Preview

Эндокринная хирургия

Расширенный поиск

Возможности ПЭТ/КТ с 18F-ФДГ в диагностике гормонально неактивного адренокортикального рака: клиническое наблюдение

https://doi.org/10.14341/serg9950

Содержание

Перейти к:

Аннотация

Клиническое наблюдение больного с рецидивом адренокортикального рака после адреналэктомии и последующего комплексного лечения.


У мужчины 46 лет было выявлено объемное образование надпочечника. При исследовании гормонального профиля активность образования исключена. Ввиду местнораспространенного процесса пациенту было проведено радикальное лечение. Спустя 5 лет после хирургического лечения выявлен местный рецидив заболевания по результатам КТ. Для уточнения распространенности процесса пациенту выполнена ПЭТ/КТ с 18F-ФДГ, по результатам которой отдаленных метастазов выявлено не было. После проведения пациенту комплексной терапии и периода наблюдения повторно выполнена ПЭТ/КТ, диагностирован диссеминированный процесс. Данное клиническое наблюдение демонстрирует, что ПЭТ/КТ с 18F-ФДГ позволяет уточнить природу объемных образований надпочечников, выявляя признаки их злокачественности, и является ценным инструментом при адренокортикальном раке в случаях рестадирования, при подозрениях на рецидив заболевания и в диагностике метастатического поражения.

Для цитирования:


Долгушин М.Б., Мартинович А.А., Мещерякова Н.А., Тулин П.Е. Возможности ПЭТ/КТ с 18F-ФДГ в диагностике гормонально неактивного адренокортикального рака: клиническое наблюдение. Эндокринная хирургия. 2018;12(4):196-201. https://doi.org/10.14341/serg9950

For citation:


Dolgushin M.B., Martinovich A.A., Meshcheriakova N.A., Tulin P.E. 18F-FDG PET/CT in nonfunctioning adrenocortical carcinoma diagnostics: case report. Endocrine Surgery. 2018;12(4):196-201. (In Russ.) https://doi.org/10.14341/serg9950

Актуальность

Адренокортикальный рак – редкое и агрессивное злокачественное новообразование коры надпочечников с неблагоприятным прогнозом. Частота встречаемости составляет от 0,5 до 2 случаев на миллион в год [1], тогда как другие поражения надпочечников встречаются у 10% населения, большая часть из которых – это доброкачественные, нефункциональные адренокортикальные аденомы [2]. Адренокортикальный рак составляет 0,04–0,2% в структуре онкологической смертности, несколько преобладает среди женщин [1, 2] и имеет бимодальное распределение по возрасту с пиком в детском возрасте (менее 5 лет) [3] и вторым пиком в возрасте 50–60 лет [2, 4]. В течение последних двух десятилетий остается практически неизменной пятилетняя выживаемость, которая варьирует в зависимости от стадии [5, 6]. В исследовании с участием 330 пациентов, проходивших лечение в Онкологическом центре Anderson, сообщалось о пятилетних показателях выживаемости: при стадии I – 24%, стадии II – 6%, стадии III – 3,5%, а в случаях с отдаленными метастазами при стадии IV – менее 1% [5].

По клиническому течению рак коры надпочечников может быть гормонально активным и неактивным. Гормонально активные варианты встречаются в 40–60% случаев. При гормонально активном адренокортикальном раке чаще всего отмечается гиперсекреция кортизола, который у 50–80% пациентов приводит к развитию синдрома Иценко–Кушинга [1, 2]. Гиперсекреция андрогенов встречается в 40–60% случаев, что вызывает облысение по мужскому типу у женщин, гирсутизм, вирилизацию и нарушения менструального цикла [2]. Гиперсекреция эстрогенов у мужчин проявляется феминизацией [3]. Одновременный избыток кортизона и андрогена встречается более чем в половине случаев. Напротив, избыток минералокортикоидов встречается редко [1, 7]. Эндокринная активность может меняться в течение болезни, гормонально неактивные опухоли могут становиться активными и наоборот [7]. Клинические проявления, связанные с гормональной активностью опухоли, являются причиной обращения пациентов к врачу, поэтому эти опухоли, как правило, выявляются относительно рано и при меньших размерах.

Гормонально неактивные варианты выявляются при обращении пациентов с жалобами на дискомфорт или боль или же выявляются случайным образом при проведении различных диагностических исследований [2].

