заднему контуру левой верхней легочной вены, медиально от верхнедолевого бронха и кпереди от левой ветви легочной артерии определяется мягкотканный участок размерами 8 × 6 мм, активно накапливающий контрастный препарат (рис. 2). Плотность данного участка в разные фазы (нативная, артериальная, венозная) составляет соответственно 20–117–92 ед.Н. По заключению специалиста МСКТ, образование в прикорневой зоне левого легкого с учетом характера контрастирования не позволяет полностью исключить АКТГ-эктопию, образование необходимо дифференцировать с бронхопульмональным лимфатическим узлом. При дальнейшем обследовании не удалось выявить иной очаг возможной эктопической продукции АКТГ. Учитывая умеренный характер гиперкортицизма и стабильное состояние пациента, было рекомендовано проведение дообследования с целью уточнения источника гиперпродукции АКТГ: проведение ПЭТ-КТ с определением дальнейшей тактики ведения. На проведенной в апреле 2018 г. ПЭТ-КТ с 68Ga-(DOTA)-TATE отмечены признаки гиперплазии левого надпочечника, SSТR-позитивной опухолевой ткани не выявлено. Единичные плотные очаги в обоих легких (вероятно,поствоспалительного генеза). Продолжается лечение октреотидом пролонгированного действия как пациенту с предполагаемой нейроэндокринной опухолью. На этом фоне в анализах, сделанных по месту жительства утром через 4 дня после введения пролонгированного октреотида: АКТГ 71 пг/мл (норма до 46), кортизол 24,6 мг/дл (норма до 25), гликемия натощак в пределах референсных значений, артериальное давление на гипотензивной терапии 140/90 мм рт.ст. Продолжается динамическое наблюдение, планируется дальнейший поиск источника АКТГ-эктопии (КТ органов грудной клетки, брюшной полости через 6 мес).
Заключение
Селективный забор крови из НКС является наиболее точным инструментом в дифференциальной диагностике АКТГ-зависимого гиперкортицизма [10, 11]. Тем не менее за счет технических сложностей данной процедуры, высокой стоимости и возможности осложнений инвазивного вмешательства использование данного метода ограничивается существующими показаниями, определяющими необходимость его выполнения у 20–30% пациентов с АКТГ-зависимым гиперкортицизмом. Однако при отсутствии ремиссии заболевания после нейрохирургического вмешательства или рецидивирующего течения заболевания (что возможно в том числе при наличии кортиколиберин-продуцирующей карциноидной опухоли) проведение этого инвазивного вмешательства должно быть рекомендовано для уточнения диагноза. Важно учитывать, что селективный забор крови из НКС может быть информативен только при наличии лабораторно подтвержденного АКТГ-зависимого эндогенного гиперкортицизма на момент проведения процедуры забора. Ремиссия гиперкортицизма, в том числе медикаментозная, делает результаты селективного забора крови из НКС неинформативными [10].
В приведенном клиническом случае селективный забор крови из НКС помог быстро установить генез гиперпродукции АКТГ и предотвратил возможные последующие вмешательства на область гипофиза (радиохирургическое лечение, повторная транссфеноидальнаяаденомэктомия).
Дополнительная информация
Источник финансирования. Подготовка публикации осуществлена на личные средства авторского коллектива.
Согласие пациента. Пациент добровольно подписал форму информированного согласия на публикацию персональной медицинской информации в обезличенном виде в журнале “Эндокринная хирургия”.
Конфликт интересов. Авторы декларируют отсутствие явных и потенциальных конфликтов интересов, связанных с публикацией настоящей статьи.
Список литературы
1. Lacroix A, Feelders RA, Stratakis CA, Nieman LK. Cushing's syndrome. The Lancet. 2015;386(9996):913-927. doi: 10.1016/s0140-6736(14)61375-1.
2. Plotz CM, Knowlton AI, Ragan C. The natural history of Сushing's syndrome. Am J Med. 1952;13(5):597-614. doi: 10.1016/0002-9343(52)90027-2.
3. Белая Ж.Е., Рожинская Л.Я., Мельниченко Г.А., Дедов И.И. Современный взгляд на скрининг и диагностику эндогенного гиперкортицизма. // Проблемы эндокринологии. – 2012. – Т. 58. – №4. – C. 35-41. [Belaya ZE, Rozhinskaya LY, Mel'nichenko GA, Dedov II.Current views of the screening and diagnostics of endogenous hypercorticism. Problems of endocrinology. 2012;58(4):35-41. (In Russ.)] doi: 10.14341/probl201258435-41.
