Riedel's Thyroiditis. A Clinical Review.
Abstract
Riedel`s thyroiditis is a rare disease with an unknown etiology, which is characterized by replacement of the thyroid gland tissue with a fibrous connective tissue, the main characteristic sign is the stony-hard texture of the gland, extending to the surrounding structures (trachea, esophagus, blood vessels and nerves). Dense adhesion causes clinical symptoms of tracheal compression, such as shortness of breath, hoarseness, coughing and dyspnoea. Regarding functional activity, both euthyroidism and thyrotoxicosis with the subsequent development of hypothyroidism can be observed. A difficult preoperative diagnosis allows only to suspect this disease, as well as differentiate it with some aggressive forms of cancer, and therefore the final diagnosis is possible only after histological and immunohistochemical examinations of postoperative material. The conservative treatment (mainly glucocorticoid drugs) and surgical intervention can be applied. It is necessary to be meticulous about the choice of a treatment method, taking into account the firmly adhesion with surrounding structures and a high risk of complications of surgical treatment of the thyroid gland. This case report describes a patient with a confirmed morphological diagnosis of Riedel's thyroiditis after thyroidectomy. The peculiarity of this case is a clear positive correlation of the occurrence of subfebrile fever with the onset of the disease and its resolution after surgical treatment and a 11-month follow-up period.
About the Authors
Elena V. PokrovskayaRussian Federation
MD
Dmitriy G. Beltsevich
Russian Federation
MD, ScD, Professor, leading research associate of the surgery department
Aleksandr Yu. Abrosimov
Russian Federation
MD, PhD, Professor
Sergey V. Lishchuk
Russian Federation
MD, PhD, Head of Department of Pathology
Valeriy V. Voskoboynikov
Russian Federation
MD, PhD
Anastassia Chevais
Russian Federation
medical resident
References
1. Falhammar H, Juhlin CC, Barner C, et al. Riedel's thyroiditis: clinical presentation, treatment and outcomes. Endocrine. 2018;60(1):185-192. doi: https://doi.org/10.1007/S12020-018-1526-3.
2. Darouichi M, Constanthin PE. Riedel's thyroiditis. Radiol Case Rep. 2016;11(3):175-177. doi: https://doi.org/10.1016/j.radcr.2016.05.017.
3. Walsh J, Griffin TP, Ryan CB, et al. A case report demonstrating how the clinical presentation of the diffuse sclerosing variant of papillary thyroid carcinoma can mimic benign Riedel's thyroiditis. Case Rep Endocrinol. 2015;2015:686085. doi: https://doi.org/10.1155/2015/686085.
4. Shahi N, Abdelhamid MF, Jindall M, Awad RW. Riedel's thyroiditis masquerading as anaplastic thyroid carcinoma: a case report. J Med Case Rep. 2010;4:15. doi: https://doi.org/10.1186/1752-1947-4-15.
5. Wojciechowska-Durczyńska K, Durczyński A, Sporny S, et al. Riedel's thyroiditis – a case report with genes' expression studies. Thyroid Res. 2012;5(1):2. doi: https://doi.org/10.1186/1756-6614-5-2.
6. Василенко В.В., Виноградов Д.Л., Бурлакова А.С. IGG4-сопряженная патология: состояние проблемы // Архивъ внутренней медицины. – 2017. – T.7. – №2. – С. 95-106. [Vasilenko VV, Vinogradov DL, Burlakova AS. IGG4-related disease: condition of the problem. Archive of internal medicine. 2017;7(2):95-106. (In Russ.)] doi: https://doi.org/10.20514/2226-6704-2017-7-2-95-106.
7. Зубеев П.С., Коновалов В.А., Орлинская Н.Ю., и др. Дооперационная диагностика и лечение тиреоидита Риделя // Медицинский альманах. – 2011. – №5. – С. 138-140. [Zubeev PS, Konovalov VA, Orlinskaya NYu, et al. Presurgical diagnostics and treatment of Riedel thyroiditis. Meditsinskii almanakh. 2011;(5):138-140. (In Russ.)]