В целом, в группах проведенных КТ- и МРТ-исследований наиболее часто выявляются опухоли размерами от 10 до 13 см. Меньшие размеры – до 6 см – встречаются в 20% случаев, до 4 см – только в 3% [2–4]. Запущенные стадии достаточно часты при диагностировании адренокортикального рака [1]. Метастазы в лимфоузлах встречаются, по данным визуализации, до 26% случаев и до 68% при аутопсии [4], чаще всего в легких (45%), печени (42%), лимфатических узлах (24%) и реже в костях, поджелудочной железе, селезенке, диафрагме и брюшине [3]. Метастазы в головном мозге очень редки, встречаются у 6 из 500 пациентов (1–2%), чаще всего обнаруживаются при запущенном адренокортикальном раке, гораздо позднее первоначальной верификации [8]. Среди всех пациентов менее 2% имеют стадию I, 21% – стадию I–II, 18% – стадию III, тогда как большинство (61%) – стадию IV [3].

Основная задача при выборе метода диагностики – выделить среди случайно выявленных объемных образований надпочечников (инсиденталом, от англ. incidental – внезапный, случайный) или симптомных опухолей надпочечников случаи адренокортикального рака. По данным сводной аутопсийной статистики, распространенность случайно выявленных опухолей надпочечников составляет в среднем 6%. Частота адренокортикального рака среди инсиденталом варьирует и зависит от размера узла – при размере 6 см и более составляет около 25%.

Задачи диагностики адренокортикального рака заключаются в оценке гормональной активности и топической диагностике (определение размеров, распространенности опухоли и взаимоотношение с окружающими структурами). Согласно клиническим рекомендациям по лечению адренокортикального рака, утвержденным Ассоциацией онкологов России в 2014 г., при небольших размерах опухоли или неоднозначных данных трехфазного КТ-исследования необходимо выполнить ПЭТ/КТ с 18F-ФДГ [9]. Высокая метаболическая активность опухоли (SUV более 3) является критерием, характеризующим злокачественный потенциал опухоли. ПЭТ/КТ с 18F-ФДГ позволяет определить не только топику, распространенность, размеры и плотностные характеристики опухоли, но и метаболическую активность образования. В методические рекомендации NССN (National Comprehensive Cancer Network) ПЭТ/КТ на данный момент не включена ни на этапе первичной диагностики, ни на этапе посттерапевтического наблюдения.

Дифференциальная диагностика адренокортикального рака должна проводиться с миелолипомами, кистами в надпочечниках, адренокортикальными аденомами, феохромоцитомами, гранулематозной болезнью, метастатическим поражением и кровоизлияниями в надпочечники [3].

Описание случая

Представляем клиническое наблюдение с выявлением рецидива адренокортикального рака методом ПЭТ/КТ с 18F-ФДГ.

Мужчина 1963 года рождения. В марте 2009 г. в связи с жалобами на учащенное мочеиспускание обратился к урологу. По данным КТ выявлено образование левого надпочечника размерами до 7,4 × 7,7 × 8,1 см. При гормональном обследовании (адреналин, норадреналин, альдостерон, кортизол, дофамин) данных за гормональную активность опухоли надпочечника не получено. В июне 2009 г. выполнена адреналэктомия слева. Гистологическое исследование: адренокортикальный рак с очаговой инвазией в прилежащие мягкие ткани и внутрисосудистой инвазией. Проводилось динамическое наблюдение (УЗИ, КТ).

С января 2014 г. появились жалобы на слабость. По данным УЗИ и КТ от июля 2014 г. в ложе удаленного левого надпочечника выявлено образование до 7,5 × 8,0 × 9,0 см.

В связи с ухудшением состояния для уточнения объема поражения и исключения наличия метастазов в июле 2014 г. пациенту было проведено ПЭТ/КТ-исследование всего тела с 18F-ФДГ. Исследование выполнялось натощак (не менее 6 ч голодания) на аппарате Siemens Biograph mСT. Доза введенного радиофармпрепарата (РФП) составила 415 МБк (5 МБк на 1 кг массы тела). Сканирование проводилось через 60 мин от момента введения РФП. Продолжительность ПЭТ-исследования составляла 3 мин на одну кровать.

Впоследствии, в августе 2014 г., пациенту было проведено хирургическое лечение – удаление рецидивной опухоли с резекцией хвоста и тела поджелудочной железы, спленэктомией, нефрэктомией слева и резекцией участка диафрагмы. Далее проведен курс дистанционной лучевой терапии. С сентября 2014 г. получает лечение митотаном.

По данным МРТ брюшной полости в январе 2015 г. выявлены множественные метастазы в печени. С января по апрель 2015 г. – полихимиотерапия. В июне 2015 г. – правосторонняя гемигепатэктомия. При УЗИ от декабря 2015 г. отмечается рост очагов в печени. С января по декабрь 2016 г. проведена полихимиотерапия. В апреле 2016 г. выполнена атипичная резекция печени.

В январе 2017 г. выполнено контрольное ПЭТ/КТ-исследование всего тела с 18F-ФДГ для уточнения распространенности поражения.