4. Мельниченко Г.А., Дедов И.И., Белая Ж.Е., и др. Болезнь Иценко–Кушинга: клиника, диагностика, дифференциальная диагностика, методы лечения. // Проблемы эндокринологии. – 2015. – Т. 61. – №2. – C. 55-77. [Mel'nichenko GA, Dedov II, Belaya ZE, et al. Cushing's disease: the clinical features, diagnostics, differential diagnostics, and methods of treatment. Problems of endocrinology. 2015;61(2):55-77. (In Russ.)] doi: 10.14341/probl201561255-77.
5. Ситкин И.И., Белая Ж.Е., Рожинская Л.Я., и др. Двухсторонний селективный забор крови из нижних каменистых синусов на фоне стимуляции десмопрессином в дифференциальной диагностике АКТГ-зависимого гиперкортицизма. // Диагностическая и интервенционная радиология. – 2013. – Т. 7. – №3. – C. 57-68. [Sitkin II, Belaya ZE, Rozhinskaya LY, et al. Simultanious bilateral inferior petrosal sinus blood sampling after desmopressin stimulation in the differential diagnosis of ACTH-dependent Cushing’s syndrome.Diagnosticheskaia interventsionnaia radiologiia. 2013;7(3):57-68. (In Russ.)]
6. Рожинская Л.Я., Белая Ж.Е., Ситкин И.И., и др. Селективный забор крови из нижних каменистых синусов на фоне стимуляции десмопрессином в дифференциальной диагностике АКТГ-зависимого гиперкортицизма. Возможности оценки градиента пролактина и АКТГ/пролактин нормализованного соотношения для повышения чувствительности метода. // Сборник тезисов VI Всероссийского конгресса эндокринологов; 27–31 мая 2012. – М.: УП Принт; 2012. – С. 453. [Rozhinskaya LY, Belaya ZE, Sitkin II, et al. Selektivnyy zaborkrovi iz nizhnikh kamenistykh sinusov na fone stimulyatsii desmopressinom v differentsial'noy diagnostike AKTG-zavisimogo giperkortitsizma. Vozmozhnosti otsenki gradienta prolaktina i AKTG/prolaktin normalizovannogo sootnosheniya dlya povysheniyachuvstvitel'nosti metoda. In: Proceedings of the 6th All-Russian Endocrinology Congress; Moscow, 27–31 May 2012. Moscow: UP Print; 2012. p. 453. (In Russ.)]
7. Дедов И.И., Ситкин И.И., Белая Ж.Е., и др. Первый опыт использования селективного забора крови из нижних каменистых синусов в России (клиническое наблюдение). // Проблемы эндокринологии. – 2009. – Т. 55. – №6. – C. 11-16. [Dedov II, Sitkin II, Belaya ZE. The first experience with selective blood collection from the inferior petrosal sinuses in Russia (case reports). Problems of endocrinology. 2009;55(6):11-16. (In Russ.)] doi: 10.14341/probl200955611-16.
8. Belaya Z, Sitkin I, Rozhinskaya L, et al. Usefulness of Prolactin IPS/P ratio and dominant ACTH/prolactin ratio in bilateral inferior petrosal sinus sampling with desmopressin stimulation in patients with ACTH-dependent Cushing’s syndrome. Austrian Journal of Clinical Endocrinology and Metabolism. 2012;5(3):21.
9. Белая Ж.Е., Рожинская Л.Я., Мельниченко Г.А., и др. Роль градиента пролактина и АКТГ/пролактин-нормализованного отношения для повышения чувствительности и специфичности селективного забора крови из нижних каменистых синусов для дифференциальной диагностики АКТГ-зависимого гиперкортицизма. // Проблемы эндокринологии. – 2013. – Т. 59. – №4. – C. 3-10. [Belaya ZE, Rozhinskaya LI, Mel'nichenko GA, et al. The role of prolactin gradient and normalized ACTH/prolactin ratio in the improvement of sensitivity and specificity of selective blood sampling from inferior petrosal sinuses for differential diagnostics of ACTH-dependent hypercorticism. Problems of endocrinology. 2013;59(4):3-10. (In Russ.)] doi: 10.14341/probl20135943-10.