8. Hennessey JV. Riedel's thyroiditis: a clinical review. J Clin Endocrinol Metab. 2011;96(10):3031-3041. doi: https://doi.org/10.1210/Jc.2011-0617.
Supplementary files
|
|
1. Fig. 1. The appearance of the patient’s neck. | |
| Subject | ||
| Type | Other | |
View
(50KB)
|
Indexing metadata ▾ | |
|
|
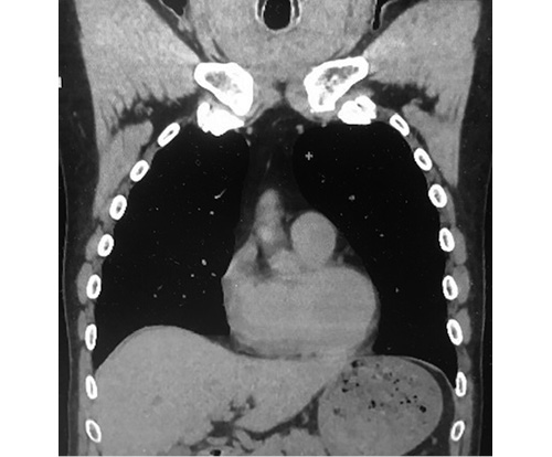
2. Fig. 2. MSCT of the chest in a longitudinal section. | |
| Subject | ||
| Type | Other | |
View
(46KB)
|
Indexing metadata ▾ | |
|
|
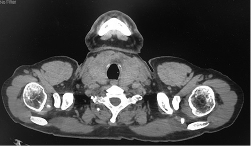
3. Fig. 3. MSCT of the chest in cross section. | |
| Subject | ||
| Type | Other | |
View
(37KB)
|
Indexing metadata ▾ | |
|
|
4. Fig. 4. Postoperative preparation of the thyroid gland. | |
| Subject | ||
| Type | Other | |
View
(64KB)
|
Indexing metadata ▾ | |
|
|
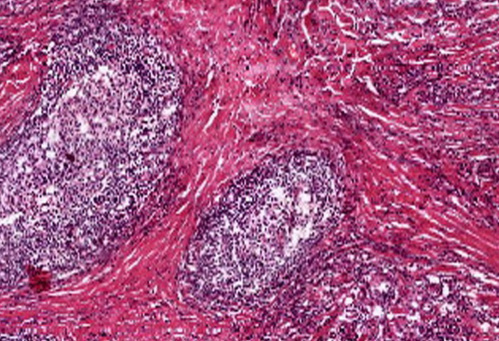
5. Fig. 5. The histological picture of the postoperative material of the thyroid gland. | |
| Subject | ||
| Type | Other | |
View
(113KB)
|
Indexing metadata ▾ | |
|
6. Таблица 1 | |
| Subject | ||
| Type | Other | |
Download
(11KB)
|
Indexing metadata ▾ | |
|
7. Таблица 1 исправленная | |
| Subject | ||
| Type | Other | |
Download
(11KB)
|
Indexing metadata ▾ | |
|
|
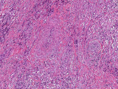
8. Fig. 6. Obliterating phlebitis (stained with hematoxylin-eosin). | |
| Subject | ||
| Type | Other | |
View
(169KB)
|
Indexing metadata ▾ | |
|
|
9. Fig. 7. IgG4 + plasma cells during the IHC study. | |
| Subject | ||
| Type | Other | |
View
(143KB)
|
Indexing metadata ▾ | |
Review
For citations:
Pokrovskaya E.V., Beltsevich D.G., Abrosimov A.Yu., Lishchuk S.V., Voskoboynikov V.V., Chevais A. Riedel's Thyroiditis. A Clinical Review. Endocrine Surgery. 2019;13(3):133-140. (In Russ.)




