Результаты ПЭТ/КТ-исследований

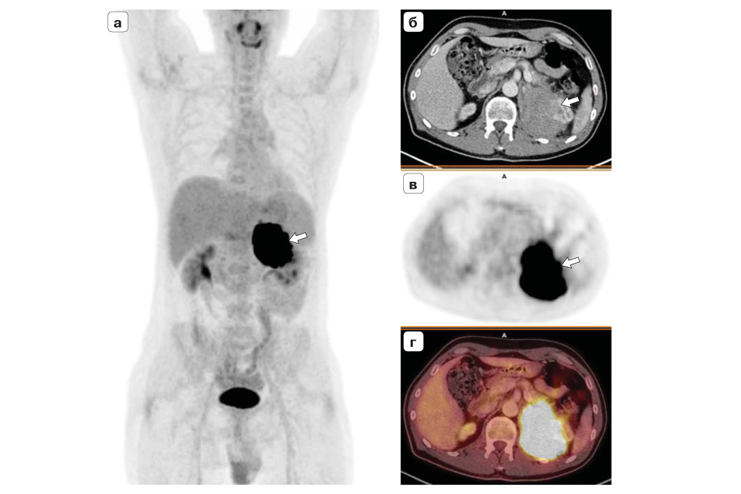
По результатам ПЭТ/КТ-исследования c 18F-ФДГ от 31.07.2014 у пациента в ложе левого надпочечника выявлено солидной структуры объемное образование с неровными контурами размерами 8,9 × 5,9 × 7,2 см, с SUVmax до 33,27. Образование врастает в верхний полюс левой почки без инвазии ее сосудистой ножки, в хвост поджелудочной железы, левую ножку диафрагмы, селезенку и селезеночную вену. Других участков патологического накопления 18F-ФДГ не обнаружено (рис. 1).

Рис. 1. Рецидив адренокортикального рака после адреналэктомии. ПЭТ/КТ-исследование с 18F-ФДГ. ПЭТ (MIP) во фронтальной проекции (а), КТ с внутривенным контрастным усилением (б), ПЭТ- (в) и ПЭТ/КТ- (г) изображения в аксиальной проекции. Стрелками отмечено объемное образование в ложе левого надпочечника с признаками выраженного накопления РФП (SUVmax 33,27).

При контрольном ПЭТ/КТ-исследовании от 19.01.2017 определяется очаг патологического накопления РФП в узловом образовании в ложе удаленного левого надпочечника с SUVmax 30,56, размерами до 1,5 см, образование сливается с ножкой диафрагмы. Также определяются множественные очаги патологического накопления РФП в сохранившейся после правосторонней гемигепатэктомии паренхиме печени, в левом легком и в ретрокруральных лимфоузлах, соответствующие метастазам (рис. 2).

Рис. 2. Прогрессирование адренокортикального рака с метастатическим поражением печени, легких и внутри грудных лимфоузлов. Состояние после гемигепатэктомии. ПЭТ/КТ-исследование с 18F-ФДГ. ПЭТ (MIP) во фронтальной проекции (а), КТ с внутривенным контрастным усилением (б, в), ПЭТ (г, д) и ПЭТ/КТ (е, ж) в аксиальной проекции. Объемное образование в ложе левого надпочечника (белые стрелки), метастазы (черные стрелки).

Заключение

Таким образом, представленное наблюдение наглядно демонстрирует высокую чувствительность ПЭТ/КТ с 18F-ФДГ в диагностике локальных рецидивов адренокортикального рака и его распространенности. Представленное наблюдение иллюстрирует высокий уровень накопления РФП в области резидуальной опухоли и отдаленных метастазах со значениями SUVmax более 33. Отдельно необходимо подчеркнуть, что рассматривается вариант гормонально неактивного адренокортикального рака на различных этапах развития болезни и отмечена высокая чувствительность метода ПЭТ/КТ с 18F-ФДГ.

Дополнительная информация

Источник финансирования. Подготовка публикации осуществлена на личные средства авторского коллектива.

Согласие пациента. Пациент добровольно подписал информированное согласие на публикацию персональной медицинской информации в обезличенной форме.

Конфликт интересов. Авторы декларируют отсутствие явных и потенциальных конфликтов интересов, связанных с публикацией настоящей статьи.

Список литературы

1. Roman S. Adrenocortical carcinoma. Curr Opin Oncol. 2006;18(1):36-42. doi: https://doi.org/10.1097/01.cco.0000198976.43992.14.

2. Else T, Kim AC, Sabolch A, et al. Adrenocortical carcinoma. Endocr Rev. 2014;35(2):282-326. doi: https://doi.org/10.1210/er.2013-1029.