10. Дедов И.И., Белая Ж.Е., Ситкин И.И., и др. Значение метода селективного забора крови из нижних каменистых синусов в дифференциальной диагностике АКТГ-зависимого гиперкортицизма. // Проблемы эндокринологии. – 2009. – Т. 55. – №6. – C. 35-40. [Dedov II, Belaya ZE, Sitkin II, et al. Significance of the method of selective blood collection from the inferior petrosal sinuses for differential diagnosis of ACTH-dependent hypercorticism. Problems of endocrinology. 2009;55(6):35-40. (In Russ.)] doi: 10.14341/probl200955635-40.
11. Belaya Z, Khandaeva P, Rozhinskaya L, et al. Neurosurgery outcome in patients with Cushing's disease with and without visualised pituitary adenoma on MRI, who underwent inferior petrosal sinus sampling. Endocrine Abstracts. 2015. doi: 10.1530/endoabs.37.GP.22.07.
Об авторах
Иван Иванович СиткинФГБУ “Национальный медицинский исследовательский центр эндокринологии” Минздрава России
Россия
к.м.н., сосудистый хирург
Конфликт интересов:
отсутствуют
Анастасия Андреевна Малыгина
ФГБУ “Национальный медицинский исследовательский центр эндокринологии” Минздрава России
Россия
научный сотрудник отделения нейроэндокринологии и остеопатий
Конфликт интересов:
Отсутствуют
Жанна Евгеньевна Белая
ФГБУ “Национальный медицинский исследовательский центр эндокринологии” Минздрава России
Россия
д.м.н., заведующая отделением нейроэндокринологии и остеопатий
Конфликт интересов:
Отсутствуют
Людмила Яковлевна Рожинская
ФГБУ “Национальный медицинский исследовательский центр эндокринологии” Минздрава России
Россия
д.м.н., профессор, главный научный сотрудник отделения нейроэндокринологии и остеопатий
Конфликт интересов:
Отсутствуют
Светлана Алексеевна Бурякина
ФГБУ “Национальный медицинский исследовательский центр эндокринологии” Минздрава России
Россия
врач отделения лучевой диагностики
Конфликт интересов:
Отсутствуют
Дополнительные файлы
|
1. рисунок 2 | |
| Тема | ||
| Тип | Исследовательские инструменты | |
Скачать
(717KB)
|
Метаданные ▾ | |
|
|
2. Рис. 1. Флебограмма нижних каменистых синусов головного мозга. | |
| Тема | ||
| Тип | Исследовательские инструменты | |
Посмотреть
(484KB)
|
Метаданные ▾ | |
|
|
3. Рис. 2. Компьютерная томограмма органов грудной клетки с контрастным усилением пациента Б. В прикорневой зоне слева, по заднему контуру левой верхней легочной вены, медиально от верхнедолевого бронха и кпереди от левой ветви легочной артерии определяется овальной формы мягкотканная структура размерами 8 × 6 мм, активно накапливающая контрастный препарат. | |
| Тема | ||
| Тип | Исследовательские инструменты | |
Посмотреть
(411KB)
|
Метаданные ▾ | |
|
|
4. Таблица 1. Динамика показателей гормональных анализов пациента Б. | |
| Тема | ||
| Тип | Исследовательские инструменты | |
Посмотреть
(88KB)
|
Метаданные ▾ | |
|
|
5. Таблица 2. Результаты селективного забора крови из нижних каменистых синусов пациента Б. | |
| Тема | ||
| Тип | Исследовательские инструменты | |
Посмотреть
(89KB)
|
Метаданные ▾ | |
Рецензия
Для цитирования:
Ситкин И.И., Малыгина А.А., Белая Ж.Е., Рожинская Л.Я., Бурякина С.А. Значение селективного забора крови из нижних каменистых синусов для дифференциальной диагностики АКТГ-зависимого гиперкортицизма. Эндокринная хирургия. 2018;12(2):89-95. https://doi.org/10.14341/serg9752
For citation:
Sitkin I.I., Malygina A.A., Belaya Zh.E., Rozhinskaya L.Y., Buryakina S.A. Inferior petrosal sinus sampling in differential diagnosis of ACTH-dependent hypercortisolism. Endocrine Surgery. 2018;12(2):89-95. (In Russ.) https://doi.org/10.14341/serg9752
Контент доступен под лицензией Creative Commons Attribution-NonCommercial-NoDerivatives 4.0 International License (CC BY-NC-ND 4.0).




