3. Lafemina J, Brennan MF. Adrenocortical carcinoma: past, present, and future. J Surg Oncol. 2012;106(5):586-594. doi: https://doi.org/10.1002/jso.23112.

4. Chagpar R, Siperstein AE, Berber E. Adrenocortical cancer update. Surg Clin North Am. 2014;94(3):669-687. doi: https://doi.org/10.1016/j.suc.2014.02.009.

5. Ayala-Ramirez M, Jasim S, Feng L, et al. Adrenocortical carcinoma: clinical outcomes and prognosis of 330 patients at a tertiary care center. Eur J Endocrinol. 2013;169(6):891-899. doi: https://doi.org/10.1530/EJE-13-0519.

6. Musella M, Conzo G, Milone M, et al. Preoperative workup in the assessment of adrenal incidentalomas: outcome from 282 consecutive laparoscopic adrenalectomies. BMC Surg. 2013;13:57. doi: https://doi.org/10.1186/1471-2482-13-57.

7. Kopf D, Goretzki PE, Lehnert H. Clinical management of malignant adrenal tumors. J Cancer Res Clin Oncol. 2001; 127(3):143-155. doi: https://doi.org/10.1007/s004320000170.

8. Burotto M, Tageja N, Rosenberg A, et al. Brain metastasis in patients with adrenocortical carcinoma: a clinical series. J Clin Endocrinol Metab. 2015;100(2):331-336. doi: https://doi.org/10.1210/jc.2014-2650.

9. Бельцевич Д.Г., Бохян В.Ю., Горбунова В.А., и др. Клинические рекомендации по лечению рака коры надпочечников (адренокортикального рака). – М.; 2014. [Beltsevich DG, Bokhyan VY, Gorbunova VA, et al. Klinicheskie rekomendatsii po lecheniyu raka kory nadpochechnikov (adrenokortikalnogo raka). Moscow; 2014. (In Russ.)]


Об авторах

Михаил Борисович Долгушин

ФГБУ “Национальный медицинский исследовательский центр онкологии им. Н.Н. Блохина” Минздрава России


Россия

д.м.н., профессор РАН



Александр Александрович Мартинович

ФГБУ “Национальный медицинский исследовательский центр онкологии им. Н.Н. Блохина” Минздрава России


Россия

врач-рентгенолог отделения позитронной эмиссионной томографии



Надежда Андреевна Мещерякова

ФГБУ “Национальный медицинский исследовательский центр онкологии им. Н.Н. Блохина” Минздрава России


Россия

к.м.н.



Павел Евгеньевич Тулин

ФГБУ “Национальный медицинский исследовательский центр онкологии им. Н.Н. Блохина” Минздрава России


Россия

к.м.н.



Дополнительные файлы

1. Рис. 1. Рецидив адренокортикального рака после адреналэктомии. ПЭТ/КТ-исследование с 18F-ФДГ. ПЭТ (MIP) во фронтальной проекции (а), КТ с внутривенным контрастным усилением (б), ПЭТ- (в) и ПЭТ/КТ- (г) изображения в аксиальной проекции. Стрелками отмечено объемное образование в ложе левого надпочечника с признаками выраженного накопления РФП (SUVmax 33,27).
Тема
Тип Исследовательские инструменты
Посмотреть (182KB)    
Метаданные ▾
2. Рис. 2. Прогрессирование адренокортикального рака с метастатическим поражением печени, легких и внутри грудных лимфоузлов. Состояние после гемигепатэктомии. ПЭТ/КТ-исследование с 18F-ФДГ. ПЭТ (MIP) во фронтальной проекции (а), КТ с внутривенным контрастным усилением (б, в), ПЭТ (г, д) и ПЭТ/КТ (е, ж) в аксиальной проекции. Объемное образование в ложе левого надпочечника (белые стрелки), метастазы (черные стрелки).
Тема
Тип Исследовательские инструменты
Посмотреть (262KB)    
Метаданные ▾

Рецензия

Для цитирования:


Долгушин М.Б., Мартинович А.А., Мещерякова Н.А., Тулин П.Е. Возможности ПЭТ/КТ с 18F-ФДГ в диагностике гормонально неактивного адренокортикального рака: клиническое наблюдение. Эндокринная хирургия. 2018;12(4):196-201. https://doi.org/10.14341/serg9950

For citation:


Dolgushin M.B., Martinovich A.A., Meshcheriakova N.A., Tulin P.E. 18F-FDG PET/CT in nonfunctioning adrenocortical carcinoma diagnostics: case report. Endocrine Surgery. 2018;12(4):196-201. (In Russ.) https://doi.org/10.14341/serg9950

Просмотров: 18686


ISSN 2306-3513 (Print)
ISSN 2310-3965 (Online)